OBSTRUCCIÓN INTESTINAL
Cristina Herráiz Corredor
Lourdes Herrera Pacheco
Nadia Jamal-eddine
Miriam López Parra
Victoria Marcos González
María José Muñoz Algar
 DEFINICIÓN:
Detención completa y persistente del
tránsito de las heces y los gases en un
segmento del intestino.
Es una de las urgencias más frecuentes y
más graves de la patología abdominal.
Son fundamentales el diagnóstico y
tratamiento precoz.
Epidemiología
• Las causas más frecuentes son:
-Bridas y adherencias postoperatorias(60-
70%) Intestino delgado
-Hernias (15-20%)
-Tumores (10-15%) I. grueso
• El nivel más frecuente de asentamiento de
obstrucción intestinal es el INTESTINO
DELGADO.
Causas más frecuentes según
grupo de edad
• Niños
Recién nacido Malformaciones congénitas
Íleo meconial
Lactante Megacolon congénito
Infancia Invaginación intestinal
• Adultos:
Edad media:
Bridas y adherencias postoperatorias (60-70%)
Hernia estrangulada
Ancianos:
Cáncer de colon
Fecaloma
CLASIFICACIÓN
Presentación Localización Intensidad Patogenia
Aguda
Subaguda
Crónica
Intermitente
Normalidad
clínica
Intestino
delgado:
- proximal
(yeyuno)
- distal
(ileón)
Intestino
grueso
Completa
Incompleta
(suboclusión)
Mecánica:
- simple
- estrangulación
- asa cerrada
Funcional:
- paralítica
- pseudo-obs
Clasificación según la patogenia
 Obstrucción mecánica (íleo mecánico)
Oclusión de la luz intestinal por un obstáculo orgánico,
anatómico o estructural que impide la progresión del
contenido intestinal.
 Obstrucción paralítica (íleo paralítico)
Alteración de la función motora digestiva sin que exista
un obstáculo.
Obstrucción mecánica
Obstrucción paralítica
Obstrucción mixta
Causas más frecuentes de cada tipo
Íleo mecánico: Íleo paralítico (adinámico)
Adherencias Postoperatorio
Hernias Pancreatitis/cólico nefrítico
Neoplasias Peritonitis
Abscesos Metabólico (hipoK+)
Vólvulos Sepsis
EII
DATOS CLÍNICOS ÚTILES PARA CONOCER LA
CAUSA DE LA OBSTRUCCIÓN INTESTINAL
Antecedentes personales
 Cirugía abdominal previa
 Hernia inguinal o crural
 Cambios en el hábito
intestinal
 Cólicos biliares
 Encamamiento prolongado
 Cardiopatía previa
Sugiere
Sd. adherencial
Estrangulación herniaria
Cáncer de colon
Íleo biliar
Fecaloma
Isquemia mesentérica
FISIOPATOLOGÍA
1. FASE LESIONAL O INICIAL
2. FASE REACCIONAL O DE ESTADO
3. FASE TERMINAL
1. FASE LESIONAL O INICIAL
• Alteraciones en motilidad intestinal
• Acumulación de gas
• Acumulación de líquidos
• Acumulación de la flora intestinal
DISTENSIÓN
ABDOMINAL
PROLIFERACIÓN
BACTERIANA
• Alteraciones en motilidad intestinal:
– OBSTRUCCIÓN cambio mioeléctricoHiperperistalsis (intest.
“lucha”: dolor abd cólico + oleada peristáltica) Contracciones
desorganizadas e ineficaces Acúmulo de contenido
intestinal DISTENSIÓN ASAS (Potenciado por “relajación
receptiva”: reflejos inhibitorios del sist. Neuroentérico parietal)
• Acumulación de gas:
- Aire deglutido (aporte más importante: 70-80%).
- Fermentación bacteriana (CH4).
- Neutralización del HCO3 de las secreciones biliar y pancreática
(CO2).
- Nitrógeno (mal absorbido por mucosa).
• Acumulación de líquidos (Phidrostática>20 cmH2O)
- Deglución
- Jugos digestivos menor superficie de absorción.
- Hipersecreción reflejaen respuesta a la distensión.
• Acumulación de la flora intestinal
– Estancamiento contenido intestinal
– Sobrecrecimiento bacteriano progresivo (ppalmente.
GRAM- y ANAEROBIOS).
– Pérdida líquidos, absorción
– Mucosa produce: mediadores inflamatorios, citoquinas,
VIP y PGs.
Secuestro de
líquidos (H2O
y electrolitos)
2. FASE REACCIONAL O DE ESTADO
A) Secuestro progresivo de líquidos:
•P intraluminal + pérdida progresiva de líquidos  ASAS
EDEMATIZADAS y líquido entre asas.
•PÉRDIDA DE LÍQUIDOS (mayor si + distal), incluidos
vómitos por rebosamiento y aspiración NG terapéutica
DESHIDRATACIÓN + HIPOVOLEMIA
+ TRASTORNOS
HIDROELECTROLÍTICOS (Cl, Na, K) +
DESEQUILIBRIO ÁCIDO- BASE
(Acidosis, y sobretodo Alcalosis metabólica)
COMPENSADA POR:
- Respuesta
adrenérgica ( RVP).
- Activación del SRAA
( Na+,  K+ y H+).
- Secreción de ADH.
B) Alteraciones de la vascularización de las
asas distendidas
• Hiperpresión intraluminal
• Agresión Bacteriana
• Inflamación (EDEMA asas)
•Fracaso MICROCIRCULACIÓN
•Dificultad irrigación y drenaje venoso
•ISQUEMIA parcial (progresiva)total
•GANGRENA  PERFORACIÓN 
PERITONITIS Y/O SEPSIS GRAVE
SRIS
Acúmulo de radicales libres,
activ. Cel. Inflamatorias
(citoquinas, quimioquinas, NO,
enz. Proteolíticas):LOCAL y
SISTÉMICO
C) Traslocación bacteriana:
• Alteración de la flora (Bacterias patógenas y endotoxinas)
• ROTURA BARRERA intestinal (Paso directo de patógenos a
circulación sistémica e indirecto por sistema linfático o
transperitoneal) SEPSIS GRAVE
CLÍNICA TÍPICA:
Incremento de signos cardinales
Hipovolemia compensada (hipoTA ortostática, frío, sudor,
deshidratación)
Sepsis ( fiebre, taquicardia, leucocitosis)
Abdomen agudo peritonítico (dolor abd intenso +
contractura pared abd + vómitos reflejos)
PROLIFERACIÓN
BACTERIANA
TRANSLOCACIÓN
BACTERIANA
ISQUEMIA TISULAR
(fracaso de función
barrera y del
peristaltismo N)
Liberación de ENDOTOXINAS
al peritoneo
Aumento de
endotoxina circulante
Generación de
radicales libres
Cambios tisulares
tardíos por
isquemia
Bacterias en cavidad
peritoneal (CONTENIDO
FECALOIDEO)
Sepsis
sistémica
Bacterias en vena
porta
Bacterias en
hígado
SRIS FMIO y muerte
3. FASE TERMINAL
•Shock Séptico
•Shock Hipovolémico (secuestro de líquido)
•Síndrome del compartimento abdominal ( LETALIDAD):
•Hiperpresión intraabdominal >15-20 mmHg  Distensión masiva de
asas intestinales
•Dificulta retorno venoso VCI
•Comprime RIÑÓN: I. Renal
•Comprime DIAFRAGMA
•Comprime CORAZÓN
GRAVE COLAPSO
CARDIOVASCULAR (
débito cardiaco),
RESPIRATORIO (hipoxia),
I. Renal(oligoanuria), HTIC
y coma.
