NEOPLASIAS
PATOLOGÍAGENERAL
Universidad de Sucre. Facultad Ciencias de la Salud. Programa de Medicina.
Jesús Turizo Hernández
Objetivos
Conocer los aspectos fisiopatológicos más relevantes de las neoplasias.
Identificar los factores moleculares que inducen el desarrollo de tumores.
Diferenciar los conceptos de neoplasia o tumor, cáncer y displasia grave.
GENERALIDADES
Introducción
Cilios
Microvellosidades
Mitocondria
Ribosomas libres
Peroxisoma
Microtúbulos
Lisosomas
Retículo
endoplasmático liso
Cromatina
Membrana celular
Retículo
endoplasmático
rugoso
Envoltura nuclear
Nucléolo
Aparato de Golgi
Poro nuclear
Vesícula secretora
Célula normal
Introducción
Adaptación
Células normales
Atrofia
Hipertrofia
Hiperplasia
Metaplasia
Displasia
Diferenciación
Introducción
Daño celular
Daño del material genético en los genes que controlan:
 Comunicación entre células y célula y la transmisión intracelular de señales.
 Transcripción del ADN e inhibición y la activación del mecanismo de muerte.
Definición
 Neoplasia significa nuevo crecimiento, del griego neo, «nuevo»; plas(íā),
«formación celular».
 Tumor se aplicó a la tumefacción causada por una inflamación, ahora es
equivalente a neoplasia.
 Cáncer designa una neoplasia o tumor maligno, del latín cancer, «cangrejo»; del
griego karkinos, «cangrejo».
 Oncología es el estudio de los tumores o neoplasias, del griego oncos, «tumor»;
logos, «estudio».
«Una neoplasia es una masa anormal de tejido cuyo crecimiento excede y está
descoordinado con el de los tejidos normales, y persiste de la misma forma excesiva
después de cesar los estímulos que desencadenaron el cambio».
R. A. Willis
Célula normal
Alteración genética
Célula anormal
Falta de control
Proliferación excesiva
Características
Neoplasia benigna
Músculo liso
Serosa
Mucosa
Noxa que causa pocas
alteraciones genéticas
Intestino normal
Proceso de
transformación
(Lento)
Tumor benigno:
leiomioma
▪ Limites bien definidos
▪ Células bien diferenciadas
▪ Ausencia de
▪ Anaplasia
▪ Invasión
Características
Neoplasia maligna
Noxas que causan múltiples
alteraciones genéticas
Piel normal
Proceso de
transformación
(Rápido)
Tumor maligno:
Carcinoma epidermoide
▪ Limites mal definidos
▪ Invasión local
▪ Ulceración y necrosis
▪ Anaplasia y mitosis
▪ Invasión vascular
Carcinoma in situ
Invasión
Trombo tumoral
Vaso sanguíneo
Componentes básicos
Neoplasias
Parénquima Estroma
Células neoplásicas clonales Tejido conjuntivo
Vasos sanguíneos
Macrófagos
Linfocitos
NOMENCLATURA
Compuesto de un tipo de célula parenquimatosa
Tumores de origen mesenquimatoso
Tejido de origen Benigno Maligno
Tejido conectivo fibroso Fibroma Fibrosarcoma
Tejido conectivo adiposo Lipoma Liposarcoma
Tejido conectivo catilaginoso Condroma Condrosarcoma
Tejido conectivo óseo Osteoma Osteosarcoma
Tumores de los melanocitos
Tejido de origen Benigno Maligno
Nevos Melanoma maligno
Compuesto de un tipo de célula parenquimatosa
Tumores de origen endotelial y tejidos relacionados
Tejido de origen Benigno Maligno
Tumores de origen vascular
Vasos sanguíneos Hemangioma Angiosarcoma
Vasos linfáticos Linfangioma Linfangiosarcoma
Tumores de recubrimientos membranosos
Membrana sinovial Sarcoma sinovial
Membrana mesotelial Mesotelioma
Cubiertas encefálicas Meningioma Meningioma invasivo
Compuesto de un tipo de célula parenquimatosa
Tumores de células sanguíneas y células relacionadas
Tejido de origen Benigno Maligno
Células hematopoyéticas Leucemias
Tejido linfoide Linfomas
Tumores de origen muscular
Tejido de origen Benigno Maligno
Tejido muscular liso Leiomioma Leiomiosarcoma
Tejido muscular estriado Rabdomioma Rabdomiosarcoma
Compuesto de un tipo de célula parenquimatosa
