JUAN CARLOS ORTIZ MUÑOZ NEUROCIRUJANO HOSPITAL UNIVERSITARIO HERNANDO MONCALEANO P NEIVA
Cualquier lesión física o deterioro funcional del contenido craneal secundario a un intercambio brusco de energía mecánica
 
 
 
 
El objetivo de la atención urgente al paciente con TCE, independientemente de su gravedad, es: Evitar lesiones cerebrales secundarias. Identificar anomalías intracraneales que  precisen cirugía urgente.
El diagnóstico, tratamiento y pronóstico del TCE. Mayor énfasis sobre el concepto de lesión secundaria dirigido, principalmente, a su prevención y tratamiento. Manejo precoz del TCE llevaría a un descenso Mortalidad.  Secuelas.
EPIDEMIOLOGIA Principales causas de muerte entre la población pediátrica y adulta joven. EE.UU., en tan solo un año, ocurren 10 millones de casos, de los que el 20% llevan asociados lesiones cerebrales.  Con mayor incidencia : varones jóvenes. Los pacientes con traumatismos, que además han ingerido alcohol, presentan mayores lesiones, y la mortalidad aumenta (13.3%) en comparación con los que no lo han ingerido 2.3%
Los accidentes de tránsito son la causa más frecuente de traumatismo craneal cerrado.
TEC primera causa de muerte en el segmento de población que se encuentra por debajo de los 45 años.
La mortalidad se sitúa entre 20-30%, siendo mayor entre los menores de 10 años y los mayores de 65 años. Las caídas son la segunda causa más frecuente de traumatismo.  La mortalidad en pacientes con politraumatismos y trauma craneoencefálico es de 18.2%.  La mortalidad en pacientes con politraumatismos sin trauma craneoencefálico es de 6.1%.
Las lesiones por arma de fuego constituyen una causa mayor de lesión penetrante en Estados Unidos.
COLOMBIA 1998 la mortalidad asociada al traumatismo cerebral fue de 300 muertes P/c 100.000 Hab  Alta comparada con países como EEUU: 200 casos y aún muy superior frente a los países europeos. La intoxicación etílica: factor importante en todas las causas de lesión y grupos de edad.
Importante: Aplicar un programa de tratamiento del trauma cerebral con parámetros científicos y bajo normas internacionales, que permitan un mejoramiento en la atención de los pacientes. En Cali cada año 600 personas de cada 100.000 habitantes sufren una lesión traumática cerebral. 3 veces más TCE que cualquier otra ciudad del mundo industrializado.
Los costos sociales y económicos de la lesión craneal son enormes.  Los traumatismos graves representan una mortalidad elevada y los pacientes que sobreviven a TCE graves y moderados pueden presentar secuelas incapacitantes permanentes. Los efectos sobre la personalidad y el estado mental pueden ser devastadores para el sujeto y su familia.
 
Diversos autores clasifican las muertes traumáticas en tres fases: 1) Inmediata (50%): las que ocurren en los primeros momentos tras el accidente, y en general, se deben a TCE severo, lesión de grandes vasos o del corazón y lesión medular alta. 2) Temprana (35%): Acontecen en las primeras horas, debiéndose principalmente a hemorragia, lesiones múltiples y TCE severo. 3) Tardía (15%): pasada la primera semana. Generalmente por complicaciones: las infecciones y la falla multiorgánica  son las más frecuentes.
ATENCIÓN PREHOSPITALARIA Depende de la calidad y formación del equipo de asistencia. Las capacidades  Transporte y traslado del  del hospital receptor.  Herido.  Equipo médico hospitalario calificado. Una buena asistencia, diagnóstico y tto disminuyen la mortalidad del traumatizado en un 25%-35%.  HORA DE ORO
FISIOPATOLOGÍA La lesión del tejido nervioso tiene lugar mediante distintos mecanismos de lesión. 1. Lesión primaria 2. Lesión secundaria 3. Lesión terciaria
LESION PRIMARIA Inmediata y no es modificable  por el tratamiento. Producida por impacto directo
LESION PRIMARIA Es el responsable de las lesiones nerviosas y vasculares que aparecen inmediatamente después y hasta las 6-24 horas del impacto. Obedece a dos tipos distintos de mecanismos: Estático y Dinámico.