DISTENSIÓN INTESTINAL
Pérdida de
agua y
eléctrolitos
Vómito
reflejo
Absorción
secreción
Presión
intraabdominal
Edema y estasis
venosa
K, Cl,
Alcalosis
Metabólica
Deshidratación
Oliguria,
GC, PVC,
Taquicardia,
Hipotensión
Hipoventilación
(atelectasias)
Isquemia
Perforación
Peritonitis 2aria
SHOCK
HIPOVOLÉMICO SHOCK
SÉPTICO
FMIO
Muerte
Hemorragia
(AUTOPERPETUADA)
Traslocación
Bacteriana
OTROS DESÓRDENES BIOQUÍMICOS:
- Hiperglucemia (reacción adrenérgica).
- Hiperamilasemia (necrosis intestinal).
- Leucocitosis (si desviación izquierda
estrangulación y peritonitis).
- Hiperazoemia (por el catabolismo proteico
exagerado debido al ayuno)
- LDH plasmática (gangrena intestinal).
- Hemoconcentración
CLÍNICA
• Dolor abdominal
• Náuseas y vómitos
• Distensión abdominal
• Ausencia de emisión de heces y gases
CLÍNICA (II)
• Dolor abdominal
– 1ª manifestación.
– Localización:
• Periumbilical y más intenso: intestino delgado.
• Hipogastrio y más leve: intestino grueso.
– Íleo mecánico intermitente: dolor tipo cólico de
intensidad variable y progresiva
– Íleo mecánico complicado: dolor intenso desde el
principio, continuo con exacerbaciones
– Íleo adinámico: dolor poco intenso, continuo, sordo,
difuso.
– Cuando hay shock hipovolémico o séptico el dolor
disminuye o desaparece
CLÍNICA (III)
• Náuseas y vómitos
– De origen reflejo ---- por regurgitación desde las asas
– Más tempranos cuanto más alta sea la obstrucción
– Más tempranos si causa mecánica
– Íleo simple: vómito de gran volumen (alimenticio-
bilioso-fecaloideo). Cada 15´
– Íleo complicado: vómitos muy frecuentes de poco
volumen
– Íleo adinámico: vómitos tardíos, intermitentes,
fecaloideos
• El paciente puede aparecer deshidratado, con
sed intensa y oliguria.
CLÍNICA (IV)
• Distensión abdominal
– Íleo mecánico: discreta y localizada
– Íleo adinámico: difusa
• Ausencia de heces y gases
– Si obstrucción completa
• Heces diarreicas
– Obstrucción incompleta y pseudoobstrucción
– Sangre: estrangulación o isquemia en las
asas. Intususcepción.
ÍLEO MECÁNICO
SIMPLE
ÍLEO MECÁNICO
COMPLICADO
ÍLEO ADINÁMICO
DOLOR
ABDOMINAL
Cólico/ intermitente.
Intensidad
progresiva
Continuo con
exacerbaciones.
Intenso desde el
inicio
Continuo, sordo,
difuso.
Poco intenso
VÓMITOS Gran volumen.
Biliogástricos al
inicio, después
fecaloideos
Poco volumen.
Muy tempranos, tipo
reflejo.
Frecuentes.
Tardíos,
intermitentes.
Tipo rebosamiento.
Fecaloideos
DISTENSIÓN
ABDDOMINAL
Localizada Localizada Difusa
AUSENCIA DE
HECES Y GASES
Sí, a veces
emisiones diarreicas
Sí, a veces
emisiones diarreicas
Si
RESUMEN
EXPLORACIÓN CLÍNICA
• EXAMEN GENERAL:
– Si deshidratación:
• Signo del pliegue positivo
• Mucosas secas
• Ojos hundidos
• Taquicardia, oliguria
• Puede haber fiebre
– Si obstrucción simple (dolor tipo cólico)
• Paciente inquieto con movimiento constante
– Si irritación peritoneal:
• Paciente inmóvil
• Posición de defensa
– Si obstrucción crónica:
• Puede haber caquexia y signos de enfermedad
sistémica
• TEMPERATURA
– Suele ser normal
– Si fiebre en paciente con oclusión simple
pensar en:
• Compromiso vascular secundario
• Perforación intestinal
– Si fiebre desde el principio pensar en:
• Obstrucción de causa inflamatoria
• Estrangulación
– Puede haber hipotermia
• PULSO
–Suele ser normal
–Aparece taquicardia si: Deshidratación
importante, shock séptico o
hipovolémico, infección mural,
peritonitis, estrangulación
• EXPLORACIÓN DEL ABDOMEN
– INSPECCIÓN y PALPACIÓN:
• Distensión abdominal
• Cicatrices  ¿sd adherencial?
• Inspección de orificios y/o regiones herniarias
• Detección de movimientos peristálticos
• Diferenciación entre defensa muscular voluntaria y
contractura refleja
• Sg. Blumberg +  irritación peritoneal
• Palpación de masas
– Dolorosas o no
– Cáncer, plastrón inflamatorio, invaginación intestinal
(“morcilla”)
− PERCUSIÓN:
• Matidez en “tablero de damas” (alternancia de zonas
de matidez y de meteorismo)
• Signo de von Wahl:
• Timpanismo en región central  oclusiones de ID
• Timpanismo en flancos  oclusión de IG
• Timpanismo difuso o algo más acentuado en flancos
en íleo paralítico
• Si hay irritación peritoneal la percusión es dolorosa
− AUSCULTACIÓN:
• INICIO: Ruidos intestinales aumentados con
timbre metálico
• Ruidos respiratorios y cardiacos transmitidos
 Derrame peritoneal (Signo de Claybrook)
• EVOLUCIÓN: Silencio abdominal  Íleo
paralítico y estrangulación
• TACTO RECTAL
−¡¡¡OBLIGATORIO!!!
