Tomografía axial
computarizada (TAC)
CEREBRAL
Diaz Martinez Adrian Daniel
Estrada Herrera Dulce Patricia
Gutierrez Martinez Felix
Jimenez Diaz Ximena
Ramirez Avila Gisela
Salmeron Hernandez Monsetrrat
PRINCIPIOS
FÍSICOS Y PARTES
DEL TOMÓGRAFO
01
Principio del rayo X
Una máquina de rayos x envía ondas individuales de
rayos x a través del cuerpo. Las imágenes se registran
en una computadora o en una película. Las
estructuras que son densas (como los huesos)
bloquearán la mayoría de las ondas de rayos x y
aparecerán de color blanco.
La Tomografía Axial Computarizada es la reconstrucción por
medio de un computador de un plano tomográfico de un objeto.
Un haz de RX colimado atraviesa al paciente, el haz de
rayos atenuado que sale es medido y recogido por los
detectores y estos valores se envían al ordenador.
El ordenador analiza la señal que le llega del receptor,
reconstruye la imagen y la muestra en un monitor de
televisión. La reconstrucción del corte anatómico
estudiado se realiza mediante ecuaciones matemáticas
adaptadas al ordenador llamados ALGORITMOS.
PARTES DEL TOMÓGRAFO
Tubo de rayos x
Single-slice: tiempo de rotación=1segundo (1corte por
segundo.).
Multi-slice: tiempo de rotación: 0.5 seg. (4 cortes x
rotación)
Velocidad de rotación del
Gantry
Capturan la energía que no ha
sido atenuada por el paciente
Mejoran la resolución temporal
Dispositivos capases de observar
y transformar
Regular el tamaño de haz de luz de rayos x
para disminuir la dosis recibida por el
paciente y eliminar la radiación dispersa que
llegaría a los detectores
Este sistema de colimación está relación al
ancho del corte
Colimadores DETECTORES
Pixel Voxel
Unidad de superficie de
una imagen
Representación de un
punto en 2D
Mientras mayor sea la
cantidad de píxeles mayor
será la representación de
la imagen
Unidad de volumen de una
imagen
Es una representación en
3D, de la unión de varios
píxeles
Dentro de cada box él se
considera una constante el
coeficiente de atención de
un objeto
La representación de todos los datos
obtenidos al realizar un corte
Está formada por celdas, cuál tiene
un nivel de brillo, densidad y estas
forman la imagen digital
Matriz
ESCALA DE GRISES CON LAS UNIDADES
HOUNSFIELD
Existe una escala de densidades tomográficas conocida como
la escala de Unidades Hounsfield (UH), la cual es básicamente
una escala de grises. En esta escala se asigna un valor
numérico a las densidades y va desde -1000UH (Muy negro =
aire), 0UH (Densidad de agua), y +1000UH (Muy blanco =
metal).
La distancia mínima necesaria en
milímetros.
Entre dos objetos para poderlos
distinguir como estructuras separadas.
Depende:
-grosor del detector
-grosor del corte
-tamaño del pixel
Resolucion espacial
Grosor del corte
Grosor de corte muy fino: varia
entre .2 a 2mm
Exploraciones: TCAR, oidos,
arteria coronaria.
Grosor de corte estandar:
oscila entre 3 a 10mm.
Entre las exploraciones de
tórax y abdomen
Habilidad que tiene el
sistema de imágenes para
discriminar pequeños
cambios de densidad
Da el número de niveles en
crisis asociados a cada voxel
Es el segmento en
metros sobre segundo
(ms) que el tomógrafo
requiere para adquirir
una imagen
Depende
Número de detectores
Rotación del gantry
Resolucion
espacial
Resolución de
contraste
Resolucion
temporal
La distorsión de una imagen
radiológica, qué dificulta la
visualización de las estructuras
adyacentes producidas por
diferentes causas
Se manifiesta en mente rayas
ruido y distorsión de la
arquitectura.
ARTEFACTOS
Es el número asignado a cada pixel en la
imagen final de una tomografía
computarizada. (TC) y es la expresión de la
densidad del objeto irradiado.
