NEUMONIA	
  ATÍPICA	
  
Angelo	
  Espina	
  
Raúl	
  Jara	
  L.	
  
Sexto	
  año	
  medicina	
  
UNIVERSIDAD	
  MAYOR	
  
FACULTAD	
  DE	
  MEDICINA	
  
ESCUELA	
  DE	
  MEDICINA	
  
INTERNADO	
  ATENCIÓN	
  PRIMARIA	
  EN	
  SALUD	
  
ÍNDICE	
  
TEMATICO	
  
•  Definición	
  
•  Epidemiología	
  
•  E>ología	
  
•  Clínica	
  
•  Diagnós>co	
  diferencial	
  
•  Exámenes	
  complementarios	
  
•  Tratamiento	
  	
  
DEFINICIÓN	
  
NEUMONIA	
  
MINISTERIO	
  DE	
  SALUD.	
  GUÍA	
  CLÍNICA	
  NEUMONIA	
  ADQUIRIDA	
  EN	
  LA	
  COMUNIDAD	
  EN	
  ADULTOS	
  DE	
  65	
  AÑOS	
  Y	
  MÁS	
  DE	
  MANEJO	
  
AMBULATORIO.	
  San>ago,	
  MINSAL	
  2011.	
  
DEFINICIÓN	
  
NEUMONIA	
  
PROCESO	
  INFLAMATORIO	
  PULMONAR	
  DE	
  ORIGEN	
  
INFECCIOSO	
  
MINISTERIO	
  DE	
  SALUD.	
  GUÍA	
  CLÍNICA	
  NEUMONIA	
  ADQUIRIDA	
  EN	
  LA	
  COMUNIDAD	
  EN	
  ADULTOS	
  DE	
  65	
  AÑOS	
  Y	
  MÁS	
  DE	
  MANEJO	
  
AMBULATORIO.	
  San>ago,	
  MINSAL	
  2011.	
  
DEFINICIÓN	
  
NEUMONIA	
  
PROCESO	
  INFLAMATORIO	
  PULMONAR	
  DE	
  ORIGEN	
  
INFECCIOSO	
  
MINISTERIO	
  DE	
  SALUD.	
  GUÍA	
  CLÍNICA	
  NEUMONIA	
  ADQUIRIDA	
  EN	
  LA	
  COMUNIDAD	
  EN	
  ADULTOS	
  DE	
  65	
  AÑOS	
  Y	
  MÁS	
  DE	
  MANEJO	
  
AMBULATORIO.	
  San>ago,	
  MINSAL	
  2011.	
  
ADQUIRIDA	
  EN	
  LA	
  COMUNIDAD	
  
INTRA	
  HOSPITALARIA	
  
DEFINICIÓN	
  
NEUMONIA	
  
PROCESO	
  INFLAMATORIO	
  PULMONAR	
  DE	
  ORIGEN	
  
INFECCIOSO	
  
MINISTERIO	
  DE	
  SALUD.	
  GUÍA	
  CLÍNICA	
  NEUMONIA	
  ADQUIRIDA	
  EN	
  LA	
  COMUNIDAD	
  EN	
  ADULTOS	
  DE	
  65	
  AÑOS	
  Y	
  MÁS	
  DE	
  MANEJO	
  
AMBULATORIO.	
  San>ago,	
  MINSAL	
  2011.	
  
ADQUIRIDA	
  EN	
  LA	
  COMUNIDAD	
  
INTRA	
  HOSPITALARIA	
  
TÍPICA	
  
ATÍPICA	
  
DEFINICIÓN	
  
NEUMONIA	
  
PROCESO	
  INFLAMATORIO	
  PULMONAR	
  DE	
  ORIGEN	
  
INFECCIOSO	
  
MINISTERIO	
  DE	
  SALUD.	
  GUÍA	
  CLÍNICA	
  NEUMONIA	
  ADQUIRIDA	
  EN	
  LA	
  COMUNIDAD	
  EN	
  ADULTOS	
  DE	
  65	
  AÑOS	
  Y	
  MÁS	
  DE	
  MANEJO	
  
AMBULATORIO.	
  San>ago,	
  MINSAL	
  2011.	
  
