ALTERACIONES
EN EL FROTIS DE
SANGRE
PERIFERICA
Dra. Cristina Peñaherrera
HEMATOLOGA
Funciones del eritrocito:
 Conservar su integridad estructural para
sobrevivir en la circulación durante
aproximadamente 120 días.
 Mantener el hierro hemoglobínico en
estado reducido para que la hemoglobina
pueda fijar reversiblemente el oxígeno
molecular.
 Contribuir a la función hemoglobínica
facilitando la liberación de oxígeno a los
tejidos.
La Morfología normal de los hematíes
puede sufrir diversas alteraciones:
1. Tamaño.
2. Color.
3. Forma.
4. Inclusiones eritrocitarias.
Alteraciones en el tamaño
 Anisocitosis.
 Microcitosis.
 Macrocitosis.
 Megalocitosis
Anisocitosis: Desigualdad en el diámetro de
los Eritrocitos.
Ptes transfundidos, Anemias en general.
Microcitosis: Hematíes con diámetro menor de 6µm y
VCM < 80 fentolitros.
Contenido hemoglobínico reducido
 Anemias ferropénicas, Talasemia, déficit de Piruvato
– quinasa, hemoglobinopatías C, E y
Lepore, Anemia Sideroblástica , anemias post
hemorragica.
Macrocitosis: Eritrocitos con diámetro
mayor de 9 µm y VCM mayor de 100 fl
Hematológicas
Anemia megaloblástica
Diseritropoyesis
Eritroblastosis Fetal
Aplasia Medular
Sindromes mieloproliferativos
Sindromes mielodisplásticos
No hematológicas ( mixedema,sind
dirreicos cronicos , después de una
esplenectomia , resecciones gástricas),
Malabsorción intestinal, Cirrosis
Hepática
Megalocitosis: Máxima expresión de la
macrocitosis. Tamaño superior a 12 µm forma
algo ovalada y con un alto contenido de Hb; no
presenta aclaramiento central de los macrocitos.
Anemia Megaloblástica, Hemopatías
malignas, Sind mielodisplástico,fisiologicamente
en etapa embrionaria
Alteraciones del color
 Hipocromía.
 Anisocromia.
 Anulocitos.
 Policromatofilia.
Alteraciones del color
Hipocromía: Hay menos Hb de lo normal. Aumenta la zona
central clara a más de un tercio del volumen. Cuando la
hipocromía es muy intensa, la Hb queda reducida a una franja
periférica llamado anulocito.
 Anemias ferropénicas, e intoxicación por aluminio,
Talasemias, SMP, Anemias Sideroblásticas y de los procesos
crónicos, Hemoglobinopatias C y E.
Anisocromía:
Presencia de una doble población eritrocitaria
donde hay normocromía e hipocromía.
Anemia refractaria, anemia por deficit de hierro
postransfusiones sanguíneas.
Policromatofilia:
Hematíes Jóvenes que conservan basofilia (gris
azulada) suelen ser de mayor tamaño.
Eritropoyesis regenerativa, Anemia
Hemolítica, Anemias carenciales con tratamiento.
Alteraciones en la forma
Puede ser por diversas
causas:
 Congénitas.
 Diseritropoyesis.
 Acción de diversos agentes sobre hematíes
normales.
Equinocito o hematíes crenados: Eritrocito
espiculado con proyecciones cortas, iguales y
separadas en toda la superficie.
Se observan en:
 Uremia severa
 Hepatopatías neonatales
 Deficit de potasio en el globulo rojo
 Transfusiones con sangre
envejecida
 Déficit de Piruvato quinasa
 Carcinoma de estómago y Úlceras
sangrantes.
Acantocito: Hematíes
espiculados, con proyecciones de
longitud y posición variable.
Se observan en:
Abetalipoproteinemias
Hepatopatía alcohólica
Postesplenectomía
Malabsorción intestinal
Acantocitosis Congénita
Déficit de Piruvato-Quinasa
Cirrosis hepática
Estomatocito: Célula en boca, forma
de copa, gorro, seta, disco cóncavo. Se
caracteriza por un área central libre de
Hb, en forma de cigarro o salchicha
Se observan en:
 Estomatocitosis hereditaria
 Alcoholismo, Cirrosis hepática
 Anemias hemolíticas
 Enzimopatía de la glucolísis
 Ictero obtructivo
 Artefactos
Esquistocitos: Fragmentos resultantes de la
rotura mecánica de los eritrocitos, tamaño 2-3
µm y forma variable.
