OBSTRUCCIÓN INTESTINAL
R1 CIRUGÍA GENERAL
MITCHEL MAX AGUILAR QUISPE
HOSPITAL VICTOR LAzARTE ECHEGARAY
 Obstrucción intestinal: detención completa
y persistente del tránsito de las heces y
los gases en un segmento del intestino.
 Es una de las urgencias más frecuentes y
más graves de la patología abdominal.
Son fundamentales el diagnóstico y
tratamiento precoz.
DATOS CLÍNICOS ÚTILES PARA CONOCER LA
CAUSA DE LA OBSTRUCCIÓN INTESTINAL
Antecedentes personales
 Cirugía abdominal previa
 Hernia inguinal o crural
 Cambios en el hábito
intestinal
 Cólicos biliares
 Encamamiento prolongado
 Cardiopatía previa
Sugiere
Sd. adherencial
Estrangulación herniaria
Cáncer de colon
Íleo biliar
Fecaloma
Isquemia mesentérica
Causas más frecuentes según
grupo de edad
• Niños
Recién nacido Malformaciones congénitas
Íleo meconial
Lactante Megacolon congénito
Infancia Invaginación intestinal
• Adultos:
Edad media Bridas y adherencias postoperatorias
Hernia estrangulada
Ancianos Cáncer de colon
Fecaloma
CLASIFICACIÓN
Presentación Localización Intensidad Patogenia
Aguda
Subaguda
Crónica
Intermitente
Normalidad
clínica
Intestino
delgado:
- proximal
- distal
Intestino
grueso
Completa
Incompleta
(suboclusión)
Mecánica:
- simple
- estrangulación
- asa cerrada
Funcional:
- paralítica
- pseudo-obs
Clasificación según la patogenia
 Obstrucción mecánica (íleo mecánico)
Oclusión de la luz intestinal por un obstáculo orgánico,
anatómico o estructural que impide la progresión del
contenido intestinal.
 Obstrucción paralítica (íleo paralítico)
Alteración de la función motora digestiva sin que exista
un obstáculo.
Obstrucción mecánica
Obstrucción paralítica
Obstrucción mixta
Causas más frecuentes de cada tipo
Íleo mecánico: Íleo paralítico (adinámico)
Adherencias Postoperatorio
Hernias Pancreatitis/cólico nefrítico
Neoplasias Peritonitis
Abscesos Metabólico (hipoK+)
Vólvulos Sepsis
EII
FISIOPATOLOGÍA
Obstáculo
Hiperperistaltismo
Fatiga
Dilatación
Estasis
intestinal
-Acúmulo
de gas
-Acúmulo de
líquido
+
Ausencia de
motilidad
DISTENSIÓN
ABDOMINAL
PROLIFERACIÓN
BACTERIANA
1. ACÚMULO DE GAS: Procedencia:
- Aire deglutido (aporte más importante).
- Fermentación bacteriana (CH4).
- Neutralización de los carbonatos de las secreciones
biliar y pancreática (CO2).
2. ACÚMULO DE LÍQUIDO:
- Jugos digestivos menor superficie de absorción.
- Hipersecreción reflejaen respuesta a la distensión.
Secuestro de líquidos
DISTENSIÓN INTESTINAL
Pérdida de
agua y
eléctrolitos
Vómito
reflejo
Absorción
secreción
Presión
intraabdominal
Edema y estasis
venosa
K, Cl,
Alcalosis
Deshidratación
Oliguria,
Bajo GC,
Hipotensión
Hipoventilación
Isquemia
Perforación
Peritonitis
Shock
hipovolémico Shock
séptico
Fallo
multiorgánico
Muerte
Hemorragia
PROLIFERACIÓN
BACTERIANA
TRANSLOCACIÓN
BACTERIANA
Isquemia tisular
(fracaso de función
barrera)
Liberación de endotoxinas
al peritoneo
Aumento de
endotoxina circulante
Generación de
radicales libres
Cambios tisulares
tardíos por
isquemia
Bacterias en
cavidad peritoneal
Sepsis
sistémica
Bacterias en vena
porta
Bacterias en
hígado
ALTERACIONES
HIDROELECTROLÍTICAS
- Existen graves desórdenes electrolíticos que
dependen de:
- Asiento de la obstrucción (más acentuados
cuanto más alta sea).
