LESIONES PRE-MALIGNAS
DRA. DARLEN DÍAZ
Lesiones Pre-malignas:
 Según las OMS: Son lesiones crónicas de la mucosa bucal,
que presentan un riesgo de desarrollar cáncer bucal.
CLASIFICACIÓN :
CLÍNICA:
 Leucoplasia
 Eritroplasia
 Queilitis actínica
HISTOPATPLÓGICA:
 Displasia epitelial
 Carcinoma espino
celular in situ
 Queratosis
Leucoplasia:
 lesión predominantemente blanca de la mucosa oral que no
puede ser caracterizada como alguna otra lesión definible;
algunas leucoplasias pueden transformarse en cáncer. Este
último aspecto importante siempre de tenerlo presente, fue
incluido en la definición de Leucoplasia en 1996, a pesar que se
sabe desde hace muchos años que la Leucoplasia puede
transformarse en cáncer.
Factores etiológicos:
 Fumar
 Ingestión de bebidas alcohólicas
 Deficiencia de vitaminas
 Factores hormonales
 Traumatismo
 Virus
Clasificación
 Leucoplasia simple (también llamada Leucoplasia homogénea,
se presenta como una mancha blanca homogénea, de
superficie suave. Es la forma de Leucoplasia más frecuente
(56%) y también considerada la más benigna, puesto que rara
vez sufre transformación maligna (3%)
Leucoplasia verrucosa:
 Leucoplasia verrucosa: Se presenta como una mancha blanca
levemente moteada de color blanco-grisáceo, de superficie
papilar e irregular. Su frecuencia de aparición es de un 27% y su
tasa de malignización de un 11%, pudiendo transformarse a un
carcinoma verrucoso, siendo las mujeres las mas afectadas en
algunos casos se ha encontrado relación con VPH.
Leucoplasia vellosa
 Leucoplasia vellosa: Se ve en pacientes VIH con progresión a SIDA,
podemos observarla en bordes laterales, cara dorsal y ventral de la
lengua.
Manejo de la Leucoplasia
Corroborar el diagnóstico de Leucoplasia, descartando aquellas
lesiones que clínicamente también se manifiestan como manchas
blancas en la mucosa oral.
Identificar y eliminar factores irritativos como tabaco, alcohol,
mala higiene, etcétera.
Si se trata de Leucoplasia y su apariencia clínica, su localización e
histopatología no sugieren malignidad (Leucoplasia simple y
homogénea), existen dos alternativas de tratamiento. La primera es la
eliminación de factores irritantes si es que éstos fueron identificados y
mantener un control clínico periódico. La segunda posibilidad es la
eliminación quirúrgica total y controlar cada seis meses si es posible.
Si por las características de localización y apariencia clínica, la lesión
sugiere La posibilidad de cambios neoplásicos (Leucoplasia verrucosa, o
se localiza en un sitio de alto riesgo, como es el piso de la boca), es
indispensable biopsiar y realizar la remoción quirúrgica total,
independiente del grado de severidad de displasia encontrado. Este
paciente debe ser controlado una vez cada cuatro semanas durante el
primer año
Diagnóstico diferencial:
 Candidiasis seudomembranosa aguda. ( placas blancas
que son removidas mecánicamente dejan superficie
sangrante)
 Liquen Plano Reticular. ( placas blancas bilaterales en
forma de estrías)
 Leucoedema ( Opacidad blanquecina caras internas de
las mejillas afecta un 90% raza negra) desaparece al
distender el carrillo) .
 Nevus Blanco ( lesión bilateral, densa velluda)
Candidiasis bucal seudomembranosa aguda.
 La candidiasis bucal es causada por formas de un hongo llamado
cándida albicans , un organismo que vive en la cavidad bucal. Sin
embargo, cuando la resistencia a la infección es baja, el hongo
puede crecer, llevando a que se presenten lesiones blanquecinas
en la mucosa bucal y en la lengua. Se elimina fácilmente con una
gasa, la mucosa subyacente queda eritematosa y puede sangrar
ligeramente.