Se observan en:
 Anemia hemolítica microangiopática
secundaria a: (PTT , síndrome hemolítico
urémico, Hemoglobinuria de la marcha
 Hemangioma cavernoso
No hematológicas
 Hemólisis por válvulas cardíacas
 Quemados graves
 Eclampsias y crisis hipertensiva
 carcinomas
 Vasculitis
 Glomeruronefritis
 CID
Eliptocito: Su forma varía desde
oval (ovalocito) a elipse alargado.
Se observan en:
 Eliptocitosis hereditaria
 Talasemia
 Déficit de hierro
 Anemias mieloptísicas
 Anemia Megaloblástica
 Mielofibrosis
 SMP
Drepanocitos ó hematíes
falciformes:
Contienen hemoglobina S polimerizada,
los hematíes se alargan y adquieren
una forma en hoz o media luna.
Se observan en:
 Enfermedad por células falciformes (
SS, rasgo S,
SC, SD, Talasemia )
 Hemoglobina C-Harlen
 Hemoglobina Menphis/S.
Codocito o hematíe en diana:
Hematíes planos en forma de campana
o tiro al blanco. Con distribución
anormal de la hemoglobina, en el
centro y periferia dejando un anillo
entre estas zonas.
Se observan en:
 Hepatopatías obstructivas
 Hemoglobinopatías S ,C y E
 Talasemia
 Déficit de hierro
 Postesplenectomía
 Artefactos
 Acidosis
Poiquilocitosis: Hematíes de
diferentes formas.
Generalmente acompaña a la
anisocitosis y se presenta en:
 Anemias severas
 Eritropoyesis inadecuada
 Mielofibrosis
Leucemias.
Dacriocito (Hematíes en lágrima):
Hematíes con una sola prolongación,
en forma de raqueta o lágrima.
Se observa en:
 Anemias Megaloblásticas
 Anemias ferropénicas
 Talasemia
 Fibrosis medular
 Granulomatosis medular
 Anemias Hemolíticas Autoinmunes
 Anemia mieloptísica
 TB y hematopoyesis extramedular.
Keratocito o hematíe en casco: Hematíes con espinas
que se producen por roturas de vacuolas. Células en
cuerno. Tiene apariencia de medialuna. Su Hb es normal o
ligeramente disminuida.
Se observan en:
 Anemias hemolíticas microangiopáticas(CID,PTT, Sind.
hemolítico urémico, AHM inducida por quimioterapia, Sind.
HELLP) Hemoglobinuria de la marcha , quemaduras
graves,Carcinomas, Glomerulonefritis
Esferocitos:
Son hematíes con forma esférica, diámetro
inferior al normal, pero mayor grosor, no
presentan depresión central y están
intensamente coloreados, fragilidad
osmótica aumentada.
Se observan en:
 Esferocitosis hereditaria o Enfermedad de
Minkowski Chauffard.
 Anemia hemolítica autoinmune.
 Toxinas bacterianas (lecitinaza del
clostridium welchii).
 Anemia hemolítica por cuerpos de Heinz
 Fragmentación hemolítica
 Postesplenectomía
 Quemaduras graves.
Cuerpos de Howell Jolly: Corpúsculos redondos, se
tiñen de color rojo violáceo, miden menos de 0,5
micras. Fragmentos nucleares que contienen
cromosomas aberrantes generalmente en # de 1 o 2.
Anemias megaloblásticas, hemolíticas, Sicklemia,
postesplenectomía, atrofia esplénica,
hipofuncionamiento esplénico, diseritropoyesis,
saturnismo.
Anillos de Cabot: Forma de 8
invertido o anillo, únicos o
múltiples, de color rojo, son
restos del huso o corrientes
citoplasmáticas ricas en hierro
e histona.
Anemias severas, estados
diseritropoyéticos
graves, anemias graves, déficit
de Pirimidina 5 nucleotidasa.
Punteado basófilo: Granulación basófila color gris azul,
de tamaño y número variable. Corresponden con
precipitados patológicos de ribosomas.
Es indicativo de juventud celular y alto contenido de
ARN. Feto y recién nacido, Saturnismo, Anemia
Sideroblástica y hemolíticas, Beta Talasemia.
