LESIONES BLANCASLESIONES BLANCAS
Dra. Gloria Isabel Rangel Ismerio
PATOLOGIA BUCAL
Dispersión de la luz a través de la
superficie en la mucosa alterada
1. Engrosamiento de la capa de queratina
2. Hiperplasia del epitelio en el estrato de
Malpighi
3. Edema intracelular de las células epiteliales
4. Disminución de la vascularidad del tejido
conectivo subyacente
Queratosis friccionalQueratosis friccional
Queratina como barrera protectora
sobre la piel o la mucosa normal análoga
a los callos de la piel.
Diversos estímulos:
- Frotamiento crónico
- Fricción contra una superficie de la
mucosa bucal
CARACTERÍSTICAS CLÍNICASCARACTERÍSTICAS CLÍNICAS
Placa blanquecina áspera
En áreas donde es común el
traumatismo:
- Bordes laterales de la lengua
- Mucosa yugal a lo largo de la línea de
oclusión
- Bordes edéntulos
TRATAMIENTOTRATAMIENTO
Quitar el factor causante.
Si no se quita la lesión en un mes es
recomendable tomar biopsia.
Queratosis de fumadorQueratosis de fumador
Tabaco masticado o fumado debido a la
absorción de nicotina y otras moléculas a
través de la mucosa bucal
Una variedad de alteraciones locales en la
boca también pueden ser encontradas en
aquellos que tienen este hábito u otros
hábitos relacionados con el tabaco
CARACTERÍSTICAS CLÍNICASCARACTERÍSTICAS CLÍNICAS
Placa blanca asintomática
Sobre la mucosa en contacto directo
La mucosa se siente suave y
aterciopelada
Al estirar la mucosa frecuentemente
revela una “ bolsa distinta” causada por la
flacidez en los tejidos crónicamente
estirados en el área donde se sitúa el
tabaco si es masticado
Como el tabaco no está en la boca
durante la examinación clínica, la mucosa
que usualmente es “estirada” se presenta
fisurada o rizada
Arena de una playa después de bajar la
marea
Cuando el tabaco es fumado suele
presentar áreas blanquecinas sin
elevación, con una superficie lisa.
1 a 5 años para desarrollar dichas
características.
En algunos casos, el área blanca
gradualmente llega a engrosarse hasta
pasando por diversas etapas que va
desde una placa hasta llegar a
aparentar fibrosis o nódulos
TRATAMIENTOTRATAMIENTO
Cesación del hábito: apariencia normal
de la mucosa (usualmente de 2 a 6
semanas)
98% de las lesiones queratósicas por
tabaco que no son intensamente blancas
Una lesión que permanece más de seis
semanas después de haber quitado el
tabaco, se debe considerar tomar una
biopsia.
Morsicatio bucarumMorsicatio bucarum
Mordedura crónica de los carrillos
En su mayoría localizadas sobre la
mucosa bucal
Mucosa labial (morsicatio labiorum)
Cambios similares se han visto en los
sopladores de vidrio, personas que están
bajo mucho estrés, músicos que tocan
instrumentos de viento o quienes
muestran condiciones psicológicas.
CLINICAMENTECLINICAMENTE
Bilaterales
Combinada con lesiones de los labios o
de la lengua, o en forma aislada cada una
Las áreas blancas engrosadas y trituradas
son con frecuencia combinadas con zonas
de eritema, erosión o ulceración
traumática focal,
Siempre respeta el fondo de saco
Superficie desigual
El paciente puede referir que se ha
podido quitar tiras de color blanco del
área involucrada
TRATAMIENTOTRATAMIENTO
No se requiere.
Guardas oclusales
Otros aconsejan psicoterapia
Estomatitis nicotínica (paladar deEstomatitis nicotínica (paladar de
fumador)fumador)
Uno de los cambios más comunes en el
el paladar duro
Ha disminuido su frecuencia desde que
el fumador de pipa ha perdido
popularidad
No tienen una naturaleza premaligna
Respuesta al calor más que a los
químicos
Cambios similares por bebidas calientes
CLINICAMENTECLINICAMENTE
Hombres de 45 años de edad
Debido a un largo periodo de exposición
al calor, la mucosa palatal llega a ser de
un color gris difuso o blanco
Numerosas pápulas ligeramente elevadas
con un punto rojo en su centro:
dilatación de los conductos de las
glándulas salivales menores
La mucosa que cubre las pápulas a
menudo se presenta más blanca que la del
epitelio circundante.
