Inflamación Juliana Zapata
M.V, (c)Msc
Introducción
Para que los individuos sobrevivan, resulta
esencial la capacidad de librarse de los restos
necróticos, lesionados y de los invasores
extraños como los microbios.
La respuesta del hospedero con este fin se
denomina inflamación, respuesta
fundamentalmente protectora, diseñada para
librar al organismo de una causa lesiva.
Introducción
Sin inflamación, las infecciones no
serían controladas, las heridas nunca
cicatrizarían y los tejidos lesionados
serían un fuente de lesión
permanente.
Introducción
• La inflamación termina cuando se elimina el
agente responsable del daño.
• La respuesta inflamatoria se entremezcla de
forma estrecha con el proceso de reparación
• La inflamación puede se lesiva en algunas
situaciones.
Agente agresor
/injuriante
Inflamación
Resolución, Cronicidad, Destru
cción Tisular, Cicatrización.
Finalidad
• Destruir, aislar o diluir a los microorganismos
invasores
• Remover restos necróticos y exudados
• Preparar para la reparación
• Daño tisular?
Signos Cardinales de la Inflamación
Eritema o Rubor: zona enrojecida por acumulación de sangre y
mediadores de la Inflamación
Tumor o Edematización: aumento de tamaño debido a la
acumulación de sangre y exudado (trastornos hemodinámicas)
Calor: por aumento de sangre y el mayor metabolismo en la
zona (mediadores de la t.°)
Dolor: por irritación de fibras sensitivas, aumento de la tensión
dentro del foco y por algunos mediadores de la inflamación
(citocinas y/o IL). Cornelius Celsus (30 DC)
Pérdida o disminución de la Función consecuencia final de la
lesión. Virchow (1858)
Terminología
Órgano
Afectado Exudado o
Lesión
Distribución o
Extensión
Duración
Gravedad o
Severidad
Itis ….
Encefalitis
Gastritis
Serosa, fibrinosa, purulenta
formas mixtas: fibrinopurulenta
Ulcerativa, Necrosante
Anquilosante
Focal, Multifocal,
Zonal, Extensiva
Difusa
Aguda, suba
guda y
crónica
Leve
moderada
severa
Terminología
Nombre del Órgano o tejido + itis:
Estomatitis, gastritis, enteritis…
Excepciones
Abomaso
Amígdala
Bazo
Bronquio
Casco, pezuña
Ciego
Conductos biliares
Córnea
Diente
Encía
Encéfalo
Estómago
Glande
Glándula lacrimal
Glándula salival
Glomérulo renal
Grasa
Hígado
Hueso
Íleon
Intestino
Lengua
Medula ósea
Medula espinal
Meninges
Miocardio
Músculo esquelético
Nervio
Nódulo linfático
Oído
Ombligo
Páncreas
Párpado
Pelvis renal
Piel
Pericardio
Placenta
Pleura
Prepucio
Próstata
Pulmón
Riñón
Testículo
Tiroides
Tráquea
Vesícula biliar
Vena
Intestino - Íleon
Encía - Boca
Glándulas
Glándulas
Párpado
Córnea
Oreja, oído externo
Estómago
Riñón
Pulmón
Pericardio
Piel
Piel
La inflamación es una reacción tisular
compleja que consiste básicamente en
respuestas de los vasos y los leucocitos.
Piel sana
Pioderma
La duración de la inflamación
Inflamación
aguda
Minutos a Horas
Progreso
Resolución
Inflamación
Crónica
Días, meses…
Exudativa
Proliferativa
INFLAMACIÓN AGUDA
Vs
INFLAMACIÓN CRÓNICA
Clasificación según el tipo de Exudado
Exudado
Es el conjunto de elementos extravasados en el
proceso inflamatorio, que se depositan en
el intersticio de los tejidos o cavidades del
organismo.
Se diferencia del transudado por la mayor
riqueza de proteínas y células
Características del Exudado
Características Exudado Trasudado
Causa Inflamatoria Trastorno circulatorio
(edema)
Gravedad específica Mayor de 1018 Menor de 1015
Contenido de
Proteína
Mayor de 4% Menor de 3%
Coagulación Frecuente Rara
Células
Inflamatorias
Abundantes Escasas
Bacterias Frecuentes No
Seroso
Catarral
Fibrinoso Granulomatoso
Eosinofílico
Mixto
Clasificación
de los
exudados
Linfocitario
Purulento
Seroso: Agua, proteína, escasas células
Líquido claro.