ALTERACIONES
LEUCOCITARIAS
LEUCOCITOSIS
 Aumento del número de leucocitos
por encima del valor superior normal
para la edad, generalmente debido
al aumento de los neutrófilos.
 Cifras 25 10 9/L : Hiperleucocitosis.
 Cifras 50 10 9/L: Reacción
Leucemoide.
 de 100 10 9/L: Habitualmente indica
malignidad.
NEUTROFILIAS
 CAN : mayor de 7500 / mm3
 Desviación a la izquierda : + 10%
cayados( formas jóvenes)
 Secundarias a infecciones
bacterianas, son directamente
proporcional al grado de infección-
inflamación.
NEUTROFILIAS
 Stress, ejercicio
intenso, quemados, posquirúrgicas, estero
ides.
 Alteraciones morfológicas
(granulaciones tóxicas, aumento de
la basofília, vacuolas)
REACCION LEUCEMOIDE
 “No está perfectamente delimitada”
 Conteo total de leucocitos por
encima de 50000/mm3 ( 50 X109L)
 Aparecen células
inmaduras, precursoras de los
granulocitos.
(stab, juveniles,promielocitos,mielocito
s).
En infecciones graves, quemaduras
extensas, intoxicaciones por plomo.
REACCION LEUCEMOIDE
 Virales
 Reacciones con sospecha de LLA (tos
ferina, sarampión, mononucleosis
infecciosa, Linfocitosis infecciosa).
 Eosinofílicas :Causas parasitarias.
 Monocitarias :TB diseminada, Endocarditis
bacterianas subagudas.
LEUCOPENIAS
 Cuando las cifras están por debajo de 4,0
x 10 9L, comúnmente relacionados con
disminución de los neutrófilos.
NEUTROPENIA
LIGERAS CAN por debajo de 1500mm3
MODERADAS CAN entre 1000 y 500 mm3
SEVERAS CAN menor de 500 mm3
NEUTROPENIAS
 Bacterias (F.tifoidea,Paratifoidea,Brucelosis
).
 Virus :
Influenza,Parainflunza,Hepatitis,VSR
Epstein- Barr,etc.)
Transitorias ,ligeras, y exentas de
complicaciones.
LINFOCITOSIS
 Infecciones de la infancia (Bordotella
Pertussis, + 10000 CAL),TB,Sífilis.
 Linfocitosis aguda
infecciosa, enfermedad benigna
Adenovirus?
 En general aumenta durante las
infecciones virales en pediatría
(síndrome
mononucleosico,enfermedades
exantemáticas infantiles,ect (pueden
aparecer alteraciones morfológicas).
LINFOPENIA
 En pediatría asociada a infecciones
bacterianas.
 Infecciones virales
Virus inmunodeficiencia adquirida
EOSINOFILIAS
Las causas mas frecuentes de
moderadas y severas están
relacionadas con helmintosis:
(Strongiloidosis,necatoriasis, Toxo
cariasis, ascaridiasis).
Rara vez en infecciones
bacterianas y virales.
EOSINOPENIAS
 Poca relevancia en las infecciones
pediátricas.
 Infecciones bacterianas agudas.
 Stress
 Administración de esteroides
MONOCITOSIS
 Ciertas infecciones bacterianas
(TB,Endorcarditis bacteriana
sudagudas,Brucelosis).
BASOFILIA
 No esta relacionada de forma relevante
en las infecciones pediátricas.
 Procesos mieloproliferativos
PANCITOPENIAS
 Disminución de las 3 series:
Anemia
trombocitopenia
Leucopenia
Derivar a hematología para estudio
Alteraciones Cuantitativas
Alteraciones del Núcleo
1. Anomalia de Pelger – Huet.
2. Hipersegmentación.
3. Apéndices Nucleares.
4. Núcleo en forma de anillo.
5. Cariorrexis.
6. Células Picnóticas.
7. Bolsillos Nucleares.
8. Gigantismo de Neutrófilos.
9. Anomalía morfológica de la trisomía del 13.
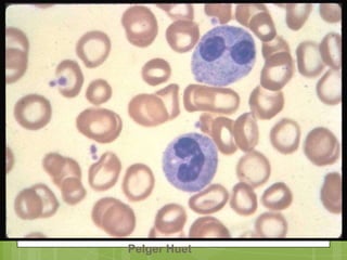
Anomalia de Pelger – Huet
Se caracteriza por hiposegmentación nuclear
( unilobulado o bilobulado)
Carece de manifestaciones clínicas
Se observa en: Trastorno Hereditario, Trastorno
Adquirido (seudo pelger), Infecciones, Anemia
refractarias, LMA, SMC, medicamentos mielotóxicos
y Fiebre Tifoidea.