 SINONIMIA: Moniliasis; enfermedad de Muget; algodoncillo
Factores de riesgo
 Tomar antibióticos o usar medicamentos esteroides
 Tener infección por VIH o SIDA
 Recibir quimioterapia para el cáncer o medicamentos
que inhiban el sistema inmunitario después del
trasplante de un órgano
 Tener mala higiene bucal
 Padecer diabetes
Características clínicas:
 Placas de consistencia blanda, se desprende
mecánicamente y deja descubierta un área
eritematosa.
 Ubicación cualquier área de la mucosa bucal en
especial la lengua
 Síntomas leves en casos mas graves dolor, ardor y
disfagia
Diagnóstico Diferencial
 Quemaduras químicas
 Leucoplasia
 Liquen plano reticular
Tratamiento de candidiasis
 Para la enfermedad leve, se recomienda el uso de nistatina en
suspensión a una concentración de 100.000 U / ml, en dosis de
4 - 6 ml cuatro veces al día durante 7-14 días.
 Es importante considerar que la nistatina tiene poca absorción
sistémica y alto contenido de azúcar como un vehículo, por lo
que se sugiere utilizar con precaución en pacientes diabéticos.
 Para casos de enfermedad moderada a grave, se recomienda el
uso de fluconazol vía oral en dosis de 200 mg o 150 mg (3 mg /
kg) el primer día y 100 mg/día durante 7-14 días.
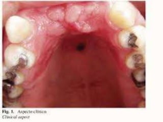
Eritroplasia
 La OMS definió a la Eritroplasia como una mancha aterciopelada,
rojo brillante, que clínicamente no puede ser atribuida a ninguna
otra condición'.
 Por otra parte, la gran mayoría de los casos de Eritroplasia
presenta histológicamente, carcinoma in situ y/o carcinoma
invasor.
Clasificación clínica
 Eritroplasia homogénea: Se presenta como una mancha roja, brillante,
aterciopelada, de límites netos, generalmente extensa, de consistencia
blanda. Su ubicación más frecuente es en la cara interna de la mejilla.
 Eritroplasia con áreas de leucoplasias: Presenta áreas eritematosas y
menos brillantes que la variedad homogénea. La zona de mayor
frecuencia de localización es la lengua y piso de boca.
 Eritroplasia moteada: Denominada así cuando el color predominante es
el rojo, y el moteado blanco parece estar sobrepuesto. La consistencia
es blanda, los límites irregulares y su superficie granular.
 Potencial maligno de la Eritroplasia: La Eritroplasia ha sido
mencionada como la lesión precancerosa altamente peligrosa
debido a que generalmente equivalencia histológica corresponde a
carcinoma in sitiu o a carcinoma invasor. En 1963, Pindborg
notificó la potencialidad maligna de esta lesión, y más tarde, en
1975, fue corroborado por Waldron y Shafer, que informaron un
98% de carcinoma invasor, carcinoma in situ o displasias severas en
58 casos de Eritroplasia. Sin embargo, aunque se conoce el riesgo
de desarrollo de cáncer a partir de la displasia, no han sido
determinados de alto y bajo riesgo, sino que todos se consideran
altamente peligrosos
Tratamiento de la Eritroplasia
Al igual que para los casos de Leucoplasia, es indispensable el
correcto diagnóstico de la lesión, para lo cual se requiere realizar el
diagnóstico diferencial con patología de manifestación clínica similar
como: candidiasis eritematosa; liquen plano erosivo; candidiasis
subprotésica y en general estomatitis y gingivitis inflamatoria
subagudas o crónicas de la mucosa oral.
El diagnóstico debe ser corroborado por biopsia, y posteriormente se
indica obligatoriamente la remoción quirúrgica
Los controles de la lesión deben ser periódicos y más frecuentes que
para los casos de leucoplasias
Palatitis nicotínica
 Esta localización no parece predisponer a la malignidad,
diferente a lo que ocurre con las demás regiones de la mucosa
bucal. Si el consumo de tabaco cesa, tiende a resolverse
Queilitis Actínica:
 Es una lesión de labio producida por los rayos del sol
en las personas de piel muy blanca
Estado pre maligno o condiciones pre neoplásicas
 Es una condición generalizada asociada con un
significativo aumento del riesgo de tener un cáncer
Liquen Plano (LP)
 Es una enfermedad de etiología desconocida, probablemente de
origen inmunológico y asociada al stress, que afecta piel y
mucosa. Generalmente se observa más en mujeres, que "padecen"
de preocupaciones en el hogar o trabajo. Presenta frecuentes
manifestaciones bucales que muchas veces preceden las
manifestaciones cutáneas.