LESION PRIMARIA  Estático Existe un agente externo que se aproxima al cráneo con una energía cinética determinada hasta colisionar con él.  Es responsable de fracturas de cráneo y hematomas extradurales y subdurales.  Ocasionan las lesiones focales
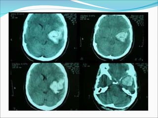
LESIONES FOCALES Epidurales. Subdurales. Intraparenquimatosas. La TAC establece un diagnóstico claro, localizando la lesión de forma precisa
HEMATOMA EPIDURAL AGUDO Ruptura arteria  meníngea media. Se suele asociar con fracturas de cráneo, sobre las áreas  que cruzan los surcos de la AMM  75% de los hematomas epidurales ocurren en la región escamosa del hueso temporal .
HEMATOMA EPIDURAL
CLINICA Pérdida de conocimiento seguida por un período lúcido. Si hematoma crece aumenta la presión y puede originarse herniación del lóbulo temporal y compresión del tallo cerebral. El tratamiento es quirúrgico inmediato, con muy buen pronóstico si se interviene de forma precoz.  El pronóstico variará dependiendo de la situación del paciente antes de ser operado y de la precocidad de la evacuación quirúrgica. A mayor gravedad y mayor retraso en la cirugía, menos posibilidades de supervivencia.
HEMATOMA EPIDURAL
HEMATOMA EPIDURAL
HEMATOMA SUBDURAL AGUDO Entre el 37 and 80%  HSA  ingresa con  Glasgow < 8. Mortalidad 57 and 68% con Qx. Ruptura de venas comunicantes entre la corteza cerebral y la duramadre. Laceraciones cerebrales o lesiones de arterias corticales.  Se localiza con más frecuencia en regiones de contragolpe.  TAC como lesiones hiperdensas  con forma de semiluna y bordes menos nítidos que el anterior .
 
CONTUSION HEMORRAGICA Es la más frecuente en un TCE. Areas subyacentes a zonas óseas prominentes. Rara vez se lesionan las regiones occipitales y el cerebelo.
 
CONTUSIONES HEMORRAGICAS
HEMATOMA INTRAPARENQUIMATOSO  Área hiperdensa, intracerebral Límites bien definidos Volumen superior a los 25 cm3.
 
LESION PRIMARIA Dinámica Lesión por aceleración-desaceleración.  ACCIDENTES DE TRANSITO. Las fuerzas físicas rotacionales distorsionan el cerebro moviéndose en dirección contraria al cráneo. Es responsable de la LESION  AXONAL DIFUSA.
LESION AXONAL DIFUSA Movimientos de rotación y aceleración/desaceleración que dan lugar a lesiones por cizallamiento rompiendo los axones y vainas de mielina . Sustancia blanca. Cuerpo calloso. Tallo cerebral.  O en la zona de unión de la sustancia gris con la sustancia blanca lobular.  Otras localizaciones:  Capsula interna. Tálamo.
RM cortes axiales (a) T1 y (b) T2 demostrando foco edematoso talámico derecho (flechas ). La RM es el método diagnóstico más importante para la identificación del tipo de lesiones y ubicación de ellas
LESION CEREBRAL SECUNDARIA Se manifiesta  clínicamente en una fase posterior. La lesión cerebral secundaria puede y debe ser prevenida y tratada precozmente, ya que la morbimortalidad evitable en el TCE severo depende fundamentalmente de ella. Entre las primeras, las de mayor repercusión serían la hipotensión, la hipoxemia, las alteraciones hidroelectrolíticas, coagulopatías.
HIPOTENSIÓN La hipotensión es un importante determinante del pronóstico.  PRESION ART SISTOLICA < 90 mm Hg  Aumenta claramente la mortalidad por breve que sea el período durante el que se instaura. El mecanismo es la producción de lesiones cerebrales isquémicas por descenso de la presión de perfusión cerebral (PPC).