Pelger Huet
Hipersegmentación
 Neutrófilo con más de 5 segmentos nucleares,
Puede ser mayor de lo normal (pleocariocito).
Se observa en: Trastorno Autosómico Dominante,
Déficit de vitamina B12 y Ácido Fólico, Infecciones
Crónicas, LMC, IRC, Carecer de significado patológico
(hipersegmentación constitucional).
Alteraciones Cualitativas
1. Disminución o ausencia de la granulación.
2. Granulaciones tóxicas.
3. Cuerpos de Dohle
4. Bastones de Auer
5. Astillas.
6. Cuerpos Phi.
7. Vacuolas.
8. Anomalía de Chediak — Higashi.
9. Anomalía de Alder --- Reilly.
10. Anomalía de May --- Hegglin
11. Anomalía de Jordans o Ducheme.
12. Inclusiones de Snapper y Schneid.
Alteraciones Citoplasmáticas
Granulaciones tóxicas
Gránulos que contienen enzimas anormalmente
Activadas. Tienen coloración azurofila intensa.
Se observa en: Infecciones bacterianas
graves, Inflamación, Coma
diabético, Quemaduras, Quimioterapia.
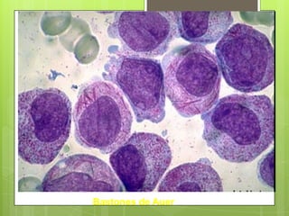
Son inclusiones con el aspecto de
agujas, de color rojo, que se pueden
encontrar en el citoplasma de los blastos
y promielocitos de las leucemias
mieloides agudas.
Bastones de Auer
Bastones de Auer
Vacuolas
Vacuolas en el citoplasma que reflejan residuos
de la digestión de bacilos y otras sustancias a degradar.
Se ven: Septicemia, administración de cloranfenicaol y
citostáticos, fenómenos degenerativos celulares.
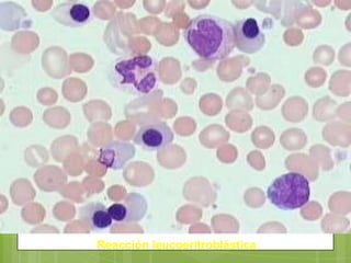
Reacción leucoeritroblástica
Es el cuadro hematológico dado por la
presencia en la sangre periférica de células
inmaduras de la línea granulopoyética y
células rojas nucleadas.
Es menos frecuente que las reacciones
leucemoides , pero generalmente refleja una
disfunción importante de la médula ósea.
Reacción leucoeritroblástica
Causas
 Infiltraciones tumorales de la médula ósea.
 Procesos que se acompañan de mielofibrosis.
 Anemias hemolíticas
 Infecciones graves
 Leucemias
 Insuficiencia Renal
 Linfomas
 Mieloma Múltiple
 Enfermedades Granulomatosas
 Hiperesplenismo
 Carcinoma de Mama, pulmón, Próstata con
metástasis ósea.
Reacción leucoeritroblástica
PATRONES MORFOLÓGICOS
HEMOLÍTICO
• Anisocitosis
• Esferocitosis
• Poiquilocitosis
• Anillos de cabot
• Punteado basófilo
• Corpúsculo de Howel- Jolly.
• Policromatofilia
•• Normoblastos en sangre periférica
• Eritroblasto policromatófilo
• Reticulocitosis
SÉPTICO
• Granulaciones tóxicas
• Pseudo pelger
• Vacuolas
• Cuerpos de Döle
• Picnosis nuclear
• Leucocitosis con desviación a la
izquierda/ leucopenia
• Neutrofilia
MEGALOBLÁSTICO
• Hipercromía
• Reticulocitopenia
• Stab gigantes
• Leucopenia
• Dacriocitos
• Mega en rosario
• Policromatofilia
• Hematies gigantes
• Pleocariocito
• Trombocitopenia
• Fragmentocito
• Macrocitos ovales
POST ESPLENECTOMÍA
• Anisocitosis
• Dacriocitos
• Poiquilocitosis
• Anillos de cabot
• Siderocitos
• Esferocitos
• Corpúsculos de Howel Holly
• Hematies vacuolados
• Hematies crenados > 3%
• Acantocitos
LMC
• Leucocitos >
100x109/L
• Mielemia
• Pseudo pelger
• Basofilia
• Eosinofilia
• FA disminuida
Gracias

Frotis sangre periferica - Schilling

  • 1.
