REVISION DE LAS RESTAURACIONES CERAMICAS Y METAL CERAMICAS
Restauraciones cerámicas libres de metal
Tendencia de la odontología actual estética Las cerámicas adquirieron en las dos últimas décadas propiedades que permiten su uso sin refuerzo interno con estructura metálica para elementos unitarios y prótesis fijas de 8 elementos.
Materiales cerámicos
Propiedades físicas y mecánicas Translucidez Fluorescencia Estabilidad química Coeficiente de expansión térmica cercano al diente : 4.1 (diente 11.4) Biocompatibilidad Mayor resistencia a la compresión y abrasión. Baja resistencia al impacto Baja resistencia tensional
Cerámica feldespática Vidrio no cristalino basado en la sílice , feldespato de potasio o feldespato sódico o ambos en 75 – 85% con cuarzo y caolín. Vidrio, opacificadores y pigmentos son adicionados para controlar temperatura de fusión, sinterización, coeficiente de expansión térmica y solubilidad.
Componentes cerámica feldespática Feldespato de sodio : provee la fase vítrea como sostén para el cuarzo. Le da baja temperatura. Feldespato de potasio : con óxidos metálicos a alta temperatura forman leucita (mineral de potasio-aluminio-silicato ) que le provee mayor coeficiente de expansión térmica.
Caolín : silicato de aluminio hidratado. Agente de enlace, aumenta capacidad de moldear la porcelana antes de hornear .  Opacificante. Cuarzo : compone la fase cristalina de la porcelana. Oxidos metálicos : para matices. Proveen distintos colores: óxido de hierro: café ,  cobre: verde, cobalto: azul  titanio: amarillo-café, magnesio: azul lavanda.
 
Cerámicas Odontológicas RIELSON JOSE ALVES CARDOSO. ESTETICA ODONTOLOGICA, NUEVA  GENERACION. Artes Médicas Latinoamérica.2004.
 
Clasificación de las cerámicas según su temperatura de fusión. Alta fusión : mayor a 1.300 grados centígrados Media fusión : 1.101 – 1.300 C Baja fusión : 850 – 1.100 C Ultra baja fusión : menor a 850 grados C. Utilizadas con titanio.
Cerámicas feldespáticas Restauraciones totalmente cerámicas en inlay, onlay, carillas laminadas . Resistencia a la flexión de 65 a 90 Mpa. Con bajo contenido de leucita. Se confeccionan sobre modelos refractarios obtenidos por la duplicación de los modelos de trabajo.
Sobre este modelo se aplica la porcelana feldespática dentinaria en condiciones mayores para compensar la contracción de la quema.  Se aplican capas sucesivas y se termina con una capa de glaze. Marcas comerciales Biodent (Dentsply) Cerinat (Dent – Mat) Ceramco II (Ceramco) Noritake (Noritake) Fortune (Williams )
Dicor (Dentsply) Desarrollado por Grossman en el 80.  Presenta 45% cristales de mica tetrasílice con flúor fundido a temperatura de 1.350 C a 1.400 C. Resistencia de 90 – 120 Mpa. Alta tasa de fractura. INDICACION Inlay Onlay Carillas
TECNICA Proceso de fundición de cera perdida e inyección del vidrio fundido mediante centrifugación. Después ocurre el proceso de recristalización a través de un tratamiento térmico controlado, permitiendo el crecimiento de cristales (mica) en la estructura del material y aumento de la resistencia. El material se puede usar para confeccionar coping o infraestructuras.
OPTEC HSP (Jeneric/Pentron, Inc.) Cerámica feldespática reforzada por alto contenido de leucita. Indicada para coronas unitarias, inlay, onlay. Condensación sobre modelos refractarios y sinterización. Alto módulo de ruptura y resistencia a mayor compresión que cerámicas feldespáticas convencionales. Resistencia a la flexión de 120 – 130 Mpa.
HI CERAM (VITA) De las primeras cerámicas de vidrio reforzados con alúmina.  Resistencia a la flexión de 140 Mpa. El cuerpo cerámico es sinterizado directamente en un modelo refractario a alta temperatura. Sobre la infraestructura opaca se aplica cerámica de cobertura libre de leucita Vitadur N o Vitadur Alpha.
Sistemas cerámicos infiltrados por vidrio In Ceram Alúmina In Ceram Spinell  Inceram Zirconio Sistema Techceram EDUARDO MIYACHITA, ANTONIO SALAZAR. ODONTOLOGIA ESTETICA, EL ESTADO DEL ARTE. ARTES MEDICAS .
Sistemas cerámicos infiltrados por vidrio Estos sistemas se basan en la confección de una infraestructura en alúmina porosa, que posteriormente se infiltra por vidrio. Una cerámica feldespática compatible térmicamente es aplicada  por la técnica de estratificación para terminar la restauración.
Ventajas  Desventajas Resultados clínicos buenos: 10 años. Alta resistencia a la fractura. Buen sellado marginal Buena estética Biocompatibilidad Necesidad de realizar moldes y modelos en fase clínica y de laboratorio :causan distorsión relacionada a los materiales. Se requiere gran habilidad y experiencia del técnico . No se pueden grabar.
Sistema In Ceram (Vita) Desarrollado a partir de estudios de Michel Sadoun en 1998. (Francia). INDICACION Infraestructuras de coronas, prótesis parciales fijas totalmente cerámicas en anteriores y posteriores hasta de tres elementos.
Recomendaciones para la preparación de UNA CORONA anterior Principios Biomecánicos Zona de Inserción Zona de Fricción Zona de Soporte
Recomendaciones para la preparación de UNA CORONA 1.5 – 2.0 mm. 1.5 – 2.0 mm. 2.0 mm. 2.0 - 2.5 mm. 1.5 mm. anterior Espacio mínimo para la Estética
anterior Recomendaciones para la preparación de UNA CORONA Hombro con terminación recta y canto redondeado tratando en lo posible de nunca hacerlo a un ángulo menor de 90 ° o mayor de 160°.  (120° Aprox.) 120 ° Aprox. El borde incisal de la preparación debe tener ángulos redondeados y equivale al desgaste del tercio incisal del diente natural con respecto a su adyacente.
Recomendaciones para la preparación de UNA CORONA posterior Principios Biomecánicos Zona de Inserción Zona de Fricción Zona de Soporte
Hombro con terminación recta y canto semirrecto no menor de 90 ° ni mayor de 120°.  (100° Aprox.) posterior Recomendaciones para la preparación de UNA CORONA
posterior Recomendaciones para la preparación de UNA CORONA Importancia de los dos planos oclusales Dos planos en la tabla oclusal aumentan las posibilidades estéticas en el surco central y contrarrestan las fuerzas de desplazamiento que se efectúan en posteriores al realizarse lateralidades Las fuerzas laterales no contrarrestadas, podrían descementar las restauraciones
Instrumentos de Corte
Instrumentos de Corte Diferentes Granos Diferentes Diámetros
Instrumentos de Corte Diferentes Formas
Técnica Corona In Ceram
Se acondiciona el modelo maestro y se duplica….. V I T A
Confeccionamos el troquel refractario ….. V I T A
Se prepara la  barbotina  ….. V I T A
Aplicamos la  barbotina  sobre los troqueles ….. V I T A
Sinterizamos a altas temperaturas (1120 ° C - 1180 ° C) ….. V I T A
Esta cocción se divide en 3 fases Precalentamiento en 6 horas a 120 grados centígrados. Calentamiento en dos horas a 1.120 C. Dos hora de mantenimiento.
Adaptamos la estructura calcárea en los modelos ….. V I T A
Infiltración vítrea Se mezcla polvo vítreo según el color del diente con agua destilada y se aplica sobre estructura sinterizada. Esta estructura se coloca sobre lámina de platino y se cuece en el INCERAMAT durante 4 horas a 1.100 C, si son puentes se dejan por 6 horas.
Infiltramos con vidrio, rectificamos….. y  …..  V I T A
Se aplica sobre la infraestructura cerámica de dentina y esmalte Vitadur Alpha (Vita). Cerámicas de revestimiento VM7 (Vita) de partícula fina, menor opacidad, da 20% más de resistencia a la flexión que Vitadur Alpha.
V I T A VITA VM 7
VITA VM 7 BASIC V I T A Estructura de ceramica sin metal VITAVM 7 Dentina base VITAVM 7 Enamel
“  LISTO “ V I T A
In Ceram Alúmina Compuesto por óxido de aluminio denominado Corundum. La estructura es infiltrada con vidrio de lantanio fundido. El pequeño tamaño de partícula  (0.5 – 3.5 micras) y la contracción pequeña (0.3%) permiten adecuada fidelidad marginal para las coronas
Las coronas unitarias pueden tener abertura marginal alrededor de 25 micras y una prótesis de 3 elementos hasta de 58 micras. INDICACION Coronas unitarias anteriores y posteriores  Prótesis parciales fijas convencionales de tres elementos anteriores.
In Ceram Spinell Utiliza mezcla de alúmina y magnesio. Posee translucidez dos veces mayor que el In Ceram Alúmina . Valores de resistencia a la flexión menor en 15 -40% comparado con In Ceram Alúmina haciéndola inadecuada para posteriores. INDICACION Situaciones de máxima translucidez de estructura de coronas unitarias anteriores, carillas laminadas.
In Ceram Zirconio Mezcla de óxido de zirconio (33%) y óxido de aluminio (67%) aumentando la tenacidad y elevación de la resistencia a la flexión, menor propagación de grietas.
Coloración distinta en la parte central y marginal por  haber distribución irregular de los pigmentos que no acompaña el vidrio fundido. USOS Infraestructuras de prótesis parciales fijas hasta de 3 elementos en dientes posteriores.
Cementación Coronas In Ceram Cemento de ionómero de vidrio modificados por resinas . Fosfato de zinc No se pueden acondicionar con ácido fluorhídrico pues de esta forma habrá desintegración del coping de alúmina. MARCAS COMERSCIALES Relyx Luting (3M) Fuji-Plus (GC) Protec Cem (Vivadent) Principle (Dentsply)
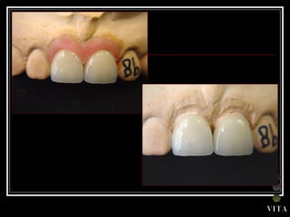
Casos Clínicos
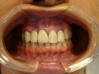
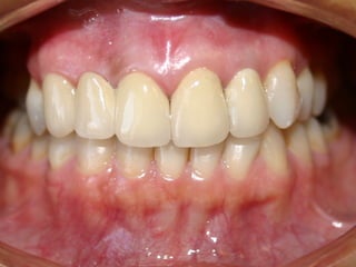
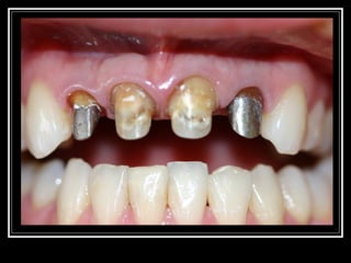
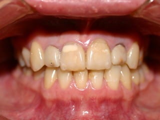
Caso Clínico #1
 
 
 
 
 
 
 
 
 
ANTES  DESPUES
ANTES  DESPUES
FINAL  ANTES
Caso Clínico
V I T A
V I T A
V I T A
Rehabilitación Maxilar Bilateral con In Ceram Zirconio
 
Sistemas cerámicos prensados Empress 1 y 2 (Ivoclar) OPC y OPC 3G (Jeneric/Pentron) Vision Esthetic (Wohlwend) Vita Press (Vita) Finesse (Dentsply/Ceramco) Cercogold (Degudent) EDUARDO MIYACHITA, ANTONIO SALAZAR. ODONTOLOGIA ESTETICA, EL ESTADO DEL ARTE. ARTES MEDICAS
Empress 1 (Ivoclar) Se introdujo en  el inicio de los 90. Cerámica feldespática reforzada por cristales de leucita (40 -50%). Resistencia a la flexión de 97 a 180 Mpa. INDICACION Coronas unitarias anteriores y posteriores. Inlays, onlays y carillas laminadas.