En honor al inventor Godfrey Hounsfields
Rango desde -1000 a +1000
Proporciona una adecuada calidad de
imagen con una menor exposición del
paciente a la radiacion ionizante
Negativos de -100 grasa
Más negativos -1000 aire
500 a 800 densidad osea.
Unidades de Hounsfield
Evaluación Valores
¿Que es?
Indicaciones
● Confirma diagnósticos
● Mayor resolución
● Guía estudios invasivos
● captaciones patológicas de los tumores
y otros procesos inflamatorios
Contraindicaciones
● Alergias
● Perforación tubo digestivo
● Patologías: renal o cardíaca
● Embarazo
Complicaciones
● Reacción alérgica
● Daño a la función renal
● Exposición a la radiación
Medios de contraste
Positivos
Son aquellos cuya densidad produce una
absorción de los rayos x mayor que la de las
partes blandas
Aparecen en las placas como radiopacas
Pueden ser de baritados y yodados
Son los que producen una
absorción de los rayos x menor
que la de las partes blandas
Negativos
Materiales de contraste
Los compuestos yodados y los de
sulfato de bario son usados en los
exámenes por imágenes de rayos X y
tomografía axial computada (TC).
Los materiales de contraste pueden
tener una estructura química que
incluye el yodo, un elemento químico
presente en la naturaleza. Estos
materiales de contraste pueden ser
inyectados dentro de venas o arterias,
entre los discos o los espacios fluidos
de la columna vertebral, y dentro de
otras cavidades corporales.
Materiales de Contraste Intravenosos
Yodados
Los materiales de contraste yodados inyectados en una vena (intravenoso) son usados para mejorar las imágenes de rayos X
(incluyendo imágenes fluoroscópicas) y TC.
También es común que los materiales de contraste a base de yodo sean inyectados en las arterias durante los procedimientos
de obtención de angiogramas.
Cantidad de radiación absorbida por estudio
Medicion de dosis
● Cuando la radiación para a través del cuerpo, una
parte es absorbida.
● La unidad científica de medición para la dosis de
radiación del cuerpo entero se llama “dosis efectiva”
es el millisievert (mSv)
● La dosis efectiva considera cuán sensibles son los
diferentes tejidos a la radiación
● Rayos X forma de energía como las ondas de luz o
radio.
● Pasa a través de los huesos, tejidos y órganos.
● Proporcionan información sobre la salud y ayudan a
hacer un diagnóstico preciso
Rayos X
● Una persona en promedio recibe aprox 3 mSv por
año de radiación natural “dosis de fondo”
● Ejem: Una radiografía de tórax de un adulto (0.1
mSv) es casi igual a 10 dias de radiacion natural de
fondo
Radiación natural de fondo
Dosis absorbida
● Energía transmitida por cierto tipo de radiación
ionizante. Corresponde a 1 J/kg (Gray)
● El daño biológico producido depende de la dosis
● Tipos de radiación alfa, beta y gamma
Interpretacion de TAC
de CRÁNEO
TAC
-TAC simple de cráneo no requiere de preparación
previa.
-INMOVILIZACIÓN: evitar que el estudio salga
«rotado», mejor calidad de imágenes.
-Retirar objetos metálicos: joyas, anteojos, prótesis
dentales etc. para evitar obstrucción de las
imágenes.
-Duración del examen 5-10 minutos.
Para poder interpretar una TAC…
Capas del cuero
cabelludo
Músculos de la cabeza
Músculos del
craneo
Huesos del cráneo
Meninges
Encéfalo
Circunvoluciones y surcos importantes
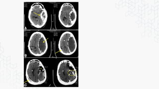
Tc de Enfermedad traumática
TC cerebro sin contraste corte axial
hematoma subdural agudo (flecha).
TC cerebro sin contraste corte axial
hematoma epidural.
TC de cerebro sin contraste:
Hemorragia subaracnoidea.
