Neoplasias de células renales
Dr. Luis Humberto Cruz Contreras
Hospital general
Morelia, Mich
Carcinoma de células renales
Carcinoma de células renales
Síndromes asociados
95%
Esporádi
cos
5% Asociados a síndromes
Sx Von Hippel
Lindau (Ch 3p25)
(Hemangioblasto
ma
cerebelar, Angio
ma Retina, CCC)
Esclero
sis
tuberos
a
Enfermeda
d renal
poliquistica
AUTOSÓMI
CA
DOMINANT
E
RCC
Autosómico
dominante
Carcinoma
renal Papilar
autosómico
dominante
Carcinoma renal de
células claras
Dr. Luis Humberto Cruz Contreras
Hospital general
Morelia, Mich
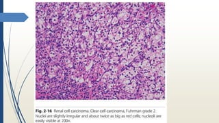
Carcinoma de células claras
Epidemiología
70% de
carcinomas de
células renales
Epidemiología
Carcinoma Células Claras (3C)
Pérdida
genética en
Cromosoma 3
Resistente a
quimioterapia
y radioterapia
CIRUGÍA!!!
Patología
No todo lo que parece oro, es oro…
Tumores grandes
ESFÉRICOS, SUAVES
Y AMARILLOS
Áreas de
necrosis, hemorragi
a y quistes
Carcinoma renal de células claras
Carcinoma renal de células claras
Carcinoma renal de células claras
Histopatología
1. Red vascular FINA
• Separa las células de carcinoma en alveólos
2. Patrón SOLIDO-ALVEOLAR DE
CRECIMIENTO
3. Celulas claras
• POR CONTENIDO DE GLUCÓGENO Y LÍPIDO
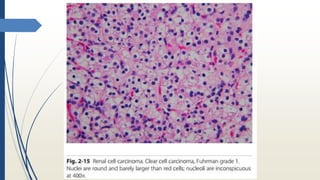
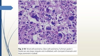
Fuhrman, Grado NUCLEAR
Grado 1. Regular
sin nucleólo (10
micras)
Grado 2.
Irregularidad
leve, con
nucleólo visible a
40x
Grado 3.
Irregularidad
marcada, con
nucleólo
aparente a 10x
Grado 4. Lo
anterior, más
células bizarras
Grado nuclear
AQUÍ LAS MITOSIS NO CUENTAN
Inmuno-Histoquímica
COMBO : KERATINAS + VIMENTINA
• Keratina 8 y 18
• EMA (MUC1)
• CEA
• CD10
Otros muchos más
• Dependiendo que se quiera descartar
• PS100, RCC, Antitripsina, etc…etc…
Etapificación
Dx Diferencial
MUESTREO EXTENSO
Pielonefritis
XANTOGRANULOMATOSA
Carcinoma Urotelial
Otros Carcinomas
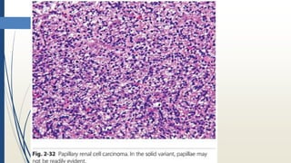
Carcinoma renal papilar
Carcinoma de células renales papilar
> Hombres (2:1)
•Edad 50 a 55 años
Genética
•Ganacias cromosómicas
•Cromosoma 7 y 17
•Trisomía, tetrasomía
Carcinoma de células renales papilar
Patología MACROSCÓPICA
•Delimitados
•Con necrosis y hemorragia
•Menos amarillos que los de células
claras
•Color café
Carcinoma de células renales papilar
Patología microscópica
Arquitectura
papilar -
tubulopapilar
Tallos
fibrovasculares
delicados
Cuerpos de
Psamoma
Macrófagos
espumosos y
edema en
tallos
Subtipos… una cosa es una cosa
Tipo 1, tranquilo…
• Nucleos de bajo grado
• Papilas con una capa de
células (citoplasma escaso)
• Tallos delicados con edema
y macrófagos
Tipo 2, más canijo…
• Grado nuclear alto
• Estratificación de células
(citoplasma eosinófilo
abundante)
• Tallos fibrosos y con menos
macrófagos
Carcinoma de células renales papilar
IHQ…. No es tan diferente
CK Racemasa
CD10, CD15,
RCC
Carcinoma de células renales papilar
Supervivencia a 5 años
Papilar 91%
Cromófobo
88%
Células claras 72%
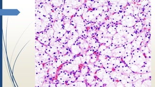
Carcinoma Cromofobo
Carcinoma Cromófobo
fobos… Pérdida de múltiples cromosomas
5% de las neoplasia
renales
•El carcinoma de células
renales menos agresivos
Carcinoma cromófobo
Macroscopía
Globulares
Solidos
Color café-
naranja
Carcinoma cromófobo
Macroscopía
Globulares
Solidos
Color café-
naranja
Carcinoma cromófobo
Histopatología
Células de
membranas
definidas
Citoplasmas
espumoso – Con
múltiples
vesículas
Citoplasmas AZUL
CON TINCIÓN DE
HIERRO
COLOIDAL
(Hale’s)
VASOS GRUESOS
VASOS
GRUESOS!!!