- Mecanismo de la oclusión.
- Duración de la misma.
- Presencia de vómitos, etc.
- Pérdida de agua con deshidratación e
hipovolemia con hemoconcentración.
1.HIPOVOLEMIA: compensada por:
- Respuesta adrenérgica ( RVP).
- Activación del SRAA ( Na+, K+ y H+).
- Secreción de ADH.
En casos extremos  shock hipovolémico
y shock séptico  fallo multiorgánico 
muerte.
Redistribución de la volemia
2. ALTERACIONES ELECTROLÍTICAS:
A) Hiponatremia:
Edema local presión intersticial de pared
intestinal  paso de líquido hacia la luz 
depleción de agua y Na+.
B) Hipopotasemia:
- Aldosterona pérdida urinaria de K+.
- Pérdida intestinal de K+.
- Pérdida no compensada por reservorios
intracelulares de K+.
3.DESVIACIONES DEL EQUILIBRIO
ÁCIDO-BASE:
- Estenosis pilórica:
Pérdida de valencias ácidas sin pérdida de jugos
alcalinos alcalosis metabólica hipoclorémica, con
HCO-
3 plasmático.
- Oclusión del intestino delgado:
- Oclusión de intestino grueso:
Acúmulo de amoniaco
Pérdida intestinal de
HCO3
+
Acúmulo de CO2
ACIDOSIS
METABÓLICA
ALCALOSIS
METABÓLICA
4.OTROS DESÓRDENES BIOQUÍMICOS:
- Hiperglucemia (reacción adrenérgica).
- Hiperamilasemia (necrosis intestinal).
- Leucocitosis (si desviación izquierda
estrangulación y peritonitis).
- Hiperazoemia (por el catabolismo
proteico exagerado debido al ayuno)
- LDH plasmática (gangrena
intestinal).
MANIFESTACIONES CLÍNICAS
GENERALIDADES
• Presencia de bridas y adherencias
• Existencia de hernias
• Otros datos:
– Alteración del hábito intestinal y sangre con la
deposición, episodios oclusivos repetidos…
SÍNTOMAS
• DOLOR: Características variables
–Localización:
• Central y más intenso Intestino delgado
• Periférico y más leve Intestino grueso
–Oclusión simple:
• Comienzo lento e intensidad progresiva
• Dolor tipo cólico
– Estrangulación:
• Dolor súbito y de gran intensidad
• Persistente, mantenido o creciente
– Íleo paralítico:
• Dolor generalizado y pocas veces intenso
– Cuando hay shock hipovolémico o séptico el dolor
disminuye o desaparece
• VÓMITOS:
– En función de la localización:
• Más precoces y frecuentes cuanto más proximal
sea la obstrucción
• En obstrucciones de intestino grueso puede no
haber
• Al principio reflejos, luego por regurgitación sin
relación con el dolor
– En función del material vomitado:
• Al principio contenido alimentario
• Después biliosos
• Finalmente fecaloideos
– El paciente aparece deshidratado, con sed
intensa y oliguria.