TRATAMIENTOTRATAMIENTO
Reversible
Mucosa normal para la primera o
segunda semana de haber cesado el
hábito de fumar
Cualquier lesión de la mucosa
palatal que persista después de un
mes de haber eliminado el hábito,
deberá ser considerada como una
verdadera leucoplasia.
10 minutos de
descanso
Lengua vellosaLengua vellosa
Consecuencia de una hipertrofia o
elongación de las papilas filiformes del
dorso de la lengua
Parecen finos pelos
En los 2/3 anteriores de la lengua,
delante de la “v” lingual, siendo muy
numerosos.
No alteran el gusto
Se favorece la sobreinfección por
bacterias y cándidas.
ETIOLOGIAETIOLOGIA
Uso de antibióticos de amplio espectro
Corticoides
Aplicación tópica de agua oxigenada,
perboratos o agentes oxidantes
Antiácidos con componentes de bismuto
Abuso del tabaco
Trastornos gastrointestinales
Mala higiene oral.
CLINICAMENTECLINICAMENTE
Se manifiesta de manera brusca
Su coloración varía desde blanco
amarillenta a negra dependiendo de
factores externos como tabaco, fármacos
y microorganismos cromógenos.
Se puede calcar esta coloración en los
pacientes portadores de prótesis
superiores en la superficie palatina
Manifestaciones clínicas leves
La mayoría asintomáticas aunque en
algunos casos hay molestias por el roce
en el paladar y halitosis
TRATAMIENTOTRATAMIENTO
Eliminación de los factores etiológicos
como antibióticos y agentes tópicos
Higiene cuidadosa, cepillados y
descamación lingual y algunos casos
antimicótico
Existen lesiones blancas que no requieren
tratamiento y no se consideran como una
verdadera patología
Línea alba oclusalLínea alba oclusal
Se asocia al frotamiento crónico contra
la mucosa bucal con los dientes o
restauraciones ásperas.
CLINICAMENTECLINICAMENTE
Línea blanca
Bilateral
Al nivel del plano oclusal sobre a mucosa
yugal
Varía en prominencia y se limita a las
zonas dentadas
Más pronunciada en dientes posteriores.
TRATAMIENTOTRATAMIENTO
No se requiere, al modificar el hábito o la
causa hay remisión espontánea
LeucoedemaLeucoedema
Variante de lo normal
 Hay una posible relación entre mala
higiene y patrones de masticación
anormal.
CLÍNICAMENTECLÍNICAMENTE
Seudomembrana
Blanca grisácea o lechosa y difusa
 Al estirar la mucosa bucal se disipa el
color opaco
La lesión no tiene potencial maligno
TRATAMIENTOTRATAMIENTO
 No se requiere tratamiento alguno pues
los cambios son inofensivos
Es importante identificar este proceso y
evitar intervenciones innecesarias.
Gránulos de FordyceGránulos de Fordyce
Glándulas sebáceas ectópicas o
coristomas sebáceos (tejido normal en
localización anormal)
Se cree que se originan en las etapas del
desarrollo.
CLÍNICAMENTECLÍNICAMENTE
◦ Múltiples lesiones papulares
◦ De color blanco amarillento
◦ A menudo aparecen en agregados o
arreglos concluyentes
◦ Más frecuente en mucosa bucal y borde
rojo del labio
TRATAMIENTOTRATAMIENTO
No es necesario
Liquen planoLiquen plano
Enfermedad mucocutánea
Etiología desconocida
Curso es crónico con frecuentes
reactivaciones
El diagnóstico se basa en la clínica y la
histología.
ETIOPATOGENIAETIOPATOGENIA
 La etiología hasta ahora no se conoce
Se ha descrito la relación con la hepatitis
C
Hay áreas geográficas donde se ha
descrito esta asociación, mientras que en
otras no se ha hallado
Tambíen hay que señalar la relación
frecuente entre el liquen plano oral
(LPO) y los tastornos sicosomáticos,
fundamentalmente situaciones de
ansiedad y estrés
CLÍNICAMENTECLÍNICAMENTE
Puede manifestarse en la piel, mucosa
bucal, uñas , cuero cabelludo y otras
mucosas
Es frecuente encontrar pacientes con
lesiones exclusivas en la cavidad bucal
Tres tipos: reticular, atrófico y erosivo
Reticular:
 De inicio, pápulas que se unen para formar líneas
y que se entrecruzan unas con otras en forma de
encaje de color blanco
 Suelen proyectar estrías queratósicas a (rayos de
sol): estrías de Wikham
 Con más frecuencia en la mucosa bucal
 Patrón simétrico bilateral sobre dorso lingual y
encías.