Carcinoma cromófobo
Histopatología
Células de
membranas
definidas
Citoplasmas
espumoso – Con
múltiples
vesículas
Citoplasmas AZUL
CON TINCIÓN DE
HIERRO
COLOIDAL
(Hale’s)
VASOS GRUESOS
VASOS
GRUESOS!!!
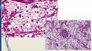
Chromophobe renal cell carcinoma. This shows the two cell
types consisting of the small eosinophilic cells, which usually
have perinuclear halos, and the large pale (but not clear)
chromophobe cells. The two cell types are usually admixed but
occasionally, as seen here, the chromophobe cells line up along
the blood vessels
Chromophobe renal cell carcinoma. Some tumors consist
entirely of the pale chromophobe cells. The cell membranes are
quite conspicuous, and it can be noted that this is not a clear
cell lesion.
This is the eosinophilic variant in which the cells are smaller and
usually have perinuclear halos. Cell membranes are prominent
as is intercellular cohesion, in both respects differing from the
oncocytomas.
Carcinoma cromófobo
Histopatología
Células de
membranas
definidas
Citoplasmas
espumoso – Con
múltiples
vesículas
Citoplasmas AZUL
CON TINCIÓN DE
HIERRO
COLOIDAL
(Hale’s)
VASOS GRUESOS
VASOS
GRUESOS!!!
Carcinoma cromófobo
Histopatología
Variante eosinofílica
VARIANTE
EOSINOFÍLICA, CITOPLASMA
MENOS ESPUMOSO-
FLOCULANTE
SE PUEDE CONFUNDIR CON
ONCOCITOMA, AYUDA
TINCIÓN DE FE
Diagnóstico diferencial
Carcinoma de cél. CLARAS
•Tinción de Hierro
•ESE TIENE VASOS DELGADOS
ONCOCITOMA
•Se usa CK7, en el oncocitoma es
débil
•Carcinoma de células claras
positiva DIFUSA
Carcinoma de ductos
colectores (De Bellini)
Se originan de las
células
intercaladas de los
ductos colectores
Ductos colectores :
Terminan en las
papilas renales
MÁS LOCALIZADOS
EN LA MÉDULA
Criterios Dx MAL
DEFINIDOS
PRONÓSTICO
MALO
Carcinoma de ductos
colectores (De Bellini)
Se originan de las
células
intercaladas de los
ductos colectores
Ductos colectores :
Terminan en las
papilas renales
MÁS LOCALIZADOS
EN LA MÉDULA
Criterios Dx MAL
DEFINIDOS
PRONÓSTICO
MALO
CARCINOMA DE DUCTOS COLECTORES
Macroscopía
• Más centrales, más medulares
• Más necrosis y hemorragia
• Bordes menos definidos
Microscopía
• Hx ADENOCARCINOMA – CARCINOMA
UROTELIAL
• DUCTOS, NIDOS, CORDONES
• ESTROMA BASOFÍLICO LAXO
CARCINOMA DE DUCTOS COLECTORES
Macroscopía
• Más centrales, más medulares
• Más necrosis y hemorragia
• Bordes menos definidos
Microscopía
• Hx ADENOCARCINOMA – CARCINOMA
UROTELIAL
• DUCTOS, NIDOS, CORDONES
• ESTROMA BASOFÍLICO LAXO
CARCINOMA DE DUCTOS COLECTORES
Macroscopía
• Más centrales, más medulares
• Más necrosis y hemorragia
• Bordes menos definidos
APARIENCIA EN HOBNAIL..
TACHUELA
• Hx ADENOCARCINOMA – CARCINOMA
UROTELIAL
• DUCTOS, NIDOS, CORDONES
• ESTROMA BASOFÍLICO LAXO
CARCINOMA DE DUCTOS COLECTORES
Proyectandose hacia pelvis
renal
CARCINOMA DE DUCTOS COLECTORES
Estroma laxo y pleomorfismo
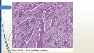
CARCINOMA RENAL MEDULAR
10-40 AÑOS
2:1 Masculino
> Pacientes
con anemia de
cél. Falciformes
PRONOSTICO
MALO
MACRO,
•MAL DEFINIDOS,
•INFILTRANTES
•CON MÁS
NECROSIS
•CARNOSOS…
CARCINOMA RENAL MEDULAR
MICRO.
• ESTROMA DESMOPLÁSICO
• CÉLULAS EOSINÓFILAS
CON NÚCLEO VESICULAR
• PATRON CRIBIFORME
CARACTERÍSTO Punched-
out
• Artificio de RETRACCIÓN
CARCINOMA RENAL MEDULAR
MICRO.
