Hidronefrosis
Definicion.
Dilatación del sistema colector.

Etiologia.
Obstruccion parcial o completa en cualquier
  lugar desde el ureter proximal hasta el meato
  uretral.
Procesos funcionales que interrumpen el flujo
  de orina.
• Ureter, vejiga y uretra
  – Congenitas
  – Neoplasicas
  – Inflamatorias
  – miscelaneas
Etiologia
• Adultos jovenes: Calculos
• Niños: Reflujo vesicoureteral y obstruccion de
  union UP
• Mujeres: Canceres ginecologicos y embarazo.
• Varones: Hipertrofia prostatica benigna.
Anomalias asociadas
• Aumento de la presion en el sistema
  pielocalicial.
  – Alteracion de la filtracion glomerular de la funcion
    tubular y del flujo sanguineo renal
  – Disminucion de la funcion renal puede persistir
    durante semanas.
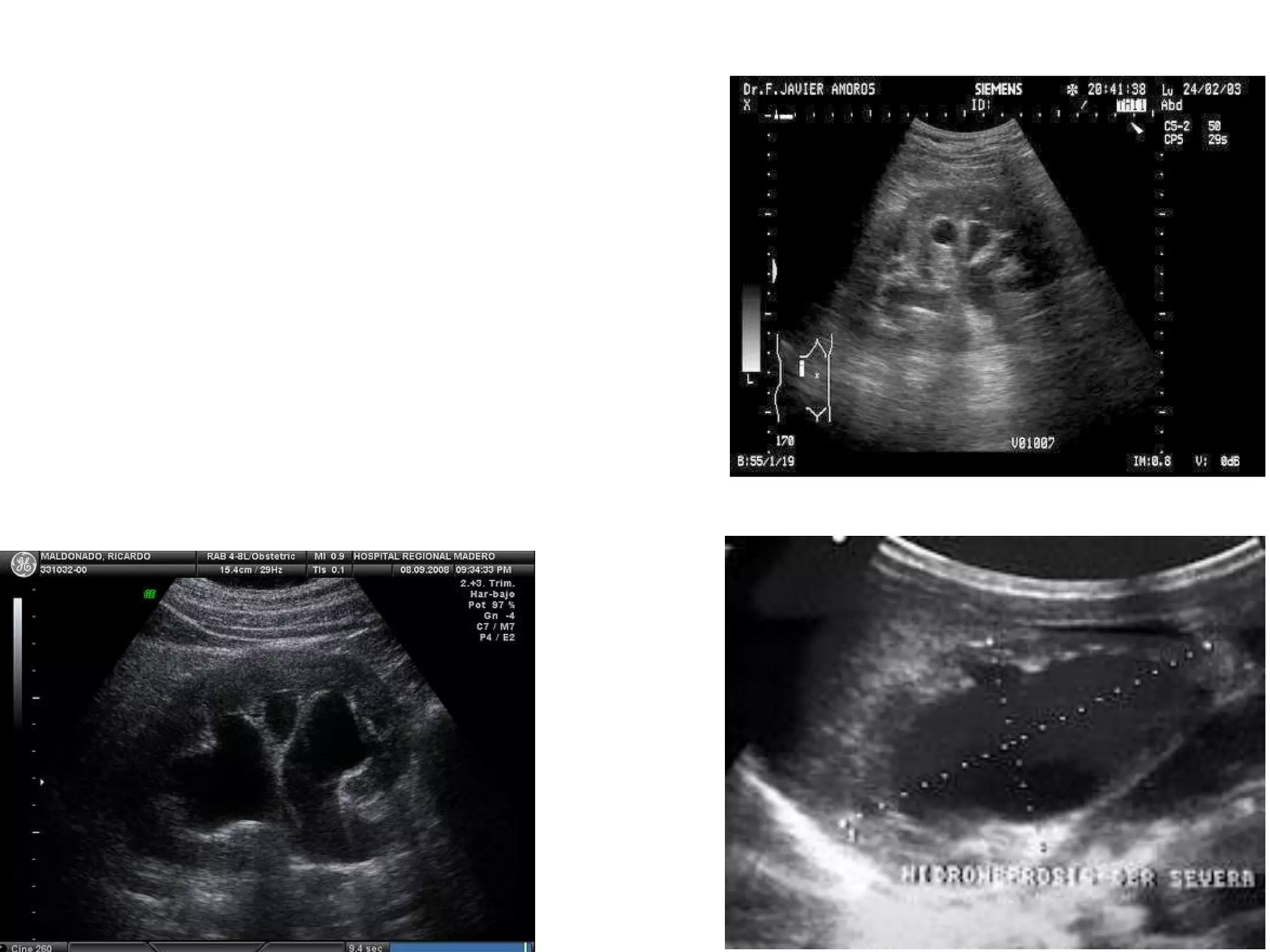
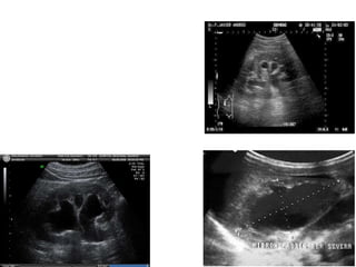
Clasificacion de la hidronefrosis
Grado 0: Riñón normal sin hidronefrosis

