ETAPAS DE MADURACION DEL ERITROCITO
 
P RONORMOBLASTO
 
 
NORMOBLASTO BASOFILO
 
 
 
NORMOBLASTO  POLICROMÁTOFILO
NORMOBLASTO ORTOCROMATÓFILO
 
 
RETICULOCITOS
 
ERI TRO CITOS
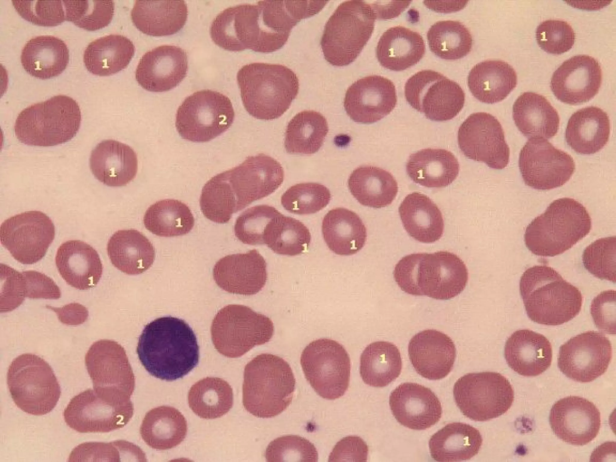
MORFOLOGIA NORMAL DEL ERITROCITO
 
 
 
ANORMALIDADES EN LA FORMA DE LOS ERITROCITOS
 
POIQUILOCITOSIS AUMENTO EN LA VARIACION DE LA FORMA DE LOS ERITROCITOS
 
 
 
ACANTOCITO ERITOCITO CON ESPICULAS CON PROYECCIONES CORTAS ESPACIADAS IGUAL QUE LA SUPERFICIE TOTAL . ESTADOS PATOLOGICOS: ENFERMEDAD DEL HIGADO, UREMIA, DEFICIENCIA DE PIRIVATO CINASA, ULCERA PEPTICA, CANCER DE ESTOMAGO, TERAPEUTICA CON HEPARINA
 
 
ELIPTOCITO CÉLULA ELIPSOIDE OVAL ALARGADA CON ÁREA CENTRAL DE PALIDEZ Y HEMOGLOBINA EN AMBOS EXTREMOS. ESTADO PATOLOGICO: ELIPTOCITOSIS HEREDITARIA, ANEMIA POR DEFICIENCIA HIERRO, TALASEMIA, ANEMIA ACOMPAÑADA DE LEUCEMIA.
 
ELIPTOCITOSIS HEREDITARIA
ELIPTOCITOSIS
DREPANOCITO ERITROCITOS QUE CONTIENEN HbS POLIMERIZADA QUE MUESTRAN VARIAS FORMAS: FALCIFORMES, MEDIA LUNA O FORMA DE BARCO. ESTADOS PATOLOGICOS: TRASTORNOS DE CELULAS FALCIFORMES
DREPANOCITO
DREPANOCITOS
 
 
DACRIOCITO CÉLULA CIRCULAR CON UNA ELOGACIÓN SIMPLE O EXTREMO PUNTIAGUDO, CÉLULA MICROCITICA O HIPOCROMICA O AMBAS COSAS. ESTADOS PATOLOGICOS: ANEMIA MIELOPLASTICAS, TALASEMIAS.
DACRIOCITO
 
 
 
