Trauma Cráneo encefálico
Dr. José Junior Rubio
Bravo
Definición
• Disfunción cerebral a consecuencia
de una fuerza mecánica.
• Puede: cambios estructurales
Clasificación según la escala de Glasgow
Gravedad Glasgow
Leve 14 – 15
Moderada 9 – 13
Severa <8
• El 80% son lesiones leves
• Las lesiones leves: Mortalidad <20% pero discapacidad
a largo plazo 50%
• En el TCE grave: mortalidad 40%
• La mayoría Fallecen 48hrs del trauma
Todo paciente con TCE se debe sospechar lesión de
COLUMNA CERVICAL hasta demostrar lo contrario
Anatomía
Duramadre
Cráneo
Espacio epidural
AracnoidesEspacio subaracnoideo
Vasos en espacio
subaracnoideo
Piamadre
Cerebro
Periostio
Espacio subdural
Galea (aponeurosis epicraneal)
• Consume 20% de O2 corporal
• Consumo del 25% glucosa
• Sensible a isquemia
• CPP: Presión de perfusión cerebral (Mide el
gradiente de presión que cruza el lecho vascular)
CPP (Presión de Perfusión
Cerebral)
• Método indirecto que refleja flujo cerebral
• Calculo
• Un incremento en la Presión intracraneal (PIC)
disminuye el flujo sanguíneo
La necesidad de oxigeno neuronal se satisface con:
• 50 – 150mmHg
PPC= TAM – PIC TAM= (TAD x 2) + TAS
3
Presión Intracraneana
Normal: <15 mmHg
Depende de 3 compartimientos:
• Parénquima Cerebral………….83%
• LCR……………………………………..11%
• Sangre………………………………….6%
Hipótesis de Monro Kellie
• Al expandirse un compartimiento ocurre una
disminución compensatoria del volumen en otro
• Con un incremento de la Presión Intracraneana
CSF= LCR
• CBF: flujo cerebral
• TBI: Lesión por trauma cerebral
• Línea Roja: perdida de la autorregulación
• P2: Indica la capacidad distención
A mayor altitud menor distención
Volumen
Volumen
Clasificación
• Tejidos Blandos
• Fracturas de Cráneo
• Trauma encefálico
Lesiones Tejidos Blandos
• Laceraciones
• Hemorragias masivas
• Heridas estrelladas
• Hematoma subgaleal
Manejo
• Prevención Contaminación
• Presión directa
• Reposición Volumen
• Sospecha de fractura
• Sutura (<6hrs lesión y controlada)
• Si se descarta lesión espinal: posición Semi fowler
(30° elevar)
Fracturas de cráneo
• Configuración (lineal, Hundida, conminuta)
• Abiertas o cerradas
• Base del cráneo
Lineal
• 80% de las Fracturas de cráneo
• Frecuente sin herida cuero cabelludo
Basales
• Trauma severo
• Extensión una fractura lineal
• Rx difíciles de observar
Signos clínicos T. base
• Signo de Battle (tardío)
• Ojos de Mapache (tardío)
• Signo de Gurdjian (gasa con sangre y halo)
• Hemotimpano y otorragia
• Rinolicuorrea
• Hipoacusia, Vértigo, Parálisis Facial
Hundidas
• Objetos Romos que golpean con energía
• Común observar heridas en piel
• > común Frontal y Parietal
• Hundimiento mayor que el grosor del
hueso “sospecha lesión Duramadre”)
• Común conminutas (fragmentos)
Expuestas
• Comunicación entre la herida y el
cerebro
• Alto índice de mortalidad
• Infecciones
Complicaciones
• Lesión de pares craneales
• Convulsiones/ Epilepsia
• Lesión Vascular
• Infección
• Lesión Cerebral subyacente
• Lesión Cerebral Secundaria
• “descartar lesión Cervical”
•Olfatorio.
•Optico.
•Motor ocular común
•Patético.
•Trigemino
•Motor ocular externo
•Facial
•Acústico
•Glosofaríngeo
•Vago
•Espinal
•Hipogloso
•Olfatorio (I).
- Anosmia.
- Alteración del gusto.
•Optico (II).