Tumores de origen epitelial
Tejido de origen Benigno Maligno
Escamoso estratificado
Papiloma de células
escamosas
Carcinoma epidermoide
Células basales de la piel o
anexos
Carcinoma basocelular
Recubrimiento endotelial de
glándulas o conductos
Adenoma
Papiloma
Cistoadenoma
Adenocarcinoma
Carcinomas papilares
Cistoadenocarcinoma
Vías respiratorias Adenoma bronquial Carcinoma broncógeno
Tumores de origen epitelial
Tejido de origen Benigno Maligno
Epitelio renal Adenoma tubular renal
Carcinoma de células
renales
Células hepáticas Adenoma de células
hepáticas
Carcinoma hepatocelular
Epitelio del aparato urinario
(transicional)
Papiloma de células
transicionales
Carcinoma de células
transicionales
Epitelio placentario Mola hidatídica Coriocarcinoma
Epitelio testicular
(células germinales)
Seminoma
Carcinoma embrionario
Compuesto de un tipo de célula parenquimatosa
Compuesto de más de un tipo de célula parenquimatosa
Tumores derivados de una capa celular germinal
Tejido de origen Benigno Maligno
Glándulas salivales
Adenoma pleomórfico
(tumor mixto de origen
salival)
Tumor mixto maligno de
origen en la glándula salival
Primordio renal Tumor de Wilms
Tumores derivados de más de una capa celular germinal
Tejido de origen Benigno Maligno
Células totipotenciales en las
gónadas o en restos
embrionarios
Teratoma maduro, quiste
dermoide
Teratoma inmaduro,
teratocarcinoma
Tumores benignos
 Los tumores benignos se designan añadiendo –oma a la célula de origen.
 Los tumores de células mesenquimatosas generalmente siguen la regla.
 Fibroma.
 Lipoma.
 Condroma.
 Osteoma.
 Los tumores epiteliales benignos tienen una nomenclatura más compleja.
 Los pólipos son proyecciones visibles sobre una superficie mucosa.
Nombre Característica
Adenoma
Neoplasias epiteliales benignas derivadas de
glándulas.
Papiloma
Neoplasias epiteliales benignas que producen
proyecciones digitiformes.
Cistoadenoma
Neoplasias epiteliales benignas que forman
grandes masas quísticas
Cistoadenoma papilar
Tumores que producen patrones papilares que
protruyen los espacios quísticos.
Tumores epiteliales benignos
Tumores benignos
Vista macroscópica de un lipoma
Tumores benignos
Vista macroscópica de una lipomatosis
Tumores benignos
Vista microscópica de un lipoma, H&E
Tumores benignos
Vista microscópica de un angiolipoma, H&E
Tumores benignos
Vista microscópica de un condroma, H&E
Tumores benignos
Vista microscópica de un adenoma folicular tiroideo, H&E
Vista macroscópica de una verruga vulgar
Tumores benignos
Vista microscópica de una verruga vulgar, H&E
Tumores benignos
Vista microscópica de una verruga vulgar filiforme, H&E
Tumores benignos
Vista microscópica de una verruga vulgar, H&E
Tumores benignos
Vista microscópica de una verruga vulgar, H&E
Tumores benignos
Vista macroscópica de un cistoadenoma seroso de ovario
Tumores benignos
Vista microscópica de un cistoadenoma papilar seroso de ovario, H&E
Tumores benignos
Vista microscópica de un tumor de Warthin, H&E
Tumores benignos
Vista macroscópica de un pólipo en el colon
Tumores benignos
Vista microscópica de un pólipo en el colon, H&E
Tumores benignos
Vista microscópica de la enfermedad fibroquística, mama, H&E
Tumores benignos
Vista microscópica de un leiomioma, H&E
Tumores benignos
Vista microscópica de un rabdomioma, H&E
Tumores benignos
Tumores malignos
 Los tumores malignos que se originan en el tejido mesenquimatoso tienen poco
estroma y son carnosos, generalmente se llaman sarcomas.
 Las neoplasias epiteliales malignas se llaman carcinomas.
 Carcinomas de células escamosas, denota un cáncer con patrón similar al
epitelio escamoso estratificado.