    ALTERACIONES EN EL FROTISDE SANGRE PERIFERICA Dra. Cristina Peñaherrera HEMATOLOGA
  • 2.
    Funciones del eritrocito: Conservar su integridad estructural para sobrevivir en la circulación durante aproximadamente 120 días.  Mantener el hierro hemoglobínico en estado reducido para que la hemoglobina pueda fijar reversiblemente el oxígeno molecular.  Contribuir a la función hemoglobínica facilitando la liberación de oxígeno a los tejidos.
  • 3.
    La Morfología normalde los hematíes puede sufrir diversas alteraciones: 1. Tamaño. 2. Color. 3. Forma. 4. Inclusiones eritrocitarias.
  • 4.
    Alteraciones en eltamaño  Anisocitosis.  Microcitosis.  Macrocitosis.  Megalocitosis
  • 5.
    Anisocitosis: Desigualdad enel diámetro de los Eritrocitos. Ptes transfundidos, Anemias en general.
  • 6.
    Microcitosis: Hematíes condiámetro menor de 6µm y VCM < 80 fentolitros. Contenido hemoglobínico reducido  Anemias ferropénicas, Talasemia, déficit de Piruvato – quinasa, hemoglobinopatías C, E y Lepore, Anemia Sideroblástica , anemias post hemorragica.
  • 7.
    Macrocitosis: Eritrocitos condiámetro mayor de 9 µm y VCM mayor de 100 fl Hematológicas Anemia megaloblástica Diseritropoyesis Eritroblastosis Fetal Aplasia Medular Sindromes mieloproliferativos Sindromes mielodisplásticos No hematológicas ( mixedema,sind dirreicos cronicos , después de una esplenectomia , resecciones gástricas), Malabsorción intestinal, Cirrosis Hepática
  • 8.
    Megalocitosis: Máxima expresiónde la macrocitosis. Tamaño superior a 12 µm forma algo ovalada y con un alto contenido de Hb; no presenta aclaramiento central de los macrocitos. Anemia Megaloblástica, Hemopatías malignas, Sind mielodisplástico,fisiologicamente en etapa embrionaria
  • 9.
    Alteraciones del color Hipocromía.  Anisocromia.  Anulocitos.  Policromatofilia.
  • 10.
    Alteraciones del color Hipocromía:Hay menos Hb de lo normal. Aumenta la zona central clara a más de un tercio del volumen. Cuando la hipocromía es muy intensa, la Hb queda reducida a una franja periférica llamado anulocito.  Anemias ferropénicas, e intoxicación por aluminio, Talasemias, SMP, Anemias Sideroblásticas y de los procesos crónicos, Hemoglobinopatias C y E.
  • 11.
    Anisocromía: Presencia de unadoble población eritrocitaria donde hay normocromía e hipocromía. Anemia refractaria, anemia por deficit de hierro postransfusiones sanguíneas.
  • 12.
    Policromatofilia: Hematíes Jóvenes queconservan basofilia (gris azulada) suelen ser de mayor tamaño. Eritropoyesis regenerativa, Anemia Hemolítica, Anemias carenciales con tratamiento.
  • 13.
    Alteraciones en laforma Puede ser por diversas causas:  Congénitas.  Diseritropoyesis.  Acción de diversos agentes sobre hematíes normales.
  • 14.
    Equinocito o hematíescrenados: Eritrocito espiculado con proyecciones cortas, iguales y separadas en toda la superficie. Se observan en:  Uremia severa  Hepatopatías neonatales  Deficit de potasio en el globulo rojo  Transfusiones con sangre envejecida  Déficit de Piruvato quinasa  Carcinoma de estómago y Úlceras sangrantes.
  • 15.