−Se puede palpar:
• Cabeza de una invaginación
• Fecalomas
• Tumores de implantación baja (¿sangre oculta en
heces?  malignidad)
• Masa inflamatoria pelviana dolorosa o colección
líquida en Douglas
• Douglas ocupado por asas distendidas y
dolorosas
• Ampolla rectal vacía y dilatada (Signo de
Hochenegg)
DATOS ANALÍTICOS
• Poco útiles para el diagnóstico, pero
imprescindibles para el tratamiento adecuado
del paciente
• A veces son útiles para el diagnóstico diferencial
entre oclusión simple y estrangulada
• LEUCOCITOSIS
• Hb, Htco, PROTEÍNAS PLASMÁTICAS
• ELECTROLITOS
• GASOMETRÍA ARTERIAL
• ORINA
• OTROS
• ESTRANGULACIÓN INTESTINAL
– Hiperamilasemia de origen mal conocido
– Dco diferencial con pancreatitis aguda:
• Ca bajo
• Isoamilasa P, tripsina y elastasa alteradas en
pancreatitis
• INFARTO INTESTINAL
– Aumento de LDH y CPK plasmáticas
– Aumento de dialdehido-malónico plasmático
PRUEBAS COMPLEMENTARIAS
DE DIAGNÓSTICO POR IMAGEN
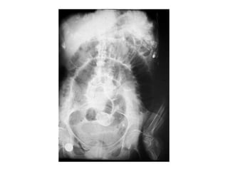
I−RADIOGRAFÍA SIMPLE
• Bipedestación y decúbito supino.
-Imágenes gaseosas por encima del obstáculo al
principio.
-Imágenes hidroaéreas tras 3-6-horas de evolución.
I-Intestino delgado distendido:
•localización central
•válvulas conniventes
II-Colon distendido:
•zonas lat y parte sup del abdomen
•haustros
–Intestino delgado
Signos Rx:
•Distención gaseosa hasta el punto de obstrucción
•Formación de niveles hidroaéreos.
•Aumento de peristaltismo en las asas preobstructivas.
•Reducción o ausencia de gas en el colon.
•Líquido en la cavidad peritoneal.
•Disposición en “escalera”de las asas dilatadas.
•Imàgenes en “collar de cuentas”.
• En ausencia de diagnóstico seguro de
obstrucción mecánica del intestino
delgado,se puede dar bario (diluido o
gastrografin) por boca y seguirlo hasta el
punto de obstrucción:
• Bario en el colon en <12h → poco probable
• Estrangulación
• Imagen en grano de café: Obstrucción
incompleta en asa cerrada.
• Presencia de pseudotumor.
• ausencia de válvulas conniventes.
• Fijación de asa afectada: no cambia de
localización
• Niveles hidroaéreos escasos.
• Íleo biliar:
−Paso de un cálculo,a través de la pared de la
vesícula biliar,al intestino delgado.
Signos rx:
-Aerobilia
-Obstrucción total o parcial del Intest. delgado
-Gran cantidad de líquido en las asas dilatadas
-Puede verse el cálculo si contiene suficientes
sales cálcicas
−Intestino grueso:
La semiología radiológica depende de la
competencia o no de la válvula ileocecal:
• Válvula competente: Dilatación de todo el
colon en especial del ciego con ausencia
de gas a nivel de intestino delgado.
• Válvula incompetente: Distensión de colon
e intestino delgado con escasa dilatación
cecal.
• Menor número de burbujas, mayor tamaño y
localización periférica.
• Imagen en balón o en arco.
• Se observan la haustras.
• Ausencia de gas en ampolla rectal en
obstrucciones distales.
• Íleo paralítico
−Radiológicamente se caracteriza por la
presencia de una gran cantidad de gas y líquido
a nivel de intestino delgado y de colon, con asas
uniformemente dilatadas, e incluso dilatación
gástrica.
−Formas localizadas:presencia de”asa
centinela”en intestino condicionada por proceso
inflamatorio de vecindad.
– Escasos niveles hidroaéreos.
II−TRÁNSITO DIGESTIVO
• Exploración con contraste hidrosoluble o
baritado.
• Muy útil en dco de obstrucciones de intestino
delgado tanto del nivel como de la naturaleza de
la obstrucción.
• Inconvenientes:
-sonda nasoentérica
-presencia continuada de un radiólogo
-oclusión completa:acumulación de contraste
ENEMA OPACO
• Útil en dco de nivel y naturaleza de obstrucción de
intestino grueso
• Imagen en pico de pájaro, en sacacorchos
Vólvulo sigmoide
• Imagen en cúpula, en tridente, en escarapela
Invaginación intestinal
• Efecto terapéutico
III−ECOGRAFÍA
Signos habituales:
-asa dilatada más de 3cm
-seg de i.delg con longitud sup10cm
-peristaltismo conservado en asas distales
•Pctes embarazadas.
IV−TC
•Cuando no llegamos al diagnóstico mediante
exploraciones menos costosas y más accesibles
• Muy útil en estudio de procesos
biliopancreáticos o abscesos y tumores
intestinales
• Demuestra aire en la pared intestinal, en el
interior de la vena mesentérica y la porta
• Ventajas:
-Rápida y no invasiva
-Presencia de oclusión en asa
cerrada o estrangulada(Rx simple poca
sensibilidad)
-Evaluación global del abdomen y
del tracto.intest
V−ARTERIOGRAFÍA
• Puede ser de interés en diagnóstico y
tratamiento de isquemia mesentérica.
• Rara vez es necesaria
VI−ENDOSCOPIA
• Dco diferencial de obstrucción mecánica y
pseudoobstrucción.
• Terapéutica en algunos casos (vólvulo de
colon, pseudoobstrucción)
VII−LAPAROSCOPIA
• Diagnóstico y tratamiento de pacientes
seleccionados.