• DISTENSIÓN ABDOMINAL
– Depende del nivel de la oclusión y del tiempo
de evolución
– Si hay estrangulación es localizada antes de
que aparezca el íleo peritonítico
– El paciente puede presentar dificultad
respiratoria
• DETENCIÓN DEL TRÁNSITO INTESTINAL
– Falta absoluta de emisión de gases y heces
– En estenosis
• Evacuación de gases de localización supraestenótica
• Eliminación de heces del intestino distal
– En pseudoobstrucción y obstrucción incompleta
• Puede aparecer diarrea
– Emisión de sangre con las heces
• Signo de estrangulación
• Signo de invaginación en niños (se acompaña también de
moco)
EXPLORACIÓN CLÍNICA
• EXAMEN GENERAL:
– Si deshidratación:
• Signo del pliegue positivo
• Mucosas secas
• Ojos hundidos
• Taquicardia, oliguria
• Puede haber fiebre
– Si obstrucción simple (dolor tipo cólico)
• Paciente inquieto con movimiento constante
– Si irritación peritoneal:
• Paciente inmóvil
– Si obstrucción crónica:
• Puede haber caquexia y signos de enfermedad
sistémica
• TEMPERATURA
– Suele ser normal
– Si fiebre en paciente con oclusión simple
pensar en:
• Compromiso vascular secundario
• Perforación intestinal
– Si fiebre desde el principio pensar en:
• Obstrucción de causa inflamatoria
• Estrangulación
– Puede haber hipotermia
• PULSO
–Suele ser normal
–Aparece taquicardia si: Deshidratación
importante, shock séptico o
hipovolémico, infección mural,
peritonitis, estrangulación
• EXPLORACIÓN DEL ABDOMEN
– INSPECCIÓN y PALPACIÓN:
• Distensión abdominal
• Cicatrices
• Inspección de orificios y/o regiones herniarias
• Detección de movimientos peristálticos
• Diferenciación entre defensa muscular voluntaria y
contractura refleja
• Palpación de masas
– Dolorosas o no
– Cáncer, plastrón inflamatorio, invaginación intestinal
− PERCUSIÓN:
• Matidez en “tablero de damas” (alternancia de zonas
de matidez y de meteorismo)
• Signo de von Wahl:
• Meteorismo en región central oclusiones de ID
• Meteorismo en flancos oclusión de IG
• Meteorismo difuso o algo más acentuado en flancos
en íleo paralítico
• Si hay irritación peritoneal la percusión es dolorosa
− AUSCULTACIÓN:
• Ruidos intestinales aumentados con timbre
metálico
• Ruidos respiratorios y cardiacos transmitidos
Derrame peritoneal (Signo de Claybrook)
• Silencio abdominal Íleo paralítico y
estrangulación
• TACTO RECTAL
−¡¡¡OBLIGATORIO!!!
−Se puede palpar:
• Cabeza de una invaginación
• Fecalomas
• Tumores de implantación baja
• Masa inflamatoria pelviana dolorosa o colección
líquida en Douglas
• Douglas ocupado por asas distendidas y
dolorosas (signo de Gold)
• Ampolla rectal vacía y dilatada (Signo de
Hochenegg)
DATOS ANALÍTICOS
• Poco útiles para el diagnóstico sindrómico, pero
imprescindibles para el tratamiento adecuado
del paciente
• A veces son útiles para el diagnóstico diferencial
entre oclusión simple y estrangulada
• LEUCOCITOSIS
• Hb, Htco, PROTEÍNAS PLASMÁTICAS
• ELECTROLITOS
• GASOMETRÍA ARTERIAL
• ORINA
• OTROS
• ESTRANGULACIÓN INTESTINAL
– Hiperamilasemia de origen mal conocido
– Dco diferencial con pancreatitis aguda:
• Isoamilasa P, tripsina y elastasa alteradas en
pancreatitis
• INFARTO INTESTINAL
– Aumento de LDH y CPK plasmáticas
– Aumento de dialdehido-malónico plasmático
PRUEBAS COMPLEMENTARIAS
DE DIAGNÓSTICO POR IMAGEN
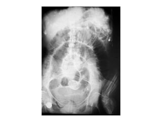
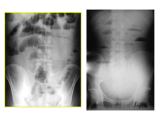
RADIOGRAFÍA SIMPLE
• Bipedestación:
– Imágenes gaseosas por encima del obstáculo al
principio
– Imágenes hidroaéreas tras 3-6-horas de evolución
• Decúbito supino:
– Yeyuno: Parte alta y media izquierda del abdomen
– Íleon: Parte baja y media derecha del abdomen
Ambos tienen una distribución en la zona central de las
asas.
