G U I L L E R M O E N R I Q U E Z C O R O N E L
N E U R O L O G I A
2 0 1 0
Epilepsia
Aspectos de Neuroimagen
George Gerswin
• Noche estrellada (1889, Museo de Arte Moderno, Nueva York, Estados Unidos)
.EL CASO DEL ZAPITO
.EL ZAPITO
Estado Epileptico Parcial motor
Estado Epileptico parcial motor
Hospitalizado
Secuelas de Encefalo-mielitis-Epilepsia
Neuroimagen y epilepsia
 Mas del 70 % de las epilepsias focales o parciales
pueden ser asociadas a lesiones estrcturales
 La resonancia magnetica craneal es la modalidad
diagnostica de eleccion en el estudio del paciente
con epilepsia
 La tomografia computarizada puede ser un metodo
de estudio alternativo en algunos pacientes.
 Se identifican calcificaciones por TAC.
 Pero la TAC puede ser negativa en lesiones de ETM,
fallas del desarrollo cortical y cavernomas
Neuroimagen Epilepsia
 Tomografia computarizada de craneo simple y
contrastada
 Resonancia magnetica craneal simple y contratada
 Tomografia computarizada por emision de foton unico
 Tomografia por emision de positrones
 Angiorresonancia
 Espectroscopia
 Imágenes funcionales de Resonancia Magnetica
 Imágenes de RM de difusion y perfusion
 Magneto.encefalografia
Imágenes mas frec . De epilepsia
 Esclerosis en el Hipocampo
 Malformaciones en el desarrollo cortical
 Neoplasias
 Malformaciones vasculares
 Gliosis
 Cisticercosis cerebral
 Lesiones corticales adquiridas
Tumores cerebrales
 Astrocitomas
 Oligodendrogliomas
 Ganglioglioma
 Tumor neuroepitelial disembrioplastico
 Xantoastrocitomas pleomorficos
Dr. Delgado Escueta UCLA|
RM y Epilepsia
 Malformaciones vasculares
 Malformaciones arteriovenosas
 Malformaciones cavernosas
Neuroimagen y epilepsia
 La RM debe hacerse en T1-T2 y FLAIR-
 La mayoria de las lesiones epileptogenicas se ubican
en el lobulo temporal.
 No es necesario habitualmente el medio de contraste
Dr. Riviello
Malformaciones del desarrollo cortical
 Desordenes generalizados:
 Heterotopia nodular subependimal difusa
 Heterotopia en banda
 Lisencefalia( agiria)
 Desordenes focales o multifocales:
 Esclerosis tuberosa
 Displasia cortical focal
 Polimicrogiria
 Esquicencefalia
 Heterotopia nodular subcortical focal
 Displasia focal de taylor
 Desordenes Hemisfericos: hemimegalencefalia
Resonancia Magnetica Espectroscopica
El uso de la RMS permite la evaluacion de la
integridad asi como la funcion de las neuronas, a
traves de la mediccion del metabolito N acetil
aspartato NAA un producto normal del metabolismo
celular-
El NAA es un indicador de disfuncion neuronal y no
solo de perdida celular-
Otros metabolitos a medir son: creatina colina, lactato
GABA , glutamato y glutamina.
Dra. Charlote. Dravet
Espectroscpia por RM a base de Proton
 El NNA esta disminuido en perdida neuronal:
enfermedades cronico-degenerativas, EVC, y en
tumores
 Elevacion del lactato y reduccion del NAA y
sindrome epileptico
 Reduccion de NAA se correlaciona con alteracion del
EEG y el grado de perdida neuronal.