En daños leves o etapas iniciales
del proceso inflamatorio.
Común en mucosas y serosas
Sistema respiratorio, fosas
nasales, conjuntiva, quemaduras, e
nfermedades de tipo vesicular con
ámpulas o ampollas.
Exudado Seroso
Catarral: mucopolisacáridos, material
necrótico, anticuerpos y neutrófilos en algunos
casos
Líquido a viscoso y de color
diverso color según sus
componentes.
Característico de las membranas
mucosas que poseen glándulas y
células caliciformes.
Se encuentra a menudo en casos
de
rinitis, sinusitis, traqueítis, bronqu
itis, endometritis y enteritis
Exudado Catarral
Fibrinosa: Predominio de fibrina
Indica severa alteración de la
permeabilidad vascular con
extravasación de proteínas
incluído el fibrinógeno
Este exudado se presenta
principalmente en membranas
serosas y mucosas como:
intestino, peritoneo, pleura,
sinovias y meninges.
La organización de la fibrina
(pseudomembranas) en las
serosas tiende a formar
adherencias.
Exudado Catarral
Purulenta: Neutrófilos y material
necrótico
Tiene consistencia
cremosa, color
blanquecino, amarillento y en
ocasiones verdoso.
Se forma como reacción a
infecciones por bacterias
piógenas. necrosis
licuefactiva, en algunos casos
crónicos es rodeado por
tejido conectivo
fibroso, formando una cápsula
o absceso.
Clasificación del exudado según la
cavidad u órgano
Denominación Órgano o tejido
Empiema Acumulación del exudado en cualquier cavidad (ej:
empiema pleura, cavidad pleural)
Piotórax Tórax
Pioperitoneo Peritoneo
Hipopion Cámara anterior del ojo
Piometra Útero
Pioderma Piel
Exudado Purulento
Granulomatoso: macrófagos y linfocitos
Inflamación crónica, También pueden
coexistir otras células como neutrófilos o
eosinófilos.
Entre las causas están: bacterias como
Brucella spp., Mycobacterium
spp., Actinomyces, Corynebacterium
ovis, Nocardia; hongos como
Blastomyces, Histoplasma; reacciones a
compuestos oleosos, polisacáridos
complejos, algunos cuerpos extraños, y
reacciones de hipersensibilidad de tipo
IV mediada por células
El exudado puede estar contenido dentro
de una cápsula fibrosa y se denomina
granuloma
Exudado
Granulomatoso
Exudado linfocitario
En el sistema nervioso de
etiología viral, acumulación
de linfocitos alrededor de
vasos sanguíneos.
Ejemplos de esta reacción se
observan en rabia, moquillo,
encefalitis equina, y
pseudorrabia entre otras.
Este exudado sólo es visible
microscópicamente.
Exudado eosinofílico
Contra una gran variedad
de parásitos y en procesos
anafilácticos
hipersensibilidad y
parásitos
Exudados mixtos
Los exudados se denominan según el elemento
predominante; pero, en ocasiones, presentan
características de dos o más elementos, y
entonces reciben nombres compuestos:
mucopurulento, fibrinopurulento,
serofibrinoso, seromucoso, etcétera.
INFLAMACIÓN AGUDA
INFLAMACIÓN AGUDA
Los principales signos son causados por
cambios hemodinámicos a nivel de la
microcirculación
Estos cambios son producidos por la
intervención de mediadores químicos y
mecanismos neurógenicos; la gravedad de
estos cambios dependen del tipo de agente
y el órgano afectado.
Estímulos para la Inflamación Aguda
• Infecciones y toxinas bacterianas
• Necrosis tisular
• Cuerpos Extraños
• Reacciones Inmunitarias
Inflamación Aguda
Respuesta Rápida que permite la llegada de
leucocitos y proteínas (Ac) al foco de
infección o lesión
Está constituida por:
Reacciones de los vasos
sanguíneos
Emigración, acumulació
n y activación de
leucocitos
Reacciones de los vasos en la
Inflamación Aguda
Trasudado → Exudado
Cambios en el flujo
y calibre Vascular
Aumento de la
permeabilidad
vascular
Respuesta de los
vasos linfáticos
Cambios en el flujo y calibre Vascular
Vasodilatación:
Afecta primero las arteriolas y abre lechos
vasculares en la zona.