Clínicamente existen tres formas más comunes:
 LP reticular
 LP erosivo o atrófico
 LP tipo placa
Liquen plano reticular
 Asintomático
 Lesiones blancas extendidas en forma de encaje
 Estrías de winckam
 Aparece y desaparece , se mueve de lugar
 Bilateral
 Mas frecuente en la mucosa del carrillo.
Liquen plano erosivo
 Síntomas de ardor
 Áreas eritematosas
 Ulceras y sangramiento
 Molestia al ingerir alimentos
 Mas común en encías, lengua y piso de la boca
Liquen plano en placas
 Indistinguible de la Leucoplasia
 Zonas blanquecinas en placas
 Localización dorso de la lengua y mucosa del carrillo
 El tratamiento de LP se realiza principalmente en base a corticoides
tópicos tales como betametasona (0.1%), teniendo siempre presente
la importancia del stress y de tratar de tranquilizar al paciente
indicándole que la lesión no es maligna, aunque se considera que
existe un 1% de casos de liquen plano, especialmente los tipos
erosivos que pueden malignizarse
Malignización de liquen plano.
 Es muy infrecuente, pero al parecer ocurre en un 1-3% de todos
los casos.
Diagnóstico diferencial
 Leucoplasia
 Candidiasis
 Lupus eritematoso discoideo
 Parches mucosos sifilíticos
Lupus eritematoso (LE)
 El LE es una condición autoinmune, que se presenta en sus formas
más frecuentes de la siguiente manera: sistémico afecta muchas
partes del cuerpo (algunas veces con compromiso renal) y
discoide (sarpullido en la piel) El lupus eritematoso cutáneo
subagudo, que causa llagas en las partes del cuerpo que están
expuestas al sol. . En ambas ocasiones se pueden presentar
lesiones en boca como úlceras, similares a aftas. Pero también
muchas veces se puede observar lesiones blancas parecidas a las
del liquen plano, con estrías blancas y zonas eritematosas, a veces
con aspecto similar a gingivitis descamativa.
afectando también paladar y mejillas. Las lesiones tienden a ser más
irregulares que en el liquen plano y no son bilaterales como ocurre
también en la reacción liquenoide. El diagnóstico se puede realizar con
biopsia
En raras ocasiones se ha observado transformación maligna de estas
lesiones
Tratamiento de lesiones
 Tratamiento del dolor
 Tratamiento de la úlcera
. Esteroides tópicos: Hidrocortisona sódica 2.5 mg
(Corlan); Triamcinolona 0.1% en Orabase); Betamethason
(Betnesol)
. Protectores de mucosa: Aceite Ozonizado; Bálsamo de
Shostakovky; Crema de Aloe
La Fibrosis Submucosa Bucal:
 se caracteriza por una atrofia epitelial acompañada de rigidez
en la submucosa y una decoloración peculiar. Es una
condición pre maligna, pero solamente es frecuente en ciertos
países del Asía.
NEVUS Y MÁCULA MELANÓTICA
 Nevus:
 Pápula elevada
 Color marrón oscuro
 Simétrico.
 Bordes bien definidos
 No mayor a 6 mm
 Mácula melanótica:
 Mancha plana.
 Simétrica
 Bordes bien definidos
 No mayor a 6 mm
 Asintomática
Tratamiento de los Nevos:
 Extirpación quirúrgica
 Estudios histopatológicos
 Seguimiento del paciente
 Vigilar los síntomas y cambio de la morfología de las
lesiones posible transformación a melanoma.
Exámen extra e intra oral.