HIPOXIA Es la segunda complicación más frecuente. El 50% de los pacientes con respiración espontánea presentan hipoxia. La hipoxia debe ser corregida lo antes posible ya que se relaciona con un incremento de la mortalidad, sobre todo cuando se asocia a hipotensión  arterial.
TRAUMA CRANEO ENCEFALICO Alteración en la barrera hematoencefálica,  altera la autoregulación cerebral  y por lo tanto el flujo sanguíneo cerebral. Aumento de la presión intracraneana y disminución de la presión de perfusión cerebral, con disminución del flujo sanguíneo cerebral y aumento de la resistencia vascular cerebral.
MANEJO?
El objetivo básico es prevenir el desarrollo de lesiones secundarias. Establecer las condiciones óptimas para la recuperación del tejido lesionado, desde el mismo lugar del accidente si es posible
ETAPA PREHOSPITALARIA Evacuación rápida por personal experimentado.  Aplicar el ABCDE de la reanimación cardiopulmonar. Evaluación neurológica. Inmovilización de columna cervical.  Vía aérea.  Ventilación.  Tratamiento de shock. EVITAR  HIPOXIA. HIPOTENSION.
RECORDAR Las reglas de oro de la resucitación del paciente con TCE son:  Oxigenación y ventilación. Normalización del volumen circulante. Normalización de la presión sanguínea.
ESCALA DE GLASGOW Una manera rápida de clasificar a los pacientes con TEC es según la Escala de Coma de Glasgow (GCS). OCULAR 4 .  Espontánea 3.  Orden Verbal 2.  Estímulo Doloroso 1 .  Ninguna VERBAL 5.  Orientado 4.  Confuso 3.  Palabras Inapropiadas 2.  Palabras Incomprensibles 1. Sin respuesta MOTORA 6. Obedece órdenes 5. Localiza el dolor 4. Retirada al dolor 3.  Flexión al dolor 2. Extensión al dolor 1. Sin respuesta
CLASIFICACION TCE leves :  GCS 15-14 TCE moderados :  GCS 13-9 TCE graves :  GCS < 9 Dificultades a la hora de evaluar al paciente con este método serían el edema de párpados, afasia, intubación, sedación, etc.
TCE LEVES (GCS 14-15) Pérdida de conciencia, amnesia. Cefalea holocraneal, vómitos. Agitación o alteración del estado mental. Deben permanecer bajo observación las 24 horas siguientes al TEC. Si existen antecedentes de toma de anticoagulantes, GCS 14, > 60 años o crisis convulsiva tras el traumatismo, presentan mayor riesgo de lesión intracraneal.
TEC leves sólo serían remitidos a centros  de mayor complejidad: TAC  cerebral patológico. Fracturas de cráneo Heridas abiertas La gravedad de las lesiones extracraneales dificulten seriamente el seguimiento neurológico del paciente
TCE MODERADOS (GCS 13-9) Requieren realizar TAC y observación hospitalaria a pesar de TAC normal. Entre los pacientes con &quot;trauma &quot;moderado“ 40% presentan alteraciones en la TAC  9% requieren cirugía
TCE GRAVES (GCS < 9) TCE moderados y graves deberían ser trasladados en un primer momento a centros hospitalarios en los que se disponga de servicio de neurocirugía. Tras reanimación, TAC y neurocirugía si la precisara, requieren ingreso en las unidades de cuidados intensivos .
MANEJO EN URGENCIAS 1:  VIA AEREA  Intubar pacientes clasificados con 8 o menos en la Escala de Glasgow,  sin flexionar columna cervical. 2:  ESTABILIZACION HEMODINAMICA Deben utilizarse soluciones isotónicas, como cristaloide se empleará SSN y como coloide puede emplearse seroalbúmina al 5%.  No se aconsejan soluciones glucosadas excepto si hay hipoglucemia.