- Ceguera en uno o ambos ojos.
- Alteraciones visuales.
•Motor Ocular Común (III).
- Pupila ipsilateral dilatada y fija.
•Facial (VII).
- Parálisis facial inmediata o retardada.
•Auditivo (VIII).
- Sordera.
Manejo
• Fluido terapia
• Intubación (Glasgow <8, Paro C.V.)
• Inmovilización y evitar contaminación
• Reparación Quirúrgica
• Profilaxis: Cefalosporina 3ra generación
Fractura Cerrada deprimida
Indicaciones:
• >1 cm depresión
• Deformidad craniana inaceptable
• Compresión de vasculatura
• Método: elevación de fragmento deprimido (a
discusión por edema secundario)
Fractura abierta deprimida
Indicaciones para cierre Dural (duroplastia)
• Herida contaminada
• Fractura conminuta (remover fragmentos)
• Exposición de parénquima cerebral
• Hemorragia incontrolable
• > 1 cm depresión
• Cirugía en 24hrs (>48hrs= R. Infección)
Trauma Encefálico
Clasificación:
• Lesión Difusa leve (conmoción)
• Lesión difusa Moderada (contusión)
• Lesión Axonal Difusa
• Lesiones Focales (Hematomas, etc)
Complicación: Edema cerebral
• Lesión secundaria (cascada Inflamatoria)
• Edema Citotóxico (enzimas, ROS, etc.)
Conmoción
• Alteración temporal de conciencia (reversible)
• Menor a 5 minutos
• Somnolencia, inquietud, confusión, eufórica
• Amnesia Retrograda/anterograda
• Cambios TA,FC,FR
• Retorno a comportamiento normal
• Sin Evidencia Anatómica de daño
Manejo:
Vigilancia 24 a 48hrs
Contusión Hemorrágica
• Hemorragia petequial localizada sin interrupción de su
arquitectura
• Localización (Frontal, temporal, occipital)
• Sitio contrario del trauma (contragolpe)
• Datos radiológicos surgen días después
Lesiones
petequiales
• Inconscientes
• Confusión, desorientación, Amnesia
• Dificultad concentración.
• Cambios inusuales Edo. Animo
• Déficit sensorial o secuela
Imagen Mixta:
Hipo- hiperdensa
Manejo
Vigilancia y reevaluación (mayoría sanación espontanea)
Indicaciones para descompresión interna o craneotomía:
• Áreas de hiperdensidad >3cm
• Obliteración de los ventrículos
• Deterioro neurológico
• PIC >30 mmHg
Lesión Axonal Difusa
• Severa (rápido edema)
• Axotomía: Interrumpe Axones de Sust. Blanca- Tronco E
• Etiología: desaceleración Repentina (cizallamiento)
• Choques, Maltrato infantil
• A veces: déficit Neurológico Irreversible
cizallamiento
Gravedad Características
Leve Coma de 6 – 24 hrs, Mortalidad 16%
Moderada Coma >24 hrs, más frecuente
Mortalidad 24%,
Postura Anormal
Severa Lesión en tallo demostrados por TC
Lesión en ambos hemisferios
Posturas Anormales
PIC elevada
Decorticación: Lesión destructiva
de tracto cortico espinal
Descerebración: Lesión
Diencefalo, Mesencéfalo, Puente,
Hipoglucemia, etc.