 La reduccion del NNA es mas extensa en el area del
foco epileptogenico
 La ERM es util en epilepsia y disgensias corticales
Resonancia Magnetica Funcional
 FMRI permite el mapeo de diferentes regiones
cerebrales mediante cambios de concentración de
deoxihemoglobina, la cual es una sustancia
paramagnetica
 La FMRI puede ser usada para evaluar regiones
especificas cerebrales durante actividades motoras, de
audición visión, gusto, olfacción, producción de lenguaje
y otras funciones cognitivas-
 La FMRI es usada para lateralizar el lenguaje , así como
para detección de focos epileptogenicos
Resonancia por Difusion
 DWI el uso de este metodo permite identificar
areas epileptogenicas , las cuales no son
identificadas mediante el uso de secuencias
convencionales .
 Esta secuencia es util en Estado Epileptico
Tomografia C. Por emision de Foton unico
 SPECT permite el mapeo de areas del cerebro a detectar el
foco epileptogenico.
 SPECT ictal e interictal
 Se apreciara un foco caliente , es la hperperfusion sanguinea
durante le periodo ictal, y en la secuencia interictal se
apreciara un foco frio o zona hipoperfundida
 Esta tecnica esutil aun cuando el EEG no reporte el foco
epilepticogenico en epilepsias extratemporales
 Es mas accesible y mas economico que el PET
Tomografia por Emision de Positrones
 PET , mide el metabolismo de la glucosa, recepptores centrales de
benzodiacepinas, varios subtipos de receptores de opioides y receptores de
dopamina.
 La presencia de hipometabolismo de glucosa es un marcador sensible pero
no especifico de disfuncion cerebral.
 Hipometabolismo cerebral ocurre en el 90 % de epilepsia del lobulo
temporal
 Hipometabolismo focal o difuso ocurre en cerca de 30%- 50 % de pacientes
con epilepsia neocortical.
 El hipometabolismo indica perdida neuronal e hipometabolismo
 ALTO COSTO, Radiacion, semi-invasivo
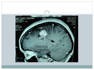
RM metastasis
RM tumor temporal izquierdo
RM
Para senador?
RM-SPECT
SPECT
Espectroscopia
PET
RM malformacion cerebral
Esquizencefalia de labio abierto
Porencefalia
RM tumoracion
RM
TAC MAV
Encefalitis-Epilepsia
Rassmusen
RM metastasis
El Heroe Mexicano
Esclerosis Tuberosa
Medico, con cisticercosis
RM
TAC malformacion cerebral
RM disgenesia cortical
RM
TAC hemorragia cerebral
Pioseno
TAC hemorragia cerebral
Paciente con secuelas de I.Q. por cisticercosis
TAC-malformacion cerebral
TAC- hidrocefalia
Esclerosis Tuberosa
Esclerosis Tuberosa
Esclerosis Tuberosa
TAC - encefalomalacia
TAC hidrocefalia
RM lesion sustancia blanca
TCE
TCE
TCE
TCE
Hemorragia Subaracnoidea
Metastasis cerebral por sarcoma en muslo
Metastasis del sarcoma en muslo
Sturge- Weber
Epilepsia –infarto cerebral- mixoma
Tumor cerebral
TCE –lesion temporal
Epilepsia-Encefalitis Herpes Zoster
Epilepsia-encefalitis
TIPO MEXICANO COPROFAGO
Esclerosis Tuberosa
TAC- Esclerosis Tuberosa
Epilepsia- Encefalomielitis
Epilepsia-Encefalitis
Epilepsia- cavernoma
Epilepsia-Malformacion AV
Hidrocefalia
Esclerosis Tuberosa
Esclerosis Tuberosa
Esclerosis Tuberosa
TAC- Esclerosis Tuberosa
RM Esclerosis Tuberosa
RM Esclerosis tuberosa
RM Esclerosis Tuberosa
Encefalitis -epilepsia
Encefalitis-epilepsia
Encefalitis-epilepsia
Niño con Epilepsia secundaria a Encefalitis viral
Encefalitis-Epilepsia
Epilepsia -EM
Esclerosis tuberosa
RM malformacion
Cerebro de SENADOR de Mexico
Esclerosis Tuberosa
Dr. Asconape
Hemisferectomia derecha
Gracias por su atencion

Epilepsia neuroimagen 1