ORTODONCIA
Gilda Escudero Navarro
ORTODONCIA
 Etimológicamente significa
 orto-recto
 Doncia-diente
 Es la especialidad de la odontología
encargada de estudiar, corregir e
interceptar las anomalías dento-
maxilares
Ortodoncia
 Preventiva
 Interceptiva
 Correctiva
Ortodoncia Preventiva
 Es aquella medida o procedimiento que
se realiza para evitar que se produzca
una anomalía
 Por ejemplo:
 Tratamiento oportuno de caries.
 Mantenedores de espacio
 Tratar y evitar malos Hábitos
Ortodoncia Interceptiva
 Es toda medida que se realiza para
evitar que se agudice una anomalía.
 Ejemplo:
 Desgastes selectivos
 Extracciones seriadas
Ortodoncia Correctiva
 Es la especialidad encargada de tratar
y corregir las anomalías dento
maxilares, con diferentes
procedimientos, aditamentos y con
diferentes tipos de aparatos.
Causas principales
 ADQUIRIDAS
 HEREDITARIAS
 CONGÉNITAS
ADQUIRIDAS
1- Succión de dedo
2- Interposición de lengua ( no tratada a tiempo
por fonoaudiólogo)
3- Morderse los labios
4- Respirador bucal ( ejemplo: amígdalas
grandes )
5- Chupar chupete mas allá de los 2 años
6- Diastema ( frenillo corto )
7- Pérdida anticipada de una pieza temporal.
Respiración bucal
 La presencia de obstáculos en el sistema
respiratorio, ocasionará obstrucción obligando al
paciente a utilizar la cavidad bucal como alternativa
para respirar.
 Presencia de adenoides, hipertrofia de amígdalas,
rinitis alérgicas, cornetes hipertróficos.
consecuencias
 Desarmonía en el crecimiento y desarrollo
de las estructuras oro faciales.
 Hipotonicidad de la musculatura facial
 Protrusion de los incisivos
 Compresión transversal del maxilar
Adquiridas
HEREDITARIAS
 Agenesia ( ausencia de pieza dentaria )
 Mordida abierta ( esqueletal)
 Mordida cubierta y cráneo facial
 Mordida invertida ( esqueletal )
CONGÉNITAS
 Labio Leporino
 Fisura Palatina
Labio leporino
 Se denomina labio leporino , fisura
labial al defecto congénito que
consiste en la hendidura o separacion
en el labio superior que se produce por
que no hay fucion durante el embarazo
del maxilar y las fosas nasales,a veces
es acompañado por el paladar.
VIDEOS
Clasificación de Angle
 Esta clasificación fue
presentada por el Dr. Edward
Angle en 1899.Basada en la
relación de la mesiodistal de
las piezas dentales, y de sus
maxilares en sentido sagital
denominada como “llave de la
Oclusión “
Clasificación de Angle
Clase I Neutro oclusión : Relación mesio distal
normal de los primeros molares superiores
permanentes con respecto a los inferiores.
Clase II Disto oclusión : Todas las piezas
inferiores se encuentran en relación distal por
lo menos una cúspide en relación con las
piezas superiores.
Clase III Mesio oclusión : Todas las piezas
inferiores se encuentran mesio dístales en
relación con las piezas superiores.
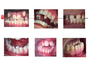
Clasificación de Angle
Clase II
 Clase II con división
I:incisivos
superiores
protruidos.
 Clase II con división
II:incisivos centrales
retruidos o con retro
inclinación hacia
lingual.
Clase II con division I
Clase II con división II
Clasificación de Angle
Ejercicio
Procedimiento con el paciente que
ingresa a tratamiento de ortodoncia
Solicitud de Exámenes :
Modelos de Estudios
Radiografías
Fotografías
Cone Beam
 Recepción del paciente
 Evaluación del paciente y recopilación de
datos relevantes que ayuden al diagnóstico y
pronóstico del tratamiento (anamnesis-llenar
ficha).
 Solicitud de exámenes y modelos, entrega
de derivaciones según el caso( tratamiento
preventivo, sellantes, fluor, en ningún caso
se debe tomar un paciente con problemas de
caries o con restauraciones en mal estado.