CODOCITO O CELULA BLANCO CÉLULAS DELGADAS EN FORMA DE CAMPANA CON AUMENTO EN LA RELACIÓN  DE SUPERFICIE A VOLUMEN. ESTADOS PATOLOGICOS: HEMOGLOBINOPATÍAS, TALASEMIAS, ENFERMEDADES OBSTRUCTIVAS, ANEMIAPOR DEFICIENCIA DE HIERRO, ESPLENECTOMÍA, ENFERMEDADES RENALES.
CODOCITO
CELULA DIANA
ESQUITOCITOS FRAGMENTOS DE ERITROCITOS, DIVERSAS FORMAS QUE INCLUYEN TRIÁNGULOS, EN FORMA DE COMA, MICROCITICOS. ESTADOSPATOLOGICOS: HEMÓLISIS DE VÁLVULA CARDIACA, ANEMIAS HEMOLÍTICAS MICROANGIOPÁTICAS,CID, QUEMADURAS GRAVES , UREMIA.
QUERATOCITOS ERITROCITOS CON UNA O VARIAS ESCOTADURAS CON PROYECCIONES QUE PARECEN CUERNOS EN  CADA EXTREMO. ESTADOS PATOLOGICOS: ANEMIAS HEMOLITICAS MICROANGIOPATICAS, HEMOLISIS CON CUERPOS DE HEINZ,GLOMERULONEFRITIS, HEMANGIOMAS CAVERNOSOS.
ESTOMATOCITOS ERITROCITOS UNICONCAVOS CON LA FORMA DE UAN TAZA MUY GRUESA, EN FROTIS DE SANGRE TIENEN UNA REA OVAL O SEMEJANTE A HENDIDURA Y PALIDEZ CENTRAL. ESTADOS PATOLOGICOS: ESTOMACITOSIS HEREDITARIA, ESFEROCITOSIS, CIRROSIS ALCOHOLICA, INTOXICACION POR PLOMO, NEOPLASIAS.
ESTOMATOCITO
 
 
ESFEROCITO ERITROCITOS ESFERICOS CON CONTENIDO DENSO| DE HEMOGLOBINA (HIPERCROMATICOS), FALTA DE AREA CENTRAL PÁLIDA Y FRAGILIDAD OSMÓTICA AUMENTADA. ESTADOS PATOLOGICOS: ESFEROCITOSIS HEREDITARIA, ANEMIAS HEMOLITÍCAS INMUNITARIAS, QUEMADURAS GRAVES, INCOMPATIBILIDAD ABO, ANEMIA CON CUERPO DE HEINZ.
ESFEROCITO
ESFEROCITOSIS
ESFEROCITOS
ESFEROCITOS
LEPTOCITOS CÉLULA DELGADA, PALANA CON HEMOGLOBINA EN LA  PERIFERIA,POR LO REGULAR EN FORMA DE COPA EL VCM ESTÁ DISMINUIDO, PERO DEL DIAMETRO ES NORMAL. ESTADOS PATOLOGICOS: TLALASEMIA, ANEMIA POR DEFICIENCIADE HIERRO, HEMOGLOBINOPATIAS, ENFERMEDADES DEL HÍGADO.
 
 
 
ANORMALIDADES EN EL TAMAÑO DEL ERITROCITO
ANISOCITOSIS AUMENTO DE LA VARIACION EN LOS LIMITES DE LOS TAMAÑOSDEL ERITROCITO. ESTADOS   PATOLOGICOS RELACIONADOS: VEASE ADELANTE EDO PATOLOGICOS RELACIONADOS CON MICROCITOSIS Y MACROCITOSIS.
 
 
 
MICROCITOSIS ERITROCITOS CON VOLUMEN REDUCIDO. (< 80 FL) EDO PATOLOGICO RELACIONADO: ANEMIA POR DEFICIENCIA DE HIERRO,  TALASEMIA, ANEMIA SIDEROBLÁSTICA.
 
 
MACROCITOSIS ERITROCITOS CON VOLUMEN AUMENTADO (> 100 FL) EDO PATOLOGICO RELACIONADO: ANEMIAS MEGALOBLASTICAS, ANEMIA HEMOLITICA, RECUPERACIÓN DE HEMORRAGIA AGUDA, ENFERMEDAD DEL HÍGADO,ASPLENIA, ANEMIA APLÁSICA,MIELODIPLASIA,ENDOCRINOPATÍAS .
 