TRATAMIENTO
CLASIFICACIÓN
1. Obstrucción mecánica de intestino delgado
• Obstrucción recidivante
• Obstrucción postoperatoria
2. Obstrucción mecánica de colon
• Carcinoma colo-rectal obstructivo
• Diverticulitis
• Vólvulo
• Intususcepción
• Sd. Ogilvie
3. Íleo adinámico
I. OBSTRUCCIÓN MECÁNICA ID
• OBSTRUCCIÓN COMPLETA : urgencia quirúrgica por riesgo de
estrangulación y perforación
• Preparación preoperatoria :
1. Reposición hidroelectrolítica (potasio)
2. Monitorización TA, FC, PVC, sat.oxígeno
3. Control diuresis
4. Sonda nasogástrica
5. Profilaxis antibiótica
Aunque tras estas medidas el paciente mejore: no retrasar Cx !!!!!
riesgo morbimortalidad
• Valoración viabilidad segmento ID - Motilidad
- Si normal: conservar segmento - Pulsos
- Si dudoso: resecar segmento - Color
• Opciones Qx
Resección + anastomosis 1ª
• Tto no Qx : oclusión parcial:
1. Episodios recidivantes
2. Obstrucción postoperatoria precoz
3. Tras episodio reciente de peritonitis
A.Obstrucción ID Recidivante
• FR : adherencias múltiples complejas
1. Cuadros obstructivos por adherencias (+frecuente)
2. Historia previa de cirugía colo-rectal
3. Incisión media
• ACTITUD TERAPÉUTICA - Reposición hidroelectrolítica
1. Tto conservador - Descompresión nasogástrica
- Resolución espontánea posible
- Vigilar compromiso vascular : dolor
- Evolución: Rx simples y con contraste
2. Tto quirúrgico
• Limitar la sección a las adherencias implicadas en el
cuadro
• Evitar el traumatismo de la serosa ID
• ¡¡¡¡¡¡No existe método fiable para evitar reaparición de
adherencias y reobstrucción tras laparotomía por esta
patología !!!!!!!!
• Cx laparoscópica
B.Obstrucción postoperatoria
• En función de la evolución
1. Íleo paralítico transitorio: adinámico
- Curación espontánea. Dura 2-3 días
2. Íleo persistente: mixto
- Complicación tras Cx en cavidad peritoneal
- Causas:
- Formación adherencias: volvulación parcial
- Hernias internas
- Dehiscencias de cierre de pared
- Abscesos intraabdominales
• Indicaciones de reintervención
1. Obstrucción completa
2. Evidencia de sepsis de origen intraabdominal
3. Curso extremadamente prolongado de íleo
II. OBSTRUCCIÓN MECÁNICA
COLON
• Obstrucción completa : urgencia quirúrgica, salvo:
Descompresión por:
- Endoscopia
- Radiología intervencionista
• Etiología
1. Tumoral (+frecuente)
2. Diverticulitis
3. Vólvulos
4. Intususcepción
5. Sd. Ogilvie
A. Carcinoma Colo-Rectal Obstructivo (70%)
• TTO Qx
 OBJETIVOS 1. Desobstrucción
2. Tto etiológico
3. Restaurar continuidad del colon
 OPCIONES Qx
1. Colon (D) o ascendente y transverso
Resección (hemicolectomía (D)) + anastomosis 1ª
2. Colon (I) o descendente , sigma y recto
- Prótesis autoexpansible ( sólo alivio temporal, evita cirugía en 2
tiempos)
- Intervención Hartmann (*) : resección 1ª + anastomosis en 2º
tiempo. Si pte en malas condiciones.
- Resección 1ª + anastomosis 1ª (previo lavado intraoperatorio)
- Colectomía Subtotal con ileosigmoidostomía o ileorrectostomía(*),
si pte en buenas condiciones.
(*) Intervenciones más frecuentes.
3. Tumor no resecable : Cx paliativa (prevenir obstrucción)
4. Metástasis hepáticas : Metastasectomía, si:
- Técnicamente factible (volumen residual hepático suficiente tras
resección )
- Oncológicamente curativa (margen resección libre de tumor)
- Pte en buenas condiciones.
Intervención de Hartmann
Cirugía cáncer colon
B. Diverticulitis
• 95% en sigma
• Tto médico: ab (anaerobios, gram -), reposo digestivo,
etc
• Tto Qx
- Intervención de Hartmann
- Resección + anastomosis 1ª previo lavado
intraoperatorio anterógrado del colon (si buenas
condiciones)
C. Vólvulo
• Vólvulo de sigma (+frecuente) ( < riesgo perforación)
 Descompresión por sigmoidoscopia con colocación de
sonda rectal
- Si eficaz: Sigmoidectomía + Anastomosis 1ª con colon
preparado
- Si ineficaz: Sigmoidectomía con colostomía
terminal + Reconstrucción en 2ª tiempo
- Si megacolon: Colectomía subtotal con anastomosis
ileorrectal
 Mesosigmoidoplastia (poco usada) : evita resección y
anastomosis
La simple detorsión Qx no se recomienda por riesgo de
recidiva
• Vólvulo de ciego (2º + frecuente)
 Si existe gangrena: Exéresis tejido gangrenado +
Ileostomía proximal y fístula de mucosa (de colon
ascendente o transverso) sin anastomosis
 Si no existe gangrena
1. Hemicolectomía (D)
2. Cecostomía (en pacientes muy muy graves)
D. Intususcepción Ileocecal
- Lactantes (+frecuente) : reducción hidrostática
- Adultos: Cx
1. Reducción manual
2. Resección + anastomosis t-t
Divertículos Vólvulo
Intususcepción
E.Sd. Ogilvie
• Pseudoobstrucción aguda del colon
• Ancianos, encamados, con enfermedades crónicas o
traumatismos
• Si diámetro cecal >12cm , riesgo perforación
• Tto:
1. Descompresión con enemas y tto de apoyo
2. Colonoscopia descompresiva
3. Resección
4. Neostigmina
III. ÍLEO ADINÁMICO
• Íleo postoperatorio (+frecuente)
• TTO CONSERVADOR
1. Reposición hidroelectrolítica (potasio)
2. Antibioterapia
3. Soporte nutricional
4. Fármacos procinéticos : no evidencia
5. Colonoscopia descompresora:
- Indicaciones: severo, persistente y no existen
signos de irritación peritoneal
- Evita aparición de gangrena del ciego
6. Tto etiológico
1. Cirugía de urgencia inmediata
- Hernias estranguladas e incarceradas
- Peritonitis / neumoperitoneo
- Estrangulación intestinal y sospecha
- Vólvulos no sigmoideos
- Vólvulos sigmoideos con toxicidad y peritonitis
- Obstrucción completa
2. Cirugía de urgencia diferida
-Obstrucción progresiva
- Obstrucción sin respuesta al tto conservador en 24-48h
-Obstrucción posoperatoria temprana con
complicaciones
INDICACIONES Qx EN SOI
1. Laparotomía
- Exploración abdominal completa
- Lavado peritoneal
- Vaciado de asas por enterotomía
- Liberación adherencias, bridas , hernias
- Extirpación causas obstructivas
- Derivación del tránsito
2. Laparoscopia
- ¡¡¡Selección cuidadosa de pacientes!!!
- Menos adherencias
- Éxito en: -obstrucción en intestino delgado
-procesos adherenciales localizados
-patología anexial
ABORDAJES Qx EN SOI
RESUMEN TTO
SOI
Obstrucción
mecánica
Obstrucción
adinámica
I.D. I.G.
