D R A . A N A L Í A A L G A R A Ñ Á
RX TÓRAX PATOLÓGICA
ESTRUCTURA ANÁTOMO-FUNCIONAL DEL PULMÓN
ESTRUCTURA ANÁTOMO-FUNCIONAL DEL PULMÓN
• Lobulillo primario: bronquiolo respiratorio + sacos
alveolares. No puede verse por DxI.
• Acino: bronquiolo terminal + bronquiolos
respiratorios y sacos alveolares correspondientes.
Mide entre 0,7 y 1 cm de diámetro. Muy difícil de ver
en las RX. Se ve en TC.
• Lobulillo secundario: formado por 3 – 5 acinos,
separados por septos de tejido conectivo. Se ve en
RX y TC. Mide entre 1,5 y 2,5 cm de diámetro.
INTERSTICIO PULMONAR
Intersticio axial
Intersticio
periférico
subpleural-
septal
Intersticio alveolar
PATOLOGÍA PULMONAR
¿CÓMO SE VEN LAS LESIONES EN RADIOLOGÍA?
Radioopacidad
Disminución de la radiotransparencia normal
Aire pulmonar
(se ve negro)
Densidad grasa o
agua
1. OPACIDAD PULMONAR
OPACIDADES PULMONARES
Las alteraciones pueden comprometer:
• Al alveolo: opacidad alveolar.
• Al intersticio: opacidad intersticial.
• Crecer dentro del pulmón: nódulos.
1. OPACIDAD ALVEOLAR
Existen dos patrones:
• Por ocupación de los alveolos.
• Por reabsorción del aire alveolar.
OPACIDAD ALVEOLAR POR OCUPACIÓN
Características
• Opacidad de bordes indefinidos o borrosos
(cuando NO contactan con la pleura).
• Crece en forma centrífuga.
• No segmentaria (se extiende por poros de
Köhn y canales de Lambert).
• Crece y cambia su forma rápidamente.
OPACIDAD ALVEOLAR POR OCUPACIÓN
Signos radiológicos
• Roseta acinar: el acino está totalmente ocupado. Da una
imagen poligonal, de bordes irregulares, de 1 cm de
diámetro aproximadamente.
• Broncograma aéreo: ramificaciones negras entre los
alveolos ocupados (corresponden a bronquios llenos de
aire, no afectados).
• Alveolograma: aire en los alveolos que rodean otros
alveolos ocupados.
Estos signos pueden verse en tanto en RX como en TC.
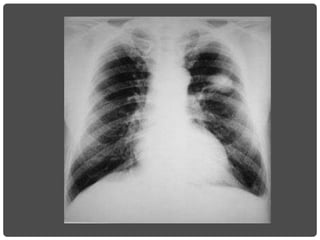
OPACIDAD ALVEOLAR
Neumonía LSD
OPACIDADES ALVEOLARES
Neumonía de la língula
OPACIDAD ALVEOLAR
Broncograma aéreo
T C TO R A X , C O RT E A X I A L : N E U M O PAT Í A I Z Q U I E R D A
RX DE TÓRAX F: NEUMOPATÍA IZQUIERDA
OPACIDAD ALVEOLAR POR OCUPACIÓN
Causas
• Exudado inflamatorio: neumonías.
• Trasudados: edema de pulmón.
• Proteinosis alveolar.
• Sarcoidosis: da imágenes similares a las
neumonías.
• Linfomas.
• Carcinoma bronquioloalveolar.
2. OPACIDAD POR REABSORCIÓN DE AIRE ALVEOLAR
Da una opacidad segmentaria: ATELECTASIA.
Características
• Opacidad triangular, de base pleural y vértice en el hilio pulmonar.
• Bordes lisos y cóncavos.
• En la RX de P: cuña mediastínica.
• Vasos sanguíneos agrupados-amontonados.
• Cisuras retraídas.
• Hilio: cambia de ubiicación.
• Mediastino: se desvía hacia el lado de la lesión.
• Espacios intercostales: disminuidos.
• Diafragma: asciende el hemidiafragma correspondiente al lado afectado.
• Hiperinsuflación compensadora de lóbulos no afectados del mismo lado
y del pulmón contralateral.
OPACIDAD POR REABSORCIÓN DE AIRE ALVEOLAR
Causas
• Tumor o cuerpo extraño que obstruye la luz de un
bronquio.
• Neumotórax o derrame pleural que comprime el
pulmón.
• Alteraciones del surfactante (atelectasias lineales o
laminares).
• Quiste o nódulo que comprime alveolos adyacentes.
• Fibrosis post-infección (atelectasia cicatrizal).