Tc de Enfermedad vascular
TC craneal sin contraste. En esta figura se observan los 10 puntos del ASPECTS, los 4 territorios profundos, la cabeza del
núcleo caudado (C), la cápsula interna (CI), la ínsula (I) y el núcleo lenticular (L), y los 6 territorios superficiales de la arteria
cerebral media (M1, M2, M3, M4, M5 y M6)
TC de encéfalo. A). Imagen hipodensa en la
sustancia blanca subcortical del lóbulo frontal
derecho, compatible con infarto reciente (flecha). B
y C) Imágenes hiperdensas, redondeadas,
pequeñas, en la cisura silviana derecha y en los
espacios subaracnoideos corticales del opérculo
frontal derecho, en el trayecto de ramos insulares
(M2, flecha) y operculares (M3, flecha de puntos)
de la ACM derecha, compatibles con émbolos
cálcicos.
A) RM de encéfalo, mapa del coeficiente de
difusión aparente (ADC Map). Imagen hipointensa
en la sustancia blanca subcortical del lóbulo
frontal derecho, compatible con infarto reciente
(flecha). B) ARM de vasos intracraneales,
secuencia 3D TOF. Oclusión del segmento M2 de
la ACM derecha (flecha). Nótese la ausencia de
múltiples ramos distales, principalmente frontales.
Infección
Tomografía
computarizada craneal
sin contraste. Cortes
axiales
Neoplasica
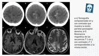
a-c) Tomografía
computarizada sin y
con contraste que
muestra la lesión
parietal parasagital
derecha; d-f)
Resonancia
magnética de las
secuencias T 1 sin y
con contraste y T 2
correspondientes a la
misma lesión.
CREDITS: This presentation template was created by Slidesgo, and
includes icons by Flaticon and infographics & images by Freepik
Do you have any questions?
youremail@freepik.com
+91 620 421 838
yourwebsite.com
Thanks
Please keep this slide for attribution
Alternative resources
Here’s an assortment of alternative resources whose style fits the one of this template:
Vectors
● Clinic examination set flat medical equipment icons isolated characters medical specialists patients vector
illustration
Resources
Did you like the resources in this template? Get them at these websites:
Icons
● Icon Pack: Hospital Flat
Vectors
● Clinic examination set flat medical equipment icons isolated characters medical specialists patients vector
illustration
● Abstract background with squares
Photos
● Medium shot young woman getting ct scan
● Nurse taking notes about patient’s pain
● Front view asian man with cancer
● Front view smiley nurse with stethoscope
● Medium shot veterinarian with microscope
● Black nurse at their workspace
● Female nurse practicing medicine at the clinic

Tomografia Axial Computarizada.pdf

  • 1.
    Tomografía axial computarizada (TAC) CEREBRAL DiazMartinez Adrian Daniel Estrada Herrera Dulce Patricia Gutierrez Martinez Felix Jimenez Diaz Ximena Ramirez Avila Gisela Salmeron Hernandez Monsetrrat
  • 2.
  • 3.
    Principio del rayoX Una máquina de rayos x envía ondas individuales de rayos x a través del cuerpo. Las imágenes se registran en una computadora o en una película. Las estructuras que son densas (como los huesos) bloquearán la mayoría de las ondas de rayos x y aparecerán de color blanco.
  • 4.
    La Tomografía AxialComputarizada es la reconstrucción por medio de un computador de un plano tomográfico de un objeto. Un haz de RX colimado atraviesa al paciente, el haz de rayos atenuado que sale es medido y recogido por los detectores y estos valores se envían al ordenador. El ordenador analiza la señal que le llega del receptor, reconstruye la imagen y la muestra en un monitor de televisión. La reconstrucción del corte anatómico estudiado se realiza mediante ecuaciones matemáticas adaptadas al ordenador llamados ALGORITMOS.
  • 5.
  • 6.
    Tubo de rayosx Single-slice: tiempo de rotación=1segundo (1corte por segundo.). Multi-slice: tiempo de rotación: 0.5 seg. (4 cortes x rotación) Velocidad de rotación del Gantry
  • 7.
    Capturan la energíaque no ha sido atenuada por el paciente Mejoran la resolución temporal Dispositivos capases de observar y transformar Regular el tamaño de haz de luz de rayos x para disminuir la dosis recibida por el paciente y eliminar la radiación dispersa que llegaría a los detectores Este sistema de colimación está relación al ancho del corte Colimadores DETECTORES
  • 8.
