DR. LUIS GOMEZ TONE
NEUROCIRUJANO
HEMORRAGIA
INTRACEREBRAL
ESPONTANEA
DEFINICION
 SANGRADO EN PARENQUIMA ENCEFALICO, PUEDE
EXTENDERSE A VENTRICULOS O ESA
 EMERGENCIA NEUROLÓGICA
 10-15% DE TODOS LOS ACV, 16 CASOS/100,000
HAB/AÑO. ÉN MAYORES DE 55 AÑOS, MÁS EN
VARONES. LA HTA NO BIEN CONTROLADA O MAL
CONTROLADA ES LA CAUSA EN 60% DE CASOS.
 > MM QUE LA HSA O ISQUEMIA
 MORTALIDAD: 35-52% A LOS 30 DIAS
 SOLO 20% VIDA INDEPENDIENTE A LOS 6 MESES
CAUSAS
 PRIMARIA: 85%: HTA Y ANGIOPATIA AMILOIDE
 FACTORES DE RIESGO: EDAD (> 55 AÑOS), SEXO
MASCULINO, HTA, ALCOHOL
 TABACO FACTOR DE RIESGO MENOR
CAUSAS
 SECUNDARIA:
 MALFORMACIONES VASCULARES CEREBRALES
 ANTICOAGULANTES
 SIMPATICOMIMETICOS
 TUMORES
 ANEURISMAS
 TRANSFORMACION HEMORRAGICA INFARTO
 ENFERMEDADES HEMATOLOGICAS
 VASCULITIS
 INFECCIONES
CAUSAS SEGÚN EDAD
 NIÑOS: PENSAR EN LEUCEMIA
 JOVENES: MAV, ANEURISMAS, DROGAS (COCAINA,
ANFETAMINAS,ALCOHOL)
 MAYORES: HTA, TUMORES, COAGULOPATIAS
(WARFARINA, ASPÍRINA, HEPARINA, FIBRINOLITICOS),
VASCULOPATIAS
LOCALIZACION
 NUCLEOS BASALES (PUTAMEN): 50%
 LOBAR: 20%
 CEREBELO: 12.5%
 TALAMO: 12.5%
 TRONCO: 5%
HIPERTENSION ARTERIAL
 ES EL MAYOR FACTOR DE RIESGO
 DA SANGRADOS PROFUNDOS (NB, TALAMO)
 ARTERIAS PERFORANTES
 LIPOHIALINOSIS: DESTRUCCION PAREDES,
MACROFAGOS CON GRASA
 MICROATEROMAS
 MICROANEURISMAS DE CHARCOT Y BOUCHARD
arterias
lenticuloestriadas
ANGIOPATIA AMILOIDE
 PROTEINA B AMILOIDE
 ARTERIAS PEQUEÑAS PERFORANTES CORTICALES,
CAPA MEDIA Y ADVENTICIA, LOS VASOS SE DEBILITAN
 HEMORRAGIAS LOBARES, VARIAS
 15% DE LAS HEMORRAGIAS EN MAYORES DE 60 AÑOS
 AP: LUZ POLARIZADA: BIRREFRINGENCIAS CON
CONGO ROJO
ANTICOAGULANTES
 WARFARINA PARA IAM: 1% POR AÑO
 EN PACIENTES CON TIA, ACV CON ESTENOSIS >50%:
WARFARINA 8.3%, ASPIRINA 3.2%
 HEPARINA PARA INFARTO CEREBRAL: RARO
 ACTIVADOR DE PLASMINOGENO PARA IAM: 0.4-1.3%
SIMPATICOMIMETICOS
 ANFETAMINAS, SEUDOEFEDRINA,
FENILPROPANOLOMINA, COCAINA, CRACK, FENCICLIDINA,
HEROÍNA
 ARTERITIS, ELEVACIONES TRANSITORIAS DE PA
ALCOHOL
 50-100G/DIA
 HIPERTENSOR
 ALTERACIONES DE LA COAGULACION POR HEPATOPATIA
SUBYACENTE
FISIOPATOLOGIA
 DISRUPCION DE TEJIDOS, EFECTO DE MASA
 HIPERTENSION ENDOCRANEANA
 38% CRECE EN LAS PRIMERAS 24HORAS ( DETERIORO
NEUROLOGICO)
 EDEMA PERILESIONAL: INICIA A POCAS HORAS,
MAXIMA A LOS 5 DIAS ( DETERIORO NEUROLOGICO)
 MAS PELIGROSOS EN FOSA POSTERIOR
CUADRO CLINICO
 DISMINUCION DEL NIVEL DE CONCIENCIA
 CEFALEA
 VOMITOS
 FOCALIZACION SEGÚN LOCALIZACION
 CONVULSIONES 10% ( SUPRATENTORIALES)
 INSULAR O TRONCO: DESCARGA SIMPATICA:
ARRITMIAS
DIAGNOSTICO
 TAC: ELECCION, SENSIBILIDAD Y ESPECIFICIDAD
CERCANA AL 100%. EL VOLUMEN SE DETERMINA:
LARGO xANCHOxALTURA/2.
