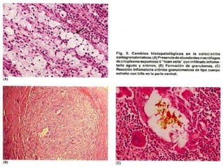
La colecistitis aguda es la inflamación
                             de la vesícula biliar. Habitualmente
                             ocurre en vesículas con cálculos en
                             su interior. En casos severos la
                             inflamación de la pared puede hacer
                             que ésta se gangrene y se perfore.
La colecistitis aguda hace que la bilis quede totalmente en la
vesícula. La acumulación de la bilis ocasiona irritación y presión
en ella, lo cual puede conducir a infección bacteriana y
perforación del órgano.
Los síntomas típicos de la colecistitis aguda son un dolor
continuo en el hipocondrio derecho irradiado en hemi-cinturón
a la espalda. Puede o no acompañarse de náuseas y vómitos-
fiebre).
Diagnóstico
Clínico:     Dolor a la palpación en hipocondrio derecho con signo de
Murphy positivo. Al palpar el hipocondrio derecho aumenta el dolor
cuando se le dice al paciente que realice una inspiración profunda;
esto hace que el hígado descienda durante la inspiración empujando
a la vesícula inflamada hacia
la pared abdominal donde
estamos haciendo la
palpación.
 · - Leucocitosis.
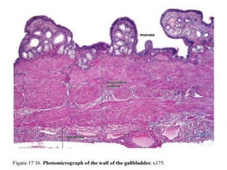
 · - Ecografía y TAC:
 Engrosamiento de la pared
 de la vesícula biliar,
 presencia de colelitiasis,
 colecciones purulentas
  alrededor de la vesícula.
Eco. 1.6. La pared vesicular engrosada puede tener varias causas, como la
inflamación en colecistitis aguda (casi siempre litiásica), la
hipoalbuminemia, la insuficiencia cardiaca congestiva, la hepatitis, o no
patológicas como la falta de un ayuno óptimo para la realización del
estudio. La pared normal mide como máximo 3 mm.
·-  Dieta absoluta.
· - Suero terapia.
· - Analgésicos.
· - Espasmolíticos.
· - Antibióticos.
Sin tratamiento, la colecistitis aguda puede desembocar en diferentes
complicaciones, alguna de ellas con elevada morbi mortalidad. Entre éstas
la más frecuente es la colecistitis gangrenosa. La perforación de la vesícula
biliar suele ser consecuente a la gangrena. Otros cuadros más raros son la
formación de una fístula colecisto enteral, y el eventual paso de algún
cálculo al duodeno, que puede concluir en un íleo biliar.
La colelitiasis son depósitos duros y similares a cristales de roca
que se forman dentro de la vesícula biliar. Estos cálculos pueden
ser tan pequeños como un grano de arena o tan grandes como una
pelota de golf, dependiendo del tiempo que haya transcurrido en
su formación.




Los cálculos se forman cuando la bilis acumulada en la vesícula
biliar se endurece y forma un material similar al de las piedras. Al
principio, la mayoría de los cálculos no presentan síntomas. Sin
embargo, cuando éstos aumentan de tamaño o cuando empiezan a
obstruir las vías biliares pueden aparecer síntomas o cólicos.
 Colesterol
 Sales biliares
 Bilirrubina (pigmento biliar)

Hay varios tipos de cálculos dentro de la vesícula biliar con
características epidemiológicas y factores de riesgo distintos:
- Cálculos de colesterol: Se forman por anomalías en el
metabolismo de las sales biliares y del colesterol. Suelen tener
un color amarillento.
-Cálculos de bilirrubináto cálcico: También llamados cálculos
pigmentarios. Se forman por anomalías en el metabolismo de la
bilirrubina (cuando la bilis contiene un exceso de bilirrubina).
-La bilirrubina es un pigmento
 biliar producido por la
destrucción de los glóbulos rojos
 cuando estos envejecen.
Los cálculos pigmentarios
aparecen en personas con
enfermedades como cirrosis hepática, infección de los conductos
biliares (por el efecto de las bacterias sobre la bilirrubina) o
enfermedades hemolíticas (por destrucción excesiva de glóbulos
rojos).
 Estos cálculos suelen ser de color negro u ocre.
La etiología de los cálculos puede deberse a:
· Causa hormonal :
- Diabetes
- Hipotiroidismo
- Obesidad
- Más frecuente en mujeres por posible efecto de los estrógenos.
· Alteraciones en la composición de la bilis :
- Por aumento de la concentración de colesterol en la bilis.
- Por disminución de fosfolípidos, sobre todo disminución de
lecitina.
· Infecciones , sobre todo producidas por Escherichia Coli.
· Reflujo de secreciones pancreáticas hacia la vesícula por
alteraciones en la bilis. Este dato se conoce por la presencia de
tripsina (enzima pancreática) en piezas de colecistectomía
(extirpación de la vesícula biliar).
Los síntomas generalmente ocurren si un cálculo grande bloquea
el conducto cístico o el conducto colédoco. El conducto cístico
drena líquido desde la vesícula hacia el conducto colédoco, el
conducto principal que desemboca en el duodeno. Juntos, estos
conductos forman parte del sistema biliar.