Preparación para coronas completas Specifications in mm
Técnica Empress 1 Las restauraciones son obtenidas por el método de cera perdida. Los modelos son  introducidos en revestimiento especial aglutinado por fosfato ,
Los modelos se colocan en el horno eléctrico junto con pastilla Empress 1  y calentados por elevación de temperatura del horno en 3 grados centígrados por minuto hasta 850 C y mantenida por 90 minutos.
Luego se coloca en un horno de inyección EP500 o 600 y se coloca con pastillas Empress 1 posicionados en el conducto junto con el émbolo de alúmina y mantenidos por 20 minutos a 1.175.
Luego de enfriado se corta el molde, los modelos se remueven por chorro de partículas de vidrio de 50 micras y cortados con discos de diamante.
Restauraciones obtenidas hasta su contorno final con colores de las pastillas definidas, seguidas por la aplicación del pigmento y glaze. Obtener un coping de 0.7 mm de espesor sobre el cual se aplica la cerámica de estratificación hasta obtener la forma final seguida por la aplicación de pigmentos y glaze. Se pueden utilizar 2 técnicas para confeccionar las restauraciones:
Empress 2 (Ivoclar) Se introdujo en 1999 para realizar prótesis fija de 3 elementos hasta segundo premolar. Resistencia a la flexión de 300 a 400 Mpa. Vidrio ceramizado disilicato de litio. INDICACION Coronas unitarias anteriores y posteriores. Inlays, onlays y carillas laminadas. Prótesis fija
Consiste en cerámica vítrea para confección del coping o infraestructura con el 60 al 65% en volumen de cristales de disilicato de litio unidos a la matriz vítrea.
La cerámica de estratificación presenta cristales de fluorapatita aplicada directamente sobre el coping o infraestructura , esta cerámica es la IPS Eris E2 (Ivoclar)
 
Cementación coronas Empress Se recomiendan cementos resinosos son recomendados por ser más resistentes, estéticos, compatibles con los agentes adhesivos y presentan baja solubilidad. También pueden ser cementadas con cementos de ionómero de vidrio modificado con resinas : Protect Cem (Vivadent) Dyract Cem (Dentsply) RelyX Luting (3M)
Cementos resinosos, marcas comerciales y características
Pasos en la cementación Tratamiento de la superficie interna de la restauración : implica una doble unión entre el cemento resinoso y el diente y otra entre el cemento resinoso y la restauración a cementarse. Se debe microarenar la cara interna con óxido de aluminio de 50 mm por 4 a 6 segundos para eliminar impurezas y promover porosidades . GERARD J. CHICHE. ALAIN PINAULT. ESTHETICS OF ANTERIOR FIXED PROSTHODONTICS. QUINTESSENCE  .
2.  Acondicionamiento interno con ácido fluorhídrico del 7 al 10% Permite obtener micro retenedores en la superficie interna de la pieza para que penetre el adhesivo/cemento resinoso en la cerámica.
3. Silanización de la restauración El silano debe actuar por 3 minutos, reacciona con las porciones cristalinas de la cerámica como con las porciones orgánicas del cemento resinoso, proporciona unión entre los dos componentes.
4. Tratamiento del diente El esmalte se debe acondicionar de 20 a 30 segundos con ácido fosfórico al 37% , la dentina no debe recibir la aplicación del ácido más de 15 segundos.
Después se lava y se seca suavemente y se aplica el adhesivo (preferible dual).  Se aplica el adhesivo en la superficie interna de la pieza y en el diente en el momento de la cementación.
5. Aplicación del cemento resinoso Seleccionar el cemento resinoso y el color que se va a utilizar . Se debe colocar una cinta dental entre las caras proximales. Colocación del cemento y asentamiento sin presión.
6. Eliminación de excesos de cemento resinoso Se aconseja la aplicación de glicerina líquida entre los dientes adyacentes para facilitar la retirada de excesos de cemento. Tener cuidado de no aplicar glicerina en el área interna para no perjudicar el adhesivo.
7.Prepolimerización Prepolimerización durante 5 segundos para estabilizar la restauración en posición. Facilita la retirada de excesos de cemento de resina extravasado en las partes proximales, con bisturí #12
8. Polimerización final Polimerización de las caras proximales mesial y distal, de las caras vestibular, lingual y oclusal por 60 segundos, con intensidad mínima de 400 mW/mm. 9. Ajustes, acabado y pulimento final 10.Control periódico del paciente
OPC (Optimal Pressable Ceramic) (Jeneric/Pentron) Lanzada en los 90. Cerámica reforzada con pequeños cristales de leucita (55-60%) Resistencia a la flexión de 140 a 156 Mpa. Indicada para coronas anteriores y posteriores, inlays, onlays y carillas laminadas. Técnica de cera perdida utilizando pastillas de cerámica. Restauraciones son obtenidas hasta su contorno final con los colores de pastillas, luego glaze.
OPCM 3G All Ceramic System (Jeneric/Penaron) Lanzado en febrero de 2004. Compuesto de cristales de disilicato de litio. Indicados para prótesis parcial fija anterior hasta el primer premolar, coronas anteriores y posteriores, inlays, onlays y carillas laminadas. Técnica de cera perdida, se realiza prensado de pastilla de cerámica en el horno Autopress plus . Después de obtener el coping se aplica cerámica estratificada hasta dar forma final a la restauración, seguida por la aplicación con pigmentos y glaze.
Cercogold (Degudent) Se introdujo al final de los 90. Cerámica reforzada con leucita. Indicada para coronas anteriores y posteriores, inlays, onlay, carillas laminadas. Técnica de cera perdida, se utiliza horno Ceram Press Qex con pastillas Cergogold, después se estratifica el coping con cerámica Duceragold (Degudent)
Vision Esthetic  (Wohlwend Dental , Germany) Se introdujo al final de los 90. Cerámica de vidrio reforzada con leucita. Resistencia a la flexión de 110 Mpa/  Indicada para coronas anteriores y posteriores, prótesis fija de 3 elementos, inlays, onlays y carillas laminadas.
Técnica de cera perdida.  El horno Vario Press 100 (Zubler-Ulm)  Aplicación estratificada de la cerámica Vision Esthetic seguida por el glaze.
Vita Press (Vita) Introducida en los 90. Cerámica reforzada por vidrio de leucita. Indicada para inlays, onlays, carillas laminadas. Técnica de cera perdida,  Sin el uso de equipos especiales.,con sistema de mufla y contra mufla. Se aplica cerámica incremental con 35% de exceso. Se coloca contra mufla y se sinteriza con cerámica Omega 900 a 900 grados centígrados por 2 minutos o Vitadur alpha a 1.040 C por 2 minutos
Sistemas cerámicos Fresados Cerec 1,2,3 (Sirona) Celay (Vita) Procera (Nobel Biocare) Cercon (Dentsply/Ceramco) Lava All Ceramica System (3M/ESPE) EDUARDO MIYACHITA, ANTONIO SALAZAR. ODONTOLOGIA ESTETICA, EL ESTADO DEL ARTE. ARTES MEDICAS
Cerec (Sirona) Utiliza captación de imagen del preparado directamente en la cavidad bucal por medio de una microcámara. La imagen es procesada por una unidad CAD para que la restauración se planee y ejecute con la ayuda de un ordenador CAM. Se recomienda cubrir la preparación con dióxido de titanio pulverizado para difusión uniforme de la luz.
El procedimiento de fresado se realiza utilizando una punta diamantada y un disco (Cerec 2) o dos puntas diamantadas  (Cerec 3).  Los materiales cerámicos usados pueden ser bloques de Vita MK II, Vitablocks, Ivoclar Procad, Dicor MGC, Vita MK II Esthetic line.
Cerec In Lab Introducido en 2002. Fabricación en laboratorio coping e infraestructuras hasta de 3 elementos con bloques In Ceram Zirconio, In Ceram Alúmina e Inceram Spinell. Utiliza lectura de troquel con láser con una unidad compacta que también hace fresado. Luego se realiza infiltración con vidrio, se aplica cerámica estratificada Vitadur Alpha (Vita).
In Ceram Celay Fresado de un bloque cerámico con 7 al 85% de alúmina. Indicado para coronas unitarias anteriores y posteriores, prótesis parcial fija anterior, inlays y onlays. Se confecciona réplica de restauración con resina fotopolimerizable (Celay Tech) sobre modelo en yeso que se monta en sistema Celay en el lado de inspección y el bloque cerámico en el lado de fresado donde ocurre el fresado en 15 a 20 minutos del bloque cerámico In Ceram Alúmina o Cerec Vitablocs. Después la estructura se infiltra con vidrio a base de aluminosilicato de lantano y luego se aplica cerámica estratificación Vitadur Alpha (Vita), glaze.
Cercon (Degudent) Introducido en 2001. Cerámica compuesta por zirconio, óxido de itrio. Resistencia a la flexión de 900 Mpa. Confección coronas anteriores y posteriores. Prótesis parcial fija de 3 a 8 elementos/ Se encera estructura en troquel, se remueve estructura encerada, para el escaneado y se procede a lectura con láser por 12 minutos para prótesis parcial fija de 4 elementos y 4 minutos para coronas anteriores y posteriores.
El bloque de zirconio presinterizado Cercon es puesto en el equipo Cercon Brain (Dentsply, Ceramco) , según lecturas del modelo en cera, el bloque de zirconio es fresado con puntas, se sinteriza en el horno a 1.350 C por 6 horas, luego se aplica cerámica fluida y feldespática de baja fusión, glaze/
LAVA All Ceramic System (3M/ESPE) CAD/CAM. Resistencia a la flexión 1.250 Mpa. Confecciona coronas unitarias anteriores y posteriores y prótesis fija hasta 4 unidades con coping de óxido de zirconio. Lectura del troquel con un láser. Bloque de zirconio presinterizado (Lava) es puesto en el equipo  y se fresa según lectura del troquel.
