Insuficiencia Respiratoria (IR) Enfoque clínico y terapéutico
Concepto Pulmón previamente sano:  PaO 2  menor de 60 mm Hg. y/o PaCO 2  mayor de 49 en ausencia de alcalosis metabólica. En reposo a nivel del mar. Relación PaO 2 /FiO 2  menor de 300 Requiere de la medición de gases en sangre arterial.
PaO 2  menor de 60 mm Hg Hb SO 2  % 100 80 60 20 PaO 2  mm Hg 60 80
PCO 2  mayor 49 mm Hg Hb SO 2  % 100 80 60 40 PaCO 2  mm Hg 20 40 60 80
Clasificación de la IR Velocidad de instalación : Aguda Aguda sobre crónica Crónica Alteración gasométrica: Global Parcial
Diferencia entre aguda y crónica Aguda: Injuria aguda pH anormal Sin mecanismos compensatorios Mal  tolerada Crónica: Progresión de la enfermedad pH normal Compensación crónica: Policitemia   2.3 DPG Mejor tolerada
Causas de IR Encéfalo Médula espinal Neuromuscular Tórax y pleura Vía aérea superior Cardiovascular Parenquima pulmonar
Causas de IR Falla intercambiador Agudas: SDRA EPA Neumonía TEP Atelectasia Crisis asmática Derrame pleural masivo Hemorragia alveolar Neumotórax extenso Crónicas: LCFA Fibrosis Pulmonar Falla Primaria de Bomba Agudas: Sobredosis de sedantes AVE TEC, TRQM Poliomielitis Guillain-Barré Miatenia Gravis Porfiria Torax Volante   K + , PO 4 , Mg Crónicas: Toracopplastia Cifoescoliosis Apnea del sueño ELA
Causas de hipoxia Hipoxémica Insuficiencia respiratoria aguda o crónica Circulatoria Shock Anémica Anemia, intoxicación por CO Disóxica Shock, intoxicación por cianuro
Causas de hipoxemia Factores intrapulmonares: Difusión alveolocapilar de O 2 Cortocircuito ( shunt ) Relaciones ventilación/perfusión (VA/Q) Ventilación Factores extrapulmonares: Presión inspiratoria de O 2 Ventilación Gasto cardiaco
Limitación de la difusión De dudosa relevancia clínica Responde a la administración de O 2 Gradiente alveolo-arterial de O 2  elevada G(A-a)O 2 = PAO 2  – PaO 2  > 20 PAO 2 = (Pb – P H 2 O ) FiO 2  – PaCO 2 /R Fibrosis pulmonar
Desequilibrio VA/Q Mecanismo más frecuente Responde a la administración de O 2 Gradiente alveolo-arterial elevada PaCO 2  normal, elevada o disminuida EPOC, TEP
Cortocircuito o Shunt Sangre no ventilada No responde a oxígeno G(A-a)O 2  muy elevada Neumonía, SDRA, EPA
Hipoventilación alveolar VA=K x VCO 2 /PaCO 2 Se acompaña siempre de hipercapnia Responde a oxigenoterapia G(A – a)O 2   normal en pulmón sano.
Causas de hipercapnia Hipoventilación alveolar Desequilibrio de las relaciones VA/Q
Causas de hipoxemia e hipercapnia: Diagnóstico diferencial PaO 2 PaCO 2 G(A – a)O 2 VA Difusión Shunt VA/Q
Manifestaciones clínicas de Hipoxemia e hipercapnia Hipoxemia: Compromiso de conciencia Cambios de personalidad Confusión, ansiedad Convulsiones coma Taquicardia, bradicardia Hiper o hipotensión Arritmias Isquemia miocardica Taquipnea cianosis Hipercapnia: Compromiso de conciencia Cefalea Confusión sopor Coma, convulsiones Asterixis Mioclonías Edema papilar Hipotensión Arritmias
SINDROME DE DISTRESS RESPIRATORIO AGUDO Paradigma de la IR aguda
Definición Injuria pulmonar aguda SDRA  PaO 2 /FiO 2 < 300 < 200 Infiltrados Bilaterales si si PCP < 18 mmHg < 18 mmHg
Causas de SDRA Sepsis Aspiración Neumonía Intoxicación Ahogamiento Inhalación de tóxicos Quemaduras extensas Contusión pulmonar Tranfusiones Embolía grasa Obstrucción vía aérea sup. Transplante Drogas Revascularización miocardica Pancreatitis Neumonía eosinofila BOOP TBC miliar
Fisiopatología del SDRA Injuria pulmonar o extrapulmonar Daño epitelial Daño endotelial Proliferación celular Shunt “celular” Edema Shunt “ líquido” Vasoconstricción. HTp CRF y distensibilidad Pérdida de vasoconstricción hipóxica Hipoxemia
 