 Extra oral:
 Cara ( simetría facial)
 ATM ( presencia de ruidos
articulares; dolor mediante
los movimientos de
apertura y cierre)
 Ganglios ( exploración
cadenas ganglionares)
 Músculos ( dolor o
contracturas )
 Intra oral:
 Labios
 Lengua
 Paladar
 Piso de la boca
 Carrillos
 Glándulas salivales
 orofaringe
 Frenillos
 Encías
 Dientes
 Patología pulpar
Se realizó un estudio descriptivo, transversal, con el objetivo de
identificar las lesiones pre malignas y malignas a 50 gerontes ,
radicados en la ciudad de Manta, según variables seleccionadas,
edad , sexo , factores de riesgo, localización de la lesión , lesiones
pre malignas y malignas, conocimientos del autoexamen bucal
Distribución de la población de acuerdo a grupos
etáreos y al sexo
Femenino Masculino Total
Edad No % No % No %
60-69 10 20.0 15 30.0 25 50.0
70-79 7 14.0 10 20.0 17 34.0
80y mas 1 0.02 7 14.0 8 16.0
Total 18 36.0 32 64.0 50 100
Distribución de los principales factores de riesgo
en la población estudiada.
Factores de riesgo No %
Hábito de fumar 39 78
Mala higiene bucal 38 76
Sepsis bucal 25 50
Alimentos calientes 20 40
Prótesis desajustada 20 40
Ingestión de alcohol 17 34
Alimentos muy
condimentados
15 30
Exposición solar 15 30
Distribución de los tipos de lesiones encontrada en
la población afectada
Lesiones pre
malignas y
malignas
No %
Estomatitis subprotesis 8 16
Nevus 5 10
Leucoplasia 20 40
Papiloma 5 10
Queilitis 1 2
Liquen plano 1 2
Eritroplasia 10 20
Total 50 100
Distribución de las lesiones según la zona de
localización.
Localización de la
lesión
No %
Paladar duro. 8 16
Paladar blando 1 2
Mucosa del Carrillo 28 56
Encía inferior 2 4
Encía superior 1 2
Labio superior 3 6
Labio inferior 3 6
Lengua 4 8
Total 50 100
GRACIAS

Presentacion

  • 1.
  • 2.
    Lesiones Pre-malignas:  Segúnlas OMS: Son lesiones crónicas de la mucosa bucal, que presentan un riesgo de desarrollar cáncer bucal.
  • 3.
    CLASIFICACIÓN : CLÍNICA:  Leucoplasia Eritroplasia  Queilitis actínica HISTOPATPLÓGICA:  Displasia epitelial  Carcinoma espino celular in situ  Queratosis
  • 4.
    Leucoplasia:  lesión predominantementeblanca de la mucosa oral que no puede ser caracterizada como alguna otra lesión definible; algunas leucoplasias pueden transformarse en cáncer. Este último aspecto importante siempre de tenerlo presente, fue incluido en la definición de Leucoplasia en 1996, a pesar que se sabe desde hace muchos años que la Leucoplasia puede transformarse en cáncer.
  • 5.
    Factores etiológicos:  Fumar Ingestión de bebidas alcohólicas  Deficiencia de vitaminas  Factores hormonales  Traumatismo  Virus
  • 6.
    Clasificación  Leucoplasia simple(también llamada Leucoplasia homogénea, se presenta como una mancha blanca homogénea, de superficie suave. Es la forma de Leucoplasia más frecuente (56%) y también considerada la más benigna, puesto que rara vez sufre transformación maligna (3%)
  • 9.
    Leucoplasia verrucosa:  Leucoplasiaverrucosa: Se presenta como una mancha blanca levemente moteada de color blanco-grisáceo, de superficie papilar e irregular. Su frecuencia de aparición es de un 27% y su tasa de malignización de un 11%, pudiendo transformarse a un carcinoma verrucoso, siendo las mujeres las mas afectadas en algunos casos se ha encontrado relación con VPH.
  • 12.
    Leucoplasia vellosa  Leucoplasiavellosa: Se ve en pacientes VIH con progresión a SIDA, podemos observarla en bordes laterales, cara dorsal y ventral de la lengua.
  • 15.