Coronas unitarias en 35 minutos y prótesis parcial fija en 75 minutos. Estructura fresada se inmersa en líquido Lava Shade según color escala Vita por 2 minutos. Luego se sinteriza en horno (Lava Therm) 1.105 C por 7 horas. Sobre coping se aplica cerámica Venner Lava Ceram
Procera (Nobel Biocare) Introducido en los 80 por Matts Anderson (Suecia). Compuesto por partículas de óxido de aluminio puro sinterizado:  Procera All   Ceram  y compuesto por zirconio estabilizado con itrio :  Procera All Zircon.
Preparación de los dientes Preparación en chamfer, con contornos suaves y redondeados, y sin ángulos agudos. La preparación debería tener una profundidad de 0.8 a 1.5 mm. La preparación del diente para un puente debería permitir utilizar un intermediario  ≥ 3 mm de altura.
Técnica Utiliza un scanner con punta de zafiro que registra 30.000 puntos al troquel de yeso, la imagen se trasfiere al ordenador en 3D., el operador marca 20 puntos y el ordenador demarca 360.
Se elige el material: alúmina o zirconio, el espesor, se envía información vía internet, si son copig a Fair Iawn , New Jersey (EEUU), los pilares para implantes a Estocolmo (Suecia) y los pilares de titanio en Karskoga.
La unidad de producción produce 2 troqueles, uno en material refractario 23% mayor que el original sobre el que se compacta la alúmina. Luego es llevada al horno a 1.640 C para sinterización donde se contrae el 23%. Se analiza el coping en el troquel de PVC para verificar micro fracturas y color. Espesura del coping 0.4 mm para coronas unitarias anteriores y premolares, 0.6 para posteriores, 0.25 para retenedores y pónticos de 3 elementos y carillas laminadas.
Sobre el coping se aplica cerámica feldespática : Ducera All Ceram (Degudent), Vitadur Alfa(Vita), Cerabien (Noritake). Coronas Procera presentan buena adaptación marginal, en estudios se ha encontrado gaps marginales entre 80 -95 micras en dientes anteriores y 90 – 145 en dientes posteriores, se considera normal entre 100 y 200 micras. KLAUS W BOENINIG Et al. CLINICAL FIT OF PROCERA ALL CERAM CROWN. Journal Prosthetic Dent. Vol 84 #4. Octubre 2000.
Caso Clínico
Caso Clínico Procera
 
 
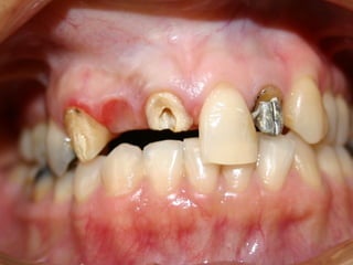
PREPARACIONES Y NUCLEOS
CEMENTACION
 
 
ANTES  DESPUES
ANTES  DESPUES
ANTES  DESPUES
Criterios para selección sistema cerámico Estética Adaptación marginal Biocompatibilidad Resistencia Costo Facilidad de fabricación
Dientes anteriores  Mayor translucidez  Translucidez intermedia Dicor  Empress 1 Vision Esthetic Finesse OPC Vitapress Cergogold InCeram Spinell Empress 2 OPC 3G In Ceram Alúmina Tech Ceram Procera All Ceram
Coronas anteriores Inlays – Onlays - Carillas Empress 1 OPC Finesse Optec Dicor Vision Esthetic Vita Press Resistencia 120 a 140 Mpa.
Coronas anteriores y posteriores Inlays, onlays, carillas, prótesis fija de 3 elementos en anteriores IPS Empress 2 : hasta segundo premolar OPC 3G: hasta primer premolar Resistencia flexión de 350 a 430 Mpa. In Ceram Alúmina : hasta canino Tech ceram Procera All Ceram Resistencia a flexión de 300 a 700 Mpa.
Prótesis parcial fija de 3 unidades en posteriores In Ceram Zirconio Cercon : hasta 8 unidades Lava Resistencia a la flexión entre 750 y 900 Mpa.
METODO PARA VERIFICAR Y MEJORAR EL AJUSTE INTERNO DE RESTAURACIONES CERAMICAS El ajuste interno para mejorar la adaptación y el selle de las restauraciones cerámicos no es recomendado, pueden formarse cracks indetectables que producirán fracturas y fracasos durante el uso clínico. Para prevenir lo anterior, se utiliza un medio revelador elastomérico para hacer los ajustes en la preparación dental  que sobre la restauración cerámica. LEILA JAHANGIRI, BDS, DMD, MMSC, Et al. A METHOD OF VERIFYING AND IMPROVING INTERNAL FIT OF ALL CERMIC RESTORATIONS. J Prosthetic Dentistry Vol 95 Number 1January 2006.
Procedimiento Secar la superficie interna  de la restauración cerámica y  aplicar una delgada capa de  vaselina con un brush. Coloque partes iguales del revelador elastomérico Fit Checker negro (GC) sobre un block de mezcla y aplicar usando un instrumento plástico en la superficie interna de la restauración. Coloque sobre el diente y aplique presión. Remueva restauración, observa la unión del diente con la restauración que se muestra a través del material remanente .
Marque el diente o  estructura usando un  lápiz rojo a través del  material elastomérico, remueva el material y ajuste el diente o core a las áreas marcadas. Repita el procedimiento si es necesario. Limpie completamente la restauración antes de cementarla.
CORONAS METAL CERAMICA
CORONAS METAL CERAMICA Definición Restauración de cobertura completa generalmente menos estética que una corona totalmente cerámica pero que posee mayor resistencia y versatilidad.
Indicaciones Dientes que requieren recubrimiento completo y estética. Retenedor de prótesis parcial fija, su infraestructura puede incorporar descansos oclusales y cingulares. Destrucción amplia como resultado de caries, traumatismos o restauraciones preexistentes . Necesidad de resistencia para diente tratado endodónticamente junto con un muñón colado. Corregir el plano oclusal.
Componentes de la restauración metal cerámica Estructura metálica : el espesor del metal varía de una corona individual a una dentadura parcial fija dependiendo del tipo de aleación usada y la cantidad de estructura dental reducida por el dentista. Capa de óxido : que se forma sobre la superficie de la aleación durante el tratamiento térmico juega un papel importante en la unión de la porcelana dental a la estructura metálica. Capa de opacador : bloquea el color oscuro de la estructura metálica. El ideal de espesor de esta capa es de 0.2 mm a 0.3 mm Porcelana de dentina y esmalte Glaseado
CORONA METAL CERAMICA PREPARACION DIENTES ANTERIORES Reducción superficies axiales Surcos vestibulares de 1.2 mm Seguir planos anatómicos.
CORONA METAL CERAMICA PREPARACION DIENTES ANTERIORES Reducción superficies axiales Superficie lingual Seguir planos anatómicos
CORONA METAL CERAMICA PREPARACION DIENTES ANTERIORES Reducción incisal Fresa a 45º profundidad de 2mm
CORONA METAL CERAMICA PREPARACION DIENTES ANTERIORES Reducción proximal Junto a cara vestibular 1.2 mm en cervical Junto a cara lingual 0.6 mm
La línea de finalización consiste en un hombro vestibular de 1 a 1.2 mm de anchura y un chamfer lingual de 0.5 mm de anchura.  Se crea una transición suave entre el hombro y el chamfer. HISAKA SHIRATSUCHI, DDS Et al. INFLUENCE OF FINISH LINE DESIGN ON MARGINAL ADAPTATION OF ELECTROFORMED METAL – CERAMIC CROWNS. J Prosthet Dent 2006; 95:237 -42
CORONA METAL CERAMICA DIENTES POSTERIORES
Diseño del margen A : collar metálico en línea capilar B : Collar metálico Están indicados cuando se restaura la guía anterior con cobertura completa de porcelana. C : plancha metálica lingual D : tope metálico Están indicados en dientes finos con un espacio de alivio mínimo dictado por la guía anterior requerida. E:  inaceptable debido a que flexión del metal podría producir la fractura de la porcelana en el borde incisal. GERARD J. CHICHE. ALAIN PINAULT. ESTHETICS OF ANTERIOR FIXED PROSTHODONTICS. QUINTESSENCE .
Collar metálico Ancho de 0.8 mm por vestibular. Diseño ideal por sellado marginal, salud periodontal y rigidez durante la cementación. Difíciles de ocultar en los surcos superficiales o en márgenes gingivales finos o traslúcidos.
Margen en filo de cuchillo metálico Se usa con una línea de finalización en hombro y aleaciones de oro para crear el espesor suficiente de metal en la línea ángulo interna que permite resistir la deformación durante la cocción de la porcelana. Diseño difícil de pulir, requiere gran destreza para evitar sobre contorneado en la cara cervical o la exposición del opacador.
Márgenes de porcelana Mejor estética, translucidez. Línea de finalización en hombro redondeado internamente con una anchura de 0.8 a 1.2 mm y en ángulo de 90 a 100 grados con la superficie radicular.
Es necesario utilizar porcelana para hombros que se funde a una temperatura más elevada y permiten completar el margen cervical en tres cocciones antes de la construcción del cuerpo de porcelana.
El diseño de metal en hombro puede bloquear algo la transmisión de la luz y contribuir al ensombrecimiento de las caras radicular y gingival. El diseño del hombro sin metal  mejora la luz a través de las caras radicular y gingival.
Lomanto y Weiner han demostrado que con la técnica de porcelana para hombro el aumento de la hendidura marginal durante las cocciones de cuerpo y glaseado puede ser importante.
Belles y cols. Demostraron que la adaptación del margen de porcelana es mejor cuando la cofia de metal contacta con un hombro que cuando se corta respecto a la línea axiogingival. Un terminación en chamfer puede dar lugar a bordes del margen de la porcelana redondeados o frágiles.
Riesgo de fracturas en prótesis fija, se debe fragmentar la restauración grande y soldar en secciones con soldadura poscerámica una vez glaseadas. Otra opción es fragmentar  en secciones pequeñas con un attachment de precisión, siempre que sea posible.
Espesor de la reducción Investigaciones de Jorgenson y Goodkind, Barghi y Lorenzana, Seghi y cols., Jacobs y cols. Y Tereda y cols. Concluyen: Es necesario un espesor de porcelana de aproximadamente 1 mm para conseguir la mayoría de tonalidades. Si el espesor es menor que 1 mm se requiere dentina altamente cromatizada. El espesor de reducción vestibular recomendado es 1.4 a 1.7 mm. Un color claro requiere 1.1 mm de porcelana, 0.2 mm de opacador, 0.3 mm de metal y 0.1 mm de alivio muñón y tolerancia para un total de 1.7 mm.
Aleaciones Noble : término aplicado a metales que son resistentes a la corrosión y oxidación, son biocompatibles. Oro (Au), Platino (Pt), Paladio(Pd), Iridum(Ir), Osmio(Os), Rodio(Rh) y Rutenio (Ru). No noble : metal que se oxida, son metal base, incluye níquel, cromo, cobalto y aluminio.