    Pixel Voxel Unidad desuperficie de una imagen Representación de un punto en 2D Mientras mayor sea la cantidad de píxeles mayor será la representación de la imagen Unidad de volumen de una imagen Es una representación en 3D, de la unión de varios píxeles Dentro de cada box él se considera una constante el coeficiente de atención de un objeto La representación de todos los datos obtenidos al realizar un corte Está formada por celdas, cuál tiene un nivel de brillo, densidad y estas forman la imagen digital Matriz
  • 9.
    ESCALA DE GRISESCON LAS UNIDADES HOUNSFIELD Existe una escala de densidades tomográficas conocida como la escala de Unidades Hounsfield (UH), la cual es básicamente una escala de grises. En esta escala se asigna un valor numérico a las densidades y va desde -1000UH (Muy negro = aire), 0UH (Densidad de agua), y +1000UH (Muy blanco = metal). La distancia mínima necesaria en milímetros. Entre dos objetos para poderlos distinguir como estructuras separadas. Depende: -grosor del detector -grosor del corte -tamaño del pixel Resolucion espacial
  • 10.
    Grosor del corte Grosorde corte muy fino: varia entre .2 a 2mm Exploraciones: TCAR, oidos, arteria coronaria. Grosor de corte estandar: oscila entre 3 a 10mm. Entre las exploraciones de tórax y abdomen
  • 11.
    Habilidad que tieneel sistema de imágenes para discriminar pequeños cambios de densidad Da el número de niveles en crisis asociados a cada voxel Es el segmento en metros sobre segundo (ms) que el tomógrafo requiere para adquirir una imagen Depende Número de detectores Rotación del gantry Resolucion espacial Resolución de contraste Resolucion temporal
  • 12.
    La distorsión deuna imagen radiológica, qué dificulta la visualización de las estructuras adyacentes producidas por diferentes causas Se manifiesta en mente rayas ruido y distorsión de la arquitectura. ARTEFACTOS
  • 13.
    Es el númeroasignado a cada pixel en la imagen final de una tomografía computarizada. (TC) y es la expresión de la densidad del objeto irradiado. En honor al inventor Godfrey Hounsfields Rango desde -1000 a +1000 Proporciona una adecuada calidad de imagen con una menor exposición del paciente a la radiacion ionizante Negativos de -100 grasa Más negativos -1000 aire 500 a 800 densidad osea. Unidades de Hounsfield Evaluación Valores ¿Que es?
  • 16.
    Indicaciones ● Confirma diagnósticos ●Mayor resolución ● Guía estudios invasivos ● captaciones patológicas de los tumores y otros procesos inflamatorios
  • 17.
    Contraindicaciones ● Alergias ● Perforacióntubo digestivo ● Patologías: renal o cardíaca ● Embarazo
  • 18.
    Complicaciones ● Reacción alérgica ●Daño a la función renal ● Exposición a la radiación
  • 19.
  • 20.
    Positivos Son aquellos cuyadensidad produce una absorción de los rayos x mayor que la de las partes blandas Aparecen en las placas como radiopacas Pueden ser de baritados y yodados Son los que producen una absorción de los rayos x menor que la de las partes blandas Negativos
  • 21.
    Materiales de contraste Loscompuestos yodados y los de sulfato de bario son usados en los exámenes por imágenes de rayos X y tomografía axial computada (TC). Los materiales de contraste pueden tener una estructura química que incluye el yodo, un elemento químico presente en la naturaleza. Estos materiales de contraste pueden ser inyectados dentro de venas o arterias, entre los discos o los espacios fluidos de la columna vertebral, y dentro de otras cavidades corporales.
  • 22.
    Materiales de ContrasteIntravenosos Yodados Los materiales de contraste yodados inyectados en una vena (intravenoso) son usados para mejorar las imágenes de rayos X (incluyendo imágenes fluoroscópicas) y TC. También es común que los materiales de contraste a base de yodo sean inyectados en las arterias durante los procedimientos de obtención de angiogramas.
  • 23.
