NEUMOCONIOSIS INT DANIELA MATUS L INT EDUARDO GONZÁLEZ N MEDICINA 2008
NEUMOCONIOSIS Etimológicamente el término neumoconiosis deriva del griego neuma-pulmón- aire y  conis-polvo. “  LA NEUMOCONIOSIS ES UNA ENFERMEDAD DIAGNOSTICABLE DE LOS PULMONES, PRODUCIDA POR LA INHALACION DE POLVO, ENTENDIENDOSE POR POLVO AQUELLOS MATERIALES EN FORMA DE PARTICULAS EN ESTADO SOLIDÓ, CON EXCEPCION DE LOS ORGANISMOS VIVOS ”.
NEUMOCONIOSIS GRADO DE PELIGROSIDAD  o carácter patógeno  DEL POLVO Esta condicionado por los siguientes factores: Composición química y mineralógica de las partículas. Concentración Tamaño de las partículas Tiempo de exposición Susceptibilidad individual Antecedentes patológicos Factores constitucionales
Mayor de 8 micras De 5 a 8 micras OROFARINGE GRAN VÍA AÉREA De 0,5 a 5 micras ALVEOLOS Y BRONQUIOLOS TAMAÑO DE LAS PARTÍCULAS
CONCENTRACION DE PARTÍCULAS   El sistema de aclaramiento alveolar es capaz de tolerar hasta 500 a 1000 partículas por cm 3  de aíre.
NEUMOCONIOSIS “ NEUMOCONIOSIS ES LA ACUMULACION  DE POLVO EN LOS PULMONES Y LA REACCION TISULAR ANTE SU PRESENCIA” . En el ámbito de esta definición se entiende por Polvo:  un aerosol compuesto de partículas sólidas inanimadas .
 
NEUMOCONIOSIS   Clasificación: Desde el punto de vista histopatológico pueden dividirse en formas  Colagenosas y No Colagenosas . 1  No colagenosas :  originadas por polvo no fibrogénico y se caracterizan por: La arquitectura alveolar permanece indemne. Reacción estromal es mínima y consiste principalmente de fibras de Reticulina. La reacción al polvo es potencialmente reversible. Ejm:  Baritosis
NEUMOCONIOSIS   Clasificación: 2   Colagenosas:   pueden ser originadas por polvo fibrogénico o por una respuesta alterada a polvo no fibrogénico: Alteración o destrucción permanente de una arquitectura alveolar. Reacción tisular colagenosa de grado moderado a máximo. Fibrosis permanente del pulmón. Ejm:  S ilicosis, Asbestosis   Antracosis complicada  o la fibrosis masiva  progresiva.
PRUEBAS FUNCIONALES E SPIROMETRÍA D IFUSION DEL CO G ASES EN SANGRE
Diagnóstico de Neumoconiosis Rx Tórax TAC RMN Biopsia pulmón directa B IOPSIA   TRANSBRONQUIAL L AVADO   BRONCO ALVEOLAR M ICROSCOPIA   LUZ POLARIZADA
SILICOSIS
SILICOSIS “ Neumoconiosis producida por inhalación de polvo de Sílice  libre durante periodos largos de exposición; enfermedad crónica,evolutiva, incapacitante,irreversible e incurable”.
