FORMACION DE LA IMAGEN 
Vemos DENSIDADES 
• Negro: Radiolucido: Poca 
densidad. Maxima 
penetracion. 
• Blanco: Maxima absorcion. 
La densidad calcio impide el 
paso de los rayos y produce 
un color blanco en el 
negativo fotográfico.
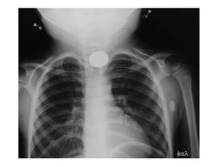
Rx Torax 
2 proyecciones 
1) Anteroposterior 
2) Lateral : Derecha , Izquierda
TUBO 
Máxima 
inspiración 
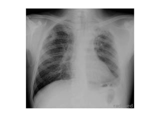
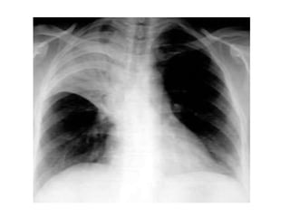
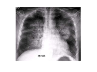
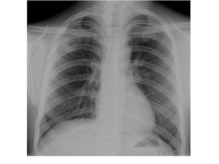
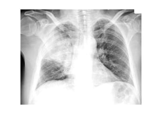
Generalidades: Rx de tórax 
Frente PA y Perfil 
Examen radiológico básico
TUBO 
Máxima 
inspiración 
Generalidades: Rx de tórax 
Frente PA y Perfil 
Examen radiológico básico 
Examen radiológico básico Frente PA y Perfil
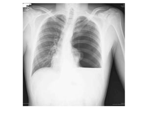
Rx Torax 
• Nombre Y Fecha 
• Bípeda 
• Centrada 
• Buena penetración : T4 
• Bien Inspirada: Arcos costales anteriores 6-7- 
Posteriores 10-11 
• Evaluación Radiológica
BIPEDA
Penetración
Rx poca penetración
Rx alta penetración
Inspiración
Rx Mal inspirada
Rx Bien inspirada
RADIOLOGIA DE TORAX 
• Las estructuras evaluadas en Rx de tórax son: 
• Cavidad torácica (piel, vértebras, costillas, esternon) 
• Traquea 
• Diafragma 
• Espacio pleural 
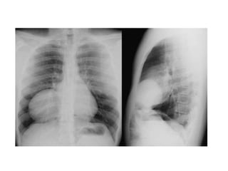
• Silueta cardiaca 
• Pulmones y vasculatura pulmonar
Radiología de tórax normal 
2- Diafragma 
Límite inferior del tx 
Ángulo costofrénico 
Ángulo cardiofrénico 
Excur.diafragm.3-7 cm 
Derecho + ↑ izquierdo
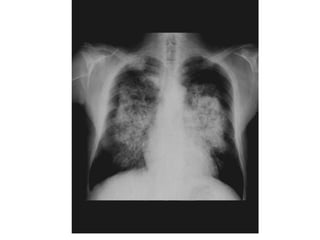
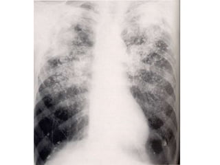
PATRONES PULMONARES 
1. PATRÓN ALVEOLAR 
1. Localizado: neumonía 
2. Difuso: edema agudo de pulmón 
2. PATRÓN INTERSTICIAL 
1. Lineal: linfangitis 
2. Reticular fibrosis 
3. Micronodular: TBC miliar 
4. Nodular (< 6 cms): metástasis 
5. Masas: tumores 
6. En vidrio deslustrado: distress respiratorio 
3. PATRÓN DESTRUCTIVO 
1. Cavidades de pared gruesa: abscesos 
2. Cavidades de pared fina: histiocitosis 
3. Bullas enfisema 
4. PATRÓN MIXTO 
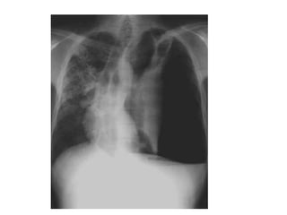
5. ATELECTASIA 
6. PULMON HIPERCLARO o ENFISEMATOSO
alveolograma
alveolograma
Morfología acinar
Morfología acinar
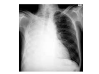
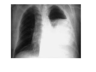
Hepatizacion pulmonar (consolidacion)
Hepatizacion pulmonar (consolidacion)
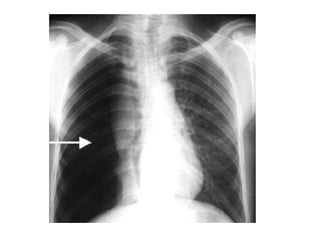
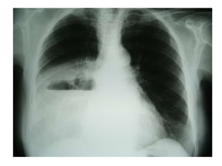
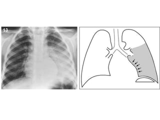
Condensación basal izquierda retrocardíaca
NEUMONIA ATIPICA (legionella)
NEUMONIA ATIPICA (M. Pneumonae)
NEUMONIA ATIPICA (C. Pneumonae)
6. SIGNOS RADIOLÓGICOS 
NEGATIVO Edema pulmonar 
Infiltrados alveolares 
con tendencia a 
distribución periférica, 
dejando 
más oscuras zonas centrales 
NEUMONÍA EOSINÓFILA CRÓNICA 
Es el negativo de EAP 
o el 
signo de las alas de mariposa invertido
Signo de ala de mariposa (edema 
pulmonar)
Signo de la silueta
Patrón alveolar difuso EDEMA 
PULMONAR
Patrón alveolar difuso EDEMA 
PULMONAR(Distress)
BRONCOGRAMA AEREO
BRONCOGRAMA AÉREO:
Anatomía Intersticio pulmonar 
• Paredes alveolares 
• Espacios perivasculares 
• Espacios peribronquiales 
• Espacio subpleural 
• Septos interlobulillares
Patrón Intersticial Lineal
Patrón reticulonodular
Patrón reticular
Panal de abeja (FIBROSIS PULMONAR)
Patrón en Panal de Abeja
Patron micronodular TBC miliar
Patron micronodular cancer 
pulmonar
Neumocomiosis
Engrosamiento vasos pulmonares
Tubular o cilindrica
sacular
Arrosariada o varicosa
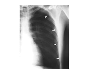
Derrame pleural tipico
neumotorax
hidroneumotorax
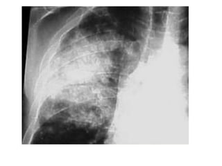
Engrosamiento pleural
Caverna por TBC
Quiste Hidatidico
Bula pulmonar
DIRECTOS 
ATELECTASIA 
1. Desplazamiento de las cisuras 
2. Opacidad Pulmonar zona atelectasiada 
INDIRECTOS 
1. Desplazamiento de hilios y mediastino LADO AFECTO 
2. Elevación hemidiafragma LADO AFECTO 
3. Disminución de los espacios costales LADO AFECTO 
4. Hiperinsuflacion CONTRALATERAL 
Todo lo blanco no es una neumonía
Atelectasia
6. SIGNOS RADIOLÓGICOS 
ATELECTASIA REDONDA
 repaso Rayos X
 repaso Rayos X

