Radiografía de tórax
ADJUNTO MODERADOR
DRA.FRANGELIS
SERRANO
NEUMOPEDIATRA
Republica Bolivariana de Venezuela
Ministerio del Poder Popular para la Educación
Superior
Universidad Central de Venezuela
Hospital Militar “Dr. Carlos Arvelo ”
RESIDENTE
DRA. KEYLA NAVARRO R
RESIDENTE DEL 1ER AÑO
PEDIATRIAY PUERICULTURA
RADIOGRAFIA DE TORAX
 HISTORIA.
 DEFINICION.
 DENSIDADES RADIOLOGICAS.
 TIPOS DE RADIOGRAFIA DE
TORAX
 EVALUACION DE LA CALIDAD
TECNICA RADIOLOGICA
 ANATOMIA RADIOLOGICA
HISTORIA
La historia de la radiografía empezó cuando, en el siglo
XIX, el químico inglés William Crookes decidió
investigar los efectos de algunos gases al aplicarles
descargas eléctricas. Estos experimentos se realizaban en
un tubo en vació mientras se pasaban corrientes de alto
voltaje, lo que se conoció como tubo de Crookes. Para
sorpresa del científico, estos tubos, al estar cerca de las
placas fotográficas, generaba algunas imágenes.
En 1895, el físico Wilhelm Conrad
Röntgen comenzó a realizar
experimentos con los tubos de Crookes y,
tras siete semanas de arduo trabajo
estudiando las características y
propiedades del fenómeno, se conocieron
los rayos X.
LA HISTORIA DE LA RADIOLOGIA/ESR European Society RadiologRadiology/introduccion /UN
CARRUSEL CIENTÍFICO: LOS RAYOS X DESDE 1896 HASTA EL PRESENTE
HISTORIA
La primera radiografía realizada en humanos salió a la luz
el 22 de diciembre de 1895, cuando Röntgen le pidió a su
esposa que colocase la mano sobre la placa durante quince
minutos. Al revelar la placa, apareció una imagen donde
podían verse los huesos de la mano con el anillo flotando
sobre estos: así llegaba un momento histórico en el
diagnóstico médico y nacería una de las ramas más
importantes de la Medicina: la Radiología. Recibió el
premio Nobel de Física en 1901.
Pero sería hasta 1897 que el científico Nikola Tesla
estudiaría este fenómeno, que descubriría el peligro que
puede representar para el organismo al estar expuesto a
estas radiaciones.
LA HISTORIA DE LA RADIOLOGIA/ESR European Society Radiology/introduccion /UN CARRUSEL CIENTÍFICO: LOS RAYOS X DESDE 1896
HASTA EL PRESENTE
DEFINICIONES
La RADIOLOGÍA, es la ciencia de las imágenes diagnósticas. Método diagnóstico basado en la obtención de
imágenes a través del uso de rayos X direccionados al cuerpo en estudio
El sustantivo latino “radius” puede traducirse como “rayo”. La palabra griega “logia” que es sinónimo de
“estudio”.
Se refiere a radiografía del tórax cuando una pequeña dosis de radiación electromagnética, invisible para
nuestros ojos, atraviesa nuestra caja torácica para imprimirse en películas fotográfica. La toma de imágenes
con rayos X supone la exposición de una parte del cuerpo a una pequeña dosis de radiación ionizante para
producir imágenes del interior del cuerpo. La dosis típica de radiación de una radiografía de tórax es de
alrededor de 0,02 MSV PARA UNA VISTA POSTEROANTERIOR Y DE UNOS 0,04 MSV PARA UNA
VISTA LATERAL.
Guia basica de interpretacion de la radiografia de torax /fundamentos de radiologia toracica /neumosur
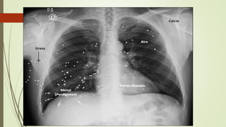
DENSIDADES RADIOLOGICAS
Aire: negro.
Grasa: Gris
más oscuro.
Agua / Partes
Blandas: Gris
claro o palido
Calcio /
Hueso:
Blanco.
