NEUMONIA Enfermedad inflamatoria del parénquima pulmonar de etiología infecciosa caracterizada por la presencia de fiebre, sintomatología respiratoria variable y aparición de infiltrados en la Rx de tórax.
NEUMONIA EXTRAHOSPITALARIA INCIDENCIA: 7 - 15 casos en 1000 adultos. INTRAHOSPITALARIA: Pte. Ingresado en hospital mínimo 72hs. o hasta 7 días del alta.
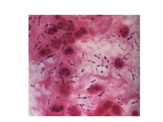
ETIOLOGIA Streptococcus pneumoniae H. Influenzae Legionella Chlamydia pneumoniae Virus influenza A  NIÑOS : Virus, Mycoplasma ADOLESCENTES Y ADULTOS : S. Pneumoniae ANCIANOS : Neumococo, H. Influenzae, Legionella ASILOS : Klebsiella pneumoniae y Gram (-).
FISIOPATOLOGIA
CLINICA FIEBRE, DISNEA, TOS, ESPUTO, DOLOR TORACICO. TIPICA, ATIPICA , MIXTAS
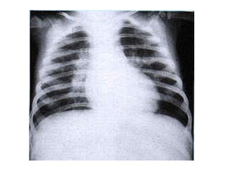
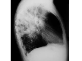
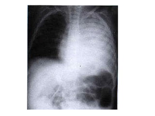
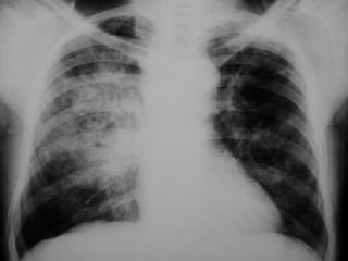
RX TORAX NEUMONIA DEL ESPACIO AEREO:  infiltrados alveolares con broncograma aéreo. INFILTRADO INTERSTICIAL:  patrón reticulonodulillar.
 
 
 
 
 
 
NEUMONIA EN ANCIANOS 3 - 5 veces más frecuente que en los adultos. Mortalidad > 30%. Agentes : Neumococo, h. Influenzae, l. Pneumophila, B. Catarrhalis. ASILOS : S. Aureus, Gram (-), VSR CLINICA, LBT, PRONOSTICO.
DIAGNOSTICO CLINICA LBT RX ESPUTO : más de 25 leucocitos y /o < 10 células epiteliales por campo. Cultivo de esputo. Hemocultivo Met. Indirectos: (IFD) Técnicas invasivas:  toma muestras en NEH graves o con mala evolución.
 
DIAGNOSTICOS DIFERENCIALES EOSINOFILIA PULMONARES VASCULITIS INFARTO PULMONAR EAP CA ATELECTASIA PULMONAR DISTRESS RESP. DEL ADULTO
CAUSAS DE HOSPITALIZACION Edad > 65 años DH y / o desnutrición grave Enf. Subyacentes (EPOC, DBT) Enf. Hemolítica maligna Inmunodepresión Insuf. Resp. aguda Shock Empiema Gram - Ausencia de mejoría en 48hs. De tto. Incumplimiento del tto.

Neumonia

  • 1.
    NEUMONIA Enfermedad inflamatoriadel parénquima pulmonar de etiología infecciosa caracterizada por la presencia de fiebre, sintomatología respiratoria variable y aparición de infiltrados en la Rx de tórax.
  • 2.
    NEUMONIA EXTRAHOSPITALARIA INCIDENCIA:7 - 15 casos en 1000 adultos. INTRAHOSPITALARIA: Pte. Ingresado en hospital mínimo 72hs. o hasta 7 días del alta.
  • 3.
    ETIOLOGIA Streptococcus pneumoniaeH. Influenzae Legionella Chlamydia pneumoniae Virus influenza A NIÑOS : Virus, Mycoplasma ADOLESCENTES Y ADULTOS : S. Pneumoniae ANCIANOS : Neumococo, H. Influenzae, Legionella ASILOS : Klebsiella pneumoniae y Gram (-).
  • 4.
  • 5.
    CLINICA FIEBRE, DISNEA,TOS, ESPUTO, DOLOR TORACICO. TIPICA, ATIPICA , MIXTAS
  • 6.
    RX TORAX NEUMONIADEL ESPACIO AEREO: infiltrados alveolares con broncograma aéreo. INFILTRADO INTERSTICIAL: patrón reticulonodulillar.
  • 7.
  • 8.
  • 9.
  • 10.
  • 11.
  • 12.
  • 13.
    NEUMONIA EN ANCIANOS3 - 5 veces más frecuente que en los adultos. Mortalidad > 30%. Agentes : Neumococo, h. Influenzae, l. Pneumophila, B. Catarrhalis. ASILOS : S. Aureus, Gram (-), VSR CLINICA, LBT, PRONOSTICO.
  • 14.
    DIAGNOSTICO CLINICA LBTRX ESPUTO : más de 25 leucocitos y /o < 10 células epiteliales por campo. Cultivo de esputo. Hemocultivo Met. Indirectos: (IFD) Técnicas invasivas: toma muestras en NEH graves o con mala evolución.
  • 15.
  • 16.
    DIAGNOSTICOS DIFERENCIALES EOSINOFILIAPULMONARES VASCULITIS INFARTO PULMONAR EAP CA ATELECTASIA PULMONAR DISTRESS RESP. DEL ADULTO
  • 17.
    CAUSAS DE HOSPITALIZACIONEdad > 65 años DH y / o desnutrición grave Enf. Subyacentes (EPOC, DBT) Enf. Hemolítica maligna Inmunodepresión Insuf. Resp. aguda Shock Empiema Gram - Ausencia de mejoría en 48hs. De tto. Incumplimiento del tto.