Colecistitis



Nombre: Germán Rosero
     Paralelo: 5
Colecistitis
●
    Es la inflamación de la vesícula biliar que puede ser aguda o crónica de
    acuerdo a la lesión histopatológica, principalmente dependiendo del tipo
    de infiltrado inflamatorio.

●
    La colecistitis aguda es la complicación más frecuente de la litiasis biliar
    (10% de la población general).

●
    Diagnóstico gastroenterológico más común en pacientes hospitalizados

●
    Lugar 19 entre las causas de muerte por patología digestiva

●
    Se presenta en 3% de aquellos pacientes con litos sintomáticos
PATOGENESIS
 Factores desencadenantes
 Obstrucción del paso de la bilis a través del conducto cístico por un lito (90%)
 Lesión de la mucosa vesical

•Obstrucción intermitente lleva a
un aumento en la presión
intraluminal y junto con bilis
supersaturada de colesterol         Distensión de la              Pared vesicular
estimulan respuesta                                               edematosa
                                    vesícula
inflamatoria.                                                                     Conduct
                                                                                  o cístico
• El trauma intraluminal
provocado por litos estimula
síntesis de prostaglandinas I2 y                   Aumento
                                                   en la
E2 que median respuesta                            presión
                                                   intralumin
inflamatoria                                       al                    Lito impactado en
                                                                         el saco de Hartman

•Infección bacteriana
secundaria con organismos
entéricos ocurre en 20% de los                                     Secreción de fluidos
casos.                              Distensión de la vesícula      Secreción de
                                                                   Prostaglandina I2 y E2
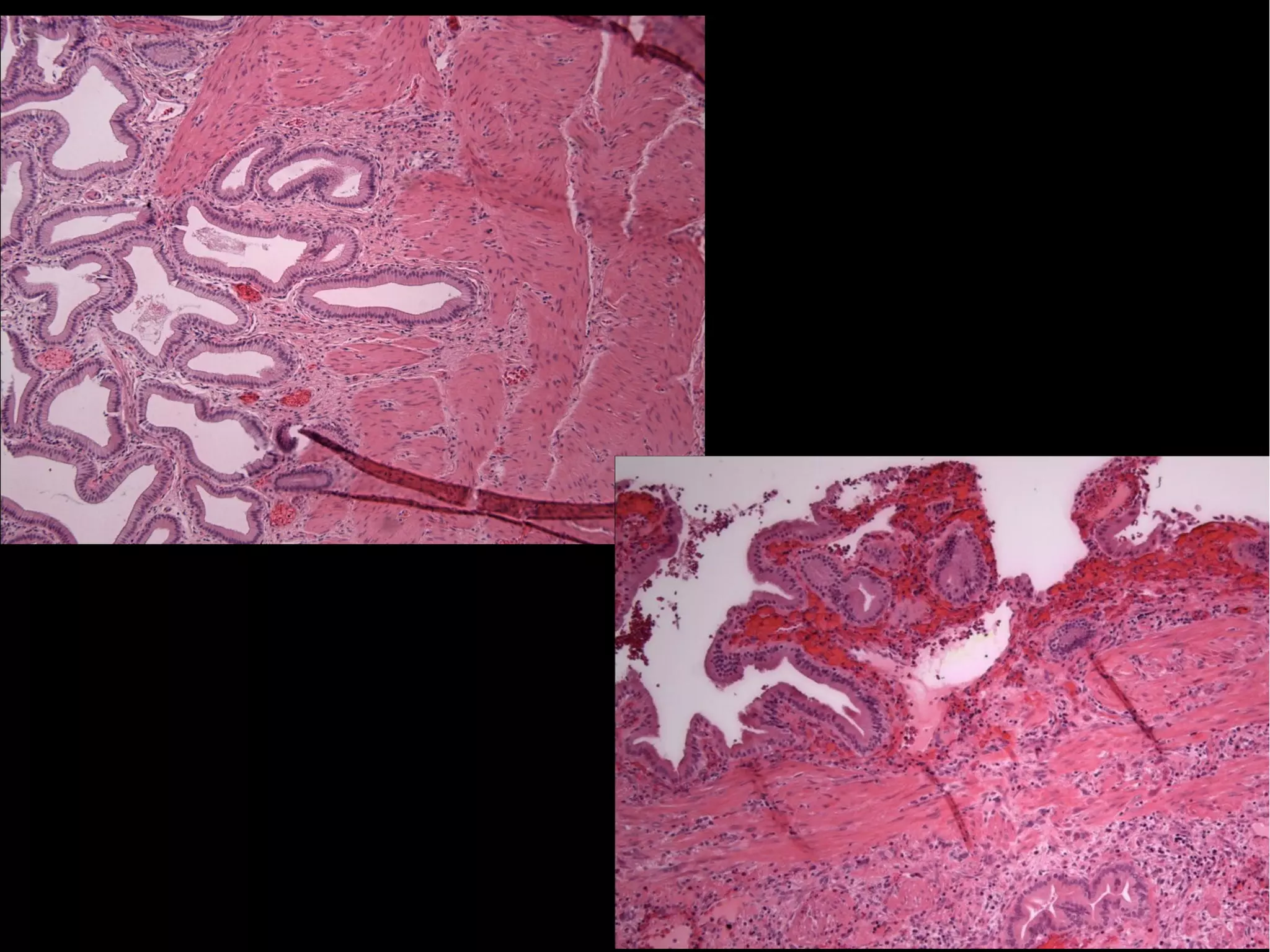
VESICULA BILIAR CON COLECISTITIS CRONICA,
                      COLELITIASIS
   Y UN PEQUEÑO TUMOR PAPILAR A NIVEL DEL CONDUCTO
                   CISTICO (macro)