SILICOSIS   Fuentes de exposición: Minas Fundición Fabrica de cerámica Fabrica de vidrios  Construcción Otras
SILICOSIS  Patogenia: Teoría Inmunitaria: la mas aceptada pero no esclarece totalmente el proceso: Las  partículas  de  SILICE  serían fagocitadas por los: MACROFAGOS ALVEOLARES estimulan a otros macrófagos y son atrapados en la  RED DE TEJIDO DE RETICULINA   Células fibrogénicas COLEGENIZACION  y  HIALINIZACION  Tejido pulmonar
La producción aumentada de células plasmáticas y el elevado contenido de proteinas sericas en silicóticos,así como el hecho que las lesiones contengan gran cantidad de a y b globulinas y lipoproteinas sustentarían la idea de una patogenia autoinmunitaria. Estas proteínas desnaturalizadas actuarían a modo de antígeno y potenciarían la producción de Anticuerpos. La recurrencia de estos cambios histopatológicos – partícula de sílice repetidamente fagocitada por los macrófagos y otras células – explicarían el hecho de que la silicosis sea una enfermedad pulmonar irreversible y progresiva. Silicosis Patogenia
La fibrosis pulmonar silicótica evoluciona lenta y progresivamente: Fase preclínica Fase clínica : Dolor de espalda Tos seca Expectoración - Hemoptisis Disnea Disminución expansión torácica Afebril Examen clínico: exploración pulmonar a  veces negativa Espiración prolongada Roncus sibilantes CUADRO CLINICO
Rayos X: nódulo silicótico Pruebas de función respiratoria – patrón restrictivo Diagnostico diferencial : Asma Estasis cardiaca crónica Tuberculosis Actinomicosis Histoplasmosis Otras Neumoconiosis. CUADRO CLINICO
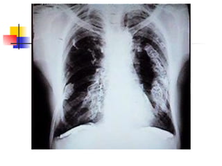
Cuadro radiológico característico: - profusa infiltración - consolidación miliar A largo plazo: - pequeñas opacidades redondeadas en  lóbulo superior - linfadenopatías hiliares (15-20 años exposición) - calcificación con aspecto “cáscara de huevo”
 
ASBESTOSIS
Amianto proviene de  amiantus  (latín) y este de una raíz griega  que significa inextingible, indestructible. Uso : Data de 2500 A.C. Para dar consistencia a la cerámica: también para elaborar telas que envolvían los cadáveres evitando que sus cenizas se mezclaran con las materias utilizadas para alimentar el fuego. Asbestos: Término general aplicado a ciertas formas de varios tipos de silicatos minerales que se caracterizan porque su patrón natural de cristalización se efectúa en fibras largas y delgadas de fácil separación que poseen gran resistencia a la tensión y al calor. Fibra: Tipo de partículas cuyo aspecto en relación a su longitud y anchura guarda una relación de 3 a 1. Se considera fibras aquellas de longitud mayor de 5 micras y anchura menor de 3 micras. ASBESTOSIS
POTENCIAL PATOGENICO: LONGITUD > 4 -10u y Menor de 100 Micras DIAMETRO < de 1.5 – 2u. PROPORCION: LONGITUD, ANCHURA MAYOR DE 5 a 1, a 10 a 1 Micra. CLASIFICACION: SERPENTINAS  – CRISOLITO – -----------ASBESTO BLANCO   (Silicato de magnesio hidratado) ANFIBOLOS  – CROCIDOLITA –----------- ASBESTO AZUL  ASBESTOSIS
productos amianto – cemento aislante térmico para calderas, tubos. Frenos, embragues. incorporado a metales para aumentar la resistencia a temperaturas en la industria del algodón (industria contra incendio, cortinas). fabricación de baquelita. industria de caucho amianto (juntas-hilos). fabricación de papel, cartón, planchas. aislamiento y protección (usándolo como pulverización). filtros de todo tipo. mampara de los buques, tabiques y vigas de los edificios. Usos de asbesto
La fibra de asbesto es grande en comparación con las partículas de sílice y en consecuencia se deposita en los bronquiolos y no llega a los espacios alveolares. En general las lesiones anatómicas resultantes afectan al tejido peribronquial y a los linfáticos del pulmón, principalmente a los lóbulos inferiores.  En el parénquima pulmonar pueden observarse pequeños nódulos de engrosamiento difuso, fibroso, reticulado. Hay pleuritis fibrosa intensa en las regiones afectadas, con engrosamiento notable, de la pleura, de manera que el pulmón queda envuelto en una capsula fibrosa rígida. Fisiopatología
 
Asbestosis Enfermedad intersticial difusa fibrosante del pulmón. se relaciona con la exposición al amianto 10 años entre exposición y sintomatología Signo precoz:  reduce capacidad de difusión
Semejante a la silicosis, comienzo insidioso con tos productiva, disnea, insuficiencia respiratoria, estertores crepitantes. La TBC no es complicación notable como en la silicosis  En fecha reciente se ha comprobado que predispone de manera importante al desarrollo de Mesoteliomas pleurales y peritoneales. Cuadro clínico
Diagnostico radiologico EXPOSICION PASADA Placas pleurales  Engrosamiento o calcificación a lo largo de la pleura parietal Principalmente en campos pulmonares inferiores, diafragma y borde cardiaco Dx. Radiológico de asbestosis Opacidades irregulares o lineales en campos pulmonares inferiores y se va extendiendo a los medios y superiores a medida que avanza la enfermedad A veces el pulmón presenta aspecto de “vidrio esmerilado”
Otras pruebas : “ Cuerpos de asbesto” en esputo (estructuras de color amarillo en forma de palillo de tambor). Sólo indica exposición. Pruebas de función respiratoria : Patrón obstructivo. Diagnostico
OIT  Clasificación  Internacional de Radiografías de Neumoconiosis t/ t 3/3 PROFUSION FORMA-TAMAÑO
Cáncer mas común 1. epidermoide  2. adenocarcinoma 3. mesoteliomas  a. pleurales    b. peritoneales Riesgo 30-35 años de exposición inicial 50% metástasis y puede producir la muerte por exposición local. Puede presentar derrame y enmascara el tumor.