El suero glucosado puede favorecer el edema cerebral  al arrastrar agua al interior de la célula.  Debe mantenerse una hemoglobina mínima de 11gr/dl. Recordar : No se debe pasar sonda NSG en pacientes con TEC severo que estén en coma o con hemorragia nasofaríngea, por el riesgo de penetrar a cráneo a través de fracturas en la base
3. NUEVA VALORACION  NEUROLOGICA Escala de Glasgow.  Recordar : En pacientes con politrauma severo:  86% pueden tener FX de las extremidades. 69% traumatismos craneoencefálicos . 62% traumatismos torácicos. 36% lesiones intra-abdominales. 28% lesiones pélvicas y 14% lesiones espinales.
MEDIDAS GENERALES SS. hemograma, pruebas de coagulación, electrolitos en suero, gases art y pruebas cruzadas. Se practicará Rx de tórax y pelvis en AP con un aparato portátil a la cabecera del paciente. Sólo cuando se consiga estabilidad hemodinámica y respiratoria, una correcta inmovilización del cuello y con canalización de vía venosa adecuada (una central o dos periféricas), se trasladará al servicio de Rx para continuar los estudios.
Cabeza en posición neutra y ligeramente elevada 30 grados. Esta medida esta contraindicada en el shock o si se sospecha inestabilidad de la columna cervical. Evitar la hipoxia:  Establecer adecuado soporte ventilatorio y monitorización continua de la Sat O 2.   Mantenimiento de la PPC:  Si precisa drogas inotrópicas como noradrenalina, dopamina
Analgesia y sedación. El dolor, agitación, incrementa la PIC por lo que la sedación-analgesia es fundamental en el manejo de estos pacientes. Anticonvulsivos profilácticos Se recomienda el uso de anticonvulsivos  de forma profiláctica. Fenitoina (  Dosis de carga 18  mg /Kg EV, luego 5mg /Kg c/08 h)
EXAMEN FISICO CRANEO  Inspección manual de las heridas y determinación de posibles fracturas, evidencia de cuerpos extraños  Salida de líquido cefalorraquídeo.  Existencia de hematomas subgaleales y de dolor. Determinar signos de TEC.
El examen neurológico inicial Signos  vitales Estado de conciencia y escala de Glasgow. Estado pupilar: tamaño, forma, simetría y reactividad a la luz  Signos de focalización, déficit motor, compromiso de pares craneales, lenguaje.
Patrón de respiración. Reflejos de tallo: Oculocefálicos, corneal, nauseoso.  Descartar trauma raquimedular cervical (inmovilizar con collar de Filadelfia si se sospecha).
RADIOGRAFIAS DE CRANEO No es recomendable tomar radiografías de cráneo Las RX simples de cráneo sólo son de ayuda terapéutica en el 3% TEC Debe recordarse que la RX simple de cráneo da una falsa seguridad que puede resultar fatal para el paciente.
ESCANOGRAFIA CEREBRAL  Se deben incluir cortes de las tres primeras vértebras cervicales, para visualizar fracturas cervicales que de otra forma no serían diagnosticadas. A todos los pacientes que hayan tenido pérdida de conciencia. TEC leve: 18% presentan anormalidades en el TAC y 5% presentan lesiones que requieren cirugía.  Entre los pacientes con Glasgow de 13 40% presentan anormalidades en la TAC. 10% requieren cirugía.
RESONANCIA MAGNETICA Generalmente no se utiliza para evaluación de pacientes con traumatismos craneoencefálicos en el estado agudo. Puede ser utilizada en pacientes estables para determinar lesiones estructurales mas pequeñas .
 
GRACIAS

TRAUMA CRANEO ENCEFALICO

  • 1.
  • 2.
    JUAN CARLOS ORTIZMUÑOZ NEUROCIRUJANO HOSPITAL UNIVERSITARIO HERNANDO MONCALEANO P NEIVA
  • 3.
    Cualquier lesión físicao deterioro funcional del contenido craneal secundario a un intercambio brusco de energía mecánica
  • 4.