 Adenocarcinoma, alude a una lesión en la que las células neoplásicas
crecen con un patrón glandular.
 Las neoplasias malignas con células indiferenciadas se designan meramente
como tumores malignos indiferenciados.
Tumores malignos
Vista macroscópica de un melanoma
Tumores malignos
Vista macroscópica de un melanoma
Vista microscópica de un melanoma in situ, H&E
Tumores malignos
Vista microscópica de un melanoma in situ, H&E
Tumores malignos
Tumores malignos
Vista macroscópica de un cáncer de pene
Vista microscópica de un carcinoma de células escamosas, pene, H&E
Tumores malignos
Vista microscópica de un carcinoma de células escamosas, lengua, H&E
Tumores malignos
Vista microscópica de un adenocarcinoma, próstata, H&E
Tumores malignos
Carcinoma ductal in situ, mama, H&E
Tumores malignos
Tumores malignos
Vista microscópica de una leucemia linfoblástica aguda, H&E
Tumores malignos
Vista microscópica de linfoma anaplásico de células T grandes, PAP
Tumores malignos
Vista microscópica de linfoma anaplásico de células T grandes, PAP
Tumores mixtos
 Los tumores mixtos tienen dos o más tipos de tejido en el parénquima, que
derivan de una sola capa germinal.
 Los tumores mixtos no deben confundirse con los teratomas, que contienen
células de dos o más capas germinales.
 Los teratomas se originan de células totipotenciales que pueden originar cualquier
tipo de célula o tejido del organismo.
 Teratoma maduro (benigno), cuando están bien diferenciados.
 Teratoma inmadura (maligno), cuando están indiferenciados.
 Teratoma quístico, piel con pelo glándulas sebáceas y diente.
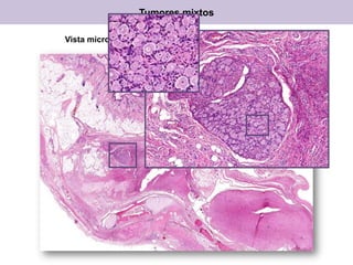
Vista microscópica de un adenoma pleomórfico, glándula parótida, H&E
Tumores mixtos
Vista macroscópica de un teratoma quístico de ovario
Tumores mixtos
Vista microscópica de un teratoma maduro, ovario, H&E
Tumores mixtos
Vista microscópica de un teratoma maduro, ovario, H&E
Tumores mixtos
Tumores mixtos
Vista microscópica de un teratoma maduro, ovario, H&E
Tumores mixtos
Vista microscópica de un teratoma maduro, ovario, H&E
Vista microscópica de un teratoma maduro, ovario, H&E
Tumores mixtos
LESIONES NO NEOPLÁSICAS
Coristoma
Vista microscópica de coristoma, vesícula biliar, H&E
Coristoma
Vista microscópica de coristoma, lengua, H&E
Vista microscópica de hamartoma, bronquio principal, H&E
Hamartoma
CARACTERÍSTICAS
Diferenciación y anaplasia
 La diferenciación se refiere al grado en el que las células parenquimatosas
neoplásicas se asemejan a las células parenquimatosas normales.
 La anaplasia se refiere a la pérdida o ausencia o escasos signos de diferenciación
de las células parenquimatosas neoplásicas. Está relacionada con:
 Pleomorfismo, variación en el tamaño y forma de las células.
 Morfología nuclear anormal, núcleos oscuros (hipercromásia).
 Mitosis, necesariamente no distingue entre benigno y maligno.
 Pérdida de la polaridad, u orientación en células anaplásicas.
 La metaplasia se define como la sustitución de un tipo de célula por otro tipo
asociado a una lesión, reparación o regeneración tisular.
 La displasia se refiere a anormalidades de la orientación arquitectural de las
células debido a alteraciones en el proceso de maduración.
 Carcinoma in situ, lesión delimitada por la membrana basal.
 Carcinoma invasivo, rompimiento de la membrana basal.
