David Rodríguez Fraga 110464 Medicina Familiar
Neumonía Definición Es un grupo de infecciones específicas del parénquima pulmonar, causada por diversas especies bacterianas (micoplasmas, clamidias, rickettsias), virus, hongos y parásitos; producidas a individuos en la  comunidad ,  hospitalizados ,  inmunocomprometidos  o en condiciones de comorbilidades. Es aguda, cursa con condensación radiológica y existe un agente infeccioso.
Clasificación Adquiridas en la Comunidad (NAC). En individuos previamente sanos  Con una enfermedad que no afecte significativamente sus defensas. Desarrolladas en el Hospital. Adquiridas en la Comunidad y en Hospital. Individuos inmunocomprometidos. Según el agente etiológico. Según el patrón radiológico.
Epidemiología La sexta causa de muerte. La primera causa de muerte entre las enfermedades infecciosas. Incidencia de 5.6 millones de casos al año de NAC (5 – 11 por 1000 adultos), y 1.2 millones requieren hospitalización (22 – 42%). La mortalidad de NAC ambulatoria es baja (<1-5%), y en hospitalizado es >12%.
Neumonía Adquirida en la Comunidad La neumonía adquirida en la comunidad (NAC) es la infección que, producida por la invasión de microorganismos de adquisición extrahospitalaria, compromete el parénquima pulmonar.
Etiología (%) Estreptococo pneumonie :  7 a 36% Haemofilus Influenzae:  8 a 12% Estafilococo:  1 % Mycoplasma pneumonie:  0.5 y 37% Causa desconocida:  74%
Etiología Niños: Virus: Sincitial respiratorio, gripe, sarampión. Estafilococo dorado Neumococo Hemophilus influenzae Micoplasma Adultos jóvenes (menores de 30 años): Micoplasma Neumococo Gripe
Etiología Adultos mayores: Neumococo Micoplasma Ancianos: Neumococo Gram negativos Estafilococo dorado
Etiología Neumonia hospitalaria Bacilos entéricos aerobios gramnegativos P. aeruginosa S. aureus Neumonía asociada a VIH Pneumocystis carinii M. tuberculosis S. pneumoniae H. influenzae
Mecanismos de Infección Por inhalación directa de partículas infecciosas. Por aspiración de secreciones a partir de la boca y la nasofaringe. Por depósito en los vasos pulmonares a partir de  una diseminación hematógena de un foco de otra localización. Por penetración directa exógena: Cirugía, traumatismo, broncoscopía. Las dos primeras, aspiración e inhalación, son las más frecuentes e importantes en relación con la configuración y tamaño de las partículas.
Síntomas El cuadro completo de la neumonía clásica se da en la neumocócica.  El paciente ha tenido una infección de vías respiratorias altas previa, del tipo del catarro común o infección vírica respiratoria aguda.  Se sigue de escalofrío intenso, súbito, seguido de fiebre alta, tos y dolor en el pecho en progresión de 12 a 24 horas . La fiebre es elevada y continua de 39 a 41º C, con malestar, debilidad, mialgia y postración. Puede haber vómitos, ansiedad y delirio.  La tos, seca y dolorosa al principio; luego se acompaña de expectoración hemoptoica: completa, con estrías o herrumbrosa. Otras veces es sólo mucopurulenta. El dolor torácico es muy frecuente, intenso y aumenta con la respiración profunda o la tos. La afectación de la pleura diafragmática produce dolor en la parte alta del abdomen o en el hombro.
Signos Exploración Física: Piel caliente y sudorosa Herpes labial Pulso rápido y presión diferencial amplia Dificultad respiratoria con taquipnea, disnea y uso de los músculos accesorios Cianosis central leve con hipoxemia Choque Inspección: Disminución de la movilidad torácico en el lado afecto. Palpación: Vibraciones vocales aumentadas.
Exploración física Percusión: Matidez A veces dolor sobre la zona afectada Auscultación: Disminución o abolición del murmullo vesicular Soplo bronquial o tubárico Estertores crepitantes Broncofonía, pectoriloquia áfona Roce pleural Otros hallazgos: Ictericia Distensión abdominal: paresia gástrica o intestinal.