    Acantocito: Hematíes espiculados, conproyecciones de longitud y posición variable. Se observan en: Abetalipoproteinemias Hepatopatía alcohólica Postesplenectomía Malabsorción intestinal Acantocitosis Congénita Déficit de Piruvato-Quinasa Cirrosis hepática
  • 16.
    Estomatocito: Célula enboca, forma de copa, gorro, seta, disco cóncavo. Se caracteriza por un área central libre de Hb, en forma de cigarro o salchicha Se observan en:  Estomatocitosis hereditaria  Alcoholismo, Cirrosis hepática  Anemias hemolíticas  Enzimopatía de la glucolísis  Ictero obtructivo  Artefactos
  • 17.
    Esquistocitos: Fragmentos resultantesde la rotura mecánica de los eritrocitos, tamaño 2-3 µm y forma variable. Se observan en:  Anemia hemolítica microangiopática secundaria a: (PTT , síndrome hemolítico urémico, Hemoglobinuria de la marcha  Hemangioma cavernoso No hematológicas  Hemólisis por válvulas cardíacas  Quemados graves  Eclampsias y crisis hipertensiva  carcinomas  Vasculitis  Glomeruronefritis  CID
  • 18.
    Eliptocito: Su formavaría desde oval (ovalocito) a elipse alargado. Se observan en:  Eliptocitosis hereditaria  Talasemia  Déficit de hierro  Anemias mieloptísicas  Anemia Megaloblástica  Mielofibrosis  SMP
  • 19.
    Drepanocitos ó hematíes falciformes: Contienenhemoglobina S polimerizada, los hematíes se alargan y adquieren una forma en hoz o media luna. Se observan en:  Enfermedad por células falciformes ( SS, rasgo S, SC, SD, Talasemia )  Hemoglobina C-Harlen  Hemoglobina Menphis/S.
  • 20.
    Codocito o hematíeen diana: Hematíes planos en forma de campana o tiro al blanco. Con distribución anormal de la hemoglobina, en el centro y periferia dejando un anillo entre estas zonas. Se observan en:  Hepatopatías obstructivas  Hemoglobinopatías S ,C y E  Talasemia  Déficit de hierro  Postesplenectomía  Artefactos  Acidosis
  • 21.
    Poiquilocitosis: Hematíes de diferentesformas. Generalmente acompaña a la anisocitosis y se presenta en:  Anemias severas  Eritropoyesis inadecuada  Mielofibrosis Leucemias.
  • 22.
    Dacriocito (Hematíes enlágrima): Hematíes con una sola prolongación, en forma de raqueta o lágrima. Se observa en:  Anemias Megaloblásticas  Anemias ferropénicas  Talasemia  Fibrosis medular  Granulomatosis medular  Anemias Hemolíticas Autoinmunes  Anemia mieloptísica  TB y hematopoyesis extramedular.
  • 23.
    Keratocito o hematíeen casco: Hematíes con espinas que se producen por roturas de vacuolas. Células en cuerno. Tiene apariencia de medialuna. Su Hb es normal o ligeramente disminuida. Se observan en:  Anemias hemolíticas microangiopáticas(CID,PTT, Sind. hemolítico urémico, AHM inducida por quimioterapia, Sind. HELLP) Hemoglobinuria de la marcha , quemaduras graves,Carcinomas, Glomerulonefritis
  • 24.
    Esferocitos: Son hematíes conforma esférica, diámetro inferior al normal, pero mayor grosor, no presentan depresión central y están intensamente coloreados, fragilidad osmótica aumentada. Se observan en:  Esferocitosis hereditaria o Enfermedad de Minkowski Chauffard.  Anemia hemolítica autoinmune.  Toxinas bacterianas (lecitinaza del clostridium welchii).  Anemia hemolítica por cuerpos de Heinz  Fragmentación hemolítica  Postesplenectomía  Quemaduras graves.
  • 25.
    Cuerpos de HowellJolly: Corpúsculos redondos, se tiñen de color rojo violáceo, miden menos de 0,5 micras. Fragmentos nucleares que contienen cromosomas aberrantes generalmente en # de 1 o 2. Anemias megaloblásticas, hemolíticas, Sicklemia, postesplenectomía, atrofia esplénica, hipofuncionamiento esplénico, diseritropoyesis, saturnismo.
  • 26.
    Anillos de Cabot:Forma de 8 invertido o anillo, únicos o múltiples, de color rojo, son restos del huso o corrientes citoplasmáticas ricas en hierro e histona. Anemias severas, estados diseritropoyéticos graves, anemias graves, déficit de Pirimidina 5 nucleotidasa.