Diferenciación y anaplasia
Diferenciación y anaplasia
Neoplasia Intraepitelial Cervical (NIC)
Normal NIC I NIC II NIC III
Normales LEIBG LEIAG LEIAG
CITOLOGÍA
(Bethesda 2001)
LEI (LIE)
SIL
LEIBG (LIEBG)
LSIL (SIL-L)
LEIAG (LIEAG)
HSIL (SIL-H)
HISTOLOGÍA
OMS (1987)
NIC I (1)
CIN I (1)
VPH
NIC II (2)
CIN II (2)
NIC III (3)
CIN III (3)
Richard (1993) DL DM DS
Diferenciación y anaplasia
Anomalías de células epiteliales escamosas cervicales
CITOLOGÍA
(Bethesda 2001)
ASC-US ASC-H
HISTOLOGÍA
(OMS 1987)
Carcinoma in situ (CIS) Carcinoma invasivo
Velocidades de crecimiento
 La velocidad de crecimiento se determina por tres factores celulares principales:
el tiempo de duplicación, la fracción de crecimiento y la velocidad de muerte.
 Los controles del ciclo del celular presentan alteración en las células tumorales,
pero no necesariamente se dividen más rápido que las células normales.
 La fracción de crecimiento corresponde a la proporción de células que se
encuentran en el fondo común proliferativo.
 La velocidad de muerte determina el crecimiento progresivo de los tumores y la
velocidad a la que crecen.
Velocidades de crecimiento
Célula transformada
G0
G0
Diferenciación
Muerte
Fondo común proliferativo
Fondo común no proliferativo
Invasión local
 En las lesiones benignas, a diferencias de las malignas, la invasión local se
caracteriza por:
 Tumores benignos. La mayoría de los tumores benignos crecen como
masas expansivas y cohesivas con cápsula periférica.
 Tumores malignos. Las neoplasias malignas son invasivas e infiltrativas, y
destruyen tejidos circundantes.
Metástasis
 La metástasis implica la invasión de vasos linfáticos o vasos sanguíneos, y que se
sigue del transporte y crecimiento de masas tumorales.
 Ésta es la característica aislada más importante que distingue tumores benignos
de malignos. La invasión se produce por tres rutas:
 Diseminación a las cavidades.
 Diseminación por vasos linfáticos.
 Diseminación por vía hematógena.
Comparaciones entre tumores benignos y malignos
Tumores benignos
Diferenciación/anaplasia Bien diferenciados; estructura en ocasiones típica del tejido
de origen.
Velocidad de crecimiento Generalmente progresiva y lenta; pueden llegar a
estabilizarse o regresar; figuras mitóticas raras y normales.
Invasión local Generalmente masas expansivas, cohesivas, bien
delimitadas, que no invaden ni infiltran los tejidos normales
circundantes.
Metástasis Ausentes.
Comparaciones entre tumores benignos y malignos
Tumores malignos
Diferenciación/anaplasia Cierta falta de diferenciación con anaplasia; estructura a
menudo atípica.
Velocidad de crecimiento Errática, puede ser desde lenta hasta rápida; las figuras
mitóticas pueden ser numerosas y anormales.
Invasión local Localmente invasivos, infiltrando el tejido circundante; en
ocasiones pueden ser aparentemente cohesivos y
expansivos.
Metástasis Frecuentemente presentes; cuanto más grande y más
indiferenciado sea el primario, más probables son las
metástasis.
Comparaciones entre tumores benignos y malignos
Comparación entre un tumor benigno del miometrio (leiomioma)
y un tumor maligno del mismo origen (leiomiosarcoma)
EPIDEMIOLOGÍA
Incidencia
Incidencia
Factores geográficos y medioambientales
Edad
 El cáncer es más habitual en las personas mayores de 55 años y es la principal
causa de muerte entre 40-79 años (mujeres) y 60-79 años (hombres).
 Otras neoplasias son comunes en ciertos grupos de edad; en <15 años:
 Leucemias y linfomas.
 Neuroblastomas.
 Tumor de Wilms.
 Retinoblastomas.
 Sarcomas del hueso.
Predisposición genética
Gen Predisposición genética
RB Retinoblastoma
P53 Síndrome de Li-Fraumeni (varios tumores)
p16/INK4A Melanoma
APC Poliposis adenomatosa familiar/cáncer de colon
NF1, NF2 Neurofibromatosis 1 y 2
BRCA1, BRCA2 Tumores de mama y ovario
MEN1, RET Neoplasia endocrina múltiple 1 y 2
MSH2, MLH1, MSH6 Cáncer de colon no polipósico hereditario
PTCH Síndrome de carcinoma de células basales nevoide
PTEN Síndrome de Cowden (cánceres epiteliales)
LKB1 Síndrome de Peutz-Jeghers (cánceres epiteliales)
VHL Carcinomas de células renales
BASES MOLECULARES DEL CÁNCER
Regulación del ciclo celular
Papel del p53 en el mantenimiento de la integridad del genoma
Papel del p53 en el mantenimiento de la integridad del genoma
Neoplasias

Neoplasias

  • 1.