Laboratorio Leucocitosis con neutrofilia: 15.000-16.000 por microlitro Aumento de la VSG y  PCR Examen del esputo teñido por el Gram El esputo debe ser de buena calidad para que sea útil, es decir que no debe presentar contaminación por flora orofaríngea sin reacción inflamatoria.  Hemocultivos, positivos en un 20 a 30 % de las neumocócicas o por Gram negativos Suero para anticuerpos (Virus:  Mycoplasma pneumoniae) Contrainmunoelectroforesis: polisacárido neumocócico Crioaglutininas.
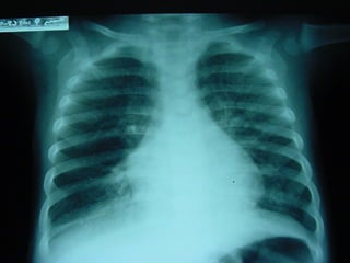
Clínica Radiología: Patrón alveolar. Opacidad Broncograma aéreo Poca o ninguna pérdida de volumen Problemas.  Sólo se condensa aquello que cumple dos condiciones: Suficientes leucocitos: pus Parénquima relativamente normal. No hay condensación clara en enfisema, bronqutis crónica, destrucciones cicatriciales y bronquiectasias. Aparición de derrame: Paraneumónico: iritativo, estéril o empiema, infeccioso Metaneumónico.
Comorbilidad y factores predisponentes EPOC Tabaquismo Alcoholismo    Klebsiella Hepatopatía  Esplenectomía    Neumococo Bronquiectasias    Pseudomona  Insuficiencia cardiaca  Diabetes mellitus Desnutrición  Insuficiencia renal  Cardiopatía isquémica  Accidente vascular cerebral
PATRONES DE LAS NEUMONIAS Patrón de los espacios aereos Clínica: Tos con expectoración, escalofríos, fiebre, y dolor pleurítico. Crepitantes, disminución del murmullo vesicular. Bacterias Frecuentes: Streptococcus pneumoniae Klebsiella pneumoniae Radiología: Afectación lobar. Consolidación homogénea, no segmentaria, adyacente a la pleura visceral. Bronquios llenos de aire (Broncograma aéreo).
Patrón Bronconeumónico Clínica: Tos con expectoración, escalofríos, y fiebre.  No hay estertores. Bacterias Frecuentes: Staphylococcus aureus Hemophilus influenzae y bacterias gramnegativas Radiología: Distribución segmentaria, en parches, múltiples focos y sin broncograma aéreo.
Patrón Intersticial Clínica: Pocos síntomas y signos. Tos no productiva y fiebre. Bacterias Frecuentes: Virus, Pneumocystis carinii, Chlamydia, Mycoplasma y Legionella Radiología: Aspecto de vidrio esmerilado o patrón reticular fino Al progresar la enfermedad presenta una distribución en parcheada o difusa de lóbulos inferiores.
Tratamiento Ambulatorio. Neumococo:  Amoxicilina  oral 1g cada 8 horas En caso de alergia a betalactámicos:  Claritromicina  oral 500 mg cada 12 horas o  azitromicina  oral 500 mg al día Si se sospecha la existencia de  M. pneumoniae, Ch. pneumoniae o L. pneumophila :  Levofloxacino  oral 400 mg al día.
Tratamiento Hospitalario.  El neumococo sigue siendo el más frecuente, pero puede ser resistente a betalactámicos, puede haber Gram negativos entéricos o  L. pneumophila . En estos casos el tratamiento empírico inicial debe ser: Cefalosporina de 3ª G : cefotaxina I.V: 1g cada 6 horas o ceftriaxona I.V.   2g cada 24 horas. Amoxicilina-Clavulánico  I.V. 2000/200 cada 8 horas
Complicaciones Pulmonares: Derrame Pleural Empiema Neumotórax  Neumatocele Absceso pulmonar Extrapulmonares: Meningitis Pericarditis Sepsis Insuficiencia renal
Neumonía Intrahospitalaria Es la infección del parénquima pulmonar al menos a las 72 horas de la hospitalización. Se diferencia de la neumonía de la comunidad por los gérmenes causales y la patogenia.  Tiene una incidencia de 4 a 7 casos por mil altas hospitalarias. En intubados orotraqueales la incidencia es del 25%, 1 de cada 4 pacientes.
