Urografía
excretora
L.E Christian Alberto Barrios
Cerros.
Que es ?
 Es un tipo de examen que se usa para
evaluar los riñones, los uréteres y la vejiga.
 también conocida como pielograma
intravenoso, se realiza utilizando rayos X
convencionales, luego de la
administración intravenosa de agentes de
contraste radiográficos
Objetivo.
 Visualizar panorámicamente las vías
urinarias, evaluando su morfología y función
CONTRASTE
 Yodado Hidrosoluble
Indicaciones
 Litiasis de vías urinarias
 Quistes, tumores.
 Hematuria
 Neoplasias
 Padecimientos congénitos
 Traumatismos
 Insuficiencia renal
 Hipertensión renovascular
 Iatrogenias
 Infecciones
Contraindicaciones.
 Deshidratación grave
 Estado de choque: hipotensión, inconsciencia
 Insuficiencia renal
 insuficiencia hepática
 Alergia al medio de contraste
 Embarazo
Preparación previa
del paciente
 El paciente debe realizar ayuno total ocho
horas. Tampoco tomar agua.
 Dieta blanda 24 hrs antes del estudio.
 aplicarse un laxante un día antes del
estudio, dos horas después de comer),
 Todas estas preparaciones se deberán
hacer para limpiar el colón y así nos de
una mejor visualización de los riñones ya
que estos son órganos retroperitoneales.
 La deshidratación del px. nos permitirá que
sol.HY no este tan diluido con los líquidos
corporales.
 Indicarle al px que puede bañarse
 Se aplica el H.Y I.V
 Se lo hace orinar, porque el contraste
no
se diluye bien con la orina.
 Luego se lo acuesta en la mesa de
rayos, con ella se valorará la técnica
radiológica , sí la preparación fue
adecuada , sí existen datos previos
importantes(càlculos, masas ,
material quirúrgico).
 El centrado de la posición será desde
el pubis, todo hacia arriba, en una
placa 35x43.
Radiografía a los 5 min.
 Debe mostrar los riñones opacificados.
 Ver forma, tamaño y posición.
 Examinar contornos de los riñones: si no es liso,
cualquier irregularidad puede indicar un cicatriz o
una masa.
 Si se sabe por la radiografía simple que hay
una masa en una parte del riñón, ver si tiene la
misma opacidad que el resto del riñón o si
sigue inmodificada después de la inyección.
 El hecho de que no aumente la opacidad de la masa
sugiere que se trata de un quiste sin circulación
importante.
 Si aumenta de opacidad con el resto del riñón, lo
más probable es que sea un tumor.
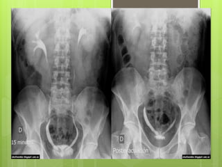
Radiografía a los 15 minutos
 Se pueden ver los cálices, la pelvis
renal y parte de los uréteres.
 Cuando un riñón es más opaco que
el otro, ésto obedece a persistencia
del material de contraste en el riñón
(nefrograma persistente) y sugiere
obstrucción del uréter.
 Ver trayecto ureteral y
desembocadura de los uréteres en
la vejiga
Radiografía a los 30 minutos
 Ver vejiga con repleción completa. Ver
tamaño.
 Evaluar sus contornos
 Evaluar su contenido (homogéneo,
heterogéneo)
 La vejiga grande puede obedecer a:
obstrucción prostática o uretral, parálisis
Cáncer de vejiga
Estenosis entre el
uréter y la pelvis renal izquierda
Hidronefrosis severa derecha y
leve izquierda por compresión
de una masa pélvica importante
Quiste.
Hipertrofia prostática
Riñón en herradura
Urografía excretora

Urografía excretora

  • 1.
  • 2.
    Que es ? Es un tipo de examen que se usa para evaluar los riñones, los uréteres y la vejiga.  también conocida como pielograma intravenoso, se realiza utilizando rayos X convencionales, luego de la administración intravenosa de agentes de contraste radiográficos
  • 3.
    Objetivo.  Visualizar panorámicamentelas vías urinarias, evaluando su morfología y función CONTRASTE  Yodado Hidrosoluble
  • 4.
    Indicaciones  Litiasis devías urinarias  Quistes, tumores.  Hematuria  Neoplasias  Padecimientos congénitos  Traumatismos  Insuficiencia renal  Hipertensión renovascular  Iatrogenias  Infecciones
  • 5.
    Contraindicaciones.  Deshidratación grave Estado de choque: hipotensión, inconsciencia  Insuficiencia renal  insuficiencia hepática  Alergia al medio de contraste  Embarazo
  • 6.
    Preparación previa del paciente El paciente debe realizar ayuno total ocho horas. Tampoco tomar agua.  Dieta blanda 24 hrs antes del estudio.  aplicarse un laxante un día antes del estudio, dos horas después de comer),  Todas estas preparaciones se deberán hacer para limpiar el colón y así nos de una mejor visualización de los riñones ya que estos son órganos retroperitoneales.  La deshidratación del px. nos permitirá que sol.HY no este tan diluido con los líquidos corporales.  Indicarle al px que puede bañarse
  • 8.
     Se aplicael H.Y I.V  Se lo hace orinar, porque el contraste no se diluye bien con la orina.  Luego se lo acuesta en la mesa de rayos, con ella se valorará la técnica radiológica , sí la preparación fue adecuada , sí existen datos previos importantes(càlculos, masas , material quirúrgico).  El centrado de la posición será desde el pubis, todo hacia arriba, en una placa 35x43.
  • 9.
    Radiografía a los5 min.  Debe mostrar los riñones opacificados.  Ver forma, tamaño y posición.  Examinar contornos de los riñones: si no es liso, cualquier irregularidad puede indicar un cicatriz o una masa.  Si se sabe por la radiografía simple que hay una masa en una parte del riñón, ver si tiene la misma opacidad que el resto del riñón o si sigue inmodificada después de la inyección.  El hecho de que no aumente la opacidad de la masa sugiere que se trata de un quiste sin circulación importante.  Si aumenta de opacidad con el resto del riñón, lo más probable es que sea un tumor.
  • 11.
    Radiografía a los15 minutos  Se pueden ver los cálices, la pelvis renal y parte de los uréteres.  Cuando un riñón es más opaco que el otro, ésto obedece a persistencia del material de contraste en el riñón (nefrograma persistente) y sugiere obstrucción del uréter.  Ver trayecto ureteral y desembocadura de los uréteres en la vejiga
  • 13.
    Radiografía a los30 minutos  Ver vejiga con repleción completa. Ver tamaño.  Evaluar sus contornos  Evaluar su contenido (homogéneo, heterogéneo)  La vejiga grande puede obedecer a: obstrucción prostática o uretral, parálisis
  • 17.
  • 18.
    Estenosis entre el urétery la pelvis renal izquierda
  • 19.
    Hidronefrosis severa derechay leve izquierda por compresión de una masa pélvica importante
  • 20.
  • 21.
  • 22.