• Hemorragia petequial en
parénquima
• Imágenes Hiperdensas
Manejo
• Escasas opciones terapéuticas
• Conservar función vital
• Evitar el Edema
Lesiones Focales
• Isquemia
• Hematoma
– Epidural
– Subdural
– Intraparenquimatosos (cerebral)
• Hemorragia Subaracnoidea
Isquemia
• Causas:
– Vasoespasmo secundario
– Aumento de la PIC
– Lesión/ Compresión Vascular
Hematoma Epidural
• Ruptura de Art. Meníngea media
• Parietooccipital: Desgarre Seno Venoso
• Mortalidad 15 – 20%
• El 50% con perdida transitoria de consciencia (periodo
lucido 6 -18 hrs)
• El 50% no recupera conciencia
• Golpes en el hueso temporal (bate beisbol o vara billar)
• Puede complicar en hernia en horas
Biconvexidad
Hiperdensa
Hematoma Subdural
• Tarda más en Formarse (Desgarro venoso)
• Agudas: 24hrs (50-80% mortalidad)
• Subaguda (25% mortalidad)
• Crónica >2 semanas (20% mortalidad)
Hematoma Crónico
(Isodenso)
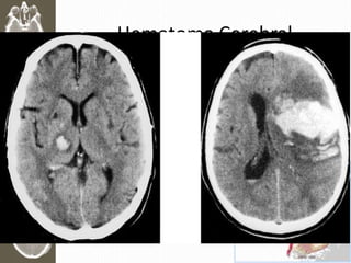
Hematoma Cerebral
• > 5ml intracerebral
• > frecuente Frontal y Temporal
• RAPIDO deterioro
• Mortalidad > 40%
Manejo Hematomas
• Indicación Craneotomía con evacuación del
hematoma
– > 3cm (Hematoma cerebral)
– Espesor >1cm o >20ml
– 2 o más
– Deterioro neurológico Progresivo
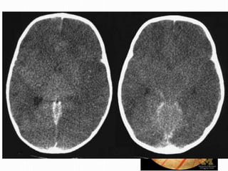
Hemorragia Subaracnoidea
• Ruptura vasos Subaracnoideos
• Fuga de Sangre hacia LCR
• > Sensibilidad por TC a 6 – 8hrs del
trauma
• Cefalea
• Fotofobia
• Anisocoria
• Signos Meníngeos
Brudzinski
Edema Cerebral y Aumento PIC
• Respuesta Metabólica al trauma
• Aumento PIC (>15 mmHg)
• Complicaciones:
– Disminuye irrigación
– Herniación
• Alt. Edo. Conciencia
• Cefalea
• Náusea/ Vomito
• Visión Borrosa
• Papiledema
• Bradicardia
Métodos Diagnósticos
• TAC: GCS con deterioro rápido
• Monitoreo de circulación (PIC y PPC)
• EEG
• Doppler Transcraneal
• Saturación de O2 del bulbo yugular
Monitoreo de la Presión Intracraneal
• Catéter Intraventricular/Intraparenquimatosos
• Indicaciones:
– GCS <8
– Hipotensión (TAS <90)
– Anormalidades en TC
• Aplicar en: Hemisferio no dominante
– Hemisferio izquierdo dominante 90% (diestros)
NO PUNCIONES LUMBARES: drenaje de fluido
espinal resulta en bajo gradiente y herniación
del cerebelo
• Catéter Intraventricular
– Colocación en Agujero de Monro
– (Practica clínica) Uso del Conducto Auditivo Externo
– Ventaja: puede ser Terapéutico
– El 5 -10% Complica con Infección
• Catéter Intraparenquimatosos
– Colocación de Microtransductor en parénquima
– Requiere Craneotomía
– < infecciones
– Desventaja: costoso y no Terapéutico
• PIC >20mmHg: iniciar tratamiento
PIC (mmHg) Clasificación
<15 Normal
>20 Anormal
>40 Severo
Tratamiento
• Inmovilización Cervical
• Rápido traslado y Resolución Temprana lesión
• Intubación (GCS <8, Paro Cardioresp.)