–Intestino delgado
• Imagen en tubos de órgano
• Imagen en cuentas de rosario
• Imagen en tablero de damas
• Imagen en pila de monedas
• Imagen en peldaños de escalera
−Intestino grueso: Distribución periférica
• Menor número de burbujas, mayor tamaño y
localización periférica
• Imagen en balón o en arco
• Se observan la haustras
• Ausencia de gas en ampolla rectal en
obstrucciones distales
• Estrangulación
• Pocos niveles hidroaéreos
• En radiografías seriadas no cambia de localización
• Imagen en grano de café: Obstrucción incompleta en
asa cerrada
• Neumoperitoneo perforación
• Líquido libre intraperitoneal
– Se acumula en pelvis (signo de las orejas de
perro) y asciende por gotieras paracólicas
(signo del flanco)
– Imagen homogénea de densidad agua
• Íleo biliar
– Aerobilia
– Puede verse el cálculo si contiene sales
cálcicas
• Íleo paralítico
– Dilatación de intestino grueso, delgado e
incluso estómago
– Puede haber dilatación segmentaria (asa
centinela) en intestino cercano a zona
inflamatoria
– Escasos niveles hidroaéreos
TRÁNSITO DIGESTIVO
• Exploración con contraste hidrosoluble o
baritado
• Muy útil en dco de obstrucciones de
intestino delgado tanto del nivel como de
la naturaleza de la obstrucción
ENEMA OPACO
• Útil en dco de nivel y naturaleza de obstrucción de
intestino grueso
• Imagen en pico de pájaro, en sacacorchos
Vólvulo sigmoide
• Imagen en cúpula, en tridente, en escarapela
Invaginación intestinal
• Efecto terapéutico
ECOGRAFÍA
• Dco de oclusiones de asa cerrada cuando
no existe aire (dco difícil con Rx)
• Localización de colecciones líquidas
• Estudio de patología biliopancreática
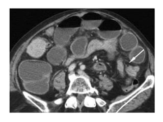
TC
• Cuando no llegamos al diagnóstico mediante
exploraciones menos costosas y más accesibles
• Muy útil en estudio de procesos
biliopancreáticos o abscesos y tumores
intestinales
• Demuestra aire en la pared intestinal, en el
interior de la vena mesentérica y la porta
ARTERIOGRAFÍA
• Puede ser de interés en diagnóstico y
tratamiento de isquemia mesentérica
• Rara vez es necesaria
ENDOSCOPIA
• Dco diferencial de obstrucción mecánica y
pseudoobstrucción
• Terapéutica en algunos casos (vólvulo de
colon, pseudoobstrucción)
LAPAROSCOPIA
• Diagnóstico y tratamiento de pacientes
seleccionados
BIBLIOGRAFÍA
• Liliana Bordeianou, MD, MPHDaniel Dante
Et al. Manifestaciones clínicas y
diagnóstico de la obstrucción mecánica
del intestino delgado en adultos. 19 de
octubre de 2021.
• I. Gil Romea, et al. Obstrucción intestinal.
Vol. 38. Núm. 2.páginas 52-56.
GRACIAS

obstruccion_intestinal.1.ppt

  • 1.
    OBSTRUCCIÓN INTESTINAL R1 CIRUGÍAGENERAL MITCHEL MAX AGUILAR QUISPE HOSPITAL VICTOR LAzARTE ECHEGARAY
  • 2.
     Obstrucción intestinal:detención completa y persistente del tránsito de las heces y los gases en un segmento del intestino.  Es una de las urgencias más frecuentes y más graves de la patología abdominal. Son fundamentales el diagnóstico y tratamiento precoz.
  • 3.
    DATOS CLÍNICOS ÚTILESPARA CONOCER LA CAUSA DE LA OBSTRUCCIÓN INTESTINAL Antecedentes personales  Cirugía abdominal previa  Hernia inguinal o crural  Cambios en el hábito intestinal  Cólicos biliares  Encamamiento prolongado  Cardiopatía previa Sugiere Sd. adherencial Estrangulación herniaria Cáncer de colon Íleo biliar Fecaloma Isquemia mesentérica
  • 4.
    Causas más frecuentessegún grupo de edad • Niños Recién nacido Malformaciones congénitas Íleo meconial Lactante Megacolon congénito Infancia Invaginación intestinal
  • 5.
    • Adultos: Edad mediaBridas y adherencias postoperatorias Hernia estrangulada Ancianos Cáncer de colon Fecaloma
  • 6.
    CLASIFICACIÓN Presentación Localización IntensidadPatogenia Aguda Subaguda Crónica Intermitente Normalidad clínica Intestino delgado: - proximal - distal Intestino grueso Completa Incompleta (suboclusión) Mecánica: - simple - estrangulación - asa cerrada Funcional: - paralítica - pseudo-obs
  • 7.