 
 
 
Mecanismos de hipoxemia Pulmonares:   Shunt: Edema, colapso, consolidación V/Q: Hipoventilación, pérdida de la vasoconstricción hipóxica, trombosis, sobredistensión alveolar, remodelación pulmonar tardia Extrapulmonares: SVO 2  baja. Cortocircuito extrapulmonar
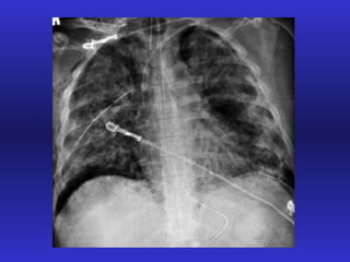
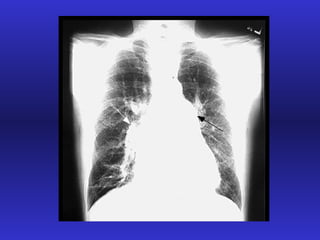
Distribución del edema en el SDRA
 
Mecanismos de perpetuación del SDRA Foco inicial no controlado Traslocación bacteriana. FOM Infecciones nosocomiales Síndrome fibroproliferativo del SDRA Daño pulmonar inducido por la ventilación mecánica
SEPSIS SRIS Secuestro de PMNn Activación/adhesión de PMNn Migración de PMNn (quimiotaxis) Activación/liberación de enzimas y oxidantes Daño endotelial y epitelial SDRA
Tratamiento del SDRA De la enfermedad causal: Buen pronóstico Embolia grasa Contusión pulmonar Sobredosis de drogas Edema pulmonar neurológico
Tratamiento farmacológico Estabilización hemodinámica Oxigeno Balance hídrico negativo Corticoides?? Oxido nitrico Prostaciclina AINE Antagonistas de leucotrienos
Ventilación mecánica Objetivo primordial: Saturación de oxígeno > de 90% con FIO 2  mayor o igual a 0,6. VMNI VM convencional PEEP Tiempo inspiratorio prolongado Decúbito prono
Exacerbación de la EPOC Paradigma de la IR aguda sobre crónica
Causas de la exacerbación aguda de la EPOC Infecciosa Alergia Inhalación de tóxicos Abandono del tratamiento Aumento en la producción de moco Insuficiencia cardiaca TEP Sedantes
Progresión de la EPOC Injuria Tabaco, polución Clearence  mucociliar Colonización bacteriana Mediadores bacterianos Daño vía aérea Respuesta inflamatoria PMN citoquinas
Insuficiencia respiratoria crónica
Factores pronósticos en IR crónica Persistencia de hábito tabáquico Cor Pulmonale: Hipoxemia  Acidosis Policitemia Pérdida del lecho vascular pulmonar VEF 1 Comorbilidad
 
 
Indicaciones de oxigenoterapia en IR crónica Paciente con EPOC estable con PaO 2  basal < 55 mm Hg en dos ocasiones por un periodo de 4 semanas. Paciente EPOC con PaO 2  entre 55 y 59 asociado a: Hipertensión pulmonar Hematocrito > 55% Sobrecarga ventricular derecha Cor Pulmonale Arritmias IR no EPOC con PaO 2  < 60 mm Hg
 
Oxigenoterapia
Indicaciones de Oxigenoterapia Hipoxemia Hipoxia Aliviar trabajo respiratorio Aliviar trabajo cardiaco
Formas de administración de Oxigeno Sistemas independientes del flujo Venturi: 50% Sistemas dependientes de flujo Naricera Cánula nasal Mascarilla simple Mascarilla con resevorio Cánula transtraqueal
 
 
Complicaciones de la Oxigenoterapia Atelectasia por reabsorción Toxicidad pulmonar por Oxígeno Displasia bronco pulmonar Fibroplasia retrolenticular Retención de CO 2
Retención de CO 2 Disminución de VE Efecto Haldane Acentuación de los desequilibrios VA/Q