• Objetivo: PIC >20 y PPC>60mmHg
Medidas Generales
• Cabeza >30° (semi fowler) (↓ 1mmHg)
• Evitar compresión Venas yugulares
• Normotensión Arterial (contraindicado vasodilatadores)
– Beta Bloqueador o Diuretico (mejor)
• Profilaxis Anticonvulsiva (↓ Flujo y Metabol)
• Euglicemia
Osmoterapia
• Disminución de 40% formación de LCR
• Manitol: 0.5 – 1 gr/kg/dosis
– Bolo c/4-6hrs
– Evitar: Infusión (atraviesa BHE) y Corticoides (Edo
Hiperosmolar no cetosico)
• Furosemida
– Poco efecto
• Sol. Salina Hipertónica (3 - 7.5%)
– Bolos 250ml o 2-3 ml/kg
– Inicio acción 15 min y dura 1.5- 6hrs
• Drenaje Ventricular
– Drenar 3 a 5ml
– Altura < de 10cm de Conduct Auditiv Externo
NO ADMINISTRAR CORTICOIDES: Poco efecto en
Edema Citotóxico
Hiperventilación y Oxigenación
• Hiperventilación: vasoconstricción cerebral
– PaCO2: 35 – 25 mmHg 4 a 6 hrs
– Reducción Gradual de Hiperventilación en 12 a 24Hrs: 2mmHg
– Disminuye PIC 25 a 30%
– HIC resistente a Tx
• Evitar: (por riesgo de isquemia)
– Primeros 5 días del trauma
– Método Preventivo
– PaCO2 < 25mmHg
Barbitúricos
• Efectos: (en discusión)
– Vasoconstricción zonas normales y diminución demanda O2
– Coma Barbitúrico: Reducción Casi total Metabolismo
– 33% menor mortalidad
• Limitantes
– Reducen Tono simpático (no usar Hipotenso)
– Imposibilita el examen neurológico
• Continuar con Tx si PIC< 20: reducción gradual
• Descontinuar Tx si PIC > 24
Agonistas GABA
Fármaco Dosis de Carga Dosis de
mantenimiento
Pentobarbital 10mg/kg x 30 min Seguido 5mg/kg cada hora x
3
1mg/kg/hra
Tiopental 5mg/kg durante 10 min 5mg/kg/hra x 24hr
Propanol 5-10 µg/kg/min, Incrementar 5 a 10µg cada 10
min hasta disminuir PIC
Anticonvulsivo
• Fenitoína
• 15 – 20mg/kg (dosis Carga)
• 300mg/dia (Mantenimiento)
Craniectomía Des compresiva
• Medidas Anteriores Fallaron y PIC > 20
• Efectos:
– Disminución PIC, Mejora Perfusión
– Evita la Herniación Cerebral
• Diámetro 12cm: Vol. adicional 86ml
Complicaciones de Craniectomía
• Mediatas:
– Hematoma Cerebral o subdural
– Meningitis
– Fistula LCR
– ICTUS
• Tardías:
– Sx Poscraniectomía (Cefalea, Vértigo Fatiga, déficit
memoria, Intolerancia a la vibración, Convulsión)

Trauma cráneo encefálico

  • 1.
    Trauma Cráneo encefálico Dr.José Junior Rubio Bravo
  • 2.
    Definición • Disfunción cerebrala consecuencia de una fuerza mecánica. • Puede: cambios estructurales Clasificación según la escala de Glasgow Gravedad Glasgow Leve 14 – 15 Moderada 9 – 13 Severa <8
  • 3.
    • El 80%son lesiones leves • Las lesiones leves: Mortalidad <20% pero discapacidad a largo plazo 50% • En el TCE grave: mortalidad 40% • La mayoría Fallecen 48hrs del trauma Todo paciente con TCE se debe sospechar lesión de COLUMNA CERVICAL hasta demostrar lo contrario
  • 4.
    Anatomía Duramadre Cráneo Espacio epidural AracnoidesEspacio subaracnoideo Vasosen espacio subaracnoideo Piamadre Cerebro Periostio Espacio subdural Galea (aponeurosis epicraneal)
  • 5.
    • Consume 20%de O2 corporal • Consumo del 25% glucosa • Sensible a isquemia • CPP: Presión de perfusión cerebral (Mide el gradiente de presión que cruza el lecho vascular)
  • 6.
    CPP (Presión dePerfusión Cerebral) • Método indirecto que refleja flujo cerebral • Calculo • Un incremento en la Presión intracraneal (PIC) disminuye el flujo sanguíneo La necesidad de oxigeno neuronal se satisface con: • 50 – 150mmHg PPC= TAM – PIC TAM= (TAD x 2) + TAS 3
  • 7.
    Presión Intracraneana Normal: <15mmHg Depende de 3 compartimientos: • Parénquima Cerebral………….83% • LCR……………………………………..11% • Sangre………………………………….6%
  • 8.
    Hipótesis de MonroKellie • Al expandirse un compartimiento ocurre una disminución compensatoria del volumen en otro • Con un incremento de la Presión Intracraneana CSF= LCR
  • 9.