  • 27.
    Punteado basófilo: Granulaciónbasófila color gris azul, de tamaño y número variable. Corresponden con precipitados patológicos de ribosomas. Es indicativo de juventud celular y alto contenido de ARN. Feto y recién nacido, Saturnismo, Anemia Sideroblástica y hemolíticas, Beta Talasemia.
  • 28.
  • 29.
    LEUCOCITOSIS  Aumento delnúmero de leucocitos por encima del valor superior normal para la edad, generalmente debido al aumento de los neutrófilos.  Cifras 25 10 9/L : Hiperleucocitosis.  Cifras 50 10 9/L: Reacción Leucemoide.  de 100 10 9/L: Habitualmente indica malignidad.
  • 30.
    NEUTROFILIAS  CAN :mayor de 7500 / mm3  Desviación a la izquierda : + 10% cayados( formas jóvenes)  Secundarias a infecciones bacterianas, son directamente proporcional al grado de infección- inflamación.
  • 31.
    NEUTROFILIAS  Stress, ejercicio intenso,quemados, posquirúrgicas, estero ides.  Alteraciones morfológicas (granulaciones tóxicas, aumento de la basofília, vacuolas)
  • 32.
    REACCION LEUCEMOIDE  “Noestá perfectamente delimitada”  Conteo total de leucocitos por encima de 50000/mm3 ( 50 X109L)  Aparecen células inmaduras, precursoras de los granulocitos. (stab, juveniles,promielocitos,mielocito s). En infecciones graves, quemaduras extensas, intoxicaciones por plomo.
  • 33.
    REACCION LEUCEMOIDE  Virales Reacciones con sospecha de LLA (tos ferina, sarampión, mononucleosis infecciosa, Linfocitosis infecciosa).  Eosinofílicas :Causas parasitarias.  Monocitarias :TB diseminada, Endocarditis bacterianas subagudas.
  • 34.
    LEUCOPENIAS  Cuando lascifras están por debajo de 4,0 x 10 9L, comúnmente relacionados con disminución de los neutrófilos.
  • 35.
    NEUTROPENIA LIGERAS CAN pordebajo de 1500mm3 MODERADAS CAN entre 1000 y 500 mm3 SEVERAS CAN menor de 500 mm3
  • 36.
    NEUTROPENIAS  Bacterias (F.tifoidea,Paratifoidea,Brucelosis ). Virus : Influenza,Parainflunza,Hepatitis,VSR Epstein- Barr,etc.) Transitorias ,ligeras, y exentas de complicaciones.
  • 37.
    LINFOCITOSIS  Infecciones dela infancia (Bordotella Pertussis, + 10000 CAL),TB,Sífilis.  Linfocitosis aguda infecciosa, enfermedad benigna Adenovirus?  En general aumenta durante las infecciones virales en pediatría (síndrome mononucleosico,enfermedades exantemáticas infantiles,ect (pueden aparecer alteraciones morfológicas).
  • 38.
    LINFOPENIA  En pediatríaasociada a infecciones bacterianas.  Infecciones virales Virus inmunodeficiencia adquirida
  • 39.
    EOSINOFILIAS Las causas masfrecuentes de moderadas y severas están relacionadas con helmintosis: (Strongiloidosis,necatoriasis, Toxo cariasis, ascaridiasis). Rara vez en infecciones bacterianas y virales.
  • 40.
    EOSINOPENIAS  Poca relevanciaen las infecciones pediátricas.  Infecciones bacterianas agudas.  Stress  Administración de esteroides
  • 41.
    MONOCITOSIS  Ciertas infeccionesbacterianas (TB,Endorcarditis bacteriana sudagudas,Brucelosis).
  • 42.
    BASOFILIA  No estarelacionada de forma relevante en las infecciones pediátricas.  Procesos mieloproliferativos
  • 43.
    PANCITOPENIAS  Disminución delas 3 series: Anemia trombocitopenia Leucopenia Derivar a hematología para estudio
  • 44.
    Alteraciones Cuantitativas Alteraciones delNúcleo 1. Anomalia de Pelger – Huet. 2. Hipersegmentación. 3. Apéndices Nucleares. 4. Núcleo en forma de anillo. 5. Cariorrexis. 6. Células Picnóticas. 7. Bolsillos Nucleares. 8. Gigantismo de Neutrófilos. 9. Anomalía morfológica de la trisomía del 13.