 
INCLUSIONES ANORMALES DE LOS ERITROCITOS
CUERPOS DE HOWELL-JOLLY CUERPOS REDONDOS, PEQUEÑOS, CONSTITUIDOS POR DNA SITUADO POR LO REGULAR EN LA LOCALIZACIÓN EXCÉNTRICA DEL ERITROCITO, SUELEN PRESENTARSE AISLADOS, POCAS VECES MÁS DE 2 POR CÉLULAS. EDO PATOLOGICO RELACIONADO: POSESPLENECTOMÍA, ANEMIA MEGALOBLÁSTICAS, ALGUNAS ANEMIA HEMOLÍTICAS, ASPLENIA FUNCIONAL, ANEMIA INTENSA.
HOWELL HOLLY
CUERPO HOWEL HOLLY
 
 
 
PUNTEADO BASÓFILO GRANULO DE FORMA REDONDO O IRREGULAR DE NUMERO Y TAMAÑO VARIABLE DISTRIBUIDOS EN TODA LA EXTENSIÓN DEL ERITROCITO, CONSTITUIDO POR AGREGADOS DE RIBOSOMAS, SE TIÑEN DE NEGRO AZULOSO CON TINCIÓN DE WRIGHT. EDO PATOLOGICO RELACIONADO: ENVENEENAMIEMTOPOR PLOMO, ANEMIAS ACOMPAÑADAS CON SINTESIS ANORMAL DE HEMOGLOBINA, TALASEMIAS.
 
 
ANILLO DE CABOT APARECE EN FIGURA DE OCHO, ANULAR CON ANILLO INCOMPLETO, SE PIENSA QUE ESTÁN CONSTIUIDOS POR LOS MICROTUBOS DEL HUSO MITÓTICO, SE TIÑEN DE VIOLETA ROJIZO CON TINCIÓN DE WRIGHT. EDO PATOLOGICO RELACIONADO: ANEMIAS INTENSAS, DISERITROPOYEISIS.
 
ANILLO CABOT
ANILLO CABOT
CUERPOS DE PAPPENHEIMER CUERPOS QUE CONTIENEN HIERRO YPUEDEN ENCONTRARSE ENLA PERIFERIA DE LA CÉLULA, VISIBLES CON TINCIÓN DE PRUSIA Y WRIGHT. EDO PATOLOGICO RELACIONADO: ANEMIA SIDEROBLÁSTICA, TALASEMIA Y OTRAS ANEMIAS INTENSAS.
CUERPOS DE PAPPENHEIMER
CUERPOS DE PAPPENHEIMER
CUERPOS DE PAPPENHEIMER
CUERPOS DE PAPPENHEIMER
CUERPOS DE HEINZ CUERPOS CONSTIUTIDOS POR HEMOGLOBINA DESNATURALIZADA O PRECIPITADA, SE OBSERVAN CON TINCIÓN SUPRAVITAL SE PRESENTAN COMO CUERPOS DE TAMAÑO VARIABLE, PORLO GENERAL CERCA DE LA MEMEBRANA CELULAR, TAMBIÉN ES POSIBLE OBSERVARLOS POR MICROSCOPIO EN FASE DE PREPARACIONES HÚMEDAS. EDO PATOLOGICO RELACIONADO: DEFICIENCIA DE  G-6-PD, TRANSTORNOS DE HEMOGLOBINA INESTABLE,  FÁRMACOS O TOXINAS OXIDANTES, POSESPLENECTOMÍA .
 
ANORMALIDADES EN LA DISTRIBUCION DE LOS ERITROCITOS
EN PILA DE MONEDAS EITROCITOS DISTRIBUIDOS EN ROLLOS O PILASD, POR LO REGULAR SE RELACIONAN CON PROTEÍNAS PLASMÁTICAS ANORMALES O AUMENTADAS, LOS ERITROCITOS SE PUEDEN DISPERZAR MEZCLANDO CÉLULAS CON SOLUCIÓN SALINA. EDO PATOLOGICO RELACIONADO: MIELOMA MULTIPLE Y OTRAS GAMMAPATÍAS.
ROELAUX
 
AGLUTINACION ACÚMULOS IREGULARES DE ERITROCITOS POR REACCIÓN ANTIGENO-ANTICUERPO EDO PATOLOGICO RELACIONADO: AGLUTININAS FRÍAS, ANEMIAS HEMOLÍTICAS AUTOINMUNITARIAS.
 
