FRACTURAS DEL ESCAFOIDES 
CHRISTIAN MORENO, MD 
30 de Septiembre del 2013
• Segundas más frecuentes 
en el miembro superior 
• Varones: 3 : 1 
• Pico de incidencia: 20-30 
años 
• 11% de fracturas de 
mano 
• 60% de carpo 
• 70-80% cintura y porción 
media 
• 10-20% polo proximal 
Green, D., Hotchkiss, R., & Pederson, W. (2007). Green Cirugía de Mano Volumen 1. Madrid: Marbán. Pg.711
ANATOMÍA 
• Recubierto de cartílago 
• 5 Superficies articulares 
– Radio 
– Semilunar 
– Hueso grande 
– Trapecio 
– Trapezoide 
• Superficie distal palmar 
respecto a la proximal 
Green, D., Hotchkiss, R., & Pederson, W. (2007). Green Cirugía de Mano Volumen 1. Madrid: Marbán. Pg.712
• Inserciones ligamentosas 
– L. interóseo escafolunar 
– L. radioescafogrande 
– L. trapecioescafoideo 
– L. escafogrande 
Green, D., Hotchkiss, R., & Pederson, W. (2007). Green Cirugía de Mano Volumen 1. Madrid: Marbán. Pg.712
Vascularización del Escafoides 
Green, D., Hotchkiss, R., & Pederson, W. (2007). Green Cirugía de Mano Volumen 1. Madrid: Marbán. Pg.713
• A través de inserciones ligamentosas 
• Precaria vascularización del polo proximal en comparación con los 
2/3 distales 
• Fracturas del polo proximal tiene período de consolidación entre 6- 
11 semanas mas largo 
– Mayor riesgo de Seudoartrosis y Necrosis vascular 
1 
2 
3 
Green, D., Hotchkiss, R., & Pederson, W. (2007). Green Cirugía de Mano Volumen 1. Madrid: Marbán. Pg.714
MECANISMO DE LESIÓN 
• Caída sobre la palma 
con la muñeca en 
extensión (> 90°) 
> grado extensión 
> distal trazo 
• Fuerza de 
compresión: 
contacto escafo-grande 
• Desviación cubital o 
radial 
Green, D., Hotchkiss, R., & Pederson, W. (2007). Green Cirugía de Mano Volumen 1. Madrid: Marbán. Pg.712
DIAGNÓSTICO 
1. Edad 2. Mecanismo de lesión 
3. Signos y síntomas 
– Dolor a la compresión axial sobre tubérculo y en 
tabaquera anatómica ---- S: 100% 
Green, D., Hotchkiss, R., & Pederson, W. (2007). Green Cirugía de Mano Volumen 1. Madrid: Marbán. Pg.714
4. Estudios Radiográficos 
• 4 proyecciones: AP, L, 2 
Oblicuas 
• Rx AP: Empuñadura de la 
mano con dedos 
flexionados 
– Plano mas paralelo a la 
placa 
– Acentúa separación con 
semilunar 
Green, D., Hotchkiss, R., & Pederson, W. (2007). Green Cirugía de Mano Volumen 1. Madrid: Marbán. Pg.714
• Rx AP con 
desviación cubital: 
Perfil completo de 
cintura 
• Rx L: alineación y 
estabilidad del carpo 
Green, D., Hotchkiss, R., & Pederson, W. (2007). Green Cirugía de Mano Volumen 1. Madrid: Marbán. Pg.715
Traumatismo en muñeca 
Sindromología escafoidea 
Rx para escafoides 
Positiva Negativa 
Clasificación 
Inmovilización 2-3 
semanas 
TTO 
Rx seriadas o 
GGO o TAC o 
RMN 
RMN
Green, D., Hotchkiss, R., & Pederson, W. (2007). Green Cirugía de Mano Volumen 1. Madrid: Marbán. Pg.719
CLASIFICACIÓN HERBERT 
Green, D., Hotchkiss, R., & Pederson, W. (2007). Green Cirugía de Mano Volumen 1. Madrid: Marbán. Pg.718
Green, D., Hotchkiss, R., & Pederson, W. (2007). Green Cirugía de Mano Volumen 1. Madrid: Marbán. Pg.718
CLASIFICACIÓN RUSSE 
• Fx HO y T: Estables, consolidación con inmovilización entre 6-12 sem 
• Fx VO: Inestables, mayor tiempo requerido de inmovilización 
Green, D., Hotchkiss, R., & Pederson, W. (2007). Green Cirugía de Mano Volumen 1. Madrid: Marbán. Pg.719
Criterios de Inestabilidad 
• Desplazamiento > 1mm en Rx AP u Oblicua 
• Angulo Hueso grande-semilunar > 15º (Rx L) 
• Angulo escafosemilunar > 45º (Rx L) 
• Conminución 
• Inestabilidad del carpo 
