EXAMENES
Radiológicos
TÓRAX
Emmanuel Peralta Mendoza
iDESIGN
by HiSlide.io
“Energía” requerida para producir la imagen
RADIACIÓN IONIZANTE SONIDO
RADIACIÓN NO
IONIZANTE
Electromagnetismo
Resonancia
magnética
Radiografías
Tomografía
computarizada
Rayos X
Rayos Gamma
Fluoroscopía Gammagrafía
PET
Ultrasonido
* Mastografía
Métodos de imagen: TÓRAX
Procedimiento
radiológico
Indicaciones principales Costo
Nivel de
radiación
relativo
Radiografía TODO 1era intención $ ☢
Ultrasonido Intervencionismo. Estudio del espacio pleural. $ 0
TAC tórax simple TODO - Mejor resolución anatómica $$$ ☢☢☢
TAC tórax +
contraste
Valoración de estructuras vasculares o masas $$$$ ☢☢☢
TACAR (HRCT) Enfermedades pulmonares intersticiales. $$$$ ☢☢
AngioTAC Embolismo pulmonar. Anomalías vasculares. $$$$ ☢☢☢
PET/CT
Oncología (diagnostico y estadificación de neoplasias
torácicas)
$$$$$$$$ ☢☢☢☢
Gammagrafía de
perfusion/ventilación
Primordialmente en diagnóstico de embolismo
pulmonar particularmente en el embarazo
$$$$ ☢☢☢
RM
Diágnóstico oncológico o cardiológico. Uso limitado
para la visualización del parénquima pulmonar.
$$$$$ 0
Radiografía
de
Tórax
iDESIGN
by HiSlide.io
Bases físicas
1. El tubo de rayos x genera fotones (rayos x)
2. Los rayos x atraviesan las estructuras
corporales IONIZANDO MOLÉCULAS
CORPORALES y condicionando transmisión,
absorción y disipación del rayo
↑ atenuación ↑ densidad en imagen (más blanca)
↓ atenuación ↓ densidad en imagen (mas negra)
3. Los rayos x residuales que no fueron
atenuados son captados por detectores
digitales para la generación de imagen.
1
2
3
Ánodo
Cátodo
Tubo de Rayos X
Rayos de Rayos X
Piel
Músculo y
tejidos blandos
Hueso
Aire
Detector de
imagen
J. Vargas Romero . Aspectos básicos en radiología de tórax EB04-03 Radiología Madrid 2010
J. Vargas Romero . Aspectos básicos en radiología de tórax EB04-03 Radiología Madrid 2010
J. Vargas Romero . Aspectos básicos en radiología de tórax EB04-03 Radiología Madrid 2010
Grasa Líquido Hueso /Calcio
Aire Metal
AIRE
GRASA
LÍQUIDO
CALCIO
METAL
“DensidadesRadiológicas”
RADIOLÚCIDO
RADIOPACO
Identificación y marca
Proyecciones radiológicas
ASPECTOde una estructura con respecto a la
relación que guarda con el receptor de rayos x:
Tubo de
rayos x
Receptor
Las estructuras más ALEJADAS al
receptor se verán de MAYOR tamaño
Las estructuras más CERCANASal
receptor se verán de tamaño MÁS REAL
William Herring, Radiología Básica: Aspectos fundamentals 4a Ed Oxford Elsevier 2020
iDESIGN
by HiSlide.io
Proyecciones y posiciones radiológicas básicas
PROYECCIONES BÁSICAS
¿Por donde entra el haz de rayos x?
• Posterioanterior (PA)
• Anteroposterior (AP)
• Lateral
• Oblicua
POSICIÓN DEL PACIENTE
• Bipedestación (de pie)
• Decúbito (prono o supino)
• En sedestación (sentado)
Chasís (cassette radiológico)
Dirección de haz de rayos x
Tubo de rayos x
PA
AP
Lateral
Oblicua
POSICIONAMIENTO
POSTEROANTERIOR (PA)
• ESCÁPULA: Periferia del tórax
• CLAVÍCULAS: Dentro de los campos
pulmonares, la región medial super
impuesta a la 3a o 4a costillas.
ANTEROPOSTERIOR (AP)
• ESCÁPULA: Sobre los campos
pulmonares
• CLAVÍCULAS: Sobre los ápices
pulmonares
• Magnificación de la silueta cardiaca
A/P P/A
A/P P/A
J. Vargas Romero . Aspectos básicos en radiología de tórax EB04-03 Radiología Madrid 2010
J. Vargas Romero . Aspectos básicos en radiología de tórax EB04-03 Radiología Madrid 2010
J. Vargas Romero . Aspectos básicos en radiología de tórax EB04-03 Radiología Madrid 2010
ESOFAGOGRAMA
Estrechamientos de columna esofágica baritada
Aórtico
Bronquial principal izquierdo
Auricular izquierdo
LORDÓTICA APICAL
Estudiar los vértices pulmonares. Tumor de Pancoast
Confirmar lesiones de lóbulo medio
DECÚBITO LATERAL CON RAYO HORIZONTAL
Demuestra pequeños derrames pleurales confirmando que
son libres y en cantidades tan pequeñas como 50 ml.
J. Vargas Romero . Aspectos básicos en radiología de tórax EB04-03 Radiología Madrid 2010
DECÚBITO SUPINO O PORTÁTIL
Cuando no se pueden obtener en bipedestación o no es posible
trasladar al Servicio de Radiodiagnóstico.
J. Vargas Romero . Aspectos básicos en radiología de tórax EB04-03 Radiología Madrid 2010
Criterios de ‘calidad’
R.I.P.
• Rotación: Los procesos espinosos se
encuentran en un punto medial entre
las clavículas.
• Inspiración: Al menos 5 a 7 costillas
anteriores o 8 a 9 costillas posteriores
por arriba del diafragma en la línea
medio clavicular. Escápulas fuera del
tórax
• Penetración: Columna debe ser visible
detrás del corazón, vasos en ápices
pulmonares y a través del corazón.
Blanda
Dura
J. Vargas Romero . Aspectos básicos en radiología de tórax EB04-03 Radiología Madrid 2010
Criterios de ‘calidad’: INSPIRACIÓN/ESPIRACIÓN
INSPIRACIÓN ESPIRACIÓN
Elevación
diafragmática
Agrupación
vascular, falsa
congestión
1
2
3
4
5
6
1
2
3
4
5
6
7
8
9
10
11
ANT
POST
Radiografías en espiración:
Detectar pequeños neumotórax.
J. Vargas Romero . Aspectos básicos en radiología de tórax EB04-03 Radiología Madrid 2010
Rojas Camilo. Anatomía básica en la radiografía de tórax Rev.Medica.Sanitas 2017 20 (2): 116-123
iDESIGN
by HiSlide.io
Cuando dos densidades similares son
contiguos no se apreciarán los
bordes (o límites) claramente.
Cuando una densidad está por detrás
o por delante los bordes (o límites)
se aprecian claramente.
A
A B
B
SIGNO DELA SILUETA
(Útil para radiología torácica)
Signo +
Masa al mismo nivel
Signo -
Masa a diferente nivel
(Ej. Posterior)
Bases para el pensamiento en 3dimensiones
Goodman LR. Felson. Principios de Radiología Torácica. Un texto programado.3a Edición. España: Elsevier; 2009.
Tráquea
Bronquio
principal
izquierdo
Bronquio
principal
derecho
Bronquio
lobar
inferior
Bronquio
lobar
superior HILIO
DER
HILIO
IZQ
Cisura menor
(horizontal)
Burbuja
gástrica
Cisura menor (horizontal) - única visible en AP
Goodman LR. Felson. Principios de Radiología Torácica. Un texto programado.3a Edición. España: Elsevier; 2009.
Silva CIS, Müller NL. Radiología Y Diagnóstico Por Imágenes. 1er Edición. España: Amolca; 2016.
Burbuja
gástrica
Burbuja
gástrica
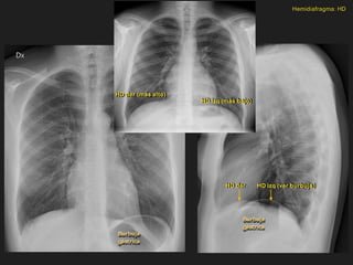
HD der (más alto)
HD izq (más bajo)
HD izq (ver burbuja)
HD der
Hemidiafragma: HD
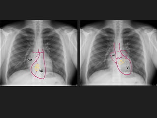
AD: Aurícula derecha
AI: Aurícula izquierda
VI: Ventrículo izquierdo
VA: Válvula aórtica
VP: Válvula pulmonar
VT: Válvula tricuspídea
VM: Válvula mitral
AD
VD
AI
VI
Tr
Mt
Ao
P
Botón aórtico
Arteria pulmonar
AI
VI
Art. subclavia
Vena
cava superior
Vena
cava inferior
Arteria pulmonar
derecha ‘interlobar’
AD
VA
VP
VT
VM
Aorta**
AD
VD
VI
AI
AORTA y
BOTÓN AÓRTICO
“Desenrollamiento” (dolicidad) aórtico
Calcificación del botón
aórtico: Ateroesclerosis
William Herring, Radiología Básica: Aspectos fundamentals 4a Ed Oxford Elsevier 2020
BOTÓN DE LA PULMONAR
Localización de la AP
AP
Línea Tangente
Pulmonar (LTP)
Bt Ao
VI
0-15mm
AP
AP que supera
la LTP
Puede ocurrir
en hipertensión
pulmonar
AP “Cóncava”
Proyección >15mm de
la LTP
• Puede ocurrir en
hipoplasia de la AP.
• Bt Ao o VI
aumentados (HAS)
Línea Tangente Pulmonar:
Trazar línea a partir del
botón aórtico (Bt Ao) y el VI.
• La AP Normal no se
proyecta mas allá la LTP.
• La AP no debe de tener
>15mm de separación de
la LTP
William Herring, Radiología Básica: Aspectos fundamentals 4a Ed Oxford Elsevier 2020
PATRÓN VASCULAR
NORMAL
Arterias y venas se
ramifican de forma
VERTICAL en lóbulos
superiores e inferiores.
Los vasos de los lóbulos
superiores tienen un
díametro menor que
los de lóbulos
inferiores (posición
erguida)
Zona 1. Definición clara de vasos y ramas
bronquiales
Zona 2. Menor tamaño y visualizados
con dificultad.
Zona 3. Visualización difícil del espacio aéreo o
vasos.
Goodman LR. Felson. Principios de Radiología Torácica. Un texto
programado.3a Edición. España: Elsevier; 2009.
A diferencia de las arterias, las
venas no acompañan a los
bronquios.
El alejamiento anatómico de las
venas pulmonares de las arterias
permite su distinción
radiográficamente.
Las venas discurren casi
horizontalmente y en un plano
inferior a las arterias, las cuales son
verticales u oblicuas y tienen un
bronquio adyacente.
¿REDISTRIBUCIÓN VASCULAR?
Goodman LR. Felson. Principios de Radiología Torácica. Un texto programado.3a Edición. España: Elsevier; 2009.
HILIOS PULMONARES
Sospeche anormalidad si:
• Un hilio es mas denso o grande que el otro
• Pérdida de concavidad.
• Elevación del hilio derecho (el hilio izquierdo usualmente
está en posición más elevada en una Rx normal)
Agrandamiento
unilateral:
1. Crecimiento de las
sombras vasculares
2. Crecimiento de ganglios
(Infección, neoplásico)-
Linfadenopatía (LAD)
3. Carcinoma bronquial
central
Agrandamiento
bilateral:
1. Vascular -
Hipertensión
pulmonar
2. LAD bilateral
(infección,
sarcoidosis, silicosis,
neoplasias)
94%
62%
William Herring, Radiología Básica: Aspectos fundamentals 4a Ed Oxford Elsevier 2020
0.6 - 1.5mm
BRONQUIOSLOBARES A RESPIRATORIOS
BRONCOGRAFÍA
LSD
LSD
LMD
LMD
LID
LID
LSI
LSI
LII
LII
ÍNDICE CARDIOTÓRACICO: Relación entre diámetro transverso (DT) del corazón y DT del tórax.
(A+B) / C = ≤0.5 en proyección PA en un adultos (y >6-7 años de edad).
Crecimiento >0.5: Cardiomegalia
Es posible calcularlo en AP (magnificación del corazón): ≤0.57 (ó 0.6) en un adulto
A
B
C
A
B
C
PA AP
• Brant, W. E., et al. (2019). Brant and Helms fundamentals of diagnostic radiology. Philadelphia: Wolters Kluwer.
• Brant, W. E., et al. (2007). Fundamentos de radiología diagnóstica. Barcelona: Lippincott, Williams & Wilkins.