Un cálculo que bloquea la abertura de la vesícula o el conducto
cístico generalmente produce un dolor de tipo cólico desde la
mitad hasta la parte superior derecha del abdomen, lo cual se
conoce como cólico biliar. El dolor desaparece si el cálculo pasa
hacia la primera parte del intestino delgado (el duodeno). Si el
cálculo no pasa hacia el duodeno, se presenta una colecistitis
aguda.-
Si el conducto colédoco permanece bloqueado por un período
considerable de tiempo, se puede presentar colangitis o
pancreatitis
Factores de riesgo de colelitiasis

    Edad                              Resección de íleon terminal
     Sexo femenino                     Enfermedad de Crohn
     Genéticos                         Estasis de vesícula biliar
     Obesidad                          Diabetes mellitus
     Embarazo                          Nutrición parenteral total
   Pérdida de peso rápida             Lesión de médula espinal
    Dieta muy baja en calorías         Actividad física disminuida
    Intervención de obesidad mórbida
    Cirrosis
    Hipertrigliceridemia
    Anemias hemolíticas
    Fármacos
    Clofibrato
    Estrógenos
    Anticonceptivos orales
    Ceftriaxona
Cólico biliar
Definición:
El cólico biliar se produce como consecuencia de la presencia de un cálculo en el
conducto cístico, procedente de la vesícula.
- DOLOR ABDOMINAL: de intensidad creciente, continuo, de localización
epigástrica y en el hipocondrio derecho, irradiado en ocasiones al dorso derecho y
escápula.
· NAUSEAS y VOMITOS de forma habitual.
· FIEBRE: Si es moderada o alta sería sugestiva de colecistitis aguda .
· ICTERICIA: la ictericia a menudo es sutil, con una concentración de bilirrubina < a
4mg/dl ; con este síntoma hemos de descartar también un cólico biliar complicado.

· SIGNO DE MURPHY: es un hallazgo relativamente específico de las colecistitis agudas.
Durante la palpación en la región subcostal derecha se genera dolor y paro en
inspiración al realizar el paciente una inspiración profunda; se produce al acercarse la
vesícula inflamada a la mano del examinador.
· Dispepsia biliar ( flatulencia, intolerancia a grasas, pesadez postprandial,...) no es
específica de este proceso, y no se puede asegurar que desaparezcan sus síntomas con
la colecistectomía.
· Complicaciones asociadas: pancreatitis aguda, coledocolitiasis, colecistitis aguda,
colangitis, fístula colecisto-intestinal o colecisto-coledociana, íleo biliar, y rara vez
neoplasia de vesícula.
COLECISTECTOMIA
La Colecistectomía es una de las Intervenciones quirúrgicas más comunes de la
cirugía del tubo digestivo. Siendo la presencia de cálculos la enfermedad más
frecuente. La cirugía se puede realizar en forma Abierta clásica y por laparoscopía.
Todos los pacientes con cálculos sintomáticos deben ser intervenidos
quirúrgicamente. Los pacientes que no tengan molestias se deben intervenir
también en algunas situaciones por ejemplo: Pacientes que habitan en zonas
lejanas donde los cuidados médicos no son tan rápidos. Pacientes que tienen una
bomba de infusión para tratamiento de cáncer de colon metastásico a hígado.
 La Colecistectomía abierta se hace generalmente a través de una incisión
subcostal, derecha y una vez que se abre la cavidad abdominal se explora toda,
para identificar otras patologías. Si no hay alguna otra evidencia de otra
enfermedad, se procede a la colecistectomía.
. Para hacer el diagnóstico de enfermedad vesicular el estudio de elección es el
Ultrasonido, y además de cálculos se pueden encontrar otras alteraciones como
tabiques congénitos y barro biliar que también provocan la inflamación de la
vesícula. La colecistectomía es una operación que realizada oportunamente tiene
mínimos riesgos y complicaciones.
Colelitiasis y Colesistitis
Colelitiasis y Colesistitis
Colelitiasis y Colesistitis
Colelitiasis y Colesistitis