  • 45.
    Anomalia de Pelger– Huet Se caracteriza por hiposegmentación nuclear ( unilobulado o bilobulado) Carece de manifestaciones clínicas Se observa en: Trastorno Hereditario, Trastorno Adquirido (seudo pelger), Infecciones, Anemia refractarias, LMA, SMC, medicamentos mielotóxicos y Fiebre Tifoidea.
  • 46.
  • 47.
    Hipersegmentación  Neutrófilo conmás de 5 segmentos nucleares, Puede ser mayor de lo normal (pleocariocito). Se observa en: Trastorno Autosómico Dominante, Déficit de vitamina B12 y Ácido Fólico, Infecciones Crónicas, LMC, IRC, Carecer de significado patológico (hipersegmentación constitucional).
  • 48.
    Alteraciones Cualitativas 1. Disminucióno ausencia de la granulación. 2. Granulaciones tóxicas. 3. Cuerpos de Dohle 4. Bastones de Auer 5. Astillas. 6. Cuerpos Phi. 7. Vacuolas. 8. Anomalía de Chediak — Higashi. 9. Anomalía de Alder --- Reilly. 10. Anomalía de May --- Hegglin 11. Anomalía de Jordans o Ducheme. 12. Inclusiones de Snapper y Schneid. Alteraciones Citoplasmáticas
  • 49.
    Granulaciones tóxicas Gránulos quecontienen enzimas anormalmente Activadas. Tienen coloración azurofila intensa. Se observa en: Infecciones bacterianas graves, Inflamación, Coma diabético, Quemaduras, Quimioterapia.
  • 50.
    Son inclusiones conel aspecto de agujas, de color rojo, que se pueden encontrar en el citoplasma de los blastos y promielocitos de las leucemias mieloides agudas. Bastones de Auer
  • 51.
  • 52.
    Vacuolas Vacuolas en elcitoplasma que reflejan residuos de la digestión de bacilos y otras sustancias a degradar. Se ven: Septicemia, administración de cloranfenicaol y citostáticos, fenómenos degenerativos celulares.
  • 53.
    Reacción leucoeritroblástica Es elcuadro hematológico dado por la presencia en la sangre periférica de células inmaduras de la línea granulopoyética y células rojas nucleadas. Es menos frecuente que las reacciones leucemoides , pero generalmente refleja una disfunción importante de la médula ósea.
  • 54.
    Reacción leucoeritroblástica Causas  Infiltracionestumorales de la médula ósea.  Procesos que se acompañan de mielofibrosis.  Anemias hemolíticas  Infecciones graves  Leucemias  Insuficiencia Renal  Linfomas  Mieloma Múltiple  Enfermedades Granulomatosas  Hiperesplenismo  Carcinoma de Mama, pulmón, Próstata con metástasis ósea.
  • 55.
  • 56.
    PATRONES MORFOLÓGICOS HEMOLÍTICO • Anisocitosis •Esferocitosis • Poiquilocitosis • Anillos de cabot • Punteado basófilo • Corpúsculo de Howel- Jolly. • Policromatofilia •• Normoblastos en sangre periférica • Eritroblasto policromatófilo • Reticulocitosis
  • 57.
    SÉPTICO • Granulaciones tóxicas •Pseudo pelger • Vacuolas • Cuerpos de Döle • Picnosis nuclear • Leucocitosis con desviación a la izquierda/ leucopenia • Neutrofilia
  • 58.
    MEGALOBLÁSTICO • Hipercromía • Reticulocitopenia •Stab gigantes • Leucopenia • Dacriocitos • Mega en rosario • Policromatofilia • Hematies gigantes • Pleocariocito • Trombocitopenia • Fragmentocito • Macrocitos ovales
  • 59.
    POST ESPLENECTOMÍA • Anisocitosis •Dacriocitos • Poiquilocitosis • Anillos de cabot • Siderocitos • Esferocitos • Corpúsculos de Howel Holly • Hematies vacuolados • Hematies crenados > 3% • Acantocitos
  • 60.
    LMC • Leucocitos > 100x109/L •Mielemia • Pseudo pelger • Basofilia • Eosinofilia • FA disminuida
  • 61.