Estudio Clínico
 Toma de modelos al paciente ( duplicados según el
caso) y fotografías intra y extraorales y recepción de
radiografías solicitadas por el odontólogo ( totales,
panorámicas, tele radiografías, etc.)
Estudio Clínico del paciente
 Hora del estudio en el cuál el odontólogo trabaja sin
el paciente, tan solo con ficha, modelos, mordida en
cera,fotografias, radiografías, el conjunto de todos
estos datos darán el diagnóstico, plan de tratamiento
y pronóstico.
Conclusión y Explicación de
estudio
 El odontólogo definirá la naturaleza del
problema y proyectará una estrategia
de tratamiento basadas en las
necesidades específicas del paciente.
Comunicará al apoderado o al paciente
el tratamiento a seguir.
Modelos de estudio
Los modelos de estudio son
esenciales, ya que brindan un
registro tridimensional de la
dentición del paciente, una de las
razones son :
Modelos de estudio
 Calcular el análisis del
espacio total.
 Establecer y registrar la
anomalía dental.
 Establecer y registrar la
intercuspidación.
 Establecer y registrar la
forma de los maxilares.
Evaluar la oclusión con la
ayuda de articuladores
si es necesario.
Detectar anormalidades,
por ejemplo: distorsión
de la forma de los
maxilares.
MODELOS DE ESTUDIO
Fotografía Clínica
 Registro clínico, forma parte de la historia
clínica.
 Ayuda al diagnostico inicial.
 Control de tratamiento en distintas fases.
 Medio de documentación en tramitaciones
legales.
 Valor didáctico en docencia, investigación y
publicaciones
Requerimientos fotos clínicas en
ortodoncia
 La fotografía clínica debe ser normalizada,
realizada siempre en las mismas condiciones. La
posición del paciente y el encuadre de su cara o
de dientes siempre seguir el mismo criterio.
 Estándar de tres fotografías extraorales y cinco
intraorales.
Extraorales
 Frente
 Frente sonriendo
Perfil
 Las imágenes de frente y perfil, sé toman con el
paciente con los labios relajados.
 Posicion natural de la cabeza: La cabeza, debe
ubicarse en posición de postura natural. estando
el paciente confortablemente erguido, con su eje
visual horizontal, los dientes en oclusión y los
labios en reposo.
 El cabello del paciente debe estar colocado por
detrás de las orejas y el paciente no puede ser
fotografiado ni con anteojos, ni con aros etc.
Fotografías y intraorales
 Sonrisa
 Lado derecho. E izquierdo
 Oclusales
 Otras..
 Extraoral3/4
 Silueta
 Perfil de ambos lados
 Intraoral de sobre
mordida
Las radiografías :
 Protección del paciente y del ortodoncista.
 Detección de posible agenesia (ausencia congénita
de dientes).
 Detección de supernumerarios.
 Evaluación de la salud ósea de las piezas definitivas
(presencia de reabsorción ósea )
 Detección de condiciones patológicas ya sean,,
caries, quistes, etc.
 Evaluación del traumatismo dentario después de un
accidente.
 Detección de la evidencia de una verdadera
discrepancia hereditaria entre el tamaño
dentario y el tamaño de los maxilares.
 Determinación del tamaño, forma y posición
relativa de las piezas permanentes no
erupcionadas.
 Evaluaciones de los patrones eruptivos de
las piezas permanentes, si posiblemente van
a erupcionar en forma adecuada.
 Detección de la reabsorción radicular antes,
durante y después del tratamiento
 Evaluación de los terceros molares antes, durante y
después del tratamiento.
 Evaluación final de la salud bucal después del
tratamiento.
 En el caso de la tele radiografía la utilizaremos para
la evaluación de los tejidos blandos, para calcular la
discrepancia del tamaño dental y de los maxilares, la
predicción patológica con respecto al crecimiento y
desarrollo de los maxilares.
Radiografía Panorámica
Teleradiografía
CEFALOMETRIA
CONE-BEAM
 Paciente con problemas articulares.
 Paciente que necesita alguna
intervención quirúrgica especifica.