Metal: blanco
opaco
5 DENSIDADES RADIOLOGICAS : EFECTOS EN LA IMAGEN
RADIOLOGIA 2.0 HERRAMIENTAS PARA EL ANALISIS DE LAS IMAGENES MEDICAS /densidades radiologicas
DENSIDADES RADIOLOGICAS
RADIOLOGIA 2.0 HERRAMIENTAS PARA EL ANALISIS DE LAS IMAGENES MEDICAS /densidades radiológicas/Dr Mostafa Mahmoud El-Feky
and Dr Jeremy Jones et al. Radiology for students (curriculum) disponible en línea en Radiopaedia.org
TIPOS DE RADIOGRAFIAS DE TORAX
PROYECCIONES COMPLEMENTARIAS
• AP EN DECÚBITO SUPINO
• AP LORDÓTICA
• PA EN ESPIRACIÓN
• OBLÍCUAS (DCHA E IZDA)
• DECÚBITO LATERAL CON RAYOS
HORIZONTALES
SISTEMÁTICO:
PA Y LATERAL
POSTERO-ANTERIOR (PA)
ANTERO-POSTERIOR (AP)
LATERAL
DECUBITO LATERAL CON RAYO
HORIZONTAL
LORDOTICA
TIPOS DE RADIOGRAFIAS DE TORAX
EVALUACION DE LA CALIDAD TECNICA
RADIOLOGICA
Principios de Radiologia Toracia,Segunda Edicion, Lorenh.Ketai,MD.Editorial Medica Panamericana,2007.
EVALUACION DE LA CALIDAD TECNICA RADIOLOGICA
INSPIRACION
PENETRACION
COLUMNA VERTEBRAL A TRAVES DEL
CORAZON Y ESTRUCTURAS
RETROCARDIACAS
CENTRAJE
MAGNIFICACION
EVALUACION DE LA CALIDADTECNICA RADIOLOGICA
ANATOMIA RADIOLOGICA
ANATOMIA RADIOLOGICA
ARBOL
TRAQUEOBRONQUIAL
• En las radiografías PA la tráquea se ve como una
radiolucencia vertical.
• El bronquio principal derecho es mucho más corto y
vertical que el izquierdo y ambos se ven bien en la PA.
”Basics of Chest Radiology, A Beginner’s Guide to Chest maging”Revised and Updated Fourth Edition,JM Books’ Medical Division.
HILIOS
PULMONARES
• Contienen arterias, venas , bronquios y ganglios
linfáticos.
• Son similares en tamaño y densidad estando el izquierdo
algo mas alto debido a la salida en horizontal del
bronquio izquierdo.
• El bronquio derecho es la prolongación natural de la
tráquea. Son puntos de referencia obligatoria.
ANATOMIA LOBAR
Y SEGMENTARIA
• El pulmón derecho queda dividido en
TRES LÓBULOS por las CISURAS MAYOR
Y MENOR.
• El SUPERIOR recibe el bronquio del LSD y
se divide en TRES SEGMENTOS:
ANTERIOR, APICAL Y POSTERIOR. Estos
segmentos no están delimitados por
pleura.
• El LÓBULO MEDIO recibe el bronquio del
lóbulo medio que nace del bronquio
intermediario y se divide en DOS
SEGMENTOS: MEDIAL Y LATERAL.
• El LÓBULO INFERIOR DERECHO recibe el
bronquio del LID y se divide en CINCO
SEGMENTOS: APICAL, BASAL ANTERIOR,
BASAL LATERAL, BASAL MEDIAL Y BASAL
POSTERIOR.
1. Goodman LR. Felson. Principios de Radiología Torácica. Un texto programado.3a Edición. España: Elsevier; 2009
ANATOMIA LOBAR Y SEGMENTARIA
• El pulmón izquierdo se divide en LÓBULO
SUPERIOR E INFERIOR POR LA CISURA
MAYOR.
• El SUPERIOR se divide en CUATRO
SEGMENTOS: LOS SEGMENTOS
APICOPOSTERIOR Y ANTERIOR, Y LOS
SEGMENTOS SUPERIOR E INFERIOR
LINGULAR Y RECIBE EL BRONQUIO DEL LSI
que se dividirá en una RAMA SUPERIOR Y
OTRA INFERIOR O LINGULAR para todos
estos segmentos.
• El LII se divide en CUATRO SEGMENTOS:
APICAL Y LOS TRES SEGMENTOS BASALES,
ANTEROMEDIAL, LATERAL Y POSTERIOR, Y
RECIBE EL BRONQUIO DEL LII.
1. Goodman LR. Felson. Principios de Radiología Torácica. Un texto programado.3a Edición. España: Elsevier; 2009
1
2
3
LSD
LM
LI
LI
LSD
CISURAS
• Son invaginaciones de la pleura visceral en
el pulmón y separan los lóbulos. Hay dos
cisuras en la derecha y una en la izquierda.
