Incrustar presentación
Descargado 32 veces




















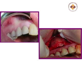
El proceso de odontogénesis o desarrollo dental pasa por varias etapas clave, incluyendo la yema dental, el casquete, la campana y el folículo dentario. Los quistes odontogénicos calcificantes son radiotransparentes y pueden mostrar calcificaciones irregulares dispersas, y se diagnostican diferencialmente de otros tumores dentales. El tratamiento incluye raspado quirúrgico o extirpación.



