Obstrucción
Recidivante
Obstrucción
postoperatoria
CA Colon
Diverticulitis
Vólvulos
Intususcepción
Sd. Ogilvie
OBSTRUCCIÓN MECÁNICA
1. I.D. Resección + Anastomosis 1ª
2. I.G.
-Colon (D) y transverso : Resección +
Anastomosis 1ª
-Colon (I), sigma y recto
1. Prótesis autoexpansible (temporal)
2. I. Hartmann (*)
3. Resección 1ª + Anastomosis 1ª (previo
lavado intraoperatorio)
4. Colectomía Subtotal con
ileosigmoidostomía o ileorrectostomía (*)

obstruccion_intestinal.ppt

  • 1.
    OBSTRUCCIÓN INTESTINAL Cristina HerráizCorredor Lourdes Herrera Pacheco Nadia Jamal-eddine Miriam López Parra Victoria Marcos González María José Muñoz Algar
  • 2.
     DEFINICIÓN: Detención completay persistente del tránsito de las heces y los gases en un segmento del intestino. Es una de las urgencias más frecuentes y más graves de la patología abdominal. Son fundamentales el diagnóstico y tratamiento precoz.
  • 3.
    Epidemiología • Las causasmás frecuentes son: -Bridas y adherencias postoperatorias(60- 70%) Intestino delgado -Hernias (15-20%) -Tumores (10-15%) I. grueso • El nivel más frecuente de asentamiento de obstrucción intestinal es el INTESTINO DELGADO.
  • 4.
    Causas más frecuentessegún grupo de edad • Niños Recién nacido Malformaciones congénitas Íleo meconial Lactante Megacolon congénito Infancia Invaginación intestinal
  • 5.
    • Adultos: Edad media: Bridasy adherencias postoperatorias (60-70%) Hernia estrangulada Ancianos: Cáncer de colon Fecaloma
  • 6.
    CLASIFICACIÓN Presentación Localización IntensidadPatogenia Aguda Subaguda Crónica Intermitente Normalidad clínica Intestino delgado: - proximal (yeyuno) - distal (ileón) Intestino grueso Completa Incompleta (suboclusión) Mecánica: - simple - estrangulación - asa cerrada Funcional: - paralítica - pseudo-obs
  • 7.
    Clasificación según lapatogenia  Obstrucción mecánica (íleo mecánico) Oclusión de la luz intestinal por un obstáculo orgánico, anatómico o estructural que impide la progresión del contenido intestinal.  Obstrucción paralítica (íleo paralítico) Alteración de la función motora digestiva sin que exista un obstáculo. Obstrucción mecánica Obstrucción paralítica Obstrucción mixta
  • 8.
    Causas más frecuentesde cada tipo Íleo mecánico: Íleo paralítico (adinámico) Adherencias Postoperatorio Hernias Pancreatitis/cólico nefrítico Neoplasias Peritonitis Abscesos Metabólico (hipoK+) Vólvulos Sepsis EII
  • 9.
    DATOS CLÍNICOS ÚTILESPARA CONOCER LA CAUSA DE LA OBSTRUCCIÓN INTESTINAL Antecedentes personales  Cirugía abdominal previa  Hernia inguinal o crural  Cambios en el hábito intestinal  Cólicos biliares  Encamamiento prolongado  Cardiopatía previa Sugiere Sd. adherencial Estrangulación herniaria Cáncer de colon Íleo biliar Fecaloma Isquemia mesentérica
  • 10.
    FISIOPATOLOGÍA 1. FASE LESIONALO INICIAL 2. FASE REACCIONAL O DE ESTADO 3. FASE TERMINAL
  • 11.
    1. FASE LESIONALO INICIAL • Alteraciones en motilidad intestinal • Acumulación de gas • Acumulación de líquidos • Acumulación de la flora intestinal DISTENSIÓN ABDOMINAL PROLIFERACIÓN BACTERIANA
  • 12.
    • Alteraciones enmotilidad intestinal: – OBSTRUCCIÓN cambio mioeléctricoHiperperistalsis (intest. “lucha”: dolor abd cólico + oleada peristáltica) Contracciones desorganizadas e ineficaces Acúmulo de contenido intestinal DISTENSIÓN ASAS (Potenciado por “relajación receptiva”: reflejos inhibitorios del sist. Neuroentérico parietal) • Acumulación de gas: - Aire deglutido (aporte más importante: 70-80%). - Fermentación bacteriana (CH4). - Neutralización del HCO3 de las secreciones biliar y pancreática (CO2). - Nitrógeno (mal absorbido por mucosa).
  • 13.
    • Acumulación delíquidos (Phidrostática>20 cmH2O) - Deglución - Jugos digestivos menor superficie de absorción. - Hipersecreción reflejaen respuesta a la distensión. • Acumulación de la flora intestinal – Estancamiento contenido intestinal – Sobrecrecimiento bacteriano progresivo (ppalmente. GRAM- y ANAEROBIOS). – Pérdida líquidos, absorción – Mucosa produce: mediadores inflamatorios, citoquinas, VIP y PGs. Secuestro de líquidos (H2O y electrolitos)
  • 14.
    2. FASE REACCIONALO DE ESTADO A) Secuestro progresivo de líquidos: •P intraluminal + pérdida progresiva de líquidos  ASAS EDEMATIZADAS y líquido entre asas. •PÉRDIDA DE LÍQUIDOS (mayor si + distal), incluidos vómitos por rebosamiento y aspiración NG terapéutica DESHIDRATACIÓN + HIPOVOLEMIA + TRASTORNOS HIDROELECTROLÍTICOS (Cl, Na, K) + DESEQUILIBRIO ÁCIDO- BASE (Acidosis, y sobretodo Alcalosis metabólica) COMPENSADA POR: - Respuesta adrenérgica ( RVP). - Activación del SRAA ( Na+,  K+ y H+). - Secreción de ADH.
  • 15.
    B) Alteraciones dela vascularización de las asas distendidas • Hiperpresión intraluminal • Agresión Bacteriana • Inflamación (EDEMA asas) •Fracaso MICROCIRCULACIÓN •Dificultad irrigación y drenaje venoso •ISQUEMIA parcial (progresiva)total •GANGRENA  PERFORACIÓN  PERITONITIS Y/O SEPSIS GRAVE SRIS Acúmulo de radicales libres, activ. Cel. Inflamatorias (citoquinas, quimioquinas, NO, enz. Proteolíticas):LOCAL y SISTÉMICO
  • 16.
    C) Traslocación bacteriana: •Alteración de la flora (Bacterias patógenas y endotoxinas) • ROTURA BARRERA intestinal (Paso directo de patógenos a circulación sistémica e indirecto por sistema linfático o transperitoneal) SEPSIS GRAVE CLÍNICA TÍPICA: Incremento de signos cardinales Hipovolemia compensada (hipoTA ortostática, frío, sudor, deshidratación) Sepsis ( fiebre, taquicardia, leucocitosis) Abdomen agudo peritonítico (dolor abd intenso + contractura pared abd + vómitos reflejos)
  • 17.