ADQUIRIDA	
  EN	
  LA	
  COMUNIDAD	
  
INTRA	
  HOSPITALARIA	
  
TÍPICA	
  
ATÍPICA	
  
CURSO	
  CLÍNICO	
  
AGENTES	
  
DEFINICIÓN	
  
Neumonías	
   que	
   no	
   siguen	
   un	
   curso	
   clínico	
   o	
  
radiológico	
   habitual,	
   para	
   diferenciarlas	
   de	
   las	
  
que	
  son	
  producidas	
  por	
  los	
  agentes	
  bacterianos	
  
clásicos.	
  Dentro	
  de	
  las	
  e>ologías	
  más	
  frecuentes	
  
se	
  incluyen:	
  
•  Mycoplasma	
  pneumoniae	
  
•  Chlamydia	
  pneumoniae	
  
•  Chlamydia	
  psi[aci	
  
•  Legionella	
  pneumophila	
  
Sánchez,	
  Ignacio;	
  Holmgren,	
  Nils	
  Linus.	
  Neumopa_as	
  a_picas,	
  Manual	
  de	
  Pediatria,	
  PUC.	
  Disponible	
  en	
  h[p://escuela.med.puc.cl/paginas/publicaciones/
manualped/neumopata>p.html	
  	
  
EPIDEMIOLOGÍA	
  
ETIOLOGÍA	
  
Mycoplasma	
  	
  
pneumoniae	
  
Chlamydia	
  
pneumoniae	
  
Chlamydia	
  
psiFaci	
  
Legionella	
  
pneumophila	
  
•  Causa	
  más	
  frecuente	
  de	
  neumopa_as	
  a_picas	
  en	
  
niños	
  y	
  adultos.	
  
	
  
•  Organismo	
  pleomórfico	
  sin	
  pared	
  celular	
  (Género	
  
Mycoplasma)	
  
	
  
•  Se	
  une	
  al	
  epitelio	
  respiratorio	
  introduciéndose	
  entre	
  
los	
   cilios	
   de	
   éste,	
   produciendo	
   daño	
   directo	
  
aparentemente	
  por	
  la	
  producción	
  de	
  radicales	
  libres:	
  
induce	
  ciliostasis,	
  lo	
  que	
  explica	
  la	
  tos	
  persistente	
  que	
  
produce	
  la	
  infección	
  por	
  este	
  germen.	
  
•  Mayor	
  incidencia	
  ocurre	
  en	
  el	
  grupo	
  etario	
  de	
  5	
  a	
  9	
  
años,	
  seguido	
  por	
  el	
  grupo	
  de	
  10	
  a	
  14	
  años.	
  
	
  
Sánchez,	
  Ignacio;	
  Holmgren,	
  Nils	
  Linus.	
  Neumopa_as	
  a_picas,	
  Manual	
  de	
  Pediatria,	
  PUC.	
  Disponible	
  en	
  h[p://escuela.med.puc.cl/paginas/publicaciones/
manualped/neumopata>p.html	
  	
  
ETIOLOGÍA	
  
Mycoplasma	
  	
  
pneumoniae	
  
Chlamydia	
  
pneumoniae	
  
Chlamydia	
  
psiFaci	
  
Legionella	
  
pneumophila	
  
CLINICA	
  
	
  
Sintomatología	
   respiratoria:	
   neumonía	
   la	
   manifestación	
  
principal.	
  	
  
	
  
Inicio	
  gradual	
  (días):	
  CEG,	
  fiebre	
  (37.8	
  -­‐	
  39.5	
  C)	
  y	
  cefalea.	
  	
  
	
  
Tos	
   aparece	
   3	
   a	
   5	
   días	
   más	
   tarde,	
   siendo	
   inicialmente	
   no	
  
produc>va,	
   en	
   paroxismos	
   y	
   más	
   tarde	
   produc>va,	
   con	
  
secreción	
  mucosa,	
  a	
  veces	
  con	
  estrías	
  de	
  sangre.	
  
	
  
	
  Coriza	
  infrecuente.	
  	
  
	
  
Calofríos,	
  odinofagia,	
  dolor	
  torácico,	
  nauseas,	
  vómitos	
  y	
  diarrea	
  
son	
  frecuentes	
  de	
  observar.	
  