Colelitiasis y Colesistitis

  • 2.
    La colecistitis agudaes la inflamación de la vesícula biliar. Habitualmente ocurre en vesículas con cálculos en su interior. En casos severos la inflamación de la pared puede hacer que ésta se gangrene y se perfore. La colecistitis aguda hace que la bilis quede totalmente en la vesícula. La acumulación de la bilis ocasiona irritación y presión en ella, lo cual puede conducir a infección bacteriana y perforación del órgano.
  • 4.
    Los síntomas típicosde la colecistitis aguda son un dolor continuo en el hipocondrio derecho irradiado en hemi-cinturón a la espalda. Puede o no acompañarse de náuseas y vómitos- fiebre).
  • 5.
    Diagnóstico Clínico: Dolor a la palpación en hipocondrio derecho con signo de Murphy positivo. Al palpar el hipocondrio derecho aumenta el dolor cuando se le dice al paciente que realice una inspiración profunda; esto hace que el hígado descienda durante la inspiración empujando a la vesícula inflamada hacia la pared abdominal donde estamos haciendo la palpación. · - Leucocitosis. · - Ecografía y TAC: Engrosamiento de la pared de la vesícula biliar, presencia de colelitiasis, colecciones purulentas alrededor de la vesícula.
  • 7.
    Eco. 1.6. Lapared vesicular engrosada puede tener varias causas, como la inflamación en colecistitis aguda (casi siempre litiásica), la hipoalbuminemia, la insuficiencia cardiaca congestiva, la hepatitis, o no patológicas como la falta de un ayuno óptimo para la realización del estudio. La pared normal mide como máximo 3 mm.
  • 8.
    ·- Dietaabsoluta. · - Suero terapia. · - Analgésicos. · - Espasmolíticos. · - Antibióticos.
  • 9.
    Sin tratamiento, lacolecistitis aguda puede desembocar en diferentes complicaciones, alguna de ellas con elevada morbi mortalidad. Entre éstas la más frecuente es la colecistitis gangrenosa. La perforación de la vesícula biliar suele ser consecuente a la gangrena. Otros cuadros más raros son la formación de una fístula colecisto enteral, y el eventual paso de algún cálculo al duodeno, que puede concluir en un íleo biliar.
  • 11.
    La colelitiasis sondepósitos duros y similares a cristales de roca que se forman dentro de la vesícula biliar. Estos cálculos pueden ser tan pequeños como un grano de arena o tan grandes como una pelota de golf, dependiendo del tiempo que haya transcurrido en su formación. Los cálculos se forman cuando la bilis acumulada en la vesícula biliar se endurece y forma un material similar al de las piedras. Al principio, la mayoría de los cálculos no presentan síntomas. Sin embargo, cuando éstos aumentan de tamaño o cuando empiezan a obstruir las vías biliares pueden aparecer síntomas o cólicos.
  • 13.
     Colesterol  Salesbiliares  Bilirrubina (pigmento biliar) Hay varios tipos de cálculos dentro de la vesícula biliar con características epidemiológicas y factores de riesgo distintos: - Cálculos de colesterol: Se forman por anomalías en el metabolismo de las sales biliares y del colesterol. Suelen tener un color amarillento.
  • 14.
    -Cálculos de bilirrubinátocálcico: También llamados cálculos pigmentarios. Se forman por anomalías en el metabolismo de la bilirrubina (cuando la bilis contiene un exceso de bilirrubina). -La bilirrubina es un pigmento biliar producido por la destrucción de los glóbulos rojos cuando estos envejecen. Los cálculos pigmentarios aparecen en personas con enfermedades como cirrosis hepática, infección de los conductos biliares (por el efecto de las bacterias sobre la bilirrubina) o enfermedades hemolíticas (por destrucción excesiva de glóbulos rojos). Estos cálculos suelen ser de color negro u ocre.
  • 16.
    La etiología delos cálculos puede deberse a: · Causa hormonal : - Diabetes - Hipotiroidismo - Obesidad - Más frecuente en mujeres por posible efecto de los estrógenos. · Alteraciones en la composición de la bilis : - Por aumento de la concentración de colesterol en la bilis. - Por disminución de fosfolípidos, sobre todo disminución de lecitina. · Infecciones , sobre todo producidas por Escherichia Coli. · Reflujo de secreciones pancreáticas hacia la vesícula por alteraciones en la bilis. Este dato se conoce por la presencia de tripsina (enzima pancreática) en piezas de colecistectomía (extirpación de la vesícula biliar).