 ANGIOTEM PUEDE DETECTAR LA CAUSA, EL “SPOT
SIGN” QUE ES LA EXTRAVASACIÓN DEL CONTRASTE , O
MEJOR EL “LEAKAGE SIGN” DONDE EN UN AREA DE 1
CM AUMENTAN MÁS DEL 10% LOS VALORES DE LAS
UNIDADES DE HOUNSFIELD.PREDICEN CRECIMIENTO
DE LA HEMORRAGIA.
EXAMENES DE DIAGNOSTICO
TOMOGRAFIA CEREBRAL
SIN CONTRASTE
ANGIOGRAFIA
DE
PREFERENCIA
TRATAMIENTO MEDICO
 PRESION ARTERIAL: EL AUMENTO DE LA HEMORRAGIA OCURRE MAS
CON PA ELEVADA. BAJAR MUCHO PA BAJA PERFUSION. META: PAS
140 MMHG.
 EL EDEMA PERIHEMATOMA SE DESARROLLA EN LOS PRIMEROS
DIAS, PUEDE CAUSAR HPE. SI CAUSA EFECTO DE MASA TERAPIA
HIPEROSMOLAR: SUERO HIPERTONICO O MANITOL
 INFUSION TEMPRANA Y CONTINUA DE SOLUCIÓN SALINA AL 3% CON
SODIO EN 145-155 MMOL/L SE ASOCIA A MENOR EDEMA E HPE.
 GLICEMIA: ALTA ES DE MAL PRONOSTICO, 100-150 MG/DLSOLO
ANTICONVULSIVANTES SI SE PRESENTAN CONVULSIONES, LO QUE
OCURRE EN 16% DE CASOS, MÁS EN HEMORRAGIAS LOBARES.
 MANTENER NORMOTERMIA. FIEBRE FACTOR DE MAL PRONÓSTICO.
 CORREGIR COAGULOPATIAS.
TRATAMIENTO QUIRURGICO
 GLASGOW: 6-12
 VOLUMEN: LOBAR: >30CC. CEREBELO: >14CC
 ACCESIBILIDAD:<1CM DE LA CORTEZA
 TIEMPO: MUY TEMPRANA PUEDE SER NOCIVA ( 4-24
HORAS)
 HEMORRAGIA CEREBELOSA CON DETERIORO
NEUROLOGICO, COMPRESION DE TRONCO,
HIDROCEFALIA
 HEMOVENTRICULO OCURRE EN 45% DE CASOS, ES DE
MAL PRONÓSTICO. DVE SI ES SIGNIFICATIVO, EG 8 ó
MENOS, HIDROCEFALIA, HERNIACIÓN TRANSTENTORIAL.