VARIACIONES EN EL COLOR DE LOS ERITROCITOS
HIPOCROMIA
 
 
POLICROMASIA
 
 

Serie Roja

  • 1.
    ETAPAS DE MADURACIONDEL ERITROCITO
  • 2.
  • 3.
  • 4.
  • 5.
  • 6.
  • 7.
  • 8.
  • 9.
  • 10.
  • 11.
  • 12.
  • 13.
  • 14.
  • 15.
  • 16.
  • 17.
  • 18.
  • 19.
  • 20.
  • 21.
    ANORMALIDADES EN LAFORMA DE LOS ERITROCITOS
  • 22.
  • 23.
    POIQUILOCITOSIS AUMENTO ENLA VARIACION DE LA FORMA DE LOS ERITROCITOS
  • 24.
  • 25.
  • 26.
  • 27.
    ACANTOCITO ERITOCITO CONESPICULAS CON PROYECCIONES CORTAS ESPACIADAS IGUAL QUE LA SUPERFICIE TOTAL . ESTADOS PATOLOGICOS: ENFERMEDAD DEL HIGADO, UREMIA, DEFICIENCIA DE PIRIVATO CINASA, ULCERA PEPTICA, CANCER DE ESTOMAGO, TERAPEUTICA CON HEPARINA
  • 28.
  • 29.
  • 30.
    ELIPTOCITO CÉLULA ELIPSOIDEOVAL ALARGADA CON ÁREA CENTRAL DE PALIDEZ Y HEMOGLOBINA EN AMBOS EXTREMOS. ESTADO PATOLOGICO: ELIPTOCITOSIS HEREDITARIA, ANEMIA POR DEFICIENCIA HIERRO, TALASEMIA, ANEMIA ACOMPAÑADA DE LEUCEMIA.
  • 31.
  • 32.
  • 33.
  • 34.
    DREPANOCITO ERITROCITOS QUECONTIENEN HbS POLIMERIZADA QUE MUESTRAN VARIAS FORMAS: FALCIFORMES, MEDIA LUNA O FORMA DE BARCO. ESTADOS PATOLOGICOS: TRASTORNOS DE CELULAS FALCIFORMES
  • 35.
  • 36.
  • 37.
  • 38.
  • 39.
    DACRIOCITO CÉLULA CIRCULARCON UNA ELOGACIÓN SIMPLE O EXTREMO PUNTIAGUDO, CÉLULA MICROCITICA O HIPOCROMICA O AMBAS COSAS. ESTADOS PATOLOGICOS: ANEMIA MIELOPLASTICAS, TALASEMIAS.
  • 40.
  • 41.
  • 42.
  • 43.
  • 44.
    CODOCITO O CELULABLANCO CÉLULAS DELGADAS EN FORMA DE CAMPANA CON AUMENTO EN LA RELACIÓN DE SUPERFICIE A VOLUMEN. ESTADOS PATOLOGICOS: HEMOGLOBINOPATÍAS, TALASEMIAS, ENFERMEDADES OBSTRUCTIVAS, ANEMIAPOR DEFICIENCIA DE HIERRO, ESPLENECTOMÍA, ENFERMEDADES RENALES.
  • 45.
  • 46.
  • 47.
    ESQUITOCITOS FRAGMENTOS DEERITROCITOS, DIVERSAS FORMAS QUE INCLUYEN TRIÁNGULOS, EN FORMA DE COMA, MICROCITICOS. ESTADOSPATOLOGICOS: HEMÓLISIS DE VÁLVULA CARDIACA, ANEMIAS HEMOLÍTICAS MICROANGIOPÁTICAS,CID, QUEMADURAS GRAVES , UREMIA.
  • 48.
    QUERATOCITOS ERITROCITOS CONUNA O VARIAS ESCOTADURAS CON PROYECCIONES QUE PARECEN CUERNOS EN CADA EXTREMO. ESTADOS PATOLOGICOS: ANEMIAS HEMOLITICAS MICROANGIOPATICAS, HEMOLISIS CON CUERPOS DE HEINZ,GLOMERULONEFRITIS, HEMANGIOMAS CAVERNOSOS.