Green, D., Hotchkiss, R., & Pederson, W. (2007). Green Cirugía de Mano Volumen 1. Madrid: Marbán. Pg.719
TRATAMIENTO ORTOPÉDICO 
• Inmovilización antebraquial incluyendo el pulgar con 
muñeca en ligera extensión 
• Indicaciones: fx no desplazada de cintura y polo distal 
escafoides 
• Tiempo medio de retorno a actividades es 4.5 meses 
Green, D., Hotchkiss, R., & Pederson, W. (2007). Green Cirugía de Mano Volumen 1. Madrid: Marbán. Pg.722
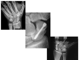
TRATAMIENTO QUIRÚRGICO 
• Indicación: fracturas con desplazamiento, 
angulación o mala alineación del carpo 
Agujas de Kirschner 
- Percutáneas 
- No requiere 
estiloidectomía o abordaje 
ampliado 
- Menos estable 
Green, D., Hotchkiss, R., & Pederson, W. (2007). Green Cirugía de Mano Volumen 1. Madrid: Marbán. Pg.722
Grapas 
- Buenos resultados 
85-90% 
- Técnica exigente 
- Reducción depende 
de la correcta 
posición de la grapa 
Green, D., Hotchkiss, R., & Pederson, W. (2007). Green Cirugía de Mano Volumen 1. Madrid: Marbán. Pg.725
Compresión con tornillos 
Tornillo de Herbert 
• Reducen período de 
inmovilización 
• Fijación interna sólida 
• Efecto arrastre entre 
los dos fragmentos 
• Compresión en foco 
de fractura 
• No requiere nueva 
cirugía 
Green, D., Hotchkiss, R., & Pederson, W. (2007). Green Cirugía de Mano Volumen 1. Madrid: Marbán. Pg.725
• Tornillo doble rosca en titanio 
• Diámetro 2.3 (12 a 28mm) 
• Diámetro 3.0 (10 a 28mm) 
1. Reducción de la fractura e inserción de la aguja guía
2. Opcional: Perforación previa 
3. Avellanado para el tornillo
4. Inserción del tornillo 
5. Determinación de la longitud 
del tornillo
6. Introducción del tornillo canulado
GRACIAS

Fracturas del escafoides

  • 1.
    FRACTURAS DEL ESCAFOIDES CHRISTIAN MORENO, MD 30 de Septiembre del 2013
  • 2.
    • Segundas másfrecuentes en el miembro superior • Varones: 3 : 1 • Pico de incidencia: 20-30 años • 11% de fracturas de mano • 60% de carpo • 70-80% cintura y porción media • 10-20% polo proximal Green, D., Hotchkiss, R., & Pederson, W. (2007). Green Cirugía de Mano Volumen 1. Madrid: Marbán. Pg.711
  • 3.
    ANATOMÍA • Recubiertode cartílago • 5 Superficies articulares – Radio – Semilunar – Hueso grande – Trapecio – Trapezoide • Superficie distal palmar respecto a la proximal Green, D., Hotchkiss, R., & Pederson, W. (2007). Green Cirugía de Mano Volumen 1. Madrid: Marbán. Pg.712
  • 4.
    • Inserciones ligamentosas – L. interóseo escafolunar – L. radioescafogrande – L. trapecioescafoideo – L. escafogrande Green, D., Hotchkiss, R., & Pederson, W. (2007). Green Cirugía de Mano Volumen 1. Madrid: Marbán. Pg.712
  • 5.
    Vascularización del Escafoides Green, D., Hotchkiss, R., & Pederson, W. (2007). Green Cirugía de Mano Volumen 1. Madrid: Marbán. Pg.713
  • 6.
    • A travésde inserciones ligamentosas • Precaria vascularización del polo proximal en comparación con los 2/3 distales • Fracturas del polo proximal tiene período de consolidación entre 6- 11 semanas mas largo – Mayor riesgo de Seudoartrosis y Necrosis vascular 1 2 3 Green, D., Hotchkiss, R., & Pederson, W. (2007). Green Cirugía de Mano Volumen 1. Madrid: Marbán. Pg.714
  • 7.
    MECANISMO DE LESIÓN • Caída sobre la palma con la muñeca en extensión (> 90°) > grado extensión > distal trazo • Fuerza de compresión: contacto escafo-grande • Desviación cubital o radial Green, D., Hotchkiss, R., & Pederson, W. (2007). Green Cirugía de Mano Volumen 1. Madrid: Marbán. Pg.712
  • 9.