Patogenia Microaspiración orofaríngea o gástrica , lo más frecuente. Cambio en la flora orofaríngea y gástrica. Papel del ácido gástrico que disminuye por alcalinización. Sondas nasogástricas. Competencia entre la flora anaerobia y los Gram negativos. Uso de antibióticos.  Ventilación artificial colonizada por P. aeruginosa. Importancia del estado nutricional. Inoculación directa por equipos de tratamiento o diagnóstico.  Hematógena , foco séptico alejado.  Traslocación bacteriana .  Los gérmenes del tubo digestivo atraviesan la mucosa intestinal.
Etiología Microorganismo Porcentaje Bacilos Gram negativos: Enterobacterias K. Pneumoniae P. Aeruginosa L. pneumophila 65% Cocos Gram positivos: S. Aureus S. Fecalis S. pneumoniae 25%
Clínica En algunos casos es similar a la neumonía de la comunidad con fiebre, tos, expectoración herrumbrosa y dolor en punta de costado. Otras veces faltan los datos clínicos clásicos y es el cambio en la expectoración la pista del proceso.  En pacientes con ventilación mecánica, falta la clínica y tampoco la expectoración purulenta es definitiva para el diagnóstico.  En pacientes diabéticos hay que tener en cuenta E. coli. En neutropénicos, ventilación mecánica y traqueostomizados, son importantes Pseudomonas y Acinetobacter.  En los traumatismos cráneoencefálicos, sospechar estafilococo dorado.
Evolución y pronóstico La mortalidad es del 25 al 50%, incluso más en los pacientes con ventilación mecánica. Complicaciones: Insuficiencia respiratoria Insuficiencia renal Coagulación intravascular diseminada Choque. Factores de mayor mortalidad:  Enfermedad de base Edad Tratamiento antibiótico inadecuado al inicio Tipo de germen, más grave en bacilos Gram negativos, S. fecalis y hongos Duración de la ventilación mecánica.
Tratamiento Grupo 1: Pacientes sin factores de riesgo para patógenos específicos con neumonía no grave o con neumonía precoz. Microorganismos Antibióticos Bacilos Gram negativos entéricos: Enterobacter spp. E. Coli Klebsiella spp. S. Marcescens H. Influenzae S. Aureua (meticilin sensible) Monoterapia con: Cefalosporina de 2ª G O Cefalosporina de 3ª G no antipseudomonas O Betalactámico cl  inhibidor de beta lactamasas.
Tratamiento Grupo 2. Pacientes con neumonía no grave y factores de riesgo para patógenos específicos. Microorganismos Antibióticos Anaerobios: cirugía de la cavidad abdominal reciente. Aspiración masiva Betalactámico con inhibidor de beta lactamasas O Ab. centrales más clindamicina S. aureus: coma, diabetes, insuficiencia renal crónica. Ab. Centrales  MÁS Vancomicina o teicoplanina Legionella spp.: dosis altas de corticoides. Inmunodepresión. Ab. Centrales  MÁS  eritromicina
Tratamiento Grupo 3: Pacientes con neumonía grave (tardía) y sin factores de riesgo o con neumonía grave (precoz o tardía) y con factores de riesgo. Microorganismos Antibióticos P. aeruginosa Acinetobacter spp. Ciprofloxacino o aminoglucósido MÁS Penicilina antipseudomonas O Ceftazidima  o carbapenem S. Aureus meticilin resistente Añadir vancomicina o teicoplanina
 
 
 
 
 
 
 
 
 

NeumoníAs

  • 1.
    David Rodríguez Fraga110464 Medicina Familiar
  • 2.