Estasis sanguíneo, con acumulación de
leucocitos, ppalmente neutrófilos a lo largo del
endotelio
Se induce por acción de varios mediadores:
Histamina y óxido nítrico ppalmente
Aumento de la permeabilidad vascular
Contracción de células endoteliales que aumenta
los espacios interendoteliales –
histamina, bradicinina, leucotrienos.
Aumento del transporte de líquidos y proteínas
Mecanismo implicado principal/ en lesiones
endoteliales que causan necrosis con
desprendimiento de las células. Quemaduras y
acción de microbios.
Respuestas de los vasos linfáticos
En la inflamación el flujo de linfa aumenta y
contribuye a drenar el líquido de edema
acumulado por el aumento de la permeabilidad
vascular.
Además leucocitos y restos celulares también
microbios se pueden abrir camino hacia la linfa.
Reacciones de los leucocitos en la
inflamación
Los leucocitos más importantes de la
inflamación aguda típica son los que realizan
fagocitosis – Neutrófilos y macrófagos
Respuesta de las
Células en tejidos
Reclutamiento
Marginación, rodamiento y adherencia al
endotelio
Migración a través del endotelio
Migración a través de los tejidos en dirección a
un estímulo quimiotáctico.
1
2
3
Reconocimiento de microbios y
tejidos muertos - Activación
Los leucocitos expresan varios receptores que
reconocen estímulos externos y emiten señales
activadoras:
R para los productos microbianos (TLR)
R acoplados a proteínas G - Prot
R para las opsoninas - Igs
Eliminación de los agentes Lesivos
Fagocitosis: Implica tres pasos:
Reconocimiento y unión
Englobamiento
Destrucción o degradación
1
2
3
Otras Respuestas Funcionales de los
leucocitos Activados
Producen factores de crecimiento que estimulan
la proliferación de las células endoteliales y
fibroblastos, síntesis de colágeno y enzimas que
remodelan los tejidos conjuntivos.
Remodelación tisular y fibrosis
Efectos antinflamatorios
Defectos en la función Leucocitaria
Defectos en la producción
Defectos en la selectividad
Defectos hereditarios en la adherencia
leucocitaria
Defectos hereditarios en la función de los
fagolisosomas
Finalización de la respuesta
inflamatoria
Desaparición del estímulo
Degradación y corta semivida de los factores
inflamatorios
Semivida corta de los neutrófilos 6- 24 h
Liberación de sustancias antiinflamatorias
Mediadores químicos de la respuesta
inflamatoria
• Diferentes sustancias químicas han sido
identificadas como importantes mediadores
en la inflamación.
• La importancia de la acción de estos
mediadores varía dependiendo de la especie
animal, la localización de la agresión y la
naturaleza del agente agresor.
Mediador Fuentes Principales Acciones
Derivados de las células
Histamina Mastocitos, basófilos,
plaquetas
Vasodilatación, Aumento de la permeabilidad,
activación endotelial
Serotonina Plaquetas
Prostaglandinas Mastocitos, leucocitos Vasodilatación, dolor, fiebre
Leucotrienos Mastocitos, leucocitos Aumento de la permeabilidad vascular,
quimiotaxis, adherencia y activación de los
leucocitos
Factor activador de
plaquetas
Leucocitos, Mastocitos Vasodilatación, aumento de la permeabilidad
vascular, adherencia leucocitaria, quimiotaxis,
desgranulación, explosión oxidativa
Especies Reactivas
de Oxígeno
Leucocitos, endotelio,
Macrófagos
Destrucción de microbios, lesión tisular
Óxido Nítrico Endotelio, Macrófagos Relajación del Músculo liso vascular, destrucción
de los microbios
Citocinas (TNF, IL-1) Macrófagos, células
endoteliales, mastocitos
Activación endotelial local, fiebre, dolor, anorexia,
hipotensión, reducción de la resistencia vascular
(Shock)
Quimiocinas Leucocitos, Macrófagos
activados
Quimiotaxis, activación de leucocitos.
