LA ORGANIZACIÓN CELULAR DE LOS
SERES VIVOS
TEMA 2
http://recursos.cnice.mec.es/biosfera/alumno/2bachillerato/La_celula/contenidos.htm
1. La Teoría celular
• Las primeras observaciones microscópicas se
deben a Robert Hooke (1665)
Schleiden, Matthias Jakob
[b. Hamburg (Germany), April 5, 1804, d. Frankfurt, June 23, 1881] [b. Neuss (Germany), December 7, 1810-1882
Schwann, Theodor
Matthias Schleiden & Théodore Schwann
1804-1881 & 1810-1882
Teoría celular
Matthias Schleiden & Théodore Schwann (1804-1881 & 1810-1882)
• Todos los seres vivos están constituídos por células.
• La célula es la unidad básica de estructura y función
en un organismo pluricelular.
• La división celular da origen a la continuidad
genética entre las células progenitoras y sus
descendientes.
• La vida de un organismo depende del
funcionamiento y control de todas las células que lo
componen.
El estudio de la materia viva se puede realizar de dos formas:
MACROSCÓPICAMENTE
A simple vista
MICROSCÓPICAMENTE
Análisis estructural.
Análisis ultraestructural.
Mediante lupa o
microscopio óptico.
Mediante
microscopio electrónico.
Micrométrico
Macrométrico
Platina
Muestra
Brazo
Ocular
Revolver
Objetivo
Condensador
Ajuste de la platina
Diafragma
de campo
Fuente de luz
Paramecium
El microscopio óptico
Microscopio
Electrónico de
Transmisión
(x500.000)
Cátodo
Ánodo
Lente
condensadora
Lente objetivo
Lupa de aumento
Lente de
proyección
Brazo de soporte
de la muestra
Pantalla visual
Linfocito a MET
Microscopio electrónico de transmisión
Células sanguíneas
Microscopio Electrónico de Barrido
(x20.000)
electrones
Lente condensador
Deflector de los
electrones
Lente objetivo
Brazo de soporte
de la muestra
Detector
Pantalla
fluorescente
Generador
de barrido
Ameba a MEB
Microscopio electrónico de barrido
MICROFOTOGRAFIA DE UN LINFOCITO T VISTA EN EL
MICROSCOPIO ELECTRÓNICO DE BARRIDO
LOS CINCO REINOS
Celulas procariotas
Celulas eucariotas
sangre
Cáncer de pulmón
hígado levadura
La estructura de las células eucariotas
• Membrana celular
• Citoplasma
- Hialoplasma
- Componentes membranosos
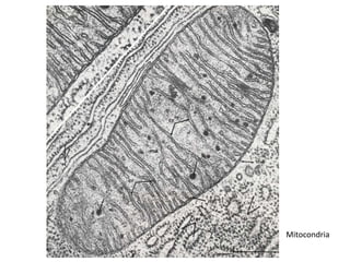
Mitocondrias, Cloroplastos, R.E., Aparato de Golgi
y Peroxisomas
- Componentes no membranosos
Ribosomas, centrosoma (citocentro) y citoesqueleto
• Núcleo
- Membrana nuclear
- Nucleoplasma
- Nucleolo
- Material genético
• Pared vegetal (unicamente las vegetales)
La estructura de las células procariotas
• Membrana celular
• Citoplasma
-Ribosomas
- Material genético
• Según el microorganismo que sea pueden ter
también:
- pared bacteriana
- cápsula bacteriana
- pigmentos
- material extracromosómico
- flagelos
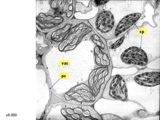
x100.000
x20.000
x8.000
Pared
vegetal
http://www.inea.uva.es/web/materiales/botanica/tema1/gallery1.html
pared 1ª
pared 2ª
lámina media
LA MEMBRANA CELULAR
MET x53,260
Citoplasma fundamental
Componentes doble membrana
Mitocondria
Cloroplasto
Componentes membrana sencilla
http://recursos.cnice.mec.es/biosfera/alumno/2bachillerato/La_celula/contenidos11.htm
Vacuolas en Protozoos
Relación entre el Retículo
Endoplásmico y el Aparato de Golgi.
Peroxisomas
Componentes no membranosos
Ribosomas
Centrosoma
Citoesqueleto
Citoesqueleto
ORGANIZACIÓN DEL CITOESQUELETO
Filamentos
intermedios
Microtúbulos
Microfilamentos
Funciones más destacables
• Responsable del movimiento interno en la
célula
• Responsable de los cambios de forma de la
célula
• Responsable del movimiento celular
• Tanto en la embriogénesis como en la vida
adulta
• No se encuentra en procariotas
• Detectado en protozoos (microfilamentos)
• Detectado en hongos (microfilamentos)
• Detectado en células vegetales
(microfilamentos)
• Muy desarrollado en células animales
Células animales
• Epidermis de las ovejas (lana)
• Músculo estriado
• Células nerviosas
• Células embrionarias
Tema 2. La célula
Tema 2. La célula

Tema 2. La célula