Insuficienciarespiratoriaaguda

  • 1.
    Insuficiencia Respiratoria (IR)Enfoque clínico y terapéutico
  • 2.
    Concepto Pulmón previamentesano: PaO 2 menor de 60 mm Hg. y/o PaCO 2 mayor de 49 en ausencia de alcalosis metabólica. En reposo a nivel del mar. Relación PaO 2 /FiO 2 menor de 300 Requiere de la medición de gases en sangre arterial.
  • 3.
    PaO 2 menor de 60 mm Hg Hb SO 2 % 100 80 60 20 PaO 2 mm Hg 60 80
  • 4.
    PCO 2 mayor 49 mm Hg Hb SO 2 % 100 80 60 40 PaCO 2 mm Hg 20 40 60 80
  • 5.
    Clasificación de laIR Velocidad de instalación : Aguda Aguda sobre crónica Crónica Alteración gasométrica: Global Parcial
  • 6.
    Diferencia entre aguday crónica Aguda: Injuria aguda pH anormal Sin mecanismos compensatorios Mal tolerada Crónica: Progresión de la enfermedad pH normal Compensación crónica: Policitemia 2.3 DPG Mejor tolerada
  • 7.
    Causas de IREncéfalo Médula espinal Neuromuscular Tórax y pleura Vía aérea superior Cardiovascular Parenquima pulmonar
  • 8.
    Causas de IRFalla intercambiador Agudas: SDRA EPA Neumonía TEP Atelectasia Crisis asmática Derrame pleural masivo Hemorragia alveolar Neumotórax extenso Crónicas: LCFA Fibrosis Pulmonar Falla Primaria de Bomba Agudas: Sobredosis de sedantes AVE TEC, TRQM Poliomielitis Guillain-Barré Miatenia Gravis Porfiria Torax Volante K + , PO 4 , Mg Crónicas: Toracopplastia Cifoescoliosis Apnea del sueño ELA
  • 9.
    Causas de hipoxiaHipoxémica Insuficiencia respiratoria aguda o crónica Circulatoria Shock Anémica Anemia, intoxicación por CO Disóxica Shock, intoxicación por cianuro
  • 10.
    Causas de hipoxemiaFactores intrapulmonares: Difusión alveolocapilar de O 2 Cortocircuito ( shunt ) Relaciones ventilación/perfusión (VA/Q) Ventilación Factores extrapulmonares: Presión inspiratoria de O 2 Ventilación Gasto cardiaco
  • 11.
    Limitación de ladifusión De dudosa relevancia clínica Responde a la administración de O 2 Gradiente alveolo-arterial de O 2 elevada G(A-a)O 2 = PAO 2 – PaO 2 > 20 PAO 2 = (Pb – P H 2 O ) FiO 2 – PaCO 2 /R Fibrosis pulmonar
  • 12.
    Desequilibrio VA/Q Mecanismomás frecuente Responde a la administración de O 2 Gradiente alveolo-arterial elevada PaCO 2 normal, elevada o disminuida EPOC, TEP
  • 13.
    Cortocircuito o ShuntSangre no ventilada No responde a oxígeno G(A-a)O 2 muy elevada Neumonía, SDRA, EPA
  • 14.
    Hipoventilación alveolar VA=Kx VCO 2 /PaCO 2 Se acompaña siempre de hipercapnia Responde a oxigenoterapia G(A – a)O 2 normal en pulmón sano.
  • 15.
    Causas de hipercapniaHipoventilación alveolar Desequilibrio de las relaciones VA/Q
  • 16.
    Causas de hipoxemiae hipercapnia: Diagnóstico diferencial PaO 2 PaCO 2 G(A – a)O 2 VA Difusión Shunt VA/Q
  • 17.
    Manifestaciones clínicas deHipoxemia e hipercapnia Hipoxemia: Compromiso de conciencia Cambios de personalidad Confusión, ansiedad Convulsiones coma Taquicardia, bradicardia Hiper o hipotensión Arritmias Isquemia miocardica Taquipnea cianosis Hipercapnia: Compromiso de conciencia Cefalea Confusión sopor Coma, convulsiones Asterixis Mioclonías Edema papilar Hipotensión Arritmias
  • 18.
    SINDROME DE DISTRESSRESPIRATORIO AGUDO Paradigma de la IR aguda
  • 19.
    Definición Injuria pulmonaraguda SDRA PaO 2 /FiO 2 < 300 < 200 Infiltrados Bilaterales si si PCP < 18 mmHg < 18 mmHg
  • 20.