  • 49.
    ESTOMATOCITOS ERITROCITOS UNICONCAVOSCON LA FORMA DE UAN TAZA MUY GRUESA, EN FROTIS DE SANGRE TIENEN UNA REA OVAL O SEMEJANTE A HENDIDURA Y PALIDEZ CENTRAL. ESTADOS PATOLOGICOS: ESTOMACITOSIS HEREDITARIA, ESFEROCITOSIS, CIRROSIS ALCOHOLICA, INTOXICACION POR PLOMO, NEOPLASIAS.
  • 50.
  • 51.
  • 52.
  • 53.
    ESFEROCITO ERITROCITOS ESFERICOSCON CONTENIDO DENSO| DE HEMOGLOBINA (HIPERCROMATICOS), FALTA DE AREA CENTRAL PÁLIDA Y FRAGILIDAD OSMÓTICA AUMENTADA. ESTADOS PATOLOGICOS: ESFEROCITOSIS HEREDITARIA, ANEMIAS HEMOLITÍCAS INMUNITARIAS, QUEMADURAS GRAVES, INCOMPATIBILIDAD ABO, ANEMIA CON CUERPO DE HEINZ.
  • 54.
  • 55.
  • 56.
  • 57.
  • 58.
    LEPTOCITOS CÉLULA DELGADA,PALANA CON HEMOGLOBINA EN LA PERIFERIA,POR LO REGULAR EN FORMA DE COPA EL VCM ESTÁ DISMINUIDO, PERO DEL DIAMETRO ES NORMAL. ESTADOS PATOLOGICOS: TLALASEMIA, ANEMIA POR DEFICIENCIADE HIERRO, HEMOGLOBINOPATIAS, ENFERMEDADES DEL HÍGADO.
  • 59.
  • 60.
  • 61.
  • 62.
    ANORMALIDADES EN ELTAMAÑO DEL ERITROCITO
  • 63.
    ANISOCITOSIS AUMENTO DELA VARIACION EN LOS LIMITES DE LOS TAMAÑOSDEL ERITROCITO. ESTADOS PATOLOGICOS RELACIONADOS: VEASE ADELANTE EDO PATOLOGICOS RELACIONADOS CON MICROCITOSIS Y MACROCITOSIS.
  • 64.
  • 65.
  • 66.
  • 67.
    MICROCITOSIS ERITROCITOS CONVOLUMEN REDUCIDO. (< 80 FL) EDO PATOLOGICO RELACIONADO: ANEMIA POR DEFICIENCIA DE HIERRO, TALASEMIA, ANEMIA SIDEROBLÁSTICA.
  • 68.
  • 69.
  • 70.
    MACROCITOSIS ERITROCITOS CONVOLUMEN AUMENTADO (> 100 FL) EDO PATOLOGICO RELACIONADO: ANEMIAS MEGALOBLASTICAS, ANEMIA HEMOLITICA, RECUPERACIÓN DE HEMORRAGIA AGUDA, ENFERMEDAD DEL HÍGADO,ASPLENIA, ANEMIA APLÁSICA,MIELODIPLASIA,ENDOCRINOPATÍAS .
  • 71.
  • 72.
  • 73.
    INCLUSIONES ANORMALES DELOS ERITROCITOS
  • 74.
    CUERPOS DE HOWELL-JOLLYCUERPOS REDONDOS, PEQUEÑOS, CONSTITUIDOS POR DNA SITUADO POR LO REGULAR EN LA LOCALIZACIÓN EXCÉNTRICA DEL ERITROCITO, SUELEN PRESENTARSE AISLADOS, POCAS VECES MÁS DE 2 POR CÉLULAS. EDO PATOLOGICO RELACIONADO: POSESPLENECTOMÍA, ANEMIA MEGALOBLÁSTICAS, ALGUNAS ANEMIA HEMOLÍTICAS, ASPLENIA FUNCIONAL, ANEMIA INTENSA.