    Neumonía Definición Esun grupo de infecciones específicas del parénquima pulmonar, causada por diversas especies bacterianas (micoplasmas, clamidias, rickettsias), virus, hongos y parásitos; producidas a individuos en la comunidad , hospitalizados , inmunocomprometidos o en condiciones de comorbilidades. Es aguda, cursa con condensación radiológica y existe un agente infeccioso.
  • 3.
    Clasificación Adquiridas enla Comunidad (NAC). En individuos previamente sanos Con una enfermedad que no afecte significativamente sus defensas. Desarrolladas en el Hospital. Adquiridas en la Comunidad y en Hospital. Individuos inmunocomprometidos. Según el agente etiológico. Según el patrón radiológico.
  • 4.
    Epidemiología La sextacausa de muerte. La primera causa de muerte entre las enfermedades infecciosas. Incidencia de 5.6 millones de casos al año de NAC (5 – 11 por 1000 adultos), y 1.2 millones requieren hospitalización (22 – 42%). La mortalidad de NAC ambulatoria es baja (<1-5%), y en hospitalizado es >12%.
  • 5.
    Neumonía Adquirida enla Comunidad La neumonía adquirida en la comunidad (NAC) es la infección que, producida por la invasión de microorganismos de adquisición extrahospitalaria, compromete el parénquima pulmonar.
  • 6.
    Etiología (%) Estreptococopneumonie : 7 a 36% Haemofilus Influenzae: 8 a 12% Estafilococo: 1 % Mycoplasma pneumonie: 0.5 y 37% Causa desconocida: 74%
  • 7.
    Etiología Niños: Virus:Sincitial respiratorio, gripe, sarampión. Estafilococo dorado Neumococo Hemophilus influenzae Micoplasma Adultos jóvenes (menores de 30 años): Micoplasma Neumococo Gripe
  • 8.
    Etiología Adultos mayores:Neumococo Micoplasma Ancianos: Neumococo Gram negativos Estafilococo dorado
  • 9.
    Etiología Neumonia hospitalariaBacilos entéricos aerobios gramnegativos P. aeruginosa S. aureus Neumonía asociada a VIH Pneumocystis carinii M. tuberculosis S. pneumoniae H. influenzae
  • 10.
    Mecanismos de InfecciónPor inhalación directa de partículas infecciosas. Por aspiración de secreciones a partir de la boca y la nasofaringe. Por depósito en los vasos pulmonares a partir de una diseminación hematógena de un foco de otra localización. Por penetración directa exógena: Cirugía, traumatismo, broncoscopía. Las dos primeras, aspiración e inhalación, son las más frecuentes e importantes en relación con la configuración y tamaño de las partículas.
  • 11.
    Síntomas El cuadrocompleto de la neumonía clásica se da en la neumocócica. El paciente ha tenido una infección de vías respiratorias altas previa, del tipo del catarro común o infección vírica respiratoria aguda. Se sigue de escalofrío intenso, súbito, seguido de fiebre alta, tos y dolor en el pecho en progresión de 12 a 24 horas . La fiebre es elevada y continua de 39 a 41º C, con malestar, debilidad, mialgia y postración. Puede haber vómitos, ansiedad y delirio. La tos, seca y dolorosa al principio; luego se acompaña de expectoración hemoptoica: completa, con estrías o herrumbrosa. Otras veces es sólo mucopurulenta. El dolor torácico es muy frecuente, intenso y aumenta con la respiración profunda o la tos. La afectación de la pleura diafragmática produce dolor en la parte alta del abdomen o en el hombro.
  • 12.
    Signos Exploración Física:Piel caliente y sudorosa Herpes labial Pulso rápido y presión diferencial amplia Dificultad respiratoria con taquipnea, disnea y uso de los músculos accesorios Cianosis central leve con hipoxemia Choque Inspección: Disminución de la movilidad torácico en el lado afecto. Palpación: Vibraciones vocales aumentadas.
  • 13.
