SIGNO DE LA
SILUETA
DRA. EDDA LEONOR VELASQUEZ GUTIERREZ
MEDICINA INTERNA
 Si parte del pulmón es radiodensa esto puede afectar aSi parte del pulmón es radiodensa esto puede afectar a
nuestra capacidad para ver las estructuras adyacentes.nuestra capacidad para ver las estructuras adyacentes.
 Estudiaremos como la patología de diferentes lóbulos yEstudiaremos como la patología de diferentes lóbulos y
segmentos afecta al aspecto de los órganos contiguossegmentos afecta al aspecto de los órganos contiguos..
DENSIDADES RADIOLÓGICAS.DENSIDADES RADIOLÓGICAS.
1.1. Gas.Gas.
2.2. Grasa.Grasa.
3.3. Tejidos blandos (agua).Tejidos blandos (agua).
4.4. Metal (hueso)Metal (hueso)
 Dos sustancias de la misma densidad, en contactoDos sustancias de la misma densidad, en contacto
directo, no se diferencian entre sí en una radiografía.directo, no se diferencian entre sí en una radiografía.
 Este fenómeno, la perdida de la silueta (el contorno)Este fenómeno, la perdida de la silueta (el contorno)
radiográfica normal, se denominaradiográfica normal, se denomina SIGNO DE LASIGNO DE LA
SILUETASILUETA..
¿QUE VAMOS A HACER CON EL¿QUE VAMOS A HACER CON EL
SIGNO DE LA SILUETA?SIGNO DE LA SILUETA?
 Diagnóstico.Diagnóstico.
 Localización de la patología pulmonarLocalización de la patología pulmonar
Corazón/aorta ascCorazón/aorta asc
Aorta descendenteAorta descendente
ANTERIOR O POSTERIOR?ANTERIOR O POSTERIOR?
1.1. Borde cardiaco derecho.Borde cardiaco derecho.
2.2. Aorta descendente.Aorta descendente.
3.3. Borde cardiaco izquierdo.Borde cardiaco izquierdo.
4.4. Aorta ascendente.Aorta ascendente.
5.5. Botón aórtico.Botón aórtico.
 Borde cardíaco superior derecho y la aorta ascendenteBorde cardíaco superior derecho y la aorta ascendente
son estructuras anteriores en el lado derecho.son estructuras anteriores en el lado derecho.
 La aorta descendente es posterior en el lado izquierdo.La aorta descendente es posterior en el lado izquierdo.
 La tráquea y el botón aórtico están localizadas en elLa tráquea y el botón aórtico están localizadas en el
tórax mediotórax medio
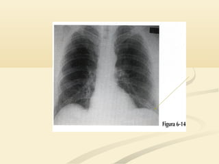
 El LSD ocupa el tórax anterior y medio por encima deEl LSD ocupa el tórax anterior y medio por encima de
la cisura menor.la cisura menor.
 La consolidación del LSD causará un signo de la siluetaLa consolidación del LSD causará un signo de la silueta
en el borde cardíaco derecho superior y en la interfaseen el borde cardíaco derecho superior y en la interfase
traqueopulmonar derecha.traqueopulmonar derecha.
 La consolidación del LSI borrará la aurícula izquierda,La consolidación del LSI borrará la aurícula izquierda,
el botón aórtico y el mediastino anterior y medioel botón aórtico y el mediastino anterior y medio..
OJO!!!!!OJO!!!!!
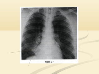
 El signo de la silueta puede ser engañoso en una placa pocoEl signo de la silueta puede ser engañoso en una placa poco
penetrada.penetrada.
 Si no puedes ver la columna a través del corazón, la placa tieneSi no puedes ver la columna a través del corazón, la placa tiene
una penetración insuficiente y el signo de la silueta puede induciruna penetración insuficiente y el signo de la silueta puede inducir
a error.a error.
 El borde cardíaco derecho se superpone a la columna y no haceEl borde cardíaco derecho se superpone a la columna y no hace
prominencia en el pulmón derecho; la densidad de hueso de laprominencia en el pulmón derecho; la densidad de hueso de la
columna oculta la interfase pulmón/corazóncolumna oculta la interfase pulmón/corazón
 Existe un signo de la silueta “normal” en la radiografía lateral.Existe un signo de la silueta “normal” en la radiografía lateral.
 El corazón está situado predominantemente sobre elEl corazón está situado predominantemente sobre el
hemidiafragma izquierdo anterior. Ambas estructuras tienenhemidiafragma izquierdo anterior. Ambas estructuras tienen
densidad agua; por lo tanto la parte anterior del hemidiafragmadensidad agua; por lo tanto la parte anterior del hemidiafragma
izquierdo no suele ser visible.izquierdo no suele ser visible.
