Diagnóstico
Radiográfico
De Caries
Resultados de
aprendizaje de la clase
 Identificar aspecto radiográfico de las caries según ubicación
 Presentar clasificación radiográfica de caries
 Establecer correlación clínica - histopatológica – radiográfica
de la caries
 Alrededor del 30% de las caries existentes no
pueden verse sin control radiográfico
Cheyne y Horne,1948
 Las radiografías de aleta de mordida son las más
adecuadas para descubrir estados precoces de
la caries
Raper,
1925
Se ha demostrado que el
50% de todas las caries
interdentarias no son visibles
clínicamente
CHEYNE VD, HOME EV; DELABARRE FA;
KIDD EAM, PITTS NB; MUHLER J;
MURRAY J, SHAW L; SMITH RK; SOGNNAES
RJ;
TRITHART A, DONNELLY C
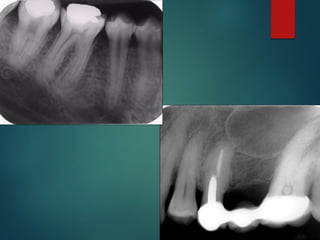
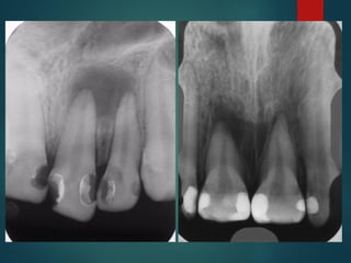
La caries es detectable
radiográficamente por que
produce una desmineralización del
diente, esta zona permite un paso
mayor de Rayos X que impresionan
la película
Diagnóstico Diferencial de Caries
con:
Estrechamientos cervicales
Zonas hipoplásicas
Áreas hipomineralizadas
Anatomía normal ( en caries
oclusales )
Reconocimiento de
Materiales de Base y
Restauración
“ La extensión histológica de
una caries no corresponde con
el límite radiográfico, siempre es
mayor ”
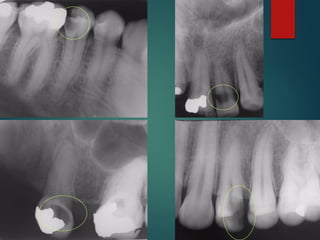
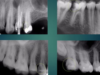
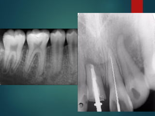
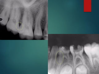
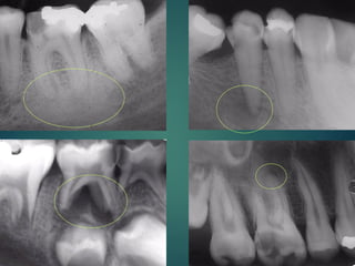
Clasificación
Radiográfica De las
Caries
 Incipiente de esmalte
 De esmalte
 Dentinaria superficial
 Dentinaria profunda
 Sobreproyectada en cámara pulpar
 Penetrante
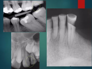
Clasificación Radiográfica
De Las Caries
Clasificación Radiográfica
De Las Caries
 Incipiente de esmalte
 De esmalte
 Dentinaria superficial
 Dentinaria profunda
 Sobreproyectada en cámara pulpar
 Penetrante
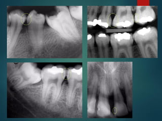
Clasificación Radiográfica
De Las Caries
Incipiente de esmalte
De esmalte
Dentinaria superficial
Dentinaria profunda
Sobreproyectada en cámara pulpar
Penetrante
Clasificación Radiográfica
De Las Caries
 Incipiente de esmalte
 De esmalte
 Dentinaria superficial
 Dentinaria profunda
 Sobreproyectada en cámara
pulpar
 Penetrante
 Incipiente de esmalte
 De esmalte
 Dentinaria superficial
 Dentinaria profunda
 Sobreproyectada en cámara pulpar
 Penetrante
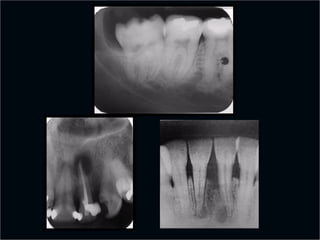
Clasificación Radiográfica
De Las Caries
 Incipiente de esmalte
 De esmalte
 Dentinaria superficial
 Dentinaria profunda
 Sobreproyectada en cámara pulpar
 Penetrante
Clasificación Radiográfica
De Las Caries
Lesiones
Periapicales
Displasia cementaria
periapical
 Cementoma, Fibrocementoma, Cementoma
esclerosante, Osteofibrosis periapical.
 Trastorno no inflamatorio
 Individuos de mediana edad
 Mas frecuente en mujeres (9:1)
 Raza negra (3:1)
 Hueso periapical de dientes anteroinferiores
…continuación
 Lesiones múltiples generalmente
 Dientes vitales
 Fases secuenciales
1.- Radiolúcida
2.- Mixta
3.- Radiopaca
 Cápsula radiolúcida que la separa del hueso
Clasificación de las
Lesiones Periapicales
Desde el punto de vista rx
 Línea periodontal apical engrosada
 Granuloma
 Quiste
 Osteítis
 Osteítis condensante
Linea Periodontal
Apical Engrosada
Línea Periodontal
Linea Periodontal
Apical Engrosada
Causas
 Periodontitis apical
crónica
 Trauma oclusal
 Distorsión por
amplitud
 Sumación de
absorciones
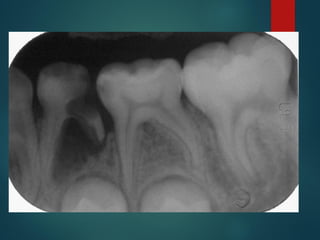
Granuloma
 Area radiolúcida
 Redonda u oval
 Límites netos
 Generalmente no
corticalizado
 Tamaño variable (no
mayor a 1 cm)
 Signos de infección
pulpar
Granuloma
Correlación Histológico-Radiográfica
 Granuloma
 Quiste
 Displasia cementaria periapical
 Cicatriz
 Apicectomía
Quiste
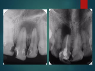
Quiste
 Area radiolúcida
 Redonda u oval unilocular
 Bordes bien definidos
 Habitualmente
corticalizada
 Tamaño mayor a 1 cm
 Pueden expandirse a seno
maxilar
 Pueden producir rizálisis en
dientes adyacentes
Quiste
Correlación Histológica-Radiográfica
 Granuloma
 Cicatriz
 Displasia cementaria periapical
 Apicectomía
 Quiste
Osteítis
Osteitis
 Area radiolúcida
 Límites difusos
 Tamaño variable
 Diente infectado
 Concepto radiográfico
Osteitis
Correlación Histológica-Radiográfica
 Granuloma
 Granuloma abscedado
 Quiste abscedado
 Absceso dentoalveolar agudo
Osteítis
Condensante
Osteitis
Condensante
 Area radiopaca
 Límites difusos
 En relación a un diente
infectado
Diagnostico Radiografico de Caries

Diagnostico Radiografico de Caries