Observe el tracto de
salida de cada
ventrículo: Aorta y
Arteria Pulmonar
(AP)
AORTA
PROMINENTE:
Cardiomegalia por VI
Crecimiento del VI visible
hasta que ha ↑ 66% de su
tamaño.
AP PROMINENTE:
AP proyectada más
allá de la línea de
tangente pulmonar,
cardiomegalia por VD.
¿Cómo determinar si la cardiomegalia está causada
predominantemente por el VI o VD?
Learning radiology: recognizing the basics. William Herring - Elsevier - 2020
Aorta prominente
(“desenrollada”) - VI
AP prominente - VD
ICT >0.5 ICT >0.5
LATERAL
Borde
del VD Borde de AI
VCI
Incremento
de la
radio-
lucidez
Borde del VI
Regiones en la
proyección lateral
¿Qué debe ver?
Espacio
claro
retroesternal
Radiolucidez entre el
esternón y aorta ascendente
Región Hiliar Ausencia de ‘masas’
Cisuras Cisura mayor y menor
delgadas (si son
visibles)
Columna torácica Cuerpos vertebrales
rectangulares, paralelos con
platillos, espacios discales
que mantiene altura.
Diafragma y
surco
costofrénico
posterior (SCP)
Hemidiafragma derecho
discretamente mas elevado
que el izquierdo, SCP
agudo.
Espacio
retroesternal NL
Ocupación
del espacio
retroesternal
- Linfoma
AP izq
Bronquio
izquierdo
Tronco
de AP
Masa hiliar -
Linfadenopatía
Líq. en
cisuras
mayores
Borramiento del
surco costofrénico
posterior (SCP)
derecho
SCP der
SCP izq
Hemi-
diafragma
der
Divisiones del mediastino:
Anatómica (Gray) y Radiológica (Felson)
SUPERIOR
• Aorta
• Grandes vasos
• Tráquea
• Tercio superior del esófago
• Timo superior
• Ganglios linfáticos (GL)
ANTERIOR MEDIO POSTERIOR
• Grasa
mediastinal
• Timo
• GL
• Pericardio
y
contenido
• Carina
• GL
• Esófago
• Aorta
torácica
descendente
• Vena ácigos
• Conducto
torácico
ANTERIOR MEDIO POST
Gray
Felson
Radiology: Vol. 272: No. 1—July 2014
Felson B. Chest roentgenology. Philadelphia: W.B. Saun-ders; 1973.
LÍNEAS DE
KERLEY
Se deben a engrosamiento de los septos interlobulares por
infiltrado edematoso, neoplásico o inflamación
Goodman LR. Felson. Principios de Radiología Torácica. Un texto programado.3a Edición. España: Elsevier; 2009.
LÍNEA DE
KERLEY A
APICALES
Septos profundos
engrosados
4 cm
Desde hilio hacia porciones
centrales,
sin alcanzar la pleura
Notorias en porciones
centrales y superiores
Goodman LR. Felson. Principios de Radiología Torácica. Un texto programado.3a Edición. España: Elsevier; 2009.
LÍNEA DE
KERLEY B
BASALES
Septos interlobares
periféricos engrosados
2cm
Paralelas, formando un
ángulo recto con pleura.
Goodman LR. Felson. Principios de Radiología Torácica. Un texto programado.3a Edición. España: Elsevier; 2009.
LÍNEA DE
KERLEY C
CENTRALES
Líneas entrecruzadas por
sobreposición de varias
líneas B
Reticulado opaco
representativo de líneas B
vistas de frente
Goodman LR. Felson. Principios de Radiología Torácica. Un texto programado.3a Edición. España: Elsevier; 2009.
SIGNO DE
ROESLER
Escotaduras (muesca) costales
inferiores debido a erosión por
tortuosidades de las arterias
Intercostales (muy pulsátiles)
Asociado a desarrollo de arterias
colaterales entre un área de alta
presión vascular y otra de baja
presión arterias distal a la
coartación aórtica
Goodman LR. Felson. Principios de Radiología Torácica. Un texto programado.3a Edición. España: Elsevier; 2009.
Felson. Principios de Radiología Torácica. Un texto programado.3a Edición. España: Elsevier; 2009.
SIGNO DE LA SILUETA
• Cuando dos estructuras de igual densidad
radiológica están en contacto anatómico la
superficie de contacto entre ambas se borra.
Red JC. Radiología torácica. Patrones radiológicos y diagnóstico diferencial. Barcelona: Ed. Doyma; 1993.
SIGNO TORACO ABDOMINAL
• Si el contorno de una opacidad es visible por
debajo del diafragma es porque está rodeada de
aire y su localización es pulmonar.
Red JC. Radiología torácica. Patrones radiológicos y diagnóstico diferencial. Barcelona: Ed. Doyma; 1993.
Signo del broncograma aereo
• Visualizacion de trayectos bronquiales
aireados en una opacidad pulmonar
generalmente por procesos infecciosos
Red JC. Radiología torácica. Patrones radiológicos y diagnóstico diferencial. Barcelona: Ed. Doyma; 1993.
Signo de la S de Golden
• Carcinomas bronquiales, tumores
mediastinales, adenopatias y metastasis
cuando producen un colapso.
Red JC. Radiología torácica. Patrones radiológicos y diagnóstico diferencial. Barcelona: Ed. Doyma; 1993.
Signo de la ocultacion hiliar
Masa que sobresale mas de 1cm de la arteria pulmonar es extracardiaca
Red JC. Radiología torácica. Patrones radiológicos y diagnóstico diferencial. Barcelona: Ed. Doyma; 1993.
Signo de la convergencia hiliar
• Diferenciar la dilatacion de la arteria pulmonar
de una posible tumoracion mediastinal
yuxtahiliar
Red JC. Radiología torácica. Patrones radiológicos y diagnóstico diferencial. Barcelona: Ed. Doyma; 1993.
Signo del habano
• Liquido que ocupa el espacio pleural cisural, produce desdobla
miento de la cisura involucrada, mas gruesa en el centro y
afilandose hacia los extremos
• Puede ser liquido encapsulado por adherencias
Red JC. Radiología torácica. Patrones radiológicos y diagnóstico diferencial. Barcelona: Ed. Doyma; 1993.
Signo del Menisco
Derrame pleural encapsulado, tumor evanescente o fantasma
Red JC. Radiología torácica. Patrones radiológicos y diagnóstico diferencial. Barcelona: Ed. Doyma; 1993.
Signo del camalote
• Quiste hidatidico pulmonar
• Cuando existe comunicacion directa del quiste
con el bronquio
Red JC. Radiología torácica. Patrones radiológicos y diagnóstico diferencial. Barcelona: Ed. Doyma; 1993.
ENFISEMA
TORAX EN BARRIL
Corazón en gota
TORAX EN QUILLA
Pectum excavatum
TRAQUEA EN SABLE
BRONQUIECTASIAS CILINDRICAS
DEDO DE GUANTE
PATRON MILIAR
TUBERCULOSIS
iDESIGN
by HiSlide.io
Consolidación
Intersticial
Nódulo
Masa
Atelectasia
Cavitación
Interpretación básica: Radiografía de Tórax
Radiografía de tórax
ANORMAL
Radiopacidad
(Hiperdensidad)
Radiolucidez
(Hipodensidad)
DEFINIR PATRÓN
Consolidación
• Lobar
• Difuso
• Multifocal
Intersticial Atelectasia Nódulo /
Masa
Pared Sin pared
Alteración
principal
ANORMALIDAD → PATRÓN → DX. DIFERENCIAL
INTERPRETACIÓN EN BASEA PATRÓN
VISUALIZADO
Chest X-Ray - Lung disease: Four-Pattern Approach. Robin Smithuis. Radiology Assistant. radiologyassistant.nl
iDESIGN
by HiSlide.io
PATRONES RADIOPACOS
↑ Densidad
• 1.Consolidación (o condensación)
• 2. Enfermedad intersticial
• 3. Atelectasia
• 4. Nódulo/masa
iDESIGN
by HiSlide.io
1.CONSOLIDACIÓN
Es el resultado del reemplazo de aire en el
alveolo por:
• Líquido (trasudado): Insuficiencia
cardiaca, ARDS, hipoalbuminemia,
insuficiencia renal
• Pus: Neumonía (causa más común)
• Sangre: Trauma, vasculitis (LES, Sx.
Goodpasture, púrpuras, etc)
• Células: Carcinomas in situ, inflamación
crónica, sarcoide.
Hallazgos radiológicos:
• Opacidad de bordes mal definidos que
borra los vasos.
• PRESENCIA DE BRONCOGRAMA AÉREO
• Se extiende a través de la pleura o cisura
pero no la cruza
• No hay pérdida del volumen pulmonar
PATRONES RADIOLÓGICOS
• Lobar
• Difuso
• Multifocal
Mata Olmo I, Álvarez Sanz C, Ferreirós Domínguez J.Anatomía radiológica del tórax: Estudios convencionales. Monogr Diag Imag 1988; 2:
Criterios radiológicos
de la lesión pulmonar
alveolar
1. Márgenes mal definidos, borrosos e irregulares, que se funden con el tejido pulmonar
sano que lo rodea, excepto cuando la lesión llega a la cisura.
2. Tendencia a la coalescencia, por la diseminación a través de las vías colaterales, hacia
los espacios aéreos adyacentes.
3. Distribución no segmentaria si la consolidación es diseminada y segmentaria si el
proceso se propaga por vía vascular o por el árbol traquebronquial.
4. Broncograma aéreo: visibilidad anormal del aire en el seno de la opacidad.
5. Alveolograma-bronquiolograma aéreo: Corresponde a alvéolos respetados en el seno
de la opacidad y se traduce como diminutas radiolucencias.
6. Nódulo o sombra acinar: Redondeado y mal definido, en forma de pequeñas rosetas, a
diferencia del nódulo intersticial, que tiene límites netos. Entre 4 y 10 mm
Mata Olmo I, Álvarez Sanz C, Ferreirós Domínguez J.Anatomía radiológica del tórax: Estudios convencionales. Monogr Diag Imag 1988; 2: 1-1
PATRÓN ALVEOLAR
iDESIGN
by HiSlide.io
• Típicamente se observa
‘broncograma aéreo’:
Radiolucidez
correspondiente a los
bronquios.
Diseminación a través de poros
de Kohn.
Causas:
• Neumonía lobar;
Steptococcus pneumoniae,
Klebsiella, TB, aspiración
• Neoplasias: Ca. pulmonar
con neumonía
postobstructiva, linfoma, etc
• Hemorragia: Contusión,
infarto pulmonar
• Otros: Secuestro pulmonar,
sarcoidosis, insuficiencia
mitral (consolidación LSD)
1.1CONSOLIDACIÓN LOBAR
iDESIGN
by HiSlide.io
VALORAR SILUETA CARDIACA
(NO DEFINITIVO,
ORIENTATIVO)
• Aumentada: Cardiogénica
• No aumentada: No
cardiogénica
Cardiogénica - Otros signos:
Líneas B de Kerley, derrame
pleural.
Causas:
• Edema pulmonar:
Insuficiencia cardiaca,
sobrecarga de volumen, ARDS,
hipoalbuminemia, insuficiencia
renal, reacción transfusional
• Neumonía: Staph. aureus, G-,
PJP, Viral, fúngica
• Hemorragia: Vasculitis (LES,
púrpura HS, Wegener,
Goodpasture).
• Otros: Neumonitis por
hipersensibilidad, linfoma
1.2 CONSOLIDACIÓN DIFUSA
iDESIGN
by HiSlide.io
1.3 CONSOLIDACIÓN MULTIFOCAL
Opacidades multifocales
mal definidas.
Causas más común:
Bronconeumonía (comienza en
el bronquio → diseminada al
parénquima.
Causas:
• Bronconeumonía: Staph.
aureus, G- (Legionella,
Klebsiella, Pseudomonas)
anaerobios, PJ
P, TB. Strep.
pneumoniae,
• Vascular: Embolismo séptico,
Vasculitis
• Neoplasias: Adenocarcinoma,
linfoma, METS
• Otros: Sarcoidosis
Goodman LR. Felson. Principios de Radiología Torácica. Un texto programado.3a Edición. España: Elsevier; 2009.
iDESIGN
by HiSlide.io
50
2. ENFERMEDAD INTERSTICIAL
ANATOMÍA NORMAL DEL LOBULO PULMONAR SECUNDARIO (DEFINE TERMINOLOGÍA RADIOLÓGICA)
Bronquiolos
(grosor de la pared 0.15mm) Arterias
pulmonares
(1mm)
Pleura
viceral
(0.1mm)
Septo interlobular
(0.1mm)
Venas pulmonares
+ Linfáticos
(0.5mm)
ACINOS
Compartimientos
intersticiales
Espacio intersticial axial o
peribroncovascular:
alrededor de las vías aéreas,
arterias pulmonares y venas.
