TALLER DE RADIOLOGIA TORAXICA DR. RENATO CASANOVA MENDOZA MEDICO  NEUMÓLOGO ASISTENTE CENTRO MEDICO NAVAL 2010
DIAGNÓSTICO POR IMÁGENES DEL TÓRAX Examen radioscópico Examen radiográfico Foto roentgen US torácica – US endobronquial. TAC tórax TACAR. Tomografía emisión positrones Tomografía helicoidal multicorte. RMN tórax.
RADIOGRAFÍA DEL TÓRAX Es el registro en imagen fija, sobre una película expuesta a los Rx, que se obtiene en diferentes posiciones e incidencias: Frontal:  a.-PA    b.-AP c.-lordótica Lateral:  a.-derecha   b.-izquierda Oblicua:  Posición del nadador o boxeador.
RX TÓRAX TECNICAMENTE CORRECTA Se observa hasta la 6ta y7ma costillas Clavículas equidistantes Botón aórtico nítido Nivel de cámara gástrica Bordes y líneas nítidos Solo primeras vértebras dorsales visibles
Comprobar las cualidades técnicas de la Rx. Contraste (Densidades). Penetración. Adecuada inspiración ( se ven 6-7 arcos costales anteriores) Debe ser simétrica Los omóplatos no se deben proyectar en los campos pulmonares
RX TÓRAX LATERAL TECNICAMENTE CORRECTA Bordes y líneas nítidos. Hemidiafragmas superpuestos (lateral der.) Hemidiafragmas cruzados (lateral Izquierda) Primeros cuerpos vertebrales dorsales poco visibles
CONTINENTE Y CONTENIDO Análisis del continente: Columna vertebral.  Costillas.  Esternón.  Partes blandas.  Diafragma. Análisis del contenido:  Pleura. Mediastino. Pulmones
SECUENCIA DE ANÁLISIS Pared torácica Pleura Parénquima pulmonar Trama vascular Bronquios Mediastino Diafragma
TOPOGRAFÍA RADIOLÓGICA DE LOS PULMONES TERCIO SUPERIOR Supraclavicular o apical Infraclavicular o subclavicular TERCIO MEDIO Región hiliar Región parahiliar TERCIO INFERIOR Región basal externa Región basal interna
SIGNO DE LA SILUETA También conocido como signo de Felson: Cuando una radio opacidad pulmonar se encuentra al mismo nivel que el corazón, diafragma o cayado aórtico y ademas esta contiguo, es decir esta en contacto, se produce la desaparición o borramiento de los límites o interfases.
 
SINDROMES RADIOLÓGICOS   Síndrome parietal Síndrome pleural   Síndrome parenquimal Síndrome bronquial Síndrome vascular Síndrome mediastinal Síndrome diafragmático
CLASIFICACIÓN RADIOLÓGICA DE LA PATOLOGÍA PLEURAL Anomalías de forma y tamaño: Ensanchamiento del espacio pleural: Neumotórax hidrotórax Hidroneumotórax Empiema Granuloma Fibrosis Neoplasia
SÍNDROME PARENQUIMAL Conjunto de signos radiográficos que traducen una lesión en el parénquima pulmonar, la  que  puede ser localizada o difusa. Didácticamente podemos dividirlo en tres tipos: Alveolar Intersticial Mixto ( alveolo intersticial)
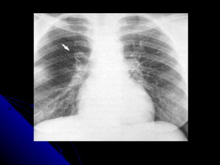
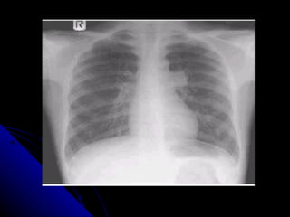
NEUMOTORAX DERECHO
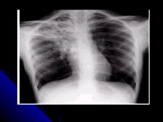
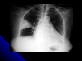
HEMOTORAX POST- TRAUMA
PAQUIPLEURITIS
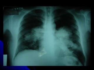
DERRAME TABICADO
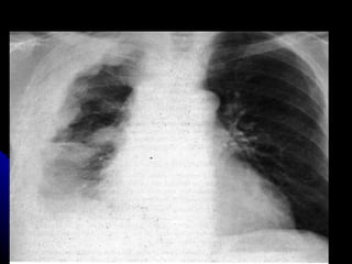
FIBROSIS PLEURAL BIBASAL
MESOTELIOMA MALIGNO
MESOTELIOMA BENIGNO O FIBROSO
 