Cómo debe ser la aleación  para coronas metal cerámica? La aleación debe producir superficie de óxidos para unión química con la porcelana dental. Ej: el metal base presenta tendencia natural a oxidarse cuando son llevados a altas temperaturas. Los componentes de los metales nobles no se oxidan. La aleación debe ser formulada si el coeficiente de expansión térmica es levemente mayor que el de la porcelana para mantener unión metal porcelana. Las aleaciones deben tener un rango de fusión mayor que el rango de fusión de las porcelanas para que no sufra distorsión cuando se coloquen las capas de porcelana. Debe ser de fácil manipulación. Debe ser biocompatible al técnico, clínico y paciente.
Reproducibilidad de la aleación La reproducibilidad de la aleación es un factor importante a considerar cuando se escoge el material de aleación . La aleación puede sufrir: Oxidación Volatilización de los componentes por las altas temperaturas. Desarrollar porosidad El proceso de fundición requiere de más material del necesario para producir la restauración. Los laboratorios dentales a menudo reutilizan los sobrantes de la fundición que quedan en el crisol para producir nuevas fundiciones cuando se usan aleaciones de alto costo. Una refundición nueva puede no tener la misma reproductibilidad que una aleación nueva. MURILO B.LOPES, DDS, MS. Et al. INFLUENCE OF RECASTING PALLADIUM-SILVER ALLOY ON THE FIT OF CROWNS WITH DIFFERENT MARGINAL CONFIGURATIONS. J Prosthet Dent 2005; 94:430-4)
Reisbick y Brantley reportaron una disminución en la resistencia e incremento en la porosidad con aleaciones en oro refundidas. Rasmussen y Doukoudakas observaron que el tamaño de la porosidad y la frecuencia en las aleaciones refundidas aumentó en un 85%  Algunos componentes de las aleaciones se volatilizaron debido a sus bajos puntos de fusión resultando en una pobre adaptación. Terminaciones en hombro con bisel a 20 grados tienen gran discrepancia marginal usando aleaciones refundidas debido a la alta viscosidad de la aleación para reproducir los detalles. Es menor la discrepancia si la terminación es en hombro recto o chamfer a 45 grados usando aleaciones refundidas.
Clasificación de las aleaciones para el sistema metal - cerámica SISTEMA  GRUPO Aleaciones  Oro-platino-paladio  de metales  Oro-paladio-plata  Alta o baja plata nobles  Oro-paladio Plata-paladio Alto paladio  Cobalto Cobre Oro plata Niveles de contenido Bajo: 0 al 33% Medio:34 al 66% Alto: 67 al 100% W. PATRICK NAYLOR. INTRODUCTION TO METAL CERAMIC TECHNOLOGY. QUINTESSENCE.
SISTEMA  GRUPO Níquel-cromo  Berilio Aleaciones  Libres de berilio Metal  Cromo-cobalto Base  Otros sistemas
Aleaciones metales noble
Sistema Oro-platino-paladio COMPOSICION Oro: 75% - 88% Platino : > 8% Paladio: > 11% Plata:>5% si está presente Se le adiciona indio, hierro y estaño para unión a porcelana. VENTAJAS Excelente moldeamiento y unión a porcelana Biocompatible Alto nivel de nobleza DESVENTAJAS Algunos son de color amarillo Alto costo Baja dureza Alta densidad
Sistema oro-paladio-plata COMPOSICION Oro: 39 -53% Paladio: 25 – 35% Plata: 12 – 22 % Se le adicionan elementos oxidables para la unión a porcelana. VENTAJAS Menor costo que oro, platino, paladio. Rigidez y resistencia al desalojo Altamente noble Resistencia a corrosión y deslustre DESVENTAJAS Alto contenido de plata crea potencial para pigmentar porcelana Alto costo Alto coeficiente de expansión
Sistema Oro-paladio COMPOSICION Oro: 44 -55% Paladio: 35 – 45% Galio: >5% Indio y estaño: 8 -12% VENTAJAS Excelente manipulación Resistente a corrosión y deslustre Baja densidad Dureza y fuerza mejorada DESVENTAJAS Térmicamente no compatible con porcelanas de alta expansión Alto costo
Sistema Paladio - plata COMPOSICION Paladio: 55 – 60% Plata: 28 -30% Indio y estaño Presentan elementos de oxidación VENTAJAS Bajo costo, baja densidad, baja dureza Buena manipulación y unión a porcelana Capacidad de pulir DESVENTAJAS Pigmentación amarillo, marrón o verde. Puede formar óxidos internos Alto coeficiente de expansión térmica MURILO B.LOPES, DDS, MS. Et al. INFLUENCE OF RECASTING PALLADIUM-SILVER ALLOY ON THE FIT OF CROWNS WITH DIFFERENT MARGINAL CONFIGURATIONS. J Prosthet Dent 2005; 94:430-4)
Sistema de alto paladio - cobre COMPOSICION Paladio: 70 -80% Cobre: 9 -15% Oro: 1 – 2 % si presenta Platino: 1% si presenta Se le adicionan elementos como galio, indio, y estaño para unirlo a la porcelana. VENTAJAS Más bajo costo que las basadas en oro Menor densidad Resistencia al deslustre y corrosión DESVENTAJAS Produce oscurecimiento Absorción de gases.  Alta dureza Pueden ser difíciles de pulir
Aleaciones metales bases
Metales Bases Se usan dos sistemas: Sistemas basados en níquel. Sistemas basados en cobalto. Estos sistemas contienen cromo como segundo componente.
Sistema níquel- cromo COMPOSICION Níquel: 62 – 82% Cromo: 11 – 20 % Berilio: >2%. VENTAJAS Bajo costo, baja densidad Pobre conductor térmico Puede ser grabado DESVENTAJAS Pacientes sensibles al níquel Potencialmente perjudicial por el berilio Alta dureza Dificil de soldar OSSAMU USHIWATA, DDS, MS. MARGINAL FIT OF NICKEL – CHROMIUM COPINGS BEFORE AND AFTER INTERNAL ADJUSTMENTS WITH DUPLICATED STONE DIES AND DISCLOSING AGENT. J Prosthet Dent 2000; 83:634-43.
Sistema cromo - cobalto COMPOSICION Cobalto: 53-68% Cromo: 25-34% Incluye molibdeno, rutenio VENTAJAS No contiene níquel ni berilio Pobre conductor térmico Baja densidad y bajo costo. DESVENTAJAS Difícil proceso Alta dureza Mayor oxidación que las de níquel
Unión porcelana al substrato metálico Unión mecánica : capacidad de humectación superficial de la cerámica logrando un íntimo contacto. El estado superficial de la aleación: abrasionado y preparado adecuadamente. Unión compresiva – reológica : por contracción de la porcelana durante el enfriamiento. Unión química : presencia de metales formadores de óxidos como indio, hierro y estaño en la superficie de la aleación en capa continua combinada con la porcelana. La interfase metal porcelana se une por enlaces covalentes.
Fallas unión metal cerámica Las más frecuentes se dan por contaminación superficial de la estructura metálica que impide unión de cerámica fundida y por exceso de producción de óxidos superficiales que se desprenden fácilmente de la superficie metálica. M. OZCAN. REVIEW. FRACTURE REASONS IN CERAMIC FUSED TO METAL RESTORATIONS. Journal of Rehabilitation 2003 30;265 – 269.
Diferencias entre módulos de cerámica y metal. Cuando la porcelana feldespática es enfriada, los cristales de leucita se contraen  más que la matriz de vidrio desarrollando stress compresivo tangencial creando microcraks dentro de los cristales, estos cracks se propagan llevando a la fractura.
Presencia de microporos dentro de la cerámica causados en el proceso de condensación y sinterización. Excesivo espesor de porcelana ,inadecuado metal de soporte, fuerzas oclusales o trauma. Inadecuada preparación dental, que resulta en pequeño espacio interoclusal para estructura metálica y porcelana. No registrar correctamente oclusión . Los contactos prematuros actúan como  zonas de stress en la cerámica.
No formación de óxidos superficiales. Separación limpia de la cerámica y metal. Porcelana se desprende limpiamente, el sustrato metálico con óxido superficial adherido. PORCELANA METAL METAL OXIDO METALICO PORCELANA Mc Lean reconoce seis patrones de fallas de la unión del metal y la cerámica, estos son : HUMBERTO JOSE GUZMAN. BIOMATERIALES ODONTOLOGICOS DE USO CLINICO. ECOE EDICIONES.
La porcelana se desprende junto con el óxido adherido. La superficie del metal aparece sin óxidos superficiales. Un exceso de óxidos acarrea la separación de la porcelana junto con una capa de óxidos. La superficie metálica también permanece con una capa de óxido. PORCELANA PORCELANA OXIDO METALICO OXIDO METALICO OXIDO METALICO METAL METAL
Desprendimiento de la cerámica junto con una capa de óxido y una capa de metal. Fractura parcial de la porcelana dejando un remanente de ésta sobre el substrato metálico. PORCELANA PORCELANA OXIDO METALICO METAL METAL METAL PORCELANA
PROTOCOLO PARA REPARACION DE CERAMICA FRACTURADA Con el microarenador (óxido de aluminio de 50 micrones) limpiar la capa de óxidos y crear irregularidades para retención por traba mecánica, aplicarla sobre el metal y la cerámica, por 5 – 7 segundos. Aislamiento absoluto Aplicar ácido fluorhídrico 6 – 9 % por 90 seg a 2 min en la porcelana. Retirar el ácido con un algodón y luego lavamos con agua. Aplicamos en la porcelana bicarbonato de sodio y agua por 90 seg para neutralizar. Se lava y se seca.
Se aplica el silano de 5 – 10 seg en la cerámica en 2 capas y se airea, para permitir unión de la cerámica con la resina. Se aplica metal primer en el metal, para permitir unión de resina con el metal. Dependiendo de la profundidad del metal se aplica opacador (líquido) sobre el metal una capa delgada y se polimeriza por 40 seg. Se aplica adhesivo sobre el opaco y la porcelana, polimeriza 40 seg. Se aplica capa de resina opaca o dentina como primera capa, se polimeriza 40 seg. Aplica resina por capas del tono a la porcelana polimerizando cada capa 40 se.
Cementación coronas metal cerámica Cementos de fosfato de zinc Ionómero de vidrio  Ionómero de vidrio modificado con resina Cemento resinoso: C&B (Bisco) Calibra (Dentsply) RelyX Unicem (3M) Panavia F (Kuraray) Estos cementos resinosos son recomendados cuando la corona carece de retención y resistencia. Las coronas son resisten más las fuerzas laterales con los cementos resinosos que con ionómero o fosfato de zinc. JOANNE NGO UY , DDM,MDS, et al. LOAD –FATIGUE PERFORMANCE OF GOLD CROWNS LUTED WITH RESIN CEMENTS. J Prosthet Dent 2006;95:315-22.
F  I  N

Restauraciones Ceramicas Y Metalceramicas

  • 1.
    REVISION DE LASRESTAURACIONES CERAMICAS Y METAL CERAMICAS
  • 2.
  • 3.
    Tendencia de laodontología actual estética Las cerámicas adquirieron en las dos últimas décadas propiedades que permiten su uso sin refuerzo interno con estructura metálica para elementos unitarios y prótesis fijas de 8 elementos.
  • 4.
  • 5.
