1
"Es importante cuidar
la infancia, porque los
niños son el futuro
de nuestro planeta y
muchas veces no nos
acordamos de ello.”
      Nana Mouskouri
      cantante griega
Después de
décadas en
declive ha
 aumentado
Es extremadamente común




      Se subestima demasiado su

        severidad
Estrep. Mutans
               Dieta            Hipoplasia

      Saliva                      Biberón

Lactobacilos                        Social
    Hábitos                         Sexo
    Ambiente                       Socioeconómico
  Educación                         Lactancia
     Familia                        Raza
  Ocupación                         Flúor
     Cultura                        Ingresos
Afecta profundamente la
calidad de vida
 y aumenta la
carga en el sistema
de cuidado de la salud
Alimentación
Sueño
Aprendizaje
No es simplemente
Caries Dental
Comparte
factores de riesgo
      con la
 obesidad infantil
La pobreza es un determinante
  clave de la Caries Dental
Es una
enfermedad
Manejo
       Factores
       de Riesgo




Mayoría puede
evitar sus
consecuencias
La
verdadera
prevención
se inicia
antes del
nacimiento
GUÍA
ANTICIPADA
La adquisición
temprana del EM
es un evento clave
en la historia natural
de la enfermedad
Wan AK, Seow, WK, Purdic, DM, Bird, PS,
Walsh, LJ, Tudehope, DI. Oral colonization of
Streptococcus mutans in 6-month-old
predentate infants. J Dent Res 2001;80:2060-5.
Peter Ustinov
   (1921-2004)




 "La infancia es una época maravillosa, en la
            que a los hermanos se les regala
     sarampión de regalo de cumpleaños.”
Peter Ustinov
   (1921-2004)




 "La infancia es una época maravillosa, en la
            que a los hermanos se les regala
  caries dental de regalo de cumpleaños.”
Un componente
clave en la
severidad e
inicio de la
enfermedad es
el retraso
de la   transmisión
    bacteria
de la

cariogénica
en niños libres de caries
cambio del paradigma
que rodea a la enfermedad
Con todas sus complicaciones
                 potenciales
Los verdaderos determinantes subyacentes son
las conductas y creencias de los cuidadores
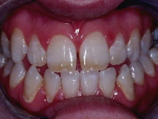
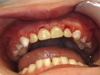
Es más frecuente
 en niños que se
quedan dormidos
  con el biberón
                    Esto tiene un papel
                   biológico al provocar
                   la desmineralización
                      de los dientes
Características
Correlaciones
Ocurrencia
Distribucción
Normas Nacionales de Salud Bucal sin atención
   específica para niños de 0 a 36 meses
¿De dónde viene
  y por qué?
“det
“rampante”   dental”   “severa”
Demasiado
especìfico
         Demasiado
           amplio
   Vago
A Systematic Review of
                     Clinical Diagnostic Criteria
                     of Early Childhood Caries
                     Ismail y Sohn




Conference on Early Childhood Caries,
    Bethesda, MD USA, October 1997
“Presencia de 1 o más lesión de caries
cavitada o no, falta debido a caries o superficie
      restaurada en un diente primario en
          niños menores de 6 años”
Cualquier lesión
de caries
En cualquier
diente
En cualquier
menor de 6 años
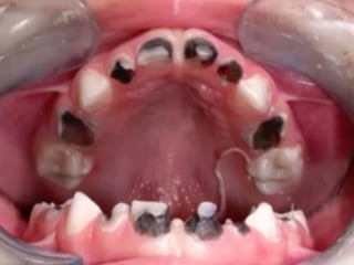
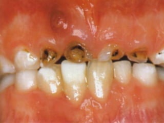
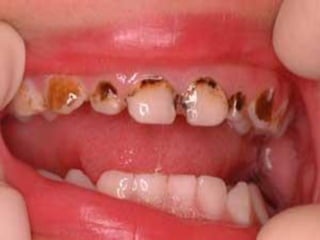
Caries de
            Niñez
¿y cuando Temprana
 es muy    Severa
extensa?
Para clasificarla
como  severa
hay que cumplir
ciertos criterios
Menor de 3 años con
         cualquier evidencia
         de caries en
         superficie lisa

         3, 4, 5 años con
         cualquier evidencia
         de caries en
         superficie lisa de
         incisivo central

Cantidad total de
superficies afectadas es
≥de 4 a los 3 años, 5 a los 4
y 6 a los 5
BENEFICIOSO
Ah!
caray
De esta forma se enfatiza la
    seriedad de la condición
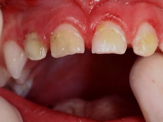
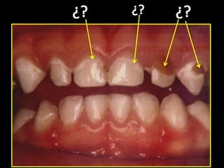
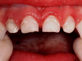
Las primeras lesiones no son cavitadas




   a medida que pasan los años
 aparecen más lesiones cavitadas
87
88
89
El corte
 no está


fresa
  en la
Aclarando Mitos
El primer paso es ver al
paciente más temprano, no más
                    tarde del
                    primer
               año de edad
Primera Visita no más
tarde de 1 año de edad
Enfoques
Prevención




       Ismail AI. Prevention of early childhood caries.
       Community Dent Oral Epidemiol 1998;26:49-61.
La responsabilidad
 paterna es crucial
para la salud bucal
      del niño
Se pueden enseñar
habilidades de crianza
  en programas de
educación perinatales
CARIES MANAGEMENT BY RISK ASSESSMENT
a.   Caries activa madre/cuidador
b.   Restauración reciente en paciente
c.   Bajo nivel socioeconómico
d.   Problemas de desarrollo paciente
e.   No hogar dental
a.   Meriendas frecuentes
b.   Factores reducción saliva
c.   Uso continuo biberón
d.   Lacta durmiendo
e.   Madre no experiencia caries
f.   Si hogar dental
a.Flúor sistémico
b.Cepillado con Flúor
c.Madre usa xilitol
Pruebas Laboratorio




a. Caries obvia
b. Restauración últimos2 años
c. Placa obvia
d. Aparatología ortodóntica
   presente
e. Boca seca
Johnsen DC. Characteristics and backgrounds
of children with nursing caries.
Pediatr Dent 1982;4:218-24.
Métodos
tradicionales
de prevención
aparentan ser
 inadecuados
Pang DTY, Vann WF Jr: The use of
fluoride-containing toothpastes in
young children: the scientific
evidence for recommendinga small
quantity. Pediatr Dent 14:384-
87,1992.
Untada
Xilitol
Universidade Federal do Ceará
Remoción efectiva
de la placa
antes de la
erupción molares
primarios
Pediatr Dent 2007;29:337-42
Estabilizan el calcio y
fosfato, conservándolos
en una forma amorfa
 o soluble conocida como

        ACP
Factores Protectores
                                • Flujo y componentes saliva
                                • Flúor - remineralización
                                • Antibacteriales, Clorhexidina,
                                Xilitol, nuevos

  Factores Patológicos
• Bacterias productoras ácido
• Consumo frecuente azúcares
• Bajo flujo/función saliva
Se requiere de una colaboración a nivel
 nacional para promover la salud bucal
Es necesario involucrar a otros
profesionales de la salud y a la comunidad
Es necesaria una colaboración
interdisciplinaria para combatir
         esta enfermedad
Los proveedores de
salud no odontólogos
pueden involucrarse
en el escrutinio de la
 SALUD BUCAL
Requiere ser
incorporada
dentro
del currículo
educacional en
todas   las áreas
de la salud
Oscar Wilde
Dr. Pedro A. Ricart Reyes
D.D.S. Esp. Odontopediatría
164

Caries Niñez Temprana