    • CBF: flujocerebral • TBI: Lesión por trauma cerebral • Línea Roja: perdida de la autorregulación
  • 10.
    • P2: Indicala capacidad distención A mayor altitud menor distención Volumen Volumen
  • 11.
    Clasificación • Tejidos Blandos •Fracturas de Cráneo • Trauma encefálico
  • 12.
    Lesiones Tejidos Blandos •Laceraciones • Hemorragias masivas • Heridas estrelladas • Hematoma subgaleal
  • 13.
    Manejo • Prevención Contaminación •Presión directa • Reposición Volumen • Sospecha de fractura • Sutura (<6hrs lesión y controlada) • Si se descarta lesión espinal: posición Semi fowler (30° elevar)
  • 14.
    Fracturas de cráneo •Configuración (lineal, Hundida, conminuta) • Abiertas o cerradas • Base del cráneo
  • 15.
    Lineal • 80% delas Fracturas de cráneo • Frecuente sin herida cuero cabelludo
  • 16.
    Basales • Trauma severo •Extensión una fractura lineal • Rx difíciles de observar
  • 17.
    Signos clínicos T.base • Signo de Battle (tardío) • Ojos de Mapache (tardío) • Signo de Gurdjian (gasa con sangre y halo) • Hemotimpano y otorragia • Rinolicuorrea • Hipoacusia, Vértigo, Parálisis Facial
  • 19.
    Hundidas • Objetos Romosque golpean con energía • Común observar heridas en piel • > común Frontal y Parietal • Hundimiento mayor que el grosor del hueso “sospecha lesión Duramadre”) • Común conminutas (fragmentos)
  • 20.
    Expuestas • Comunicación entrela herida y el cerebro • Alto índice de mortalidad • Infecciones
  • 21.
    Complicaciones • Lesión depares craneales • Convulsiones/ Epilepsia • Lesión Vascular • Infección • Lesión Cerebral subyacente • Lesión Cerebral Secundaria • “descartar lesión Cervical”
  • 22.
    •Olfatorio. •Optico. •Motor ocular común •Patético. •Trigemino •Motorocular externo •Facial •Acústico •Glosofaríngeo •Vago •Espinal •Hipogloso •Olfatorio (I). - Anosmia. - Alteración del gusto. •Optico (II). - Ceguera en uno o ambos ojos. - Alteraciones visuales. •Motor Ocular Común (III). - Pupila ipsilateral dilatada y fija. •Facial (VII). - Parálisis facial inmediata o retardada. •Auditivo (VIII). - Sordera.
  • 23.
    Manejo • Fluido terapia •Intubación (Glasgow <8, Paro C.V.) • Inmovilización y evitar contaminación • Reparación Quirúrgica • Profilaxis: Cefalosporina 3ra generación
  • 24.
    Fractura Cerrada deprimida Indicaciones: •>1 cm depresión • Deformidad craniana inaceptable • Compresión de vasculatura • Método: elevación de fragmento deprimido (a discusión por edema secundario)
  • 25.
    Fractura abierta deprimida Indicacionespara cierre Dural (duroplastia) • Herida contaminada • Fractura conminuta (remover fragmentos) • Exposición de parénquima cerebral • Hemorragia incontrolable • > 1 cm depresión • Cirugía en 24hrs (>48hrs= R. Infección)
  • 26.
    Trauma Encefálico Clasificación: • LesiónDifusa leve (conmoción) • Lesión difusa Moderada (contusión) • Lesión Axonal Difusa • Lesiones Focales (Hematomas, etc)
  • 27.
    Complicación: Edema cerebral •Lesión secundaria (cascada Inflamatoria) • Edema Citotóxico (enzimas, ROS, etc.)
  • 28.
    Conmoción • Alteración temporalde conciencia (reversible) • Menor a 5 minutos • Somnolencia, inquietud, confusión, eufórica • Amnesia Retrograda/anterograda • Cambios TA,FC,FR • Retorno a comportamiento normal • Sin Evidencia Anatómica de daño Manejo: Vigilancia 24 a 48hrs
  • 29.