ASBESTO
ANTRACOSIS
ANTRACOSIS Asociada al polvo del carbón Frecuente en mineros y fumadores Alteraciones radiológicas Estadio inicial – pequeñas opacidades irregulares (patrón reticular) Exposición prolongada – opacidades regulares, redondeadas y pequeñas (patrón nodular) * Solo el 10% presenta calcificaciones.
Se caracteriza por las manchas de carbon (de 1 a 2 mm) y nódulos de carbón Afecta  mas a los lóbulos ssuperiores y zonas altas de lóblos inferores Produce dilatación de alveolos adyacentes Suele ser benigna En algunos casos puede predisponer a una fibrosis masiva progresiva o una TBC NTC no complicada
Presencia de cicatrices negruzcas  >  2cm lesiones múltiples compuestas de colágeno denso y pigmento centro de la lesión necrosado por la isquemia local en campos pulmonares superiores Provoca una reducción capacidad de difusión pulmonar, desarrollo de FMP, con insuficiencia pulmonar e hipertensión pulmonar NTC complicada
Sindrome de Caplan Trastorno poco frecuente que puede afectar a los mineros del carbón que padecen artritis reumatoide, se desarrollan rápidamente grandes nódulos redondos en el pulmón. Tales nódulos pueden formarse en los individuos que han sufrido una exposición significativa al polvo de carbón, incluso sin tener pulmón negro
BERILIOSIS
El berilio es un elemento metálico que se encuentra en las rocas, el carbón, el suelo y el polvo volcánico. Se utiliza en ciertas industrias. Existen dos tipos de beriliosis: aguda y crónica.  
Causas Por inhalación u otra exposición (como por medio de una herida abierta de la piel) al polvo o gases de berilio. La beriliosis aguda - exposición breve.  Rara. La beriliosis crónica - a largo plazo.
Signos y Síntomas Aguda aparecen súbita y rápidamente.  Los principales síntomas se deben a una inflamación pulmonar grave. Estos síntomas incluyen:  Tos, posiblemente espectoracion con sangre  Dolor en el pecho  Disnea  Pérdida de peso
Beriliosis Crónica se desarrollan lentamente.  pueden no aparecer hasta muchos años después de la exposición al berilio.  Produce dos cambios patológicos principales:  Cicatrización del tejido pulmonar  Formación de granulomas (masas inflamatorias) en los pulmones (principalmente) y otros órganos
Diagnóstico Historia Clínica Los exámenes pueden incluir:  Radiografía torácica  Pruebas de la función pulmonar (PFT) - para evaluar su capacidad de respiración.  BeLPT, (por sus siglas en inglés) (examen de proliferación de linfocitos de berilio) - un examen sanguíneo que determina la sensibilidad alérgica al berilio.  Biopsia pulmonar
TRATAMIENTOS NEUMOCONIOSIS No existe un tratamiento efectivo una vez instaurada la enfermedad. Una excepción es la beriliosis, que puede mejorar con tratamiento con glucocorticoides
 

Neumoconiosis

  • 1.
    NEUMOCONIOSIS INT DANIELAMATUS L INT EDUARDO GONZÁLEZ N MEDICINA 2008
  • 2.
