Hospital Regional – Ramón Carrillo
Santiago del Estero
Servicio de Traumatología y Ortopedia
Año 2014
Dr. Targa, Juan José
Epidemiología
 Son las segundas fracturas del tarso en frecuencia
 3-6 % Fracturas del pie.
 1 % total de fracturas.
 Cuello 50%, Cuerpo 40%, Cabeza 10%.
 50 % accidentes viales.
 13 % fracturas expuestas.
 Asociada a Fx. Maleolares en 44%, Calcaneo 11-
18% y Metatarso 18%.
Anatomia
 66 % Cubierto por cartílago. (7 carillas articulares)
 Sin inserciones musculotendinosas.
 Pobre vascularidad
 Sin inserciones musculares
 Vascularización intra y extraósea
vascularizacion
 Es un hueso vascularizado
esencialmente por las pequeñas
arterias que ingresan por las
inserciones ligamentarias.
 La arteria tibial posterior es la
que > % vascularización
aporta.
 Después, tibial anterior y
arterias perforantes peroneas.
 La arteria del seno del tarso
es una perforante de la
peronea.
A. Tibial Posterior.
 Calcanea (Tuberculo
Post).
 Deltoidea.
A. Tibial Anterior
 Ramas Cerviales Sup
 A. Tarsal lateral
Mecanismo de lesión
 Dorsiflexión forzada del pie
 Fuerza plantar dirigida dorsalmente que actúa
sobre el pie fijo
 Supinación forzada del tobillo
Lesiones asociadas
 Fx maleolares 44%
 11 a 18% se acompaña de fx de calcáneo
 18% fx metatarsianas
 Lesión neurovascular (rara)
 13% son expuestas
Causas
 50% son producidas por accidentes de auto
 Caidas de altura
 Accidente de aviación
 Depotes: snowboard
Evaluación Clinica
 Dolor extremo.
 La amplitud del movimiento suele ser dolorosa y
puede provocar crepitación.
 Tumefacción difusa en el retropié, dolor a la
palpación del astrágalo y la articulación
subastragalina
Evaluación imagenológica
 Rx anteroposterior, mortaja y lateral de tobillo
 Rx anteroposterior, lateral y oblicua de pie
 Rx proyección de Canale
 TAC
 RMN
 Gammagrafía
Clasificación
 Fx de la cabeza
 Fx del cuerpo
 Fx del cuello
Fx de Cabeza
Forma de presentación:
• Por comprensión
• Longitudinales u oblicuas
 Representan el 10% de las lesiones del
astragalo
 El mecanismo de producción es una
carga axial sobre un pie en flexión
plantar
 Pueden no Dx
 TRATAMIENTO
 Las fx de la cabeza pueden pasar
desapercibidas
 La TAC es importante
 El Tto es quirurgico
 La artrosis es precos
 13-20% de las fracturas del astragalo.
 Asociada a fractura maleolares.
 Mecanismo de lesion: carga axial.
 Fx-lux= 50% NAV
 Fx sin lux= 20% NAV
Fx del Cuerpo
 Clasificación (Boyd n’
Knight)
Localización de la fractura.
Tipo I.
 Coronal.
 Sagital.
 A <3mm
desplazamiento.
 B >3mm
desplazamiento.
Tipo II
 Horizontal.
 A <3mm
desplazamiento.
 B >3mm
desplazamiento.
Tratamiento.
 IA: bota sin apoyo 8 sem o consolidacion
radiologica.
 IB: RAFI + bota sin apoyo 8 sem
 II: traccion esqueletica + bota corta
 Osteotomía del maléolo medial
 Osteotomía maléolo lateral
 > 50% de las fracturas.
 3:1 hombre : mujer
 15-45% expuestas.
Asociadas:
 64% a lesiones
musuloesqueleticas.
 28% fx maleolo medial.
 15% lesion de columna.
 10% maleolo lateral.
Fx del Cuello del
Astrágalo
Clasificación
Clasificación de HAWKINS
(modificada por Canale – Kelly 1978)
Criterios:
 Compromiso del aporte vascular
 Perdida de relación con las articulaciones
circundantes
Clasificación de Hawkins
 Tipo 1: sin desplazamiento.
 Tipo 2: subluxación o luxación subastragalina asociada.
 Tipo 3: luxación subastragalina y del tobillo asociadas
 Tipo 4: tipo3 + subluxación o luxación astragalonavicular
asociada
TIPO 1
 Un solo pediculo vascular afectado
 No presenta alteración articular
 NECROSIS BAJA
TRATAMIENTO.
 Yeso sin carga por 6 a 12 semanas
 Tobillo neutro a 90º
 Fijación in situ (rigida)
 Movilización precoz?
 Por postero medial porque por postero lateral
tenemos el paquete vascular tibial posterior
TIPO 2
 Dos pedículos afectados.
Vasos del cuello hacia el cuerpo.
Vasos que penetran por el seno y canal tarsiano.
 Necrosis del 42%
 Subluxación subastragalina.
