SUPURACIONES
PLEUROPULMONARES
Clínica Quirúrgica II
E.M. Claudia Torres Prado
ABSCESO PULMONAR
• El absceso pulmonar es resultado de la necrosis y
cavitación del pulmón despues de una infeccion
microbiana.
• Comprende a las cavidades mayores de 2centimetros.
EN FUNCIÓN AL MECANISMO DE PRODUCCIÓN
• PRIMARIOS: ocurren en pacientes sin anormalidades estructurales
del pulmón y que desarrollan abscesos por mecanismo aspirativo,
en general de flora mixta que incluye anaerobios de boca.
• SECUNDARIOS: pueden desarrollarse en pacientes con neoplasias
cavitadas o que obstruyen la vía aérea, mediante un mecanismo
embolígeno, secundarios a trauma o cirugía o en pacientes
inmunodeprimidos.
RIESGO PARTICULAR DE ASPIRACIÓN
• Estado mental alterado
• Alcoholismo
• Sobredosis farmacológica
• Convulsiones
• Disfunción bulbar
• Episodios cerebrvasculares o cardiovasculares previos
• Enfermedad neuromuscular
• Trastornos de la motilidad esofagica
Colonización de
hendiduras
gingivales con
bacterias
anaerobias o
estreptococos
microaerofilos
PATOGENIA
ABSCESO
PULMONAR
PRIMARIO
ASPIRACION DE LAS FISURAS
GINGIVALES AL PARENQUIMA
PULMONAR EN UN
HOSPEDADOR SUSCEPTIBLE
Bacterias
Acido gastrico
NeumonitisNecrosis y
cavitación
7-14d
LOCALIZACIÓN MAS FRECUENTE
MICROBIOLOGIA
PRIMARIOS SECUNDARIOS
Anaerobios (peptostreptoccoccus
spp, prevotella spp, bacteroides
spp, streptococcus milleri),
estreptococcus microaerofilos.
Staphylococcus aureus, bacilos
gramnegativos (pseudomona
aeruginosa, enterobacterias),
nocardia, aspergillus spp,
mucorales, cryptococcus spp,
legionella spp, rhodococcus equi,
pneumocystis jiroveci.
CUADRO CLÍNICO
ETAPA INICIAL ETAPA DE APERTURA O VOMICA ETAPA SUPURANTE
una semana y cursa con
síntomas generales y
locales
• Fiebre, escalofrios,
anorexia,
decaimiento.
• tos seca inicial, la
punta de costado y la
disnea.
En torno a la segunda-tercera
semana. La tos se vuelve
productiva, la expectoración
puede ser hemoptoica. La
cuantía del esputo aumenta
progresivamente, es purulento y
fétido. Frecuentemente la
expectoración se presenta de
forma aguda, tras un acceso de
tos, muy abundante y
acompañada de náuseas, es la
clásica vómica.
Los pacientes se aprecian
sépticos, sudorosos, febriles,
con tos y expectoración
maloliente en ocasiones
pútrida que puede estar
precedida de vómica, a veces
hemoptoica con dolor
torácico de tipo pleural y
toma del estado general.
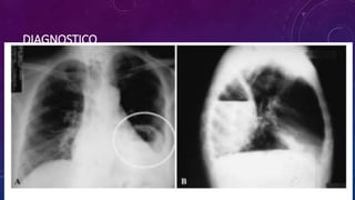
DIAGNOSTICO
ADICIONAL
• Hemograma
• Hemocultivo: puede ser positivo en infección por
staphylococcus aureus y bacilos gram negativos por
diseminación hematógena
• Estudio microbiológico: Los únicos métodos viables para
obtener muestra no contaminada son el aspirado
transtraqueal, el aspirado con aguja transtorácica.
DIAGNOSTICO DIFERENCIAL
Periodo inicial:
• Neumopatías agudas (neumonías, tuberculosis, infarto del pulmón)
• Bulas pulmonares infectadas
Periodo de vómica y supuración
• Bronquiectasia
• Neoplasia abscedada
• Tuberculosis cavitaria
• Quistes aéreos congénitos infectados.
TRATAMIENTO
• Penicilina (RESISTENCIA)
• La clindamicina 600mg IV c/8h, después con mejoría clínica
pasar a 300mg VO cd 6h.
• El tto debe continuarse hasta que la imágenes demuestren
que el abceso desaparecio o cicatrizo. (3-14sem)
ANTIBIOTICOS DRENAJE CIRUGIA
INDICACIONES TRATAMIENTO QUIRÚRGICO
• Hemoptisis profusa
• Falta de respuesta a los antibióticos
• Presencia de cavernas de paredes gruesas o de gran tamaño (6cm
o mas)
La resección quirúrgica del lóbulo
afectado proporciona el tratamiento
definitivo cuando todo lo anterior
falla.