    Clasificación según lapatogenia  Obstrucción mecánica (íleo mecánico) Oclusión de la luz intestinal por un obstáculo orgánico, anatómico o estructural que impide la progresión del contenido intestinal.  Obstrucción paralítica (íleo paralítico) Alteración de la función motora digestiva sin que exista un obstáculo. Obstrucción mecánica Obstrucción paralítica Obstrucción mixta
  • 8.
    Causas más frecuentesde cada tipo Íleo mecánico: Íleo paralítico (adinámico) Adherencias Postoperatorio Hernias Pancreatitis/cólico nefrítico Neoplasias Peritonitis Abscesos Metabólico (hipoK+) Vólvulos Sepsis EII
  • 9.
  • 10.
    1. ACÚMULO DEGAS: Procedencia: - Aire deglutido (aporte más importante). - Fermentación bacteriana (CH4). - Neutralización de los carbonatos de las secreciones biliar y pancreática (CO2). 2. ACÚMULO DE LÍQUIDO: - Jugos digestivos menor superficie de absorción. - Hipersecreción reflejaen respuesta a la distensión. Secuestro de líquidos
  • 11.
    DISTENSIÓN INTESTINAL Pérdida de aguay eléctrolitos Vómito reflejo Absorción secreción Presión intraabdominal Edema y estasis venosa K, Cl, Alcalosis Deshidratación Oliguria, Bajo GC, Hipotensión Hipoventilación Isquemia Perforación Peritonitis Shock hipovolémico Shock séptico Fallo multiorgánico Muerte Hemorragia
  • 12.
    PROLIFERACIÓN BACTERIANA TRANSLOCACIÓN BACTERIANA Isquemia tisular (fracaso defunción barrera) Liberación de endotoxinas al peritoneo Aumento de endotoxina circulante Generación de radicales libres Cambios tisulares tardíos por isquemia Bacterias en cavidad peritoneal Sepsis sistémica Bacterias en vena porta Bacterias en hígado
  • 13.
    ALTERACIONES HIDROELECTROLÍTICAS - Existen gravesdesórdenes electrolíticos que dependen de: - Asiento de la obstrucción (más acentuados cuanto más alta sea). - Mecanismo de la oclusión. - Duración de la misma. - Presencia de vómitos, etc. - Pérdida de agua con deshidratación e hipovolemia con hemoconcentración.
  • 14.
    1.HIPOVOLEMIA: compensada por: -Respuesta adrenérgica ( RVP). - Activación del SRAA ( Na+, K+ y H+). - Secreción de ADH. En casos extremos  shock hipovolémico y shock séptico  fallo multiorgánico  muerte. Redistribución de la volemia
  • 15.
    2. ALTERACIONES ELECTROLÍTICAS: A)Hiponatremia: Edema local presión intersticial de pared intestinal  paso de líquido hacia la luz  depleción de agua y Na+. B) Hipopotasemia: - Aldosterona pérdida urinaria de K+. - Pérdida intestinal de K+. - Pérdida no compensada por reservorios intracelulares de K+.
  • 16.
    3.DESVIACIONES DEL EQUILIBRIO ÁCIDO-BASE: -Estenosis pilórica: Pérdida de valencias ácidas sin pérdida de jugos alcalinos alcalosis metabólica hipoclorémica, con HCO- 3 plasmático. - Oclusión del intestino delgado: - Oclusión de intestino grueso: Acúmulo de amoniaco Pérdida intestinal de HCO3 + Acúmulo de CO2 ACIDOSIS METABÓLICA ALCALOSIS METABÓLICA
  • 17.
    4.OTROS DESÓRDENES BIOQUÍMICOS: -Hiperglucemia (reacción adrenérgica). - Hiperamilasemia (necrosis intestinal). - Leucocitosis (si desviación izquierda estrangulación y peritonitis). - Hiperazoemia (por el catabolismo proteico exagerado debido al ayuno) - LDH plasmática (gangrena intestinal).
  • 18.
    MANIFESTACIONES CLÍNICAS GENERALIDADES • Presenciade bridas y adherencias • Existencia de hernias • Otros datos: – Alteración del hábito intestinal y sangre con la deposición, episodios oclusivos repetidos…
  • 19.