    Exploración física Percusión:Matidez A veces dolor sobre la zona afectada Auscultación: Disminución o abolición del murmullo vesicular Soplo bronquial o tubárico Estertores crepitantes Broncofonía, pectoriloquia áfona Roce pleural Otros hallazgos: Ictericia Distensión abdominal: paresia gástrica o intestinal.
  • 14.
    Laboratorio Leucocitosis conneutrofilia: 15.000-16.000 por microlitro Aumento de la VSG y PCR Examen del esputo teñido por el Gram El esputo debe ser de buena calidad para que sea útil, es decir que no debe presentar contaminación por flora orofaríngea sin reacción inflamatoria. Hemocultivos, positivos en un 20 a 30 % de las neumocócicas o por Gram negativos Suero para anticuerpos (Virus: Mycoplasma pneumoniae) Contrainmunoelectroforesis: polisacárido neumocócico Crioaglutininas.
  • 15.
    Clínica Radiología: Patrónalveolar. Opacidad Broncograma aéreo Poca o ninguna pérdida de volumen Problemas. Sólo se condensa aquello que cumple dos condiciones: Suficientes leucocitos: pus Parénquima relativamente normal. No hay condensación clara en enfisema, bronqutis crónica, destrucciones cicatriciales y bronquiectasias. Aparición de derrame: Paraneumónico: iritativo, estéril o empiema, infeccioso Metaneumónico.
  • 16.
    Comorbilidad y factorespredisponentes EPOC Tabaquismo Alcoholismo  Klebsiella Hepatopatía Esplenectomía  Neumococo Bronquiectasias  Pseudomona Insuficiencia cardiaca Diabetes mellitus Desnutrición Insuficiencia renal Cardiopatía isquémica Accidente vascular cerebral
  • 17.
    PATRONES DE LASNEUMONIAS Patrón de los espacios aereos Clínica: Tos con expectoración, escalofríos, fiebre, y dolor pleurítico. Crepitantes, disminución del murmullo vesicular. Bacterias Frecuentes: Streptococcus pneumoniae Klebsiella pneumoniae Radiología: Afectación lobar. Consolidación homogénea, no segmentaria, adyacente a la pleura visceral. Bronquios llenos de aire (Broncograma aéreo).
  • 18.
    Patrón Bronconeumónico Clínica:Tos con expectoración, escalofríos, y fiebre. No hay estertores. Bacterias Frecuentes: Staphylococcus aureus Hemophilus influenzae y bacterias gramnegativas Radiología: Distribución segmentaria, en parches, múltiples focos y sin broncograma aéreo.
  • 19.
    Patrón Intersticial Clínica:Pocos síntomas y signos. Tos no productiva y fiebre. Bacterias Frecuentes: Virus, Pneumocystis carinii, Chlamydia, Mycoplasma y Legionella Radiología: Aspecto de vidrio esmerilado o patrón reticular fino Al progresar la enfermedad presenta una distribución en parcheada o difusa de lóbulos inferiores.
  • 20.
    Tratamiento Ambulatorio. Neumococo: Amoxicilina oral 1g cada 8 horas En caso de alergia a betalactámicos: Claritromicina oral 500 mg cada 12 horas o azitromicina oral 500 mg al día Si se sospecha la existencia de M. pneumoniae, Ch. pneumoniae o L. pneumophila : Levofloxacino oral 400 mg al día.
  • 21.
    Tratamiento Hospitalario. El neumococo sigue siendo el más frecuente, pero puede ser resistente a betalactámicos, puede haber Gram negativos entéricos o L. pneumophila . En estos casos el tratamiento empírico inicial debe ser: Cefalosporina de 3ª G : cefotaxina I.V: 1g cada 6 horas o ceftriaxona I.V. 2g cada 24 horas. Amoxicilina-Clavulánico I.V. 2000/200 cada 8 horas
  • 22.
    Complicaciones Pulmonares: DerramePleural Empiema Neumotórax Neumatocele Absceso pulmonar Extrapulmonares: Meningitis Pericarditis Sepsis Insuficiencia renal
  • 23.
