INSUFICIENCIA
CARDIACA
CONGESTIVA

 E D G A R E F R A Í N PA Z M I Ñ O E R A Z O
HISTOLOGÍA
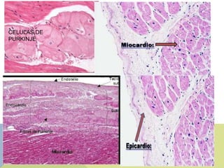
Endocardio: constituido por un       Miocardio: formado por células
endotelio y un espacio               musculares cardíacas orientadas
subendocárdico formado por tejido    en diversas direcciones.
conectivo.




                                    Epicardio: formado por
                                    tejido conectivo
                                    recubierto por un
                                    mesotelio.
CELULAS DE
PURKINJE




         miocardio
SISTEMA DE CONDUCCIÓN
CICLO CARDIACO
INSUFICIENCIA CARDIACA CONGESTIVA
    ES UN SÍNDROME CLÍNICO QUE REFLEJA LA
    I N C A PA C I D A D D E L C O R A Z Ó N PA R A S AT I S FA C E R
    L A S N E C E S I D A D E S M E TA B Ó L I C A S D E L
    ORGANISMO.
CLASIFICACIÓN ICC
• Aguda o Crónica
• Clínica o Subclínica
• Compensada – Descompensada –
  Refractaria
• Izquierda o Derecha
• Sistólica o Diastólica
Insuficiencia
         Cardiaca



Sistólica         Diastólica


                    Elasticidad y
    Función
                   distensibilidad
  conservada
                      muscular

                       Dificultad al
 Cortocircuitos
                       llenado de
  congénitos
                       ventrículos
FUNCIÓN CARDIACA


PRECARGA                  POSCARGA
• Volumen de sanguíneo    • Es la fuerza que se
  que manejan los           opone a la eyección
  ventrículos – volumen     ventricular
  diastólico



CONTRACTILIDAD            GASTO CARDIACO
• Fuerza intrínseca con   • Es la cantidad de
  que actúa el corazón,     sangre que expulsa el
  determinada por su        corazón por minuto (FC
  estructura                * VL )
FISIOPATOLOGÍA




                  Mecanismos de
                  Compensación




                   Activación de    Dilatación e
 Mecanismo de
                     Sistemas       Hipertrofia
 Frank-Starling
                  Neurohormonales   Ventricular
FISIOPATOLOGIA: MECANISMOS DE COMPENSACIÓN




  Sistema        Catecolaminas    Receptores M.
 Simpático        circulantes        cardiaco




 Frecuencia                         Taquicardia,
 Cardiaca –                       vasoconstricción
                 Gasto Cardiaco
contractilidad                       periférica,
 miocardio                          consumo O2
FISIOPATOLOGIA: MECANISMOS DE COMPENSACIÓN
                               SISTEMA
                               RENINA
                            ANGIOTENSINA
                            ALDOSTERONA




Hipoperfusión
                           Renina                      Aldosterona
    renal




                                                      Retención sal y
          Angiotensina 1            Angiotensina 2
                                                          agua




                                    Vasoconstrictor     Mejorar Gasto
                                    aumenta la PA       Cardiaco Y PA.
FISIOPATOLOGÍA


 Dilatación e Hipertrofia
     Ventricular
ETIOLOGÍA

Aumento De La
Precarga
• Hipervolemia
• Cardiopatía
  Congénita
  cortocircuito ID
• Lesiones valvulares
ETIOLOGÍA



Aumento De La
Poscarga
• Lesiones
  congénitas
  obstructivas
• HTA sistémica
  grave
ETIOLOGÍA


Alteración En La
Contractilidad
Cardiaca
• Miocarditis
• Miocardiopatías
• Coronariopatía avanzada
  (kawasaki)
• Miocardiopatías
  degenerativas
ETIOLOGÍA
Trastornos
Del Ritmo
• Taquiarritmia
• Bradiarritmia
Manifestaciones clínicas




                    Están influenciadas
Por el momento de aparición        Anatomía de la lesión




            Clínicamente se subdividen
                                              Niñez y
Período perinatal     Infancia Temprana
                                            Adolescencia
Circunstancia    Preservación
                               Rara         de la función
           Insuficiencia
             Cardíaca                         Prevención
                            Objetivos a       hipertrofia y
                              futuro        remodelamient
Periodo                                            o
Prenatal
                                             Preparación
                            Más común
                                             para cirugía
              Shock
           Cardiogénico
                           Estabilización     3 tipos de
                           hemodinámica        causas
Infancia Temprana