    Propiedades físicas ymecánicas Translucidez Fluorescencia Estabilidad química Coeficiente de expansión térmica cercano al diente : 4.1 (diente 11.4) Biocompatibilidad Mayor resistencia a la compresión y abrasión. Baja resistencia al impacto Baja resistencia tensional
  • 6.
    Cerámica feldespática Vidriono cristalino basado en la sílice , feldespato de potasio o feldespato sódico o ambos en 75 – 85% con cuarzo y caolín. Vidrio, opacificadores y pigmentos son adicionados para controlar temperatura de fusión, sinterización, coeficiente de expansión térmica y solubilidad.
  • 7.
    Componentes cerámica feldespáticaFeldespato de sodio : provee la fase vítrea como sostén para el cuarzo. Le da baja temperatura. Feldespato de potasio : con óxidos metálicos a alta temperatura forman leucita (mineral de potasio-aluminio-silicato ) que le provee mayor coeficiente de expansión térmica.
  • 8.
    Caolín : silicatode aluminio hidratado. Agente de enlace, aumenta capacidad de moldear la porcelana antes de hornear . Opacificante. Cuarzo : compone la fase cristalina de la porcelana. Oxidos metálicos : para matices. Proveen distintos colores: óxido de hierro: café , cobre: verde, cobalto: azul titanio: amarillo-café, magnesio: azul lavanda.
  • 9.
  • 10.
    Cerámicas Odontológicas RIELSONJOSE ALVES CARDOSO. ESTETICA ODONTOLOGICA, NUEVA GENERACION. Artes Médicas Latinoamérica.2004.
  • 11.
  • 12.
    Clasificación de lascerámicas según su temperatura de fusión. Alta fusión : mayor a 1.300 grados centígrados Media fusión : 1.101 – 1.300 C Baja fusión : 850 – 1.100 C Ultra baja fusión : menor a 850 grados C. Utilizadas con titanio.
  • 13.
    Cerámicas feldespáticas Restauracionestotalmente cerámicas en inlay, onlay, carillas laminadas . Resistencia a la flexión de 65 a 90 Mpa. Con bajo contenido de leucita. Se confeccionan sobre modelos refractarios obtenidos por la duplicación de los modelos de trabajo.
  • 14.
    Sobre este modelose aplica la porcelana feldespática dentinaria en condiciones mayores para compensar la contracción de la quema. Se aplican capas sucesivas y se termina con una capa de glaze. Marcas comerciales Biodent (Dentsply) Cerinat (Dent – Mat) Ceramco II (Ceramco) Noritake (Noritake) Fortune (Williams )
  • 15.
    Dicor (Dentsply) Desarrolladopor Grossman en el 80. Presenta 45% cristales de mica tetrasílice con flúor fundido a temperatura de 1.350 C a 1.400 C. Resistencia de 90 – 120 Mpa. Alta tasa de fractura. INDICACION Inlay Onlay Carillas
  • 16.
    TECNICA Proceso defundición de cera perdida e inyección del vidrio fundido mediante centrifugación. Después ocurre el proceso de recristalización a través de un tratamiento térmico controlado, permitiendo el crecimiento de cristales (mica) en la estructura del material y aumento de la resistencia. El material se puede usar para confeccionar coping o infraestructuras.
  • 17.
    OPTEC HSP (Jeneric/Pentron,Inc.) Cerámica feldespática reforzada por alto contenido de leucita. Indicada para coronas unitarias, inlay, onlay. Condensación sobre modelos refractarios y sinterización. Alto módulo de ruptura y resistencia a mayor compresión que cerámicas feldespáticas convencionales. Resistencia a la flexión de 120 – 130 Mpa.
  • 18.
    HI CERAM (VITA)De las primeras cerámicas de vidrio reforzados con alúmina. Resistencia a la flexión de 140 Mpa. El cuerpo cerámico es sinterizado directamente en un modelo refractario a alta temperatura. Sobre la infraestructura opaca se aplica cerámica de cobertura libre de leucita Vitadur N o Vitadur Alpha.
  • 19.
    Sistemas cerámicos infiltradospor vidrio In Ceram Alúmina In Ceram Spinell Inceram Zirconio Sistema Techceram EDUARDO MIYACHITA, ANTONIO SALAZAR. ODONTOLOGIA ESTETICA, EL ESTADO DEL ARTE. ARTES MEDICAS .
  • 20.
    Sistemas cerámicos infiltradospor vidrio Estos sistemas se basan en la confección de una infraestructura en alúmina porosa, que posteriormente se infiltra por vidrio. Una cerámica feldespática compatible térmicamente es aplicada por la técnica de estratificación para terminar la restauración.
  • 21.
    Ventajas DesventajasResultados clínicos buenos: 10 años. Alta resistencia a la fractura. Buen sellado marginal Buena estética Biocompatibilidad Necesidad de realizar moldes y modelos en fase clínica y de laboratorio :causan distorsión relacionada a los materiales. Se requiere gran habilidad y experiencia del técnico . No se pueden grabar.
  • 22.
    Sistema In Ceram(Vita) Desarrollado a partir de estudios de Michel Sadoun en 1998. (Francia). INDICACION Infraestructuras de coronas, prótesis parciales fijas totalmente cerámicas en anteriores y posteriores hasta de tres elementos.
  • 23.
    Recomendaciones para lapreparación de UNA CORONA anterior Principios Biomecánicos Zona de Inserción Zona de Fricción Zona de Soporte
  • 24.
    Recomendaciones para lapreparación de UNA CORONA 1.5 – 2.0 mm. 1.5 – 2.0 mm. 2.0 mm. 2.0 - 2.5 mm. 1.5 mm. anterior Espacio mínimo para la Estética
  • 25.
    anterior Recomendaciones parala preparación de UNA CORONA Hombro con terminación recta y canto redondeado tratando en lo posible de nunca hacerlo a un ángulo menor de 90 ° o mayor de 160°. (120° Aprox.) 120 ° Aprox. El borde incisal de la preparación debe tener ángulos redondeados y equivale al desgaste del tercio incisal del diente natural con respecto a su adyacente.
  • 26.
    Recomendaciones para lapreparación de UNA CORONA posterior Principios Biomecánicos Zona de Inserción Zona de Fricción Zona de Soporte
  • 27.
    Hombro con terminaciónrecta y canto semirrecto no menor de 90 ° ni mayor de 120°. (100° Aprox.) posterior Recomendaciones para la preparación de UNA CORONA
  • 28.
    posterior Recomendaciones parala preparación de UNA CORONA Importancia de los dos planos oclusales Dos planos en la tabla oclusal aumentan las posibilidades estéticas en el surco central y contrarrestan las fuerzas de desplazamiento que se efectúan en posteriores al realizarse lateralidades Las fuerzas laterales no contrarrestadas, podrían descementar las restauraciones
  • 29.
  • 30.
    Instrumentos de CorteDiferentes Granos Diferentes Diámetros
  • 31.
    Instrumentos de CorteDiferentes Formas
  • 32.
  • 33.
    Se acondiciona elmodelo maestro y se duplica….. V I T A
  • 34.
    Confeccionamos el troquelrefractario ….. V I T A
  • 35.
    Se prepara la barbotina ….. V I T A
  • 36.
    Aplicamos la barbotina sobre los troqueles ….. V I T A
  • 37.
    Sinterizamos a altastemperaturas (1120 ° C - 1180 ° C) ….. V I T A
  • 38.
    Esta cocción sedivide en 3 fases Precalentamiento en 6 horas a 120 grados centígrados. Calentamiento en dos horas a 1.120 C. Dos hora de mantenimiento.
  • 39.
    Adaptamos la estructuracalcárea en los modelos ….. V I T A
  • 40.
    Infiltración vítrea Semezcla polvo vítreo según el color del diente con agua destilada y se aplica sobre estructura sinterizada. Esta estructura se coloca sobre lámina de platino y se cuece en el INCERAMAT durante 4 horas a 1.100 C, si son puentes se dejan por 6 horas.
  • 41.
    Infiltramos con vidrio,rectificamos….. y ….. V I T A
  • 42.
    Se aplica sobrela infraestructura cerámica de dentina y esmalte Vitadur Alpha (Vita). Cerámicas de revestimiento VM7 (Vita) de partícula fina, menor opacidad, da 20% más de resistencia a la flexión que Vitadur Alpha.
  • 43.
    V I TA VITA VM 7
  • 44.
    VITA VM 7BASIC V I T A Estructura de ceramica sin metal VITAVM 7 Dentina base VITAVM 7 Enamel
  • 45.
    “ LISTO“ V I T A
  • 46.
    In Ceram AlúminaCompuesto por óxido de aluminio denominado Corundum. La estructura es infiltrada con vidrio de lantanio fundido. El pequeño tamaño de partícula (0.5 – 3.5 micras) y la contracción pequeña (0.3%) permiten adecuada fidelidad marginal para las coronas
  • 47.
    Las coronas unitariaspueden tener abertura marginal alrededor de 25 micras y una prótesis de 3 elementos hasta de 58 micras. INDICACION Coronas unitarias anteriores y posteriores Prótesis parciales fijas convencionales de tres elementos anteriores.
  • 48.
    In Ceram SpinellUtiliza mezcla de alúmina y magnesio. Posee translucidez dos veces mayor que el In Ceram Alúmina . Valores de resistencia a la flexión menor en 15 -40% comparado con In Ceram Alúmina haciéndola inadecuada para posteriores. INDICACION Situaciones de máxima translucidez de estructura de coronas unitarias anteriores, carillas laminadas.
  • 49.
    In Ceram ZirconioMezcla de óxido de zirconio (33%) y óxido de aluminio (67%) aumentando la tenacidad y elevación de la resistencia a la flexión, menor propagación de grietas.
  • 50.
    Coloración distinta enla parte central y marginal por haber distribución irregular de los pigmentos que no acompaña el vidrio fundido. USOS Infraestructuras de prótesis parciales fijas hasta de 3 elementos en dientes posteriores.
  • 51.
    Cementación Coronas InCeram Cemento de ionómero de vidrio modificados por resinas . Fosfato de zinc No se pueden acondicionar con ácido fluorhídrico pues de esta forma habrá desintegración del coping de alúmina. MARCAS COMERSCIALES Relyx Luting (3M) Fuji-Plus (GC) Protec Cem (Vivadent) Principle (Dentsply)
  • 52.
  • 53.
  • 54.
  • 55.
  • 56.
  • 57.
  • 58.
  • 59.
  • 60.
  • 61.
  • 62.
  • 63.
  • 64.
  • 65.
  • 66.
  • 67.
  • 68.
  • 69.
  • 70.
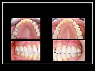
    Rehabilitación Maxilar Bilateralcon In Ceram Zirconio
  • 71.
  • 72.
    Sistemas cerámicos prensadosEmpress 1 y 2 (Ivoclar) OPC y OPC 3G (Jeneric/Pentron) Vision Esthetic (Wohlwend) Vita Press (Vita) Finesse (Dentsply/Ceramco) Cercogold (Degudent) EDUARDO MIYACHITA, ANTONIO SALAZAR. ODONTOLOGIA ESTETICA, EL ESTADO DEL ARTE. ARTES MEDICAS
  • 73.