    Manejo de laLeucoplasia Corroborar el diagnóstico de Leucoplasia, descartando aquellas lesiones que clínicamente también se manifiestan como manchas blancas en la mucosa oral. Identificar y eliminar factores irritativos como tabaco, alcohol, mala higiene, etcétera.
  • 16.
    Si se tratade Leucoplasia y su apariencia clínica, su localización e histopatología no sugieren malignidad (Leucoplasia simple y homogénea), existen dos alternativas de tratamiento. La primera es la eliminación de factores irritantes si es que éstos fueron identificados y mantener un control clínico periódico. La segunda posibilidad es la eliminación quirúrgica total y controlar cada seis meses si es posible. Si por las características de localización y apariencia clínica, la lesión sugiere La posibilidad de cambios neoplásicos (Leucoplasia verrucosa, o se localiza en un sitio de alto riesgo, como es el piso de la boca), es indispensable biopsiar y realizar la remoción quirúrgica total, independiente del grado de severidad de displasia encontrado. Este paciente debe ser controlado una vez cada cuatro semanas durante el primer año
  • 17.
    Diagnóstico diferencial:  Candidiasisseudomembranosa aguda. ( placas blancas que son removidas mecánicamente dejan superficie sangrante)  Liquen Plano Reticular. ( placas blancas bilaterales en forma de estrías)  Leucoedema ( Opacidad blanquecina caras internas de las mejillas afecta un 90% raza negra) desaparece al distender el carrillo) .  Nevus Blanco ( lesión bilateral, densa velluda)
  • 18.
    Candidiasis bucal seudomembranosaaguda.  La candidiasis bucal es causada por formas de un hongo llamado cándida albicans , un organismo que vive en la cavidad bucal. Sin embargo, cuando la resistencia a la infección es baja, el hongo puede crecer, llevando a que se presenten lesiones blanquecinas en la mucosa bucal y en la lengua. Se elimina fácilmente con una gasa, la mucosa subyacente queda eritematosa y puede sangrar ligeramente.  SINONIMIA: Moniliasis; enfermedad de Muget; algodoncillo
  • 19.
    Factores de riesgo Tomar antibióticos o usar medicamentos esteroides  Tener infección por VIH o SIDA  Recibir quimioterapia para el cáncer o medicamentos que inhiban el sistema inmunitario después del trasplante de un órgano  Tener mala higiene bucal  Padecer diabetes
  • 20.
    Características clínicas:  Placasde consistencia blanda, se desprende mecánicamente y deja descubierta un área eritematosa.  Ubicación cualquier área de la mucosa bucal en especial la lengua  Síntomas leves en casos mas graves dolor, ardor y disfagia
  • 21.
    Diagnóstico Diferencial  Quemadurasquímicas  Leucoplasia  Liquen plano reticular
  • 22.
    Tratamiento de candidiasis Para la enfermedad leve, se recomienda el uso de nistatina en suspensión a una concentración de 100.000 U / ml, en dosis de 4 - 6 ml cuatro veces al día durante 7-14 días.  Es importante considerar que la nistatina tiene poca absorción sistémica y alto contenido de azúcar como un vehículo, por lo que se sugiere utilizar con precaución en pacientes diabéticos.  Para casos de enfermedad moderada a grave, se recomienda el uso de fluconazol vía oral en dosis de 200 mg o 150 mg (3 mg / kg) el primer día y 100 mg/día durante 7-14 días.
  • 24.
    Eritroplasia  La OMSdefinió a la Eritroplasia como una mancha aterciopelada, rojo brillante, que clínicamente no puede ser atribuida a ninguna otra condición'.  Por otra parte, la gran mayoría de los casos de Eritroplasia presenta histológicamente, carcinoma in situ y/o carcinoma invasor.
  • 26.
    Clasificación clínica  Eritroplasiahomogénea: Se presenta como una mancha roja, brillante, aterciopelada, de límites netos, generalmente extensa, de consistencia blanda. Su ubicación más frecuente es en la cara interna de la mejilla.  Eritroplasia con áreas de leucoplasias: Presenta áreas eritematosas y menos brillantes que la variedad homogénea. La zona de mayor frecuencia de localización es la lengua y piso de boca.  Eritroplasia moteada: Denominada así cuando el color predominante es el rojo, y el moteado blanco parece estar sobrepuesto. La consistencia es blanda, los límites irregulares y su superficie granular.