Atrófica:
 Placas rojas y estrías blancas muy finas
 En ocasiones hay ardor, hiperestesia
 Cuando se presenta en encía se puede confundir
con gingivitis descamativa.
Erosiva:
Región ulcerada
Placa fibrinosa o seudomembranosa sobre la úlcera
Al examen cuidadoso se identifican estrías
queratósicas en la periferia del sitio erosionado.
El dolor es más frecuente en la mucosa yugal.
Liquen plano (forma reticular y papular)
Liquen plano (forma hipertrófica)
Liquen plano (forma pigmentada)
reacción liquenoides a la amalgama dental y el frío
Variante bulosa: rara
Vesículas que tienen una duración breve,
y al romperse dejan una superficie
ulcerada, sumamente molesta.
Casi siempre sobre la mucosa bucal
En las regiones posterior e inferior
adyacentes a los molares segundo y
tercero.
TRATAMIENTOTRATAMIENTO
Corticoides tópicos o sistémicos
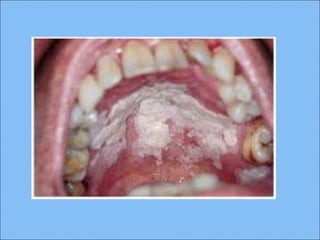
Leucoplasia (LO)Leucoplasia (LO)
Lesión premaligna más frecuente
DEFINICION: Lesión blanca de la
mucosa bucal que no se desprende al
raspado y que no puede caracterizarse o
catalogarse como ninguna otra lesión
definida y en la que existe un riesgo
constatado de desarrollar cáncer bucal
Diagnóstico clínico provisional y otro
definitivo: si la lesión persiste tras haber
eliminado los posibles factores etiológicos
por mas de 2-4 semanas… entonces
biopsia
ETIOLOGÍAETIOLOGÍA
Con relación a la etiología se distinguen dos
tipos de leucoplasias:
- Asociadas a tabaco (factor más importante)
- Idiopáticas (tal vez virus)
Viadent, tanto en pasta dental como en
colutorio
Se demostró por diferentes autores que
la sanguinaria producía unas lesiones
leucoplásicas, particularmente en los
fondos del vestíbulo.
CLINICAMENTECLINICAMENTE
Dos tipos:
- Homogénea: blanca, plana, puede presentar
grietas o hendiduras poco profundas con
superficie fina, con depresiones y resaltes;
consistencia no es dura
- No homogénea: preferentemente blanca o
roja (eritroleucoplasia) con superficie nodular
Leucoplasia homogénea
Leucoplasia no homogénea
TRATAMIENTOTRATAMIENTO
Primero identificar si existen agentes
etiológicos como el tabaco, y colutorios
como la sanguinaria.
Si existen, lo correcto es indicar al paciente
que los elimine por completo entre 15 y 21
días.
Si las lesiones persisten, se tomará biopsia
por ser considerada una lesión premaligna.
QUE MAS PODEMOSQUE MAS PODEMOS
ENCONTRARNOS ENENCONTRARNOS EN
LA CLÍNICA???LA CLÍNICA???
Estomatitis de contacto con canela Estomatitis de contacto con canela
Quemadura por fenol Quemadura por ácido tricloroacético
Quemadura por aspirina Candidiasis pseudomembranosa
Candidiasis nodular Candidiasis mucocutánea crónica
Estomatitis geográfica
Lengua geográfica, lesión localizada
Lengua geográfica, bordes blanquesinos
reacción Liquenoides: al alopurinol
Lengua de superficie recubierta por placas
de color marrón, amarillo o blanco, que
representan una acumulación de micelios,
bacterias, restos alimenticios o células
epiteliales descamadas. Existen muchas
causas posibles, que van desde una
infección micótica hasta el dormir con la
boca abierta.
Lengua saburral
Nevo esponjoso blanco
Disqueratosis congénita
Leucoplasia y
Carcinoma veruugoso
Síndrome de Zinsser Egman-Cole
Estomatitis urémica
Papiloma Principios de carcinoma verrugoso
principios de carcinoma de células escamosas
Injerto de mucosa
GRACIAS 

Lesiones blancas

  • 1.