    Empress 1 (Ivoclar)Se introdujo en el inicio de los 90. Cerámica feldespática reforzada por cristales de leucita (40 -50%). Resistencia a la flexión de 97 a 180 Mpa. INDICACION Coronas unitarias anteriores y posteriores. Inlays, onlays y carillas laminadas.
  • 74.
    Preparación para coronascompletas Specifications in mm
  • 75.
    Técnica Empress 1Las restauraciones son obtenidas por el método de cera perdida. Los modelos son introducidos en revestimiento especial aglutinado por fosfato ,
  • 76.
    Los modelos secolocan en el horno eléctrico junto con pastilla Empress 1 y calentados por elevación de temperatura del horno en 3 grados centígrados por minuto hasta 850 C y mantenida por 90 minutos.
  • 77.
    Luego se colocaen un horno de inyección EP500 o 600 y se coloca con pastillas Empress 1 posicionados en el conducto junto con el émbolo de alúmina y mantenidos por 20 minutos a 1.175.
  • 78.
    Luego de enfriadose corta el molde, los modelos se remueven por chorro de partículas de vidrio de 50 micras y cortados con discos de diamante.
  • 79.
    Restauraciones obtenidas hastasu contorno final con colores de las pastillas definidas, seguidas por la aplicación del pigmento y glaze. Obtener un coping de 0.7 mm de espesor sobre el cual se aplica la cerámica de estratificación hasta obtener la forma final seguida por la aplicación de pigmentos y glaze. Se pueden utilizar 2 técnicas para confeccionar las restauraciones:
  • 80.
    Empress 2 (Ivoclar)Se introdujo en 1999 para realizar prótesis fija de 3 elementos hasta segundo premolar. Resistencia a la flexión de 300 a 400 Mpa. Vidrio ceramizado disilicato de litio. INDICACION Coronas unitarias anteriores y posteriores. Inlays, onlays y carillas laminadas. Prótesis fija
  • 81.
    Consiste en cerámicavítrea para confección del coping o infraestructura con el 60 al 65% en volumen de cristales de disilicato de litio unidos a la matriz vítrea.
  • 82.
    La cerámica deestratificación presenta cristales de fluorapatita aplicada directamente sobre el coping o infraestructura , esta cerámica es la IPS Eris E2 (Ivoclar)
  • 83.
  • 84.
    Cementación coronas EmpressSe recomiendan cementos resinosos son recomendados por ser más resistentes, estéticos, compatibles con los agentes adhesivos y presentan baja solubilidad. También pueden ser cementadas con cementos de ionómero de vidrio modificado con resinas : Protect Cem (Vivadent) Dyract Cem (Dentsply) RelyX Luting (3M)
  • 85.
    Cementos resinosos, marcascomerciales y características
  • 86.
    Pasos en lacementación Tratamiento de la superficie interna de la restauración : implica una doble unión entre el cemento resinoso y el diente y otra entre el cemento resinoso y la restauración a cementarse. Se debe microarenar la cara interna con óxido de aluminio de 50 mm por 4 a 6 segundos para eliminar impurezas y promover porosidades . GERARD J. CHICHE. ALAIN PINAULT. ESTHETICS OF ANTERIOR FIXED PROSTHODONTICS. QUINTESSENCE .
  • 87.
    2. Acondicionamientointerno con ácido fluorhídrico del 7 al 10% Permite obtener micro retenedores en la superficie interna de la pieza para que penetre el adhesivo/cemento resinoso en la cerámica.
  • 88.
    3. Silanización dela restauración El silano debe actuar por 3 minutos, reacciona con las porciones cristalinas de la cerámica como con las porciones orgánicas del cemento resinoso, proporciona unión entre los dos componentes.
  • 89.
    4. Tratamiento deldiente El esmalte se debe acondicionar de 20 a 30 segundos con ácido fosfórico al 37% , la dentina no debe recibir la aplicación del ácido más de 15 segundos.
  • 90.
    Después se lavay se seca suavemente y se aplica el adhesivo (preferible dual). Se aplica el adhesivo en la superficie interna de la pieza y en el diente en el momento de la cementación.
  • 91.
    5. Aplicación delcemento resinoso Seleccionar el cemento resinoso y el color que se va a utilizar . Se debe colocar una cinta dental entre las caras proximales. Colocación del cemento y asentamiento sin presión.
  • 92.
    6. Eliminación deexcesos de cemento resinoso Se aconseja la aplicación de glicerina líquida entre los dientes adyacentes para facilitar la retirada de excesos de cemento. Tener cuidado de no aplicar glicerina en el área interna para no perjudicar el adhesivo.
  • 93.
    7.Prepolimerización Prepolimerización durante5 segundos para estabilizar la restauración en posición. Facilita la retirada de excesos de cemento de resina extravasado en las partes proximales, con bisturí #12
  • 94.
    8. Polimerización finalPolimerización de las caras proximales mesial y distal, de las caras vestibular, lingual y oclusal por 60 segundos, con intensidad mínima de 400 mW/mm. 9. Ajustes, acabado y pulimento final 10.Control periódico del paciente
  • 95.
    OPC (Optimal PressableCeramic) (Jeneric/Pentron) Lanzada en los 90. Cerámica reforzada con pequeños cristales de leucita (55-60%) Resistencia a la flexión de 140 a 156 Mpa. Indicada para coronas anteriores y posteriores, inlays, onlays y carillas laminadas. Técnica de cera perdida utilizando pastillas de cerámica. Restauraciones son obtenidas hasta su contorno final con los colores de pastillas, luego glaze.
  • 96.
    OPCM 3G AllCeramic System (Jeneric/Penaron) Lanzado en febrero de 2004. Compuesto de cristales de disilicato de litio. Indicados para prótesis parcial fija anterior hasta el primer premolar, coronas anteriores y posteriores, inlays, onlays y carillas laminadas. Técnica de cera perdida, se realiza prensado de pastilla de cerámica en el horno Autopress plus . Después de obtener el coping se aplica cerámica estratificada hasta dar forma final a la restauración, seguida por la aplicación con pigmentos y glaze.
  • 97.
    Cercogold (Degudent) Seintrodujo al final de los 90. Cerámica reforzada con leucita. Indicada para coronas anteriores y posteriores, inlays, onlay, carillas laminadas. Técnica de cera perdida, se utiliza horno Ceram Press Qex con pastillas Cergogold, después se estratifica el coping con cerámica Duceragold (Degudent)
  • 98.
    Vision Esthetic (Wohlwend Dental , Germany) Se introdujo al final de los 90. Cerámica de vidrio reforzada con leucita. Resistencia a la flexión de 110 Mpa/ Indicada para coronas anteriores y posteriores, prótesis fija de 3 elementos, inlays, onlays y carillas laminadas.
  • 99.
    Técnica de ceraperdida. El horno Vario Press 100 (Zubler-Ulm) Aplicación estratificada de la cerámica Vision Esthetic seguida por el glaze.
  • 100.
    Vita Press (Vita)Introducida en los 90. Cerámica reforzada por vidrio de leucita. Indicada para inlays, onlays, carillas laminadas. Técnica de cera perdida, Sin el uso de equipos especiales.,con sistema de mufla y contra mufla. Se aplica cerámica incremental con 35% de exceso. Se coloca contra mufla y se sinteriza con cerámica Omega 900 a 900 grados centígrados por 2 minutos o Vitadur alpha a 1.040 C por 2 minutos
  • 101.
    Sistemas cerámicos FresadosCerec 1,2,3 (Sirona) Celay (Vita) Procera (Nobel Biocare) Cercon (Dentsply/Ceramco) Lava All Ceramica System (3M/ESPE) EDUARDO MIYACHITA, ANTONIO SALAZAR. ODONTOLOGIA ESTETICA, EL ESTADO DEL ARTE. ARTES MEDICAS
  • 102.
    Cerec (Sirona) Utilizacaptación de imagen del preparado directamente en la cavidad bucal por medio de una microcámara. La imagen es procesada por una unidad CAD para que la restauración se planee y ejecute con la ayuda de un ordenador CAM. Se recomienda cubrir la preparación con dióxido de titanio pulverizado para difusión uniforme de la luz.
  • 103.
    El procedimiento defresado se realiza utilizando una punta diamantada y un disco (Cerec 2) o dos puntas diamantadas (Cerec 3). Los materiales cerámicos usados pueden ser bloques de Vita MK II, Vitablocks, Ivoclar Procad, Dicor MGC, Vita MK II Esthetic line.
  • 104.
    Cerec In LabIntroducido en 2002. Fabricación en laboratorio coping e infraestructuras hasta de 3 elementos con bloques In Ceram Zirconio, In Ceram Alúmina e Inceram Spinell. Utiliza lectura de troquel con láser con una unidad compacta que también hace fresado. Luego se realiza infiltración con vidrio, se aplica cerámica estratificada Vitadur Alpha (Vita).
  • 105.
    In Ceram CelayFresado de un bloque cerámico con 7 al 85% de alúmina. Indicado para coronas unitarias anteriores y posteriores, prótesis parcial fija anterior, inlays y onlays. Se confecciona réplica de restauración con resina fotopolimerizable (Celay Tech) sobre modelo en yeso que se monta en sistema Celay en el lado de inspección y el bloque cerámico en el lado de fresado donde ocurre el fresado en 15 a 20 minutos del bloque cerámico In Ceram Alúmina o Cerec Vitablocs. Después la estructura se infiltra con vidrio a base de aluminosilicato de lantano y luego se aplica cerámica estratificación Vitadur Alpha (Vita), glaze.
  • 106.
    Cercon (Degudent) Introducidoen 2001. Cerámica compuesta por zirconio, óxido de itrio. Resistencia a la flexión de 900 Mpa. Confección coronas anteriores y posteriores. Prótesis parcial fija de 3 a 8 elementos/ Se encera estructura en troquel, se remueve estructura encerada, para el escaneado y se procede a lectura con láser por 12 minutos para prótesis parcial fija de 4 elementos y 4 minutos para coronas anteriores y posteriores.
  • 107.
    El bloque dezirconio presinterizado Cercon es puesto en el equipo Cercon Brain (Dentsply, Ceramco) , según lecturas del modelo en cera, el bloque de zirconio es fresado con puntas, se sinteriza en el horno a 1.350 C por 6 horas, luego se aplica cerámica fluida y feldespática de baja fusión, glaze/
  • 108.
    LAVA All CeramicSystem (3M/ESPE) CAD/CAM. Resistencia a la flexión 1.250 Mpa. Confecciona coronas unitarias anteriores y posteriores y prótesis fija hasta 4 unidades con coping de óxido de zirconio. Lectura del troquel con un láser. Bloque de zirconio presinterizado (Lava) es puesto en el equipo y se fresa según lectura del troquel.
  • 109.
    Coronas unitarias en35 minutos y prótesis parcial fija en 75 minutos. Estructura fresada se inmersa en líquido Lava Shade según color escala Vita por 2 minutos. Luego se sinteriza en horno (Lava Therm) 1.105 C por 7 horas. Sobre coping se aplica cerámica Venner Lava Ceram
  • 110.