Adenocarcinoma Papilar de la Vesícula Biliar
(micro)
Patogénesis y factores de riesgo para la
             colecistitis acalculosa
                               Sepsis
                  Choque                   Transfusión masiva

Deshidratación                                             Comorbilidad
                                                           (cáncer, DM,
                                                           enfermedad
                                                           vascular)



            Oclusión microvascular e hipercoagulabilidad




                 COLECISTITIS ACALCULOSA


                                                     BMJ 2002;325:639-43
Evolución clínica de las diversas patologías biliares.

ALTERACION INICIAL               ENTIDAD PATOLOGICA        EVOLUCION CLINICA



 Bloqueo del cístico o
    cuello vesicular                 Cólico Biliar           Resolución en horas.
       (Litiasis)                                           Episodios recidivantes
                                                            ¿Evolución a vesícula
                                                               escleroatrófica?

                                   Colecistitis Aguda       Requiere hospitalización
                                                            Resolución en 7-10 días
                                                        Complicaciones poco frecuentes
                                                        Tratamiento con colecistectomía


Irritacion o Daño del
  epitelio vesicular
                                      Colecistitis      Pocas manifestaciones clínicas
  (isquemia, toxicos,
      gérmenes)                         aguda                 Cuadros graves
                                      acalculosa         Complicaciones frecuentes
                                                        Tratamiento : Colecistectomía
                                                                      Colecistostomía?
Manifestaciones clínicas en CCA
El cólico biliar inicia súbitamente, incrementa rápido en intensidad
   en 15 minutos y puede durar hasta 3 horas.

• 75% de colecistitis aguda tiene      • Posterior al inicio del dolor
antecedente de cólico biliar           aparecen fiebre, náuseas y vómitos
• Dolor en colecistitis dura > 6 h     • Ictericia en 20% de los pacientes,
                                       más frecuente en los ancianos
• Al inicio también es de tipo         (compresión del colédoco /
visceral y constante a pesar de        Síndrome de Mirizzi)
llamarse cólico
                                       • 25% de los pacientes se presenta
• Dolor localizado en hemiabdomen      sin antecedentes relacionados
superior (epigastrio e hipocondrios)
                                       • En la colecistitis acalculosa el
• Dolor parietal localizado en         cuadro puede ser insidioso y
hipocondrio derecho, irradiado a       depender de las condiciones
región subescapular y área             predisponentes
clavicular derechas
Datos en la exploración física
●
    Paciente febril
●
    Taquicardia
●
    Algunos casos con ictericia
●
    Dolor en hipocondrio derecho en donde se puede palpar la
    vesícula hasta en una tercera parte de los casos
●
    Limitación de movimientos por el dolor secundario a la
    irritación peritoneal local que da resistencia voluntaria e
    involuntaria a la palpación del abdomen.
●
    Signo de Murphy a palpación y ultrasonográfico sensibilidad
    de esta maniobra es menor en ancianos.
Características que distinguen a las diferentes complicaciones
                       inducidas por litos biliares.(1)




 Característica           Cólico Biliar    Colecistitis Aguda            Colangitis        Pancreatitis
  Sitio del Dolor          Epigastrio               HD                      HD               Epigastrio
Duración del Dolor          < 3 horas            > 3 horas                Variable         Variable (días)


  Masa palpable             Ausente            Masa en HD                    ±                   ±


      Fiebre                    -                    ±                       ±                   ±
   Leucocitosis                 -                    ±                       ±                   ±
   Amilasemia                Normal                  ±                       ±                   +
                  HD = Hipocondrio Derecho. + presente; - ausente; ± presente ó ausente.