CIRUGIA:
ESTADO CLINICO DEL PACIENTE
ACCESIBILIDAD DEL HEMATOMA
CONFLICTO DE ESPACIO: HERNIA
CEREBRAL
HEMOVENTRICULO
HIPERTENSIVO: HEMORRAGIA
CEREBRAL CON INUNDACION
VENTRICULAR E HIDROCEFALIA
DERIVACION
EXTERNA
CRANEOTOMIA
MALFORMACIONES VASCULARES
CEREBRALES
CON COMUNICACIÓN AV SIN COMUNICACIÓN AV
MALFORMACION
ARTERIOVENOSA
MALF. CAPILAR
(TELANGIECTASIA
MALFORMACIONES VASCULARES
CEREBRALES
CON COMUNICACIÓN AV SIN COMUNICACIÓN AV
FISTULA
ARTERIOVENOSA
ANGIOMA VENOSO
MALFORMACIONES VASCULARES
CEREBRALES
CON COMUNICACIÓN AV SIN COMUNICACIÓN AV
ANEURISMA DE LA
VENA DE GALENO
ANGIOMA
CAVERNOSO
MALFORMACIONES
ARTERIOVENOSAS
LESIONES VSCULARES CONGENITAS
DE LOS VASOS SANGUINEOS
CEREBRALES 1ro BAJO FLUJO LUEGO
ALTO FLUJO/PRESION
RED DE VASOS SANGUINEOS
HEMORRAGIAS/TROMBOSIS
/CALCIFICACIONES
FENOMENO
DE ROBO
VENAS DILATADAS
ARTERIALIZADAS
ZONA
ANEURISMATICA
7%
VASO
AFERENTE
DILATADO
ANEURIMA EN
VASOS
PROXIMALES
VASOS ARTERIALES QUE
FORMAN UN
ENMARAÑADO DE
VASOS QUE SIN LECHO
CAPILAR PASAN A
VENAS DILATADAS
TERRITORIO
DE ACM
VASOS AFERENTES NIDO VENAS DRENAJE
INCID
0.14%
1MAV
/5AN
EDAD
20-40
ANGIOGRAFIA
RMN
METODOS DE TRATAMIENTO
1. EXSICION QUIRURGICA: ACCESIBILIDAD/AREAS
ELOCUENTES
2. CIRUGIA ESTEREOTAXICA: <3CM/DEMORA 2 AÑOS
3. EMBOLIZACION(isobutil cianoacrilato) previo a cirugia
DR. LUIS ENRIQUE GOMEZ TONE
NEUROCIRUJANO
HEMORRAGIA SUBARACNOIDEA
ESPONTANEA
DR. LUIS ENRIQUE GOMEZ TONE
NEUROCIRUJANO
8- DE ACVS
MAS EN MUJER 1.5/1
40-60AÑOS (55)
10 casos/100,000
habitantes por año
CAUSAS:
80 % ANEURISMAS
5% MALFORMACIONES ARTERIOVENOSAS
15% NO DEFINIDA
ANTICOAGULANTES/TUMORES/
VASCULITIS/ HTA/ ECLAMPSIA/
COAGULOPATIAS
Mortalidad aproximada del
50%, 20% vida independiente
ESPACIO
SUBARACNOIDEO
VCENTRICULOS
LIQUIDO CEFALORRAQUIDEO
CISTERNAS SUBARACNOIDEAS: ENSANCHAMIENTO DEL ESA
ARTERIAS Y VENAS
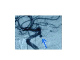
ANEURISMAS CEREBRALES
5% población
Mas frec. Mujeres(3:2)>40 (<40
Hombres)
40-60 años se rompen
Aneurismas saculares
Bifurcación de vasos
Tamaños variables(>2.5cm gigantes)
No se asocia esfuerzo a su rotura
LOCALIZADO
EN LA BASE
DEL CRANEO
DENTRO DE
CISTERNAS
BASALES
LA MAYORIA DE
ANEURISMAS SE
ORIGINAN EN O
CERCANOS A EL
POLIGONO DE WILLYS
LOCALIZACIONES DE LOS
ANEURISMAS
PATOGENESIS
ESTRÉS HEMODINAMICO
• BIFURCACION, DISTAL A
ARTERIA QUE NACE DE LA
PRINCIPAL
• EN DIRECCION AL FLUJO DE LA
PRINCIPAL
• ASOCIADOS A PERFORANTES
ESPECIFICAS
CEFALEA DE INICIO
BRUSCO, INTENSA
GRADOS VARIABLES DE
DISMINUCION DEL
SENSORIO
PUEDE O NO HABER
FOCALIZACION
DIFERENTES GRADOS
DE HIPERTENSION
ENDO CRANEANA
TARDIAMENTE
SIGNOS
MENINGEOS
CUADRO CLINICO
TOMOGRAFIA 95%
LCR POR PUNCION
LUMBAR 100%
DIAGNOSTICO
DETERMINACION DE LA GRAVEDAD
CLINICAMENTE: ESCALA DE HUNT Y HESS Y
ESCALA DE LA FEDERACION MUNDIAL DE
NEUROCIRUJANOS
TOMOGRAFICAMENTE: ESCALA DE FISHER
FUNCIONES VITALES:
EVITAR PRESIONES
MUY ALTAS O MUY
BAJAS,
MANITOL SEGÚN EL
GRADO DE
HIPERTENSION
ENDOCRANEANA
ANALGESICOS FUERTES ANTICONVULSIVANTES
NIMODIPINO 60 MG
C/4H POR SNG POR 21
DIAS
DEXAMETASONA SI HAY
MUCHO DOLOR O
RIGIDEZ NUCAL
SEDACION
SUAVE SI ES
NECESARIO
EVITAR
MUCHA LUZ,
RUIDO.