OPACIDADES ALVEOLARES
Atelectasia Segmentaria
OPACIDADES ALVEOLARES
Atelectasia
Lóbulo Superior Derecho
OPACIDADES
Atelectasias laminares
OPACIDADES INTERSTICIALES
ALTERACIONES DEL INTERSTICIO PULMONAR
Formas agudas
Evolucionan rápidamente
Características de la imagen
• Cisuras engrosadas.
• Líneas de Kerley (septos
interlobulillares engrosadas por
ocupación).
• Manguito
peribronquiovascular
(acumulación de líquido en
tejido celular conectivo que
rodea los vasos y los
bronquios).
• Hilios borrosos.
• Imagen en vidrio esmerilado
Formas crónicas
Proceso que dura más de 6
meses.
Características de la imagen
• Nodulillos y
micronodulillos.
• Alteraciones lineales (líneas
de Kerley).
• Patrón reticular (imagen en
red).
• Panalización (apariencia de
pequeños quistes, patrón en
panal de abejas.
ALTERACIONES INTERSTICIALES
Neumopatía atípica: Mycoplasma pneumoniae
Patrón agudo de afectación intersticial
“en vidrio esmerilado”
ALTERACIONES INTERSTICIALES
Líneas de Kerley
Manguito peribronquial
ALTERACIONES INTERSTICIALES
Patrón Micronodulillar
TBC miliar
ALTERACIONES INTERSTICIALES
Patrón reticular
Fibrosis pulmonar
ALTERACIONES INTERSTICIALES
Panalización.
Patrón en “panal de abejas”.
Fibrosis pulmonar. Estadio final.
ALTERACIONES DEL INTERSTICIO PULMONAR
Causas
• Infecciones: neumonías virales o neumonías atípicas.
• ICC
• Obstrucción linfática: origen tumoral.
• Inhalatorias: neumoconiosis.
• Enfermedades granulomatosas: Sarcoidosis, Enf. De
Wegener.
• Enfermedades reumáticas: Artritis Reumatoidea,
Esclerodermia.
• Fibrosis pulmonar: primaria o idiopática, o secundaria a
tóxicos o drogas.
ALTERACIONES INTERSTICIALES
ICC descompensada Neumonía Atípica
NÓDULOS
Nódulo
Opacidad redondeada u ovoidea, localizada, de bordes
definidos, que crece dentro de un pulmón.
¿CÓMO CARACTERIZAMOS A UN NÓDULO?
1. Según su tamaño: nódulos < de 4 cm; masas
>4 cm.
2. Según sus bordes: netos, lisos, polilobulados,
espiculados, irregulares.
3. Según su densidad: tejido solido, contenido
líquido, grasa, calcio.
4. Según su localización: par radiológico/TC.
NÓDULOS PULMONARES
Causas
• Infecciosas: abscesos, neumatoceles,
infecciones micóticas, infecciones parasitarias
(quiste hidatídico).
• No infecciosas: granulomas, quistes
broncogénicos, malformaciones arterio-venosas.
• Tumores: benignos (hamartomas, lipomas,
condromas) o malignos (Ca de pulmón).
NÓDULOS PULMONARES
Hamartoma pulmonar
NÓDULOS PULMONARES
Quiste hidatídico
NÓDULOS PULMONARES
Ca de pulmón
NÓDULOS PULMONARES
MTTS múltiples
OPACIDADES
Signo de la S de Golden
Cuando existe una masa
central provocando la
atelectasia, el pulmón
periférico se colapsa y la
cisura menor adopta una
forma cóncava, sin embargo,
hacia el centro la presencia de
la masa impide el colapso de
modo que el contorno se
observa convexo.
Ca de Pulmón
2. AUMENTO DE LA
RADIOTRANSPARENCIA PULMONAR
AUMENTO DE LA RADIOTRANSPARENCIA PULMONAR
1. Hiperclaridad unilateral
2. Hiperclaridad bilateral
3. Cavidades
4. Bronquiectasias
1. HIPERCLARIDAD UNILATERAL
Un hemitórax se ve más negro que lo habitual o
con respecto al contralateral.
Causas
1. Defectos técnicos
2. Alteraciones de la pared torácica (resección
quirúrgica de la mama)
3. Alteraciones pulmonares (neumotórax)
4. Disminución de la circulación pulmonar
unilateral (TEP)
HIPERCLARIDAD UNILATERAL
Neumotórax
Sme. De Poland
(agenesia del pectoral
mayor izquierdo)
Signo de Westermark
TEP
Signo de la
Joroba de Hampton
Focos de condensación
segmentarios de
localización periférica y
aspecto cuneiforme, los que
a veces presentan un borde
medial convexo y son de
base pleural. Estas sombras
representan áreas de infarto
o hemorragia pulmonar.
TEP
2. HIPERCLARIDAD BILATERAL
Causas
• Defectos técnicos
• Disminución global de los tejidos blandos (emaciación,
alteraciones neurológicas con atrofia muscular, miopatías).