Espacio intersticial periférico:
intersticio centrilobulillar, los septos
interlobulillares y espacio subpleural.
Espacio intersticial parenquimatoso
o acinar: entre las membranas
capilares y en las paredes alveolares.
Milne EN, Pistolesi M, Miniati M, Giuntini C. The radiographic distinction of cardiogenic and non-cardiogenic edema. AJR 1985; 144: 879-94.
iDESIGN
by HiSlide.io
TAC - Ventana pulmonar
TACAR
En una Rx de tórax puede ser muy complicado
determinar alguna enfermedad intersticial.
Solicitar TAC,de preferencia TACAR(TACde alta
resolución).
En Rx de tórax el patrón más común es el reticular
y el quístico.
PATRONESINTERSTICIALES
Reticular Nodular
- Lineal
- Irregular
- Panalización
- Perilinfático
- Centrolobulillar
- Aleatorio
Alta
atenuación
(alveolar)
- Vidrio
deslustrado
(agudo o
crónico)
Baja
atenuación
- Enfisema
- Quistes
2. ENFERMEDAD INTERSTICIAL
iDESIGN
by HiSlide.io
2. ENFERMEDAD INTERSTICIAL
PATRONESINTERSTICIALES
PATRÓN RETICULAR
EDEMA: ICC
NEUMONÍA INTERSTICIAL:
Viral, PJ
P
, mycoplasma
CARCINOMATOSIS LINFANGÍTICA
NEUMONÍA INTERSTICIAL
IDIOPATÍCA (FIBROSIS
PULMONAR):
Patrón de panalización
EPIDs, artritis reumatoide, esclerosis
sistémica
FÁRMACOS
Nitrofurantoína, metrotexate,
amiodarona, busulfán, bleomicina
PATRÓN ↓
ATENUACIÓN
Quístico
• Histiocitosis de células de
Langerhans
• Linfangioleiomiomatosis
• Pneumatoceles
• Neumonía intersticial linfocítica
Enfisema (ver su sección)
PATRÓN
NODULAR
• Sarcoidosis
• Metástatsis
• TB
PATRÓN
↑ATENUACIÓN
( alveolar)
Vidrio deslustrado
iDESIGN
by HiSlide.io
2.1 PATRÓN RETICULAR INTERSTICIAL
Radiografía basal
INSUFICIENCIA CARDIACA
CONGESTIVA:
Patrón reticular intersticial
más común en Rx Tórax
• Patrón reticular que predomina en las bases: Se visualizan líneas septales.
• Cardiomegalia, derrame pleural izquierdo, cefalización de flujos.
Patrón intersticial
Hilios pulmonares congestivos (dando apariencia de corazón velloso) y el aumento de la
trama intersticial, especialmente en forma de líneas B de Kerley
EDEMA PULMONAR CARDIOGÉNICO
Patrón
nodular
Se produce cuando se
acumulan lesiones más o
menos esféricas dentro del
intersticio.
El nódulo intersticial difiere
del nódulo de espacio aéreo
en que es homogéneo, bien
circunscrito y definido,
uniforme.
Micronodular (1 mm)
pequeño (1-3 mm)
Mediano (3-5 mm)
Nunca confluyen para formar
condensaciones.
Patrón
reticulonodular
Puede ser que la
orientación de algunas
opacidades lineales sugiera
un componente nodular
adicional al reticular o ser el
verdadero resultado de una
mezcla de depósitos
nodulares y engrosamiento
difuso a lo largo del
intersticio.
Sarcoidosis o una alveolitis
alérgica extrínseca.
PATRÓN RETICULAR
MEDIANO-GRUESO
(PULMÓN EN PANAL)
Densidades reticulares
gruesas, debidas a tejido
fibroso, con interposición
de claridades que
parecen espacios
quísticos de 5-10 mm.
iDESIGN
by HiSlide.io
COLAPSO del espacio aéreo (alveolos)
que resulta en pérdida aireación.
Causas: Obstrucción bronquial, cicatrización,
pérdida de factor surfactante o por
compresiones.
3. ATELECTASIA
CONSOLIDACIÓN
VS.
ATELECTASIA
Hallazgos radiológicos:
• Opacidad de bordes BIEN DEFINIDOS que oscurece
vasos y NO tiene broncograma aéreo (si es
cicatrizal puede tenerlos).
• Pérdida del volumen pulmonar que resulta en
desplazamiento del diafragma, cisuras, hilios o
mediastino.
Tipos:
• Reabsorción: Obstrucción
Tapones de moco, tumor, cuerpo extraño
• Relajamiento: Compresión pulmonar
Derrame pleural, neumotórax, atelectasias redondas
• .Pasiva y Cicatricial
signo diferencial:
volumen está reducido.
Cepeda T, Pedrosa CS. El tórax: Técnicas de exploración: Pedrosa CS. Diagnóstico por la Imagen. Tratado de Radiología Clínica. Madrid:
Interamericana; 1986. p. 103-28.
iDESIGN
by HiSlide.io
Causas:
• Carcinoma bronquial (fumadores)
• Tapón mucoso en pacientes con ventilación mecánica o reactividad bronquial
(aspegilosis alérgica)
• Sonda endotraqueal mal posicionada.
• Cuerpo extraño.
A veces las AL producen únicamente discreta pérdida de volumen debido a
la hiperinsulflación compensatoria de otras partes del pulmón
3.1 Atelectasias lobares (AL)
LSD LM
LID
LÓBULOSDERECHOS LÓBULOSIZQUIERDOS
LSI
LII
William Herring, Radiología Básica: Aspectos fundamentals 4a Ed Oxford Elsevier 2020
iDESIGN
by HiSlide.io 61
LSD
3.1 Atelectasia lobar superior derecha
iDESIGN
by HiSlide.io
62
LM
3.1 Atelectasia lobar media
iDESIGN
by HiSlide.io
63
LID
3.1 Atelectasia lobar inferior derecha
iDESIGN
by HiSlide.io 64
LSI
3.1 Atelectasia lobar superior izquierda
iDESIGN
by HiSlide.io 65
LII
3.1 Atelectasia lobar inferior izquierda
iDESIGN
by HiSlide.io
Desplazamiento
mediastinal ipsilateral
(hacia la atelectasia) y
opacidad de todo un
campo pulmonar
Causas:
• Tapón de moco
bronquial
• Sonda endrotraqueal
en posición baja
(obstruye bronquio
izquierdo,
hiperextiende pulmón
derecho)
3.2 Atelectasia pulmonar global
William Herring, Radiología Básica: Aspectos fundamentals 4a Ed Oxford Elsevier 2020
iDESIGN
by HiSlide.io
Hallazgos de imagen:
• Opacidad en disco o placa.
• Usualmente horizontales, 45% oblicuas
• Comunes en porciones mediales y basales.
• Frecuentes en pacientes de Terapia Intensiva.
• Asociadas a otras anormalidades pulmonares,
pleurales, diafragmáticas o abdominales.
3.3 Atelectasias subsegmentarias
Atelectasias
lineares, en
placa o
discoides.
Afectan menos
de un segmento.
William Herring, Radiología Básica: Aspectos fundamentals 4a Ed Oxford Elsevier 2020
iDESIGN
by HiSlide.io
4. Nódulo y masa pulmonar
• NÓDULO PULMONAR*: Opacidad redonda de bordes pobremente o bien
definidos de hasta 3cm de diámetro.
• MICRONÓDULO: (Visualizado en TAC). Opacidad discreta, pequeña, redonda y focal. Diámetro
<7mm (también se consideran <5mm o <3cm). Se recomienda usarlo al ser <3mm.
• MASA PULMONAR*: Cualquier lesión pulmonar, pleural o mediastinal con una
opacidad >3cm en diámetro.
Glosario de Fleischner. * Lesiones visualizadas en TAC y Rx.
NÓDULO
M ICRONÓDULO
MASA
Nódulo pulmonar solitario
Puede estar cavitado o calcificado.
Si contacta con la pleura tiene 2/3 de su circunferencia rodeado de aire.
Benignos con calcificación en el 40-50% de los casos.
Central, densa o laminada
Contorno nítido, redondeado y recortado
Cavitados: con márgenes lisos y paredes finas (menor de 4 mm)
Granuloma y carcinoma broncogénico.
Malignos
Espiculaciones, umbilicaciones y lobulados
Cavitados: con paredes gruesas
Broncograma aéreo en el seno de la lesión es sugerente de
carcinoma bronquioloalveolar o linfoma.
iDESIGN
by HiSlide.io
Usualmente son lesiones
metastásicas secundarias a
diseminación hematógena.
Diferentes tamaños (embolia
tumoral asincrónica)
Usualmente bordes bien
definidos (aspecto en “bala
de cañón”)
Imposible determinar
tumor primario por
imagen (realizar biopsia).
Primarios frecuentes:
Colorrectal, mama, renal,
testículos, cérvix, endometrio,
melanoma, sarcomas, vejiga,
tumores de cabeza y cuello.
Nódulos MÚLTIPLES
Red JC. Radiología torácica. Patrones radiológicos y diagnóstico diferencial.
Barcelona: Ed. Doyma; 1993.
Masas pulmonares
Carcinoma broncogénico.
Se puede cavitar, incluso con nivel
hidroaéreo, observándose una pared
irregular y a veces un nódulo mural.
Aunque en proyección PA suele verse
una opacidad redondeada, es la
radiografía lateral la que confirma la
situación cisural. “tumor
evanescente”.
William Herring, Radiología Básica: Aspectos fundamentals 4a Ed Oxford Elsevier 2020
iDESIGN
by HiSlide.io
PATRONES RADIOLÚCIDOS ↓ Densidad
• Focal - Con pared
• Generalizado - Sin Pared
PARED VISIBLE
• BULA-BLEB
• CAVITACIÓN
• QUISTE
• NEUMATOCELE
• PANALIZACIÓN
SIN PARED
• ENFISEMA
MAR 1 2008. VOL. 246, NO. 3
iDESIGN
by HiSlide.io
5.1Patrones con ↓ de la densidad (con pared)
BULA: Espacio aéreo (EA) >1cm, pared delgada
bien definida con grosor ≤ 1mm. Acompañada de
cambios enfisematosos en pulmón adyacente.
• BLEB: EA pequeño que contiene gas dentro de la pleura visceral
o pulmón subpleural (< 1cm) - termino no radiológico.
CAVITACIÓN: EA visualizado como radiolucencia o área de baja
atenuación DENTRO de una consolidación, masa o nódulo.
Pared gruesa > 3mm. Usualmente producida por la expulsión
o drenaje de parte de la lesión necrótica a través del árbol
bronquial. Puede contener nivel líquido.
QUISTE: EA redondo circunscrito rodeado de pared epitelial o
fibrosa de <3mm. Contiene aire, ocasionalmente líquidos o
sólidos.
PANALIZACIÓN: Tejido pulmonar fibrótico y destruído que
contiene numerosos quistes con pared fibrosa. Pérdida de la
arquitectura acinar. Típica de la fibrosis pulmonar.
NEUMATOCELE: Espacio aéreo con pared delgada. Usualmente
causado por neumonía, trauma o aspiración de hidrocarburos
Bula
iDESIGN
by HiSlide.io
BULA: Espacio aéreo (EA) >1cm, pared delgada bien definida
con grosor ≤ 1mm. Acompañada de cambios enfisematosos en
pulmón adyacente.
• BLEB: EA pequeño que contiene gas dentro de la pleura
visceral o pulmón subpleural (< 1cm)
CAVITACIÓN: EAvisualizado como radiolucencia o
área de baja atenuación DENTRO de una
consolidación, masa o nódulo. Pared gruesa >
3mm. Usualmente producida por la expulsión o
drenaje de parte de la lesión necrótica a través del
árbol bronquial. Puede contener nivel líquido.
QUISTE: EA redondo circunscrito rodeado de pared epitelial o
fibrosa de <3mm. Contiene aire, ocasionalmente líquidos o
sólidos.
PANALIZACIÓN: Tejido pulmonar fibrótico y destruído que
contiene numerosos quistes con pared fibrosa. Pérdida de la
arquitectura acinar. Típica de la fibrosis pulmonar.
NEUMATOCELE: Espacio aéreo con pared delgada. Usualmente
causado por neumonía, trauma o aspiración de hidrocarburos
5.1Patrones con ↓ de la densidad (con pared)
iDESIGN
by HiSlide.io
QUISTE
QUISTES
BULA: Espacio aéreo (EA) >1cm, pared delgada bien definida
con grosor ≤ 1mm. Acompañada de cambios enfisematosos
en pulmón adyacente.