Derivados de las proteínas plasmáticas
Mediador Fuentes principales Acciones
Productos del
complemento (C5a, C3a,
C4a)
Plasma Quimiotaxis y activación de
leucocitos, vasodilatación
Cininas Plasma Aumento de la permeabilidad
vascular, contracción del músculo
liso, vasodilatación, dolor
Proteasas Activadas
durante la coagulación
Plasma Activación endotelial,
reclutamiento de leucocitos
Papel en la Inflamación Mediadores
Vasodilatación Prostaglandinas
Óxido nítrico
Histamina
Aumento de la permeabilidad vascular Histamina y serotonina
C5a y C3a
Bradicinina
Leucotrienos
PAF
Quimiotaxis, reclutamiento y activación
de los leucocitos
TNF, IL-1
Quimiocinas
C3a y C5a
Leucotrienos
Fiebre IL-1, TNF
Prostaglandinas
Dolor Prostaglandinas
Bradicinina
Lesión Tisular Especies Reactivas de Oxígeno
Enzimas Lisosómicas de los leucocitos
Oxido Nítrico
Inflamación Crónica
Inflamación Crónica
1. La inflamación crónica tiene una duración
prolongada (semanas o meses)
2. Infiltrado celular está compuesto sobre todo
por macrófagos, linfocitos y células
plasmáticas
3. La reacción inflamatoria es más productiva
que exudativa. (formación de tejido fibroso
prevalece sobre el exudado de líquidos).
Causas de la Inflamación Crónica
Infecciones persistentes: por gérmenes difíciles de
eliminar como micobacterias, virus, hongos y
parásitos – Reacción granulomatosa
Enfermedades inflamatorias de mecanismo
inmunitario: Alérgicas, enfermedades autoinmunes
Exposición prolongada a agentes con capacidad
tóxica, exógenos o endógenos:
neumocodiosis, silicosis
Características Morfológicas
Se caracteriza por:
• Infiltración mononuclear
• Destrucción de tejidos por células inflamatorias
• Reparación: angiogenésis y fibrosis
Inflamación Granulomatosa
Tuberculosis, Actinomicosis, Actinobacilosis, Botrio
micosis e infecciones Micóticas
Granuloma
Pulmón: granuloma de
Reacción a cuerpo
extraño
Célula gigante de Langerhans
TEJIDO DE GRANULACIÓN
Papel de los macrófagos en la
inflamación crónica
• Monocitos sanguíneos – Macrófagos tisulares
• Células de kupffer, histiocitos
sinusales, macrófagos alveolares y microglia.
• La semivida de un monocito circulante es de
1h, de un macrófago meses o años
Otras células implicadas en la
Inflamación Crónica
Linfocitos: Se movilizan en las lesiones
inmunitarias mediadas por Ac y por células.
Los macrófagos muestran Ag a los linfocitos T y
producen coestimuladores que estimulan la
respuesta linfocitaria.
Los linfocitos T activados producen citocinas que
reclutan monocitos y activan macrófagos
Relación Bidireccional
Otras células implicadas en la Inflamación
Crónica
Células Plasmáticas: Se
desarrollan a partir de linfocitos
B activados y producen Ac.
Eosinófilos: Abundantes en
reacciones mediadas por IgE y
parasitosis
Los neutrófilos pueden estar
presente en algunas
inflamaciones – Crónicas Activas
Eventos sistémicos en la inflamación
1. Incremento de la temperatura corporal. Mediada por
liberación de IL-1 de macrófagos, PGE2,TNFa
2. Leucocitosis y otros cambios hematopoyéticos: Asociado
con:
Aumento de la liberación de células maduras de la
médula ósea.
Estimulación de la granulocitopoyesis (factores
estimulantes de colonia liberados de macrófagos y
linfocitos T. Proteínas de fase aguda: SAA, fibrinógeno y
otras proteínas de la coagulación, proteínas del
complemento.