EVITAR
VALSALVA:
TOS, PUJAR
MANEJO
ANGIOGRAFIA
ANGIOTEM
ANGIORNM
DIAGNOSTICO DE ANEURISMA
COMPLICACIONES
NEUROLÓGICAS
RESANGRADO HIDROCEFALIA VASOESPASMO
COMPLICACIONES NEUROLÓGICAS
• El resangrado es la complicación más seria, se da más
en los 3 primeros días, ocluir el aneurisma es mejor a
las 12-24 horas.
• La hidrocefalia puede ser aguda o también después de
los 30 días, siendo en este último caso hidrocefalia
crónica del adulto.
• El vasoespasmo se suele dar entre el dia 4 al 15, se
correlaciona con la cantidad de sangrado, se puede
prevenir con nimodipino, después del clipaje se puede
dar la triple H.
• El edema cerebral es otra complicación neurológica
frecuente.
COMPLICACIONES
MEDICAS
ARRITMIAS CARDIACAS
EDEMA AGUDO DE
PULMON
TRANSTORNOS ELECTROLITICOS
MORTALIDAD: 50% AL MES
TRATAMIENTO QUIRURGICO
• LA HSA NO SE OPERA
• HEMORRAGIA INTRACEREBRAL SI SE OPERA
• CLIPAJE DE ANEURISMA: EVITA RESANGRADO,
PERMITE MANEJAR ALTOS VOLUMENES Y PA
HUNT Y HESS I , II Y III.
TRATAMIENTO ENDOVASCULAR
EMBOLIZACION DEL
ANEURISMA: COILS
TRATAMIENTO
DEFINITIVO

4. hie

  • 1.
    DR. LUIS GOMEZTONE NEUROCIRUJANO HEMORRAGIA INTRACEREBRAL ESPONTANEA
  • 2.
    DEFINICION  SANGRADO ENPARENQUIMA ENCEFALICO, PUEDE EXTENDERSE A VENTRICULOS O ESA  EMERGENCIA NEUROLÓGICA  10-15% DE TODOS LOS ACV, 16 CASOS/100,000 HAB/AÑO. ÉN MAYORES DE 55 AÑOS, MÁS EN VARONES. LA HTA NO BIEN CONTROLADA O MAL CONTROLADA ES LA CAUSA EN 60% DE CASOS.  > MM QUE LA HSA O ISQUEMIA  MORTALIDAD: 35-52% A LOS 30 DIAS  SOLO 20% VIDA INDEPENDIENTE A LOS 6 MESES
  • 7.
    CAUSAS  PRIMARIA: 85%:HTA Y ANGIOPATIA AMILOIDE  FACTORES DE RIESGO: EDAD (> 55 AÑOS), SEXO MASCULINO, HTA, ALCOHOL  TABACO FACTOR DE RIESGO MENOR
  • 8.
    CAUSAS  SECUNDARIA:  MALFORMACIONESVASCULARES CEREBRALES  ANTICOAGULANTES  SIMPATICOMIMETICOS  TUMORES  ANEURISMAS  TRANSFORMACION HEMORRAGICA INFARTO  ENFERMEDADES HEMATOLOGICAS  VASCULITIS  INFECCIONES
  • 9.