Grado 1: Pelvis renal ligeramente dilatada sin ectasia calicial

Grado 2: Pelvis renal moderadamente dilatada con ectasia calicial leve

Grado 3: Pelvis renal grande, cálices dilatados y parénquima normal

Grado 4: Pelvis renal muy grande, cálices grandes y dilatados
y adelgazamiento del parénquima renal.

• CLINICAS UROLOGICAS, MADRID ES.
Diagnostico Diferencial
• Megacalices y megaureter congenito
Quiste del seno renal
Pelvis extrarrenal
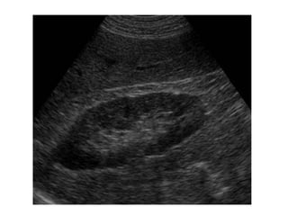
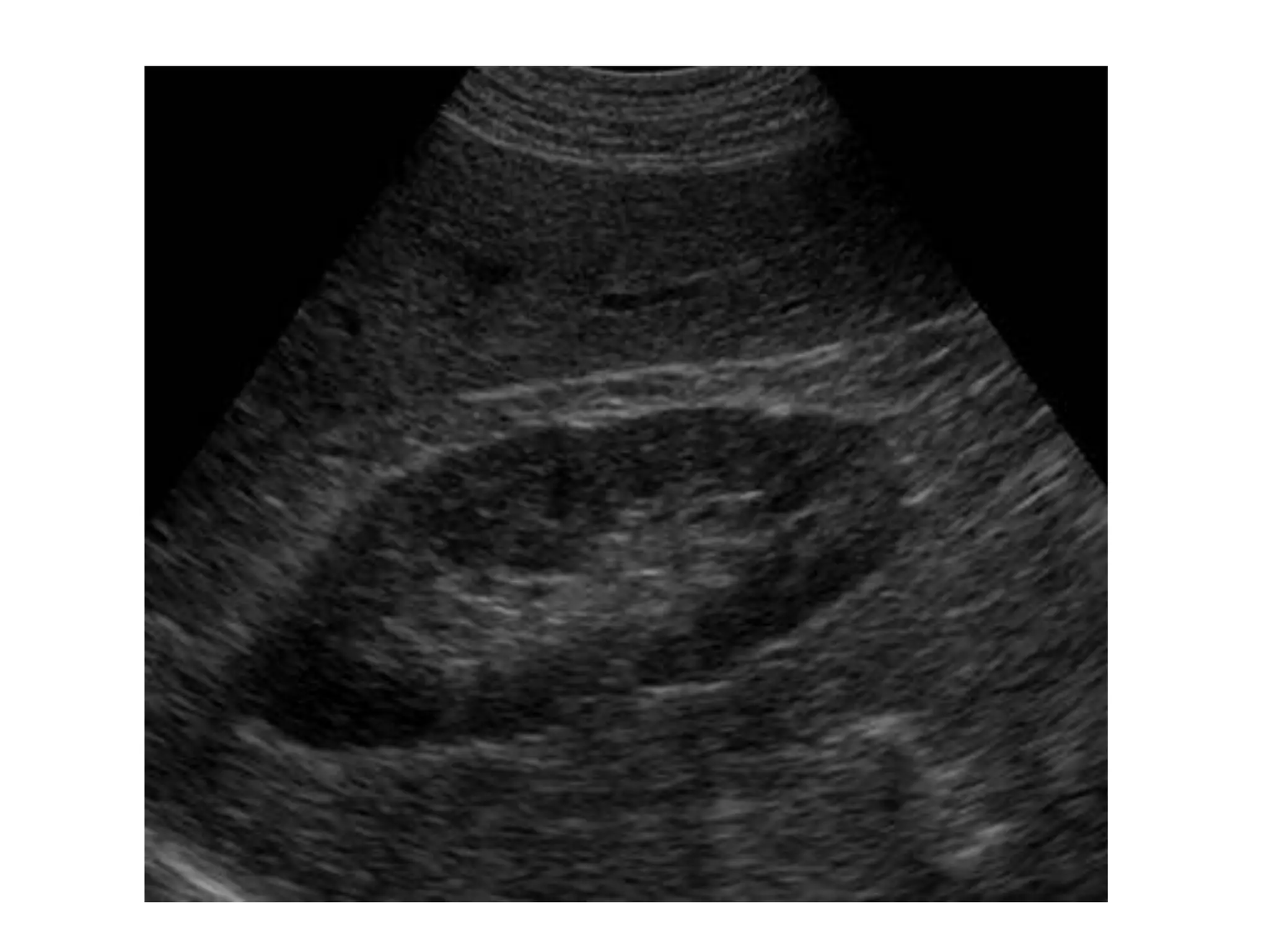
Caracteristicas generales
Dilatacion pielocalicial
Dilatacion utereral.