    Cantidad de radiaciónabsorbida por estudio Medicion de dosis ● Cuando la radiación para a través del cuerpo, una parte es absorbida. ● La unidad científica de medición para la dosis de radiación del cuerpo entero se llama “dosis efectiva” es el millisievert (mSv) ● La dosis efectiva considera cuán sensibles son los diferentes tejidos a la radiación ● Rayos X forma de energía como las ondas de luz o radio. ● Pasa a través de los huesos, tejidos y órganos. ● Proporcionan información sobre la salud y ayudan a hacer un diagnóstico preciso Rayos X ● Una persona en promedio recibe aprox 3 mSv por año de radiación natural “dosis de fondo” ● Ejem: Una radiografía de tórax de un adulto (0.1 mSv) es casi igual a 10 dias de radiacion natural de fondo Radiación natural de fondo Dosis absorbida ● Energía transmitida por cierto tipo de radiación ionizante. Corresponde a 1 J/kg (Gray) ● El daño biológico producido depende de la dosis ● Tipos de radiación alfa, beta y gamma
  • 26.
  • 27.
    TAC -TAC simple decráneo no requiere de preparación previa. -INMOVILIZACIÓN: evitar que el estudio salga «rotado», mejor calidad de imágenes. -Retirar objetos metálicos: joyas, anteojos, prótesis dentales etc. para evitar obstrucción de las imágenes. -Duración del examen 5-10 minutos.
  • 28.
  • 29.
  • 30.
  • 31.
  • 32.
  • 33.
  • 36.
  • 37.
  • 50.
    Tc de Enfermedadtraumática TC cerebro sin contraste corte axial hematoma subdural agudo (flecha). TC cerebro sin contraste corte axial hematoma epidural. TC de cerebro sin contraste: Hemorragia subaracnoidea.
  • 52.
    Tc de Enfermedadvascular TC craneal sin contraste. En esta figura se observan los 10 puntos del ASPECTS, los 4 territorios profundos, la cabeza del núcleo caudado (C), la cápsula interna (CI), la ínsula (I) y el núcleo lenticular (L), y los 6 territorios superficiales de la arteria cerebral media (M1, M2, M3, M4, M5 y M6)
  • 53.
    TC de encéfalo.A). Imagen hipodensa en la sustancia blanca subcortical del lóbulo frontal derecho, compatible con infarto reciente (flecha). B y C) Imágenes hiperdensas, redondeadas, pequeñas, en la cisura silviana derecha y en los espacios subaracnoideos corticales del opérculo frontal derecho, en el trayecto de ramos insulares (M2, flecha) y operculares (M3, flecha de puntos) de la ACM derecha, compatibles con émbolos cálcicos. A) RM de encéfalo, mapa del coeficiente de difusión aparente (ADC Map). Imagen hipointensa en la sustancia blanca subcortical del lóbulo frontal derecho, compatible con infarto reciente (flecha). B) ARM de vasos intracraneales, secuencia 3D TOF. Oclusión del segmento M2 de la ACM derecha (flecha). Nótese la ausencia de múltiples ramos distales, principalmente frontales.
  • 54.
  • 55.
  • 56.
    a-c) Tomografía computarizada siny con contraste que muestra la lesión parietal parasagital derecha; d-f) Resonancia magnética de las secuencias T 1 sin y con contraste y T 2 correspondientes a la misma lesión.
  • 57.
    CREDITS: This presentationtemplate was created by Slidesgo, and includes icons by Flaticon and infographics & images by Freepik Do you have any questions? youremail@freepik.com +91 620 421 838 yourwebsite.com Thanks Please keep this slide for attribution
  • 58.
    Alternative resources Here’s anassortment of alternative resources whose style fits the one of this template: Vectors ● Clinic examination set flat medical equipment icons isolated characters medical specialists patients vector illustration
  • 59.
    Resources Did you likethe resources in this template? Get them at these websites: Icons ● Icon Pack: Hospital Flat Vectors ● Clinic examination set flat medical equipment icons isolated characters medical specialists patients vector illustration ● Abstract background with squares Photos ● Medium shot young woman getting ct scan ● Nurse taking notes about patient’s pain ● Front view asian man with cancer ● Front view smiley nurse with stethoscope ● Medium shot veterinarian with microscope ● Black nurse at their workspace ● Female nurse practicing medicine at the clinic