Moreno Arévalo Arlen Yoyotli
Próstata
En adulto normal:
• Pesa 20 grs.
• El parénquima prostático se divide en 4
zonas:
*Periférica *Central *Zonas de transición
*Región del estroma fibromuscular anterior.
 Las afecciones prostáticas dependen mucho
de la zona dónde se den.
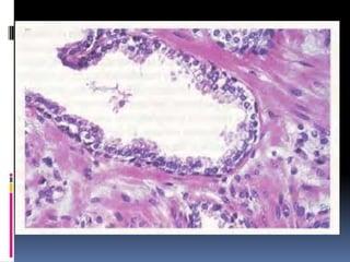
*Histológicamente
Órgano túbuloalveolar, cuyas glándulas se

encuentran revestidas de 2 tipos de tejido:
 Capa basal de epitelio cúbico bajo
 Capa de células secretoras cilíndricas.
En muchas áreas hay pequeños brotes
papilares del epitelio.
Glándulas separadas por el estroma.
Agrandamiento benigno
Hiperplasia nodular o hiperplasia benigna de la
prostata.

Hiperplasia de estroma
prostática y células
epiteliales

Formación de nódulos
grandes, en zona
periuretral.

Compresión y
estrechamiento
del conducto
uretral.
*Incidencia
EDAD

PORCENTAJE
40 años

20%

60 años

70%

70 años

90%

Sólo 50 % de los que tienen datos
histológicos de hiperplasia,
presentan agrandamiento
detectable de prostata

De estos, sólo el 50% llegan a
tener síntomas clínicos del
problema.
*Etiología y patogenia
La DHT, es 10 veces más
efectiva que la testosterona
Estrógenos

Interacciones estromaepitelio

Se disocia de manera más
lenta del receptor de
andrógenos

Contribuye haciendo que
las células sean más
susceptibles a la DHT

Mediadas por factores de
crecimiento peptídicos

Contracción de
músculo liso
prostático
Obstrucción de uretra
Se debe a:
Agrandamiento
de la próstata

α1adrenorreceptor
*Morfología
La próstata llega a
medir entre 60-100
grs.

Primeros nódulos: casi por
completo de células estromales;
más adelante son
predominantemente epiteliales.

El aumento nodular suele
englobar paredes de la
uretra, comprimiéndola.

 Hipertrofia del lóbulo medio:
hiperplasia por debajo de la
mucosa de la uretra.
Nódulos glandulares

Tejido de color
amarillo-rosado,
con consitencia
blanda.
Líquido prostático
blanco lechoso

Nódulos
fibromusculares

Color gris
pálido, fuertes,
sin exudación
de líquido.
Menos clara la
delimitación.

Los nódulos varian: Nódulos
fibromusculares estromales; nódulos
fibroepiteliales glandulares.

Los nódulos no tienen
cápsula verdadera,
pero el tejido
circundante los
delimita.
Proliferación glandular
Acúmulos d glándulas de
diversos tamaños,
revestidas de epitelio:

Interior
cilíndrico
Externo
cúbico o
aplanado

Otros cambios son:
Focos de metaplasia
escamosa

Márgenes de los focos
de infarto.
Nidos de células
escamosas
metaplásicas
reactivas.

Pequeñas áreas de
infarto
*Curso clínico
Polaquiuria
Nicturia

Dificultad para la retención de orina
Goteo por rebosamiento
Disuria
Incapacidad para vaciar completamente la
orina.
Retención urinaria aguda súbita.
Efectos secundarios:

Compresión de la uretra
con dificultad en la
micción

Retención de orina en la vejiga,
con posterior distención e
hipertrofia vesical, infección de
orina, desarrollo de cistitis e inf.
renales.

Hipertrofia, trabeculación y formación
de divertículos.

En vejiga:
Hidronefrosis o retención aguda, con
inf. De tracto urinario.
*Bibliografía
 Patología estructural y funcional, Robinns y

Cotran, 7ma edición, Elsevier.

Patología de Próstata

  • 1.
  • 2.
    Próstata En adulto normal: •Pesa 20 grs. • El parénquima prostático se divide en 4 zonas: *Periférica *Central *Zonas de transición *Región del estroma fibromuscular anterior.  Las afecciones prostáticas dependen mucho de la zona dónde se den.
  • 4.
    *Histológicamente Órgano túbuloalveolar, cuyasglándulas se encuentran revestidas de 2 tipos de tejido:  Capa basal de epitelio cúbico bajo  Capa de células secretoras cilíndricas. En muchas áreas hay pequeños brotes papilares del epitelio. Glándulas separadas por el estroma.
  • 7.
    Agrandamiento benigno Hiperplasia nodularo hiperplasia benigna de la prostata. Hiperplasia de estroma prostática y células epiteliales Formación de nódulos grandes, en zona periuretral. Compresión y estrechamiento del conducto uretral.
  • 8.
    *Incidencia EDAD PORCENTAJE 40 años 20% 60 años 70% 70años 90% Sólo 50 % de los que tienen datos histológicos de hiperplasia, presentan agrandamiento detectable de prostata De estos, sólo el 50% llegan a tener síntomas clínicos del problema.
  • 9.
  • 10.
    La DHT, es10 veces más efectiva que la testosterona Estrógenos Interacciones estromaepitelio Se disocia de manera más lenta del receptor de andrógenos Contribuye haciendo que las células sean más susceptibles a la DHT Mediadas por factores de crecimiento peptídicos Contracción de músculo liso prostático Obstrucción de uretra Se debe a: Agrandamiento de la próstata α1adrenorreceptor
  • 11.
    *Morfología La próstata llegaa medir entre 60-100 grs. Primeros nódulos: casi por completo de células estromales; más adelante son predominantemente epiteliales. El aumento nodular suele englobar paredes de la uretra, comprimiéndola.  Hipertrofia del lóbulo medio: hiperplasia por debajo de la mucosa de la uretra.
  • 12.
    Nódulos glandulares Tejido decolor amarillo-rosado, con consitencia blanda. Líquido prostático blanco lechoso Nódulos fibromusculares Color gris pálido, fuertes, sin exudación de líquido. Menos clara la delimitación. Los nódulos varian: Nódulos fibromusculares estromales; nódulos fibroepiteliales glandulares. Los nódulos no tienen cápsula verdadera, pero el tejido circundante los delimita.
  • 13.
    Proliferación glandular Acúmulos dglándulas de diversos tamaños, revestidas de epitelio: Interior cilíndrico Externo cúbico o aplanado Otros cambios son: Focos de metaplasia escamosa Márgenes de los focos de infarto. Nidos de células escamosas metaplásicas reactivas. Pequeñas áreas de infarto
  • 15.
    *Curso clínico Polaquiuria Nicturia Dificultad parala retención de orina Goteo por rebosamiento Disuria Incapacidad para vaciar completamente la orina. Retención urinaria aguda súbita.
  • 16.
    Efectos secundarios: Compresión dela uretra con dificultad en la micción Retención de orina en la vejiga, con posterior distención e hipertrofia vesical, infección de orina, desarrollo de cistitis e inf. renales. Hipertrofia, trabeculación y formación de divertículos. En vejiga: Hidronefrosis o retención aguda, con inf. De tracto urinario.
  • 17.
    *Bibliografía  Patología estructuraly funcional, Robinns y Cotran, 7ma edición, Elsevier.