• BLEB: EA pequeño que contiene gas dentro de la pleura
visceral o pulmón subpleural (< 1cm)
CAVITACIÓN: EA visualizado como radiolucencia o área de
baja atenuación DENTRO de una consolidación, masa o
nódulo. Pared gruesa > 3mm. Usualmente producida por la
expulsión o drenaje de parte de la lesión necrótica a través
del árbol bronquial. Puede contener nivel líquido.
QUISTE: EA redondo circunscrito rodeado de
pared epitelial o fibrosa de <3mm. Contiene
aire, ocasionalmente líquidos o sólidos.
PANALIZACIÓN: Tejido pulmonar fibrótico y destruído que
contiene numerosos quistes con pared fibrosa. Pérdida de la
arquitectura acinar. Típica de la fibrosis pulmonar.
NEUMATOCELE: Espacio aéreo con pared delgada.
Usualmente causado por neumonía, trauma o aspiración de
hidrocarburos
5.1Patrones con ↓ de la densidad (con pared)
iDESIGN
by HiSlide.io
BULA: Espacio aéreo (EA) >1cm, pared delgada bien definida
con grosor ≤ 1mm. Acompañada de cambios enfisematosos en
pulmón adyacente.
• BLEB: EA pequeño que contiene gas dentro de la pleura
visceral o pulmón subpleural (< 1cm)
CAVITACIÓN: EA visualizado como radiolucencia o área de baja
atenuación DENTRO de una consolidación, masa o nódulo.
Pared gruesa > 3mm. Usualmente producida por la expulsión
o drenaje de parte de la lesión necrótica a través del árbol
bronquial. Puede contener nivel líquido.
QUISTE: EA redondo circunscrito rodeado de pared epitelial o
fibrosa de <3mm. Contiene aire, ocasionalmente líquidos o
sólidos.
PANALIZACIÓN: Tejido pulmonar fibrótico y con
destrucción que contiene numerosos quistes con
pared fibrosa. Pérdida de la arquitectura acinar.
Típica de la fibrosis pulmonar (neumonía
intersticial usual, NIU).
NEUMATOCELE: Espacio aéreo con pared delgada. Usualmente
causado por neumonía, trauma o aspiración de hidrocarburos
5.1Patrones con ↓ de la densidad (con pared)
iDESIGN
by HiSlide.io
BULA: Espacio aéreo (EA) >1cm, pared delgada bien definida
con grosor ≤ 1mm. Acompañada de cambios enfisematosos en
pulmón adyacente.
• BLEB: EA pequeño que contiene gas dentro de la pleura
visceral o pulmón subpleural (< 1cm)
CAVITACIÓN: EA visualizado como radiolucencia o área de baja
atenuación DENTRO de una consolidación, masa o nódulo.
Pared gruesa > 3mm. Usualmente producida por la expulsión
o drenaje de parte de la lesión necrótica a través del árbol
bronquial. Puede contener nivel líquido.
QUISTE: EA redondo circunscrito rodeado de pared epitelial o
fibrosa de <3mm. Contiene aire, ocasionalmente líquidos o
sólidos.
PANALIZACIÓN: Tejido pulmonar fibrótico y destruído que
contiene numerosos quistes con pared fibrosa. Pérdida de la
arquitectura acinar. Típica de la fibrosis pulmonar.
NEUMATOCELE: EA con pared delgada.
Usualmente causado por neumonía, trauma o
aspiración de hidrocarburos. Común en
pediátricos.
5.1Patrones con ↓ de la densidad (con pared)
iDESIGN
by HiSlide.io
5.2 Patrones con ↓ de la densidad (sin pared)
ENFISEMA Clasificación del ENFISEMA
CENTRIACINAR
(Centrilobulillar)
PANACINAR
Destrucción de paredes
centrilobulillares.
Predominio en ápices.
Asociado a
tabaquismo.
Involucra a todo el acino y
lóbulo secundario +/-
uniformemente.
Predomina en bases.
Asociado a ↓ alfa 1
antitripsina.
PARASEPTAL
Involucro predominante
en alveolos y bronquios
distales (región vascular
y peribroncovascular).
Limitado por superficies
pleurales y septos
interlobulillares.
Caracterizado por EA
“agrandado” distal al
bronquiolo terminal
con destrucción de
la paredes alveolares.
Confiere ↓ de la
atenuación.
Usualmente sin
pared visible.
William Herring, Radiología Básica: Aspectos fundamentals 4a Ed Oxford Elsevier 2020
Síndromes pleurales
Síndromes pleuropulmonares:
Obstructivos
Clini-Data. Rodríguez A. Arturo - Scymed - 2009
Horacio Argente-Marcelo Alvarez Semiología médica: fisiopatología, semiotecnia y propedéutica. - Médica Panamericana - 2013
iDESIGN
by HiSlide.io
1.Derrame pleural
1
2
3
4
Acumulación (4) de líquido (exudado/trasudado) en la cavidad
pleural (2) entre pleural parietal (1) y visceral (3).
• Opacidad homogénea densa.
• Pérdida del ángulo costofrénico.
• Aspecto de menisco (↑ alto lateral que medial, borde superior
cóncavo)
• Borramiento del hemidiafragma.
• Sin broncograma aéreo.
AIRE
LÍQUIDO
William Herring, Radiología Básica: Aspectos fundamentals 4a Ed Oxford Elsevier 2020
iDESIGN
by HiSlide.io
1.Derrame pleural
Cantidad mínima de líquido detectada
en AP/PA: 200 ml
Cantidad mínima de líquido
detectada en lateral: 75 ml
William Herring, Radiología Básica: Aspectos fundamentals 4a Ed Oxford Elsevier 2020
iDESIGN
by HiSlide.io
1. Derrame pleural en placa portátil (decúbito)
Cuando el derrame es libre
sigue a la gravedad (gravedad -
dependiente).
Si el paciente se encuentra en
decúbito el líquido se deposita
en la porción posterior.
• Opacificación del campo
pulmonar afectado con
borramiento de vasos
pulmonares.
• Volumen pulmonar inspiratorio ↓
debido a la ↓ del esfuerzo
respiratorio en decúbito.
AIRE
LÍQUIDO
AIRE +
LÍQUIDO
SOBREPUESTO
TUBO
Para facilitar detección
considerar sedestación
William Herring, Radiología Básica: Aspectos fundamentals 4a Ed Oxford Elsevier 2020
iDESIGN
by HiSlide.io
1. Derrame pleural TAC
Densidad líquida sin presencia de parénquima pulmonar.
• Agua (-5 a +5 UH aprox.)
• Trasudado (16 a 20 UH aprox.)
• Exudado (20 a 30 UH aprox.)
William Herring, Radiología Básica: Aspectos fundamentals 4a Ed Oxford Elsevier 2020
iDESIGN
by HiSlide.io
1.2 Empiema
Derrame pleural infeccioso y
purulento.
Usualmente loculado.
Niños: Neumococo
Adultos: Staph. aureus, G-,
anaerobios
TB
Radiografía:
• +/- aspecto similar a
derrame
• Usualmente unilateral (o
muy asimétrico)
• Ángulo obtuso
• Lenticular
TAC:
• Colección líquida
• Cápsula que realza con
contraste
• +/- aire en su interior
William Herring, Radiología Básica: Aspectos fundamentals 4a Ed Oxford Elsevier 2020
iDESIGN
by HiSlide.io
1.3 Derrame pleural (HEMOTÓRAX)
Radiografía: Hemotórax con
mismo aspecto que derrame
pleural.
TAC: Colección líquida hipodensa
(sangre fresca *) o hiperdensa
(coagulada +)
Causas: Usualmente traumáticas
(trauma penetrante) que
interrumpen pleura parietal o
visceral.
El sangrado en la cavidad puede
ser masivo. Un hemitórax puede
resguardar 30-40% del volumen
sanguíneo total)
Otras causas: Neumotórax, infarto
pulmonar, terapia anticogulante.
*
*
+
William Herring, Radiología Básica: Aspectos fundamentals 4a Ed Oxford Elsevier 2020
iDESIGN
by HiSlide.io
2.1 Neumotórax
Acumulación AIRE en la
cavidad pleural entre pleural
parietal y visceral.
•Detectado por la presencia
de línea pleural (borde del
pulmón delimitado por el
aire circundante del espacio
pleural)
•Pérdida de marcas
vasculares distales al
borde pulmonar.
iDESIGN
by HiSlide.io
2.1Neumotórax Acumulación AIRE en la cavidad
pleural entre pleural parietal y
visceral.
• Detectado por la presencia de
línea pleural (borde del
pulmón delimitado por el aire
circundante del espacio pleural)
• Pérdida de marcas vasculares
distales al borde pulmonar.
William Herring, Radiología Básica: Aspectos fundamentals 4a Ed Oxford Elsevier 2020
iDESIGN
by HiSlide.io
2.2 Neumotórax (posición supina - AP)
Signo del surco profundo:
• Rx de tórax tomadas en posición
supina, en niños y adultos.
• Asimetría de los ángulos
costofrénicos laterales (↑
profundidad y radiolucidez de uno
de ellos).
• Puede extenderse hasta el
hipocondrio y adoptar morfología
triangular o crescéntrica.
AIRE
LÍQUIDO
TUBO
William Herring, Radiología Básica: Aspectos fundamentals 4a Ed Oxford Elsevier 2020
iDESIGN
by HiSlide.io
2.3 Neumotórax TAC
UTILIZAR VENTANA PULMONAR
Identificación inmediata con densidad aire (completamente negro)
William Herring, Radiología Básica: Aspectos fundamentals 4a Ed Oxford Elsevier 2020
iDESIGN
by HiSlide.io
Derrame pericárdico
Rx de Tórax
•PA/AP: Derrame moderado (>250ml) -
Signo de la “
cantimplora”- Silueta cardiaca
globular, mediastino superior normal
•Lateral: Signo de la “galleta Oreo” -
Densidad de agua >2mm entre grasa
retroesternal y subepicárdica NL
Etiología:
• Infarto miocárdico e ICC izquierda
• Uremia: 50% insuficiencia renal crónica.
• Infección: Viral,TB
• Trauma
• Autoinmune: Artritis reumatoide, lupus, esclerosis
sistémica, etc
Cavidad puede contener hasta 1L sin generar
tamponade.
Tamponade: RsCs ↓ + ↓ TA + Distensión venas del cuello
↑ Presión intrapericárdica y compresión cardiaca
↓ Volumen intracardiaco → ↑Presión diastólica de
llenado → ↓ GC
William Herring, Radiología Básica: Aspectos fundamentals 4a Ed Oxford Elsevier 2020
iDESIGN
by HiSlide.io
Derrame pericárdico
grasa líquido grasa
*
NL
Rx de Tórax
•PA/AP: Derrame
moderado (>250ml) -
Signo de la “
cantimplora”-
Silueta cardiaca globular,
mediastino superior NL
•Lateral: Signo de la
“
galleta Oreo”- Densidad
de agua >2mm entre
grasa retroesternal y
subepicárdica
*
William Herring, Radiología Básica: Aspectos
fundamentals 4a Ed Oxford Elsevier 2020
Paquipleuritis y calcificaciones pleurales
Engrosamiento de la pleura y un aumento de su densidad
William Herring, Radiología Básica: Aspectos fundamentals 4a Ed Oxford Elsevier 2020
Enfisema subcutáneo
Introducción de aire en el tejido celular subcutáneo o entre los planos musculares.
William Herring, Radiología Básica: Aspectos fundamentals 4a Ed Oxford Elsevier 2020
18
Fluoroscopía
iDESIGN
by HiSlide.io
Fluoroscopía
• Una fuente continua de rayos x
permite la VISUALIZACIÓN EN
TIEMPO REAL.
• Se lleva a cabo mediante un equipo
convencional o un arco en C.
• Para el estudio dinámico de
estructuras se utilizan medios de
contraste enterales o IV: bario o
hidrosolubres iodados.
Christopher Clarke-Anthony Dux - Wiley-blackwell Chest X-rays For Medical
Students USA 2011
• Información sobre movilidad diafragmática y pared torácica
• Incursiones respiratorias de campos pulmonares en
presencia de atelectasia o de obstrucción
• Deglución, morfología, peristaltismo o trayecto del esófago
• Cambios dinámicos de patología pulmonar y cardiaca
• Amplitud y regularidad de pulsación de cámaras cardiacas
• Guía en biopsias percutáneas o drenajes
Christopher Clarke-Anthony Dux - Wiley-blackwell Chest X-rays For Medical Students USA 2011
iDESIGN
by HiSlide.io
FLUOROSCOPÍA
Usualmente utilizada para imagen GI o GU.