	
  
Sánchez,	
  Ignacio;	
  Holmgren,	
  Nils	
  Linus.	
  Neumopa_as	
  a_picas,	
  Manual	
  de	
  Pediatria,	
  PUC.	
  Disponible	
  en	
  h[p://escuela.med.puc.cl/paginas/publicaciones/
manualped/neumopata>p.html	
  	
  
ETIOLOGÍA	
  
Mycoplasma	
  	
  
pneumoniae	
  
Chlamydia	
  
pneumoniae	
  
Chlamydia	
  
psiFaci	
  
Legionella	
  
pneumophila	
  
CLINICA:	
  EXAMEN	
  FÍSICO	
  
	
  
Ex	
   pulm:	
   hiperinsuflación,	
   sibilancias	
   y	
   crepitaciones	
   gruesas.	
  
Escasa	
  signología	
  pulmonar	
  es	
  discordante	
  con	
  el	
  compromiso	
  
respiratorio	
  del	
  paciente	
  (sospechar	
  Mycoplasma).	
  
	
  
Derrame	
  pleural	
  marginal	
  hasta	
  en	
  el	
  20	
  %	
  de	
  los	
  casos	
  	
  
	
  
Manifestaciones	
  extrapulmonares:	
  
•  OMA	
  o	
  miringi>s	
  bulosa.	
  
•  Exantema	
  máculopapular	
  y	
  vesicular	
  (eritema	
  mul>forme).	
  
•  Neurológicas:	
  meningoencefali>s.	
  	
  
•  Cardiológicas:	
  miocardi>s	
  
•  	
  Gastrointes>nales:	
  disfunción	
  hepá>ca.	
  
	
  
Sánchez,	
  Ignacio;	
  Holmgren,	
  Nils	
  Linus.	
  Neumopa_as	
  a_picas,	
  Manual	
  de	
  Pediatria,	
  PUC.	
  Disponible	
  en	
  h[p://escuela.med.puc.cl/paginas/publicaciones/
manualped/neumopata>p.html	
  	
  
ETIOLOGÍA	
  
Mycoplasma	
  	
  
pneumoniae	
  
Chlamydia	
  
pneumoniae	
  
Chlamydia	
  
psiFaci	
  
Legionella	
  
pneumophila	
  
Bacteria	
  portadora	
  de	
  pared	
  celular	
  carente	
  de	
  pep>doglicano,	
  
que	
  pertenece	
  al	
  grupo	
  de	
  "parásitos"	
  intracelulares	
  exclusivos.	
  	
  
	
  
Patógeno	
  humano	
  exclusivo	
  (sin	
  reservorios	
  zoonó>cos).	
  
	
  
Transmisión:	
  aerosoles	
  y	
  fomites.	
  	
  
	
  
Sin	
  variación	
  estacional	
  en	
  la	
  incidencia	
  de	
  esta	
  infección.	
  
	
  
Infecciones	
  levemente	
  sintomá>cas	
  o	
  asintomá>cas	
  
	
  
Neumonías	
  primarias	
  suelen	
  presentarse	
  en	
  niños	
  (usualmente	
  
mayores	
   de	
   7	
   años)	
   y	
   adultos	
   jóvenes.	
   La	
   neumonía	
   por	
  
reinfección	
  >ende	
  a	
  ocurrir	
  en	
  ancianos.	
  	
  
	
  
Sánchez,	
  Ignacio;	
  Holmgren,	
  Nils	
  Linus.	
  Neumopa_as	
  a_picas,	
  Manual	
  de	
  Pediatria,	
  PUC.	
  Disponible	
  en	
  h[p://escuela.med.puc.cl/paginas/publicaciones/
manualped/neumopata>p.html	
  	
  
ETIOLOGÍA	
  
Mycoplasma	
  	
  
pneumoniae	
  
Chlamydia	
  
pneumoniae	
  
Chlamydia	
  
psiFaci	
  
Legionella	
  
pneumophila	
  
CLINICA	
  
	
  
P.	
  Incubación:	
  un	
  mes.	
  
	
  
Síntomas:	
   inicio	
   gradual,	
   pero	
   puede	
   presentación	
  
aguda,	
  (sugiere	
  coinfección	
  con	
  otro	
  germen).	
  	
  
	
  
Frecuente	
  inicialmente	
  síntomas	
  respiratorios	
  altos	
  
(odinofagia	
  y	
  disfonía),	
  a	
  los	
  que	
  siguen	
  1	
  a	
  4	
  semanas	
  de	
  
fiebre,	
  CEG,	
  tos	
  con	
  expectoración	
  mucosa	
  y	
  cefalea.	
  	
  
	
  
Neumonías	
  son	
  leves.	
  