 (1) Estas características pueden no siempre estar presentes.
Complicaciones de la Litiasis Vesicular
                                 Complicación                                            Porcentaje
Cólico biliar                                                                            70 - 80 (2,3)

Colecistitis aguda                                                                            10

Colecistitis enfisematosa                                                                   <1 (3)

Síndrome de Mirizzi                                                                         <1 (3)

Hidrocolecisto                                                                              <1 (3)

Obstrucción del intestino delgado (íleo biliar)                                              1 (3)

Obstrucción a la salida gástrica (síndrome de Bouveret )                                    <1(3)

Perforación de la vesícula                                                                  12 (3)

Pancreatitis biliar aguda                                                                     --

Colangitis supurativa/obstructiva                                                             --

 (1) Un tercio de los pacientes con litiasis vesicular desarrolla sintomas.
 (2) Porcentaje de la incidencia en pacientes con litiasis sintomática
 (3) Porcentaje de la incidencia en pacientes con colecistitis aguda.
                                                                        Am Fam Physician. 2000; 61:1673-80
Secuelas de la colecistitis aguda
        Evolución esperada de la colecistitis aguda es hacia la
                     resolución en 7 a 10 días

●
    Colecistitis gangrenosa
    - Hasta 30% de los casos
    - Factores de riesgo: Masculino    • Fístula colecistoentérica
      >50 años con leucocitosis            - Duodeno y colon (ángulo
      >17,000                            hepático)
    - Mas común en fundus                  - Neumobilia en radiografía
    - Cirugía de urgencia
●
    Perforación vesicular              • Ileo biliar
    –   10% de los casos                   -Pacientes ancianos sin causa
    –   Retraso en atención
                                           aparente de obstrucción intestinal
    –   Mejoría temporal de sintomas       -Mortalidad 20%
    –   Inicia peritonitis
                                                1 Neumobilia
    –   Mortalidad 30%
    –   Formación de abscesos                   2 Obstrucción intestinal
        pericolecisticos                        3 Litos en sitios inusuales
Diagnóstico diferencial

●
    Apendicitis
●
    Pancreatitis aguda
●
    Pielonefritis o litiasis renal
●
    Absceso hepático y úlcera péptica
●
    Colangitis
●
    En la colecistitis acalculosa se requiere un elevado
    índice de sospecha, el cuadro puede estar
    enmascarado por la sedación, analgesia o condición
    de base del paciente
Características clínicas en el diagnóstico de colecistitis
                              aguda

   Considerar la colecistitis aguda como la primera posibilidad diagnóstica en
pacientes con dolor abdominal agudo. Si el diagnóstico se basa sólo con base en
datos clínicos se va a incluir a una tercera parte de casos que no corresponden a
                                  colecistitis aguda


                Dolor constante en cuadrante superior derecho
                            (constante > 12 horas)




                                   Diagnóstic
                                      o de
Dolor en el cuadrante              colecistitis            Respuesta
superior derecho                     aguda                 inflamatoria
Signo de Murphy (+/-),                                     Fiebre
Masa palpable (+/-)
                                                           Leucocitosis
                                                           PCR y VSG elevados
                                                                 BMJ 2002;325:639-43
Laboratorio                         Gabinete
●
     Leucocitosis (desviación a la      ●
                                            Las alteraciones anatómicas son
     izquierda)                             más útiles para diagnóstico de
    Persistencia de leucocitosis y          colecistitis aguda
    mala evolución clínica, sospechar   ●
                                            Ultrasonido es el estudio de
    colecistitis purulenta o                elección
    gangrenada                          ●
                                            Centellografía biliar / prueba de
                                            HIDA :estándar de oro para
●
    Elevación leve de las                   identificar obstrucción flujo
    aminotransferasas y pueden              vesicular
    elevarse levemente la bilirrubina   ●
                                             TAC
    sérica (entre 2 y 4 mg/dL) y la          – Utilidad para identificar
    fosfatasa alcalina
                                                complicaciones
                                             – No necesario iniciar con este
●
     Amilasa sérica puede estar poco            estudio
     elevada                            ●
                                            Colangiografía por resonancia
     >1000 U/dL en los casos de             magnética
    coledocolitiasis o pancreatitis
    aguda asociada
Hallazgos ultrasonográficos de la          Radiografía de abdomen
       colecistitis aguda



                                    Nivel
                                    hidroaéreo




                                                          Gas entre la
                                                          pared vesicular




 Liquido pericolecístico
 Distensión de la vesícula biliar
 Pared vesicular edematosa
 Litos
Tratamiento
  La mayoría responde al tratamiento conservador inicial con el que se
          logra desimpactar el lito causante de la obstrucción