    NEOPLASIAS PATOLOGÍAGENERAL Universidad de Sucre.Facultad Ciencias de la Salud. Programa de Medicina. Jesús Turizo Hernández
  • 2.
    Objetivos Conocer los aspectosfisiopatológicos más relevantes de las neoplasias. Identificar los factores moleculares que inducen el desarrollo de tumores. Diferenciar los conceptos de neoplasia o tumor, cáncer y displasia grave.
  • 3.
  • 4.
    Introducción Cilios Microvellosidades Mitocondria Ribosomas libres Peroxisoma Microtúbulos Lisosomas Retículo endoplasmático liso Cromatina Membranacelular Retículo endoplasmático rugoso Envoltura nuclear Nucléolo Aparato de Golgi Poro nuclear Vesícula secretora Célula normal
  • 5.
  • 6.
    Introducción Daño celular Daño delmaterial genético en los genes que controlan:  Comunicación entre células y célula y la transmisión intracelular de señales.  Transcripción del ADN e inhibición y la activación del mecanismo de muerte.
  • 7.
    Definición  Neoplasia significanuevo crecimiento, del griego neo, «nuevo»; plas(íā), «formación celular».  Tumor se aplicó a la tumefacción causada por una inflamación, ahora es equivalente a neoplasia.  Cáncer designa una neoplasia o tumor maligno, del latín cancer, «cangrejo»; del griego karkinos, «cangrejo».  Oncología es el estudio de los tumores o neoplasias, del griego oncos, «tumor»; logos, «estudio». «Una neoplasia es una masa anormal de tejido cuyo crecimiento excede y está descoordinado con el de los tejidos normales, y persiste de la misma forma excesiva después de cesar los estímulos que desencadenaron el cambio». R. A. Willis Célula normal Alteración genética Célula anormal Falta de control Proliferación excesiva
  • 8.
    Características Neoplasia benigna Músculo liso Serosa Mucosa Noxaque causa pocas alteraciones genéticas Intestino normal Proceso de transformación (Lento) Tumor benigno: leiomioma ▪ Limites bien definidos ▪ Células bien diferenciadas ▪ Ausencia de ▪ Anaplasia ▪ Invasión
  • 9.
    Características Neoplasia maligna Noxas quecausan múltiples alteraciones genéticas Piel normal Proceso de transformación (Rápido) Tumor maligno: Carcinoma epidermoide ▪ Limites mal definidos ▪ Invasión local ▪ Ulceración y necrosis ▪ Anaplasia y mitosis ▪ Invasión vascular Carcinoma in situ Invasión Trombo tumoral Vaso sanguíneo
  • 10.
    Componentes básicos Neoplasias Parénquima Estroma Célulasneoplásicas clonales Tejido conjuntivo Vasos sanguíneos Macrófagos Linfocitos
  • 11.
  • 12.
    Compuesto de untipo de célula parenquimatosa Tumores de origen mesenquimatoso Tejido de origen Benigno Maligno Tejido conectivo fibroso Fibroma Fibrosarcoma Tejido conectivo adiposo Lipoma Liposarcoma Tejido conectivo catilaginoso Condroma Condrosarcoma Tejido conectivo óseo Osteoma Osteosarcoma Tumores de los melanocitos Tejido de origen Benigno Maligno Nevos Melanoma maligno
  • 13.
    Compuesto de untipo de célula parenquimatosa Tumores de origen endotelial y tejidos relacionados Tejido de origen Benigno Maligno Tumores de origen vascular Vasos sanguíneos Hemangioma Angiosarcoma Vasos linfáticos Linfangioma Linfangiosarcoma Tumores de recubrimientos membranosos Membrana sinovial Sarcoma sinovial Membrana mesotelial Mesotelioma Cubiertas encefálicas Meningioma Meningioma invasivo
  • 14.