	
  
Sánchez,	
  Ignacio;	
  Holmgren,	
  Nils	
  Linus.	
  Neumopa_as	
  a_picas,	
  Manual	
  de	
  Pediatria,	
  PUC.	
  Disponible	
  en	
  h[p://escuela.med.puc.cl/paginas/publicaciones/
manualped/neumopata>p.html	
  	
  
ETIOLOGÍA	
  
Mycoplasma	
  	
  
pneumoniae	
  
Chlamydia	
  
pneumoniae	
  
Chlamydia	
  
psiFaci	
  
Legionella	
  
pneumophila	
  
Género	
  Chlamydia	
  (igual	
  que	
  C.	
  Pneumoniae):	
  compar>endo	
  
con	
  éste,	
  caracterís>cas	
  morfológicas	
  y	
  bioquímicas.	
  
	
  
Amplio	
  rango	
  de	
  huéspedes:	
  	
  aves,	
  mamíferos.	
  
	
  
CLINICA	
  
	
  
P.	
  Incubación:	
  entre	
  5	
  -­‐	
  21	
  días	
  	
  
	
  
Inicio:	
  agudo	
  	
  
	
  
Fiebre	
  alta	
  asociada	
  frecuentemente	
  a	
  calofríos,	
  tos	
  no	
  
produc>va	
  y	
  cefalea	
  (intensa,	
  dg	
  dif:	
  meningi>s)	
  
	
  
Ex.	
  Pulmonar:	
  crepitaciones	
  difusas	
  y	
  escasa	
  signología	
  
obstruc>va.	
  
Sánchez,	
  Ignacio;	
  Holmgren,	
  Nils	
  Linus.	
  Neumopa_as	
  a_picas,	
  Manual	
  de	
  Pediatria,	
  PUC.	
  Disponible	
  en	
  h[p://escuela.med.puc.cl/paginas/publicaciones/
manualped/neumopata>p.html	
  	
  
ETIOLOGÍA	
  
Mycoplasma	
  	
  
pneumoniae	
  
Chlamydia	
  
pneumoniae	
  
Chlamydia	
  
psiFaci	
  
Legionella	
  
pneumophila	
  
BGN	
  aerobio	
  no	
  form	
  de	
  esporas	
  (diqcil	
  cul>vo-­‐	
  medios	
  esp).	
  	
  
	
  
Lagos,	
  lagunas,	
  tanques	
  de	
  agua	
  caliente,	
  y	
  aire	
  acondicionado.	
  
	
  
Ingreso	
  pulmonar:	
  aspiración,	
  precedida	
  o	
  no	
  por	
  colonización	
  
de	
  orofaringe,	
  inhalación	
  directa	
  o	
  por	
  vía	
  hematógena	
  a	
  par>r	
  
de	
  otros	
  focos	
  de	
  infección.	
  
	
  
CLINICA	
  
	
  
Neumonía:	
   fiebre	
   alta,	
   tos,	
   dolor	
   pleurí>co,	
   disnea,	
   dolor	
  
abdominal,	
  diarrea	
  y	
  cefalea	
  desde	
  el	
  inicio.	
  	
  
	
  
Indis>nguible	
   de	
   una	
   neumonía	
   bacteriana	
   habitual	
   grave.	
  
insuficiencia	
   respiratoria	
   puede	
   presentarse	
   en	
   forma	
  
frecuente.	
  
Sánchez,	
  Ignacio;	
  Holmgren,	
  Nils	
  Linus.	
  Neumopa_as	
  a_picas,	
  Manual	
  de	
  Pediatria,	
  PUC.	
  Disponible	
  en	
  h[p://escuela.med.puc.cl/paginas/publicaciones/
manualped/neumopata>p.html	
  	
  
Diagnos>co	
  Diferencial	
  
E>ología	
  Viral	
  (influenza,	
  
parainfluenza,	
  VRS,	
  
adenovirus)	
  
Neumonía	
  x	
  m.	
  
Tuberculosis.	
  
Exámenes	
  Complementarios	
  
Métodos	
  de	
  detección	
  Laboratorio	
  
PCR,	
  Serología,	
  Cul>vo.	
  
PCR	
  gold	
  Standard	
  en	
  detección.	
  
Serologia	
  x	
  test	
  rapido	
  (IgM)	
  
Legionella	
  x	
  cul>vo	
  
Radiograqa	
  no	
  presentan	
  patrón	
  especifico	
  en	
  ninguna	
  de	
  las	
  e>ologías.	
  