  • 30.
     Potencial malignode la Eritroplasia: La Eritroplasia ha sido mencionada como la lesión precancerosa altamente peligrosa debido a que generalmente equivalencia histológica corresponde a carcinoma in sitiu o a carcinoma invasor. En 1963, Pindborg notificó la potencialidad maligna de esta lesión, y más tarde, en 1975, fue corroborado por Waldron y Shafer, que informaron un 98% de carcinoma invasor, carcinoma in situ o displasias severas en 58 casos de Eritroplasia. Sin embargo, aunque se conoce el riesgo de desarrollo de cáncer a partir de la displasia, no han sido determinados de alto y bajo riesgo, sino que todos se consideran altamente peligrosos
  • 31.
    Tratamiento de laEritroplasia Al igual que para los casos de Leucoplasia, es indispensable el correcto diagnóstico de la lesión, para lo cual se requiere realizar el diagnóstico diferencial con patología de manifestación clínica similar como: candidiasis eritematosa; liquen plano erosivo; candidiasis subprotésica y en general estomatitis y gingivitis inflamatoria subagudas o crónicas de la mucosa oral. El diagnóstico debe ser corroborado por biopsia, y posteriormente se indica obligatoriamente la remoción quirúrgica Los controles de la lesión deben ser periódicos y más frecuentes que para los casos de leucoplasias
  • 32.
    Palatitis nicotínica  Estalocalización no parece predisponer a la malignidad, diferente a lo que ocurre con las demás regiones de la mucosa bucal. Si el consumo de tabaco cesa, tiende a resolverse
  • 34.
    Queilitis Actínica:  Esuna lesión de labio producida por los rayos del sol en las personas de piel muy blanca
  • 36.
    Estado pre malignoo condiciones pre neoplásicas  Es una condición generalizada asociada con un significativo aumento del riesgo de tener un cáncer
  • 37.
    Liquen Plano (LP) Es una enfermedad de etiología desconocida, probablemente de origen inmunológico y asociada al stress, que afecta piel y mucosa. Generalmente se observa más en mujeres, que "padecen" de preocupaciones en el hogar o trabajo. Presenta frecuentes manifestaciones bucales que muchas veces preceden las manifestaciones cutáneas.
  • 38.
    Clínicamente existen tresformas más comunes:  LP reticular  LP erosivo o atrófico  LP tipo placa
  • 39.
    Liquen plano reticular Asintomático  Lesiones blancas extendidas en forma de encaje  Estrías de winckam  Aparece y desaparece , se mueve de lugar  Bilateral  Mas frecuente en la mucosa del carrillo.
  • 43.
    Liquen plano erosivo Síntomas de ardor  Áreas eritematosas  Ulceras y sangramiento  Molestia al ingerir alimentos  Mas común en encías, lengua y piso de la boca
  • 45.
    Liquen plano enplacas  Indistinguible de la Leucoplasia  Zonas blanquecinas en placas  Localización dorso de la lengua y mucosa del carrillo
  • 48.
     El tratamientode LP se realiza principalmente en base a corticoides tópicos tales como betametasona (0.1%), teniendo siempre presente la importancia del stress y de tratar de tranquilizar al paciente indicándole que la lesión no es maligna, aunque se considera que existe un 1% de casos de liquen plano, especialmente los tipos erosivos que pueden malignizarse
  • 49.
    Malignización de liquenplano.  Es muy infrecuente, pero al parecer ocurre en un 1-3% de todos los casos.
  • 50.
    Diagnóstico diferencial  Leucoplasia Candidiasis  Lupus eritematoso discoideo  Parches mucosos sifilíticos
  • 51.