    PROLIFERACIÓN BACTERIANA TRANSLOCACIÓN BACTERIANA ISQUEMIA TISULAR (fracaso defunción barrera y del peristaltismo N) Liberación de ENDOTOXINAS al peritoneo Aumento de endotoxina circulante Generación de radicales libres Cambios tisulares tardíos por isquemia Bacterias en cavidad peritoneal (CONTENIDO FECALOIDEO) Sepsis sistémica Bacterias en vena porta Bacterias en hígado
  • 18.
    SRIS FMIO ymuerte 3. FASE TERMINAL •Shock Séptico •Shock Hipovolémico (secuestro de líquido) •Síndrome del compartimento abdominal ( LETALIDAD): •Hiperpresión intraabdominal >15-20 mmHg  Distensión masiva de asas intestinales •Dificulta retorno venoso VCI •Comprime RIÑÓN: I. Renal •Comprime DIAFRAGMA •Comprime CORAZÓN GRAVE COLAPSO CARDIOVASCULAR ( débito cardiaco), RESPIRATORIO (hipoxia), I. Renal(oligoanuria), HTIC y coma.
  • 19.
    DISTENSIÓN INTESTINAL Pérdida de aguay eléctrolitos Vómito reflejo Absorción secreción Presión intraabdominal Edema y estasis venosa K, Cl, Alcalosis Metabólica Deshidratación Oliguria, GC, PVC, Taquicardia, Hipotensión Hipoventilación (atelectasias) Isquemia Perforación Peritonitis 2aria SHOCK HIPOVOLÉMICO SHOCK SÉPTICO FMIO Muerte Hemorragia (AUTOPERPETUADA) Traslocación Bacteriana
  • 20.
    OTROS DESÓRDENES BIOQUÍMICOS: -Hiperglucemia (reacción adrenérgica). - Hiperamilasemia (necrosis intestinal). - Leucocitosis (si desviación izquierda estrangulación y peritonitis). - Hiperazoemia (por el catabolismo proteico exagerado debido al ayuno) - LDH plasmática (gangrena intestinal). - Hemoconcentración
  • 21.
    CLÍNICA • Dolor abdominal •Náuseas y vómitos • Distensión abdominal • Ausencia de emisión de heces y gases
  • 22.
    CLÍNICA (II) • Dolorabdominal – 1ª manifestación. – Localización: • Periumbilical y más intenso: intestino delgado. • Hipogastrio y más leve: intestino grueso. – Íleo mecánico intermitente: dolor tipo cólico de intensidad variable y progresiva – Íleo mecánico complicado: dolor intenso desde el principio, continuo con exacerbaciones – Íleo adinámico: dolor poco intenso, continuo, sordo, difuso. – Cuando hay shock hipovolémico o séptico el dolor disminuye o desaparece
  • 23.
    CLÍNICA (III) • Náuseasy vómitos – De origen reflejo ---- por regurgitación desde las asas – Más tempranos cuanto más alta sea la obstrucción – Más tempranos si causa mecánica – Íleo simple: vómito de gran volumen (alimenticio- bilioso-fecaloideo). Cada 15´ – Íleo complicado: vómitos muy frecuentes de poco volumen – Íleo adinámico: vómitos tardíos, intermitentes, fecaloideos • El paciente puede aparecer deshidratado, con sed intensa y oliguria.
  • 24.
    CLÍNICA (IV) • Distensiónabdominal – Íleo mecánico: discreta y localizada – Íleo adinámico: difusa • Ausencia de heces y gases – Si obstrucción completa • Heces diarreicas – Obstrucción incompleta y pseudoobstrucción – Sangre: estrangulación o isquemia en las asas. Intususcepción.
  • 25.
    ÍLEO MECÁNICO SIMPLE ÍLEO MECÁNICO COMPLICADO ÍLEOADINÁMICO DOLOR ABDOMINAL Cólico/ intermitente. Intensidad progresiva Continuo con exacerbaciones. Intenso desde el inicio Continuo, sordo, difuso. Poco intenso VÓMITOS Gran volumen. Biliogástricos al inicio, después fecaloideos Poco volumen. Muy tempranos, tipo reflejo. Frecuentes. Tardíos, intermitentes. Tipo rebosamiento. Fecaloideos DISTENSIÓN ABDDOMINAL Localizada Localizada Difusa AUSENCIA DE HECES Y GASES Sí, a veces emisiones diarreicas Sí, a veces emisiones diarreicas Si RESUMEN
  • 26.
    EXPLORACIÓN CLÍNICA • EXAMENGENERAL: – Si deshidratación: • Signo del pliegue positivo • Mucosas secas • Ojos hundidos • Taquicardia, oliguria • Puede haber fiebre
  • 27.
    – Si obstrucciónsimple (dolor tipo cólico) • Paciente inquieto con movimiento constante – Si irritación peritoneal: • Paciente inmóvil • Posición de defensa – Si obstrucción crónica: • Puede haber caquexia y signos de enfermedad sistémica
  • 28.
    • TEMPERATURA – Sueleser normal – Si fiebre en paciente con oclusión simple pensar en: • Compromiso vascular secundario • Perforación intestinal – Si fiebre desde el principio pensar en: • Obstrucción de causa inflamatoria • Estrangulación – Puede haber hipotermia
  • 29.
    • PULSO –Suele sernormal –Aparece taquicardia si: Deshidratación importante, shock séptico o hipovolémico, infección mural, peritonitis, estrangulación
  • 30.
    • EXPLORACIÓN DELABDOMEN – INSPECCIÓN y PALPACIÓN: • Distensión abdominal • Cicatrices  ¿sd adherencial? • Inspección de orificios y/o regiones herniarias • Detección de movimientos peristálticos • Diferenciación entre defensa muscular voluntaria y contractura refleja • Sg. Blumberg +  irritación peritoneal • Palpación de masas – Dolorosas o no – Cáncer, plastrón inflamatorio, invaginación intestinal (“morcilla”)
  • 31.
    − PERCUSIÓN: • Matidezen “tablero de damas” (alternancia de zonas de matidez y de meteorismo) • Signo de von Wahl: • Timpanismo en región central  oclusiones de ID • Timpanismo en flancos  oclusión de IG • Timpanismo difuso o algo más acentuado en flancos en íleo paralítico • Si hay irritación peritoneal la percusión es dolorosa
  • 32.
    − AUSCULTACIÓN: • INICIO:Ruidos intestinales aumentados con timbre metálico • Ruidos respiratorios y cardiacos transmitidos  Derrame peritoneal (Signo de Claybrook) • EVOLUCIÓN: Silencio abdominal  Íleo paralítico y estrangulación
  • 33.