 Detectar ubicación de algún canino
incluido.
 Implante.
CONE BEAM
Programas
 Dentalink
 Dental Soft
 FIN

Ortodoncia 1 clase anomalias mod

  • 1.
  • 2.
    ORTODONCIA  Etimológicamente significa orto-recto  Doncia-diente  Es la especialidad de la odontología encargada de estudiar, corregir e interceptar las anomalías dento- maxilares
  • 3.
  • 4.
    Ortodoncia Preventiva  Esaquella medida o procedimiento que se realiza para evitar que se produzca una anomalía  Por ejemplo:  Tratamiento oportuno de caries.  Mantenedores de espacio  Tratar y evitar malos Hábitos
  • 5.
    Ortodoncia Interceptiva  Estoda medida que se realiza para evitar que se agudice una anomalía.  Ejemplo:  Desgastes selectivos  Extracciones seriadas
  • 6.
    Ortodoncia Correctiva  Esla especialidad encargada de tratar y corregir las anomalías dento maxilares, con diferentes procedimientos, aditamentos y con diferentes tipos de aparatos.
  • 7.
    Causas principales  ADQUIRIDAS HEREDITARIAS  CONGÉNITAS
  • 8.
    ADQUIRIDAS 1- Succión dededo 2- Interposición de lengua ( no tratada a tiempo por fonoaudiólogo) 3- Morderse los labios 4- Respirador bucal ( ejemplo: amígdalas grandes ) 5- Chupar chupete mas allá de los 2 años 6- Diastema ( frenillo corto ) 7- Pérdida anticipada de una pieza temporal.
  • 12.
    Respiración bucal  Lapresencia de obstáculos en el sistema respiratorio, ocasionará obstrucción obligando al paciente a utilizar la cavidad bucal como alternativa para respirar.  Presencia de adenoides, hipertrofia de amígdalas, rinitis alérgicas, cornetes hipertróficos.
  • 13.
    consecuencias  Desarmonía enel crecimiento y desarrollo de las estructuras oro faciales.  Hipotonicidad de la musculatura facial  Protrusion de los incisivos  Compresión transversal del maxilar
  • 15.
  • 16.
    HEREDITARIAS  Agenesia (ausencia de pieza dentaria )  Mordida abierta ( esqueletal)  Mordida cubierta y cráneo facial  Mordida invertida ( esqueletal )
  • 29.
  • 30.
    Labio leporino  Sedenomina labio leporino , fisura labial al defecto congénito que consiste en la hendidura o separacion en el labio superior que se produce por que no hay fucion durante el embarazo del maxilar y las fosas nasales,a veces es acompañado por el paladar.
  • 34.
  • 37.
    Clasificación de Angle Esta clasificación fue presentada por el Dr. Edward Angle en 1899.Basada en la relación de la mesiodistal de las piezas dentales, y de sus maxilares en sentido sagital denominada como “llave de la Oclusión “
  • 38.
    Clasificación de Angle ClaseI Neutro oclusión : Relación mesio distal normal de los primeros molares superiores permanentes con respecto a los inferiores. Clase II Disto oclusión : Todas las piezas inferiores se encuentran en relación distal por lo menos una cúspide en relación con las piezas superiores. Clase III Mesio oclusión : Todas las piezas inferiores se encuentran mesio dístales en relación con las piezas superiores.
  • 39.
  • 41.
    Clase II  ClaseII con división I:incisivos superiores protruidos.  Clase II con división II:incisivos centrales retruidos o con retro inclinación hacia lingual.
  • 42.
    Clase II condivision I
  • 43.
    Clase II condivisión II
  • 44.
  • 45.
  • 56.
    Procedimiento con elpaciente que ingresa a tratamiento de ortodoncia Solicitud de Exámenes : Modelos de Estudios Radiografías Fotografías Cone Beam
  • 57.
     Recepción delpaciente  Evaluación del paciente y recopilación de datos relevantes que ayuden al diagnóstico y pronóstico del tratamiento (anamnesis-llenar ficha).  Solicitud de exámenes y modelos, entrega de derivaciones según el caso( tratamiento preventivo, sellantes, fluor, en ningún caso se debe tomar un paciente con problemas de caries o con restauraciones en mal estado.