    SÍNTOMAS • DOLOR: Característicasvariables –Localización: • Central y más intenso Intestino delgado • Periférico y más leve Intestino grueso –Oclusión simple: • Comienzo lento e intensidad progresiva • Dolor tipo cólico
  • 20.
    – Estrangulación: • Dolorsúbito y de gran intensidad • Persistente, mantenido o creciente – Íleo paralítico: • Dolor generalizado y pocas veces intenso – Cuando hay shock hipovolémico o séptico el dolor disminuye o desaparece
  • 21.
    • VÓMITOS: – Enfunción de la localización: • Más precoces y frecuentes cuanto más proximal sea la obstrucción • En obstrucciones de intestino grueso puede no haber • Al principio reflejos, luego por regurgitación sin relación con el dolor
  • 22.
    – En funcióndel material vomitado: • Al principio contenido alimentario • Después biliosos • Finalmente fecaloideos – El paciente aparece deshidratado, con sed intensa y oliguria.
  • 23.
    • DISTENSIÓN ABDOMINAL –Depende del nivel de la oclusión y del tiempo de evolución – Si hay estrangulación es localizada antes de que aparezca el íleo peritonítico – El paciente puede presentar dificultad respiratoria
  • 24.
    • DETENCIÓN DELTRÁNSITO INTESTINAL – Falta absoluta de emisión de gases y heces – En estenosis • Evacuación de gases de localización supraestenótica • Eliminación de heces del intestino distal – En pseudoobstrucción y obstrucción incompleta • Puede aparecer diarrea – Emisión de sangre con las heces • Signo de estrangulación • Signo de invaginación en niños (se acompaña también de moco)
  • 25.
    EXPLORACIÓN CLÍNICA • EXAMENGENERAL: – Si deshidratación: • Signo del pliegue positivo • Mucosas secas • Ojos hundidos • Taquicardia, oliguria • Puede haber fiebre
  • 26.
    – Si obstrucciónsimple (dolor tipo cólico) • Paciente inquieto con movimiento constante – Si irritación peritoneal: • Paciente inmóvil – Si obstrucción crónica: • Puede haber caquexia y signos de enfermedad sistémica
  • 27.
    • TEMPERATURA – Sueleser normal – Si fiebre en paciente con oclusión simple pensar en: • Compromiso vascular secundario • Perforación intestinal – Si fiebre desde el principio pensar en: • Obstrucción de causa inflamatoria • Estrangulación – Puede haber hipotermia
  • 28.
    • PULSO –Suele sernormal –Aparece taquicardia si: Deshidratación importante, shock séptico o hipovolémico, infección mural, peritonitis, estrangulación
  • 29.
    • EXPLORACIÓN DELABDOMEN – INSPECCIÓN y PALPACIÓN: • Distensión abdominal • Cicatrices • Inspección de orificios y/o regiones herniarias • Detección de movimientos peristálticos • Diferenciación entre defensa muscular voluntaria y contractura refleja • Palpación de masas – Dolorosas o no – Cáncer, plastrón inflamatorio, invaginación intestinal
  • 30.
    − PERCUSIÓN: • Matidezen “tablero de damas” (alternancia de zonas de matidez y de meteorismo) • Signo de von Wahl: • Meteorismo en región central oclusiones de ID • Meteorismo en flancos oclusión de IG • Meteorismo difuso o algo más acentuado en flancos en íleo paralítico • Si hay irritación peritoneal la percusión es dolorosa
  • 31.
    − AUSCULTACIÓN: • Ruidosintestinales aumentados con timbre metálico • Ruidos respiratorios y cardiacos transmitidos Derrame peritoneal (Signo de Claybrook) • Silencio abdominal Íleo paralítico y estrangulación
  • 32.
    • TACTO RECTAL −¡¡¡OBLIGATORIO!!! −Sepuede palpar: • Cabeza de una invaginación • Fecalomas • Tumores de implantación baja • Masa inflamatoria pelviana dolorosa o colección líquida en Douglas • Douglas ocupado por asas distendidas y dolorosas (signo de Gold) • Ampolla rectal vacía y dilatada (Signo de Hochenegg)
  • 33.
    DATOS ANALÍTICOS • Pocoútiles para el diagnóstico sindrómico, pero imprescindibles para el tratamiento adecuado del paciente • A veces son útiles para el diagnóstico diferencial entre oclusión simple y estrangulada
  • 34.