  • 5.
  • 6.
  • 7.
  • 8.
    El objetivo dela atención urgente al paciente con TCE, independientemente de su gravedad, es: Evitar lesiones cerebrales secundarias. Identificar anomalías intracraneales que precisen cirugía urgente.
  • 9.
    El diagnóstico, tratamientoy pronóstico del TCE. Mayor énfasis sobre el concepto de lesión secundaria dirigido, principalmente, a su prevención y tratamiento. Manejo precoz del TCE llevaría a un descenso Mortalidad. Secuelas.
  • 10.
    EPIDEMIOLOGIA Principales causasde muerte entre la población pediátrica y adulta joven. EE.UU., en tan solo un año, ocurren 10 millones de casos, de los que el 20% llevan asociados lesiones cerebrales. Con mayor incidencia : varones jóvenes. Los pacientes con traumatismos, que además han ingerido alcohol, presentan mayores lesiones, y la mortalidad aumenta (13.3%) en comparación con los que no lo han ingerido 2.3%
  • 11.
    Los accidentes detránsito son la causa más frecuente de traumatismo craneal cerrado.
  • 12.
    TEC primera causade muerte en el segmento de población que se encuentra por debajo de los 45 años.
  • 13.
    La mortalidad sesitúa entre 20-30%, siendo mayor entre los menores de 10 años y los mayores de 65 años. Las caídas son la segunda causa más frecuente de traumatismo. La mortalidad en pacientes con politraumatismos y trauma craneoencefálico es de 18.2%. La mortalidad en pacientes con politraumatismos sin trauma craneoencefálico es de 6.1%.
  • 14.
    Las lesiones porarma de fuego constituyen una causa mayor de lesión penetrante en Estados Unidos.
  • 15.
    COLOMBIA 1998 lamortalidad asociada al traumatismo cerebral fue de 300 muertes P/c 100.000 Hab Alta comparada con países como EEUU: 200 casos y aún muy superior frente a los países europeos. La intoxicación etílica: factor importante en todas las causas de lesión y grupos de edad.
  • 16.
    Importante: Aplicar unprograma de tratamiento del trauma cerebral con parámetros científicos y bajo normas internacionales, que permitan un mejoramiento en la atención de los pacientes. En Cali cada año 600 personas de cada 100.000 habitantes sufren una lesión traumática cerebral. 3 veces más TCE que cualquier otra ciudad del mundo industrializado.
  • 17.
    Los costos socialesy económicos de la lesión craneal son enormes. Los traumatismos graves representan una mortalidad elevada y los pacientes que sobreviven a TCE graves y moderados pueden presentar secuelas incapacitantes permanentes. Los efectos sobre la personalidad y el estado mental pueden ser devastadores para el sujeto y su familia.
  • 18.
  • 19.
    Diversos autores clasificanlas muertes traumáticas en tres fases: 1) Inmediata (50%): las que ocurren en los primeros momentos tras el accidente, y en general, se deben a TCE severo, lesión de grandes vasos o del corazón y lesión medular alta. 2) Temprana (35%): Acontecen en las primeras horas, debiéndose principalmente a hemorragia, lesiones múltiples y TCE severo. 3) Tardía (15%): pasada la primera semana. Generalmente por complicaciones: las infecciones y la falla multiorgánica son las más frecuentes.
  • 20.
    ATENCIÓN PREHOSPITALARIA Dependede la calidad y formación del equipo de asistencia. Las capacidades Transporte y traslado del del hospital receptor. Herido. Equipo médico hospitalario calificado. Una buena asistencia, diagnóstico y tto disminuyen la mortalidad del traumatizado en un 25%-35%. HORA DE ORO
  • 21.
    FISIOPATOLOGÍA La lesióndel tejido nervioso tiene lugar mediante distintos mecanismos de lesión. 1. Lesión primaria 2. Lesión secundaria 3. Lesión terciaria
  • 22.