    • TACTO RECTAL −¡¡¡OBLIGATORIO!!! −Sepuede palpar: • Cabeza de una invaginación • Fecalomas • Tumores de implantación baja (¿sangre oculta en heces?  malignidad) • Masa inflamatoria pelviana dolorosa o colección líquida en Douglas • Douglas ocupado por asas distendidas y dolorosas • Ampolla rectal vacía y dilatada (Signo de Hochenegg)
  • 34.
    DATOS ANALÍTICOS • Pocoútiles para el diagnóstico, pero imprescindibles para el tratamiento adecuado del paciente • A veces son útiles para el diagnóstico diferencial entre oclusión simple y estrangulada
  • 35.
    • LEUCOCITOSIS • Hb,Htco, PROTEÍNAS PLASMÁTICAS • ELECTROLITOS • GASOMETRÍA ARTERIAL • ORINA • OTROS
  • 36.
    • ESTRANGULACIÓN INTESTINAL –Hiperamilasemia de origen mal conocido – Dco diferencial con pancreatitis aguda: • Ca bajo • Isoamilasa P, tripsina y elastasa alteradas en pancreatitis • INFARTO INTESTINAL – Aumento de LDH y CPK plasmáticas – Aumento de dialdehido-malónico plasmático
  • 37.
  • 38.
    I−RADIOGRAFÍA SIMPLE • Bipedestacióny decúbito supino. -Imágenes gaseosas por encima del obstáculo al principio. -Imágenes hidroaéreas tras 3-6-horas de evolución. I-Intestino delgado distendido: •localización central •válvulas conniventes II-Colon distendido: •zonas lat y parte sup del abdomen •haustros
  • 39.
    –Intestino delgado Signos Rx: •Distencióngaseosa hasta el punto de obstrucción •Formación de niveles hidroaéreos. •Aumento de peristaltismo en las asas preobstructivas. •Reducción o ausencia de gas en el colon. •Líquido en la cavidad peritoneal. •Disposición en “escalera”de las asas dilatadas. •Imàgenes en “collar de cuentas”.
  • 40.
    • En ausenciade diagnóstico seguro de obstrucción mecánica del intestino delgado,se puede dar bario (diluido o gastrografin) por boca y seguirlo hasta el punto de obstrucción: • Bario en el colon en <12h → poco probable
  • 42.
    • Estrangulación • Imagenen grano de café: Obstrucción incompleta en asa cerrada. • Presencia de pseudotumor. • ausencia de válvulas conniventes. • Fijación de asa afectada: no cambia de localización • Niveles hidroaéreos escasos.
  • 44.
    • Íleo biliar: −Pasode un cálculo,a través de la pared de la vesícula biliar,al intestino delgado. Signos rx: -Aerobilia -Obstrucción total o parcial del Intest. delgado -Gran cantidad de líquido en las asas dilatadas -Puede verse el cálculo si contiene suficientes sales cálcicas
  • 46.
    −Intestino grueso: La semiologíaradiológica depende de la competencia o no de la válvula ileocecal: • Válvula competente: Dilatación de todo el colon en especial del ciego con ausencia de gas a nivel de intestino delgado. • Válvula incompetente: Distensión de colon e intestino delgado con escasa dilatación cecal.
  • 47.
    • Menor númerode burbujas, mayor tamaño y localización periférica. • Imagen en balón o en arco. • Se observan la haustras. • Ausencia de gas en ampolla rectal en obstrucciones distales.
  • 49.
    • Íleo paralítico −Radiológicamentese caracteriza por la presencia de una gran cantidad de gas y líquido a nivel de intestino delgado y de colon, con asas uniformemente dilatadas, e incluso dilatación gástrica. −Formas localizadas:presencia de”asa centinela”en intestino condicionada por proceso inflamatorio de vecindad. – Escasos niveles hidroaéreos.
  • 51.
    II−TRÁNSITO DIGESTIVO • Exploracióncon contraste hidrosoluble o baritado. • Muy útil en dco de obstrucciones de intestino delgado tanto del nivel como de la naturaleza de la obstrucción. • Inconvenientes: -sonda nasoentérica -presencia continuada de un radiólogo -oclusión completa:acumulación de contraste
  • 53.
    ENEMA OPACO • Útilen dco de nivel y naturaleza de obstrucción de intestino grueso • Imagen en pico de pájaro, en sacacorchos Vólvulo sigmoide • Imagen en cúpula, en tridente, en escarapela Invaginación intestinal • Efecto terapéutico
  • 55.
    III−ECOGRAFÍA Signos habituales: -asa dilatadamás de 3cm -seg de i.delg con longitud sup10cm -peristaltismo conservado en asas distales •Pctes embarazadas.
  • 56.
    IV−TC •Cuando no llegamosal diagnóstico mediante exploraciones menos costosas y más accesibles • Muy útil en estudio de procesos biliopancreáticos o abscesos y tumores intestinales • Demuestra aire en la pared intestinal, en el interior de la vena mesentérica y la porta
  • 57.
    • Ventajas: -Rápida yno invasiva -Presencia de oclusión en asa cerrada o estrangulada(Rx simple poca sensibilidad) -Evaluación global del abdomen y del tracto.intest
  • 59.
    V−ARTERIOGRAFÍA • Puede serde interés en diagnóstico y tratamiento de isquemia mesentérica. • Rara vez es necesaria
  • 60.
    VI−ENDOSCOPIA • Dco diferencialde obstrucción mecánica y pseudoobstrucción. • Terapéutica en algunos casos (vólvulo de colon, pseudoobstrucción) VII−LAPAROSCOPIA • Diagnóstico y tratamiento de pacientes seleccionados.
  • 61.
  • 62.
    CLASIFICACIÓN 1. Obstrucción mecánicade intestino delgado • Obstrucción recidivante • Obstrucción postoperatoria 2. Obstrucción mecánica de colon • Carcinoma colo-rectal obstructivo • Diverticulitis • Vólvulo • Intususcepción • Sd. Ogilvie 3. Íleo adinámico
  • 63.
    I. OBSTRUCCIÓN MECÁNICAID • OBSTRUCCIÓN COMPLETA : urgencia quirúrgica por riesgo de estrangulación y perforación • Preparación preoperatoria : 1. Reposición hidroelectrolítica (potasio) 2. Monitorización TA, FC, PVC, sat.oxígeno 3. Control diuresis 4. Sonda nasogástrica 5. Profilaxis antibiótica Aunque tras estas medidas el paciente mejore: no retrasar Cx !!!!! riesgo morbimortalidad
  • 64.
    • Valoración viabilidadsegmento ID - Motilidad - Si normal: conservar segmento - Pulsos - Si dudoso: resecar segmento - Color • Opciones Qx Resección + anastomosis 1ª • Tto no Qx : oclusión parcial: 1. Episodios recidivantes 2. Obstrucción postoperatoria precoz 3. Tras episodio reciente de peritonitis
  • 65.