RX	
  y	
  lab	
  mycoplasma	
  
Relleno	
  alveolar	
  del	
  >po	
  neumonía,	
  unilateral	
  (87%),	
  localizada	
  con	
  mayor	
  frecuencia	
  en	
  las	
  bases	
  
pulmonares.	
  
Atelectasias	
  lineales	
  de	
  grado	
  variable,	
  que	
  pueden	
  comprometer	
  a	
  todo	
  un	
  lóbulo	
  pulmonar.	
  
Infiltrado	
  nodular	
  (infrecuente).	
  
Adenopa_as	
  hiliares	
  (infrecuente)	
  
Hemograma:	
  recuento	
  leucocitario	
  N	
  o	
  estar	
  moderadamente	
  elevado.	
  
VHS	
  moderadamente	
  elevada.	
  
Coombs,	
  ANA	
  y	
  VDRL	
  	
  (+)	
  
RX	
  y	
  Lab	
  Chlamydia	
  Pneumoniae	
  
Patron	
  radiologico	
  
inespecífico,	
  en	
  
ocasiones	
  infiltrado	
  
inters>cial	
  con	
  
predominio	
  hacia	
  
las	
  bases.	
  
Recuento	
  
leucocitario	
  N	
  o	
  
levemente	
  
aumentado	
  	
  
VHS	
  aumentada	
   FA	
  aumentadas	
  
Rx	
  y	
  Lab	
  Chlamydia	
  Psi[aci	
  
Rx	
  infiltrados	
  
no	
  específicos	
  
y	
  derrames	
  
pleurales	
  
marginales.	
  
Hemograma	
  
N	
  o	
  
Levemente	
  
alterado	
  
Pruebas	
  
Hepá>cas	
  
alteradas	
  
Bilirrubina	
  
alterada,	
  FA	
  
elevada	
  y	
  
AST/GOT	
  
alterada.	
  
Rx	
  y	
  Lab	
  Legionella	
  
Rx	
  con	
  consolidaciones,	
  derrame	
  
pleural	
  y	
  ocasionalmente	
  
cavitaciones.	
  
Hemograma	
  con	
  leucocitosis	
  y	
  
desviación	
  izquierda.	
  
Tratamiento	
  Empírico	
  
Macrólidos	
  
Azitromicina	
  
500mg	
  1er	
  dia	
  
250mg	
  4	
  dias	
  x	
  5	
  
dias	
  en	
  Total	
  VO	
  
Azitromicina	
  
500mg	
  x	
  3	
  dias	
  VO	
  
Claritromicina	
  
500mg	
  c/12h	
  x	
  5	
  
dias	
  
Específico	
  
Chlamydia	
  
Doxiciclina	
  100mg	
  
c/12h	
  x	
  10-­‐14dias	
  
Pierre-­‐	
  Auguste	
  Renoir	
  
Baile	
  en	
  el	
  Moulin	
  de	
  la	
  Gale[e	
  (1876)	
  