• Disminución de la circulación pulmonar (cardiopatías
congénitas como Fallot, CIA, CIV y DAP).
• Atrapamiento aéreo Enfisema pulmonar (EPOC)
Asma
Bronquiolitis
HIPERCLARIDAD BILATERAL
SIGNOS DE HIPERINSUFLACIÓN
• Descenso y aplanamiento de los diafragmas.
• Senos costofrénicos tienden a desaparecer.
• Aumento de tamaño de los espacios claros
retroesternal y retrocardíaco.
• Costillas horizontalizadas y espacios intercostales
ensanchados.
• Columna arqueada: cifosis pronunciada.
• Esternón protruido. Tórax en tonel.
• Trastornos vasculares: hilios grandes, disminución
de la vasculatura periférica, corazón en gota.
ASMA BRONQUIAL
Signos de atrapamiento aéreo
3. CAVIDADES
Opacidad periférica con centro radiolúcido.
Puede ser única o cavidades múltiples,
dependiendo de la etiología.
Causas
• Infecciosas: absceso, TBC, micosis, parásitos
(quiste hidatídico).
• No infecciosas: Sarcoidosis, G. de Wegener,
AR, quiste broncogénico, bronquiectasias
quísticas.
• Neoplasias: tumores abscedados.
CAVIDADES
4. BRONQUIECTASIAS
Dilataciones bronquiales irreversibles.
Según su aspecto
• Cilíndricas: afecta bronquios grandes.
• Varicosas: afecta bronquios medianos.
• Quísticas: afecta bronquios pequeños.
Imagen radiológica típica: ANILLO DE SELLO.
BRONQUIECTASIAS
BRONQUIECTASIAS
Imagen en TC
Anillo de sello
PATOLOGÍA DE LA PARED TORÁCICA
PATOLOGÍA DE LA PARED TORÁCICA
Hiperclaridad Unilateral
• Por disminución del
espesor de la pared.
• Por ocupación de la
cavidad pleural con
aire: NEUMOTÓRAX.
Opacidad
• Por ocupación de la
cavidad pleural con
líquido: DERRAME
PLEURAL.
• Tumoraciones de la
pared o de la pleura.
NEUMOTORAX
N. normotensivo
• Presencia de aire
en la cavidad
pleural.
• NO a tensión.
N. hipertensivo
• Aire en cavidad
pleural.
• A TENSIÓN.
• Es una urgencia-
emergencia médica.
NEUMOTORAX
Características de la imagen
• Pulmón disminuido de
tamaño.
• Ausencia de
vascularización periférica.
• Línea blanca periférica al
pulmón: corresponde a
pleura visceral.
• Retracción mesiastinal:
desviación del mesiastino
hacia el lado afectado.
N. Normotensivo
NEUMOTÓRAX
50%
Estimación del colapso
NEUMOTORAX
Características de la imagen
• Pulmón disminuido de tamaño.
• Ausencia de vascularización
periférica.
• Línea blanca periférica al
pulmón: corresponde a pleura
visceral.
• Desplazamiento contralateral
del mediastino.
• Aplanamiento o inversión del
hemidiafragma homolateral.
• Aumento de los espacios
intercostales
N. Hipertensivo
DERRAME PLEURAL
Presencia de líquido en la cavidad pleural
Se clasifica de acuerdo a:
• La movilidad Libre
Tabicado
• La composición Trasudado
Exudado
• La cantidad de líquido Pequeño
Mediano
Grande
Masivo-hipertensivo
DERRAME PLEURAL LIBRE TÍPICO
• Opacidad que borra seno
costodiafragmático.
• Asciende por la periferia
más que por el mediastino.
• Da una imagen en menisco
(concavidad diafragmática
por debajo y concavidad
superior que mira hacia
arriba y adentro)
DERRAME PLEURAL
DERRAME PLEURAL
Derrames tabicados y organizados
DERRAME PLEURAL
Derrames tabicados y organizados
DERRAME PLEURAL BILATERAL
DERRAME PLEURAL
Derrame Masivo:
Urgencia médica
DERRAME PLEURAL MASIVO
NÓDULOS DE LA PARED TORÁCICA
NÓDULOS EXTRAPULMONARES
Causas
• Derrame tabicado
• Lesiones costales: fracturas, metastasis
costales, tumores primarios de las costillas.
• Lipomas.
• Mesoteliomas pleurales (benignos o malignos).
• Angiomas.
¿CÓMO DIFERENCIAR UN NÓDULO PULMONAR DE
UNA MASA EXTRAPULMONAR?
Masa intrapulmonar
• El borde es definido
pero no es una línea
neta.
• Dibuja ángulos
agudos entre la
pleura y la lesión.
Masa extrapulmonar
• El borde es neto,
como “dibujado a
lápiz”.