  • 75.
  • 76.
  • 77.
  • 78.
  • 79.
  • 80.
    PUNTEADO BASÓFILO GRANULODE FORMA REDONDO O IRREGULAR DE NUMERO Y TAMAÑO VARIABLE DISTRIBUIDOS EN TODA LA EXTENSIÓN DEL ERITROCITO, CONSTITUIDO POR AGREGADOS DE RIBOSOMAS, SE TIÑEN DE NEGRO AZULOSO CON TINCIÓN DE WRIGHT. EDO PATOLOGICO RELACIONADO: ENVENEENAMIEMTOPOR PLOMO, ANEMIAS ACOMPAÑADAS CON SINTESIS ANORMAL DE HEMOGLOBINA, TALASEMIAS.
  • 81.
  • 82.
  • 83.
    ANILLO DE CABOTAPARECE EN FIGURA DE OCHO, ANULAR CON ANILLO INCOMPLETO, SE PIENSA QUE ESTÁN CONSTIUIDOS POR LOS MICROTUBOS DEL HUSO MITÓTICO, SE TIÑEN DE VIOLETA ROJIZO CON TINCIÓN DE WRIGHT. EDO PATOLOGICO RELACIONADO: ANEMIAS INTENSAS, DISERITROPOYEISIS.
  • 84.
  • 85.
  • 86.
  • 87.
    CUERPOS DE PAPPENHEIMERCUERPOS QUE CONTIENEN HIERRO YPUEDEN ENCONTRARSE ENLA PERIFERIA DE LA CÉLULA, VISIBLES CON TINCIÓN DE PRUSIA Y WRIGHT. EDO PATOLOGICO RELACIONADO: ANEMIA SIDEROBLÁSTICA, TALASEMIA Y OTRAS ANEMIAS INTENSAS.
  • 88.
  • 89.
  • 90.
  • 91.
  • 92.
    CUERPOS DE HEINZCUERPOS CONSTIUTIDOS POR HEMOGLOBINA DESNATURALIZADA O PRECIPITADA, SE OBSERVAN CON TINCIÓN SUPRAVITAL SE PRESENTAN COMO CUERPOS DE TAMAÑO VARIABLE, PORLO GENERAL CERCA DE LA MEMEBRANA CELULAR, TAMBIÉN ES POSIBLE OBSERVARLOS POR MICROSCOPIO EN FASE DE PREPARACIONES HÚMEDAS. EDO PATOLOGICO RELACIONADO: DEFICIENCIA DE G-6-PD, TRANSTORNOS DE HEMOGLOBINA INESTABLE, FÁRMACOS O TOXINAS OXIDANTES, POSESPLENECTOMÍA .
  • 93.
  • 94.
    ANORMALIDADES EN LADISTRIBUCION DE LOS ERITROCITOS
  • 95.
    EN PILA DEMONEDAS EITROCITOS DISTRIBUIDOS EN ROLLOS O PILASD, POR LO REGULAR SE RELACIONAN CON PROTEÍNAS PLASMÁTICAS ANORMALES O AUMENTADAS, LOS ERITROCITOS SE PUEDEN DISPERZAR MEZCLANDO CÉLULAS CON SOLUCIÓN SALINA. EDO PATOLOGICO RELACIONADO: MIELOMA MULTIPLE Y OTRAS GAMMAPATÍAS.
  • 96.
  • 97.
  • 98.
    AGLUTINACION ACÚMULOS IREGULARESDE ERITROCITOS POR REACCIÓN ANTIGENO-ANTICUERPO EDO PATOLOGICO RELACIONADO: AGLUTININAS FRÍAS, ANEMIAS HEMOLÍTICAS AUTOINMUNITARIAS.
  • 99.
  • 100.
    VARIACIONES EN ELCOLOR DE LOS ERITROCITOS
  • 101.
  • 102.
  • 103.
  • 104.
  • 105.
  • 106.