    LESION PRIMARIA Inmediatay no es modificable  por el tratamiento. Producida por impacto directo
  • 23.
    LESION PRIMARIA Esel responsable de las lesiones nerviosas y vasculares que aparecen inmediatamente después y hasta las 6-24 horas del impacto. Obedece a dos tipos distintos de mecanismos: Estático y Dinámico.
  • 24.
    LESION PRIMARIA Estático Existe un agente externo que se aproxima al cráneo con una energía cinética determinada hasta colisionar con él. Es responsable de fracturas de cráneo y hematomas extradurales y subdurales. Ocasionan las lesiones focales
  • 25.
    LESIONES FOCALES Epidurales.Subdurales. Intraparenquimatosas. La TAC establece un diagnóstico claro, localizando la lesión de forma precisa
  • 26.
    HEMATOMA EPIDURAL AGUDORuptura arteria meníngea media. Se suele asociar con fracturas de cráneo, sobre las áreas que cruzan los surcos de la AMM 75% de los hematomas epidurales ocurren en la región escamosa del hueso temporal .
  • 27.
  • 28.
    CLINICA Pérdida deconocimiento seguida por un período lúcido. Si hematoma crece aumenta la presión y puede originarse herniación del lóbulo temporal y compresión del tallo cerebral. El tratamiento es quirúrgico inmediato, con muy buen pronóstico si se interviene de forma precoz. El pronóstico variará dependiendo de la situación del paciente antes de ser operado y de la precocidad de la evacuación quirúrgica. A mayor gravedad y mayor retraso en la cirugía, menos posibilidades de supervivencia.
  • 29.
  • 30.
  • 31.
    HEMATOMA SUBDURAL AGUDOEntre el 37 and 80% HSA ingresa con Glasgow < 8. Mortalidad 57 and 68% con Qx. Ruptura de venas comunicantes entre la corteza cerebral y la duramadre. Laceraciones cerebrales o lesiones de arterias corticales. Se localiza con más frecuencia en regiones de contragolpe. TAC como lesiones hiperdensas con forma de semiluna y bordes menos nítidos que el anterior .
  • 32.
  • 33.
    CONTUSION HEMORRAGICA Esla más frecuente en un TCE. Areas subyacentes a zonas óseas prominentes. Rara vez se lesionan las regiones occipitales y el cerebelo.
  • 34.
  • 35.
  • 36.
    HEMATOMA INTRAPARENQUIMATOSO Área hiperdensa, intracerebral Límites bien definidos Volumen superior a los 25 cm3.
  • 37.
  • 38.
    LESION PRIMARIA DinámicaLesión por aceleración-desaceleración. ACCIDENTES DE TRANSITO. Las fuerzas físicas rotacionales distorsionan el cerebro moviéndose en dirección contraria al cráneo. Es responsable de la LESION AXONAL DIFUSA.
  • 39.
    LESION AXONAL DIFUSAMovimientos de rotación y aceleración/desaceleración que dan lugar a lesiones por cizallamiento rompiendo los axones y vainas de mielina . Sustancia blanca. Cuerpo calloso. Tallo cerebral. O en la zona de unión de la sustancia gris con la sustancia blanca lobular. Otras localizaciones: Capsula interna. Tálamo.
  • 40.
    RM cortes axiales(a) T1 y (b) T2 demostrando foco edematoso talámico derecho (flechas ). La RM es el método diagnóstico más importante para la identificación del tipo de lesiones y ubicación de ellas
  • 41.
    LESION CEREBRAL SECUNDARIASe manifiesta  clínicamente en una fase posterior. La lesión cerebral secundaria puede y debe ser prevenida y tratada precozmente, ya que la morbimortalidad evitable en el TCE severo depende fundamentalmente de ella. Entre las primeras, las de mayor repercusión serían la hipotensión, la hipoxemia, las alteraciones hidroelectrolíticas, coagulopatías.
  • 42.
