SERIE   BLANCA ELABORO: WILLIANS SANCHEZ RODRIGUEZ
MIELOBLASTO
MIELOBLASTO
MIELOBLASTO
MIELOBLASTO
PROMIELOCITO
PROMIELOCITO
PROMIELOCITO
PROMIELOCITO
MIELOCITO
MIELOCITO
MIELOCITO
MIELOCITO
MIELOCITO NEUTROFILO Y EOSINOFILO
MIELOCITO INTERMEDIO
MIELOCITO EOSINOFILO
METAMIELOCITO
METAMIELOCITO
METAMIELOCITO
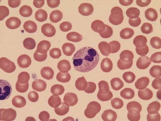
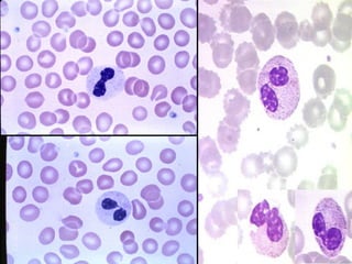
NEUTROFILO BANDA
 
NEUTROFILO BANDA
NEUTROFILO SEGMENTADO
 
 
NEUTROFILO SEGMENTADO
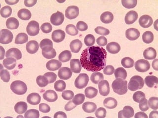
EOSINOFILO
 
 
 
BASOFILO
BASOFILO
BASOFILO
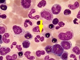
TRANSTORNOS NO MALIGNOS DE GRANULOCITOS Y MONOCITOS
INCLUSIONES   CITOPLASMATICAS ENCONTRADAS EN LOS NEUTROFILOS TRASTORNO  COMPOSICION MORFOLOGIA INCLUSION ERLIQUIOSIS ACÚMULOS ESTRECHAMENTE APRETADO DE RIQUETISIAS DEL GÉNERO EHRLICHIA BÁSOFILO GRANULAR, DEFORMA IRREGULAR MÓRULA = C. DOHLE ETAPA FINAL DE LA DIGESTIÓN DEL MATERIAL O LA GRASA FAGOCITADA ÁREA CIRCULAR, CLARA, NO TEÑIDA. VACUOLA CITOPLÁSMATICA = C. DOHLE GRANULOS PRIMARIOS POSITIVOS A PEROXIDASA GRÁNULOS GRANDES DE COLOR AZUL-NEGRO GRÁNULOS TÓXICOS INFECCIONES BACTERIANAS,EMBARAZO,QUEMADURAS,CÁNCER,ANEMIA APLÁSICA,ESTADOS TÓXICOS. AGREGADO DE RETICULO ENDOPLÁSMICO RUGOSO ÁREAS OVALES DE COLOR AZUL GRIS PÁLIDO CERCA DE LA PERIFERIA DE LA CELULA CUERPO DOHLE
NEUTROFILO SEGMENTADO  VACUOLADO
NEUTROFILO SEGMENTADO  VACUOLADO
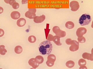
CUERPO DOHLE
NEUTROFILO ANOMALIA CUERPO-DOHLE
NEUTROFILO ANOMALIA CUERPO-DOHLE
GRANULACION TOXICA
NEUTROFILO CON  GRANULACION TOXICA
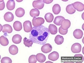
NEUTROFILO HIPERSEGMENTADO
ANORMALIDADES HEREDITARIAS CUALITATIVA DE LOS NEUTROFILOS
NEUTROFILO ANOMALIA PELGER-HUET
 
 
 
 
NEUTROFILO ANOMALIA PELGER-HUET
ANOMALIA ALDER -REILLY
ANOMALIA DE MAY HEGGLIN
ANOMALIA DE MAY HEGGLIN
ANOMALIA DE MAY HEGGLIN
ANOMALIA DE MAY HEGGLIN
ANOMALIA DE MAY HEGGLIN
ANOMALIA CHEDIAK HISAGHI
ANOMALIA CHEDIAK HISAGHI
ANOMALIA CHEDIAK HISAGHI
ANOMALIA CHEDIAK HISAGHI
ANOMALIA  CHEDIAK HISAGHI
ETAPA MADURACION MONOCITO
MONOBLASTO
MONOBLASTO
PROMONOCITO
MONOCITO
 
 
LINFOCITO Y MONOCITO
ENFREMEDAD GAUCHER TRASTORNO MONOCITOS CUALITATIVOS
ETAPA MADURACION LINFOCITO
LINFOBLASTO
PROLINFOCITO
LINFOCITO
 
 
CELULA PLASMATICA
CELULA PLASMATICA IREGULAR
TRASTORNOPS NO MALIGNODE LINFOCITOS CUANTITATIVOS ADQUIRIDOS MONONUCLEOSIS INFECCIOSA
MONONUCLEOSIS INFECCIOSA
MONONUCLEOSIS INFECCIOSA
LINFOCITO REACVTIVO EN HEPATITIS
LINFOCITO REACTIVO EN INFECCION VIRAL MONONUCLEOSIS INFECCIOSA
LINFOCITO REACTIVO EN INFECCION VIRAL
LINFOCITO REACTIVO EN INFECCION POR CMV

Serie blanca