• Las cisuras mayores se ven en la radiografía
lateral como dos finas líneas, no
visualizándose en la PA debido a su
orientación oblicua con respecto al rayo. La
cisura menor se suele ver casi siempre en las
dos proyecciones.
MEDIASTINO
• Es el espacio situado entre las pleuras parietales mediales, que
contiene las estructuras centrales cardiovasculares,
traqueobronquiales y el esófago, rodeados por grasa, en cuyo
seno hay ganglios linfáticos.
• Se divide en compartimentos y la clasificación más utilizada es
la anatomoradiológica, en la cual una línea trazada desde el
angulo esternal por delante hasta el cuarto espacio
intervertebral por detrás lo divide en superior e inferior.
• El compartimento inferior se subdivide en anterior, medio y
posterior y es puramente arbitraria teniendo como referencia
el corazón y la columna.
PLEURA
• Es una membrana serosa que rodea el pulmón y
reviste la superficie costal, el diafragma y el
mediastino.
• Está formada por dos capas, la visceral y la
parietal.
• La visceral está adherida a la superficie del pulmón
y la parietal a la pared torácica y diafragma.
• El espacio pleural es virtual.
DIAFRAGMA
• Es una membrana musculotendinosa que separa la cavidad torácica de
la abdominal.
• El HEMIDIAFRAGMA DERECHO RECUBRE EL HÍGADO Y EL IZQUIERDO
EL ESTÓMAGO Y BAZO.
• EN RADIOGRAFIA LATERAL PUEDEN DISTINGUIRSE CON FACILIDAD YA
QUE EL DERECHO SE VE EN SU TOTALIDAD Y EL IZQUIERDO NO SE VE
SU PORCIÓN MÁS ANTERIOR POR LA INTERPOSICIÓN CARDIACA.
INDICE CARDIOTORACICO
INDICE CARDIOTORACICO
ICT
DIÁMETROS TRANSVERSOS
D =DISTANCIA MAYOR DESDE LA LÍNEA MEDIA DE LA
COLUMNA HASTA EL BORDE CARDIACO DERECHO.
I =DISTANCIA MAYOR DESDE LA LÍNEA MEDIA DE LA
COLUMNA HASTA EL BORDE CARDIACO IZQUIERDO.
T =DIÁMETRO TORÁCICO TRANSVERSO (A NIVEL DE
DIAFRAGMAS)
GRACIAS

Seminario de rx de keyla n.pptx

  • 1.
    Radiografía de tórax ADJUNTOMODERADOR DRA.FRANGELIS SERRANO NEUMOPEDIATRA Republica Bolivariana de Venezuela Ministerio del Poder Popular para la Educación Superior Universidad Central de Venezuela Hospital Militar “Dr. Carlos Arvelo ” RESIDENTE DRA. KEYLA NAVARRO R RESIDENTE DEL 1ER AÑO PEDIATRIAY PUERICULTURA
  • 2.
    RADIOGRAFIA DE TORAX HISTORIA.  DEFINICION.  DENSIDADES RADIOLOGICAS.  TIPOS DE RADIOGRAFIA DE TORAX  EVALUACION DE LA CALIDAD TECNICA RADIOLOGICA  ANATOMIA RADIOLOGICA
  • 3.
    HISTORIA La historia dela radiografía empezó cuando, en el siglo XIX, el químico inglés William Crookes decidió investigar los efectos de algunos gases al aplicarles descargas eléctricas. Estos experimentos se realizaban en un tubo en vació mientras se pasaban corrientes de alto voltaje, lo que se conoció como tubo de Crookes. Para sorpresa del científico, estos tubos, al estar cerca de las placas fotográficas, generaba algunas imágenes. En 1895, el físico Wilhelm Conrad Röntgen comenzó a realizar experimentos con los tubos de Crookes y, tras siete semanas de arduo trabajo estudiando las características y propiedades del fenómeno, se conocieron los rayos X. LA HISTORIA DE LA RADIOLOGIA/ESR European Society RadiologRadiology/introduccion /UN CARRUSEL CIENTÍFICO: LOS RAYOS X DESDE 1896 HASTA EL PRESENTE
  • 4.