• Dibuja angulos
obtusos entre la
pleura y la lesión.
D/D MASAS INTRA Y EXTRAPULMONARES
MEDIASTINO
MEDIASTINO
Mediastino
anterior
Mediastino
medio
Mediastino
posterior
CONTENIDO DEL MEDIASTINO
Mediastino anterior
• Timo
• Ramas de vasos mamarios internos.
• Ganglios linfáticos.
• Grasa
• Vasos sanguíneos y linfáticos.
PATOLOGÍA QUE PUEDE
COMPROMETER AL MEDIASTINO
Mediastino anterior
• Timo >>> quistes, timomas (benignos o
malignos).
• Patología ganglionar >>>> infecciosa,
linfomas, metástasis.
• Lipomas.
CONTENIDO DEL MEDIASTINO
Mediastino medio
• Corazón
• Grandes vasos (aorta ascendente y cayado,
tronco de la arteria pulmonar y sus ramas,
VCS y VCI con sus afluentes).
• Tráquea y bronquios principales.
• Esófago.
• Nervios neumogástricos.
• Ganglios linfáticos.
PATOLOGÍA QUE PUEDE
COMPROMETER AL MEDIASTINO
Mediastino medio
• Cardiovascular >>> agrandamientos cavitarios,
pericarditis, aneurismas de la Ao ascendente, HTP.
• Tráquea y bronquios >>> desplazamientos traqueales,
tumores endobronquiales, cuerpos extraños.
• Esófago >>> Trastornos motores, tumores esofágicos,
fistulas.
• Patología ganglionar >>> linfomas, metástasis,
enfermedades reumátológicas, infecciones.
CONTENIDO DEL MEDIASTINO
Mediastino posterior
• Aorta torácica descendente
• Venas ácigos y hemiácigos.
• Conducto torácico.
• Troncos torácicos simpáticos.
• Vertebras torácicas y contenido del conducto
medular.
• Nervios esplácnicos torácicos.
PATOLOGÍA QUE PUEDE
COMPROMETER AL MEDIASTINO
Mediastino posterior
• Aneurismas-dilataciones de la aorta
descendente.
• Tumores neurogénicos.
• Patología vertebral >>> fracturas,
aplastamientos, infecciones, tumores
primarios óseos, alteraciones reumáticas,
osteoartrosis, metástasis.
PATOLOGÍA QUE PUEDE
COMPROMETER AL MEDIASTINO
Cualquier sector
• Tumores germinales >>> quiste dermoide o
epidermoide, teratomas benignos o malignos.
• Quistes, tumores benignos (lipomas, leiomiomas).
• Neumomediastino.
• Mediastinitis.
• Hematomas.
• Adenomegalias.
• Metástasis.
PATOLOGÍA QUE PUEDE
COMPROMETER AL MEDIASTINO
Desde el cuello
• Linfangiomas.
• Neurofibromatosis.
• Linfomas.
• Alteraciones tiroideas
(bocio endotorácico).
• Tumores malignos.
• Metástasis ganglionares.
Desde el abdomen
• Adenomegalias (linfomas)
• Tumores neurogénicos.
• Abscesos.
• Aneurismas-dilataciones de
la Aorta.
• Tumores malignos.
• Hernias.
SIGNOS RADIOLÓGICOS
DE LA PATOLOGÍA DEL MEDIASTINO
SIGNO DE LA SILUETA
• Cuando una opaciadad
está en contacto
anatómico con una
estructura de la misma
densidad, sus contornos
de borrarán.
• Una lesión intratorácica
en contacto con el
corazón, la aorta o el
diafragma, borrará su
contorno en la
radiografía.
SIGNO DE LA SILUETA
SIGNO DE LA SILUETA
SIGNO DE LA SILUETA
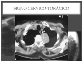
SIGNO CERVICO-TORÁCICO
• “Si una lesión torácica está en
contacto anatómico con partes
blandas del cuello, su borde
contiguo desaparecerá”.
• Masa con borde superior
definido, que termina a nivel de
las clavículas, tiene
LOCALIZACIÓN
INTRATORÁCICA Y ANTERIOR.
• Masa con borde superior
indefinido o que termina por
encima de las clavículas, se
encuentra en cuello y torax
(mediastino medio o posterior).
SIGNO CERVICO-TORÁCICO
SIGNO CERVICO-TORÁCICO
SIGNO TORACO-ABDOMINAL
• Masa que tiene borde
inferior neto, que se
ve a través de
diafragma, es
INTRATORÁCICA.
• Masa que se
ensancha hacia
abajo, sin borde
inferior definido, es
torácica y abdominal.
SIGNO TORACO-ABDOMINAL
SIGNO DE LA CONVERGENCIA
Y DE LA OCULTACION HILIAR
Se aplica cuando existe una opacidad cercana al hilio.