 Manejo médico
                                    • Iniciar antibióticos IV si hay riesgo de
• Hidratación y corrección de       gravedad, datos de infección o
desequilibrio hidro-electrolítico   deterioro después de 12 a 24 horas de
(vómito, fiebre y ayuno)            iniciado el manejo hospitalario
• Ayuno y si persiste el vómito     • Efectivos contra bacterias de la flora
se instalará una sonda              entérica
nasogástrica
                                        •cefalosporinas de 2da generación
• Control del dolor                     (cefuroxime) a 4a generación
                                        (cefepime), metronidazol y ampicilina
    •Indometacina (25 mg tres
    veces al día)                       •aminoglucósido y ampicilina se han
                                        limatodo por desarrollo de resistencia
    •Diclofenaco (75 mg IM)             bacteriana y riesgo de nefrotoxicidad
    •Ibuprofeno (400 mg).
Tratamiento Quirúrgico
●
    Tratamiento médico inicial y pueden ser programados para el
    tratamiento quirúrgico semi-electivo

●
    Colecistectomía por vía laparoscópica es el tratamiento de elección y
    se realiza durante las 72-96 horas de iniciados los síntomas

●
    10 a 15 % tienen que ser sometidos a descompresión biliar de
    urgencia por falta de respuesta

●
    20% de los pacientes con colecistitis aguda necesitan una cirugía de
    urgencia

●
    Resuelve la colecistitis aguda y hay resolución completa del dolor
    recidivante en la mayoría (82%) de los pacientes con cólico biliar y
    litiasis

●
    En aquellos casos de colecistitis acalculosa casi la mitad pueden
    persistir con manifestaciones vagas dolorosas
Contraindicaciones para la colecistectomía laparoscópica.


    Alto riesgo para anestesia general
    Obesidad mórbida
    Signos de perforación vesicular como abscesos, peritonitis
       o fístula

    Litos gigantes
    Enfermedad hepática en estadio terminal con hipertensión
      portal y coagulopatía severa.

    Sospecha de malignidad en vesícula biliar
    Embarazo en último trimestre.
En la persistencia del dolor debe considerarse la
         posibilidad de síndrome postcolecistectomía

●   Flatulencia e intolerancia a la comida grasosa, dolor en el
    hipocondrio derecho
●   Asociado a dilatación de remanentes del conducto
    cístico, formación de neuroma en la pared ductal y
    granuloma por cuerpo extraño
●   Tratamiento con inhibidores de los canales de calcio,
    nitratos de larga duración o la inyección del esfínter de
    Oddi con toxina botulínica puede ser benéfico.
●   En algunos casos es necesaria la esfinterotomía,
    esfinteroplastía quirúrgica o la extirpación del remanente
    del conducto cístico
●   Pensar en SII
Manejo de pacientes seleccionados

Mujeres embarazadas
 ●
   Las enfermedades biliares son la segunda causa más común de cirugía en el
   embarazo
 ●
     La operación puede retrasarse hasta después del parto cuando hay respuesta al
     tratamiento conservador
 ●
     Si recidivan los síntomas en el mismo trimestre se indica la colecistectomía
     (laparoscópica durante los dos primeros trimestres).

Colecistitis acalculosa
 ●
    En la colecistitis acalculosa se debe realizar una colecistectomía temprana. La
    mayoría de las ocasiones se realiza en forma abierta.
 ●
     Otra alternativa terapéutica en casos graves es la colecistostomía percutánea que
     puede realizarse guiada por ultrasonido

 ●
     Se puede dejar el drenaje por más de 6 semanas y tratar de extraer los litos por
     medio de radiología intervencionista
 ●
     La falta de respuesta después de 48 horas de realizada la colecistostomía puede
     sugerir otras causas de sepsis independientes de la colecistitis
Terapia no quirúrgica para los litos sintomáticos.
          Agente             Ventajas                   Desventajas

                                            Recurrencia del 50%; solo disuelve litos
                               éxito:
                                           no calcificados; óptimo para litos <5 mm;
Acido ursodesoxicólico 8     30 a 90%
                                           mejoría en síntomas después de 3 a 6
  -10 mg/kg/día.              mortalidad
                                           semanas; hasta 6 a 24 meses para ver los
                                  0%
                                           resultados.

                                            Recurrencia del 70%, solo disponible en
 Solventes de contacto:
                              éxito:       algunos centros de tercer nivel; éxito
  metil tert-butil éter/n-
                             50-90%        depende de la experiencia de éstos;
  propil acetato
                                           muchos efectos adversos.