3. Otras citocinas inducen alteraciones (Ej. pérdida de peso)
TEMAS CARCINOGÉNESIS
1. Definición de Neoplasia y nomenclatura de los
tumores
2. Oncogenes y antioncogenes
3. Genes que regulan la apoptosis codifican para la
telomerasa
4. Agentes carcinogénicos
5. Características de las neoplasias benignas y malignas
6. Vías y mecanismos de diseminación
7. Efectos del tumor sobre el hospedador
8. Métodos de diagnóstico de las neoplasias
9. Graduación y estadificación de los tumores*

Inflamación

  • 1.
  • 2.
    Introducción Para que losindividuos sobrevivan, resulta esencial la capacidad de librarse de los restos necróticos, lesionados y de los invasores extraños como los microbios. La respuesta del hospedero con este fin se denomina inflamación, respuesta fundamentalmente protectora, diseñada para librar al organismo de una causa lesiva.
  • 3.
    Introducción Sin inflamación, lasinfecciones no serían controladas, las heridas nunca cicatrizarían y los tejidos lesionados serían un fuente de lesión permanente.
  • 4.
    Introducción • La inflamacióntermina cuando se elimina el agente responsable del daño. • La respuesta inflamatoria se entremezcla de forma estrecha con el proceso de reparación • La inflamación puede se lesiva en algunas situaciones.
  • 5.
  • 6.
    Finalidad • Destruir, aislaro diluir a los microorganismos invasores • Remover restos necróticos y exudados • Preparar para la reparación • Daño tisular?
  • 7.
    Signos Cardinales dela Inflamación Eritema o Rubor: zona enrojecida por acumulación de sangre y mediadores de la Inflamación Tumor o Edematización: aumento de tamaño debido a la acumulación de sangre y exudado (trastornos hemodinámicas) Calor: por aumento de sangre y el mayor metabolismo en la zona (mediadores de la t.°) Dolor: por irritación de fibras sensitivas, aumento de la tensión dentro del foco y por algunos mediadores de la inflamación (citocinas y/o IL). Cornelius Celsus (30 DC) Pérdida o disminución de la Función consecuencia final de la lesión. Virchow (1858)
  • 9.
    Terminología Órgano Afectado Exudado o Lesión Distribucióno Extensión Duración Gravedad o Severidad Itis …. Encefalitis Gastritis Serosa, fibrinosa, purulenta formas mixtas: fibrinopurulenta Ulcerativa, Necrosante Anquilosante Focal, Multifocal, Zonal, Extensiva Difusa Aguda, suba guda y crónica Leve moderada severa
  • 10.
    Terminología Nombre del Órganoo tejido + itis: Estomatitis, gastritis, enteritis… Excepciones
  • 11.
    Abomaso Amígdala Bazo Bronquio Casco, pezuña Ciego Conductos biliares Córnea Diente Encía Encéfalo Estómago Glande Glándulalacrimal Glándula salival Glomérulo renal Grasa Hígado Hueso Íleon Intestino Lengua Medula ósea Medula espinal Meninges Miocardio Músculo esquelético Nervio Nódulo linfático Oído Ombligo Páncreas Párpado Pelvis renal Piel Pericardio Placenta Pleura Prepucio Próstata Pulmón Riñón Testículo Tiroides Tráquea Vesícula biliar Vena
  • 12.
  • 13.
  • 14.
  • 15.
  • 16.
  • 17.
  • 18.
  • 19.
  • 20.
  • 21.
  • 22.
  • 23.
  • 24.
    La inflamación esuna reacción tisular compleja que consiste básicamente en respuestas de los vasos y los leucocitos.
  • 25.
  • 26.
    La duración dela inflamación Inflamación aguda Minutos a Horas Progreso Resolución Inflamación Crónica Días, meses… Exudativa Proliferativa
  • 27.
  • 28.
    Clasificación según eltipo de Exudado
  • 29.
    Exudado Es el conjuntode elementos extravasados en el proceso inflamatorio, que se depositan en el intersticio de los tejidos o cavidades del organismo. Se diferencia del transudado por la mayor riqueza de proteínas y células
  • 30.
    Características del Exudado CaracterísticasExudado Trasudado Causa Inflamatoria Trastorno circulatorio (edema) Gravedad específica Mayor de 1018 Menor de 1015 Contenido de Proteína Mayor de 4% Menor de 3% Coagulación Frecuente Rara Células Inflamatorias Abundantes Escasas Bacterias Frecuentes No
  • 33.