    LESIONES BLANCASLESIONES BLANCAS Dra.Gloria Isabel Rangel Ismerio PATOLOGIA BUCAL
  • 2.
    Dispersión de laluz a través de la superficie en la mucosa alterada
  • 3.
    1. Engrosamiento dela capa de queratina 2. Hiperplasia del epitelio en el estrato de Malpighi 3. Edema intracelular de las células epiteliales 4. Disminución de la vascularidad del tejido conectivo subyacente
  • 4.
    Queratosis friccionalQueratosis friccional Queratinacomo barrera protectora sobre la piel o la mucosa normal análoga a los callos de la piel. Diversos estímulos: - Frotamiento crónico - Fricción contra una superficie de la mucosa bucal
  • 5.
    CARACTERÍSTICAS CLÍNICASCARACTERÍSTICAS CLÍNICAS Placablanquecina áspera En áreas donde es común el traumatismo: - Bordes laterales de la lengua - Mucosa yugal a lo largo de la línea de oclusión - Bordes edéntulos
  • 7.
    TRATAMIENTOTRATAMIENTO Quitar el factorcausante. Si no se quita la lesión en un mes es recomendable tomar biopsia.
  • 8.
    Queratosis de fumadorQueratosisde fumador Tabaco masticado o fumado debido a la absorción de nicotina y otras moléculas a través de la mucosa bucal
  • 9.
    Una variedad dealteraciones locales en la boca también pueden ser encontradas en aquellos que tienen este hábito u otros hábitos relacionados con el tabaco
  • 10.
    CARACTERÍSTICAS CLÍNICASCARACTERÍSTICAS CLÍNICAS Placablanca asintomática Sobre la mucosa en contacto directo
  • 11.
    La mucosa sesiente suave y aterciopelada Al estirar la mucosa frecuentemente revela una “ bolsa distinta” causada por la flacidez en los tejidos crónicamente estirados en el área donde se sitúa el tabaco si es masticado
  • 12.
    Como el tabacono está en la boca durante la examinación clínica, la mucosa que usualmente es “estirada” se presenta fisurada o rizada Arena de una playa después de bajar la marea
  • 14.
    Cuando el tabacoes fumado suele presentar áreas blanquecinas sin elevación, con una superficie lisa.
  • 15.
    1 a 5años para desarrollar dichas características. En algunos casos, el área blanca gradualmente llega a engrosarse hasta pasando por diversas etapas que va desde una placa hasta llegar a aparentar fibrosis o nódulos
  • 17.
    TRATAMIENTOTRATAMIENTO Cesación del hábito:apariencia normal de la mucosa (usualmente de 2 a 6 semanas) 98% de las lesiones queratósicas por tabaco que no son intensamente blancas Una lesión que permanece más de seis semanas después de haber quitado el tabaco, se debe considerar tomar una biopsia.
  • 18.
    Morsicatio bucarumMorsicatio bucarum Mordeduracrónica de los carrillos En su mayoría localizadas sobre la mucosa bucal Mucosa labial (morsicatio labiorum)
  • 19.
    Cambios similares sehan visto en los sopladores de vidrio, personas que están bajo mucho estrés, músicos que tocan instrumentos de viento o quienes muestran condiciones psicológicas.
  • 20.
    CLINICAMENTECLINICAMENTE Bilaterales Combinada con lesionesde los labios o de la lengua, o en forma aislada cada una Las áreas blancas engrosadas y trituradas son con frecuencia combinadas con zonas de eritema, erosión o ulceración traumática focal,
  • 21.
    Siempre respeta elfondo de saco Superficie desigual El paciente puede referir que se ha podido quitar tiras de color blanco del área involucrada
  • 22.
    TRATAMIENTOTRATAMIENTO No se requiere. Guardasoclusales Otros aconsejan psicoterapia
  • 24.
    Estomatitis nicotínica (paladardeEstomatitis nicotínica (paladar de fumador)fumador) Uno de los cambios más comunes en el el paladar duro Ha disminuido su frecuencia desde que el fumador de pipa ha perdido popularidad
  • 25.
    No tienen unanaturaleza premaligna Respuesta al calor más que a los químicos Cambios similares por bebidas calientes
  • 26.