 Representa una urgencia ortopédica
TRATAMIENTO
 Abordajes – anteromedial
- anterolateral
- posterolateral
 Osteotomía maleolar interna
TRATAMIENTO
POSTOPERATORIO
 No apoyo por 10-12 sem
 Movilizacion temprana a tolerancia.
 Apoyo al encontrar consolidacion radiologica
(hasta 4 meses).
COMPLICACIONES
 NAV: 17% - 50%
 Artritis postraumatica. 20 – 60
TIPO 3
 Tres pedículos afectados
 Luxación subastragalina y tibioastragalina
 50% son expuestas
 NECROSIS DE MÁS DEL 90%.
TRATAMIENTO
 Reducción abierta
 Artrodesis subastragalina primaria
 talectomía
Abordaje anteromedial.
 Asociado a Fx.maleolo medial.
 Osteotomia maleolar medial(Chevron)
 Resultados insatisfactorios en 90%
 Necrosis avascular 69 al 100%
 Consolidación viciosa 32 al 54%
 Retardo de consolidación 21%
 Pseudoartrosis 12%
 Artritis degenerativa 70%
TIPO 4
 Tres pedículos afectados
 Luxación subastragalina, tibioastragalina y
astragaloescafoidea
 Puede presentar NAV de la cabeza
Artrodesis anterior de Blair
Clasificación de MARTI -
WEBER
COMPLICACIONES
 Artrosis subastragalina
 Consolidación visiosa
 Retardo de consolidación
 Pseudoartrosis
 infecciones
Fx de las apófisis astragalinas
APOFISIS LATERAL
 Mecanismo de lesión: dorsiflección e inversión
 Tto: las no desplazadas se tratan con yeso x 6 semanas
las desplazadas – RAFI
las multifragmentarias – exceresis de fragmentos
APOFISIS POSTERIOR
 Mecanismo de lesión: avulción o compresión directa
 Tto: sin desplazamiento – yeso
desplazamiento – exceresis?
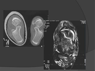
LESIONES
OSTEOCONDRALES
EPIDEMIOLOGÍA
 1% del total de fracturas astragalinas.
 75% son diagnosticadas como esguince de
tobillo.
 Presentes en 5% de esguinces de tobillo.
 Anterolaterales
 Posteromediales
tratamiento
 Lesiones agudas sin desplazamiento, deben
inmovolizarce
 Reposición del fragmento
 Curetaje (no mayores de 1cm)
 Transporte osteocondral (mayores a 1 cm)
 Tratamiento artroscopico
…GRACIAS…

Fractura de astragalo

  • 1.
    Hospital Regional –Ramón Carrillo Santiago del Estero Servicio de Traumatología y Ortopedia Año 2014 Dr. Targa, Juan José
  • 2.
    Epidemiología  Son lassegundas fracturas del tarso en frecuencia  3-6 % Fracturas del pie.  1 % total de fracturas.  Cuello 50%, Cuerpo 40%, Cabeza 10%.  50 % accidentes viales.  13 % fracturas expuestas.  Asociada a Fx. Maleolares en 44%, Calcaneo 11- 18% y Metatarso 18%.
  • 3.
    Anatomia  66 %Cubierto por cartílago. (7 carillas articulares)  Sin inserciones musculotendinosas.  Pobre vascularidad
  • 4.
     Sin insercionesmusculares  Vascularización intra y extraósea
  • 5.
    vascularizacion  Es unhueso vascularizado esencialmente por las pequeñas arterias que ingresan por las inserciones ligamentarias.  La arteria tibial posterior es la que > % vascularización aporta.  Después, tibial anterior y arterias perforantes peroneas.  La arteria del seno del tarso es una perforante de la peronea.
  • 8.
    A. Tibial Posterior. Calcanea (Tuberculo Post).  Deltoidea.
  • 9.
    A. Tibial Anterior Ramas Cerviales Sup  A. Tarsal lateral
  • 10.
    Mecanismo de lesión Dorsiflexión forzada del pie  Fuerza plantar dirigida dorsalmente que actúa sobre el pie fijo  Supinación forzada del tobillo
  • 11.
    Lesiones asociadas  Fxmaleolares 44%  11 a 18% se acompaña de fx de calcáneo  18% fx metatarsianas  Lesión neurovascular (rara)  13% son expuestas
  • 12.
    Causas  50% sonproducidas por accidentes de auto  Caidas de altura  Accidente de aviación  Depotes: snowboard
  • 13.
    Evaluación Clinica  Dolorextremo.  La amplitud del movimiento suele ser dolorosa y puede provocar crepitación.  Tumefacción difusa en el retropié, dolor a la palpación del astrágalo y la articulación subastragalina
  • 14.
    Evaluación imagenológica  Rxanteroposterior, mortaja y lateral de tobillo  Rx anteroposterior, lateral y oblicua de pie  Rx proyección de Canale  TAC  RMN  Gammagrafía
  • 15.
    Clasificación  Fx dela cabeza  Fx del cuerpo  Fx del cuello
  • 16.
    Fx de Cabeza Formade presentación: • Por comprensión • Longitudinales u oblicuas
  • 17.