Museo	
  de	
  Orsay,	
  París	
  	
  
GRACIAS	
  

Neumonia atipica

  • 1.
    NEUMONIA  ATÍPICA   Angelo  Espina   Raúl  Jara  L.   Sexto  año  medicina   UNIVERSIDAD  MAYOR   FACULTAD  DE  MEDICINA   ESCUELA  DE  MEDICINA   INTERNADO  ATENCIÓN  PRIMARIA  EN  SALUD  
  • 2.
    ÍNDICE   TEMATICO   • Definición   •  Epidemiología   •  E>ología   •  Clínica   •  Diagnós>co  diferencial   •  Exámenes  complementarios   •  Tratamiento    
  • 3.
    DEFINICIÓN   NEUMONIA   MINISTERIO  DE  SALUD.  GUÍA  CLÍNICA  NEUMONIA  ADQUIRIDA  EN  LA  COMUNIDAD  EN  ADULTOS  DE  65  AÑOS  Y  MÁS  DE  MANEJO   AMBULATORIO.  San>ago,  MINSAL  2011.  
  • 4.
    DEFINICIÓN   NEUMONIA   PROCESO  INFLAMATORIO  PULMONAR  DE  ORIGEN   INFECCIOSO   MINISTERIO  DE  SALUD.  GUÍA  CLÍNICA  NEUMONIA  ADQUIRIDA  EN  LA  COMUNIDAD  EN  ADULTOS  DE  65  AÑOS  Y  MÁS  DE  MANEJO   AMBULATORIO.  San>ago,  MINSAL  2011.  
  • 5.
    DEFINICIÓN   NEUMONIA   PROCESO  INFLAMATORIO  PULMONAR  DE  ORIGEN   INFECCIOSO   MINISTERIO  DE  SALUD.  GUÍA  CLÍNICA  NEUMONIA  ADQUIRIDA  EN  LA  COMUNIDAD  EN  ADULTOS  DE  65  AÑOS  Y  MÁS  DE  MANEJO   AMBULATORIO.  San>ago,  MINSAL  2011.   ADQUIRIDA  EN  LA  COMUNIDAD   INTRA  HOSPITALARIA  
  • 6.
    DEFINICIÓN   NEUMONIA   PROCESO  INFLAMATORIO  PULMONAR  DE  ORIGEN   INFECCIOSO   MINISTERIO  DE  SALUD.  GUÍA  CLÍNICA  NEUMONIA  ADQUIRIDA  EN  LA  COMUNIDAD  EN  ADULTOS  DE  65  AÑOS  Y  MÁS  DE  MANEJO   AMBULATORIO.  San>ago,  MINSAL  2011.   ADQUIRIDA  EN  LA  COMUNIDAD   INTRA  HOSPITALARIA   TÍPICA   ATÍPICA  
  • 7.
    DEFINICIÓN   NEUMONIA   PROCESO  INFLAMATORIO  PULMONAR  DE  ORIGEN   INFECCIOSO   MINISTERIO  DE  SALUD.  GUÍA  CLÍNICA  NEUMONIA  ADQUIRIDA  EN  LA  COMUNIDAD  EN  ADULTOS  DE  65  AÑOS  Y  MÁS  DE  MANEJO   AMBULATORIO.  San>ago,  MINSAL  2011.   ADQUIRIDA  EN  LA  COMUNIDAD   INTRA  HOSPITALARIA   TÍPICA   ATÍPICA   CURSO  CLÍNICO   AGENTES  
  • 8.
    DEFINICIÓN   Neumonías  que   no   siguen   un   curso   clínico   o   radiológico   habitual,   para   diferenciarlas   de   las   que  son  producidas  por  los  agentes  bacterianos   clásicos.  Dentro  de  las  e>ologías  más  frecuentes   se  incluyen:   •  Mycoplasma  pneumoniae   •  Chlamydia  pneumoniae   •  Chlamydia  psi[aci   •  Legionella  pneumophila   Sánchez,  Ignacio;  Holmgren,  Nils  Linus.  Neumopa_as  a_picas,  Manual  de  Pediatria,  PUC.  Disponible  en  h[p://escuela.med.puc.cl/paginas/publicaciones/ manualped/neumopata>p.html    
  • 9.
  • 10.
    ETIOLOGÍA   Mycoplasma     pneumoniae   Chlamydia   pneumoniae   Chlamydia   psiFaci   Legionella   pneumophila   •  Causa  más  frecuente  de  neumopa_as  a_picas  en   niños  y  adultos.     •  Organismo  pleomórfico  sin  pared  celular  (Género   Mycoplasma)     •  Se  une  al  epitelio  respiratorio  introduciéndose  entre   los   cilios   de   éste,   produciendo   daño   directo   aparentemente  por  la  producción  de  radicales  libres:   induce  ciliostasis,  lo  que  explica  la  tos  persistente  que   produce  la  infección  por  este  germen.   •  Mayor  incidencia  ocurre  en  el  grupo  etario  de  5  a  9   años,  seguido  por  el  grupo  de  10  a  14  años.     Sánchez,  Ignacio;  Holmgren,  Nils  Linus.  Neumopa_as  a_picas,  Manual  de  Pediatria,  PUC.  Disponible  en  h[p://escuela.med.puc.cl/paginas/publicaciones/ manualped/neumopata>p.html    
  • 11.