                                            Recurrencia del 70%; no aprobado por la
                               éxito:      FDA; en centros con experiencia; solo si
Litotripsia extracorpórea:
                             70 a 90%      hay menos de 3 litos radiolúcidos (<20
   electrohidráulica/elecm
                             mortalidad    mm ø), conducto cístico permeable,
   agnética
                                 < 0.1%.   vesícula funcional, litos sintomáticos sin
                                           complicaciones


 FDA = Administración de Drogas y Alimentos de

Sin título 3

  • 1.
  • 2.
    Colecistitis ● Es la inflamación de la vesícula biliar que puede ser aguda o crónica de acuerdo a la lesión histopatológica, principalmente dependiendo del tipo de infiltrado inflamatorio. ● La colecistitis aguda es la complicación más frecuente de la litiasis biliar (10% de la población general). ● Diagnóstico gastroenterológico más común en pacientes hospitalizados ● Lugar 19 entre las causas de muerte por patología digestiva ● Se presenta en 3% de aquellos pacientes con litos sintomáticos
  • 3.
    PATOGENESIS Factores desencadenantes Obstrucción del paso de la bilis a través del conducto cístico por un lito (90%) Lesión de la mucosa vesical •Obstrucción intermitente lleva a un aumento en la presión intraluminal y junto con bilis supersaturada de colesterol Distensión de la Pared vesicular estimulan respuesta edematosa vesícula inflamatoria. Conduct o cístico • El trauma intraluminal provocado por litos estimula síntesis de prostaglandinas I2 y Aumento en la E2 que median respuesta presión intralumin inflamatoria al Lito impactado en el saco de Hartman •Infección bacteriana secundaria con organismos entéricos ocurre en 20% de los Secreción de fluidos casos. Distensión de la vesícula Secreción de Prostaglandina I2 y E2
  • 5.
    VESICULA BILIAR CONCOLECISTITIS CRONICA, COLELITIASIS Y UN PEQUEÑO TUMOR PAPILAR A NIVEL DEL CONDUCTO CISTICO (macro) Adenocarcinoma Papilar de la Vesícula Biliar (micro)
  • 6.
    Patogénesis y factoresde riesgo para la colecistitis acalculosa Sepsis Choque Transfusión masiva Deshidratación Comorbilidad (cáncer, DM, enfermedad vascular) Oclusión microvascular e hipercoagulabilidad COLECISTITIS ACALCULOSA BMJ 2002;325:639-43
  • 7.
    Evolución clínica delas diversas patologías biliares. ALTERACION INICIAL ENTIDAD PATOLOGICA EVOLUCION CLINICA Bloqueo del cístico o cuello vesicular Cólico Biliar Resolución en horas. (Litiasis) Episodios recidivantes ¿Evolución a vesícula escleroatrófica? Colecistitis Aguda Requiere hospitalización Resolución en 7-10 días Complicaciones poco frecuentes Tratamiento con colecistectomía Irritacion o Daño del epitelio vesicular Colecistitis Pocas manifestaciones clínicas (isquemia, toxicos, gérmenes) aguda Cuadros graves acalculosa Complicaciones frecuentes Tratamiento : Colecistectomía Colecistostomía?
  • 8.
    Manifestaciones clínicas enCCA El cólico biliar inicia súbitamente, incrementa rápido en intensidad en 15 minutos y puede durar hasta 3 horas. • 75% de colecistitis aguda tiene • Posterior al inicio del dolor antecedente de cólico biliar aparecen fiebre, náuseas y vómitos • Dolor en colecistitis dura > 6 h • Ictericia en 20% de los pacientes, más frecuente en los ancianos • Al inicio también es de tipo (compresión del colédoco / visceral y constante a pesar de Síndrome de Mirizzi) llamarse cólico • 25% de los pacientes se presenta • Dolor localizado en hemiabdomen sin antecedentes relacionados superior (epigastrio e hipocondrios) • En la colecistitis acalculosa el • Dolor parietal localizado en cuadro puede ser insidioso y hipocondrio derecho, irradiado a depender de las condiciones región subescapular y área predisponentes clavicular derechas
  • 9.
    Datos en laexploración física ● Paciente febril ● Taquicardia ● Algunos casos con ictericia ● Dolor en hipocondrio derecho en donde se puede palpar la vesícula hasta en una tercera parte de los casos ● Limitación de movimientos por el dolor secundario a la irritación peritoneal local que da resistencia voluntaria e involuntaria a la palpación del abdomen. ● Signo de Murphy a palpación y ultrasonográfico sensibilidad de esta maniobra es menor en ancianos.