    CAUSAS SEGÚN EDAD NIÑOS: PENSAR EN LEUCEMIA  JOVENES: MAV, ANEURISMAS, DROGAS (COCAINA, ANFETAMINAS,ALCOHOL)  MAYORES: HTA, TUMORES, COAGULOPATIAS (WARFARINA, ASPÍRINA, HEPARINA, FIBRINOLITICOS), VASCULOPATIAS
  • 10.
    LOCALIZACION  NUCLEOS BASALES(PUTAMEN): 50%  LOBAR: 20%  CEREBELO: 12.5%  TALAMO: 12.5%  TRONCO: 5%
  • 11.
    HIPERTENSION ARTERIAL  ESEL MAYOR FACTOR DE RIESGO  DA SANGRADOS PROFUNDOS (NB, TALAMO)  ARTERIAS PERFORANTES  LIPOHIALINOSIS: DESTRUCCION PAREDES, MACROFAGOS CON GRASA  MICROATEROMAS  MICROANEURISMAS DE CHARCOT Y BOUCHARD
  • 12.
  • 13.
    ANGIOPATIA AMILOIDE  PROTEINAB AMILOIDE  ARTERIAS PEQUEÑAS PERFORANTES CORTICALES, CAPA MEDIA Y ADVENTICIA, LOS VASOS SE DEBILITAN  HEMORRAGIAS LOBARES, VARIAS  15% DE LAS HEMORRAGIAS EN MAYORES DE 60 AÑOS  AP: LUZ POLARIZADA: BIRREFRINGENCIAS CON CONGO ROJO
  • 14.
    ANTICOAGULANTES  WARFARINA PARAIAM: 1% POR AÑO  EN PACIENTES CON TIA, ACV CON ESTENOSIS >50%: WARFARINA 8.3%, ASPIRINA 3.2%  HEPARINA PARA INFARTO CEREBRAL: RARO  ACTIVADOR DE PLASMINOGENO PARA IAM: 0.4-1.3%
  • 15.
    SIMPATICOMIMETICOS  ANFETAMINAS, SEUDOEFEDRINA, FENILPROPANOLOMINA,COCAINA, CRACK, FENCICLIDINA, HEROÍNA  ARTERITIS, ELEVACIONES TRANSITORIAS DE PA ALCOHOL  50-100G/DIA  HIPERTENSOR  ALTERACIONES DE LA COAGULACION POR HEPATOPATIA SUBYACENTE
  • 16.
    FISIOPATOLOGIA  DISRUPCION DETEJIDOS, EFECTO DE MASA  HIPERTENSION ENDOCRANEANA  38% CRECE EN LAS PRIMERAS 24HORAS ( DETERIORO NEUROLOGICO)  EDEMA PERILESIONAL: INICIA A POCAS HORAS, MAXIMA A LOS 5 DIAS ( DETERIORO NEUROLOGICO)  MAS PELIGROSOS EN FOSA POSTERIOR
  • 17.
    CUADRO CLINICO  DISMINUCIONDEL NIVEL DE CONCIENCIA  CEFALEA  VOMITOS  FOCALIZACION SEGÚN LOCALIZACION  CONVULSIONES 10% ( SUPRATENTORIALES)  INSULAR O TRONCO: DESCARGA SIMPATICA: ARRITMIAS
  • 18.
    DIAGNOSTICO  TAC: ELECCION,SENSIBILIDAD Y ESPECIFICIDAD CERCANA AL 100%. EL VOLUMEN SE DETERMINA: LARGO xANCHOxALTURA/2.  ANGIOTEM PUEDE DETECTAR LA CAUSA, EL “SPOT SIGN” QUE ES LA EXTRAVASACIÓN DEL CONTRASTE , O MEJOR EL “LEAKAGE SIGN” DONDE EN UN AREA DE 1 CM AUMENTAN MÁS DEL 10% LOS VALORES DE LAS UNIDADES DE HOUNSFIELD.PREDICEN CRECIMIENTO DE LA HEMORRAGIA.
  • 19.
    EXAMENES DE DIAGNOSTICO TOMOGRAFIACEREBRAL SIN CONTRASTE ANGIOGRAFIA DE PREFERENCIA
  • 20.