    Procera (Nobel Biocare)Introducido en los 80 por Matts Anderson (Suecia). Compuesto por partículas de óxido de aluminio puro sinterizado: Procera All Ceram y compuesto por zirconio estabilizado con itrio : Procera All Zircon.
  • 111.
    Preparación de losdientes Preparación en chamfer, con contornos suaves y redondeados, y sin ángulos agudos. La preparación debería tener una profundidad de 0.8 a 1.5 mm. La preparación del diente para un puente debería permitir utilizar un intermediario ≥ 3 mm de altura.
  • 112.
    Técnica Utiliza unscanner con punta de zafiro que registra 30.000 puntos al troquel de yeso, la imagen se trasfiere al ordenador en 3D., el operador marca 20 puntos y el ordenador demarca 360.
  • 113.
    Se elige elmaterial: alúmina o zirconio, el espesor, se envía información vía internet, si son copig a Fair Iawn , New Jersey (EEUU), los pilares para implantes a Estocolmo (Suecia) y los pilares de titanio en Karskoga.
  • 114.
    La unidad deproducción produce 2 troqueles, uno en material refractario 23% mayor que el original sobre el que se compacta la alúmina. Luego es llevada al horno a 1.640 C para sinterización donde se contrae el 23%. Se analiza el coping en el troquel de PVC para verificar micro fracturas y color. Espesura del coping 0.4 mm para coronas unitarias anteriores y premolares, 0.6 para posteriores, 0.25 para retenedores y pónticos de 3 elementos y carillas laminadas.
  • 115.
    Sobre el copingse aplica cerámica feldespática : Ducera All Ceram (Degudent), Vitadur Alfa(Vita), Cerabien (Noritake). Coronas Procera presentan buena adaptación marginal, en estudios se ha encontrado gaps marginales entre 80 -95 micras en dientes anteriores y 90 – 145 en dientes posteriores, se considera normal entre 100 y 200 micras. KLAUS W BOENINIG Et al. CLINICAL FIT OF PROCERA ALL CERAM CROWN. Journal Prosthetic Dent. Vol 84 #4. Octubre 2000.
  • 116.
  • 117.
  • 118.
  • 119.
  • 120.
  • 121.
  • 122.
  • 123.
  • 124.
  • 125.
  • 126.
  • 127.
    Criterios para selecciónsistema cerámico Estética Adaptación marginal Biocompatibilidad Resistencia Costo Facilidad de fabricación
  • 128.
    Dientes anteriores Mayor translucidez Translucidez intermedia Dicor Empress 1 Vision Esthetic Finesse OPC Vitapress Cergogold InCeram Spinell Empress 2 OPC 3G In Ceram Alúmina Tech Ceram Procera All Ceram
  • 129.
    Coronas anteriores Inlays– Onlays - Carillas Empress 1 OPC Finesse Optec Dicor Vision Esthetic Vita Press Resistencia 120 a 140 Mpa.
  • 130.
    Coronas anteriores yposteriores Inlays, onlays, carillas, prótesis fija de 3 elementos en anteriores IPS Empress 2 : hasta segundo premolar OPC 3G: hasta primer premolar Resistencia flexión de 350 a 430 Mpa. In Ceram Alúmina : hasta canino Tech ceram Procera All Ceram Resistencia a flexión de 300 a 700 Mpa.
  • 131.
    Prótesis parcial fijade 3 unidades en posteriores In Ceram Zirconio Cercon : hasta 8 unidades Lava Resistencia a la flexión entre 750 y 900 Mpa.
  • 132.
    METODO PARA VERIFICARY MEJORAR EL AJUSTE INTERNO DE RESTAURACIONES CERAMICAS El ajuste interno para mejorar la adaptación y el selle de las restauraciones cerámicos no es recomendado, pueden formarse cracks indetectables que producirán fracturas y fracasos durante el uso clínico. Para prevenir lo anterior, se utiliza un medio revelador elastomérico para hacer los ajustes en la preparación dental que sobre la restauración cerámica. LEILA JAHANGIRI, BDS, DMD, MMSC, Et al. A METHOD OF VERIFYING AND IMPROVING INTERNAL FIT OF ALL CERMIC RESTORATIONS. J Prosthetic Dentistry Vol 95 Number 1January 2006.
  • 133.
    Procedimiento Secar lasuperficie interna de la restauración cerámica y aplicar una delgada capa de vaselina con un brush. Coloque partes iguales del revelador elastomérico Fit Checker negro (GC) sobre un block de mezcla y aplicar usando un instrumento plástico en la superficie interna de la restauración. Coloque sobre el diente y aplique presión. Remueva restauración, observa la unión del diente con la restauración que se muestra a través del material remanente .
  • 134.
    Marque el dienteo estructura usando un lápiz rojo a través del material elastomérico, remueva el material y ajuste el diente o core a las áreas marcadas. Repita el procedimiento si es necesario. Limpie completamente la restauración antes de cementarla.
  • 135.
  • 136.
    CORONAS METAL CERAMICADefinición Restauración de cobertura completa generalmente menos estética que una corona totalmente cerámica pero que posee mayor resistencia y versatilidad.
  • 137.
    Indicaciones Dientes querequieren recubrimiento completo y estética. Retenedor de prótesis parcial fija, su infraestructura puede incorporar descansos oclusales y cingulares. Destrucción amplia como resultado de caries, traumatismos o restauraciones preexistentes . Necesidad de resistencia para diente tratado endodónticamente junto con un muñón colado. Corregir el plano oclusal.
  • 138.
    Componentes de larestauración metal cerámica Estructura metálica : el espesor del metal varía de una corona individual a una dentadura parcial fija dependiendo del tipo de aleación usada y la cantidad de estructura dental reducida por el dentista. Capa de óxido : que se forma sobre la superficie de la aleación durante el tratamiento térmico juega un papel importante en la unión de la porcelana dental a la estructura metálica. Capa de opacador : bloquea el color oscuro de la estructura metálica. El ideal de espesor de esta capa es de 0.2 mm a 0.3 mm Porcelana de dentina y esmalte Glaseado
  • 139.
    CORONA METAL CERAMICAPREPARACION DIENTES ANTERIORES Reducción superficies axiales Surcos vestibulares de 1.2 mm Seguir planos anatómicos.
  • 140.
    CORONA METAL CERAMICAPREPARACION DIENTES ANTERIORES Reducción superficies axiales Superficie lingual Seguir planos anatómicos
  • 141.
    CORONA METAL CERAMICAPREPARACION DIENTES ANTERIORES Reducción incisal Fresa a 45º profundidad de 2mm
  • 142.
    CORONA METAL CERAMICAPREPARACION DIENTES ANTERIORES Reducción proximal Junto a cara vestibular 1.2 mm en cervical Junto a cara lingual 0.6 mm
  • 143.
    La línea definalización consiste en un hombro vestibular de 1 a 1.2 mm de anchura y un chamfer lingual de 0.5 mm de anchura. Se crea una transición suave entre el hombro y el chamfer. HISAKA SHIRATSUCHI, DDS Et al. INFLUENCE OF FINISH LINE DESIGN ON MARGINAL ADAPTATION OF ELECTROFORMED METAL – CERAMIC CROWNS. J Prosthet Dent 2006; 95:237 -42
  • 144.
    CORONA METAL CERAMICADIENTES POSTERIORES
  • 145.
    Diseño del margenA : collar metálico en línea capilar B : Collar metálico Están indicados cuando se restaura la guía anterior con cobertura completa de porcelana. C : plancha metálica lingual D : tope metálico Están indicados en dientes finos con un espacio de alivio mínimo dictado por la guía anterior requerida. E: inaceptable debido a que flexión del metal podría producir la fractura de la porcelana en el borde incisal. GERARD J. CHICHE. ALAIN PINAULT. ESTHETICS OF ANTERIOR FIXED PROSTHODONTICS. QUINTESSENCE .
  • 146.
    Collar metálico Anchode 0.8 mm por vestibular. Diseño ideal por sellado marginal, salud periodontal y rigidez durante la cementación. Difíciles de ocultar en los surcos superficiales o en márgenes gingivales finos o traslúcidos.
  • 147.
    Margen en filode cuchillo metálico Se usa con una línea de finalización en hombro y aleaciones de oro para crear el espesor suficiente de metal en la línea ángulo interna que permite resistir la deformación durante la cocción de la porcelana. Diseño difícil de pulir, requiere gran destreza para evitar sobre contorneado en la cara cervical o la exposición del opacador.
  • 148.
    Márgenes de porcelanaMejor estética, translucidez. Línea de finalización en hombro redondeado internamente con una anchura de 0.8 a 1.2 mm y en ángulo de 90 a 100 grados con la superficie radicular.
  • 149.
    Es necesario utilizarporcelana para hombros que se funde a una temperatura más elevada y permiten completar el margen cervical en tres cocciones antes de la construcción del cuerpo de porcelana.
  • 150.
    El diseño demetal en hombro puede bloquear algo la transmisión de la luz y contribuir al ensombrecimiento de las caras radicular y gingival. El diseño del hombro sin metal mejora la luz a través de las caras radicular y gingival.
  • 151.
    Lomanto y Weinerhan demostrado que con la técnica de porcelana para hombro el aumento de la hendidura marginal durante las cocciones de cuerpo y glaseado puede ser importante.
  • 152.
    Belles y cols.Demostraron que la adaptación del margen de porcelana es mejor cuando la cofia de metal contacta con un hombro que cuando se corta respecto a la línea axiogingival. Un terminación en chamfer puede dar lugar a bordes del margen de la porcelana redondeados o frágiles.
  • 153.
    Riesgo de fracturasen prótesis fija, se debe fragmentar la restauración grande y soldar en secciones con soldadura poscerámica una vez glaseadas. Otra opción es fragmentar en secciones pequeñas con un attachment de precisión, siempre que sea posible.
  • 154.
    Espesor de lareducción Investigaciones de Jorgenson y Goodkind, Barghi y Lorenzana, Seghi y cols., Jacobs y cols. Y Tereda y cols. Concluyen: Es necesario un espesor de porcelana de aproximadamente 1 mm para conseguir la mayoría de tonalidades. Si el espesor es menor que 1 mm se requiere dentina altamente cromatizada. El espesor de reducción vestibular recomendado es 1.4 a 1.7 mm. Un color claro requiere 1.1 mm de porcelana, 0.2 mm de opacador, 0.3 mm de metal y 0.1 mm de alivio muñón y tolerancia para un total de 1.7 mm.
  • 155.
    Aleaciones Noble :término aplicado a metales que son resistentes a la corrosión y oxidación, son biocompatibles. Oro (Au), Platino (Pt), Paladio(Pd), Iridum(Ir), Osmio(Os), Rodio(Rh) y Rutenio (Ru). No noble : metal que se oxida, son metal base, incluye níquel, cromo, cobalto y aluminio.
  • 156.