  • 10.
    Características que distinguena las diferentes complicaciones inducidas por litos biliares.(1) Característica Cólico Biliar Colecistitis Aguda Colangitis Pancreatitis Sitio del Dolor Epigastrio HD HD Epigastrio Duración del Dolor < 3 horas > 3 horas Variable Variable (días) Masa palpable Ausente Masa en HD ± ± Fiebre - ± ± ± Leucocitosis - ± ± ± Amilasemia Normal ± ± + HD = Hipocondrio Derecho. + presente; - ausente; ± presente ó ausente. (1) Estas características pueden no siempre estar presentes.
  • 11.
    Complicaciones de laLitiasis Vesicular Complicación Porcentaje Cólico biliar 70 - 80 (2,3) Colecistitis aguda 10 Colecistitis enfisematosa <1 (3) Síndrome de Mirizzi <1 (3) Hidrocolecisto <1 (3) Obstrucción del intestino delgado (íleo biliar) 1 (3) Obstrucción a la salida gástrica (síndrome de Bouveret ) <1(3) Perforación de la vesícula 12 (3) Pancreatitis biliar aguda -- Colangitis supurativa/obstructiva -- (1) Un tercio de los pacientes con litiasis vesicular desarrolla sintomas. (2) Porcentaje de la incidencia en pacientes con litiasis sintomática (3) Porcentaje de la incidencia en pacientes con colecistitis aguda. Am Fam Physician. 2000; 61:1673-80
  • 12.
    Secuelas de lacolecistitis aguda Evolución esperada de la colecistitis aguda es hacia la resolución en 7 a 10 días ● Colecistitis gangrenosa - Hasta 30% de los casos - Factores de riesgo: Masculino • Fístula colecistoentérica >50 años con leucocitosis - Duodeno y colon (ángulo >17,000 hepático) - Mas común en fundus - Neumobilia en radiografía - Cirugía de urgencia ● Perforación vesicular • Ileo biliar – 10% de los casos -Pacientes ancianos sin causa – Retraso en atención aparente de obstrucción intestinal – Mejoría temporal de sintomas -Mortalidad 20% – Inicia peritonitis 1 Neumobilia – Mortalidad 30% – Formación de abscesos 2 Obstrucción intestinal pericolecisticos 3 Litos en sitios inusuales
  • 13.
    Diagnóstico diferencial ● Apendicitis ● Pancreatitis aguda ● Pielonefritis o litiasis renal ● Absceso hepático y úlcera péptica ● Colangitis ● En la colecistitis acalculosa se requiere un elevado índice de sospecha, el cuadro puede estar enmascarado por la sedación, analgesia o condición de base del paciente
  • 14.
    Características clínicas enel diagnóstico de colecistitis aguda Considerar la colecistitis aguda como la primera posibilidad diagnóstica en pacientes con dolor abdominal agudo. Si el diagnóstico se basa sólo con base en datos clínicos se va a incluir a una tercera parte de casos que no corresponden a colecistitis aguda Dolor constante en cuadrante superior derecho (constante > 12 horas) Diagnóstic o de Dolor en el cuadrante colecistitis Respuesta superior derecho aguda inflamatoria Signo de Murphy (+/-), Fiebre Masa palpable (+/-) Leucocitosis PCR y VSG elevados BMJ 2002;325:639-43
  • 15.
    Laboratorio Gabinete ● Leucocitosis (desviación a la ● Las alteraciones anatómicas son izquierda) más útiles para diagnóstico de Persistencia de leucocitosis y colecistitis aguda mala evolución clínica, sospechar ● Ultrasonido es el estudio de colecistitis purulenta o elección gangrenada ● Centellografía biliar / prueba de HIDA :estándar de oro para ● Elevación leve de las identificar obstrucción flujo aminotransferasas y pueden vesicular elevarse levemente la bilirrubina ● TAC sérica (entre 2 y 4 mg/dL) y la – Utilidad para identificar fosfatasa alcalina complicaciones – No necesario iniciar con este ● Amilasa sérica puede estar poco estudio elevada ● Colangiografía por resonancia >1000 U/dL en los casos de magnética coledocolitiasis o pancreatitis aguda asociada
  • 16.
    Hallazgos ultrasonográficos dela Radiografía de abdomen colecistitis aguda Nivel hidroaéreo Gas entre la pared vesicular Liquido pericolecístico Distensión de la vesícula biliar Pared vesicular edematosa Litos
  • 18.