Si los vasos pulmonares convergen a más de 1 cm
por dentro del borde de la lesión, confirma la
existencia de un tumor o una masa y descarta AP
dilatada o cardiomegalia (Signo de la Ocultación
Hiliar).
Si los vasos pulmonares convergen al borde de una
masa, indica la presencia de una AP dilatada o
cardiomegalia, descartando un tumor (Signo de la
Convergencia hiliar).
SIGNO DEL DIAFRAGMA CONTINUO
• Se produce por la
interposición de aire
entre el pericardio y el
diafragma.
• Se observa una línea
radiolúcida que permite
ver el diafragma en su
totalidad.
• Causas:
neumomediastino y
neumopericardio.
SIGNO DEL DIAFRAGMA CONTINUO
SIGNO DEL HALO
• El corazón se
encuentra rodeado
por un halo
radiolúcido.
• Indica
NEUMOPERICARDI
O
SIGNO DEL HALO
.
Muchas gracias!!!
¿PREGUNTAS?

3- Rx torax patologica

  • 1.
    D R A. A N A L Í A A L G A R A Ñ Á RX TÓRAX PATOLÓGICA
  • 2.
  • 3.
    ESTRUCTURA ANÁTOMO-FUNCIONAL DELPULMÓN • Lobulillo primario: bronquiolo respiratorio + sacos alveolares. No puede verse por DxI. • Acino: bronquiolo terminal + bronquiolos respiratorios y sacos alveolares correspondientes. Mide entre 0,7 y 1 cm de diámetro. Muy difícil de ver en las RX. Se ve en TC. • Lobulillo secundario: formado por 3 – 5 acinos, separados por septos de tejido conectivo. Se ve en RX y TC. Mide entre 1,5 y 2,5 cm de diámetro.
  • 4.
  • 5.
    PATOLOGÍA PULMONAR ¿CÓMO SEVEN LAS LESIONES EN RADIOLOGÍA?
  • 6.
    Radioopacidad Disminución de laradiotransparencia normal Aire pulmonar (se ve negro) Densidad grasa o agua
  • 7.
  • 8.
    OPACIDADES PULMONARES Las alteracionespueden comprometer: • Al alveolo: opacidad alveolar. • Al intersticio: opacidad intersticial. • Crecer dentro del pulmón: nódulos.
  • 9.
    1. OPACIDAD ALVEOLAR Existendos patrones: • Por ocupación de los alveolos. • Por reabsorción del aire alveolar.
  • 10.
    OPACIDAD ALVEOLAR POROCUPACIÓN Características • Opacidad de bordes indefinidos o borrosos (cuando NO contactan con la pleura). • Crece en forma centrífuga. • No segmentaria (se extiende por poros de Köhn y canales de Lambert). • Crece y cambia su forma rápidamente.
  • 11.
    OPACIDAD ALVEOLAR POROCUPACIÓN Signos radiológicos • Roseta acinar: el acino está totalmente ocupado. Da una imagen poligonal, de bordes irregulares, de 1 cm de diámetro aproximadamente. • Broncograma aéreo: ramificaciones negras entre los alveolos ocupados (corresponden a bronquios llenos de aire, no afectados). • Alveolograma: aire en los alveolos que rodean otros alveolos ocupados. Estos signos pueden verse en tanto en RX como en TC.
  • 12.
  • 13.
  • 14.
  • 15.
    T C TOR A X , C O RT E A X I A L : N E U M O PAT Í A I Z Q U I E R D A RX DE TÓRAX F: NEUMOPATÍA IZQUIERDA
  • 16.
    OPACIDAD ALVEOLAR POROCUPACIÓN Causas • Exudado inflamatorio: neumonías. • Trasudados: edema de pulmón. • Proteinosis alveolar. • Sarcoidosis: da imágenes similares a las neumonías. • Linfomas. • Carcinoma bronquioloalveolar.
  • 18.
    2. OPACIDAD PORREABSORCIÓN DE AIRE ALVEOLAR Da una opacidad segmentaria: ATELECTASIA. Características • Opacidad triangular, de base pleural y vértice en el hilio pulmonar. • Bordes lisos y cóncavos. • En la RX de P: cuña mediastínica. • Vasos sanguíneos agrupados-amontonados. • Cisuras retraídas. • Hilio: cambia de ubiicación. • Mediastino: se desvía hacia el lado de la lesión. • Espacios intercostales: disminuidos. • Diafragma: asciende el hemidiafragma correspondiente al lado afectado. • Hiperinsuflación compensadora de lóbulos no afectados del mismo lado y del pulmón contralateral.
  • 19.