    NEUMOCONIOSIS Etimológicamente eltérmino neumoconiosis deriva del griego neuma-pulmón- aire y conis-polvo. “ LA NEUMOCONIOSIS ES UNA ENFERMEDAD DIAGNOSTICABLE DE LOS PULMONES, PRODUCIDA POR LA INHALACION DE POLVO, ENTENDIENDOSE POR POLVO AQUELLOS MATERIALES EN FORMA DE PARTICULAS EN ESTADO SOLIDÓ, CON EXCEPCION DE LOS ORGANISMOS VIVOS ”.
  • 3.
    NEUMOCONIOSIS GRADO DEPELIGROSIDAD o carácter patógeno DEL POLVO Esta condicionado por los siguientes factores: Composición química y mineralógica de las partículas. Concentración Tamaño de las partículas Tiempo de exposición Susceptibilidad individual Antecedentes patológicos Factores constitucionales
  • 4.
    Mayor de 8micras De 5 a 8 micras OROFARINGE GRAN VÍA AÉREA De 0,5 a 5 micras ALVEOLOS Y BRONQUIOLOS TAMAÑO DE LAS PARTÍCULAS
  • 5.
    CONCENTRACION DE PARTÍCULAS El sistema de aclaramiento alveolar es capaz de tolerar hasta 500 a 1000 partículas por cm 3 de aíre.
  • 6.
    NEUMOCONIOSIS “ NEUMOCONIOSISES LA ACUMULACION DE POLVO EN LOS PULMONES Y LA REACCION TISULAR ANTE SU PRESENCIA” . En el ámbito de esta definición se entiende por Polvo: un aerosol compuesto de partículas sólidas inanimadas .
  • 7.
  • 8.
    NEUMOCONIOSIS Clasificación: Desde el punto de vista histopatológico pueden dividirse en formas Colagenosas y No Colagenosas . 1 No colagenosas : originadas por polvo no fibrogénico y se caracterizan por: La arquitectura alveolar permanece indemne. Reacción estromal es mínima y consiste principalmente de fibras de Reticulina. La reacción al polvo es potencialmente reversible. Ejm: Baritosis
  • 9.
    NEUMOCONIOSIS Clasificación: 2 Colagenosas: pueden ser originadas por polvo fibrogénico o por una respuesta alterada a polvo no fibrogénico: Alteración o destrucción permanente de una arquitectura alveolar. Reacción tisular colagenosa de grado moderado a máximo. Fibrosis permanente del pulmón. Ejm: S ilicosis, Asbestosis Antracosis complicada o la fibrosis masiva progresiva.
  • 10.
    PRUEBAS FUNCIONALES ESPIROMETRÍA D IFUSION DEL CO G ASES EN SANGRE
  • 11.
    Diagnóstico de NeumoconiosisRx Tórax TAC RMN Biopsia pulmón directa B IOPSIA TRANSBRONQUIAL L AVADO BRONCO ALVEOLAR M ICROSCOPIA LUZ POLARIZADA
  • 12.
  • 13.
    SILICOSIS “ Neumoconiosisproducida por inhalación de polvo de Sílice libre durante periodos largos de exposición; enfermedad crónica,evolutiva, incapacitante,irreversible e incurable”.
  • 14.
    SILICOSIS Fuentes de exposición: Minas Fundición Fabrica de cerámica Fabrica de vidrios Construcción Otras
  • 15.
    SILICOSIS Patogenia:Teoría Inmunitaria: la mas aceptada pero no esclarece totalmente el proceso: Las partículas de SILICE serían fagocitadas por los: MACROFAGOS ALVEOLARES estimulan a otros macrófagos y son atrapados en la RED DE TEJIDO DE RETICULINA Células fibrogénicas COLEGENIZACION y HIALINIZACION Tejido pulmonar
  • 16.
    La producción aumentadade células plasmáticas y el elevado contenido de proteinas sericas en silicóticos,así como el hecho que las lesiones contengan gran cantidad de a y b globulinas y lipoproteinas sustentarían la idea de una patogenia autoinmunitaria. Estas proteínas desnaturalizadas actuarían a modo de antígeno y potenciarían la producción de Anticuerpos. La recurrencia de estos cambios histopatológicos – partícula de sílice repetidamente fagocitada por los macrófagos y otras células – explicarían el hecho de que la silicosis sea una enfermedad pulmonar irreversible y progresiva. Silicosis Patogenia
  • 17.
