Incrustar presentación
Descargado 85 veces

















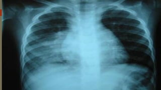
La neumonía intrahospitalaria se presenta en las 48-72 horas después del ingreso al hospital y es causada por patógenos comunes en entornos hospitalarios como bacterias, hongos y virus. Los pacientes más propensos son aquellos con enfermedades subyacentes graves o que requieren ventilación mecánica. El diagnóstico se realiza mediante exámenes radiológicos y de laboratorio, y el tratamiento inicial suele ser empírico con antibióticos que consideren la flora bacteriana y resistencias del hospital.