Las radiopacidades de tejidos blandos son
prácticamente similares (“bloque de grises”).
Por esta razón se utilizan sustancias químicas - medios de
contraste - permiten identificar con mayor facilidad y
precisión determinados órganos y estructuras.
Medios de contraste más utilizados: Bario y
contrastes iodados hidrosolubles - RADIOPACOS
contraste
iodado
Bario
Rosado L. - Amirsys Diagnostic Imaging: Chest. 2012
iDESIGN
by HiSlide.io
FLUOROSCOPÍA - Terminología
DEFECTO DE
LLENADO
POSITIVO
Divertículos
Enfermedad
diverticular del colon
Acalasia esofágica
Carcinoma de colon
Carcinoma esofágico
DEFECTO DE
LLENADO
NEGATIVO
Tumoraciones
(benignas o malignas).
EJ
. Pólipos.
DILATACIÓN
Acalasia, megaureter,
gastroparesia diabética,
etc.
ESTENOSIS
Intrínsecas (ej. estenosis
químicas, malignidad de la
pared) o Compresiones
Extrínsecas (tumor de un
órgano adyacente)
William Herring. Learning radiology: recognizing the basics. 4a Ed. Elsevier 2020

RADIOLOGIA TORAX.pdf

  • 1.
  • 2.
    iDESIGN by HiSlide.io “Energía” requeridapara producir la imagen RADIACIÓN IONIZANTE SONIDO RADIACIÓN NO IONIZANTE Electromagnetismo Resonancia magnética Radiografías Tomografía computarizada Rayos X Rayos Gamma Fluoroscopía Gammagrafía PET Ultrasonido * Mastografía
  • 3.
    Métodos de imagen:TÓRAX Procedimiento radiológico Indicaciones principales Costo Nivel de radiación relativo Radiografía TODO 1era intención $ ☢ Ultrasonido Intervencionismo. Estudio del espacio pleural. $ 0 TAC tórax simple TODO - Mejor resolución anatómica $$$ ☢☢☢ TAC tórax + contraste Valoración de estructuras vasculares o masas $$$$ ☢☢☢ TACAR (HRCT) Enfermedades pulmonares intersticiales. $$$$ ☢☢ AngioTAC Embolismo pulmonar. Anomalías vasculares. $$$$ ☢☢☢ PET/CT Oncología (diagnostico y estadificación de neoplasias torácicas) $$$$$$$$ ☢☢☢☢ Gammagrafía de perfusion/ventilación Primordialmente en diagnóstico de embolismo pulmonar particularmente en el embarazo $$$$ ☢☢☢ RM Diágnóstico oncológico o cardiológico. Uso limitado para la visualización del parénquima pulmonar. $$$$$ 0
  • 4.
  • 5.
    iDESIGN by HiSlide.io Bases físicas 1.El tubo de rayos x genera fotones (rayos x) 2. Los rayos x atraviesan las estructuras corporales IONIZANDO MOLÉCULAS CORPORALES y condicionando transmisión, absorción y disipación del rayo ↑ atenuación ↑ densidad en imagen (más blanca) ↓ atenuación ↓ densidad en imagen (mas negra) 3. Los rayos x residuales que no fueron atenuados son captados por detectores digitales para la generación de imagen. 1 2 3 Ánodo Cátodo Tubo de Rayos X Rayos de Rayos X Piel Músculo y tejidos blandos Hueso Aire Detector de imagen J. Vargas Romero . Aspectos básicos en radiología de tórax EB04-03 Radiología Madrid 2010
  • 6.
    J. Vargas Romero. Aspectos básicos en radiología de tórax EB04-03 Radiología Madrid 2010
  • 7.
    J. Vargas Romero. Aspectos básicos en radiología de tórax EB04-03 Radiología Madrid 2010
  • 8.
    Grasa Líquido Hueso/Calcio Aire Metal AIRE GRASA LÍQUIDO CALCIO METAL “DensidadesRadiológicas” RADIOLÚCIDO RADIOPACO
  • 9.
  • 10.
    Proyecciones radiológicas ASPECTOde unaestructura con respecto a la relación que guarda con el receptor de rayos x: Tubo de rayos x Receptor Las estructuras más ALEJADAS al receptor se verán de MAYOR tamaño Las estructuras más CERCANASal receptor se verán de tamaño MÁS REAL William Herring, Radiología Básica: Aspectos fundamentals 4a Ed Oxford Elsevier 2020
  • 11.
    iDESIGN by HiSlide.io Proyecciones yposiciones radiológicas básicas PROYECCIONES BÁSICAS ¿Por donde entra el haz de rayos x? • Posterioanterior (PA) • Anteroposterior (AP) • Lateral • Oblicua POSICIÓN DEL PACIENTE • Bipedestación (de pie) • Decúbito (prono o supino) • En sedestación (sentado) Chasís (cassette radiológico) Dirección de haz de rayos x Tubo de rayos x PA AP Lateral Oblicua
  • 12.
    POSICIONAMIENTO POSTEROANTERIOR (PA) • ESCÁPULA:Periferia del tórax • CLAVÍCULAS: Dentro de los campos pulmonares, la región medial super impuesta a la 3a o 4a costillas. ANTEROPOSTERIOR (AP) • ESCÁPULA: Sobre los campos pulmonares • CLAVÍCULAS: Sobre los ápices pulmonares • Magnificación de la silueta cardiaca
  • 13.
  • 14.
  • 15.
    J. Vargas Romero. Aspectos básicos en radiología de tórax EB04-03 Radiología Madrid 2010
  • 17.
    J. Vargas Romero. Aspectos básicos en radiología de tórax EB04-03 Radiología Madrid 2010
  • 18.
    J. Vargas Romero. Aspectos básicos en radiología de tórax EB04-03 Radiología Madrid 2010 ESOFAGOGRAMA Estrechamientos de columna esofágica baritada Aórtico Bronquial principal izquierdo Auricular izquierdo
  • 19.
    LORDÓTICA APICAL Estudiar losvértices pulmonares. Tumor de Pancoast Confirmar lesiones de lóbulo medio
  • 20.
    DECÚBITO LATERAL CONRAYO HORIZONTAL Demuestra pequeños derrames pleurales confirmando que son libres y en cantidades tan pequeñas como 50 ml. J. Vargas Romero . Aspectos básicos en radiología de tórax EB04-03 Radiología Madrid 2010
  • 21.
    DECÚBITO SUPINO OPORTÁTIL Cuando no se pueden obtener en bipedestación o no es posible trasladar al Servicio de Radiodiagnóstico. J. Vargas Romero . Aspectos básicos en radiología de tórax EB04-03 Radiología Madrid 2010
  • 22.
    Criterios de ‘calidad’ R.I.P. •Rotación: Los procesos espinosos se encuentran en un punto medial entre las clavículas. • Inspiración: Al menos 5 a 7 costillas anteriores o 8 a 9 costillas posteriores por arriba del diafragma en la línea medio clavicular. Escápulas fuera del tórax • Penetración: Columna debe ser visible detrás del corazón, vasos en ápices pulmonares y a través del corazón. Blanda Dura J. Vargas Romero . Aspectos básicos en radiología de tórax EB04-03 Radiología Madrid 2010
  • 25.
    Criterios de ‘calidad’:INSPIRACIÓN/ESPIRACIÓN INSPIRACIÓN ESPIRACIÓN Elevación diafragmática Agrupación vascular, falsa congestión
  • 26.
  • 27.
    Radiografías en espiración: Detectarpequeños neumotórax. J. Vargas Romero . Aspectos básicos en radiología de tórax EB04-03 Radiología Madrid 2010
  • 31.
    Rojas Camilo. Anatomíabásica en la radiografía de tórax Rev.Medica.Sanitas 2017 20 (2): 116-123
  • 32.
    iDESIGN by HiSlide.io Cuando dosdensidades similares son contiguos no se apreciarán los bordes (o límites) claramente. Cuando una densidad está por detrás o por delante los bordes (o límites) se aprecian claramente. A A B B SIGNO DELA SILUETA (Útil para radiología torácica) Signo + Masa al mismo nivel Signo - Masa a diferente nivel (Ej. Posterior) Bases para el pensamiento en 3dimensiones Goodman LR. Felson. Principios de Radiología Torácica. Un texto programado.3a Edición. España: Elsevier; 2009.
  • 33.
  • 35.
  • 36.
    Goodman LR. Felson.Principios de Radiología Torácica. Un texto programado.3a Edición. España: Elsevier; 2009. Silva CIS, Müller NL. Radiología Y Diagnóstico Por Imágenes. 1er Edición. España: Amolca; 2016.
  • 37.
    Burbuja gástrica Burbuja gástrica HD der (másalto) HD izq (más bajo) HD izq (ver burbuja) HD der Hemidiafragma: HD
  • 38.
    AD: Aurícula derecha AI:Aurícula izquierda VI: Ventrículo izquierdo VA: Válvula aórtica VP: Válvula pulmonar VT: Válvula tricuspídea VM: Válvula mitral AD VD AI VI Tr Mt Ao P Botón aórtico Arteria pulmonar AI VI Art. subclavia Vena cava superior Vena cava inferior Arteria pulmonar derecha ‘interlobar’ AD VA VP VT VM Aorta**
  • 39.
  • 40.
    AORTA y BOTÓN AÓRTICO “Desenrollamiento”(dolicidad) aórtico Calcificación del botón aórtico: Ateroesclerosis William Herring, Radiología Básica: Aspectos fundamentals 4a Ed Oxford Elsevier 2020
  • 41.
    BOTÓN DE LAPULMONAR Localización de la AP AP Línea Tangente Pulmonar (LTP) Bt Ao VI 0-15mm AP AP que supera la LTP Puede ocurrir en hipertensión pulmonar AP “Cóncava” Proyección >15mm de la LTP • Puede ocurrir en hipoplasia de la AP. • Bt Ao o VI aumentados (HAS) Línea Tangente Pulmonar: Trazar línea a partir del botón aórtico (Bt Ao) y el VI. • La AP Normal no se proyecta mas allá la LTP. • La AP no debe de tener >15mm de separación de la LTP William Herring, Radiología Básica: Aspectos fundamentals 4a Ed Oxford Elsevier 2020
  • 42.
    PATRÓN VASCULAR NORMAL Arterias yvenas se ramifican de forma VERTICAL en lóbulos superiores e inferiores. Los vasos de los lóbulos superiores tienen un díametro menor que los de lóbulos inferiores (posición erguida) Zona 1. Definición clara de vasos y ramas bronquiales Zona 2. Menor tamaño y visualizados con dificultad. Zona 3. Visualización difícil del espacio aéreo o vasos. Goodman LR. Felson. Principios de Radiología Torácica. Un texto programado.3a Edición. España: Elsevier; 2009.
  • 43.
    A diferencia delas arterias, las venas no acompañan a los bronquios. El alejamiento anatómico de las venas pulmonares de las arterias permite su distinción radiográficamente. Las venas discurren casi horizontalmente y en un plano inferior a las arterias, las cuales son verticales u oblicuas y tienen un bronquio adyacente. ¿REDISTRIBUCIÓN VASCULAR? Goodman LR. Felson. Principios de Radiología Torácica. Un texto programado.3a Edición. España: Elsevier; 2009.
  • 44.
    HILIOS PULMONARES Sospeche anormalidadsi: • Un hilio es mas denso o grande que el otro • Pérdida de concavidad. • Elevación del hilio derecho (el hilio izquierdo usualmente está en posición más elevada en una Rx normal) Agrandamiento unilateral: 1. Crecimiento de las sombras vasculares 2. Crecimiento de ganglios (Infección, neoplásico)- Linfadenopatía (LAD) 3. Carcinoma bronquial central Agrandamiento bilateral: 1. Vascular - Hipertensión pulmonar 2. LAD bilateral (infección, sarcoidosis, silicosis, neoplasias) 94% 62% William Herring, Radiología Básica: Aspectos fundamentals 4a Ed Oxford Elsevier 2020
  • 45.
    0.6 - 1.5mm BRONQUIOSLOBARESA RESPIRATORIOS BRONCOGRAFÍA
  • 46.
  • 47.
    ÍNDICE CARDIOTÓRACICO: Relaciónentre diámetro transverso (DT) del corazón y DT del tórax. (A+B) / C = ≤0.5 en proyección PA en un adultos (y >6-7 años de edad). Crecimiento >0.5: Cardiomegalia Es posible calcularlo en AP (magnificación del corazón): ≤0.57 (ó 0.6) en un adulto A B C A B C PA AP • Brant, W. E., et al. (2019). Brant and Helms fundamentals of diagnostic radiology. Philadelphia: Wolters Kluwer. • Brant, W. E., et al. (2007). Fundamentos de radiología diagnóstica. Barcelona: Lippincott, Williams & Wilkins.