    Lupus eritematoso (LE) El LE es una condición autoinmune, que se presenta en sus formas más frecuentes de la siguiente manera: sistémico afecta muchas partes del cuerpo (algunas veces con compromiso renal) y discoide (sarpullido en la piel) El lupus eritematoso cutáneo subagudo, que causa llagas en las partes del cuerpo que están expuestas al sol. . En ambas ocasiones se pueden presentar lesiones en boca como úlceras, similares a aftas. Pero también muchas veces se puede observar lesiones blancas parecidas a las del liquen plano, con estrías blancas y zonas eritematosas, a veces con aspecto similar a gingivitis descamativa.
  • 52.
    afectando también paladary mejillas. Las lesiones tienden a ser más irregulares que en el liquen plano y no son bilaterales como ocurre también en la reacción liquenoide. El diagnóstico se puede realizar con biopsia En raras ocasiones se ha observado transformación maligna de estas lesiones
  • 55.
    Tratamiento de lesiones Tratamiento del dolor  Tratamiento de la úlcera . Esteroides tópicos: Hidrocortisona sódica 2.5 mg (Corlan); Triamcinolona 0.1% en Orabase); Betamethason (Betnesol) . Protectores de mucosa: Aceite Ozonizado; Bálsamo de Shostakovky; Crema de Aloe
  • 56.
    La Fibrosis SubmucosaBucal:  se caracteriza por una atrofia epitelial acompañada de rigidez en la submucosa y una decoloración peculiar. Es una condición pre maligna, pero solamente es frecuente en ciertos países del Asía.
  • 59.
    NEVUS Y MÁCULAMELANÓTICA  Nevus:  Pápula elevada  Color marrón oscuro  Simétrico.  Bordes bien definidos  No mayor a 6 mm  Mácula melanótica:  Mancha plana.  Simétrica  Bordes bien definidos  No mayor a 6 mm  Asintomática
  • 64.
    Tratamiento de losNevos:  Extirpación quirúrgica  Estudios histopatológicos  Seguimiento del paciente  Vigilar los síntomas y cambio de la morfología de las lesiones posible transformación a melanoma.
  • 65.
    Exámen extra eintra oral.  Extra oral:  Cara ( simetría facial)  ATM ( presencia de ruidos articulares; dolor mediante los movimientos de apertura y cierre)  Ganglios ( exploración cadenas ganglionares)  Músculos ( dolor o contracturas )  Intra oral:  Labios  Lengua  Paladar  Piso de la boca  Carrillos  Glándulas salivales  orofaringe  Frenillos  Encías  Dientes  Patología pulpar
  • 68.
    Se realizó unestudio descriptivo, transversal, con el objetivo de identificar las lesiones pre malignas y malignas a 50 gerontes , radicados en la ciudad de Manta, según variables seleccionadas, edad , sexo , factores de riesgo, localización de la lesión , lesiones pre malignas y malignas, conocimientos del autoexamen bucal
  • 69.
    Distribución de lapoblación de acuerdo a grupos etáreos y al sexo Femenino Masculino Total Edad No % No % No % 60-69 10 20.0 15 30.0 25 50.0 70-79 7 14.0 10 20.0 17 34.0 80y mas 1 0.02 7 14.0 8 16.0 Total 18 36.0 32 64.0 50 100
  • 70.
    Distribución de losprincipales factores de riesgo en la población estudiada. Factores de riesgo No % Hábito de fumar 39 78 Mala higiene bucal 38 76 Sepsis bucal 25 50 Alimentos calientes 20 40 Prótesis desajustada 20 40 Ingestión de alcohol 17 34 Alimentos muy condimentados 15 30 Exposición solar 15 30
  • 71.
    Distribución de lostipos de lesiones encontrada en la población afectada Lesiones pre malignas y malignas No % Estomatitis subprotesis 8 16 Nevus 5 10 Leucoplasia 20 40 Papiloma 5 10 Queilitis 1 2 Liquen plano 1 2 Eritroplasia 10 20 Total 50 100
  • 72.
    Distribución de laslesiones según la zona de localización. Localización de la lesión No % Paladar duro. 8 16 Paladar blando 1 2 Mucosa del Carrillo 28 56 Encía inferior 2 4 Encía superior 1 2 Labio superior 3 6 Labio inferior 3 6 Lengua 4 8 Total 50 100
  • 73.