    ETIOLOGÍA   Mycoplasma     pneumoniae   Chlamydia   pneumoniae   Chlamydia   psiFaci   Legionella   pneumophila   CLINICA     Sintomatología   respiratoria:   neumonía   la   manifestación   principal.       Inicio  gradual  (días):  CEG,  fiebre  (37.8  -­‐  39.5  C)  y  cefalea.       Tos   aparece   3   a   5   días   más   tarde,   siendo   inicialmente   no   produc>va,   en   paroxismos   y   más   tarde   produc>va,   con   secreción  mucosa,  a  veces  con  estrías  de  sangre.      Coriza  infrecuente.       Calofríos,  odinofagia,  dolor  torácico,  nauseas,  vómitos  y  diarrea   son  frecuentes  de  observar.     Sánchez,  Ignacio;  Holmgren,  Nils  Linus.  Neumopa_as  a_picas,  Manual  de  Pediatria,  PUC.  Disponible  en  h[p://escuela.med.puc.cl/paginas/publicaciones/ manualped/neumopata>p.html    
  • 12.
    ETIOLOGÍA   Mycoplasma     pneumoniae   Chlamydia   pneumoniae   Chlamydia   psiFaci   Legionella   pneumophila   CLINICA:  EXAMEN  FÍSICO     Ex   pulm:   hiperinsuflación,   sibilancias   y   crepitaciones   gruesas.   Escasa  signología  pulmonar  es  discordante  con  el  compromiso   respiratorio  del  paciente  (sospechar  Mycoplasma).     Derrame  pleural  marginal  hasta  en  el  20  %  de  los  casos       Manifestaciones  extrapulmonares:   •  OMA  o  miringi>s  bulosa.   •  Exantema  máculopapular  y  vesicular  (eritema  mul>forme).   •  Neurológicas:  meningoencefali>s.     •  Cardiológicas:  miocardi>s   •   Gastrointes>nales:  disfunción  hepá>ca.     Sánchez,  Ignacio;  Holmgren,  Nils  Linus.  Neumopa_as  a_picas,  Manual  de  Pediatria,  PUC.  Disponible  en  h[p://escuela.med.puc.cl/paginas/publicaciones/ manualped/neumopata>p.html    
  • 13.
    ETIOLOGÍA   Mycoplasma     pneumoniae   Chlamydia   pneumoniae   Chlamydia   psiFaci   Legionella   pneumophila   Bacteria  portadora  de  pared  celular  carente  de  pep>doglicano,   que  pertenece  al  grupo  de  "parásitos"  intracelulares  exclusivos.       Patógeno  humano  exclusivo  (sin  reservorios  zoonó>cos).     Transmisión:  aerosoles  y  fomites.       Sin  variación  estacional  en  la  incidencia  de  esta  infección.     Infecciones  levemente  sintomá>cas  o  asintomá>cas     Neumonías  primarias  suelen  presentarse  en  niños  (usualmente   mayores   de   7   años)   y   adultos   jóvenes.   La   neumonía   por   reinfección  >ende  a  ocurrir  en  ancianos.       Sánchez,  Ignacio;  Holmgren,  Nils  Linus.  Neumopa_as  a_picas,  Manual  de  Pediatria,  PUC.  Disponible  en  h[p://escuela.med.puc.cl/paginas/publicaciones/ manualped/neumopata>p.html    
  • 14.
    ETIOLOGÍA   Mycoplasma     pneumoniae   Chlamydia   pneumoniae   Chlamydia   psiFaci   Legionella   pneumophila   CLINICA     P.  Incubación:  un  mes.     Síntomas:   inicio   gradual,   pero   puede   presentación   aguda,  (sugiere  coinfección  con  otro  germen).       Frecuente  inicialmente  síntomas  respiratorios  altos   (odinofagia  y  disfonía),  a  los  que  siguen  1  a  4  semanas  de   fiebre,  CEG,  tos  con  expectoración  mucosa  y  cefalea.       Neumonías  son  leves.     Sánchez,  Ignacio;  Holmgren,  Nils  Linus.  Neumopa_as  a_picas,  Manual  de  Pediatria,  PUC.  Disponible  en  h[p://escuela.med.puc.cl/paginas/publicaciones/ manualped/neumopata>p.html    
  • 15.