    Neumonía Intrahospitalaria Esla infección del parénquima pulmonar al menos a las 72 horas de la hospitalización. Se diferencia de la neumonía de la comunidad por los gérmenes causales y la patogenia. Tiene una incidencia de 4 a 7 casos por mil altas hospitalarias. En intubados orotraqueales la incidencia es del 25%, 1 de cada 4 pacientes.
  • 24.
    Patogenia Microaspiración orofaríngeao gástrica , lo más frecuente. Cambio en la flora orofaríngea y gástrica. Papel del ácido gástrico que disminuye por alcalinización. Sondas nasogástricas. Competencia entre la flora anaerobia y los Gram negativos. Uso de antibióticos. Ventilación artificial colonizada por P. aeruginosa. Importancia del estado nutricional. Inoculación directa por equipos de tratamiento o diagnóstico. Hematógena , foco séptico alejado. Traslocación bacteriana . Los gérmenes del tubo digestivo atraviesan la mucosa intestinal.
  • 25.
    Etiología Microorganismo PorcentajeBacilos Gram negativos: Enterobacterias K. Pneumoniae P. Aeruginosa L. pneumophila 65% Cocos Gram positivos: S. Aureus S. Fecalis S. pneumoniae 25%
  • 26.
    Clínica En algunoscasos es similar a la neumonía de la comunidad con fiebre, tos, expectoración herrumbrosa y dolor en punta de costado. Otras veces faltan los datos clínicos clásicos y es el cambio en la expectoración la pista del proceso. En pacientes con ventilación mecánica, falta la clínica y tampoco la expectoración purulenta es definitiva para el diagnóstico. En pacientes diabéticos hay que tener en cuenta E. coli. En neutropénicos, ventilación mecánica y traqueostomizados, son importantes Pseudomonas y Acinetobacter. En los traumatismos cráneoencefálicos, sospechar estafilococo dorado.
  • 27.
    Evolución y pronósticoLa mortalidad es del 25 al 50%, incluso más en los pacientes con ventilación mecánica. Complicaciones: Insuficiencia respiratoria Insuficiencia renal Coagulación intravascular diseminada Choque. Factores de mayor mortalidad: Enfermedad de base Edad Tratamiento antibiótico inadecuado al inicio Tipo de germen, más grave en bacilos Gram negativos, S. fecalis y hongos Duración de la ventilación mecánica.
  • 28.
    Tratamiento Grupo 1:Pacientes sin factores de riesgo para patógenos específicos con neumonía no grave o con neumonía precoz. Microorganismos Antibióticos Bacilos Gram negativos entéricos: Enterobacter spp. E. Coli Klebsiella spp. S. Marcescens H. Influenzae S. Aureua (meticilin sensible) Monoterapia con: Cefalosporina de 2ª G O Cefalosporina de 3ª G no antipseudomonas O Betalactámico cl inhibidor de beta lactamasas.
  • 29.
    Tratamiento Grupo 2.Pacientes con neumonía no grave y factores de riesgo para patógenos específicos. Microorganismos Antibióticos Anaerobios: cirugía de la cavidad abdominal reciente. Aspiración masiva Betalactámico con inhibidor de beta lactamasas O Ab. centrales más clindamicina S. aureus: coma, diabetes, insuficiencia renal crónica. Ab. Centrales MÁS Vancomicina o teicoplanina Legionella spp.: dosis altas de corticoides. Inmunodepresión. Ab. Centrales MÁS eritromicina
  • 30.
    Tratamiento Grupo 3:Pacientes con neumonía grave (tardía) y sin factores de riesgo o con neumonía grave (precoz o tardía) y con factores de riesgo. Microorganismos Antibióticos P. aeruginosa Acinetobacter spp. Ciprofloxacino o aminoglucósido MÁS Penicilina antipseudomonas O Ceftazidima o carbapenem S. Aureus meticilin resistente Añadir vancomicina o teicoplanina
  • 31.
  • 32.
  • 33.
  • 34.
  • 35.
  • 36.
  • 37.
  • 38.
  • 39.