    Cómo debe serla aleación para coronas metal cerámica? La aleación debe producir superficie de óxidos para unión química con la porcelana dental. Ej: el metal base presenta tendencia natural a oxidarse cuando son llevados a altas temperaturas. Los componentes de los metales nobles no se oxidan. La aleación debe ser formulada si el coeficiente de expansión térmica es levemente mayor que el de la porcelana para mantener unión metal porcelana. Las aleaciones deben tener un rango de fusión mayor que el rango de fusión de las porcelanas para que no sufra distorsión cuando se coloquen las capas de porcelana. Debe ser de fácil manipulación. Debe ser biocompatible al técnico, clínico y paciente.
  • 157.
    Reproducibilidad de laaleación La reproducibilidad de la aleación es un factor importante a considerar cuando se escoge el material de aleación . La aleación puede sufrir: Oxidación Volatilización de los componentes por las altas temperaturas. Desarrollar porosidad El proceso de fundición requiere de más material del necesario para producir la restauración. Los laboratorios dentales a menudo reutilizan los sobrantes de la fundición que quedan en el crisol para producir nuevas fundiciones cuando se usan aleaciones de alto costo. Una refundición nueva puede no tener la misma reproductibilidad que una aleación nueva. MURILO B.LOPES, DDS, MS. Et al. INFLUENCE OF RECASTING PALLADIUM-SILVER ALLOY ON THE FIT OF CROWNS WITH DIFFERENT MARGINAL CONFIGURATIONS. J Prosthet Dent 2005; 94:430-4)
  • 158.
    Reisbick y Brantleyreportaron una disminución en la resistencia e incremento en la porosidad con aleaciones en oro refundidas. Rasmussen y Doukoudakas observaron que el tamaño de la porosidad y la frecuencia en las aleaciones refundidas aumentó en un 85% Algunos componentes de las aleaciones se volatilizaron debido a sus bajos puntos de fusión resultando en una pobre adaptación. Terminaciones en hombro con bisel a 20 grados tienen gran discrepancia marginal usando aleaciones refundidas debido a la alta viscosidad de la aleación para reproducir los detalles. Es menor la discrepancia si la terminación es en hombro recto o chamfer a 45 grados usando aleaciones refundidas.
  • 159.
    Clasificación de lasaleaciones para el sistema metal - cerámica SISTEMA GRUPO Aleaciones Oro-platino-paladio de metales Oro-paladio-plata Alta o baja plata nobles Oro-paladio Plata-paladio Alto paladio Cobalto Cobre Oro plata Niveles de contenido Bajo: 0 al 33% Medio:34 al 66% Alto: 67 al 100% W. PATRICK NAYLOR. INTRODUCTION TO METAL CERAMIC TECHNOLOGY. QUINTESSENCE.
  • 160.
    SISTEMA GRUPONíquel-cromo Berilio Aleaciones Libres de berilio Metal Cromo-cobalto Base Otros sistemas
  • 161.
  • 162.
    Sistema Oro-platino-paladio COMPOSICIONOro: 75% - 88% Platino : > 8% Paladio: > 11% Plata:>5% si está presente Se le adiciona indio, hierro y estaño para unión a porcelana. VENTAJAS Excelente moldeamiento y unión a porcelana Biocompatible Alto nivel de nobleza DESVENTAJAS Algunos son de color amarillo Alto costo Baja dureza Alta densidad
  • 163.
    Sistema oro-paladio-plata COMPOSICIONOro: 39 -53% Paladio: 25 – 35% Plata: 12 – 22 % Se le adicionan elementos oxidables para la unión a porcelana. VENTAJAS Menor costo que oro, platino, paladio. Rigidez y resistencia al desalojo Altamente noble Resistencia a corrosión y deslustre DESVENTAJAS Alto contenido de plata crea potencial para pigmentar porcelana Alto costo Alto coeficiente de expansión
  • 164.
    Sistema Oro-paladio COMPOSICIONOro: 44 -55% Paladio: 35 – 45% Galio: >5% Indio y estaño: 8 -12% VENTAJAS Excelente manipulación Resistente a corrosión y deslustre Baja densidad Dureza y fuerza mejorada DESVENTAJAS Térmicamente no compatible con porcelanas de alta expansión Alto costo
  • 165.
    Sistema Paladio -plata COMPOSICION Paladio: 55 – 60% Plata: 28 -30% Indio y estaño Presentan elementos de oxidación VENTAJAS Bajo costo, baja densidad, baja dureza Buena manipulación y unión a porcelana Capacidad de pulir DESVENTAJAS Pigmentación amarillo, marrón o verde. Puede formar óxidos internos Alto coeficiente de expansión térmica MURILO B.LOPES, DDS, MS. Et al. INFLUENCE OF RECASTING PALLADIUM-SILVER ALLOY ON THE FIT OF CROWNS WITH DIFFERENT MARGINAL CONFIGURATIONS. J Prosthet Dent 2005; 94:430-4)
  • 166.
    Sistema de altopaladio - cobre COMPOSICION Paladio: 70 -80% Cobre: 9 -15% Oro: 1 – 2 % si presenta Platino: 1% si presenta Se le adicionan elementos como galio, indio, y estaño para unirlo a la porcelana. VENTAJAS Más bajo costo que las basadas en oro Menor densidad Resistencia al deslustre y corrosión DESVENTAJAS Produce oscurecimiento Absorción de gases. Alta dureza Pueden ser difíciles de pulir
  • 167.
  • 168.
    Metales Bases Seusan dos sistemas: Sistemas basados en níquel. Sistemas basados en cobalto. Estos sistemas contienen cromo como segundo componente.
  • 169.
    Sistema níquel- cromoCOMPOSICION Níquel: 62 – 82% Cromo: 11 – 20 % Berilio: >2%. VENTAJAS Bajo costo, baja densidad Pobre conductor térmico Puede ser grabado DESVENTAJAS Pacientes sensibles al níquel Potencialmente perjudicial por el berilio Alta dureza Dificil de soldar OSSAMU USHIWATA, DDS, MS. MARGINAL FIT OF NICKEL – CHROMIUM COPINGS BEFORE AND AFTER INTERNAL ADJUSTMENTS WITH DUPLICATED STONE DIES AND DISCLOSING AGENT. J Prosthet Dent 2000; 83:634-43.
  • 170.
    Sistema cromo -cobalto COMPOSICION Cobalto: 53-68% Cromo: 25-34% Incluye molibdeno, rutenio VENTAJAS No contiene níquel ni berilio Pobre conductor térmico Baja densidad y bajo costo. DESVENTAJAS Difícil proceso Alta dureza Mayor oxidación que las de níquel
  • 171.
    Unión porcelana alsubstrato metálico Unión mecánica : capacidad de humectación superficial de la cerámica logrando un íntimo contacto. El estado superficial de la aleación: abrasionado y preparado adecuadamente. Unión compresiva – reológica : por contracción de la porcelana durante el enfriamiento. Unión química : presencia de metales formadores de óxidos como indio, hierro y estaño en la superficie de la aleación en capa continua combinada con la porcelana. La interfase metal porcelana se une por enlaces covalentes.
  • 172.
    Fallas unión metalcerámica Las más frecuentes se dan por contaminación superficial de la estructura metálica que impide unión de cerámica fundida y por exceso de producción de óxidos superficiales que se desprenden fácilmente de la superficie metálica. M. OZCAN. REVIEW. FRACTURE REASONS IN CERAMIC FUSED TO METAL RESTORATIONS. Journal of Rehabilitation 2003 30;265 – 269.
  • 173.
    Diferencias entre módulosde cerámica y metal. Cuando la porcelana feldespática es enfriada, los cristales de leucita se contraen más que la matriz de vidrio desarrollando stress compresivo tangencial creando microcraks dentro de los cristales, estos cracks se propagan llevando a la fractura.
  • 174.
    Presencia de microporosdentro de la cerámica causados en el proceso de condensación y sinterización. Excesivo espesor de porcelana ,inadecuado metal de soporte, fuerzas oclusales o trauma. Inadecuada preparación dental, que resulta en pequeño espacio interoclusal para estructura metálica y porcelana. No registrar correctamente oclusión . Los contactos prematuros actúan como zonas de stress en la cerámica.
  • 175.
    No formación deóxidos superficiales. Separación limpia de la cerámica y metal. Porcelana se desprende limpiamente, el sustrato metálico con óxido superficial adherido. PORCELANA METAL METAL OXIDO METALICO PORCELANA Mc Lean reconoce seis patrones de fallas de la unión del metal y la cerámica, estos son : HUMBERTO JOSE GUZMAN. BIOMATERIALES ODONTOLOGICOS DE USO CLINICO. ECOE EDICIONES.
  • 176.
    La porcelana sedesprende junto con el óxido adherido. La superficie del metal aparece sin óxidos superficiales. Un exceso de óxidos acarrea la separación de la porcelana junto con una capa de óxidos. La superficie metálica también permanece con una capa de óxido. PORCELANA PORCELANA OXIDO METALICO OXIDO METALICO OXIDO METALICO METAL METAL
  • 177.
    Desprendimiento de lacerámica junto con una capa de óxido y una capa de metal. Fractura parcial de la porcelana dejando un remanente de ésta sobre el substrato metálico. PORCELANA PORCELANA OXIDO METALICO METAL METAL METAL PORCELANA
  • 178.
    PROTOCOLO PARA REPARACIONDE CERAMICA FRACTURADA Con el microarenador (óxido de aluminio de 50 micrones) limpiar la capa de óxidos y crear irregularidades para retención por traba mecánica, aplicarla sobre el metal y la cerámica, por 5 – 7 segundos. Aislamiento absoluto Aplicar ácido fluorhídrico 6 – 9 % por 90 seg a 2 min en la porcelana. Retirar el ácido con un algodón y luego lavamos con agua. Aplicamos en la porcelana bicarbonato de sodio y agua por 90 seg para neutralizar. Se lava y se seca.
  • 179.
    Se aplica elsilano de 5 – 10 seg en la cerámica en 2 capas y se airea, para permitir unión de la cerámica con la resina. Se aplica metal primer en el metal, para permitir unión de resina con el metal. Dependiendo de la profundidad del metal se aplica opacador (líquido) sobre el metal una capa delgada y se polimeriza por 40 seg. Se aplica adhesivo sobre el opaco y la porcelana, polimeriza 40 seg. Se aplica capa de resina opaca o dentina como primera capa, se polimeriza 40 seg. Aplica resina por capas del tono a la porcelana polimerizando cada capa 40 se.
  • 180.
    Cementación coronas metalcerámica Cementos de fosfato de zinc Ionómero de vidrio Ionómero de vidrio modificado con resina Cemento resinoso: C&B (Bisco) Calibra (Dentsply) RelyX Unicem (3M) Panavia F (Kuraray) Estos cementos resinosos son recomendados cuando la corona carece de retención y resistencia. Las coronas son resisten más las fuerzas laterales con los cementos resinosos que con ionómero o fosfato de zinc. JOANNE NGO UY , DDM,MDS, et al. LOAD –FATIGUE PERFORMANCE OF GOLD CROWNS LUTED WITH RESIN CEMENTS. J Prosthet Dent 2006;95:315-22.
  • 181.
    F I N