Circulación                       Circulación
            Shunt I-D   Shunt D-I
 en serie                         en paralelo
Niñez y Adolescencia


   Aumenta la morbilidad
   posoperatoria

    Signos y síntomas de patología
    sin resolver

   Descompesación de
   enfermedades subyacentes


Enfermedades desde el nacimiento
FALLA CARDÍACA AGUDA
  Aumento del
   volumen          • Diuréticos

 Baja eyección      • Inotrópicos

Paro respiratorio   • Ventilador y tubo endotraqueal

   Conducto
   Arterioso        • Prostaglandina E1

  Control del
   volumen          • • Reduceendovenoso la
                      Catéter la precarga y
Nitroprusiato
Correcciones del
                        postcarga

      caso          • • Reduce la Presión arterial
                      Anemia
TRATAMIENTO A LARGO PLAZO


Tratamiento no farmacológico


  Nutrición            Hidratación


Hematocrito           Hemoglobina
Diuréticos
•   Insuficiencia cardíaca congestiva
•   Inhibe bomba Na-CL-K
•   Hiperkalemia
•   Furosemida y Bumetanida

IECAS
•   Reducen la Postacarga
•   Inhibe la transformación de A1 en A2
•   Vasodilatación
•   Captopril, Lisinopril y Enalapril

ARA II
• Mismo efecto que los IECAS
• Pacientes que no responden a IECAS
• Losartan
Inotrópicos
• Adrenalina y Dobutamina
• Actuan como Catecolaminas
• Regulación negativa


Glucósidos Cardíacos
• Aumenta la fuerza y el tiempo de llenado
• Pocos estudios, margen de eficacia muy
  estrecho
• Digoxina

Nitratos
• Precursores del óxido nítrico
• Reducen la precarga y la postcarga
• Nitroglicerina, mononitrato de isosorbida y
  nitroprusiato
Betabloqueadores
• Aparentemente contraindicados
• Cuidadosa administración en adultos
• No hay estudios en niños



Anticoagulantes
• Riesgo de trombos
• Aspirina no es bien tolerada
• Elección: Warfarina



Cirugía
• Solución definitiva: Trasplante
• Cateterismo o correcciones en defectos
  congénitos
• Otros procedimientos traen efectos adversos