    OPACIDAD POR REABSORCIÓNDE AIRE ALVEOLAR Causas • Tumor o cuerpo extraño que obstruye la luz de un bronquio. • Neumotórax o derrame pleural que comprime el pulmón. • Alteraciones del surfactante (atelectasias lineales o laminares). • Quiste o nódulo que comprime alveolos adyacentes. • Fibrosis post-infección (atelectasia cicatrizal).
  • 20.
  • 21.
  • 22.
  • 23.
  • 24.
    ALTERACIONES DEL INTERSTICIOPULMONAR Formas agudas Evolucionan rápidamente Características de la imagen • Cisuras engrosadas. • Líneas de Kerley (septos interlobulillares engrosadas por ocupación). • Manguito peribronquiovascular (acumulación de líquido en tejido celular conectivo que rodea los vasos y los bronquios). • Hilios borrosos. • Imagen en vidrio esmerilado Formas crónicas Proceso que dura más de 6 meses. Características de la imagen • Nodulillos y micronodulillos. • Alteraciones lineales (líneas de Kerley). • Patrón reticular (imagen en red). • Panalización (apariencia de pequeños quistes, patrón en panal de abejas.
  • 25.
    ALTERACIONES INTERSTICIALES Neumopatía atípica:Mycoplasma pneumoniae Patrón agudo de afectación intersticial “en vidrio esmerilado”
  • 26.
    ALTERACIONES INTERSTICIALES Líneas deKerley Manguito peribronquial
  • 27.
  • 28.
  • 29.
    ALTERACIONES INTERSTICIALES Panalización. Patrón en“panal de abejas”. Fibrosis pulmonar. Estadio final.
  • 30.
    ALTERACIONES DEL INTERSTICIOPULMONAR Causas • Infecciones: neumonías virales o neumonías atípicas. • ICC • Obstrucción linfática: origen tumoral. • Inhalatorias: neumoconiosis. • Enfermedades granulomatosas: Sarcoidosis, Enf. De Wegener. • Enfermedades reumáticas: Artritis Reumatoidea, Esclerodermia. • Fibrosis pulmonar: primaria o idiopática, o secundaria a tóxicos o drogas.
  • 31.
  • 32.
  • 33.
    Nódulo Opacidad redondeada uovoidea, localizada, de bordes definidos, que crece dentro de un pulmón.
  • 35.
    ¿CÓMO CARACTERIZAMOS AUN NÓDULO? 1. Según su tamaño: nódulos < de 4 cm; masas >4 cm. 2. Según sus bordes: netos, lisos, polilobulados, espiculados, irregulares. 3. Según su densidad: tejido solido, contenido líquido, grasa, calcio. 4. Según su localización: par radiológico/TC.
  • 36.
    NÓDULOS PULMONARES Causas • Infecciosas:abscesos, neumatoceles, infecciones micóticas, infecciones parasitarias (quiste hidatídico). • No infecciosas: granulomas, quistes broncogénicos, malformaciones arterio-venosas. • Tumores: benignos (hamartomas, lipomas, condromas) o malignos (Ca de pulmón).
  • 37.
  • 38.
  • 39.
  • 40.
  • 41.
    OPACIDADES Signo de laS de Golden Cuando existe una masa central provocando la atelectasia, el pulmón periférico se colapsa y la cisura menor adopta una forma cóncava, sin embargo, hacia el centro la presencia de la masa impide el colapso de modo que el contorno se observa convexo. Ca de Pulmón
  • 42.
    2. AUMENTO DELA RADIOTRANSPARENCIA PULMONAR
  • 43.
    AUMENTO DE LARADIOTRANSPARENCIA PULMONAR 1. Hiperclaridad unilateral 2. Hiperclaridad bilateral 3. Cavidades 4. Bronquiectasias
  • 44.
    1. HIPERCLARIDAD UNILATERAL Unhemitórax se ve más negro que lo habitual o con respecto al contralateral. Causas 1. Defectos técnicos 2. Alteraciones de la pared torácica (resección quirúrgica de la mama) 3. Alteraciones pulmonares (neumotórax) 4. Disminución de la circulación pulmonar unilateral (TEP)
  • 45.
    HIPERCLARIDAD UNILATERAL Neumotórax Sme. DePoland (agenesia del pectoral mayor izquierdo)
  • 46.
  • 47.
    TEP Signo de la Jorobade Hampton Focos de condensación segmentarios de localización periférica y aspecto cuneiforme, los que a veces presentan un borde medial convexo y son de base pleural. Estas sombras representan áreas de infarto o hemorragia pulmonar. TEP
  • 48.
    2. HIPERCLARIDAD BILATERAL Causas •Defectos técnicos • Disminución global de los tejidos blandos (emaciación, alteraciones neurológicas con atrofia muscular, miopatías). • Disminución de la circulación pulmonar (cardiopatías congénitas como Fallot, CIA, CIV y DAP). • Atrapamiento aéreo Enfisema pulmonar (EPOC) Asma Bronquiolitis
  • 49.