COMPLICACIONES DE LA CIRUGÍA
• 9.7% :
el desarrollo de empiema, por comunicación entre el absceso y la cavidad pleural
con vuelco del material purulento; fístula bronco – pleural, que se produce en caso
de utilización de tubos de drenaje inadecuadamente grandes (mayor de 14 French)
en abscesos rodeados de parénquima pulmonar sano.
Las tasas de mortalidad por abscesos pulmonares, incluyendo los casos
tratados quirúrgicamente, continúan siendo altas, con rangos desde
9.3% hasta 28%
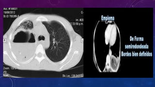
EMPIEMA
• Acumulación de pus en la cavidad
pleural, este puede ocupar parte de la
misma o toda ella. Empiema es el fluido
inflamatorio y la fibrina dentro del
espacio pleural, es el resultado de una
infección dentro de la cavidad pleural
que evoluciona de líquido acuoso a una
colección purulenta dentro del espacio
pleural.
PATOGENIA
60% 35%
1%
LIQUIDO PLEURAL NORMAL
MICROBIOLOGIA
Empiema pleural - Rescate y tipo de gérmen
n = 122 - aislados = 40.6% (CONARPE 2003)
70%
6%
3%
2%
1%
6%
12%
S. Pneumo
Stafilo aureus
Hem.inf. B
Strep. C
Strept. pyog.
Pseudo. Aer.
otros
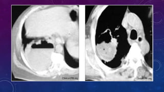
ESTADÍOS DEL EMPIEMA
Estadio I II III
Tipo Exudativo Fibrinopurulento Organizativo
Días 1 - 4 4 - 21 mas de 21
DIAGNOSTICO
ENVIAR EL LIQUIDO PARA ANALISIS
FISICOQUIMICO, CITOLOGICO Y
BACTERIOLOGICO.
TORACOCENTESIS O PUNCIÓN PLEURAL
COMPLICACIONES
TRATAMIENTO
• Tratamiento antibiótico que incluya uno con
cobertura para gérmenes anaerobios,
manteniéndolos 3 ó 4 semanas.
• Drenaje correcto del derrame pleural
acumulado
DRENAJE TORACICO
TORACOTOMIA Y DECORTICACION
En fase fibrinopurulenta
VIDEOTORACOSCOPIA Y DECORTICACION
DRENAJE ABIERTO O VENTANA PLEURAL
MANEJO CON FIBRINOLITICOS
• La instilación de agentes fibrinolíticos a través de la sonda pleural para licuar las loculaciones y los
septos en etapas tempranas han demostrado eficacia para resolver el empiema en múltiples estudios.

Supuraciones pleuropulmonares

  • 1.
  • 2.
    ABSCESO PULMONAR • Elabsceso pulmonar es resultado de la necrosis y cavitación del pulmón despues de una infeccion microbiana. • Comprende a las cavidades mayores de 2centimetros.
  • 3.
    EN FUNCIÓN ALMECANISMO DE PRODUCCIÓN • PRIMARIOS: ocurren en pacientes sin anormalidades estructurales del pulmón y que desarrollan abscesos por mecanismo aspirativo, en general de flora mixta que incluye anaerobios de boca. • SECUNDARIOS: pueden desarrollarse en pacientes con neoplasias cavitadas o que obstruyen la vía aérea, mediante un mecanismo embolígeno, secundarios a trauma o cirugía o en pacientes inmunodeprimidos.
  • 4.
    RIESGO PARTICULAR DEASPIRACIÓN • Estado mental alterado • Alcoholismo • Sobredosis farmacológica • Convulsiones • Disfunción bulbar • Episodios cerebrvasculares o cardiovasculares previos • Enfermedad neuromuscular • Trastornos de la motilidad esofagica Colonización de hendiduras gingivales con bacterias anaerobias o estreptococos microaerofilos
  • 5.
    PATOGENIA ABSCESO PULMONAR PRIMARIO ASPIRACION DE LASFISURAS GINGIVALES AL PARENQUIMA PULMONAR EN UN HOSPEDADOR SUSCEPTIBLE Bacterias Acido gastrico NeumonitisNecrosis y cavitación 7-14d
  • 6.
  • 7.
    MICROBIOLOGIA PRIMARIOS SECUNDARIOS Anaerobios (peptostreptoccoccus spp,prevotella spp, bacteroides spp, streptococcus milleri), estreptococcus microaerofilos. Staphylococcus aureus, bacilos gramnegativos (pseudomona aeruginosa, enterobacterias), nocardia, aspergillus spp, mucorales, cryptococcus spp, legionella spp, rhodococcus equi, pneumocystis jiroveci.
