Carcinoma hepatocelular
Dr. Luis Humberto Cruz Contreras
Anatomía Patológica
Neoplasia epitelial más común


Poco común en países occidente


Común en: Africa y Asia
Generalmente Tumor de ancianos


Áreas endemicas 20 a 40 a
Etiología

                                              • Hemocromatosis / Def.
                               Alcohol, Hep     A 1 AT
                                 B, Hep C
                                  (50%)




                    Cirrosis
                    hepática
  • 80% Pacientes


                                     Enfermedad crónica




* Riesgo anual 1 a 6% de pacientes con cirrosis
Aflatoxina B1
•Contaminante por hongos
•Aspergillus
•Penicillium
Clínica


 Plenitud      Dolor
abdominal    abdominal

 Datos de    Raramente
  cirrosis     METS
Marcadores
• Alfa- Fetoproteína
  • Cirrosis
  • Hepatitis viral
  • Adenocarcinoma hepatoide
    estómago
Macro

  Múltiples
               Color amarillo-
   nódulos
                café / biliar
  pequeños


        Hemorragia /
          Necrosis
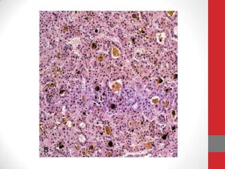
Histopatología

  Producción de Bilis

  • Patognomónico cuando es por cél.
    Neoplásicas

  Cél. Con diferenciación hepatoide

  • disposición trabecular
  • escaso estroma
Patrones histológicos

• Trabecular
• Solido
• Pseudoglandular
• Scirrhous
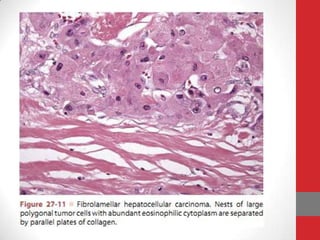
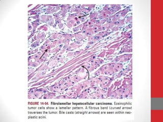
• Fibrolamelar Pacientes más
  jóvenes ¿mejor pronóstico?
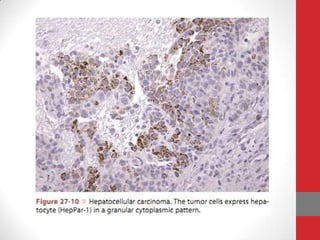
IHQ

CD10: Tinción   CEA: Granular
 canalicular     citoplásmica


    AFP:
                 CK NO útil
  Sugestiva
Biología molecular




  Expansión clonal de hepatocitos


  p53
Diagnóstico diferencial
• Carcinoide

  • Cromatina en Sal y pimienta

  • Carecen de nucleólos

• Colangiocarcinoma

  • NO hacen patrón trabecular

  • Estroma

• Adenocarcinoma
Tratamiento

• Segmentectomía

• Crioterapia

• Embolización

• Inyección alcohol absoluto

• Trasplante hepático

Hepatocelular