 
 
 
 
CANDIDIASIS
 
 
 
 
 
 
 
NEUMOMEDIASTINO
NEUMOMEDIASTINO
 
MASA DE MEDIASTINO ANTERIOR TIMOMA
SCHWANOMA
TEP
 
 
 
 
 
 
MUCHAS GRACIAS

Radiologia toráxica Dr. Casanova

  • 1.
    TALLER DE RADIOLOGIATORAXICA DR. RENATO CASANOVA MENDOZA MEDICO NEUMÓLOGO ASISTENTE CENTRO MEDICO NAVAL 2010
  • 2.
    DIAGNÓSTICO POR IMÁGENESDEL TÓRAX Examen radioscópico Examen radiográfico Foto roentgen US torácica – US endobronquial. TAC tórax TACAR. Tomografía emisión positrones Tomografía helicoidal multicorte. RMN tórax.
  • 3.
    RADIOGRAFÍA DEL TÓRAXEs el registro en imagen fija, sobre una película expuesta a los Rx, que se obtiene en diferentes posiciones e incidencias: Frontal: a.-PA b.-AP c.-lordótica Lateral: a.-derecha b.-izquierda Oblicua: Posición del nadador o boxeador.
  • 4.
    RX TÓRAX TECNICAMENTECORRECTA Se observa hasta la 6ta y7ma costillas Clavículas equidistantes Botón aórtico nítido Nivel de cámara gástrica Bordes y líneas nítidos Solo primeras vértebras dorsales visibles
  • 5.
    Comprobar las cualidadestécnicas de la Rx. Contraste (Densidades). Penetración. Adecuada inspiración ( se ven 6-7 arcos costales anteriores) Debe ser simétrica Los omóplatos no se deben proyectar en los campos pulmonares
  • 6.
    RX TÓRAX LATERALTECNICAMENTE CORRECTA Bordes y líneas nítidos. Hemidiafragmas superpuestos (lateral der.) Hemidiafragmas cruzados (lateral Izquierda) Primeros cuerpos vertebrales dorsales poco visibles
  • 7.
    CONTINENTE Y CONTENIDOAnálisis del continente: Columna vertebral. Costillas. Esternón. Partes blandas. Diafragma. Análisis del contenido: Pleura. Mediastino. Pulmones
  • 8.
    SECUENCIA DE ANÁLISISPared torácica Pleura Parénquima pulmonar Trama vascular Bronquios Mediastino Diafragma
  • 9.
    TOPOGRAFÍA RADIOLÓGICA DELOS PULMONES TERCIO SUPERIOR Supraclavicular o apical Infraclavicular o subclavicular TERCIO MEDIO Región hiliar Región parahiliar TERCIO INFERIOR Región basal externa Región basal interna
  • 10.
    SIGNO DE LASILUETA También conocido como signo de Felson: Cuando una radio opacidad pulmonar se encuentra al mismo nivel que el corazón, diafragma o cayado aórtico y ademas esta contiguo, es decir esta en contacto, se produce la desaparición o borramiento de los límites o interfases.
  • 11.
  • 12.
    SINDROMES RADIOLÓGICOS Síndrome parietal Síndrome pleural Síndrome parenquimal Síndrome bronquial Síndrome vascular Síndrome mediastinal Síndrome diafragmático
  • 13.
    CLASIFICACIÓN RADIOLÓGICA DELA PATOLOGÍA PLEURAL Anomalías de forma y tamaño: Ensanchamiento del espacio pleural: Neumotórax hidrotórax Hidroneumotórax Empiema Granuloma Fibrosis Neoplasia
  • 14.
    SÍNDROME PARENQUIMAL Conjuntode signos radiográficos que traducen una lesión en el parénquima pulmonar, la que puede ser localizada o difusa. Didácticamente podemos dividirlo en tres tipos: Alveolar Intersticial Mixto ( alveolo intersticial)
  • 15.
  • 16.
  • 17.
  • 18.
  • 19.
  • 20.
  • 21.
  • 22.
  • 23.
  • 24.
  • 25.
  • 26.
  • 27.
  • 28.
  • 29.
  • 30.
  • 31.
  • 32.
  • 33.
  • 34.
  • 35.
  • 36.
  • 37.
  • 38.
    MASA DE MEDIASTINOANTERIOR TIMOMA
  • 39.
  • 40.
  • 41.
  • 42.
  • 43.
  • 44.
  • 45.
  • 46.
  • 47.