  • 50.
    SIGNOS DE HIPERINSUFLACIÓN •Descenso y aplanamiento de los diafragmas. • Senos costofrénicos tienden a desaparecer. • Aumento de tamaño de los espacios claros retroesternal y retrocardíaco. • Costillas horizontalizadas y espacios intercostales ensanchados. • Columna arqueada: cifosis pronunciada. • Esternón protruido. Tórax en tonel. • Trastornos vasculares: hilios grandes, disminución de la vasculatura periférica, corazón en gota.
  • 51.
    ASMA BRONQUIAL Signos deatrapamiento aéreo
  • 52.
    3. CAVIDADES Opacidad periféricacon centro radiolúcido. Puede ser única o cavidades múltiples, dependiendo de la etiología. Causas • Infecciosas: absceso, TBC, micosis, parásitos (quiste hidatídico). • No infecciosas: Sarcoidosis, G. de Wegener, AR, quiste broncogénico, bronquiectasias quísticas. • Neoplasias: tumores abscedados.
  • 53.
  • 54.
    4. BRONQUIECTASIAS Dilataciones bronquialesirreversibles. Según su aspecto • Cilíndricas: afecta bronquios grandes. • Varicosas: afecta bronquios medianos. • Quísticas: afecta bronquios pequeños. Imagen radiológica típica: ANILLO DE SELLO.
  • 55.
  • 56.
  • 57.
    PATOLOGÍA DE LAPARED TORÁCICA
  • 58.
    PATOLOGÍA DE LAPARED TORÁCICA Hiperclaridad Unilateral • Por disminución del espesor de la pared. • Por ocupación de la cavidad pleural con aire: NEUMOTÓRAX. Opacidad • Por ocupación de la cavidad pleural con líquido: DERRAME PLEURAL. • Tumoraciones de la pared o de la pleura.
  • 59.
    NEUMOTORAX N. normotensivo • Presenciade aire en la cavidad pleural. • NO a tensión. N. hipertensivo • Aire en cavidad pleural. • A TENSIÓN. • Es una urgencia- emergencia médica.
  • 60.
    NEUMOTORAX Características de laimagen • Pulmón disminuido de tamaño. • Ausencia de vascularización periférica. • Línea blanca periférica al pulmón: corresponde a pleura visceral. • Retracción mesiastinal: desviación del mesiastino hacia el lado afectado. N. Normotensivo
  • 61.
  • 62.
    NEUMOTORAX Características de laimagen • Pulmón disminuido de tamaño. • Ausencia de vascularización periférica. • Línea blanca periférica al pulmón: corresponde a pleura visceral. • Desplazamiento contralateral del mediastino. • Aplanamiento o inversión del hemidiafragma homolateral. • Aumento de los espacios intercostales N. Hipertensivo
  • 63.
    DERRAME PLEURAL Presencia delíquido en la cavidad pleural Se clasifica de acuerdo a: • La movilidad Libre Tabicado • La composición Trasudado Exudado • La cantidad de líquido Pequeño Mediano Grande Masivo-hipertensivo
  • 64.
    DERRAME PLEURAL LIBRETÍPICO • Opacidad que borra seno costodiafragmático. • Asciende por la periferia más que por el mediastino. • Da una imagen en menisco (concavidad diafragmática por debajo y concavidad superior que mira hacia arriba y adentro)
  • 65.
  • 66.
  • 67.
  • 68.
  • 69.
  • 70.
  • 71.
    NÓDULOS DE LAPARED TORÁCICA
  • 72.
    NÓDULOS EXTRAPULMONARES Causas • Derrametabicado • Lesiones costales: fracturas, metastasis costales, tumores primarios de las costillas. • Lipomas. • Mesoteliomas pleurales (benignos o malignos). • Angiomas.
  • 73.
    ¿CÓMO DIFERENCIAR UNNÓDULO PULMONAR DE UNA MASA EXTRAPULMONAR? Masa intrapulmonar • El borde es definido pero no es una línea neta. • Dibuja ángulos agudos entre la pleura y la lesión. Masa extrapulmonar • El borde es neto, como “dibujado a lápiz”. • Dibuja angulos obtusos entre la pleura y la lesión.
  • 74.
    D/D MASAS INTRAY EXTRAPULMONARES
  • 75.
  • 76.
  • 77.
    CONTENIDO DEL MEDIASTINO Mediastinoanterior • Timo • Ramas de vasos mamarios internos. • Ganglios linfáticos. • Grasa • Vasos sanguíneos y linfáticos.
  • 78.
    PATOLOGÍA QUE PUEDE COMPROMETERAL MEDIASTINO Mediastino anterior • Timo >>> quistes, timomas (benignos o malignos). • Patología ganglionar >>>> infecciosa, linfomas, metástasis. • Lipomas.