    Contusión Hemorrágica • Hemorragiapetequial localizada sin interrupción de su arquitectura • Localización (Frontal, temporal, occipital) • Sitio contrario del trauma (contragolpe) • Datos radiológicos surgen días después Lesiones petequiales
  • 30.
    • Inconscientes • Confusión,desorientación, Amnesia • Dificultad concentración. • Cambios inusuales Edo. Animo • Déficit sensorial o secuela Imagen Mixta: Hipo- hiperdensa
  • 31.
    Manejo Vigilancia y reevaluación(mayoría sanación espontanea) Indicaciones para descompresión interna o craneotomía: • Áreas de hiperdensidad >3cm • Obliteración de los ventrículos • Deterioro neurológico • PIC >30 mmHg
  • 32.
    Lesión Axonal Difusa •Severa (rápido edema) • Axotomía: Interrumpe Axones de Sust. Blanca- Tronco E • Etiología: desaceleración Repentina (cizallamiento) • Choques, Maltrato infantil • A veces: déficit Neurológico Irreversible cizallamiento
  • 33.
    Gravedad Características Leve Comade 6 – 24 hrs, Mortalidad 16% Moderada Coma >24 hrs, más frecuente Mortalidad 24%, Postura Anormal Severa Lesión en tallo demostrados por TC Lesión en ambos hemisferios Posturas Anormales PIC elevada Decorticación: Lesión destructiva de tracto cortico espinal Descerebración: Lesión Diencefalo, Mesencéfalo, Puente, Hipoglucemia, etc.
  • 34.
    • Hemorragia petequialen parénquima • Imágenes Hiperdensas
  • 35.
    Manejo • Escasas opcionesterapéuticas • Conservar función vital • Evitar el Edema
  • 36.
    Lesiones Focales • Isquemia •Hematoma – Epidural – Subdural – Intraparenquimatosos (cerebral) • Hemorragia Subaracnoidea
  • 37.
    Isquemia • Causas: – Vasoespasmosecundario – Aumento de la PIC – Lesión/ Compresión Vascular
  • 38.
    Hematoma Epidural • Rupturade Art. Meníngea media • Parietooccipital: Desgarre Seno Venoso • Mortalidad 15 – 20%
  • 39.
    • El 50%con perdida transitoria de consciencia (periodo lucido 6 -18 hrs) • El 50% no recupera conciencia • Golpes en el hueso temporal (bate beisbol o vara billar) • Puede complicar en hernia en horas Biconvexidad Hiperdensa
  • 40.
    Hematoma Subdural • Tardamás en Formarse (Desgarro venoso) • Agudas: 24hrs (50-80% mortalidad) • Subaguda (25% mortalidad) • Crónica >2 semanas (20% mortalidad) Hematoma Crónico (Isodenso)
  • 41.
    Hematoma Cerebral • >5ml intracerebral • > frecuente Frontal y Temporal • RAPIDO deterioro • Mortalidad > 40%
  • 42.
    Manejo Hematomas • IndicaciónCraneotomía con evacuación del hematoma – > 3cm (Hematoma cerebral) – Espesor >1cm o >20ml – 2 o más – Deterioro neurológico Progresivo
  • 43.
    Hemorragia Subaracnoidea • Rupturavasos Subaracnoideos • Fuga de Sangre hacia LCR • > Sensibilidad por TC a 6 – 8hrs del trauma
  • 44.
    • Cefalea • Fotofobia •Anisocoria • Signos Meníngeos Brudzinski
  • 45.
    Edema Cerebral yAumento PIC • Respuesta Metabólica al trauma • Aumento PIC (>15 mmHg) • Complicaciones: – Disminuye irrigación – Herniación
  • 46.
    • Alt. Edo.Conciencia • Cefalea • Náusea/ Vomito • Visión Borrosa • Papiledema • Bradicardia
  • 47.
    Métodos Diagnósticos • TAC:GCS con deterioro rápido • Monitoreo de circulación (PIC y PPC) • EEG • Doppler Transcraneal • Saturación de O2 del bulbo yugular
  • 48.