    Compuesto de untipo de célula parenquimatosa Tumores de células sanguíneas y células relacionadas Tejido de origen Benigno Maligno Células hematopoyéticas Leucemias Tejido linfoide Linfomas Tumores de origen muscular Tejido de origen Benigno Maligno Tejido muscular liso Leiomioma Leiomiosarcoma Tejido muscular estriado Rabdomioma Rabdomiosarcoma
  • 15.
    Compuesto de untipo de célula parenquimatosa Tumores de origen epitelial Tejido de origen Benigno Maligno Escamoso estratificado Papiloma de células escamosas Carcinoma epidermoide Células basales de la piel o anexos Carcinoma basocelular Recubrimiento endotelial de glándulas o conductos Adenoma Papiloma Cistoadenoma Adenocarcinoma Carcinomas papilares Cistoadenocarcinoma Vías respiratorias Adenoma bronquial Carcinoma broncógeno
  • 16.
    Tumores de origenepitelial Tejido de origen Benigno Maligno Epitelio renal Adenoma tubular renal Carcinoma de células renales Células hepáticas Adenoma de células hepáticas Carcinoma hepatocelular Epitelio del aparato urinario (transicional) Papiloma de células transicionales Carcinoma de células transicionales Epitelio placentario Mola hidatídica Coriocarcinoma Epitelio testicular (células germinales) Seminoma Carcinoma embrionario Compuesto de un tipo de célula parenquimatosa
  • 17.
    Compuesto de másde un tipo de célula parenquimatosa Tumores derivados de una capa celular germinal Tejido de origen Benigno Maligno Glándulas salivales Adenoma pleomórfico (tumor mixto de origen salival) Tumor mixto maligno de origen en la glándula salival Primordio renal Tumor de Wilms Tumores derivados de más de una capa celular germinal Tejido de origen Benigno Maligno Células totipotenciales en las gónadas o en restos embrionarios Teratoma maduro, quiste dermoide Teratoma inmaduro, teratocarcinoma
  • 18.
    Tumores benignos  Lostumores benignos se designan añadiendo –oma a la célula de origen.  Los tumores de células mesenquimatosas generalmente siguen la regla.  Fibroma.  Lipoma.  Condroma.  Osteoma.  Los tumores epiteliales benignos tienen una nomenclatura más compleja.  Los pólipos son proyecciones visibles sobre una superficie mucosa. Nombre Característica Adenoma Neoplasias epiteliales benignas derivadas de glándulas. Papiloma Neoplasias epiteliales benignas que producen proyecciones digitiformes. Cistoadenoma Neoplasias epiteliales benignas que forman grandes masas quísticas Cistoadenoma papilar Tumores que producen patrones papilares que protruyen los espacios quísticos. Tumores epiteliales benignos
  • 19.
  • 20.
  • 21.
  • 22.
  • 23.
  • 24.
    Tumores benignos Vista microscópicade un adenoma folicular tiroideo, H&E
  • 25.
    Vista macroscópica deuna verruga vulgar Tumores benignos
  • 26.
    Vista microscópica deuna verruga vulgar, H&E Tumores benignos
  • 27.
    Vista microscópica deuna verruga vulgar filiforme, H&E Tumores benignos
  • 28.
    Vista microscópica deuna verruga vulgar, H&E Tumores benignos
  • 29.
    Vista microscópica deuna verruga vulgar, H&E Tumores benignos
  • 30.
    Vista macroscópica deun cistoadenoma seroso de ovario Tumores benignos
  • 31.
    Vista microscópica deun cistoadenoma papilar seroso de ovario, H&E Tumores benignos
  • 32.
    Vista microscópica deun tumor de Warthin, H&E Tumores benignos
  • 33.
    Vista macroscópica deun pólipo en el colon Tumores benignos
  • 34.
    Vista microscópica deun pólipo en el colon, H&E Tumores benignos
  • 35.
    Vista microscópica dela enfermedad fibroquística, mama, H&E Tumores benignos
  • 36.
    Vista microscópica deun leiomioma, H&E Tumores benignos
  • 37.
    Vista microscópica deun rabdomioma, H&E Tumores benignos
  • 38.
    Tumores malignos  Lostumores malignos que se originan en el tejido mesenquimatoso tienen poco estroma y son carnosos, generalmente se llaman sarcomas.  Las neoplasias epiteliales malignas se llaman carcinomas.  Carcinomas de células escamosas, denota un cáncer con patrón similar al epitelio escamoso estratificado.  Adenocarcinoma, alude a una lesión en la que las células neoplásicas crecen con un patrón glandular.  Las neoplasias malignas con células indiferenciadas se designan meramente como tumores malignos indiferenciados.