    CLINICAMENTECLINICAMENTE Hombres de 45años de edad Debido a un largo periodo de exposición al calor, la mucosa palatal llega a ser de un color gris difuso o blanco
  • 27.
    Numerosas pápulas ligeramenteelevadas con un punto rojo en su centro: dilatación de los conductos de las glándulas salivales menores La mucosa que cubre las pápulas a menudo se presenta más blanca que la del epitelio circundante.
  • 29.
    TRATAMIENTOTRATAMIENTO Reversible Mucosa normal parala primera o segunda semana de haber cesado el hábito de fumar Cualquier lesión de la mucosa palatal que persista después de un mes de haber eliminado el hábito, deberá ser considerada como una verdadera leucoplasia.
  • 30.
  • 31.
    Lengua vellosaLengua vellosa Consecuenciade una hipertrofia o elongación de las papilas filiformes del dorso de la lengua Parecen finos pelos En los 2/3 anteriores de la lengua, delante de la “v” lingual, siendo muy numerosos.
  • 32.
    No alteran elgusto Se favorece la sobreinfección por bacterias y cándidas.
  • 33.
    ETIOLOGIAETIOLOGIA Uso de antibióticosde amplio espectro Corticoides Aplicación tópica de agua oxigenada, perboratos o agentes oxidantes Antiácidos con componentes de bismuto Abuso del tabaco Trastornos gastrointestinales Mala higiene oral.
  • 34.
    CLINICAMENTECLINICAMENTE Se manifiesta demanera brusca Su coloración varía desde blanco amarillenta a negra dependiendo de factores externos como tabaco, fármacos y microorganismos cromógenos.
  • 35.
    Se puede calcaresta coloración en los pacientes portadores de prótesis superiores en la superficie palatina Manifestaciones clínicas leves La mayoría asintomáticas aunque en algunos casos hay molestias por el roce en el paladar y halitosis
  • 37.
    TRATAMIENTOTRATAMIENTO Eliminación de losfactores etiológicos como antibióticos y agentes tópicos Higiene cuidadosa, cepillados y descamación lingual y algunos casos antimicótico Existen lesiones blancas que no requieren tratamiento y no se consideran como una verdadera patología
  • 38.
    Línea alba oclusalLíneaalba oclusal Se asocia al frotamiento crónico contra la mucosa bucal con los dientes o restauraciones ásperas.
  • 39.
    CLINICAMENTECLINICAMENTE Línea blanca Bilateral Al niveldel plano oclusal sobre a mucosa yugal Varía en prominencia y se limita a las zonas dentadas Más pronunciada en dientes posteriores.
  • 41.
    TRATAMIENTOTRATAMIENTO No se requiere,al modificar el hábito o la causa hay remisión espontánea
  • 42.
    LeucoedemaLeucoedema Variante de lonormal  Hay una posible relación entre mala higiene y patrones de masticación anormal.
  • 43.
    CLÍNICAMENTECLÍNICAMENTE Seudomembrana Blanca grisácea olechosa y difusa  Al estirar la mucosa bucal se disipa el color opaco La lesión no tiene potencial maligno
  • 45.
    TRATAMIENTOTRATAMIENTO  No serequiere tratamiento alguno pues los cambios son inofensivos Es importante identificar este proceso y evitar intervenciones innecesarias.
  • 46.
    Gránulos de FordyceGránulosde Fordyce Glándulas sebáceas ectópicas o coristomas sebáceos (tejido normal en localización anormal) Se cree que se originan en las etapas del desarrollo.
  • 47.
    CLÍNICAMENTECLÍNICAMENTE ◦ Múltiples lesionespapulares ◦ De color blanco amarillento ◦ A menudo aparecen en agregados o arreglos concluyentes ◦ Más frecuente en mucosa bucal y borde rojo del labio
  • 49.
  • 50.
    Liquen planoLiquen plano Enfermedadmucocutánea Etiología desconocida Curso es crónico con frecuentes reactivaciones El diagnóstico se basa en la clínica y la histología.
  • 51.
  • 52.
    Se ha descritola relación con la hepatitis C Hay áreas geográficas donde se ha descrito esta asociación, mientras que en otras no se ha hallado
  • 53.
    Tambíen hay queseñalar la relación frecuente entre el liquen plano oral (LPO) y los tastornos sicosomáticos, fundamentalmente situaciones de ansiedad y estrés
  • 54.