    Causas de SDRASepsis Aspiración Neumonía Intoxicación Ahogamiento Inhalación de tóxicos Quemaduras extensas Contusión pulmonar Tranfusiones Embolía grasa Obstrucción vía aérea sup. Transplante Drogas Revascularización miocardica Pancreatitis Neumonía eosinofila BOOP TBC miliar
  • 21.
    Fisiopatología del SDRAInjuria pulmonar o extrapulmonar Daño epitelial Daño endotelial Proliferación celular Shunt “celular” Edema Shunt “ líquido” Vasoconstricción. HTp CRF y distensibilidad Pérdida de vasoconstricción hipóxica Hipoxemia
  • 22.
  • 23.
  • 24.
  • 25.
  • 26.
    Mecanismos de hipoxemiaPulmonares: Shunt: Edema, colapso, consolidación V/Q: Hipoventilación, pérdida de la vasoconstricción hipóxica, trombosis, sobredistensión alveolar, remodelación pulmonar tardia Extrapulmonares: SVO 2 baja. Cortocircuito extrapulmonar
  • 27.
  • 28.
  • 29.
    Mecanismos de perpetuacióndel SDRA Foco inicial no controlado Traslocación bacteriana. FOM Infecciones nosocomiales Síndrome fibroproliferativo del SDRA Daño pulmonar inducido por la ventilación mecánica
  • 30.
    SEPSIS SRIS Secuestrode PMNn Activación/adhesión de PMNn Migración de PMNn (quimiotaxis) Activación/liberación de enzimas y oxidantes Daño endotelial y epitelial SDRA
  • 31.
    Tratamiento del SDRADe la enfermedad causal: Buen pronóstico Embolia grasa Contusión pulmonar Sobredosis de drogas Edema pulmonar neurológico
  • 32.
    Tratamiento farmacológico Estabilizaciónhemodinámica Oxigeno Balance hídrico negativo Corticoides?? Oxido nitrico Prostaciclina AINE Antagonistas de leucotrienos
  • 33.
    Ventilación mecánica Objetivoprimordial: Saturación de oxígeno > de 90% con FIO 2 mayor o igual a 0,6. VMNI VM convencional PEEP Tiempo inspiratorio prolongado Decúbito prono
  • 34.
    Exacerbación de laEPOC Paradigma de la IR aguda sobre crónica
  • 35.
    Causas de laexacerbación aguda de la EPOC Infecciosa Alergia Inhalación de tóxicos Abandono del tratamiento Aumento en la producción de moco Insuficiencia cardiaca TEP Sedantes
  • 36.
    Progresión de laEPOC Injuria Tabaco, polución Clearence mucociliar Colonización bacteriana Mediadores bacterianos Daño vía aérea Respuesta inflamatoria PMN citoquinas
  • 37.
  • 38.
    Factores pronósticos enIR crónica Persistencia de hábito tabáquico Cor Pulmonale: Hipoxemia Acidosis Policitemia Pérdida del lecho vascular pulmonar VEF 1 Comorbilidad
  • 39.
  • 40.
  • 41.
    Indicaciones de oxigenoterapiaen IR crónica Paciente con EPOC estable con PaO 2 basal < 55 mm Hg en dos ocasiones por un periodo de 4 semanas. Paciente EPOC con PaO 2 entre 55 y 59 asociado a: Hipertensión pulmonar Hematocrito > 55% Sobrecarga ventricular derecha Cor Pulmonale Arritmias IR no EPOC con PaO 2 < 60 mm Hg
  • 42.
  • 43.
  • 44.
    Indicaciones de OxigenoterapiaHipoxemia Hipoxia Aliviar trabajo respiratorio Aliviar trabajo cardiaco
  • 45.
    Formas de administraciónde Oxigeno Sistemas independientes del flujo Venturi: 50% Sistemas dependientes de flujo Naricera Cánula nasal Mascarilla simple Mascarilla con resevorio Cánula transtraqueal
  • 46.
  • 47.
  • 48.
    Complicaciones de laOxigenoterapia Atelectasia por reabsorción Toxicidad pulmonar por Oxígeno Displasia bronco pulmonar Fibroplasia retrolenticular Retención de CO 2
  • 49.
    Retención de CO2 Disminución de VE Efecto Haldane Acentuación de los desequilibrios VA/Q