    HIPOTENSIÓN La hipotensiónes un importante determinante del pronóstico. PRESION ART SISTOLICA < 90 mm Hg Aumenta claramente la mortalidad por breve que sea el período durante el que se instaura. El mecanismo es la producción de lesiones cerebrales isquémicas por descenso de la presión de perfusión cerebral (PPC).
  • 43.
    HIPOXIA Es lasegunda complicación más frecuente. El 50% de los pacientes con respiración espontánea presentan hipoxia. La hipoxia debe ser corregida lo antes posible ya que se relaciona con un incremento de la mortalidad, sobre todo cuando se asocia a hipotensión arterial.
  • 44.
    TRAUMA CRANEO ENCEFALICOAlteración en la barrera hematoencefálica, altera la autoregulación cerebral y por lo tanto el flujo sanguíneo cerebral. Aumento de la presión intracraneana y disminución de la presión de perfusión cerebral, con disminución del flujo sanguíneo cerebral y aumento de la resistencia vascular cerebral.
  • 45.
  • 46.
    El objetivo básicoes prevenir el desarrollo de lesiones secundarias. Establecer las condiciones óptimas para la recuperación del tejido lesionado, desde el mismo lugar del accidente si es posible
  • 47.
    ETAPA PREHOSPITALARIA Evacuaciónrápida por personal experimentado. Aplicar el ABCDE de la reanimación cardiopulmonar. Evaluación neurológica. Inmovilización de columna cervical. Vía aérea. Ventilación. Tratamiento de shock. EVITAR HIPOXIA. HIPOTENSION.
  • 48.
    RECORDAR Las reglasde oro de la resucitación del paciente con TCE son: Oxigenación y ventilación. Normalización del volumen circulante. Normalización de la presión sanguínea.
  • 49.
    ESCALA DE GLASGOWUna manera rápida de clasificar a los pacientes con TEC es según la Escala de Coma de Glasgow (GCS). OCULAR 4 . Espontánea 3. Orden Verbal 2. Estímulo Doloroso 1 . Ninguna VERBAL 5. Orientado 4. Confuso 3. Palabras Inapropiadas 2. Palabras Incomprensibles 1. Sin respuesta MOTORA 6. Obedece órdenes 5. Localiza el dolor 4. Retirada al dolor 3. Flexión al dolor 2. Extensión al dolor 1. Sin respuesta
  • 50.
    CLASIFICACION TCE leves: GCS 15-14 TCE moderados : GCS 13-9 TCE graves : GCS < 9 Dificultades a la hora de evaluar al paciente con este método serían el edema de párpados, afasia, intubación, sedación, etc.
  • 51.
    TCE LEVES (GCS14-15) Pérdida de conciencia, amnesia. Cefalea holocraneal, vómitos. Agitación o alteración del estado mental. Deben permanecer bajo observación las 24 horas siguientes al TEC. Si existen antecedentes de toma de anticoagulantes, GCS 14, > 60 años o crisis convulsiva tras el traumatismo, presentan mayor riesgo de lesión intracraneal.
  • 52.
    TEC leves sóloserían remitidos a centros de mayor complejidad: TAC cerebral patológico. Fracturas de cráneo Heridas abiertas La gravedad de las lesiones extracraneales dificulten seriamente el seguimiento neurológico del paciente
  • 53.
    TCE MODERADOS (GCS13-9) Requieren realizar TAC y observación hospitalaria a pesar de TAC normal. Entre los pacientes con &quot;trauma &quot;moderado“ 40% presentan alteraciones en la TAC 9% requieren cirugía
  • 54.
    TCE GRAVES (GCS< 9) TCE moderados y graves deberían ser trasladados en un primer momento a centros hospitalarios en los que se disponga de servicio de neurocirugía. Tras reanimación, TAC y neurocirugía si la precisara, requieren ingreso en las unidades de cuidados intensivos .
  • 55.
    MANEJO EN URGENCIAS1: VIA AEREA Intubar pacientes clasificados con 8 o menos en la Escala de Glasgow, sin flexionar columna cervical. 2: ESTABILIZACION HEMODINAMICA Deben utilizarse soluciones isotónicas, como cristaloide se empleará SSN y como coloide puede emplearse seroalbúmina al 5%. No se aconsejan soluciones glucosadas excepto si hay hipoglucemia.