  • 48.
    Observe el tractode salida de cada ventrículo: Aorta y Arteria Pulmonar (AP) AORTA PROMINENTE: Cardiomegalia por VI Crecimiento del VI visible hasta que ha ↑ 66% de su tamaño. AP PROMINENTE: AP proyectada más allá de la línea de tangente pulmonar, cardiomegalia por VD. ¿Cómo determinar si la cardiomegalia está causada predominantemente por el VI o VD? Learning radiology: recognizing the basics. William Herring - Elsevier - 2020 Aorta prominente (“desenrollada”) - VI AP prominente - VD ICT >0.5 ICT >0.5
  • 49.
  • 50.
    Borde del VD Bordede AI VCI Incremento de la radio- lucidez Borde del VI Regiones en la proyección lateral ¿Qué debe ver? Espacio claro retroesternal Radiolucidez entre el esternón y aorta ascendente Región Hiliar Ausencia de ‘masas’ Cisuras Cisura mayor y menor delgadas (si son visibles) Columna torácica Cuerpos vertebrales rectangulares, paralelos con platillos, espacios discales que mantiene altura. Diafragma y surco costofrénico posterior (SCP) Hemidiafragma derecho discretamente mas elevado que el izquierdo, SCP agudo.
  • 51.
    Espacio retroesternal NL Ocupación del espacio retroesternal -Linfoma AP izq Bronquio izquierdo Tronco de AP Masa hiliar - Linfadenopatía Líq. en cisuras mayores Borramiento del surco costofrénico posterior (SCP) derecho SCP der SCP izq Hemi- diafragma der
  • 53.
    Divisiones del mediastino: Anatómica(Gray) y Radiológica (Felson) SUPERIOR • Aorta • Grandes vasos • Tráquea • Tercio superior del esófago • Timo superior • Ganglios linfáticos (GL) ANTERIOR MEDIO POSTERIOR • Grasa mediastinal • Timo • GL • Pericardio y contenido • Carina • GL • Esófago • Aorta torácica descendente • Vena ácigos • Conducto torácico ANTERIOR MEDIO POST Gray Felson Radiology: Vol. 272: No. 1—July 2014 Felson B. Chest roentgenology. Philadelphia: W.B. Saun-ders; 1973.
  • 55.
    LÍNEAS DE KERLEY Se debena engrosamiento de los septos interlobulares por infiltrado edematoso, neoplásico o inflamación Goodman LR. Felson. Principios de Radiología Torácica. Un texto programado.3a Edición. España: Elsevier; 2009.
  • 56.
    LÍNEA DE KERLEY A APICALES Septosprofundos engrosados 4 cm Desde hilio hacia porciones centrales, sin alcanzar la pleura Notorias en porciones centrales y superiores Goodman LR. Felson. Principios de Radiología Torácica. Un texto programado.3a Edición. España: Elsevier; 2009.
  • 57.
    LÍNEA DE KERLEY B BASALES Septosinterlobares periféricos engrosados 2cm Paralelas, formando un ángulo recto con pleura. Goodman LR. Felson. Principios de Radiología Torácica. Un texto programado.3a Edición. España: Elsevier; 2009.
  • 58.
    LÍNEA DE KERLEY C CENTRALES Líneasentrecruzadas por sobreposición de varias líneas B Reticulado opaco representativo de líneas B vistas de frente Goodman LR. Felson. Principios de Radiología Torácica. Un texto programado.3a Edición. España: Elsevier; 2009.
  • 60.
    SIGNO DE ROESLER Escotaduras (muesca)costales inferiores debido a erosión por tortuosidades de las arterias Intercostales (muy pulsátiles) Asociado a desarrollo de arterias colaterales entre un área de alta presión vascular y otra de baja presión arterias distal a la coartación aórtica Goodman LR. Felson. Principios de Radiología Torácica. Un texto programado.3a Edición. España: Elsevier; 2009.
  • 61.
    Felson. Principios deRadiología Torácica. Un texto programado.3a Edición. España: Elsevier; 2009.
  • 64.
    SIGNO DE LASILUETA • Cuando dos estructuras de igual densidad radiológica están en contacto anatómico la superficie de contacto entre ambas se borra. Red JC. Radiología torácica. Patrones radiológicos y diagnóstico diferencial. Barcelona: Ed. Doyma; 1993.
  • 65.
    SIGNO TORACO ABDOMINAL •Si el contorno de una opacidad es visible por debajo del diafragma es porque está rodeada de aire y su localización es pulmonar. Red JC. Radiología torácica. Patrones radiológicos y diagnóstico diferencial. Barcelona: Ed. Doyma; 1993.
  • 66.
    Signo del broncogramaaereo • Visualizacion de trayectos bronquiales aireados en una opacidad pulmonar generalmente por procesos infecciosos Red JC. Radiología torácica. Patrones radiológicos y diagnóstico diferencial. Barcelona: Ed. Doyma; 1993.
  • 67.
    Signo de laS de Golden • Carcinomas bronquiales, tumores mediastinales, adenopatias y metastasis cuando producen un colapso. Red JC. Radiología torácica. Patrones radiológicos y diagnóstico diferencial. Barcelona: Ed. Doyma; 1993.
  • 68.
    Signo de laocultacion hiliar Masa que sobresale mas de 1cm de la arteria pulmonar es extracardiaca Red JC. Radiología torácica. Patrones radiológicos y diagnóstico diferencial. Barcelona: Ed. Doyma; 1993.
  • 69.
    Signo de laconvergencia hiliar • Diferenciar la dilatacion de la arteria pulmonar de una posible tumoracion mediastinal yuxtahiliar Red JC. Radiología torácica. Patrones radiológicos y diagnóstico diferencial. Barcelona: Ed. Doyma; 1993.
  • 70.
    Signo del habano •Liquido que ocupa el espacio pleural cisural, produce desdobla miento de la cisura involucrada, mas gruesa en el centro y afilandose hacia los extremos • Puede ser liquido encapsulado por adherencias Red JC. Radiología torácica. Patrones radiológicos y diagnóstico diferencial. Barcelona: Ed. Doyma; 1993.
  • 71.
    Signo del Menisco Derramepleural encapsulado, tumor evanescente o fantasma Red JC. Radiología torácica. Patrones radiológicos y diagnóstico diferencial. Barcelona: Ed. Doyma; 1993.
  • 72.
    Signo del camalote •Quiste hidatidico pulmonar • Cuando existe comunicacion directa del quiste con el bronquio Red JC. Radiología torácica. Patrones radiológicos y diagnóstico diferencial. Barcelona: Ed. Doyma; 1993.
  • 73.
  • 74.
  • 75.
  • 76.
  • 77.
  • 78.
  • 79.
  • 80.
  • 81.
    iDESIGN by HiSlide.io Consolidación Intersticial Nódulo Masa Atelectasia Cavitación Interpretación básica:Radiografía de Tórax Radiografía de tórax ANORMAL Radiopacidad (Hiperdensidad) Radiolucidez (Hipodensidad) DEFINIR PATRÓN Consolidación • Lobar • Difuso • Multifocal Intersticial Atelectasia Nódulo / Masa Pared Sin pared Alteración principal ANORMALIDAD → PATRÓN → DX. DIFERENCIAL INTERPRETACIÓN EN BASEA PATRÓN VISUALIZADO Chest X-Ray - Lung disease: Four-Pattern Approach. Robin Smithuis. Radiology Assistant. radiologyassistant.nl
  • 82.
    iDESIGN by HiSlide.io PATRONES RADIOPACOS ↑Densidad • 1.Consolidación (o condensación) • 2. Enfermedad intersticial • 3. Atelectasia • 4. Nódulo/masa
  • 83.
    iDESIGN by HiSlide.io 1.CONSOLIDACIÓN Es elresultado del reemplazo de aire en el alveolo por: • Líquido (trasudado): Insuficiencia cardiaca, ARDS, hipoalbuminemia, insuficiencia renal • Pus: Neumonía (causa más común) • Sangre: Trauma, vasculitis (LES, Sx. Goodpasture, púrpuras, etc) • Células: Carcinomas in situ, inflamación crónica, sarcoide. Hallazgos radiológicos: • Opacidad de bordes mal definidos que borra los vasos. • PRESENCIA DE BRONCOGRAMA AÉREO • Se extiende a través de la pleura o cisura pero no la cruza • No hay pérdida del volumen pulmonar PATRONES RADIOLÓGICOS • Lobar • Difuso • Multifocal Mata Olmo I, Álvarez Sanz C, Ferreirós Domínguez J.Anatomía radiológica del tórax: Estudios convencionales. Monogr Diag Imag 1988; 2:
  • 84.
    Criterios radiológicos de lalesión pulmonar alveolar 1. Márgenes mal definidos, borrosos e irregulares, que se funden con el tejido pulmonar sano que lo rodea, excepto cuando la lesión llega a la cisura. 2. Tendencia a la coalescencia, por la diseminación a través de las vías colaterales, hacia los espacios aéreos adyacentes. 3. Distribución no segmentaria si la consolidación es diseminada y segmentaria si el proceso se propaga por vía vascular o por el árbol traquebronquial. 4. Broncograma aéreo: visibilidad anormal del aire en el seno de la opacidad. 5. Alveolograma-bronquiolograma aéreo: Corresponde a alvéolos respetados en el seno de la opacidad y se traduce como diminutas radiolucencias. 6. Nódulo o sombra acinar: Redondeado y mal definido, en forma de pequeñas rosetas, a diferencia del nódulo intersticial, que tiene límites netos. Entre 4 y 10 mm Mata Olmo I, Álvarez Sanz C, Ferreirós Domínguez J.Anatomía radiológica del tórax: Estudios convencionales. Monogr Diag Imag 1988; 2: 1-1 PATRÓN ALVEOLAR
  • 85.
    iDESIGN by HiSlide.io • Típicamentese observa ‘broncograma aéreo’: Radiolucidez correspondiente a los bronquios. Diseminación a través de poros de Kohn. Causas: • Neumonía lobar; Steptococcus pneumoniae, Klebsiella, TB, aspiración • Neoplasias: Ca. pulmonar con neumonía postobstructiva, linfoma, etc • Hemorragia: Contusión, infarto pulmonar • Otros: Secuestro pulmonar, sarcoidosis, insuficiencia mitral (consolidación LSD) 1.1CONSOLIDACIÓN LOBAR
  • 86.
    iDESIGN by HiSlide.io VALORAR SILUETACARDIACA (NO DEFINITIVO, ORIENTATIVO) • Aumentada: Cardiogénica • No aumentada: No cardiogénica Cardiogénica - Otros signos: Líneas B de Kerley, derrame pleural. Causas: • Edema pulmonar: Insuficiencia cardiaca, sobrecarga de volumen, ARDS, hipoalbuminemia, insuficiencia renal, reacción transfusional • Neumonía: Staph. aureus, G-, PJP, Viral, fúngica • Hemorragia: Vasculitis (LES, púrpura HS, Wegener, Goodpasture). • Otros: Neumonitis por hipersensibilidad, linfoma 1.2 CONSOLIDACIÓN DIFUSA
  • 87.
    iDESIGN by HiSlide.io 1.3 CONSOLIDACIÓNMULTIFOCAL Opacidades multifocales mal definidas. Causas más común: Bronconeumonía (comienza en el bronquio → diseminada al parénquima. Causas: • Bronconeumonía: Staph. aureus, G- (Legionella, Klebsiella, Pseudomonas) anaerobios, PJ P, TB. Strep. pneumoniae, • Vascular: Embolismo séptico, Vasculitis • Neoplasias: Adenocarcinoma, linfoma, METS • Otros: Sarcoidosis Goodman LR. Felson. Principios de Radiología Torácica. Un texto programado.3a Edición. España: Elsevier; 2009.
  • 88.
    iDESIGN by HiSlide.io 50 2. ENFERMEDADINTERSTICIAL ANATOMÍA NORMAL DEL LOBULO PULMONAR SECUNDARIO (DEFINE TERMINOLOGÍA RADIOLÓGICA) Bronquiolos (grosor de la pared 0.15mm) Arterias pulmonares (1mm) Pleura viceral (0.1mm) Septo interlobular (0.1mm) Venas pulmonares + Linfáticos (0.5mm) ACINOS
  • 89.