    CLÍNICAMENTECLÍNICAMENTE Puede manifestarse enla piel, mucosa bucal, uñas , cuero cabelludo y otras mucosas Es frecuente encontrar pacientes con lesiones exclusivas en la cavidad bucal Tres tipos: reticular, atrófico y erosivo
  • 55.
    Reticular:  De inicio,pápulas que se unen para formar líneas y que se entrecruzan unas con otras en forma de encaje de color blanco  Suelen proyectar estrías queratósicas a (rayos de sol): estrías de Wikham  Con más frecuencia en la mucosa bucal  Patrón simétrico bilateral sobre dorso lingual y encías.
  • 57.
    Atrófica:  Placas rojasy estrías blancas muy finas  En ocasiones hay ardor, hiperestesia  Cuando se presenta en encía se puede confundir con gingivitis descamativa.
  • 58.
    Erosiva: Región ulcerada Placa fibrinosao seudomembranosa sobre la úlcera Al examen cuidadoso se identifican estrías queratósicas en la periferia del sitio erosionado. El dolor es más frecuente en la mucosa yugal.
  • 59.
    Liquen plano (formareticular y papular) Liquen plano (forma hipertrófica) Liquen plano (forma pigmentada) reacción liquenoides a la amalgama dental y el frío
  • 60.
    Variante bulosa: rara Vesículasque tienen una duración breve, y al romperse dejan una superficie ulcerada, sumamente molesta. Casi siempre sobre la mucosa bucal En las regiones posterior e inferior adyacentes a los molares segundo y tercero.
  • 61.
  • 62.
    Leucoplasia (LO)Leucoplasia (LO) Lesiónpremaligna más frecuente DEFINICION: Lesión blanca de la mucosa bucal que no se desprende al raspado y que no puede caracterizarse o catalogarse como ninguna otra lesión definida y en la que existe un riesgo constatado de desarrollar cáncer bucal
  • 63.
    Diagnóstico clínico provisionaly otro definitivo: si la lesión persiste tras haber eliminado los posibles factores etiológicos por mas de 2-4 semanas… entonces biopsia
  • 64.
    ETIOLOGÍAETIOLOGÍA Con relación ala etiología se distinguen dos tipos de leucoplasias: - Asociadas a tabaco (factor más importante) - Idiopáticas (tal vez virus)
  • 65.
    Viadent, tanto enpasta dental como en colutorio Se demostró por diferentes autores que la sanguinaria producía unas lesiones leucoplásicas, particularmente en los fondos del vestíbulo.
  • 66.
    CLINICAMENTECLINICAMENTE Dos tipos: - Homogénea:blanca, plana, puede presentar grietas o hendiduras poco profundas con superficie fina, con depresiones y resaltes; consistencia no es dura - No homogénea: preferentemente blanca o roja (eritroleucoplasia) con superficie nodular
  • 67.
  • 68.
    TRATAMIENTOTRATAMIENTO Primero identificar siexisten agentes etiológicos como el tabaco, y colutorios como la sanguinaria. Si existen, lo correcto es indicar al paciente que los elimine por completo entre 15 y 21 días. Si las lesiones persisten, se tomará biopsia por ser considerada una lesión premaligna.
  • 69.
    QUE MAS PODEMOSQUEMAS PODEMOS ENCONTRARNOS ENENCONTRARNOS EN LA CLÍNICA???LA CLÍNICA???
  • 70.
    Estomatitis de contactocon canela Estomatitis de contacto con canela Quemadura por fenol Quemadura por ácido tricloroacético
  • 71.
    Quemadura por aspirinaCandidiasis pseudomembranosa Candidiasis nodular Candidiasis mucocutánea crónica
  • 72.
    Estomatitis geográfica Lengua geográfica,lesión localizada Lengua geográfica, bordes blanquesinos reacción Liquenoides: al alopurinol
  • 73.
    Lengua de superficierecubierta por placas de color marrón, amarillo o blanco, que representan una acumulación de micelios, bacterias, restos alimenticios o células epiteliales descamadas. Existen muchas causas posibles, que van desde una infección micótica hasta el dormir con la boca abierta. Lengua saburral
  • 74.
    Nevo esponjoso blanco Disqueratosiscongénita Leucoplasia y Carcinoma veruugoso Síndrome de Zinsser Egman-Cole Estomatitis urémica
  • 75.
    Papiloma Principios decarcinoma verrugoso principios de carcinoma de células escamosas
  • 76.
  • 77.