  • 79.
    CONTENIDO DEL MEDIASTINO Mediastinomedio • Corazón • Grandes vasos (aorta ascendente y cayado, tronco de la arteria pulmonar y sus ramas, VCS y VCI con sus afluentes). • Tráquea y bronquios principales. • Esófago. • Nervios neumogástricos. • Ganglios linfáticos.
  • 80.
    PATOLOGÍA QUE PUEDE COMPROMETERAL MEDIASTINO Mediastino medio • Cardiovascular >>> agrandamientos cavitarios, pericarditis, aneurismas de la Ao ascendente, HTP. • Tráquea y bronquios >>> desplazamientos traqueales, tumores endobronquiales, cuerpos extraños. • Esófago >>> Trastornos motores, tumores esofágicos, fistulas. • Patología ganglionar >>> linfomas, metástasis, enfermedades reumátológicas, infecciones.
  • 81.
    CONTENIDO DEL MEDIASTINO Mediastinoposterior • Aorta torácica descendente • Venas ácigos y hemiácigos. • Conducto torácico. • Troncos torácicos simpáticos. • Vertebras torácicas y contenido del conducto medular. • Nervios esplácnicos torácicos.
  • 82.
    PATOLOGÍA QUE PUEDE COMPROMETERAL MEDIASTINO Mediastino posterior • Aneurismas-dilataciones de la aorta descendente. • Tumores neurogénicos. • Patología vertebral >>> fracturas, aplastamientos, infecciones, tumores primarios óseos, alteraciones reumáticas, osteoartrosis, metástasis.
  • 83.
    PATOLOGÍA QUE PUEDE COMPROMETERAL MEDIASTINO Cualquier sector • Tumores germinales >>> quiste dermoide o epidermoide, teratomas benignos o malignos. • Quistes, tumores benignos (lipomas, leiomiomas). • Neumomediastino. • Mediastinitis. • Hematomas. • Adenomegalias. • Metástasis.
  • 84.
    PATOLOGÍA QUE PUEDE COMPROMETERAL MEDIASTINO Desde el cuello • Linfangiomas. • Neurofibromatosis. • Linfomas. • Alteraciones tiroideas (bocio endotorácico). • Tumores malignos. • Metástasis ganglionares. Desde el abdomen • Adenomegalias (linfomas) • Tumores neurogénicos. • Abscesos. • Aneurismas-dilataciones de la Aorta. • Tumores malignos. • Hernias.
  • 85.
    SIGNOS RADIOLÓGICOS DE LAPATOLOGÍA DEL MEDIASTINO
  • 86.
    SIGNO DE LASILUETA • Cuando una opaciadad está en contacto anatómico con una estructura de la misma densidad, sus contornos de borrarán. • Una lesión intratorácica en contacto con el corazón, la aorta o el diafragma, borrará su contorno en la radiografía.
  • 87.
    SIGNO DE LASILUETA
  • 88.
    SIGNO DE LASILUETA
  • 89.
    SIGNO DE LASILUETA
  • 90.
    SIGNO CERVICO-TORÁCICO • “Siuna lesión torácica está en contacto anatómico con partes blandas del cuello, su borde contiguo desaparecerá”. • Masa con borde superior definido, que termina a nivel de las clavículas, tiene LOCALIZACIÓN INTRATORÁCICA Y ANTERIOR. • Masa con borde superior indefinido o que termina por encima de las clavículas, se encuentra en cuello y torax (mediastino medio o posterior).
  • 91.
  • 92.
  • 93.
    SIGNO TORACO-ABDOMINAL • Masaque tiene borde inferior neto, que se ve a través de diafragma, es INTRATORÁCICA. • Masa que se ensancha hacia abajo, sin borde inferior definido, es torácica y abdominal.
  • 94.
  • 95.
    SIGNO DE LACONVERGENCIA Y DE LA OCULTACION HILIAR Se aplica cuando existe una opacidad cercana al hilio. Si los vasos pulmonares convergen a más de 1 cm por dentro del borde de la lesión, confirma la existencia de un tumor o una masa y descarta AP dilatada o cardiomegalia (Signo de la Ocultación Hiliar). Si los vasos pulmonares convergen al borde de una masa, indica la presencia de una AP dilatada o cardiomegalia, descartando un tumor (Signo de la Convergencia hiliar).
  • 96.
    SIGNO DEL DIAFRAGMACONTINUO • Se produce por la interposición de aire entre el pericardio y el diafragma. • Se observa una línea radiolúcida que permite ver el diafragma en su totalidad. • Causas: neumomediastino y neumopericardio.
  • 97.
  • 98.
    SIGNO DEL HALO •El corazón se encuentra rodeado por un halo radiolúcido. • Indica NEUMOPERICARDI O
  • 99.
  • 100.