Insuficiencia cardíaca

  • 1.
    INSUFICIENCIA CARDIACA CONGESTIVA E DG A R E F R A Í N PA Z M I Ñ O E R A Z O
  • 4.
    HISTOLOGÍA Endocardio: constituido porun Miocardio: formado por células endotelio y un espacio musculares cardíacas orientadas subendocárdico formado por tejido en diversas direcciones. conectivo. Epicardio: formado por tejido conectivo recubierto por un mesotelio.
  • 5.
  • 6.
  • 7.
  • 9.
    INSUFICIENCIA CARDIACA CONGESTIVA ES UN SÍNDROME CLÍNICO QUE REFLEJA LA I N C A PA C I D A D D E L C O R A Z Ó N PA R A S AT I S FA C E R L A S N E C E S I D A D E S M E TA B Ó L I C A S D E L ORGANISMO.
  • 10.
    CLASIFICACIÓN ICC • Agudao Crónica • Clínica o Subclínica • Compensada – Descompensada – Refractaria • Izquierda o Derecha • Sistólica o Diastólica
  • 11.
    Insuficiencia Cardiaca Sistólica Diastólica Elasticidad y Función distensibilidad conservada muscular Dificultad al Cortocircuitos llenado de congénitos ventrículos
  • 12.
    FUNCIÓN CARDIACA PRECARGA POSCARGA • Volumen de sanguíneo • Es la fuerza que se que manejan los opone a la eyección ventrículos – volumen ventricular diastólico CONTRACTILIDAD GASTO CARDIACO • Fuerza intrínseca con • Es la cantidad de que actúa el corazón, sangre que expulsa el determinada por su corazón por minuto (FC estructura * VL )
  • 13.
    FISIOPATOLOGÍA Mecanismos de Compensación Activación de Dilatación e Mecanismo de Sistemas Hipertrofia Frank-Starling Neurohormonales Ventricular
  • 14.
    FISIOPATOLOGIA: MECANISMOS DECOMPENSACIÓN Sistema Catecolaminas Receptores M. Simpático circulantes cardiaco Frecuencia Taquicardia, Cardiaca – vasoconstricción Gasto Cardiaco contractilidad periférica, miocardio consumo O2
  • 15.
    FISIOPATOLOGIA: MECANISMOS DECOMPENSACIÓN SISTEMA RENINA ANGIOTENSINA ALDOSTERONA Hipoperfusión Renina Aldosterona renal Retención sal y Angiotensina 1 Angiotensina 2 agua Vasoconstrictor Mejorar Gasto aumenta la PA Cardiaco Y PA.
  • 16.
    FISIOPATOLOGÍA Dilatación eHipertrofia Ventricular
  • 17.
    ETIOLOGÍA Aumento De La Precarga •Hipervolemia • Cardiopatía Congénita cortocircuito ID • Lesiones valvulares
  • 18.
    ETIOLOGÍA Aumento De La Poscarga •Lesiones congénitas obstructivas • HTA sistémica grave
  • 19.
    ETIOLOGÍA Alteración En La Contractilidad Cardiaca •Miocarditis • Miocardiopatías • Coronariopatía avanzada (kawasaki) • Miocardiopatías degenerativas
  • 20.
  • 22.
    Manifestaciones clínicas Están influenciadas Por el momento de aparición Anatomía de la lesión Clínicamente se subdividen Niñez y Período perinatal Infancia Temprana Adolescencia
  • 23.
    Circunstancia Preservación Rara de la función Insuficiencia Cardíaca Prevención Objetivos a hipertrofia y futuro remodelamient Periodo o Prenatal Preparación Más común para cirugía Shock Cardiogénico Estabilización 3 tipos de hemodinámica causas
  • 25.
    Infancia Temprana Circulación Circulación Shunt I-D Shunt D-I en serie en paralelo
  • 29.
    Niñez y Adolescencia Aumenta la morbilidad posoperatoria Signos y síntomas de patología sin resolver Descompesación de enfermedades subyacentes Enfermedades desde el nacimiento
  • 33.
    FALLA CARDÍACA AGUDA Aumento del volumen • Diuréticos Baja eyección • Inotrópicos Paro respiratorio • Ventilador y tubo endotraqueal Conducto Arterioso • Prostaglandina E1 Control del volumen • • Reduceendovenoso la Catéter la precarga y Nitroprusiato Correcciones del postcarga caso • • Reduce la Presión arterial Anemia
  • 34.
    TRATAMIENTO A LARGOPLAZO Tratamiento no farmacológico Nutrición Hidratación Hematocrito Hemoglobina
  • 35.
    Diuréticos • Insuficiencia cardíaca congestiva • Inhibe bomba Na-CL-K • Hiperkalemia • Furosemida y Bumetanida IECAS • Reducen la Postacarga • Inhibe la transformación de A1 en A2 • Vasodilatación • Captopril, Lisinopril y Enalapril ARA II • Mismo efecto que los IECAS • Pacientes que no responden a IECAS • Losartan
  • 36.
    Inotrópicos • Adrenalina yDobutamina • Actuan como Catecolaminas • Regulación negativa Glucósidos Cardíacos • Aumenta la fuerza y el tiempo de llenado • Pocos estudios, margen de eficacia muy estrecho • Digoxina Nitratos • Precursores del óxido nítrico • Reducen la precarga y la postcarga • Nitroglicerina, mononitrato de isosorbida y nitroprusiato
  • 37.
    Betabloqueadores • Aparentemente contraindicados •Cuidadosa administración en adultos • No hay estudios en niños Anticoagulantes • Riesgo de trombos • Aspirina no es bien tolerada • Elección: Warfarina Cirugía • Solución definitiva: Trasplante • Cateterismo o correcciones en defectos congénitos • Otros procedimientos traen efectos adversos