 En la radiografía lateral, el hemidiafragma derecho esEn la radiografía lateral, el hemidiafragma derecho es
visible a través del corazón porque está en contacto convisible a través del corazón porque está en contacto con
pulmón aireado.pulmón aireado.
 Esto ayuda a distinguir el hemidifragma izquierdo delEsto ayuda a distinguir el hemidifragma izquierdo del
derecho en la radiografía lateralderecho en la radiografía lateral
REPASOREPASO
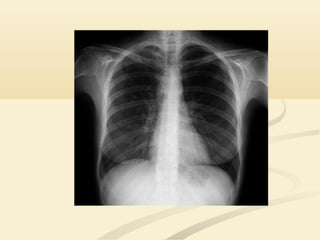
1.1. Consolidación pulmonar que borra el borde cardíacoConsolidación pulmonar que borra el borde cardíaco
izquierdo?.izquierdo?.
2.2. Consolidación pulmonar que borra el botón aórtico?Consolidación pulmonar que borra el botón aórtico?
3.3. Neumonía en la base pulmonar derecha que no borra elNeumonía en la base pulmonar derecha que no borra el
corazón?corazón?
4.4. Neumonía en la base pulmonar derecha que borra el corazón?Neumonía en la base pulmonar derecha que borra el corazón?
5.5. Infiltrado que borra la aorta descendente?Infiltrado que borra la aorta descendente?
 Puede haber un pseudo signo de la silueta sobre el diafragma aPuede haber un pseudo signo de la silueta sobre el diafragma a
causa de una radiografía …..causa de una radiografía …..
 Si el corazón está situado ligeramente hacia la izquierda, el bordeSi el corazón está situado ligeramente hacia la izquierda, el borde
cardíaco derecho puede no ser visible porque …..cardíaco derecho puede no ser visible porque …..
 En la radiografía lateral, el corazón normalmente borra elEn la radiografía lateral, el corazón normalmente borra el
……….……….
LO QUE YA CREEMOSLO QUE YA CREEMOS
CONOCER ES LOCONOCER ES LO
QUE, A MENUDO,QUE, A MENUDO,
NOS IMPIDENOS IMPIDE
APRENDER.APRENDER.
CLAUDE BERNARDCLAUDE BERNARD

Signo de la silueta ok

  • 1.
    SIGNO DE LA SILUETA DRA.EDDA LEONOR VELASQUEZ GUTIERREZ MEDICINA INTERNA
  • 2.
     Si partedel pulmón es radiodensa esto puede afectar aSi parte del pulmón es radiodensa esto puede afectar a nuestra capacidad para ver las estructuras adyacentes.nuestra capacidad para ver las estructuras adyacentes.  Estudiaremos como la patología de diferentes lóbulos yEstudiaremos como la patología de diferentes lóbulos y segmentos afecta al aspecto de los órganos contiguossegmentos afecta al aspecto de los órganos contiguos..
  • 3.
    DENSIDADES RADIOLÓGICAS.DENSIDADES RADIOLÓGICAS. 1.1.Gas.Gas. 2.2. Grasa.Grasa. 3.3. Tejidos blandos (agua).Tejidos blandos (agua). 4.4. Metal (hueso)Metal (hueso)
  • 5.
     Dos sustanciasde la misma densidad, en contactoDos sustancias de la misma densidad, en contacto directo, no se diferencian entre sí en una radiografía.directo, no se diferencian entre sí en una radiografía.  Este fenómeno, la perdida de la silueta (el contorno)Este fenómeno, la perdida de la silueta (el contorno) radiográfica normal, se denominaradiográfica normal, se denomina SIGNO DE LASIGNO DE LA SILUETASILUETA..
  • 9.
    ¿QUE VAMOS AHACER CON EL¿QUE VAMOS A HACER CON EL SIGNO DE LA SILUETA?SIGNO DE LA SILUETA?  Diagnóstico.Diagnóstico.  Localización de la patología pulmonarLocalización de la patología pulmonar
  • 10.
    Corazón/aorta ascCorazón/aorta asc AortadescendenteAorta descendente
  • 12.
    ANTERIOR O POSTERIOR?ANTERIORO POSTERIOR? 1.1. Borde cardiaco derecho.Borde cardiaco derecho. 2.2. Aorta descendente.Aorta descendente. 3.3. Borde cardiaco izquierdo.Borde cardiaco izquierdo. 4.4. Aorta ascendente.Aorta ascendente. 5.5. Botón aórtico.Botón aórtico.