    HISTORIA La primera radiografíarealizada en humanos salió a la luz el 22 de diciembre de 1895, cuando Röntgen le pidió a su esposa que colocase la mano sobre la placa durante quince minutos. Al revelar la placa, apareció una imagen donde podían verse los huesos de la mano con el anillo flotando sobre estos: así llegaba un momento histórico en el diagnóstico médico y nacería una de las ramas más importantes de la Medicina: la Radiología. Recibió el premio Nobel de Física en 1901. Pero sería hasta 1897 que el científico Nikola Tesla estudiaría este fenómeno, que descubriría el peligro que puede representar para el organismo al estar expuesto a estas radiaciones. LA HISTORIA DE LA RADIOLOGIA/ESR European Society Radiology/introduccion /UN CARRUSEL CIENTÍFICO: LOS RAYOS X DESDE 1896 HASTA EL PRESENTE
  • 5.
    DEFINICIONES La RADIOLOGÍA, esla ciencia de las imágenes diagnósticas. Método diagnóstico basado en la obtención de imágenes a través del uso de rayos X direccionados al cuerpo en estudio El sustantivo latino “radius” puede traducirse como “rayo”. La palabra griega “logia” que es sinónimo de “estudio”. Se refiere a radiografía del tórax cuando una pequeña dosis de radiación electromagnética, invisible para nuestros ojos, atraviesa nuestra caja torácica para imprimirse en películas fotográfica. La toma de imágenes con rayos X supone la exposición de una parte del cuerpo a una pequeña dosis de radiación ionizante para producir imágenes del interior del cuerpo. La dosis típica de radiación de una radiografía de tórax es de alrededor de 0,02 MSV PARA UNA VISTA POSTEROANTERIOR Y DE UNOS 0,04 MSV PARA UNA VISTA LATERAL. Guia basica de interpretacion de la radiografia de torax /fundamentos de radiologia toracica /neumosur
  • 6.
    DENSIDADES RADIOLOGICAS Aire: negro. Grasa:Gris más oscuro. Agua / Partes Blandas: Gris claro o palido Calcio / Hueso: Blanco. Metal: blanco opaco 5 DENSIDADES RADIOLOGICAS : EFECTOS EN LA IMAGEN RADIOLOGIA 2.0 HERRAMIENTAS PARA EL ANALISIS DE LAS IMAGENES MEDICAS /densidades radiologicas
  • 7.
    DENSIDADES RADIOLOGICAS RADIOLOGIA 2.0HERRAMIENTAS PARA EL ANALISIS DE LAS IMAGENES MEDICAS /densidades radiológicas/Dr Mostafa Mahmoud El-Feky and Dr Jeremy Jones et al. Radiology for students (curriculum) disponible en línea en Radiopaedia.org
  • 9.
    TIPOS DE RADIOGRAFIASDE TORAX PROYECCIONES COMPLEMENTARIAS • AP EN DECÚBITO SUPINO • AP LORDÓTICA • PA EN ESPIRACIÓN • OBLÍCUAS (DCHA E IZDA) • DECÚBITO LATERAL CON RAYOS HORIZONTALES SISTEMÁTICO: PA Y LATERAL
  • 10.
  • 11.
  • 12.
  • 13.
    EVALUACION DE LACALIDAD TECNICA RADIOLOGICA Principios de Radiologia Toracia,Segunda Edicion, Lorenh.Ketai,MD.Editorial Medica Panamericana,2007.
  • 14.
    EVALUACION DE LACALIDAD TECNICA RADIOLOGICA
  • 15.
  • 16.
    PENETRACION COLUMNA VERTEBRAL ATRAVES DEL CORAZON Y ESTRUCTURAS RETROCARDIACAS
  • 17.
  • 18.
  • 19.
    EVALUACION DE LACALIDADTECNICA RADIOLOGICA
  • 20.
  • 21.
  • 22.
    ARBOL TRAQUEOBRONQUIAL • En lasradiografías PA la tráquea se ve como una radiolucencia vertical. • El bronquio principal derecho es mucho más corto y vertical que el izquierdo y ambos se ven bien en la PA. ”Basics of Chest Radiology, A Beginner’s Guide to Chest maging”Revised and Updated Fourth Edition,JM Books’ Medical Division.
  • 23.
    HILIOS PULMONARES • Contienen arterias,venas , bronquios y ganglios linfáticos. • Son similares en tamaño y densidad estando el izquierdo algo mas alto debido a la salida en horizontal del bronquio izquierdo. • El bronquio derecho es la prolongación natural de la tráquea. Son puntos de referencia obligatoria.
  • 24.