    ETIOLOGÍA   Mycoplasma     pneumoniae   Chlamydia   pneumoniae   Chlamydia   psiFaci   Legionella   pneumophila   Género  Chlamydia  (igual  que  C.  Pneumoniae):  compar>endo   con  éste,  caracterís>cas  morfológicas  y  bioquímicas.     Amplio  rango  de  huéspedes:    aves,  mamíferos.     CLINICA     P.  Incubación:  entre  5  -­‐  21  días       Inicio:  agudo       Fiebre  alta  asociada  frecuentemente  a  calofríos,  tos  no   produc>va  y  cefalea  (intensa,  dg  dif:  meningi>s)     Ex.  Pulmonar:  crepitaciones  difusas  y  escasa  signología   obstruc>va.   Sánchez,  Ignacio;  Holmgren,  Nils  Linus.  Neumopa_as  a_picas,  Manual  de  Pediatria,  PUC.  Disponible  en  h[p://escuela.med.puc.cl/paginas/publicaciones/ manualped/neumopata>p.html    
  • 16.
    ETIOLOGÍA   Mycoplasma     pneumoniae   Chlamydia   pneumoniae   Chlamydia   psiFaci   Legionella   pneumophila   BGN  aerobio  no  form  de  esporas  (diqcil  cul>vo-­‐  medios  esp).       Lagos,  lagunas,  tanques  de  agua  caliente,  y  aire  acondicionado.     Ingreso  pulmonar:  aspiración,  precedida  o  no  por  colonización   de  orofaringe,  inhalación  directa  o  por  vía  hematógena  a  par>r   de  otros  focos  de  infección.     CLINICA     Neumonía:   fiebre   alta,   tos,   dolor   pleurí>co,   disnea,   dolor   abdominal,  diarrea  y  cefalea  desde  el  inicio.       Indis>nguible   de   una   neumonía   bacteriana   habitual   grave.   insuficiencia   respiratoria   puede   presentarse   en   forma   frecuente.   Sánchez,  Ignacio;  Holmgren,  Nils  Linus.  Neumopa_as  a_picas,  Manual  de  Pediatria,  PUC.  Disponible  en  h[p://escuela.med.puc.cl/paginas/publicaciones/ manualped/neumopata>p.html    
  • 17.
    Diagnos>co  Diferencial   E>ología  Viral  (influenza,   parainfluenza,  VRS,   adenovirus)   Neumonía  x  m.   Tuberculosis.  
  • 18.
    Exámenes  Complementarios   Métodos  de  detección  Laboratorio   PCR,  Serología,  Cul>vo.   PCR  gold  Standard  en  detección.   Serologia  x  test  rapido  (IgM)   Legionella  x  cul>vo   Radiograqa  no  presentan  patrón  especifico  en  ninguna  de  las  e>ologías.  
  • 19.
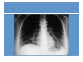
    RX  y  lab  mycoplasma   Relleno  alveolar  del  >po  neumonía,  unilateral  (87%),  localizada  con  mayor  frecuencia  en  las  bases   pulmonares.   Atelectasias  lineales  de  grado  variable,  que  pueden  comprometer  a  todo  un  lóbulo  pulmonar.   Infiltrado  nodular  (infrecuente).   Adenopa_as  hiliares  (infrecuente)   Hemograma:  recuento  leucocitario  N  o  estar  moderadamente  elevado.   VHS  moderadamente  elevada.   Coombs,  ANA  y  VDRL    (+)  
  • 21.
    RX  y  Lab  Chlamydia  Pneumoniae   Patron  radiologico   inespecífico,  en   ocasiones  infiltrado   inters>cial  con   predominio  hacia   las  bases.   Recuento   leucocitario  N  o   levemente   aumentado     VHS  aumentada   FA  aumentadas  
  • 22.
    Rx  y  Lab  Chlamydia  Psi[aci   Rx  infiltrados   no  específicos   y  derrames   pleurales   marginales.   Hemograma   N  o   Levemente   alterado   Pruebas   Hepá>cas   alteradas   Bilirrubina   alterada,  FA   elevada  y   AST/GOT   alterada.  
  • 23.
    Rx  y  Lab  Legionella   Rx  con  consolidaciones,  derrame   pleural  y  ocasionalmente   cavitaciones.   Hemograma  con  leucocitosis  y   desviación  izquierda.  
  • 24.
    Tratamiento  Empírico   Macrólidos   Azitromicina   500mg  1er  dia   250mg  4  dias  x  5   dias  en  Total  VO   Azitromicina   500mg  x  3  dias  VO   Claritromicina   500mg  c/12h  x  5   dias   Específico   Chlamydia   Doxiciclina  100mg   c/12h  x  10-­‐14dias  
  • 25.
    Pierre-­‐  Auguste  Renoir   Baile  en  el  Moulin  de  la  Gale[e  (1876)   Museo  de  Orsay,  París     GRACIAS