  • 17.
     Borde cardíacosuperior derecho y la aorta ascendenteBorde cardíaco superior derecho y la aorta ascendente son estructuras anteriores en el lado derecho.son estructuras anteriores en el lado derecho.  La aorta descendente es posterior en el lado izquierdo.La aorta descendente es posterior en el lado izquierdo.  La tráquea y el botón aórtico están localizadas en elLa tráquea y el botón aórtico están localizadas en el tórax mediotórax medio
  • 18.
     El LSDocupa el tórax anterior y medio por encima deEl LSD ocupa el tórax anterior y medio por encima de la cisura menor.la cisura menor.  La consolidación del LSD causará un signo de la siluetaLa consolidación del LSD causará un signo de la silueta en el borde cardíaco derecho superior y en la interfaseen el borde cardíaco derecho superior y en la interfase traqueopulmonar derecha.traqueopulmonar derecha.
  • 20.
     La consolidacióndel LSI borrará la aurícula izquierda,La consolidación del LSI borrará la aurícula izquierda, el botón aórtico y el mediastino anterior y medioel botón aórtico y el mediastino anterior y medio..
  • 24.
    OJO!!!!!OJO!!!!!  El signode la silueta puede ser engañoso en una placa pocoEl signo de la silueta puede ser engañoso en una placa poco penetrada.penetrada.  Si no puedes ver la columna a través del corazón, la placa tieneSi no puedes ver la columna a través del corazón, la placa tiene una penetración insuficiente y el signo de la silueta puede induciruna penetración insuficiente y el signo de la silueta puede inducir a error.a error.  El borde cardíaco derecho se superpone a la columna y no haceEl borde cardíaco derecho se superpone a la columna y no hace prominencia en el pulmón derecho; la densidad de hueso de laprominencia en el pulmón derecho; la densidad de hueso de la columna oculta la interfase pulmón/corazóncolumna oculta la interfase pulmón/corazón
  • 26.
     Existe unsigno de la silueta “normal” en la radiografía lateral.Existe un signo de la silueta “normal” en la radiografía lateral.  El corazón está situado predominantemente sobre elEl corazón está situado predominantemente sobre el hemidiafragma izquierdo anterior. Ambas estructuras tienenhemidiafragma izquierdo anterior. Ambas estructuras tienen densidad agua; por lo tanto la parte anterior del hemidiafragmadensidad agua; por lo tanto la parte anterior del hemidiafragma izquierdo no suele ser visible.izquierdo no suele ser visible.
  • 27.
     En laradiografía lateral, el hemidiafragma derecho esEn la radiografía lateral, el hemidiafragma derecho es visible a través del corazón porque está en contacto convisible a través del corazón porque está en contacto con pulmón aireado.pulmón aireado.  Esto ayuda a distinguir el hemidifragma izquierdo delEsto ayuda a distinguir el hemidifragma izquierdo del derecho en la radiografía lateralderecho en la radiografía lateral
  • 29.
    REPASOREPASO 1.1. Consolidación pulmonarque borra el borde cardíacoConsolidación pulmonar que borra el borde cardíaco izquierdo?.izquierdo?. 2.2. Consolidación pulmonar que borra el botón aórtico?Consolidación pulmonar que borra el botón aórtico? 3.3. Neumonía en la base pulmonar derecha que no borra elNeumonía en la base pulmonar derecha que no borra el corazón?corazón? 4.4. Neumonía en la base pulmonar derecha que borra el corazón?Neumonía en la base pulmonar derecha que borra el corazón? 5.5. Infiltrado que borra la aorta descendente?Infiltrado que borra la aorta descendente?
  • 30.
     Puede haberun pseudo signo de la silueta sobre el diafragma aPuede haber un pseudo signo de la silueta sobre el diafragma a causa de una radiografía …..causa de una radiografía …..  Si el corazón está situado ligeramente hacia la izquierda, el bordeSi el corazón está situado ligeramente hacia la izquierda, el borde cardíaco derecho puede no ser visible porque …..cardíaco derecho puede no ser visible porque …..  En la radiografía lateral, el corazón normalmente borra elEn la radiografía lateral, el corazón normalmente borra el ……….……….
  • 32.
    LO QUE YACREEMOSLO QUE YA CREEMOS CONOCER ES LOCONOCER ES LO QUE, A MENUDO,QUE, A MENUDO, NOS IMPIDENOS IMPIDE APRENDER.APRENDER. CLAUDE BERNARDCLAUDE BERNARD