  • 17.
    Los síntomas generalmenteocurren si un cálculo grande bloquea el conducto cístico o el conducto colédoco. El conducto cístico drena líquido desde la vesícula hacia el conducto colédoco, el conducto principal que desemboca en el duodeno. Juntos, estos conductos forman parte del sistema biliar. Un cálculo que bloquea la abertura de la vesícula o el conducto cístico generalmente produce un dolor de tipo cólico desde la mitad hasta la parte superior derecha del abdomen, lo cual se conoce como cólico biliar. El dolor desaparece si el cálculo pasa hacia la primera parte del intestino delgado (el duodeno). Si el cálculo no pasa hacia el duodeno, se presenta una colecistitis aguda.- Si el conducto colédoco permanece bloqueado por un período considerable de tiempo, se puede presentar colangitis o pancreatitis
  • 18.
    Factores de riesgode colelitiasis  Edad Resección de íleon terminal Sexo femenino Enfermedad de Crohn Genéticos Estasis de vesícula biliar Obesidad Diabetes mellitus Embarazo Nutrición parenteral total  Pérdida de peso rápida Lesión de médula espinal Dieta muy baja en calorías Actividad física disminuida Intervención de obesidad mórbida Cirrosis Hipertrigliceridemia Anemias hemolíticas Fármacos Clofibrato Estrógenos Anticonceptivos orales Ceftriaxona
  • 19.
    Cólico biliar Definición: El cólicobiliar se produce como consecuencia de la presencia de un cálculo en el conducto cístico, procedente de la vesícula. - DOLOR ABDOMINAL: de intensidad creciente, continuo, de localización epigástrica y en el hipocondrio derecho, irradiado en ocasiones al dorso derecho y escápula. · NAUSEAS y VOMITOS de forma habitual. · FIEBRE: Si es moderada o alta sería sugestiva de colecistitis aguda . · ICTERICIA: la ictericia a menudo es sutil, con una concentración de bilirrubina < a 4mg/dl ; con este síntoma hemos de descartar también un cólico biliar complicado. · SIGNO DE MURPHY: es un hallazgo relativamente específico de las colecistitis agudas. Durante la palpación en la región subcostal derecha se genera dolor y paro en inspiración al realizar el paciente una inspiración profunda; se produce al acercarse la vesícula inflamada a la mano del examinador. · Dispepsia biliar ( flatulencia, intolerancia a grasas, pesadez postprandial,...) no es específica de este proceso, y no se puede asegurar que desaparezcan sus síntomas con la colecistectomía. · Complicaciones asociadas: pancreatitis aguda, coledocolitiasis, colecistitis aguda, colangitis, fístula colecisto-intestinal o colecisto-coledociana, íleo biliar, y rara vez neoplasia de vesícula.
  • 29.
    COLECISTECTOMIA La Colecistectomía esuna de las Intervenciones quirúrgicas más comunes de la cirugía del tubo digestivo. Siendo la presencia de cálculos la enfermedad más frecuente. La cirugía se puede realizar en forma Abierta clásica y por laparoscopía. Todos los pacientes con cálculos sintomáticos deben ser intervenidos quirúrgicamente. Los pacientes que no tengan molestias se deben intervenir también en algunas situaciones por ejemplo: Pacientes que habitan en zonas lejanas donde los cuidados médicos no son tan rápidos. Pacientes que tienen una bomba de infusión para tratamiento de cáncer de colon metastásico a hígado. La Colecistectomía abierta se hace generalmente a través de una incisión subcostal, derecha y una vez que se abre la cavidad abdominal se explora toda, para identificar otras patologías. Si no hay alguna otra evidencia de otra enfermedad, se procede a la colecistectomía. . Para hacer el diagnóstico de enfermedad vesicular el estudio de elección es el Ultrasonido, y además de cálculos se pueden encontrar otras alteraciones como tabiques congénitos y barro biliar que también provocan la inflamación de la vesícula. La colecistectomía es una operación que realizada oportunamente tiene mínimos riesgos y complicaciones.