    Compartimientos intersticiales Espacio intersticial axialo peribroncovascular: alrededor de las vías aéreas, arterias pulmonares y venas. Espacio intersticial periférico: intersticio centrilobulillar, los septos interlobulillares y espacio subpleural. Espacio intersticial parenquimatoso o acinar: entre las membranas capilares y en las paredes alveolares. Milne EN, Pistolesi M, Miniati M, Giuntini C. The radiographic distinction of cardiogenic and non-cardiogenic edema. AJR 1985; 144: 879-94.
  • 90.
    iDESIGN by HiSlide.io TAC -Ventana pulmonar TACAR En una Rx de tórax puede ser muy complicado determinar alguna enfermedad intersticial. Solicitar TAC,de preferencia TACAR(TACde alta resolución). En Rx de tórax el patrón más común es el reticular y el quístico. PATRONESINTERSTICIALES Reticular Nodular - Lineal - Irregular - Panalización - Perilinfático - Centrolobulillar - Aleatorio Alta atenuación (alveolar) - Vidrio deslustrado (agudo o crónico) Baja atenuación - Enfisema - Quistes 2. ENFERMEDAD INTERSTICIAL
  • 91.
    iDESIGN by HiSlide.io 2. ENFERMEDADINTERSTICIAL PATRONESINTERSTICIALES PATRÓN RETICULAR EDEMA: ICC NEUMONÍA INTERSTICIAL: Viral, PJ P , mycoplasma CARCINOMATOSIS LINFANGÍTICA NEUMONÍA INTERSTICIAL IDIOPATÍCA (FIBROSIS PULMONAR): Patrón de panalización EPIDs, artritis reumatoide, esclerosis sistémica FÁRMACOS Nitrofurantoína, metrotexate, amiodarona, busulfán, bleomicina PATRÓN ↓ ATENUACIÓN Quístico • Histiocitosis de células de Langerhans • Linfangioleiomiomatosis • Pneumatoceles • Neumonía intersticial linfocítica Enfisema (ver su sección) PATRÓN NODULAR • Sarcoidosis • Metástatsis • TB PATRÓN ↑ATENUACIÓN ( alveolar) Vidrio deslustrado
  • 92.
    iDESIGN by HiSlide.io 2.1 PATRÓNRETICULAR INTERSTICIAL Radiografía basal INSUFICIENCIA CARDIACA CONGESTIVA: Patrón reticular intersticial más común en Rx Tórax • Patrón reticular que predomina en las bases: Se visualizan líneas septales. • Cardiomegalia, derrame pleural izquierdo, cefalización de flujos.
  • 93.
    Patrón intersticial Hilios pulmonarescongestivos (dando apariencia de corazón velloso) y el aumento de la trama intersticial, especialmente en forma de líneas B de Kerley EDEMA PULMONAR CARDIOGÉNICO
  • 94.
    Patrón nodular Se produce cuandose acumulan lesiones más o menos esféricas dentro del intersticio. El nódulo intersticial difiere del nódulo de espacio aéreo en que es homogéneo, bien circunscrito y definido, uniforme. Micronodular (1 mm) pequeño (1-3 mm) Mediano (3-5 mm) Nunca confluyen para formar condensaciones.
  • 95.
    Patrón reticulonodular Puede ser quela orientación de algunas opacidades lineales sugiera un componente nodular adicional al reticular o ser el verdadero resultado de una mezcla de depósitos nodulares y engrosamiento difuso a lo largo del intersticio. Sarcoidosis o una alveolitis alérgica extrínseca.
  • 96.
    PATRÓN RETICULAR MEDIANO-GRUESO (PULMÓN ENPANAL) Densidades reticulares gruesas, debidas a tejido fibroso, con interposición de claridades que parecen espacios quísticos de 5-10 mm.
  • 97.
    iDESIGN by HiSlide.io COLAPSO delespacio aéreo (alveolos) que resulta en pérdida aireación. Causas: Obstrucción bronquial, cicatrización, pérdida de factor surfactante o por compresiones. 3. ATELECTASIA CONSOLIDACIÓN VS. ATELECTASIA Hallazgos radiológicos: • Opacidad de bordes BIEN DEFINIDOS que oscurece vasos y NO tiene broncograma aéreo (si es cicatrizal puede tenerlos). • Pérdida del volumen pulmonar que resulta en desplazamiento del diafragma, cisuras, hilios o mediastino. Tipos: • Reabsorción: Obstrucción Tapones de moco, tumor, cuerpo extraño • Relajamiento: Compresión pulmonar Derrame pleural, neumotórax, atelectasias redondas • .Pasiva y Cicatricial signo diferencial: volumen está reducido.
  • 99.
    Cepeda T, PedrosaCS. El tórax: Técnicas de exploración: Pedrosa CS. Diagnóstico por la Imagen. Tratado de Radiología Clínica. Madrid: Interamericana; 1986. p. 103-28.
  • 100.
    iDESIGN by HiSlide.io Causas: • Carcinomabronquial (fumadores) • Tapón mucoso en pacientes con ventilación mecánica o reactividad bronquial (aspegilosis alérgica) • Sonda endotraqueal mal posicionada. • Cuerpo extraño. A veces las AL producen únicamente discreta pérdida de volumen debido a la hiperinsulflación compensatoria de otras partes del pulmón 3.1 Atelectasias lobares (AL) LSD LM LID LÓBULOSDERECHOS LÓBULOSIZQUIERDOS LSI LII William Herring, Radiología Básica: Aspectos fundamentals 4a Ed Oxford Elsevier 2020
  • 101.
    iDESIGN by HiSlide.io 61 LSD 3.1Atelectasia lobar superior derecha
  • 102.
  • 103.
  • 104.
    iDESIGN by HiSlide.io 64 LSI 3.1Atelectasia lobar superior izquierda
  • 105.
    iDESIGN by HiSlide.io 65 LII 3.1Atelectasia lobar inferior izquierda
  • 106.
    iDESIGN by HiSlide.io Desplazamiento mediastinal ipsilateral (haciala atelectasia) y opacidad de todo un campo pulmonar Causas: • Tapón de moco bronquial • Sonda endrotraqueal en posición baja (obstruye bronquio izquierdo, hiperextiende pulmón derecho) 3.2 Atelectasia pulmonar global William Herring, Radiología Básica: Aspectos fundamentals 4a Ed Oxford Elsevier 2020
  • 107.
    iDESIGN by HiSlide.io Hallazgos deimagen: • Opacidad en disco o placa. • Usualmente horizontales, 45% oblicuas • Comunes en porciones mediales y basales. • Frecuentes en pacientes de Terapia Intensiva. • Asociadas a otras anormalidades pulmonares, pleurales, diafragmáticas o abdominales. 3.3 Atelectasias subsegmentarias Atelectasias lineares, en placa o discoides. Afectan menos de un segmento. William Herring, Radiología Básica: Aspectos fundamentals 4a Ed Oxford Elsevier 2020
  • 108.
    iDESIGN by HiSlide.io 4. Nóduloy masa pulmonar • NÓDULO PULMONAR*: Opacidad redonda de bordes pobremente o bien definidos de hasta 3cm de diámetro. • MICRONÓDULO: (Visualizado en TAC). Opacidad discreta, pequeña, redonda y focal. Diámetro <7mm (también se consideran <5mm o <3cm). Se recomienda usarlo al ser <3mm. • MASA PULMONAR*: Cualquier lesión pulmonar, pleural o mediastinal con una opacidad >3cm en diámetro. Glosario de Fleischner. * Lesiones visualizadas en TAC y Rx. NÓDULO M ICRONÓDULO MASA
  • 110.
    Nódulo pulmonar solitario Puedeestar cavitado o calcificado. Si contacta con la pleura tiene 2/3 de su circunferencia rodeado de aire. Benignos con calcificación en el 40-50% de los casos. Central, densa o laminada Contorno nítido, redondeado y recortado Cavitados: con márgenes lisos y paredes finas (menor de 4 mm) Granuloma y carcinoma broncogénico. Malignos Espiculaciones, umbilicaciones y lobulados Cavitados: con paredes gruesas Broncograma aéreo en el seno de la lesión es sugerente de carcinoma bronquioloalveolar o linfoma.
  • 111.
    iDESIGN by HiSlide.io Usualmente sonlesiones metastásicas secundarias a diseminación hematógena. Diferentes tamaños (embolia tumoral asincrónica) Usualmente bordes bien definidos (aspecto en “bala de cañón”) Imposible determinar tumor primario por imagen (realizar biopsia). Primarios frecuentes: Colorrectal, mama, renal, testículos, cérvix, endometrio, melanoma, sarcomas, vejiga, tumores de cabeza y cuello. Nódulos MÚLTIPLES Red JC. Radiología torácica. Patrones radiológicos y diagnóstico diferencial. Barcelona: Ed. Doyma; 1993.
  • 112.
    Masas pulmonares Carcinoma broncogénico. Sepuede cavitar, incluso con nivel hidroaéreo, observándose una pared irregular y a veces un nódulo mural. Aunque en proyección PA suele verse una opacidad redondeada, es la radiografía lateral la que confirma la situación cisural. “tumor evanescente”. William Herring, Radiología Básica: Aspectos fundamentals 4a Ed Oxford Elsevier 2020
  • 113.
    iDESIGN by HiSlide.io PATRONES RADIOLÚCIDOS↓ Densidad • Focal - Con pared • Generalizado - Sin Pared PARED VISIBLE • BULA-BLEB • CAVITACIÓN • QUISTE • NEUMATOCELE • PANALIZACIÓN SIN PARED • ENFISEMA MAR 1 2008. VOL. 246, NO. 3
  • 114.
    iDESIGN by HiSlide.io 5.1Patrones con↓ de la densidad (con pared) BULA: Espacio aéreo (EA) >1cm, pared delgada bien definida con grosor ≤ 1mm. Acompañada de cambios enfisematosos en pulmón adyacente. • BLEB: EA pequeño que contiene gas dentro de la pleura visceral o pulmón subpleural (< 1cm) - termino no radiológico. CAVITACIÓN: EA visualizado como radiolucencia o área de baja atenuación DENTRO de una consolidación, masa o nódulo. Pared gruesa > 3mm. Usualmente producida por la expulsión o drenaje de parte de la lesión necrótica a través del árbol bronquial. Puede contener nivel líquido. QUISTE: EA redondo circunscrito rodeado de pared epitelial o fibrosa de <3mm. Contiene aire, ocasionalmente líquidos o sólidos. PANALIZACIÓN: Tejido pulmonar fibrótico y destruído que contiene numerosos quistes con pared fibrosa. Pérdida de la arquitectura acinar. Típica de la fibrosis pulmonar. NEUMATOCELE: Espacio aéreo con pared delgada. Usualmente causado por neumonía, trauma o aspiración de hidrocarburos Bula
  • 115.
    iDESIGN by HiSlide.io BULA: Espacioaéreo (EA) >1cm, pared delgada bien definida con grosor ≤ 1mm. Acompañada de cambios enfisematosos en pulmón adyacente. • BLEB: EA pequeño que contiene gas dentro de la pleura visceral o pulmón subpleural (< 1cm) CAVITACIÓN: EAvisualizado como radiolucencia o área de baja atenuación DENTRO de una consolidación, masa o nódulo. Pared gruesa > 3mm. Usualmente producida por la expulsión o drenaje de parte de la lesión necrótica a través del árbol bronquial. Puede contener nivel líquido. QUISTE: EA redondo circunscrito rodeado de pared epitelial o fibrosa de <3mm. Contiene aire, ocasionalmente líquidos o sólidos. PANALIZACIÓN: Tejido pulmonar fibrótico y destruído que contiene numerosos quistes con pared fibrosa. Pérdida de la arquitectura acinar. Típica de la fibrosis pulmonar. NEUMATOCELE: Espacio aéreo con pared delgada. Usualmente causado por neumonía, trauma o aspiración de hidrocarburos 5.1Patrones con ↓ de la densidad (con pared)
  • 116.
    iDESIGN by HiSlide.io QUISTE QUISTES BULA: Espacioaéreo (EA) >1cm, pared delgada bien definida con grosor ≤ 1mm. Acompañada de cambios enfisematosos en pulmón adyacente. • BLEB: EA pequeño que contiene gas dentro de la pleura visceral o pulmón subpleural (< 1cm) CAVITACIÓN: EA visualizado como radiolucencia o área de baja atenuación DENTRO de una consolidación, masa o nódulo. Pared gruesa > 3mm. Usualmente producida por la expulsión o drenaje de parte de la lesión necrótica a través del árbol bronquial. Puede contener nivel líquido. QUISTE: EA redondo circunscrito rodeado de pared epitelial o fibrosa de <3mm. Contiene aire, ocasionalmente líquidos o sólidos. PANALIZACIÓN: Tejido pulmonar fibrótico y destruído que contiene numerosos quistes con pared fibrosa. Pérdida de la arquitectura acinar. Típica de la fibrosis pulmonar. NEUMATOCELE: Espacio aéreo con pared delgada. Usualmente causado por neumonía, trauma o aspiración de hidrocarburos 5.1Patrones con ↓ de la densidad (con pared)
  • 117.