    TRATAMIENTO MEDICO  PRESIONARTERIAL: EL AUMENTO DE LA HEMORRAGIA OCURRE MAS CON PA ELEVADA. BAJAR MUCHO PA BAJA PERFUSION. META: PAS 140 MMHG.  EL EDEMA PERIHEMATOMA SE DESARROLLA EN LOS PRIMEROS DIAS, PUEDE CAUSAR HPE. SI CAUSA EFECTO DE MASA TERAPIA HIPEROSMOLAR: SUERO HIPERTONICO O MANITOL  INFUSION TEMPRANA Y CONTINUA DE SOLUCIÓN SALINA AL 3% CON SODIO EN 145-155 MMOL/L SE ASOCIA A MENOR EDEMA E HPE.  GLICEMIA: ALTA ES DE MAL PRONOSTICO, 100-150 MG/DLSOLO ANTICONVULSIVANTES SI SE PRESENTAN CONVULSIONES, LO QUE OCURRE EN 16% DE CASOS, MÁS EN HEMORRAGIAS LOBARES.  MANTENER NORMOTERMIA. FIEBRE FACTOR DE MAL PRONÓSTICO.  CORREGIR COAGULOPATIAS.
  • 21.
    TRATAMIENTO QUIRURGICO  GLASGOW:6-12  VOLUMEN: LOBAR: >30CC. CEREBELO: >14CC  ACCESIBILIDAD:<1CM DE LA CORTEZA  TIEMPO: MUY TEMPRANA PUEDE SER NOCIVA ( 4-24 HORAS)  HEMORRAGIA CEREBELOSA CON DETERIORO NEUROLOGICO, COMPRESION DE TRONCO, HIDROCEFALIA  HEMOVENTRICULO OCURRE EN 45% DE CASOS, ES DE MAL PRONÓSTICO. DVE SI ES SIGNIFICATIVO, EG 8 ó MENOS, HIDROCEFALIA, HERNIACIÓN TRANSTENTORIAL.
  • 22.
    CIRUGIA: ESTADO CLINICO DELPACIENTE ACCESIBILIDAD DEL HEMATOMA CONFLICTO DE ESPACIO: HERNIA CEREBRAL HEMOVENTRICULO HIPERTENSIVO: HEMORRAGIA CEREBRAL CON INUNDACION VENTRICULAR E HIDROCEFALIA DERIVACION EXTERNA CRANEOTOMIA
  • 23.
    MALFORMACIONES VASCULARES CEREBRALES CON COMUNICACIÓNAV SIN COMUNICACIÓN AV MALFORMACION ARTERIOVENOSA MALF. CAPILAR (TELANGIECTASIA
  • 24.
    MALFORMACIONES VASCULARES CEREBRALES CON COMUNICACIÓNAV SIN COMUNICACIÓN AV FISTULA ARTERIOVENOSA ANGIOMA VENOSO
  • 25.
    MALFORMACIONES VASCULARES CEREBRALES CON COMUNICACIÓNAV SIN COMUNICACIÓN AV ANEURISMA DE LA VENA DE GALENO ANGIOMA CAVERNOSO
  • 26.
    MALFORMACIONES ARTERIOVENOSAS LESIONES VSCULARES CONGENITAS DELOS VASOS SANGUINEOS CEREBRALES 1ro BAJO FLUJO LUEGO ALTO FLUJO/PRESION RED DE VASOS SANGUINEOS HEMORRAGIAS/TROMBOSIS /CALCIFICACIONES FENOMENO DE ROBO VENAS DILATADAS ARTERIALIZADAS ZONA ANEURISMATICA 7% VASO AFERENTE DILATADO ANEURIMA EN VASOS PROXIMALES VASOS ARTERIALES QUE FORMAN UN ENMARAÑADO DE VASOS QUE SIN LECHO CAPILAR PASAN A VENAS DILATADAS TERRITORIO DE ACM VASOS AFERENTES NIDO VENAS DRENAJE INCID 0.14% 1MAV /5AN EDAD 20-40
  • 27.
  • 29.
    METODOS DE TRATAMIENTO 1.EXSICION QUIRURGICA: ACCESIBILIDAD/AREAS ELOCUENTES 2. CIRUGIA ESTEREOTAXICA: <3CM/DEMORA 2 AÑOS 3. EMBOLIZACION(isobutil cianoacrilato) previo a cirugia
  • 31.