    Tratamiento Lamayoría responde al tratamiento conservador inicial con el que se logra desimpactar el lito causante de la obstrucción Manejo médico • Iniciar antibióticos IV si hay riesgo de • Hidratación y corrección de gravedad, datos de infección o desequilibrio hidro-electrolítico deterioro después de 12 a 24 horas de (vómito, fiebre y ayuno) iniciado el manejo hospitalario • Ayuno y si persiste el vómito • Efectivos contra bacterias de la flora se instalará una sonda entérica nasogástrica •cefalosporinas de 2da generación • Control del dolor (cefuroxime) a 4a generación (cefepime), metronidazol y ampicilina •Indometacina (25 mg tres veces al día) •aminoglucósido y ampicilina se han limatodo por desarrollo de resistencia •Diclofenaco (75 mg IM) bacteriana y riesgo de nefrotoxicidad •Ibuprofeno (400 mg).
  • 19.
    Tratamiento Quirúrgico ● Tratamiento médico inicial y pueden ser programados para el tratamiento quirúrgico semi-electivo ● Colecistectomía por vía laparoscópica es el tratamiento de elección y se realiza durante las 72-96 horas de iniciados los síntomas ● 10 a 15 % tienen que ser sometidos a descompresión biliar de urgencia por falta de respuesta ● 20% de los pacientes con colecistitis aguda necesitan una cirugía de urgencia ● Resuelve la colecistitis aguda y hay resolución completa del dolor recidivante en la mayoría (82%) de los pacientes con cólico biliar y litiasis ● En aquellos casos de colecistitis acalculosa casi la mitad pueden persistir con manifestaciones vagas dolorosas
  • 20.
    Contraindicaciones para lacolecistectomía laparoscópica. Alto riesgo para anestesia general Obesidad mórbida Signos de perforación vesicular como abscesos, peritonitis o fístula Litos gigantes Enfermedad hepática en estadio terminal con hipertensión portal y coagulopatía severa. Sospecha de malignidad en vesícula biliar Embarazo en último trimestre.
  • 21.
    En la persistenciadel dolor debe considerarse la posibilidad de síndrome postcolecistectomía ● Flatulencia e intolerancia a la comida grasosa, dolor en el hipocondrio derecho ● Asociado a dilatación de remanentes del conducto cístico, formación de neuroma en la pared ductal y granuloma por cuerpo extraño ● Tratamiento con inhibidores de los canales de calcio, nitratos de larga duración o la inyección del esfínter de Oddi con toxina botulínica puede ser benéfico. ● En algunos casos es necesaria la esfinterotomía, esfinteroplastía quirúrgica o la extirpación del remanente del conducto cístico ● Pensar en SII
  • 22.
    Manejo de pacientesseleccionados Mujeres embarazadas ● Las enfermedades biliares son la segunda causa más común de cirugía en el embarazo ● La operación puede retrasarse hasta después del parto cuando hay respuesta al tratamiento conservador ● Si recidivan los síntomas en el mismo trimestre se indica la colecistectomía (laparoscópica durante los dos primeros trimestres). Colecistitis acalculosa ● En la colecistitis acalculosa se debe realizar una colecistectomía temprana. La mayoría de las ocasiones se realiza en forma abierta. ● Otra alternativa terapéutica en casos graves es la colecistostomía percutánea que puede realizarse guiada por ultrasonido ● Se puede dejar el drenaje por más de 6 semanas y tratar de extraer los litos por medio de radiología intervencionista ● La falta de respuesta después de 48 horas de realizada la colecistostomía puede sugerir otras causas de sepsis independientes de la colecistitis
  • 23.
    Terapia no quirúrgicapara los litos sintomáticos. Agente Ventajas Desventajas Recurrencia del 50%; solo disuelve litos éxito: no calcificados; óptimo para litos <5 mm; Acido ursodesoxicólico 8 30 a 90% mejoría en síntomas después de 3 a 6 -10 mg/kg/día. mortalidad semanas; hasta 6 a 24 meses para ver los 0% resultados. Recurrencia del 70%, solo disponible en Solventes de contacto: éxito: algunos centros de tercer nivel; éxito metil tert-butil éter/n- 50-90% depende de la experiencia de éstos; propil acetato muchos efectos adversos. Recurrencia del 70%; no aprobado por la éxito: FDA; en centros con experiencia; solo si Litotripsia extracorpórea: 70 a 90% hay menos de 3 litos radiolúcidos (<20 electrohidráulica/elecm mortalidad mm ø), conducto cístico permeable, agnética < 0.1%. vesícula funcional, litos sintomáticos sin complicaciones FDA = Administración de Drogas y Alimentos de