  • 34.
    Seroso: Agua, proteína,escasas células Líquido claro. En daños leves o etapas iniciales del proceso inflamatorio. Común en mucosas y serosas Sistema respiratorio, fosas nasales, conjuntiva, quemaduras, e nfermedades de tipo vesicular con ámpulas o ampollas.
  • 35.
  • 36.
    Catarral: mucopolisacáridos, material necrótico,anticuerpos y neutrófilos en algunos casos Líquido a viscoso y de color diverso color según sus componentes. Característico de las membranas mucosas que poseen glándulas y células caliciformes. Se encuentra a menudo en casos de rinitis, sinusitis, traqueítis, bronqu itis, endometritis y enteritis
  • 37.
  • 38.
    Fibrinosa: Predominio defibrina Indica severa alteración de la permeabilidad vascular con extravasación de proteínas incluído el fibrinógeno Este exudado se presenta principalmente en membranas serosas y mucosas como: intestino, peritoneo, pleura, sinovias y meninges. La organización de la fibrina (pseudomembranas) en las serosas tiende a formar adherencias.
  • 39.
  • 40.
    Purulenta: Neutrófilos ymaterial necrótico Tiene consistencia cremosa, color blanquecino, amarillento y en ocasiones verdoso. Se forma como reacción a infecciones por bacterias piógenas. necrosis licuefactiva, en algunos casos crónicos es rodeado por tejido conectivo fibroso, formando una cápsula o absceso.
  • 41.
    Clasificación del exudadosegún la cavidad u órgano Denominación Órgano o tejido Empiema Acumulación del exudado en cualquier cavidad (ej: empiema pleura, cavidad pleural) Piotórax Tórax Pioperitoneo Peritoneo Hipopion Cámara anterior del ojo Piometra Útero Pioderma Piel
  • 42.
  • 43.
    Granulomatoso: macrófagos ylinfocitos Inflamación crónica, También pueden coexistir otras células como neutrófilos o eosinófilos. Entre las causas están: bacterias como Brucella spp., Mycobacterium spp., Actinomyces, Corynebacterium ovis, Nocardia; hongos como Blastomyces, Histoplasma; reacciones a compuestos oleosos, polisacáridos complejos, algunos cuerpos extraños, y reacciones de hipersensibilidad de tipo IV mediada por células El exudado puede estar contenido dentro de una cápsula fibrosa y se denomina granuloma
  • 44.
  • 45.
    Exudado linfocitario En elsistema nervioso de etiología viral, acumulación de linfocitos alrededor de vasos sanguíneos. Ejemplos de esta reacción se observan en rabia, moquillo, encefalitis equina, y pseudorrabia entre otras. Este exudado sólo es visible microscópicamente.
  • 46.
    Exudado eosinofílico Contra unagran variedad de parásitos y en procesos anafilácticos hipersensibilidad y parásitos
  • 47.
    Exudados mixtos Los exudadosse denominan según el elemento predominante; pero, en ocasiones, presentan características de dos o más elementos, y entonces reciben nombres compuestos: mucopurulento, fibrinopurulento, serofibrinoso, seromucoso, etcétera.
  • 48.
  • 49.
    INFLAMACIÓN AGUDA Los principalessignos son causados por cambios hemodinámicos a nivel de la microcirculación Estos cambios son producidos por la intervención de mediadores químicos y mecanismos neurógenicos; la gravedad de estos cambios dependen del tipo de agente y el órgano afectado.
  • 50.
    Estímulos para laInflamación Aguda • Infecciones y toxinas bacterianas • Necrosis tisular • Cuerpos Extraños • Reacciones Inmunitarias
  • 51.
    Inflamación Aguda Respuesta Rápidaque permite la llegada de leucocitos y proteínas (Ac) al foco de infección o lesión Está constituida por: Reacciones de los vasos sanguíneos Emigración, acumulació n y activación de leucocitos
  • 52.
    Reacciones de losvasos en la Inflamación Aguda Trasudado → Exudado Cambios en el flujo y calibre Vascular Aumento de la permeabilidad vascular Respuesta de los vasos linfáticos
  • 53.