    ANATOMIA LOBAR Y SEGMENTARIA •El pulmón derecho queda dividido en TRES LÓBULOS por las CISURAS MAYOR Y MENOR. • El SUPERIOR recibe el bronquio del LSD y se divide en TRES SEGMENTOS: ANTERIOR, APICAL Y POSTERIOR. Estos segmentos no están delimitados por pleura. • El LÓBULO MEDIO recibe el bronquio del lóbulo medio que nace del bronquio intermediario y se divide en DOS SEGMENTOS: MEDIAL Y LATERAL. • El LÓBULO INFERIOR DERECHO recibe el bronquio del LID y se divide en CINCO SEGMENTOS: APICAL, BASAL ANTERIOR, BASAL LATERAL, BASAL MEDIAL Y BASAL POSTERIOR. 1. Goodman LR. Felson. Principios de Radiología Torácica. Un texto programado.3a Edición. España: Elsevier; 2009
  • 26.
    ANATOMIA LOBAR YSEGMENTARIA • El pulmón izquierdo se divide en LÓBULO SUPERIOR E INFERIOR POR LA CISURA MAYOR. • El SUPERIOR se divide en CUATRO SEGMENTOS: LOS SEGMENTOS APICOPOSTERIOR Y ANTERIOR, Y LOS SEGMENTOS SUPERIOR E INFERIOR LINGULAR Y RECIBE EL BRONQUIO DEL LSI que se dividirá en una RAMA SUPERIOR Y OTRA INFERIOR O LINGULAR para todos estos segmentos. • El LII se divide en CUATRO SEGMENTOS: APICAL Y LOS TRES SEGMENTOS BASALES, ANTEROMEDIAL, LATERAL Y POSTERIOR, Y RECIBE EL BRONQUIO DEL LII. 1. Goodman LR. Felson. Principios de Radiología Torácica. Un texto programado.3a Edición. España: Elsevier; 2009
  • 27.
  • 29.
  • 30.
    CISURAS • Son invaginacionesde la pleura visceral en el pulmón y separan los lóbulos. Hay dos cisuras en la derecha y una en la izquierda. • Las cisuras mayores se ven en la radiografía lateral como dos finas líneas, no visualizándose en la PA debido a su orientación oblicua con respecto al rayo. La cisura menor se suele ver casi siempre en las dos proyecciones.
  • 32.
    MEDIASTINO • Es elespacio situado entre las pleuras parietales mediales, que contiene las estructuras centrales cardiovasculares, traqueobronquiales y el esófago, rodeados por grasa, en cuyo seno hay ganglios linfáticos. • Se divide en compartimentos y la clasificación más utilizada es la anatomoradiológica, en la cual una línea trazada desde el angulo esternal por delante hasta el cuarto espacio intervertebral por detrás lo divide en superior e inferior. • El compartimento inferior se subdivide en anterior, medio y posterior y es puramente arbitraria teniendo como referencia el corazón y la columna.
  • 33.
    PLEURA • Es unamembrana serosa que rodea el pulmón y reviste la superficie costal, el diafragma y el mediastino. • Está formada por dos capas, la visceral y la parietal. • La visceral está adherida a la superficie del pulmón y la parietal a la pared torácica y diafragma. • El espacio pleural es virtual.
  • 34.
    DIAFRAGMA • Es unamembrana musculotendinosa que separa la cavidad torácica de la abdominal. • El HEMIDIAFRAGMA DERECHO RECUBRE EL HÍGADO Y EL IZQUIERDO EL ESTÓMAGO Y BAZO. • EN RADIOGRAFIA LATERAL PUEDEN DISTINGUIRSE CON FACILIDAD YA QUE EL DERECHO SE VE EN SU TOTALIDAD Y EL IZQUIERDO NO SE VE SU PORCIÓN MÁS ANTERIOR POR LA INTERPOSICIÓN CARDIACA.
  • 36.
  • 37.
    INDICE CARDIOTORACICO ICT DIÁMETROS TRANSVERSOS D=DISTANCIA MAYOR DESDE LA LÍNEA MEDIA DE LA COLUMNA HASTA EL BORDE CARDIACO DERECHO. I =DISTANCIA MAYOR DESDE LA LÍNEA MEDIA DE LA COLUMNA HASTA EL BORDE CARDIACO IZQUIERDO. T =DIÁMETRO TORÁCICO TRANSVERSO (A NIVEL DE DIAFRAGMAS)
  • 38.