•ESTROMA DESMOPLÁSICO
•CÉLULAS EOSINÓFILAS
CON NÚCLEO VESICULAR
•PATRON CRIBIFORME
CARACTERÍSTO Punched-
out
•Artificio de RETRACCIÓN
Oncocitoma
Oncocito… célula llena de
mitocondrias, que se ve de color
naranja
Tumor benigno
•50-80 años
•> Hombres 2:1,
•Clínicamente
ASINTOMÁTICOS, hematuria, masa
palpable
Oncocitoma
Macroscópia
•Bien delimitados
•COLOR CAFÉ
•Sin hemorragia, sin necrosis
Microscopía
•Nidos sólidos, cordones
•Estroma laxo EDEMATOSO
•Células citoplasma eosinófilo GRANULAR, CON
NÚCLEO CENTRAL BLANDO, CON NUCLEÓLO
•NO HAY MITOSIS
•PUEDE HABER PLEOMORFISMO
•La invasión a las venas focal NO es factor
Oncocitoma
Oncocitoma
Oncocitoma
Diagnóstico
Diferencial
•Carcinoma
cromófobo
VARIANTE
EOSINOFÍLICA
Carcinoma tubular-fusocelular
mucinoso (1998 por primera vez)
Aceptado por la WHO en 2002
•Carcinoma de bajo grado que semeja
histológicamente al asa de Henle
•58 años edad media
•> Mujeres
•La mayoría pequeños
Carcinoma tubular-fusocelular
mucinoso (1998 por primera vez)
Macroscopía
•22-130 mm
•Bien delimitados
•Color café-rosa
Microscopía
•Túbulos de epitelio cuboidal
•Cambio abrupto a áreas
fusocelulares
•Estroma mixoide-mucinoso
Carcinoma tubular-fusocelular
mucinoso
Carcinoma tubular-fusocelular
mucinoso
Estroma : Azul alciano IHQ, NO ayuda
Dx
Diferencial, Carcinoma
papilar renal
ANGIOMIOLIPOMA
LUIS HUMBERTO CRUZ CONTRERAS
ANGIOMIOLIPOMA
Tumor Benigno
• Grasa
• músculo
• Vasos gruesos
50% esporádicos
• Únicos
• Grandes
• Asintomáticos
50% Sclerosis Tuberosa
• Múltiples
• Bilaterales
• Asintomáticos
ANGIOMIOLIPOMA
Macroscopía
• NO encapsulados
• Color amarillo
• Hemorragia
Microscopía
• GRASA, MUSCULO LISO, Y VASOS GRUESOS
• Pueden presentar pleomorfismo leve
• Pueden extender a la vena renal
• Variante EPITELIODE (MÚSCULO)
ANGIOMIOLIPOMA
Macroscopía
• NO encapsulados
• Color amarillo
• Hemorragia
Microscopía
• GRASA, MUSCULO LISO, Y VASOS GRUESOS
• Pueden presentar pleomorfismo leve
• Pueden extender a la vena renal
• Variante EPITELIODE (MÚSCULO)
ANGIOMIOLIPOMA
ANGIOMIOLIPOMA
IHQ
HMB45
Act Músculo
liso
CK-
PEC (PECOMA)
PERIVASCULAR EPITHELIOD CELLS
Angiomilipoma
Tumor de células
azucaradas
Linfanleiomioma
Tumor
miomelanocítico
de células claras
PECOMA
Todos los tumores
de esta familia son
HMB45 +
Y muchos están
asociados a
esclerosis tuberosa
ADENOMA METANÉFRICO
Descrito por primera vez en 1980
• Adenoma metanéfrico y adenofibroma
metanéfrico
Presentación clínica
• Ocurren a cualquier edad M 16 años
• > Mujeres
• Suelen ser hallazgos incidentales
• Hematuria, Tumor abdominal, policitemia
ADENOMA METANÉFRICO
Macroscopía 3 a 6 cm
• Bien delimitados NO encapsulados
• Color gris-café
• Áreas quisticas
Microscopía
• Tumor muy celular
• Acinos y estructuras tubulares pequeños
• Empaquetados
• Estroma edematoso paucicelular
ADENOMA METANÉFRICO
ADENOMA METANÉFRICO
ADENOFIBROMA METANÉFRICO
(TEJ. FIBROBLÁSTICO)
INDICACIONES DE LA BIOPSIA RENAL
• Falla renal sin explicación
• Síndrome nefrótico y nefrítico sin Dx
• Proteinuria y hematuria NO nefróticas
Situaciones NO explicadas
Tumores renales
Trasplante renal
• LUPUS
Enfermedades de tejido conectivo
CONTRAINDICACIONES DE BIOPSIA RENAL
Diátesis hemorrágica
Hipertensión descontrolada
Infección renal o perirenal
Infección en piel, sitio de biopsia

Neoplasias renales pat cc