    Cambios en elflujo y calibre Vascular Vasodilatación: Afecta primero las arteriolas y abre lechos vasculares en la zona. Estasis sanguíneo, con acumulación de leucocitos, ppalmente neutrófilos a lo largo del endotelio Se induce por acción de varios mediadores: Histamina y óxido nítrico ppalmente
  • 55.
    Aumento de lapermeabilidad vascular Contracción de células endoteliales que aumenta los espacios interendoteliales – histamina, bradicinina, leucotrienos. Aumento del transporte de líquidos y proteínas Mecanismo implicado principal/ en lesiones endoteliales que causan necrosis con desprendimiento de las células. Quemaduras y acción de microbios.
  • 56.
    Respuestas de losvasos linfáticos En la inflamación el flujo de linfa aumenta y contribuye a drenar el líquido de edema acumulado por el aumento de la permeabilidad vascular. Además leucocitos y restos celulares también microbios se pueden abrir camino hacia la linfa.
  • 57.
    Reacciones de losleucocitos en la inflamación Los leucocitos más importantes de la inflamación aguda típica son los que realizan fagocitosis – Neutrófilos y macrófagos
  • 58.
  • 59.
    Reclutamiento Marginación, rodamiento yadherencia al endotelio Migración a través del endotelio Migración a través de los tejidos en dirección a un estímulo quimiotáctico. 1 2 3
  • 61.
    Reconocimiento de microbiosy tejidos muertos - Activación Los leucocitos expresan varios receptores que reconocen estímulos externos y emiten señales activadoras: R para los productos microbianos (TLR) R acoplados a proteínas G - Prot R para las opsoninas - Igs
  • 62.
    Eliminación de losagentes Lesivos Fagocitosis: Implica tres pasos: Reconocimiento y unión Englobamiento Destrucción o degradación 1 2 3
  • 65.
    Otras Respuestas Funcionalesde los leucocitos Activados Producen factores de crecimiento que estimulan la proliferación de las células endoteliales y fibroblastos, síntesis de colágeno y enzimas que remodelan los tejidos conjuntivos. Remodelación tisular y fibrosis Efectos antinflamatorios
  • 66.
    Defectos en lafunción Leucocitaria Defectos en la producción Defectos en la selectividad Defectos hereditarios en la adherencia leucocitaria Defectos hereditarios en la función de los fagolisosomas
  • 67.
    Finalización de larespuesta inflamatoria Desaparición del estímulo Degradación y corta semivida de los factores inflamatorios Semivida corta de los neutrófilos 6- 24 h Liberación de sustancias antiinflamatorias
  • 68.
    Mediadores químicos dela respuesta inflamatoria • Diferentes sustancias químicas han sido identificadas como importantes mediadores en la inflamación. • La importancia de la acción de estos mediadores varía dependiendo de la especie animal, la localización de la agresión y la naturaleza del agente agresor.
  • 69.
    Mediador Fuentes PrincipalesAcciones Derivados de las células Histamina Mastocitos, basófilos, plaquetas Vasodilatación, Aumento de la permeabilidad, activación endotelial Serotonina Plaquetas Prostaglandinas Mastocitos, leucocitos Vasodilatación, dolor, fiebre Leucotrienos Mastocitos, leucocitos Aumento de la permeabilidad vascular, quimiotaxis, adherencia y activación de los leucocitos Factor activador de plaquetas Leucocitos, Mastocitos Vasodilatación, aumento de la permeabilidad vascular, adherencia leucocitaria, quimiotaxis, desgranulación, explosión oxidativa Especies Reactivas de Oxígeno Leucocitos, endotelio, Macrófagos Destrucción de microbios, lesión tisular Óxido Nítrico Endotelio, Macrófagos Relajación del Músculo liso vascular, destrucción de los microbios Citocinas (TNF, IL-1) Macrófagos, células endoteliales, mastocitos Activación endotelial local, fiebre, dolor, anorexia, hipotensión, reducción de la resistencia vascular (Shock) Quimiocinas Leucocitos, Macrófagos activados Quimiotaxis, activación de leucocitos.
  • 70.
