Odontopediatría
Rama de la odontología encargada de la
atención de los niños
Dentista General o Especialista?
Establecer un vínculo positivo entre la
población infantil, sus tutores y todo el
medioambiente en el cual se desenvuelve
el individuo en desarrollo
9
Dientes temporales
DECIR - MOSTRAR - HACER
Técnicas de manejo
conductual
Asistente Dental
DentistaPaciente
Importante!!
⦿ Entusiasmo al hablar
⦿ Ver todo como un juego (historias)
⦿ Evitar mostrar instrumental
⦿ Evitar uso de palabras amenazantes
⦿ Reforzamiento positivo
⦿ No retar ni comparar negativamente
⦿ Rapidez
Premios (Reforzamiento Positivo)
⦿ Prevención
› Profilaxis e higiene
› Sellantes
⦿ Operatoria
› Restauraciones simples
› Restauraciones complejas
⦿ Cirugía
› Exodoncias
⦿ Endodoncia (terapia pulpar)
› Pulpotomía
› Pulpectómía
⦿ Ortodoncia
⦿ Terapia de Restauración Atraumática (ART)
⦿ ***TDA
17
Prevención
Profilaxis e higiene
Sellantes
Profilaxis e higiene
Profilaxis e higiene
Profilaxis e higiene
Profilaxis e higiene
Sellantes
No es lo mismo esto…
… que esto
Operatoria
Restauraciones simples
Restauraciones complejas
Restauración simple
⦿ Composite
⦿ Amalgama
Dientes temporales
Clamps para temporales
Amalgama
Composite
Resina preventiva
Composite + Sellante
Restauraciones complejas
⦿ Amalgama a pin
⦿ Corona metálica
Amalgama a pin
Amalgama a pin
Amalgama a pin
Amalgama a pin
Amalgama a pin
Coronas metálicas
Coronas metálicas
Coronas metálicas
Coronas metálicas
Objetivo: mantener el diente en función hasta su exfoliación
Cirugía
Exodoncias
Exodoncias
Fórceps
Fórceps
⦿ Anestesia
⦿ Gasa
⦿ Paño perforado
⦿ Fórceps
⦿ Elementos de reforzamiento positivo
⦿ Premio
Endodoncia (Terapia Pulpar)
Recubrimiento Directo
Recubrimiento Indirecto
Pulpotomía
Pulpectomía
Pulpotomía
Eliminación total de la pulpa coronaria,
manteniendo la pulpa radicular, seguida
de la aplicación de un material cuyo
objetivo es fijar el tejido remanente
Su objetivo final es mantener el diente en
boca hasta su exfoliación
Pulpotomía
Técnica
⦿ Anestesia (tópica y local)
⦿ Aislamiento
⦿ Eliminación del tejido cariado
⦿ Apertura de la cámara
⦿ Eliminación de la pulpa cameral
⦿ Fijación de la pulpa radicular
⦿ Obturación
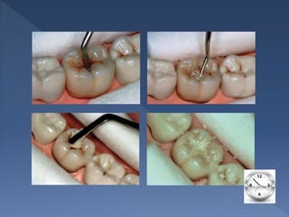
Pulpotomía
⦿ Eliminación del tejido cariado
Pulpotomía
⦿ Apertura de la cámara
Pulpotomía
⦿ Eliminación de la pulpa cameral
Pulpotomía
Pulpotomía
⦿ Fijación de la pulpa radicular
4%
Pulpotomía
⦿ Obturación
Pulpotomía
Pulpectomía
⦿ Eliminación total de la pulpa, tanto
coronaria como radicular para luego
rellenar los conductos con algún material
compatible (como el óxido de zinc -
eugenol)
Pulpectomía
Técnica
⦿ Anestesia (tópica y local)
⦿ Aislamiento
⦿ Eliminación del tejido cariado
⦿ Lavado de la cavidad
⦿ Instrumentación de los conductos
⦿ Secado de los conductos
⦿ Relleno de los conductos
⦿ Control radiográfico
⦿ Restauración final
Pulpectomía
⦿ Lavado de la cavidad
Pulpectomía
⦿ Instrumentación de los conductos
Pulpectomía
⦿ Secado de los conductos
Pulpectomía
⦿ Relleno de los conductos
Pulpectomía
⦿ Control radiográfico
Pulpectomía
⦿ Restauración final
Ortodoncia
ART
Técnica restaurativa
atraumática
Atraumatic Restorative Treatment
Técnica restaurativa que remueve el
mínimo de material infectado o
descalcificado del diente, trabajando sólo
con instrumentos de mano, para dejar el
tejido sano de modo que vuelva a
mineralizarse
Instrumental
⦿ Instrumental de examen
⦿ Loseta o block de mezcla y espátula
⦿ Excavadores con filo (cucharetas)
⦿ Tórulas de algodón y gasas
⦿ Papel de articular
⦿ Vaselina sólida o barniz
⦿ Bandas plásticas y cuñas
⦿ Clorhexidina (desinfección)
Técnica (simplificada)
⦿ Preparación del instrumental
⦿ Apertura cavitaria
⦿ Eliminación del tejido contaminado
⦿ Restauración de V.I
TDA
Traumatismo Dento Alveolar

Odontopediatría