  • 58.
    Estudio Clínico  Tomade modelos al paciente ( duplicados según el caso) y fotografías intra y extraorales y recepción de radiografías solicitadas por el odontólogo ( totales, panorámicas, tele radiografías, etc.)
  • 59.
    Estudio Clínico delpaciente  Hora del estudio en el cuál el odontólogo trabaja sin el paciente, tan solo con ficha, modelos, mordida en cera,fotografias, radiografías, el conjunto de todos estos datos darán el diagnóstico, plan de tratamiento y pronóstico.
  • 60.
    Conclusión y Explicaciónde estudio  El odontólogo definirá la naturaleza del problema y proyectará una estrategia de tratamiento basadas en las necesidades específicas del paciente. Comunicará al apoderado o al paciente el tratamiento a seguir.
  • 61.
    Modelos de estudio Losmodelos de estudio son esenciales, ya que brindan un registro tridimensional de la dentición del paciente, una de las razones son :
  • 62.
    Modelos de estudio Calcular el análisis del espacio total.  Establecer y registrar la anomalía dental.  Establecer y registrar la intercuspidación.  Establecer y registrar la forma de los maxilares. Evaluar la oclusión con la ayuda de articuladores si es necesario. Detectar anormalidades, por ejemplo: distorsión de la forma de los maxilares.
  • 63.
  • 65.
    Fotografía Clínica  Registroclínico, forma parte de la historia clínica.  Ayuda al diagnostico inicial.  Control de tratamiento en distintas fases.  Medio de documentación en tramitaciones legales.  Valor didáctico en docencia, investigación y publicaciones
  • 66.
    Requerimientos fotos clínicasen ortodoncia  La fotografía clínica debe ser normalizada, realizada siempre en las mismas condiciones. La posición del paciente y el encuadre de su cara o de dientes siempre seguir el mismo criterio.  Estándar de tres fotografías extraorales y cinco intraorales.
  • 67.
  • 68.
     Las imágenesde frente y perfil, sé toman con el paciente con los labios relajados.  Posicion natural de la cabeza: La cabeza, debe ubicarse en posición de postura natural. estando el paciente confortablemente erguido, con su eje visual horizontal, los dientes en oclusión y los labios en reposo.  El cabello del paciente debe estar colocado por detrás de las orejas y el paciente no puede ser fotografiado ni con anteojos, ni con aros etc.
  • 69.
    Fotografías y intraorales Sonrisa  Lado derecho. E izquierdo  Oclusales  Otras..  Extraoral3/4  Silueta  Perfil de ambos lados  Intraoral de sobre mordida
  • 71.
    Las radiografías : Protección del paciente y del ortodoncista.  Detección de posible agenesia (ausencia congénita de dientes).  Detección de supernumerarios.  Evaluación de la salud ósea de las piezas definitivas (presencia de reabsorción ósea )  Detección de condiciones patológicas ya sean,, caries, quistes, etc.  Evaluación del traumatismo dentario después de un accidente.
  • 72.
     Detección dela evidencia de una verdadera discrepancia hereditaria entre el tamaño dentario y el tamaño de los maxilares.  Determinación del tamaño, forma y posición relativa de las piezas permanentes no erupcionadas.
  • 73.
     Evaluaciones delos patrones eruptivos de las piezas permanentes, si posiblemente van a erupcionar en forma adecuada.  Detección de la reabsorción radicular antes, durante y después del tratamiento
  • 74.
     Evaluación delos terceros molares antes, durante y después del tratamiento.  Evaluación final de la salud bucal después del tratamiento.  En el caso de la tele radiografía la utilizaremos para la evaluación de los tejidos blandos, para calcular la discrepancia del tamaño dental y de los maxilares, la predicción patológica con respecto al crecimiento y desarrollo de los maxilares.
  • 75.
  • 76.
  • 77.
  • 80.
    CONE-BEAM  Paciente conproblemas articulares.  Paciente que necesita alguna intervención quirúrgica especifica.  Detectar ubicación de algún canino incluido.  Implante.
  • 81.
  • 82.
  • 84.