    Derivados de lasproteínas plasmáticas Mediador Fuentes principales Acciones Productos del complemento (C5a, C3a, C4a) Plasma Quimiotaxis y activación de leucocitos, vasodilatación Cininas Plasma Aumento de la permeabilidad vascular, contracción del músculo liso, vasodilatación, dolor Proteasas Activadas durante la coagulación Plasma Activación endotelial, reclutamiento de leucocitos
  • 71.
    Papel en laInflamación Mediadores Vasodilatación Prostaglandinas Óxido nítrico Histamina Aumento de la permeabilidad vascular Histamina y serotonina C5a y C3a Bradicinina Leucotrienos PAF Quimiotaxis, reclutamiento y activación de los leucocitos TNF, IL-1 Quimiocinas C3a y C5a Leucotrienos Fiebre IL-1, TNF Prostaglandinas Dolor Prostaglandinas Bradicinina Lesión Tisular Especies Reactivas de Oxígeno Enzimas Lisosómicas de los leucocitos Oxido Nítrico
  • 73.
  • 75.
    Inflamación Crónica 1. Lainflamación crónica tiene una duración prolongada (semanas o meses) 2. Infiltrado celular está compuesto sobre todo por macrófagos, linfocitos y células plasmáticas 3. La reacción inflamatoria es más productiva que exudativa. (formación de tejido fibroso prevalece sobre el exudado de líquidos).
  • 76.
    Causas de laInflamación Crónica Infecciones persistentes: por gérmenes difíciles de eliminar como micobacterias, virus, hongos y parásitos – Reacción granulomatosa Enfermedades inflamatorias de mecanismo inmunitario: Alérgicas, enfermedades autoinmunes Exposición prolongada a agentes con capacidad tóxica, exógenos o endógenos: neumocodiosis, silicosis
  • 77.
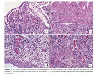
    Características Morfológicas Se caracterizapor: • Infiltración mononuclear • Destrucción de tejidos por células inflamatorias • Reparación: angiogenésis y fibrosis Inflamación Granulomatosa Tuberculosis, Actinomicosis, Actinobacilosis, Botrio micosis e infecciones Micóticas
  • 79.
    Granuloma Pulmón: granuloma de Reaccióna cuerpo extraño Célula gigante de Langerhans
  • 80.
  • 81.
    Papel de losmacrófagos en la inflamación crónica • Monocitos sanguíneos – Macrófagos tisulares • Células de kupffer, histiocitos sinusales, macrófagos alveolares y microglia. • La semivida de un monocito circulante es de 1h, de un macrófago meses o años
  • 84.
    Otras células implicadasen la Inflamación Crónica Linfocitos: Se movilizan en las lesiones inmunitarias mediadas por Ac y por células. Los macrófagos muestran Ag a los linfocitos T y producen coestimuladores que estimulan la respuesta linfocitaria. Los linfocitos T activados producen citocinas que reclutan monocitos y activan macrófagos Relación Bidireccional
  • 86.
    Otras células implicadasen la Inflamación Crónica Células Plasmáticas: Se desarrollan a partir de linfocitos B activados y producen Ac. Eosinófilos: Abundantes en reacciones mediadas por IgE y parasitosis Los neutrófilos pueden estar presente en algunas inflamaciones – Crónicas Activas
  • 87.
    Eventos sistémicos enla inflamación 1. Incremento de la temperatura corporal. Mediada por liberación de IL-1 de macrófagos, PGE2,TNFa 2. Leucocitosis y otros cambios hematopoyéticos: Asociado con: Aumento de la liberación de células maduras de la médula ósea. Estimulación de la granulocitopoyesis (factores estimulantes de colonia liberados de macrófagos y linfocitos T. Proteínas de fase aguda: SAA, fibrinógeno y otras proteínas de la coagulación, proteínas del complemento. 3. Otras citocinas inducen alteraciones (Ej. pérdida de peso)
  • 97.
    TEMAS CARCINOGÉNESIS 1. Definiciónde Neoplasia y nomenclatura de los tumores 2. Oncogenes y antioncogenes 3. Genes que regulan la apoptosis codifican para la telomerasa 4. Agentes carcinogénicos 5. Características de las neoplasias benignas y malignas 6. Vías y mecanismos de diseminación 7. Efectos del tumor sobre el hospedador 8. Métodos de diagnóstico de las neoplasias 9. Graduación y estadificación de los tumores*