    • LEUCOCITOSIS • Hb,Htco, PROTEÍNAS PLASMÁTICAS • ELECTROLITOS • GASOMETRÍA ARTERIAL • ORINA • OTROS
  • 35.
    • ESTRANGULACIÓN INTESTINAL –Hiperamilasemia de origen mal conocido – Dco diferencial con pancreatitis aguda: • Isoamilasa P, tripsina y elastasa alteradas en pancreatitis • INFARTO INTESTINAL – Aumento de LDH y CPK plasmáticas – Aumento de dialdehido-malónico plasmático
  • 36.
    PRUEBAS COMPLEMENTARIAS DE DIAGNÓSTICOPOR IMAGEN RADIOGRAFÍA SIMPLE • Bipedestación: – Imágenes gaseosas por encima del obstáculo al principio – Imágenes hidroaéreas tras 3-6-horas de evolución • Decúbito supino: – Yeyuno: Parte alta y media izquierda del abdomen – Íleon: Parte baja y media derecha del abdomen Ambos tienen una distribución en la zona central de las asas.
  • 37.
    –Intestino delgado • Imagenen tubos de órgano • Imagen en cuentas de rosario • Imagen en tablero de damas • Imagen en pila de monedas • Imagen en peldaños de escalera
  • 39.
    −Intestino grueso: Distribuciónperiférica • Menor número de burbujas, mayor tamaño y localización periférica • Imagen en balón o en arco • Se observan la haustras • Ausencia de gas en ampolla rectal en obstrucciones distales
  • 41.
    • Estrangulación • Pocosniveles hidroaéreos • En radiografías seriadas no cambia de localización • Imagen en grano de café: Obstrucción incompleta en asa cerrada • Neumoperitoneo perforación
  • 44.
    • Líquido libreintraperitoneal – Se acumula en pelvis (signo de las orejas de perro) y asciende por gotieras paracólicas (signo del flanco) – Imagen homogénea de densidad agua • Íleo biliar – Aerobilia – Puede verse el cálculo si contiene sales cálcicas
  • 46.
    • Íleo paralítico –Dilatación de intestino grueso, delgado e incluso estómago – Puede haber dilatación segmentaria (asa centinela) en intestino cercano a zona inflamatoria – Escasos niveles hidroaéreos
  • 48.
    TRÁNSITO DIGESTIVO • Exploracióncon contraste hidrosoluble o baritado • Muy útil en dco de obstrucciones de intestino delgado tanto del nivel como de la naturaleza de la obstrucción
  • 50.
    ENEMA OPACO • Útilen dco de nivel y naturaleza de obstrucción de intestino grueso • Imagen en pico de pájaro, en sacacorchos Vólvulo sigmoide • Imagen en cúpula, en tridente, en escarapela Invaginación intestinal • Efecto terapéutico
  • 52.
    ECOGRAFÍA • Dco deoclusiones de asa cerrada cuando no existe aire (dco difícil con Rx) • Localización de colecciones líquidas • Estudio de patología biliopancreática
  • 53.
    TC • Cuando nollegamos al diagnóstico mediante exploraciones menos costosas y más accesibles • Muy útil en estudio de procesos biliopancreáticos o abscesos y tumores intestinales • Demuestra aire en la pared intestinal, en el interior de la vena mesentérica y la porta
  • 55.
    ARTERIOGRAFÍA • Puede serde interés en diagnóstico y tratamiento de isquemia mesentérica • Rara vez es necesaria
  • 56.
    ENDOSCOPIA • Dco diferencialde obstrucción mecánica y pseudoobstrucción • Terapéutica en algunos casos (vólvulo de colon, pseudoobstrucción) LAPAROSCOPIA • Diagnóstico y tratamiento de pacientes seleccionados
  • 57.
    BIBLIOGRAFÍA • Liliana Bordeianou,MD, MPHDaniel Dante Et al. Manifestaciones clínicas y diagnóstico de la obstrucción mecánica del intestino delgado en adultos. 19 de octubre de 2021. • I. Gil Romea, et al. Obstrucción intestinal. Vol. 38. Núm. 2.páginas 52-56.
  • 58.