    Monitoreo de laPresión Intracraneal • Catéter Intraventricular/Intraparenquimatosos • Indicaciones: – GCS <8 – Hipotensión (TAS <90) – Anormalidades en TC • Aplicar en: Hemisferio no dominante – Hemisferio izquierdo dominante 90% (diestros) NO PUNCIONES LUMBARES: drenaje de fluido espinal resulta en bajo gradiente y herniación del cerebelo
  • 49.
    • Catéter Intraventricular –Colocación en Agujero de Monro – (Practica clínica) Uso del Conducto Auditivo Externo – Ventaja: puede ser Terapéutico – El 5 -10% Complica con Infección • Catéter Intraparenquimatosos – Colocación de Microtransductor en parénquima – Requiere Craneotomía – < infecciones – Desventaja: costoso y no Terapéutico • PIC >20mmHg: iniciar tratamiento PIC (mmHg) Clasificación <15 Normal >20 Anormal >40 Severo
  • 50.
    Tratamiento • Inmovilización Cervical •Rápido traslado y Resolución Temprana lesión • Intubación (GCS <8, Paro Cardioresp.) • Objetivo: PIC >20 y PPC>60mmHg
  • 52.
    Medidas Generales • Cabeza>30° (semi fowler) (↓ 1mmHg) • Evitar compresión Venas yugulares • Normotensión Arterial (contraindicado vasodilatadores) – Beta Bloqueador o Diuretico (mejor) • Profilaxis Anticonvulsiva (↓ Flujo y Metabol) • Euglicemia
  • 53.
    Osmoterapia • Disminución de40% formación de LCR • Manitol: 0.5 – 1 gr/kg/dosis – Bolo c/4-6hrs – Evitar: Infusión (atraviesa BHE) y Corticoides (Edo Hiperosmolar no cetosico) • Furosemida – Poco efecto • Sol. Salina Hipertónica (3 - 7.5%) – Bolos 250ml o 2-3 ml/kg – Inicio acción 15 min y dura 1.5- 6hrs
  • 54.
    • Drenaje Ventricular –Drenar 3 a 5ml – Altura < de 10cm de Conduct Auditiv Externo NO ADMINISTRAR CORTICOIDES: Poco efecto en Edema Citotóxico
  • 55.
    Hiperventilación y Oxigenación •Hiperventilación: vasoconstricción cerebral – PaCO2: 35 – 25 mmHg 4 a 6 hrs – Reducción Gradual de Hiperventilación en 12 a 24Hrs: 2mmHg – Disminuye PIC 25 a 30% – HIC resistente a Tx • Evitar: (por riesgo de isquemia) – Primeros 5 días del trauma – Método Preventivo – PaCO2 < 25mmHg
  • 56.
    Barbitúricos • Efectos: (endiscusión) – Vasoconstricción zonas normales y diminución demanda O2 – Coma Barbitúrico: Reducción Casi total Metabolismo – 33% menor mortalidad • Limitantes – Reducen Tono simpático (no usar Hipotenso) – Imposibilita el examen neurológico • Continuar con Tx si PIC< 20: reducción gradual • Descontinuar Tx si PIC > 24 Agonistas GABA
  • 57.
    Fármaco Dosis deCarga Dosis de mantenimiento Pentobarbital 10mg/kg x 30 min Seguido 5mg/kg cada hora x 3 1mg/kg/hra Tiopental 5mg/kg durante 10 min 5mg/kg/hra x 24hr Propanol 5-10 µg/kg/min, Incrementar 5 a 10µg cada 10 min hasta disminuir PIC
  • 58.
    Anticonvulsivo • Fenitoína • 15– 20mg/kg (dosis Carga) • 300mg/dia (Mantenimiento)
  • 59.
    Craniectomía Des compresiva •Medidas Anteriores Fallaron y PIC > 20 • Efectos: – Disminución PIC, Mejora Perfusión – Evita la Herniación Cerebral • Diámetro 12cm: Vol. adicional 86ml
  • 60.
    Complicaciones de Craniectomía •Mediatas: – Hematoma Cerebral o subdural – Meningitis – Fistula LCR – ICTUS • Tardías: – Sx Poscraniectomía (Cefalea, Vértigo Fatiga, déficit memoria, Intolerancia a la vibración, Convulsión)