    A.Obstrucción ID Recidivante •FR : adherencias múltiples complejas 1. Cuadros obstructivos por adherencias (+frecuente) 2. Historia previa de cirugía colo-rectal 3. Incisión media • ACTITUD TERAPÉUTICA - Reposición hidroelectrolítica 1. Tto conservador - Descompresión nasogástrica - Resolución espontánea posible - Vigilar compromiso vascular : dolor - Evolución: Rx simples y con contraste
  • 66.
    2. Tto quirúrgico •Limitar la sección a las adherencias implicadas en el cuadro • Evitar el traumatismo de la serosa ID • ¡¡¡¡¡¡No existe método fiable para evitar reaparición de adherencias y reobstrucción tras laparotomía por esta patología !!!!!!!! • Cx laparoscópica
  • 67.
    B.Obstrucción postoperatoria • Enfunción de la evolución 1. Íleo paralítico transitorio: adinámico - Curación espontánea. Dura 2-3 días 2. Íleo persistente: mixto - Complicación tras Cx en cavidad peritoneal - Causas: - Formación adherencias: volvulación parcial - Hernias internas - Dehiscencias de cierre de pared - Abscesos intraabdominales
  • 68.
    • Indicaciones dereintervención 1. Obstrucción completa 2. Evidencia de sepsis de origen intraabdominal 3. Curso extremadamente prolongado de íleo
  • 69.
    II. OBSTRUCCIÓN MECÁNICA COLON •Obstrucción completa : urgencia quirúrgica, salvo: Descompresión por: - Endoscopia - Radiología intervencionista • Etiología 1. Tumoral (+frecuente) 2. Diverticulitis 3. Vólvulos 4. Intususcepción 5. Sd. Ogilvie
  • 70.
    A. Carcinoma Colo-RectalObstructivo (70%) • TTO Qx  OBJETIVOS 1. Desobstrucción 2. Tto etiológico 3. Restaurar continuidad del colon  OPCIONES Qx 1. Colon (D) o ascendente y transverso Resección (hemicolectomía (D)) + anastomosis 1ª
  • 71.
    2. Colon (I)o descendente , sigma y recto - Prótesis autoexpansible ( sólo alivio temporal, evita cirugía en 2 tiempos) - Intervención Hartmann (*) : resección 1ª + anastomosis en 2º tiempo. Si pte en malas condiciones. - Resección 1ª + anastomosis 1ª (previo lavado intraoperatorio) - Colectomía Subtotal con ileosigmoidostomía o ileorrectostomía(*), si pte en buenas condiciones. (*) Intervenciones más frecuentes. 3. Tumor no resecable : Cx paliativa (prevenir obstrucción) 4. Metástasis hepáticas : Metastasectomía, si: - Técnicamente factible (volumen residual hepático suficiente tras resección ) - Oncológicamente curativa (margen resección libre de tumor) - Pte en buenas condiciones.
  • 72.
  • 73.
  • 74.
    B. Diverticulitis • 95%en sigma • Tto médico: ab (anaerobios, gram -), reposo digestivo, etc • Tto Qx - Intervención de Hartmann - Resección + anastomosis 1ª previo lavado intraoperatorio anterógrado del colon (si buenas condiciones)
  • 75.
    C. Vólvulo • Vólvulode sigma (+frecuente) ( < riesgo perforación)  Descompresión por sigmoidoscopia con colocación de sonda rectal - Si eficaz: Sigmoidectomía + Anastomosis 1ª con colon preparado - Si ineficaz: Sigmoidectomía con colostomía terminal + Reconstrucción en 2ª tiempo - Si megacolon: Colectomía subtotal con anastomosis ileorrectal  Mesosigmoidoplastia (poco usada) : evita resección y anastomosis La simple detorsión Qx no se recomienda por riesgo de recidiva
  • 76.
    • Vólvulo deciego (2º + frecuente)  Si existe gangrena: Exéresis tejido gangrenado + Ileostomía proximal y fístula de mucosa (de colon ascendente o transverso) sin anastomosis  Si no existe gangrena 1. Hemicolectomía (D) 2. Cecostomía (en pacientes muy muy graves) D. Intususcepción Ileocecal - Lactantes (+frecuente) : reducción hidrostática - Adultos: Cx 1. Reducción manual 2. Resección + anastomosis t-t
  • 77.
  • 78.
    E.Sd. Ogilvie • Pseudoobstrucciónaguda del colon • Ancianos, encamados, con enfermedades crónicas o traumatismos • Si diámetro cecal >12cm , riesgo perforación • Tto: 1. Descompresión con enemas y tto de apoyo 2. Colonoscopia descompresiva 3. Resección 4. Neostigmina
  • 79.
    III. ÍLEO ADINÁMICO •Íleo postoperatorio (+frecuente) • TTO CONSERVADOR 1. Reposición hidroelectrolítica (potasio) 2. Antibioterapia 3. Soporte nutricional 4. Fármacos procinéticos : no evidencia 5. Colonoscopia descompresora: - Indicaciones: severo, persistente y no existen signos de irritación peritoneal - Evita aparición de gangrena del ciego 6. Tto etiológico
  • 80.
    1. Cirugía deurgencia inmediata - Hernias estranguladas e incarceradas - Peritonitis / neumoperitoneo - Estrangulación intestinal y sospecha - Vólvulos no sigmoideos - Vólvulos sigmoideos con toxicidad y peritonitis - Obstrucción completa 2. Cirugía de urgencia diferida -Obstrucción progresiva - Obstrucción sin respuesta al tto conservador en 24-48h -Obstrucción posoperatoria temprana con complicaciones INDICACIONES Qx EN SOI
  • 81.
    1. Laparotomía - Exploraciónabdominal completa - Lavado peritoneal - Vaciado de asas por enterotomía - Liberación adherencias, bridas , hernias - Extirpación causas obstructivas - Derivación del tránsito 2. Laparoscopia - ¡¡¡Selección cuidadosa de pacientes!!! - Menos adherencias - Éxito en: -obstrucción en intestino delgado -procesos adherenciales localizados -patología anexial ABORDAJES Qx EN SOI
  • 82.
  • 83.
    OBSTRUCCIÓN MECÁNICA 1. I.D.Resección + Anastomosis 1ª 2. I.G. -Colon (D) y transverso : Resección + Anastomosis 1ª -Colon (I), sigma y recto 1. Prótesis autoexpansible (temporal) 2. I. Hartmann (*) 3. Resección 1ª + Anastomosis 1ª (previo lavado intraoperatorio) 4. Colectomía Subtotal con ileosigmoidostomía o ileorrectostomía (*)