    La fibrosis pulmonarsilicótica evoluciona lenta y progresivamente: Fase preclínica Fase clínica : Dolor de espalda Tos seca Expectoración - Hemoptisis Disnea Disminución expansión torácica Afebril Examen clínico: exploración pulmonar a veces negativa Espiración prolongada Roncus sibilantes CUADRO CLINICO
  • 18.
    Rayos X: nódulosilicótico Pruebas de función respiratoria – patrón restrictivo Diagnostico diferencial : Asma Estasis cardiaca crónica Tuberculosis Actinomicosis Histoplasmosis Otras Neumoconiosis. CUADRO CLINICO
  • 19.
    Cuadro radiológico característico:- profusa infiltración - consolidación miliar A largo plazo: - pequeñas opacidades redondeadas en lóbulo superior - linfadenopatías hiliares (15-20 años exposición) - calcificación con aspecto “cáscara de huevo”
  • 20.
  • 21.
  • 22.
    Amianto proviene de amiantus (latín) y este de una raíz griega que significa inextingible, indestructible. Uso : Data de 2500 A.C. Para dar consistencia a la cerámica: también para elaborar telas que envolvían los cadáveres evitando que sus cenizas se mezclaran con las materias utilizadas para alimentar el fuego. Asbestos: Término general aplicado a ciertas formas de varios tipos de silicatos minerales que se caracterizan porque su patrón natural de cristalización se efectúa en fibras largas y delgadas de fácil separación que poseen gran resistencia a la tensión y al calor. Fibra: Tipo de partículas cuyo aspecto en relación a su longitud y anchura guarda una relación de 3 a 1. Se considera fibras aquellas de longitud mayor de 5 micras y anchura menor de 3 micras. ASBESTOSIS
  • 23.
    POTENCIAL PATOGENICO: LONGITUD> 4 -10u y Menor de 100 Micras DIAMETRO < de 1.5 – 2u. PROPORCION: LONGITUD, ANCHURA MAYOR DE 5 a 1, a 10 a 1 Micra. CLASIFICACION: SERPENTINAS – CRISOLITO – -----------ASBESTO BLANCO (Silicato de magnesio hidratado) ANFIBOLOS – CROCIDOLITA –----------- ASBESTO AZUL ASBESTOSIS
  • 24.
    productos amianto –cemento aislante térmico para calderas, tubos. Frenos, embragues. incorporado a metales para aumentar la resistencia a temperaturas en la industria del algodón (industria contra incendio, cortinas). fabricación de baquelita. industria de caucho amianto (juntas-hilos). fabricación de papel, cartón, planchas. aislamiento y protección (usándolo como pulverización). filtros de todo tipo. mampara de los buques, tabiques y vigas de los edificios. Usos de asbesto
  • 25.
    La fibra deasbesto es grande en comparación con las partículas de sílice y en consecuencia se deposita en los bronquiolos y no llega a los espacios alveolares. En general las lesiones anatómicas resultantes afectan al tejido peribronquial y a los linfáticos del pulmón, principalmente a los lóbulos inferiores. En el parénquima pulmonar pueden observarse pequeños nódulos de engrosamiento difuso, fibroso, reticulado. Hay pleuritis fibrosa intensa en las regiones afectadas, con engrosamiento notable, de la pleura, de manera que el pulmón queda envuelto en una capsula fibrosa rígida. Fisiopatología
  • 26.
  • 27.
    Asbestosis Enfermedad intersticialdifusa fibrosante del pulmón. se relaciona con la exposición al amianto 10 años entre exposición y sintomatología Signo precoz: reduce capacidad de difusión
  • 28.
    Semejante a lasilicosis, comienzo insidioso con tos productiva, disnea, insuficiencia respiratoria, estertores crepitantes. La TBC no es complicación notable como en la silicosis En fecha reciente se ha comprobado que predispone de manera importante al desarrollo de Mesoteliomas pleurales y peritoneales. Cuadro clínico
  • 29.