    iDESIGN by HiSlide.io BULA: Espacioaéreo (EA) >1cm, pared delgada bien definida con grosor ≤ 1mm. Acompañada de cambios enfisematosos en pulmón adyacente. • BLEB: EA pequeño que contiene gas dentro de la pleura visceral o pulmón subpleural (< 1cm) CAVITACIÓN: EA visualizado como radiolucencia o área de baja atenuación DENTRO de una consolidación, masa o nódulo. Pared gruesa > 3mm. Usualmente producida por la expulsión o drenaje de parte de la lesión necrótica a través del árbol bronquial. Puede contener nivel líquido. QUISTE: EA redondo circunscrito rodeado de pared epitelial o fibrosa de <3mm. Contiene aire, ocasionalmente líquidos o sólidos. PANALIZACIÓN: Tejido pulmonar fibrótico y con destrucción que contiene numerosos quistes con pared fibrosa. Pérdida de la arquitectura acinar. Típica de la fibrosis pulmonar (neumonía intersticial usual, NIU). NEUMATOCELE: Espacio aéreo con pared delgada. Usualmente causado por neumonía, trauma o aspiración de hidrocarburos 5.1Patrones con ↓ de la densidad (con pared)
  • 118.
    iDESIGN by HiSlide.io BULA: Espacioaéreo (EA) >1cm, pared delgada bien definida con grosor ≤ 1mm. Acompañada de cambios enfisematosos en pulmón adyacente. • BLEB: EA pequeño que contiene gas dentro de la pleura visceral o pulmón subpleural (< 1cm) CAVITACIÓN: EA visualizado como radiolucencia o área de baja atenuación DENTRO de una consolidación, masa o nódulo. Pared gruesa > 3mm. Usualmente producida por la expulsión o drenaje de parte de la lesión necrótica a través del árbol bronquial. Puede contener nivel líquido. QUISTE: EA redondo circunscrito rodeado de pared epitelial o fibrosa de <3mm. Contiene aire, ocasionalmente líquidos o sólidos. PANALIZACIÓN: Tejido pulmonar fibrótico y destruído que contiene numerosos quistes con pared fibrosa. Pérdida de la arquitectura acinar. Típica de la fibrosis pulmonar. NEUMATOCELE: EA con pared delgada. Usualmente causado por neumonía, trauma o aspiración de hidrocarburos. Común en pediátricos. 5.1Patrones con ↓ de la densidad (con pared)
  • 119.
    iDESIGN by HiSlide.io 5.2 Patronescon ↓ de la densidad (sin pared) ENFISEMA Clasificación del ENFISEMA CENTRIACINAR (Centrilobulillar) PANACINAR Destrucción de paredes centrilobulillares. Predominio en ápices. Asociado a tabaquismo. Involucra a todo el acino y lóbulo secundario +/- uniformemente. Predomina en bases. Asociado a ↓ alfa 1 antitripsina. PARASEPTAL Involucro predominante en alveolos y bronquios distales (región vascular y peribroncovascular). Limitado por superficies pleurales y septos interlobulillares. Caracterizado por EA “agrandado” distal al bronquiolo terminal con destrucción de la paredes alveolares. Confiere ↓ de la atenuación. Usualmente sin pared visible. William Herring, Radiología Básica: Aspectos fundamentals 4a Ed Oxford Elsevier 2020
  • 120.
  • 121.
    Síndromes pleuropulmonares: Obstructivos Clini-Data. RodríguezA. Arturo - Scymed - 2009 Horacio Argente-Marcelo Alvarez Semiología médica: fisiopatología, semiotecnia y propedéutica. - Médica Panamericana - 2013
  • 122.
    iDESIGN by HiSlide.io 1.Derrame pleural 1 2 3 4 Acumulación(4) de líquido (exudado/trasudado) en la cavidad pleural (2) entre pleural parietal (1) y visceral (3). • Opacidad homogénea densa. • Pérdida del ángulo costofrénico. • Aspecto de menisco (↑ alto lateral que medial, borde superior cóncavo) • Borramiento del hemidiafragma. • Sin broncograma aéreo. AIRE LÍQUIDO William Herring, Radiología Básica: Aspectos fundamentals 4a Ed Oxford Elsevier 2020
  • 123.
    iDESIGN by HiSlide.io 1.Derrame pleural Cantidadmínima de líquido detectada en AP/PA: 200 ml Cantidad mínima de líquido detectada en lateral: 75 ml William Herring, Radiología Básica: Aspectos fundamentals 4a Ed Oxford Elsevier 2020
  • 124.
    iDESIGN by HiSlide.io 1. Derramepleural en placa portátil (decúbito) Cuando el derrame es libre sigue a la gravedad (gravedad - dependiente). Si el paciente se encuentra en decúbito el líquido se deposita en la porción posterior. • Opacificación del campo pulmonar afectado con borramiento de vasos pulmonares. • Volumen pulmonar inspiratorio ↓ debido a la ↓ del esfuerzo respiratorio en decúbito. AIRE LÍQUIDO AIRE + LÍQUIDO SOBREPUESTO TUBO Para facilitar detección considerar sedestación William Herring, Radiología Básica: Aspectos fundamentals 4a Ed Oxford Elsevier 2020
  • 125.
    iDESIGN by HiSlide.io 1. Derramepleural TAC Densidad líquida sin presencia de parénquima pulmonar. • Agua (-5 a +5 UH aprox.) • Trasudado (16 a 20 UH aprox.) • Exudado (20 a 30 UH aprox.) William Herring, Radiología Básica: Aspectos fundamentals 4a Ed Oxford Elsevier 2020
  • 126.
    iDESIGN by HiSlide.io 1.2 Empiema Derramepleural infeccioso y purulento. Usualmente loculado. Niños: Neumococo Adultos: Staph. aureus, G-, anaerobios TB Radiografía: • +/- aspecto similar a derrame • Usualmente unilateral (o muy asimétrico) • Ángulo obtuso • Lenticular TAC: • Colección líquida • Cápsula que realza con contraste • +/- aire en su interior William Herring, Radiología Básica: Aspectos fundamentals 4a Ed Oxford Elsevier 2020
  • 127.
    iDESIGN by HiSlide.io 1.3 Derramepleural (HEMOTÓRAX) Radiografía: Hemotórax con mismo aspecto que derrame pleural. TAC: Colección líquida hipodensa (sangre fresca *) o hiperdensa (coagulada +) Causas: Usualmente traumáticas (trauma penetrante) que interrumpen pleura parietal o visceral. El sangrado en la cavidad puede ser masivo. Un hemitórax puede resguardar 30-40% del volumen sanguíneo total) Otras causas: Neumotórax, infarto pulmonar, terapia anticogulante. * * + William Herring, Radiología Básica: Aspectos fundamentals 4a Ed Oxford Elsevier 2020
  • 128.
    iDESIGN by HiSlide.io 2.1 Neumotórax AcumulaciónAIRE en la cavidad pleural entre pleural parietal y visceral. •Detectado por la presencia de línea pleural (borde del pulmón delimitado por el aire circundante del espacio pleural) •Pérdida de marcas vasculares distales al borde pulmonar.
  • 129.
    iDESIGN by HiSlide.io 2.1Neumotórax AcumulaciónAIRE en la cavidad pleural entre pleural parietal y visceral. • Detectado por la presencia de línea pleural (borde del pulmón delimitado por el aire circundante del espacio pleural) • Pérdida de marcas vasculares distales al borde pulmonar. William Herring, Radiología Básica: Aspectos fundamentals 4a Ed Oxford Elsevier 2020
  • 130.
    iDESIGN by HiSlide.io 2.2 Neumotórax(posición supina - AP) Signo del surco profundo: • Rx de tórax tomadas en posición supina, en niños y adultos. • Asimetría de los ángulos costofrénicos laterales (↑ profundidad y radiolucidez de uno de ellos). • Puede extenderse hasta el hipocondrio y adoptar morfología triangular o crescéntrica. AIRE LÍQUIDO TUBO William Herring, Radiología Básica: Aspectos fundamentals 4a Ed Oxford Elsevier 2020
  • 131.
    iDESIGN by HiSlide.io 2.3 NeumotóraxTAC UTILIZAR VENTANA PULMONAR Identificación inmediata con densidad aire (completamente negro) William Herring, Radiología Básica: Aspectos fundamentals 4a Ed Oxford Elsevier 2020
  • 132.
    iDESIGN by HiSlide.io Derrame pericárdico Rxde Tórax •PA/AP: Derrame moderado (>250ml) - Signo de la “ cantimplora”- Silueta cardiaca globular, mediastino superior normal •Lateral: Signo de la “galleta Oreo” - Densidad de agua >2mm entre grasa retroesternal y subepicárdica NL Etiología: • Infarto miocárdico e ICC izquierda • Uremia: 50% insuficiencia renal crónica. • Infección: Viral,TB • Trauma • Autoinmune: Artritis reumatoide, lupus, esclerosis sistémica, etc Cavidad puede contener hasta 1L sin generar tamponade. Tamponade: RsCs ↓ + ↓ TA + Distensión venas del cuello ↑ Presión intrapericárdica y compresión cardiaca ↓ Volumen intracardiaco → ↑Presión diastólica de llenado → ↓ GC William Herring, Radiología Básica: Aspectos fundamentals 4a Ed Oxford Elsevier 2020
  • 133.
    iDESIGN by HiSlide.io Derrame pericárdico grasalíquido grasa * NL Rx de Tórax •PA/AP: Derrame moderado (>250ml) - Signo de la “ cantimplora”- Silueta cardiaca globular, mediastino superior NL •Lateral: Signo de la “ galleta Oreo”- Densidad de agua >2mm entre grasa retroesternal y subepicárdica * William Herring, Radiología Básica: Aspectos fundamentals 4a Ed Oxford Elsevier 2020
  • 134.
    Paquipleuritis y calcificacionespleurales Engrosamiento de la pleura y un aumento de su densidad William Herring, Radiología Básica: Aspectos fundamentals 4a Ed Oxford Elsevier 2020
  • 135.
    Enfisema subcutáneo Introducción deaire en el tejido celular subcutáneo o entre los planos musculares. William Herring, Radiología Básica: Aspectos fundamentals 4a Ed Oxford Elsevier 2020
  • 136.
  • 137.
    iDESIGN by HiSlide.io Fluoroscopía • Unafuente continua de rayos x permite la VISUALIZACIÓN EN TIEMPO REAL. • Se lleva a cabo mediante un equipo convencional o un arco en C. • Para el estudio dinámico de estructuras se utilizan medios de contraste enterales o IV: bario o hidrosolubres iodados. Christopher Clarke-Anthony Dux - Wiley-blackwell Chest X-rays For Medical Students USA 2011
  • 138.
    • Información sobremovilidad diafragmática y pared torácica • Incursiones respiratorias de campos pulmonares en presencia de atelectasia o de obstrucción • Deglución, morfología, peristaltismo o trayecto del esófago • Cambios dinámicos de patología pulmonar y cardiaca • Amplitud y regularidad de pulsación de cámaras cardiacas • Guía en biopsias percutáneas o drenajes Christopher Clarke-Anthony Dux - Wiley-blackwell Chest X-rays For Medical Students USA 2011
  • 139.
    iDESIGN by HiSlide.io FLUOROSCOPÍA Usualmente utilizadapara imagen GI o GU. Las radiopacidades de tejidos blandos son prácticamente similares (“bloque de grises”). Por esta razón se utilizan sustancias químicas - medios de contraste - permiten identificar con mayor facilidad y precisión determinados órganos y estructuras. Medios de contraste más utilizados: Bario y contrastes iodados hidrosolubles - RADIOPACOS contraste iodado Bario Rosado L. - Amirsys Diagnostic Imaging: Chest. 2012
  • 140.
    iDESIGN by HiSlide.io FLUOROSCOPÍA -Terminología DEFECTO DE LLENADO POSITIVO Divertículos Enfermedad diverticular del colon Acalasia esofágica Carcinoma de colon Carcinoma esofágico DEFECTO DE LLENADO NEGATIVO Tumoraciones (benignas o malignas). EJ . Pólipos. DILATACIÓN Acalasia, megaureter, gastroparesia diabética, etc. ESTENOSIS Intrínsecas (ej. estenosis químicas, malignidad de la pared) o Compresiones Extrínsecas (tumor de un órgano adyacente) William Herring. Learning radiology: recognizing the basics. 4a Ed. Elsevier 2020