  • 39.
  • 40.
  • 41.
    Vista microscópica deun melanoma in situ, H&E Tumores malignos
  • 42.
    Vista microscópica deun melanoma in situ, H&E Tumores malignos
  • 43.
  • 44.
    Vista microscópica deun carcinoma de células escamosas, pene, H&E Tumores malignos
  • 45.
    Vista microscópica deun carcinoma de células escamosas, lengua, H&E Tumores malignos
  • 46.
    Vista microscópica deun adenocarcinoma, próstata, H&E Tumores malignos
  • 47.
    Carcinoma ductal insitu, mama, H&E Tumores malignos
  • 48.
    Tumores malignos Vista microscópicade una leucemia linfoblástica aguda, H&E
  • 49.
    Tumores malignos Vista microscópicade linfoma anaplásico de células T grandes, PAP
  • 50.
    Tumores malignos Vista microscópicade linfoma anaplásico de células T grandes, PAP
  • 51.
    Tumores mixtos  Lostumores mixtos tienen dos o más tipos de tejido en el parénquima, que derivan de una sola capa germinal.  Los tumores mixtos no deben confundirse con los teratomas, que contienen células de dos o más capas germinales.  Los teratomas se originan de células totipotenciales que pueden originar cualquier tipo de célula o tejido del organismo.  Teratoma maduro (benigno), cuando están bien diferenciados.  Teratoma inmadura (maligno), cuando están indiferenciados.  Teratoma quístico, piel con pelo glándulas sebáceas y diente.
  • 52.
    Vista microscópica deun adenoma pleomórfico, glándula parótida, H&E Tumores mixtos
  • 53.
    Vista macroscópica deun teratoma quístico de ovario Tumores mixtos
  • 54.
    Vista microscópica deun teratoma maduro, ovario, H&E Tumores mixtos
  • 55.
    Vista microscópica deun teratoma maduro, ovario, H&E Tumores mixtos
  • 56.
    Tumores mixtos Vista microscópicade un teratoma maduro, ovario, H&E
  • 57.
    Tumores mixtos Vista microscópicade un teratoma maduro, ovario, H&E
  • 58.
    Vista microscópica deun teratoma maduro, ovario, H&E Tumores mixtos
  • 59.
  • 60.
    Coristoma Vista microscópica decoristoma, vesícula biliar, H&E
  • 61.
    Coristoma Vista microscópica decoristoma, lengua, H&E
  • 62.
    Vista microscópica dehamartoma, bronquio principal, H&E Hamartoma
  • 63.
  • 64.
    Diferenciación y anaplasia La diferenciación se refiere al grado en el que las células parenquimatosas neoplásicas se asemejan a las células parenquimatosas normales.  La anaplasia se refiere a la pérdida o ausencia o escasos signos de diferenciación de las células parenquimatosas neoplásicas. Está relacionada con:  Pleomorfismo, variación en el tamaño y forma de las células.  Morfología nuclear anormal, núcleos oscuros (hipercromásia).  Mitosis, necesariamente no distingue entre benigno y maligno.  Pérdida de la polaridad, u orientación en células anaplásicas.
  • 65.
     La metaplasiase define como la sustitución de un tipo de célula por otro tipo asociado a una lesión, reparación o regeneración tisular.  La displasia se refiere a anormalidades de la orientación arquitectural de las células debido a alteraciones en el proceso de maduración.  Carcinoma in situ, lesión delimitada por la membrana basal.  Carcinoma invasivo, rompimiento de la membrana basal. Diferenciación y anaplasia
  • 66.
    Diferenciación y anaplasia NeoplasiaIntraepitelial Cervical (NIC) Normal NIC I NIC II NIC III Normales LEIBG LEIAG LEIAG
  • 67.
    CITOLOGÍA (Bethesda 2001) LEI (LIE) SIL LEIBG(LIEBG) LSIL (SIL-L) LEIAG (LIEAG) HSIL (SIL-H) HISTOLOGÍA OMS (1987) NIC I (1) CIN I (1) VPH NIC II (2) CIN II (2) NIC III (3) CIN III (3) Richard (1993) DL DM DS Diferenciación y anaplasia Anomalías de células epiteliales escamosas cervicales CITOLOGÍA (Bethesda 2001) ASC-US ASC-H HISTOLOGÍA (OMS 1987) Carcinoma in situ (CIS) Carcinoma invasivo
  • 68.