Mejor prueba de imagen
Ultrasonido para diagnostico inicial
TC+C para la resolucion de problemas

Hidronefrosis

  • 1.
  • 2.
    Definicion. Dilatación del sistemacolector. Etiologia. Obstruccion parcial o completa en cualquier lugar desde el ureter proximal hasta el meato uretral. Procesos funcionales que interrumpen el flujo de orina.
  • 3.
    • Ureter, vejigay uretra – Congenitas – Neoplasicas – Inflamatorias – miscelaneas
  • 5.
    Etiologia • Adultos jovenes:Calculos • Niños: Reflujo vesicoureteral y obstruccion de union UP • Mujeres: Canceres ginecologicos y embarazo. • Varones: Hipertrofia prostatica benigna.
  • 6.
    Anomalias asociadas • Aumentode la presion en el sistema pielocalicial. – Alteracion de la filtracion glomerular de la funcion tubular y del flujo sanguineo renal – Disminucion de la funcion renal puede persistir durante semanas.
  • 7.
    Clasificacion de lahidronefrosis Grado 0: Riñón normal sin hidronefrosis Grado 1: Pelvis renal ligeramente dilatada sin ectasia calicial Grado 2: Pelvis renal moderadamente dilatada con ectasia calicial leve Grado 3: Pelvis renal grande, cálices dilatados y parénquima normal Grado 4: Pelvis renal muy grande, cálices grandes y dilatados y adelgazamiento del parénquima renal. • CLINICAS UROLOGICAS, MADRID ES.
  • 14.
  • 15.
  • 16.
  • 17.
    Caracteristicas generales Dilatacion pielocalicial Dilatacionutereral. Mejor prueba de imagen Ultrasonido para diagnostico inicial TC+C para la resolucion de problemas