    DIAGNÓSTICO 1. Edad2. Mecanismo de lesión 3. Signos y síntomas – Dolor a la compresión axial sobre tubérculo y en tabaquera anatómica ---- S: 100% Green, D., Hotchkiss, R., & Pederson, W. (2007). Green Cirugía de Mano Volumen 1. Madrid: Marbán. Pg.714
  • 10.
    4. Estudios Radiográficos • 4 proyecciones: AP, L, 2 Oblicuas • Rx AP: Empuñadura de la mano con dedos flexionados – Plano mas paralelo a la placa – Acentúa separación con semilunar Green, D., Hotchkiss, R., & Pederson, W. (2007). Green Cirugía de Mano Volumen 1. Madrid: Marbán. Pg.714
  • 11.
    • Rx APcon desviación cubital: Perfil completo de cintura • Rx L: alineación y estabilidad del carpo Green, D., Hotchkiss, R., & Pederson, W. (2007). Green Cirugía de Mano Volumen 1. Madrid: Marbán. Pg.715
  • 12.
    Traumatismo en muñeca Sindromología escafoidea Rx para escafoides Positiva Negativa Clasificación Inmovilización 2-3 semanas TTO Rx seriadas o GGO o TAC o RMN RMN
  • 13.
    Green, D., Hotchkiss,R., & Pederson, W. (2007). Green Cirugía de Mano Volumen 1. Madrid: Marbán. Pg.719
  • 14.
    CLASIFICACIÓN HERBERT Green,D., Hotchkiss, R., & Pederson, W. (2007). Green Cirugía de Mano Volumen 1. Madrid: Marbán. Pg.718
  • 15.
    Green, D., Hotchkiss,R., & Pederson, W. (2007). Green Cirugía de Mano Volumen 1. Madrid: Marbán. Pg.718
  • 16.
    CLASIFICACIÓN RUSSE •Fx HO y T: Estables, consolidación con inmovilización entre 6-12 sem • Fx VO: Inestables, mayor tiempo requerido de inmovilización Green, D., Hotchkiss, R., & Pederson, W. (2007). Green Cirugía de Mano Volumen 1. Madrid: Marbán. Pg.719
  • 17.
    Criterios de Inestabilidad • Desplazamiento > 1mm en Rx AP u Oblicua • Angulo Hueso grande-semilunar > 15º (Rx L) • Angulo escafosemilunar > 45º (Rx L) • Conminución • Inestabilidad del carpo Green, D., Hotchkiss, R., & Pederson, W. (2007). Green Cirugía de Mano Volumen 1. Madrid: Marbán. Pg.719
  • 18.
    TRATAMIENTO ORTOPÉDICO •Inmovilización antebraquial incluyendo el pulgar con muñeca en ligera extensión • Indicaciones: fx no desplazada de cintura y polo distal escafoides • Tiempo medio de retorno a actividades es 4.5 meses Green, D., Hotchkiss, R., & Pederson, W. (2007). Green Cirugía de Mano Volumen 1. Madrid: Marbán. Pg.722
  • 19.
    TRATAMIENTO QUIRÚRGICO •Indicación: fracturas con desplazamiento, angulación o mala alineación del carpo Agujas de Kirschner - Percutáneas - No requiere estiloidectomía o abordaje ampliado - Menos estable Green, D., Hotchkiss, R., & Pederson, W. (2007). Green Cirugía de Mano Volumen 1. Madrid: Marbán. Pg.722
  • 20.
    Grapas - Buenosresultados 85-90% - Técnica exigente - Reducción depende de la correcta posición de la grapa Green, D., Hotchkiss, R., & Pederson, W. (2007). Green Cirugía de Mano Volumen 1. Madrid: Marbán. Pg.725
  • 21.
    Compresión con tornillos Tornillo de Herbert • Reducen período de inmovilización • Fijación interna sólida • Efecto arrastre entre los dos fragmentos • Compresión en foco de fractura • No requiere nueva cirugía Green, D., Hotchkiss, R., & Pederson, W. (2007). Green Cirugía de Mano Volumen 1. Madrid: Marbán. Pg.725
  • 22.
    • Tornillo doblerosca en titanio • Diámetro 2.3 (12 a 28mm) • Diámetro 3.0 (10 a 28mm) 1. Reducción de la fractura e inserción de la aguja guía
  • 23.
    2. Opcional: Perforaciónprevia 3. Avellanado para el tornillo
  • 24.
    4. Inserción deltornillo 5. Determinación de la longitud del tornillo
  • 25.
    6. Introducción deltornillo canulado
  • 29.