    DR. LUIS ENRIQUEGOMEZ TONE NEUROCIRUJANO HEMORRAGIA SUBARACNOIDEA ESPONTANEA DR. LUIS ENRIQUE GOMEZ TONE NEUROCIRUJANO
  • 32.
    8- DE ACVS MASEN MUJER 1.5/1 40-60AÑOS (55) 10 casos/100,000 habitantes por año CAUSAS: 80 % ANEURISMAS 5% MALFORMACIONES ARTERIOVENOSAS 15% NO DEFINIDA ANTICOAGULANTES/TUMORES/ VASCULITIS/ HTA/ ECLAMPSIA/ COAGULOPATIAS Mortalidad aproximada del 50%, 20% vida independiente
  • 33.
  • 37.
    ANEURISMAS CEREBRALES 5% población Masfrec. Mujeres(3:2)>40 (<40 Hombres) 40-60 años se rompen Aneurismas saculares Bifurcación de vasos Tamaños variables(>2.5cm gigantes) No se asocia esfuerzo a su rotura
  • 40.
    LOCALIZADO EN LA BASE DELCRANEO DENTRO DE CISTERNAS BASALES LA MAYORIA DE ANEURISMAS SE ORIGINAN EN O CERCANOS A EL POLIGONO DE WILLYS
  • 41.
  • 42.
    PATOGENESIS ESTRÉS HEMODINAMICO • BIFURCACION,DISTAL A ARTERIA QUE NACE DE LA PRINCIPAL • EN DIRECCION AL FLUJO DE LA PRINCIPAL • ASOCIADOS A PERFORANTES ESPECIFICAS
  • 44.
    CEFALEA DE INICIO BRUSCO,INTENSA GRADOS VARIABLES DE DISMINUCION DEL SENSORIO PUEDE O NO HABER FOCALIZACION DIFERENTES GRADOS DE HIPERTENSION ENDO CRANEANA TARDIAMENTE SIGNOS MENINGEOS CUADRO CLINICO
  • 46.
    TOMOGRAFIA 95% LCR PORPUNCION LUMBAR 100% DIAGNOSTICO
  • 49.
    DETERMINACION DE LAGRAVEDAD CLINICAMENTE: ESCALA DE HUNT Y HESS Y ESCALA DE LA FEDERACION MUNDIAL DE NEUROCIRUJANOS TOMOGRAFICAMENTE: ESCALA DE FISHER
  • 53.
    FUNCIONES VITALES: EVITAR PRESIONES MUYALTAS O MUY BAJAS, MANITOL SEGÚN EL GRADO DE HIPERTENSION ENDOCRANEANA ANALGESICOS FUERTES ANTICONVULSIVANTES NIMODIPINO 60 MG C/4H POR SNG POR 21 DIAS DEXAMETASONA SI HAY MUCHO DOLOR O RIGIDEZ NUCAL SEDACION SUAVE SI ES NECESARIO EVITAR MUCHA LUZ, RUIDO. EVITAR VALSALVA: TOS, PUJAR MANEJO
  • 54.
  • 55.
  • 56.
    COMPLICACIONES NEUROLÓGICAS • Elresangrado es la complicación más seria, se da más en los 3 primeros días, ocluir el aneurisma es mejor a las 12-24 horas. • La hidrocefalia puede ser aguda o también después de los 30 días, siendo en este último caso hidrocefalia crónica del adulto. • El vasoespasmo se suele dar entre el dia 4 al 15, se correlaciona con la cantidad de sangrado, se puede prevenir con nimodipino, después del clipaje se puede dar la triple H. • El edema cerebral es otra complicación neurológica frecuente.
  • 58.
    COMPLICACIONES MEDICAS ARRITMIAS CARDIACAS EDEMA AGUDODE PULMON TRANSTORNOS ELECTROLITICOS MORTALIDAD: 50% AL MES
  • 60.
    TRATAMIENTO QUIRURGICO • LAHSA NO SE OPERA • HEMORRAGIA INTRACEREBRAL SI SE OPERA • CLIPAJE DE ANEURISMA: EVITA RESANGRADO, PERMITE MANEJAR ALTOS VOLUMENES Y PA HUNT Y HESS I , II Y III.
  • 62.
  • 63.