    Diagnostico radiologico EXPOSICIONPASADA Placas pleurales Engrosamiento o calcificación a lo largo de la pleura parietal Principalmente en campos pulmonares inferiores, diafragma y borde cardiaco Dx. Radiológico de asbestosis Opacidades irregulares o lineales en campos pulmonares inferiores y se va extendiendo a los medios y superiores a medida que avanza la enfermedad A veces el pulmón presenta aspecto de “vidrio esmerilado”
  • 30.
    Otras pruebas :“ Cuerpos de asbesto” en esputo (estructuras de color amarillo en forma de palillo de tambor). Sólo indica exposición. Pruebas de función respiratoria : Patrón obstructivo. Diagnostico
  • 31.
    OIT Clasificación Internacional de Radiografías de Neumoconiosis t/ t 3/3 PROFUSION FORMA-TAMAÑO
  • 32.
    Cáncer mas común1. epidermoide 2. adenocarcinoma 3. mesoteliomas a. pleurales b. peritoneales Riesgo 30-35 años de exposición inicial 50% metástasis y puede producir la muerte por exposición local. Puede presentar derrame y enmascara el tumor.
  • 33.
  • 34.
  • 35.
    ANTRACOSIS Asociada alpolvo del carbón Frecuente en mineros y fumadores Alteraciones radiológicas Estadio inicial – pequeñas opacidades irregulares (patrón reticular) Exposición prolongada – opacidades regulares, redondeadas y pequeñas (patrón nodular) * Solo el 10% presenta calcificaciones.
  • 36.
    Se caracteriza porlas manchas de carbon (de 1 a 2 mm) y nódulos de carbón Afecta mas a los lóbulos ssuperiores y zonas altas de lóblos inferores Produce dilatación de alveolos adyacentes Suele ser benigna En algunos casos puede predisponer a una fibrosis masiva progresiva o una TBC NTC no complicada
  • 37.
    Presencia de cicatricesnegruzcas > 2cm lesiones múltiples compuestas de colágeno denso y pigmento centro de la lesión necrosado por la isquemia local en campos pulmonares superiores Provoca una reducción capacidad de difusión pulmonar, desarrollo de FMP, con insuficiencia pulmonar e hipertensión pulmonar NTC complicada
  • 38.
    Sindrome de CaplanTrastorno poco frecuente que puede afectar a los mineros del carbón que padecen artritis reumatoide, se desarrollan rápidamente grandes nódulos redondos en el pulmón. Tales nódulos pueden formarse en los individuos que han sufrido una exposición significativa al polvo de carbón, incluso sin tener pulmón negro
  • 39.
  • 40.
    El berilio esun elemento metálico que se encuentra en las rocas, el carbón, el suelo y el polvo volcánico. Se utiliza en ciertas industrias. Existen dos tipos de beriliosis: aguda y crónica.  
  • 41.
    Causas Por inhalaciónu otra exposición (como por medio de una herida abierta de la piel) al polvo o gases de berilio. La beriliosis aguda - exposición breve. Rara. La beriliosis crónica - a largo plazo.
  • 42.
    Signos y SíntomasAguda aparecen súbita y rápidamente. Los principales síntomas se deben a una inflamación pulmonar grave. Estos síntomas incluyen: Tos, posiblemente espectoracion con sangre Dolor en el pecho Disnea Pérdida de peso
  • 43.
    Beriliosis Crónica sedesarrollan lentamente. pueden no aparecer hasta muchos años después de la exposición al berilio. Produce dos cambios patológicos principales: Cicatrización del tejido pulmonar Formación de granulomas (masas inflamatorias) en los pulmones (principalmente) y otros órganos
  • 44.
    Diagnóstico Historia ClínicaLos exámenes pueden incluir: Radiografía torácica Pruebas de la función pulmonar (PFT) - para evaluar su capacidad de respiración. BeLPT, (por sus siglas en inglés) (examen de proliferación de linfocitos de berilio) - un examen sanguíneo que determina la sensibilidad alérgica al berilio. Biopsia pulmonar
  • 45.
    TRATAMIENTOS NEUMOCONIOSIS Noexiste un tratamiento efectivo una vez instaurada la enfermedad. Una excepción es la beriliosis, que puede mejorar con tratamiento con glucocorticoides
  • 46.