repaso Rayos X

Notas del editor

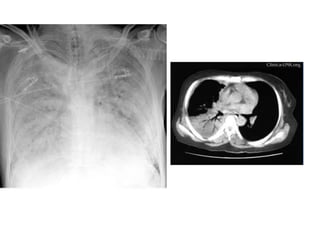
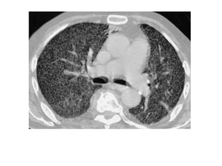
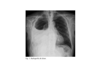
  • #51 Paciente masculino de 63 años que refiere tos, disnea y dolor torácico derecho de aproximadamente siete días de evolución. El examen físico revela hipo ventilación en hemitorax derecho. Como dato positivo de laboratorio presenta VSG aumentada. Se solicita inicialmente una radiografía de tórax frente en la cual se observa, radioopacidad basal derecha con broncograma aéreo que borra el seno costofrénico homolateral. Engrosamiento pleural difuso que impresiona comprometer pleura mediastínica. Dados los hallazgos en la radiografía se decide ampliar el diagnostico solicitándole una TAC de tórax con contraste endovenoso en la cual se observa engrosamiento circunferencial pleural de hemitorax derecho. Atelectasia de segmentos inferiores con broncograma aéreo. Pequeña área líquida tabicada. Adenomegalias mediastinales en región prevascular, pretraqueal retrocavo y ventana aortopulmonar. Caja torácica sin alteraciones tomográficamente demostrables. Estructura y densitometría osteoarticular de l raquis dorsal normal. DIAGNOSTICOS DIFERENCIALES: • Engrosamiento pleural: Derrame organizado, hemotórax, piotorax, cirugía previa, radioterapia, exposición al Asbesto. • Tumores Benignos: lipomas, tumores fibrosos, esplenosis torácica. • Tumores malignos: MTTS de pulmón, mama, linfoma. • Mesotelioma maligno. DIAGNOSTICO DEFINITIVO: • MESOTELIOMA MALIGO