    Velocidades de crecimiento La velocidad de crecimiento se determina por tres factores celulares principales: el tiempo de duplicación, la fracción de crecimiento y la velocidad de muerte.  Los controles del ciclo del celular presentan alteración en las células tumorales, pero no necesariamente se dividen más rápido que las células normales.  La fracción de crecimiento corresponde a la proporción de células que se encuentran en el fondo común proliferativo.  La velocidad de muerte determina el crecimiento progresivo de los tumores y la velocidad a la que crecen.
  • 69.
    Velocidades de crecimiento Célulatransformada G0 G0 Diferenciación Muerte Fondo común proliferativo Fondo común no proliferativo
  • 70.
    Invasión local  Enlas lesiones benignas, a diferencias de las malignas, la invasión local se caracteriza por:  Tumores benignos. La mayoría de los tumores benignos crecen como masas expansivas y cohesivas con cápsula periférica.  Tumores malignos. Las neoplasias malignas son invasivas e infiltrativas, y destruyen tejidos circundantes.
  • 71.
    Metástasis  La metástasisimplica la invasión de vasos linfáticos o vasos sanguíneos, y que se sigue del transporte y crecimiento de masas tumorales.  Ésta es la característica aislada más importante que distingue tumores benignos de malignos. La invasión se produce por tres rutas:  Diseminación a las cavidades.  Diseminación por vasos linfáticos.  Diseminación por vía hematógena.
  • 72.
    Comparaciones entre tumoresbenignos y malignos Tumores benignos Diferenciación/anaplasia Bien diferenciados; estructura en ocasiones típica del tejido de origen. Velocidad de crecimiento Generalmente progresiva y lenta; pueden llegar a estabilizarse o regresar; figuras mitóticas raras y normales. Invasión local Generalmente masas expansivas, cohesivas, bien delimitadas, que no invaden ni infiltran los tejidos normales circundantes. Metástasis Ausentes.
  • 73.
    Comparaciones entre tumoresbenignos y malignos Tumores malignos Diferenciación/anaplasia Cierta falta de diferenciación con anaplasia; estructura a menudo atípica. Velocidad de crecimiento Errática, puede ser desde lenta hasta rápida; las figuras mitóticas pueden ser numerosas y anormales. Invasión local Localmente invasivos, infiltrando el tejido circundante; en ocasiones pueden ser aparentemente cohesivos y expansivos. Metástasis Frecuentemente presentes; cuanto más grande y más indiferenciado sea el primario, más probables son las metástasis.
  • 74.
    Comparaciones entre tumoresbenignos y malignos Comparación entre un tumor benigno del miometrio (leiomioma) y un tumor maligno del mismo origen (leiomiosarcoma)
  • 75.
  • 76.
  • 77.
  • 78.
    Factores geográficos ymedioambientales
  • 79.
    Edad  El cánceres más habitual en las personas mayores de 55 años y es la principal causa de muerte entre 40-79 años (mujeres) y 60-79 años (hombres).  Otras neoplasias son comunes en ciertos grupos de edad; en <15 años:  Leucemias y linfomas.  Neuroblastomas.  Tumor de Wilms.  Retinoblastomas.  Sarcomas del hueso.
  • 80.
    Predisposición genética Gen Predisposicióngenética RB Retinoblastoma P53 Síndrome de Li-Fraumeni (varios tumores) p16/INK4A Melanoma APC Poliposis adenomatosa familiar/cáncer de colon NF1, NF2 Neurofibromatosis 1 y 2 BRCA1, BRCA2 Tumores de mama y ovario MEN1, RET Neoplasia endocrina múltiple 1 y 2 MSH2, MLH1, MSH6 Cáncer de colon no polipósico hereditario PTCH Síndrome de carcinoma de células basales nevoide PTEN Síndrome de Cowden (cánceres epiteliales) LKB1 Síndrome de Peutz-Jeghers (cánceres epiteliales) VHL Carcinomas de células renales
  • 81.
  • 83.
  • 84.
    Papel del p53en el mantenimiento de la integridad del genoma
  • 85.
    Papel del p53en el mantenimiento de la integridad del genoma