  • 8.
    CUADRO CLÍNICO ETAPA INICIALETAPA DE APERTURA O VOMICA ETAPA SUPURANTE una semana y cursa con síntomas generales y locales • Fiebre, escalofrios, anorexia, decaimiento. • tos seca inicial, la punta de costado y la disnea. En torno a la segunda-tercera semana. La tos se vuelve productiva, la expectoración puede ser hemoptoica. La cuantía del esputo aumenta progresivamente, es purulento y fétido. Frecuentemente la expectoración se presenta de forma aguda, tras un acceso de tos, muy abundante y acompañada de náuseas, es la clásica vómica. Los pacientes se aprecian sépticos, sudorosos, febriles, con tos y expectoración maloliente en ocasiones pútrida que puede estar precedida de vómica, a veces hemoptoica con dolor torácico de tipo pleural y toma del estado general.
  • 9.
  • 12.
    ADICIONAL • Hemograma • Hemocultivo:puede ser positivo en infección por staphylococcus aureus y bacilos gram negativos por diseminación hematógena • Estudio microbiológico: Los únicos métodos viables para obtener muestra no contaminada son el aspirado transtraqueal, el aspirado con aguja transtorácica.
  • 13.
    DIAGNOSTICO DIFERENCIAL Periodo inicial: •Neumopatías agudas (neumonías, tuberculosis, infarto del pulmón) • Bulas pulmonares infectadas Periodo de vómica y supuración • Bronquiectasia • Neoplasia abscedada • Tuberculosis cavitaria • Quistes aéreos congénitos infectados.
  • 14.
    TRATAMIENTO • Penicilina (RESISTENCIA) •La clindamicina 600mg IV c/8h, después con mejoría clínica pasar a 300mg VO cd 6h. • El tto debe continuarse hasta que la imágenes demuestren que el abceso desaparecio o cicatrizo. (3-14sem) ANTIBIOTICOS DRENAJE CIRUGIA
  • 16.
    INDICACIONES TRATAMIENTO QUIRÚRGICO •Hemoptisis profusa • Falta de respuesta a los antibióticos • Presencia de cavernas de paredes gruesas o de gran tamaño (6cm o mas) La resección quirúrgica del lóbulo afectado proporciona el tratamiento definitivo cuando todo lo anterior falla.
  • 17.
    COMPLICACIONES DE LACIRUGÍA • 9.7% : el desarrollo de empiema, por comunicación entre el absceso y la cavidad pleural con vuelco del material purulento; fístula bronco – pleural, que se produce en caso de utilización de tubos de drenaje inadecuadamente grandes (mayor de 14 French) en abscesos rodeados de parénquima pulmonar sano. Las tasas de mortalidad por abscesos pulmonares, incluyendo los casos tratados quirúrgicamente, continúan siendo altas, con rangos desde 9.3% hasta 28%
  • 18.
    EMPIEMA • Acumulación depus en la cavidad pleural, este puede ocupar parte de la misma o toda ella. Empiema es el fluido inflamatorio y la fibrina dentro del espacio pleural, es el resultado de una infección dentro de la cavidad pleural que evoluciona de líquido acuoso a una colección purulenta dentro del espacio pleural.
  • 19.
  • 20.
  • 22.
    MICROBIOLOGIA Empiema pleural -Rescate y tipo de gérmen n = 122 - aislados = 40.6% (CONARPE 2003) 70% 6% 3% 2% 1% 6% 12% S. Pneumo Stafilo aureus Hem.inf. B Strep. C Strept. pyog. Pseudo. Aer. otros
  • 23.
    ESTADÍOS DEL EMPIEMA EstadioI II III Tipo Exudativo Fibrinopurulento Organizativo Días 1 - 4 4 - 21 mas de 21
  • 25.
  • 28.
    ENVIAR EL LIQUIDOPARA ANALISIS FISICOQUIMICO, CITOLOGICO Y BACTERIOLOGICO. TORACOCENTESIS O PUNCIÓN PLEURAL COMPLICACIONES
  • 31.
    TRATAMIENTO • Tratamiento antibióticoque incluya uno con cobertura para gérmenes anaerobios, manteniéndolos 3 ó 4 semanas. • Drenaje correcto del derrame pleural acumulado
  • 32.
  • 33.
    TORACOTOMIA Y DECORTICACION Enfase fibrinopurulenta
  • 34.
  • 35.
    DRENAJE ABIERTO OVENTANA PLEURAL
  • 36.
    MANEJO CON FIBRINOLITICOS •La instilación de agentes fibrinolíticos a través de la sonda pleural para licuar las loculaciones y los septos en etapas tempranas han demostrado eficacia para resolver el empiema en múltiples estudios.