  • 56.
    El suero glucosadopuede favorecer el edema cerebral  al arrastrar agua al interior de la célula. Debe mantenerse una hemoglobina mínima de 11gr/dl. Recordar : No se debe pasar sonda NSG en pacientes con TEC severo que estén en coma o con hemorragia nasofaríngea, por el riesgo de penetrar a cráneo a través de fracturas en la base
  • 57.
    3. NUEVA VALORACION NEUROLOGICA Escala de Glasgow. Recordar : En pacientes con politrauma severo: 86% pueden tener FX de las extremidades. 69% traumatismos craneoencefálicos . 62% traumatismos torácicos. 36% lesiones intra-abdominales. 28% lesiones pélvicas y 14% lesiones espinales.
  • 58.
    MEDIDAS GENERALES SS.hemograma, pruebas de coagulación, electrolitos en suero, gases art y pruebas cruzadas. Se practicará Rx de tórax y pelvis en AP con un aparato portátil a la cabecera del paciente. Sólo cuando se consiga estabilidad hemodinámica y respiratoria, una correcta inmovilización del cuello y con canalización de vía venosa adecuada (una central o dos periféricas), se trasladará al servicio de Rx para continuar los estudios.
  • 59.
    Cabeza en posiciónneutra y ligeramente elevada 30 grados. Esta medida esta contraindicada en el shock o si se sospecha inestabilidad de la columna cervical. Evitar la hipoxia: Establecer adecuado soporte ventilatorio y monitorización continua de la Sat O 2.   Mantenimiento de la PPC: Si precisa drogas inotrópicas como noradrenalina, dopamina
  • 60.
    Analgesia y sedación.El dolor, agitación, incrementa la PIC por lo que la sedación-analgesia es fundamental en el manejo de estos pacientes. Anticonvulsivos profilácticos Se recomienda el uso de anticonvulsivos  de forma profiláctica. Fenitoina ( Dosis de carga 18 mg /Kg EV, luego 5mg /Kg c/08 h)
  • 61.
    EXAMEN FISICO CRANEO Inspección manual de las heridas y determinación de posibles fracturas, evidencia de cuerpos extraños Salida de líquido cefalorraquídeo. Existencia de hematomas subgaleales y de dolor. Determinar signos de TEC.
  • 62.
    El examen neurológicoinicial Signos vitales Estado de conciencia y escala de Glasgow. Estado pupilar: tamaño, forma, simetría y reactividad a la luz Signos de focalización, déficit motor, compromiso de pares craneales, lenguaje.
  • 63.
    Patrón de respiración.Reflejos de tallo: Oculocefálicos, corneal, nauseoso. Descartar trauma raquimedular cervical (inmovilizar con collar de Filadelfia si se sospecha).
  • 64.
    RADIOGRAFIAS DE CRANEONo es recomendable tomar radiografías de cráneo Las RX simples de cráneo sólo son de ayuda terapéutica en el 3% TEC Debe recordarse que la RX simple de cráneo da una falsa seguridad que puede resultar fatal para el paciente.
  • 65.
    ESCANOGRAFIA CEREBRAL Se deben incluir cortes de las tres primeras vértebras cervicales, para visualizar fracturas cervicales que de otra forma no serían diagnosticadas. A todos los pacientes que hayan tenido pérdida de conciencia. TEC leve: 18% presentan anormalidades en el TAC y 5% presentan lesiones que requieren cirugía. Entre los pacientes con Glasgow de 13 40% presentan anormalidades en la TAC. 10% requieren cirugía.
  • 66.
    RESONANCIA MAGNETICA Generalmenteno se utiliza para evaluación de pacientes con traumatismos craneoencefálicos en el estado agudo. Puede ser utilizada en pacientes estables para determinar lesiones estructurales mas pequeñas .
  • 67.
  • 68.