     Representan el10% de las lesiones del astragalo  El mecanismo de producción es una carga axial sobre un pie en flexión plantar  Pueden no Dx
  • 19.
  • 20.
     Las fxde la cabeza pueden pasar desapercibidas  La TAC es importante  El Tto es quirurgico  La artrosis es precos
  • 21.
     13-20% delas fracturas del astragalo.  Asociada a fractura maleolares.  Mecanismo de lesion: carga axial.  Fx-lux= 50% NAV  Fx sin lux= 20% NAV Fx del Cuerpo
  • 22.
     Clasificación (Boydn’ Knight) Localización de la fractura. Tipo I.  Coronal.  Sagital.  A <3mm desplazamiento.  B >3mm desplazamiento.
  • 23.
    Tipo II  Horizontal. A <3mm desplazamiento.  B >3mm desplazamiento.
  • 24.
    Tratamiento.  IA: botasin apoyo 8 sem o consolidacion radiologica.  IB: RAFI + bota sin apoyo 8 sem  II: traccion esqueletica + bota corta
  • 25.
     Osteotomía delmaléolo medial
  • 26.
  • 27.
     > 50%de las fracturas.  3:1 hombre : mujer  15-45% expuestas. Asociadas:  64% a lesiones musuloesqueleticas.  28% fx maleolo medial.  15% lesion de columna.  10% maleolo lateral. Fx del Cuello del Astrágalo
  • 28.
    Clasificación Clasificación de HAWKINS (modificadapor Canale – Kelly 1978) Criterios:  Compromiso del aporte vascular  Perdida de relación con las articulaciones circundantes
  • 29.
    Clasificación de Hawkins Tipo 1: sin desplazamiento.  Tipo 2: subluxación o luxación subastragalina asociada.  Tipo 3: luxación subastragalina y del tobillo asociadas  Tipo 4: tipo3 + subluxación o luxación astragalonavicular asociada
  • 30.
    TIPO 1  Unsolo pediculo vascular afectado  No presenta alteración articular  NECROSIS BAJA
  • 31.
    TRATAMIENTO.  Yeso sincarga por 6 a 12 semanas  Tobillo neutro a 90º  Fijación in situ (rigida)  Movilización precoz?
  • 33.
     Por posteromedial porque por postero lateral tenemos el paquete vascular tibial posterior
  • 34.
    TIPO 2  Dospedículos afectados. Vasos del cuello hacia el cuerpo. Vasos que penetran por el seno y canal tarsiano.  Necrosis del 42%  Subluxación subastragalina.  Representa una urgencia ortopédica
  • 35.
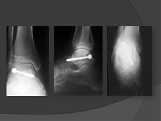
    TRATAMIENTO  Abordajes –anteromedial - anterolateral - posterolateral  Osteotomía maleolar interna
  • 36.
  • 37.
    POSTOPERATORIO  No apoyopor 10-12 sem  Movilizacion temprana a tolerancia.  Apoyo al encontrar consolidacion radiologica (hasta 4 meses). COMPLICACIONES  NAV: 17% - 50%  Artritis postraumatica. 20 – 60
  • 38.
    TIPO 3  Trespedículos afectados  Luxación subastragalina y tibioastragalina  50% son expuestas  NECROSIS DE MÁS DEL 90%.
  • 39.
    TRATAMIENTO  Reducción abierta Artrodesis subastragalina primaria  talectomía
  • 40.
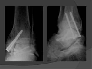
    Abordaje anteromedial.  Asociadoa Fx.maleolo medial.  Osteotomia maleolar medial(Chevron)
  • 42.
     Resultados insatisfactoriosen 90%  Necrosis avascular 69 al 100%  Consolidación viciosa 32 al 54%  Retardo de consolidación 21%  Pseudoartrosis 12%  Artritis degenerativa 70%
  • 43.
    TIPO 4  Trespedículos afectados  Luxación subastragalina, tibioastragalina y astragaloescafoidea  Puede presentar NAV de la cabeza
  • 44.
  • 45.
  • 47.
    COMPLICACIONES  Artrosis subastragalina Consolidación visiosa  Retardo de consolidación  Pseudoartrosis  infecciones
  • 49.
    Fx de lasapófisis astragalinas APOFISIS LATERAL  Mecanismo de lesión: dorsiflección e inversión  Tto: las no desplazadas se tratan con yeso x 6 semanas las desplazadas – RAFI las multifragmentarias – exceresis de fragmentos
  • 50.
    APOFISIS POSTERIOR  Mecanismode lesión: avulción o compresión directa  Tto: sin desplazamiento – yeso desplazamiento – exceresis?
  • 51.
  • 52.
    EPIDEMIOLOGÍA  1% deltotal de fracturas astragalinas.  75% son diagnosticadas como esguince de tobillo.  Presentes en 5% de esguinces de tobillo.
  • 53.
  • 55.
    tratamiento  Lesiones agudassin desplazamiento, deben inmovolizarce  Reposición del fragmento  Curetaje (no mayores de 1cm)  Transporte osteocondral (mayores a 1 cm)  Tratamiento artroscopico
  • 58.