Notas del editor

  • #4 Los mecanismos subyacentes en el desarrollo del cólico biliar y las colecistitis tienen como factores desencadenantes a la obstrucción del paso de la bilis a través del conducto cístico y/o a la lesión de la mucosa vesical. (4,10) (Figura 1) El drenaje vesicular puede obstruirse por un lito o por lodo biliar que es un material precursor de microlitiasis y que en caso de persistir es asiento de cálculos biliares. Por lo tanto, los sujetos con riesgo de litogénesis, como por ejemplo mujeres y en particular multíparas, obesos o con rápida pérdida de peso, bajo nutrición parenteral total o recibiendo fármacos litogénicos como estrógenos, son también susceptibles de presentar un bloqueo en el vaciamiento vesicular. La obstrucción intermitente lleva a un aumento en la presión intraluminal y distensión de la vesícula que puede manifestarse como un síndrome de cólico biliar. El factor intraluminal que de acuerdo a estudios experimentales y clínicos parece ser el responsable de la cascada inflamatoria que lleva a la colecistitis aguda es la lisolecitina, normalmente ausente en la bilis y que es un producto de la acción de la fosfolipasa A sobre la lecitina, un componente normal de la bilis. La fosfolipasa A se encuentra en la mucosa vesicular y es liberada a la luz de la vesícula cuando hay un trauma. La lisolecitina per se es capaz de producir colecistitis aguda y produce mayor secreción de proteínas, menor absorción de agua, infiltración de leucocitos y mayor producción de prostaglandinas como la E y F1a. Los prostanoides pueden mediar la distensión producida por la secreción mucosa de agua y la contracción de la vesícula en la colecistitis aguda, estos cambios inflamatorios pueden prevenirse con el uso de inhibidores ciclooxigenasa. Una vez que la respuesta inflamatoria inicia se liberan otros mediadores de la inflamación. En general, durante los episodios de colecistitis la bilis puede estar contaminada por bacterias entéricas ( E. coli, Enterococcus, Klebsiella, Enterobacter, Streptococcus faecalis ) en 20-50% de todos los casos, que es un porcentaje similar al encontrado en otras patologías vesiculares y en pacientes de colelitiasis sin evidencia de colecistitis, sin que tampoco la presencia de bacterias se haya relacionado con los síntomas. El riesgo de tener una bilis infectada aumenta en ancianos que son más susceptibles a presentar mayor daño como gangrena vesicular, lo que se ha atribuido a deficiencias en la respuesta inmune o en el flujo sanguíneo
  • #5 Los cambios histológicos que con mayor frecuencia se pueden observan en estos casos son fibrosis leve de la pared vesicular con mucosa sin alteraciones y en algunos pacientes con múltiples episodios recidivantes de cólico biliar puede haber una vesícula escleroatrófica y divertículos intramurales conocidos como senos de Rokitansky-Aschoff. Cuando persiste el cálculo impactado en el conducto cístico, además del factor mecánico, se desarrollan cambios bioquímicos y anatómicos en la mucosa secundarios a la estasis biliar, estos cambios parecen ser indispensables para desencadenar la respuesta inflamatoria, misma que se suma al edema de la pared que favorece obstrucción venosa y linfática, isquemia y necrosis. Los cambios histológicos de colecistitis crónica pueden ser secundarios a la irritación mecánica persistente de la litiasis o a episodios obstructivos o inflamatorios agudos previos, sin que el daño se relacione con los síntomas o con mayor morbilidad. (1,4,10)
  • #6 Aspecto macroscópico de vesícula biliar después de seccionarla longitudinalmente. Notar el engrosamiento de la pared, abundantes cálculos polihédricos y un pequeño tumor papilar en el conducto cístico. Proliferacion papilar de la mucosa biliar Nervio periferico infiltrado por adenoca vesicula biliar Caracteristicas histologicas del adenocarcinoma
  • #7 En la colecistitis aguda acalculosa no se ha establecido algún factor específico que desencadene el proceso inflamatorio, puede ser un mecanismo multifactorial, pero la isquemia de la mucosa vesical (secundaria a deshidratación, choque, sepsis o enfermedad vascular) y el daño por reperfusión o los efectos de mediadores pro-inflamatorios juegan un papel central en su desarrollo. Se ha descrito con frecuencia en pacientes que requieren cuidados intensivos, están en ayuno prolongado y la vesícula no se ha contraído ni vaciado, por lo tanto contiene una bilis estancada que fácilmente puede producir un daño químico al epitelio vesicular isquémico. Adicionalmente, existen intervenciones relacionadas con la gravedad de estos pacientes como la ventilación asistida con presión positiva que disminuye la perfusión portal y produce estasis biliar, la nutrición parenteral y el uso de fármacos opiáceos. (5,12) Además, también se ha presentado en casos de infecciones sistémicas bacterianas, micóticas, virales y parasitarias.(13-16) Estas dos últimas (p.ej. citomegalovirus y criptosporidium ) son causas comunes en enfermos con síndrome de inmunodeficiencia adquirida (SIDA), sin que los pacientes se encuentren en un estado de gravedad o falla orgánica como ocurre en otros enfermos. (13,14) También existen parásitos que pueden producir irritación y/o obstrucción en vesícula biliar que llevan al desarrollo de colecistitis en sujetos sin factores predisponentes, tal es el caso de los áscaris en lugares endémicos. (15) Cada vez se han informado con más frecuencia casos de colecistitis aguda acalculosa en pacientes externos, sobre todo en ancianos o sujetos con enfermedad vascular principalmente ateroesclerosis, diabetes mellitus o insuficiencia renal.
  • #9 La ictericia se presenta sólo en 20% de los pacientes y es más frecuente en los ancianos, su presencia aumenta la posibilidad de tener compresión del colédoco por un cálculo impactado en él o por compresión extrínseca de un cálculo en el cuello vesical o conducto cístico (síndrome de Mirizzi
  • #18 CT shows an enhancing rim around the fluid (arrows) and inflammatory edema in the adjacent fat (arrowheads). (D) CT of the pancreatic pseudocyst (P) displacing the gallbladder (arrows). HIDA SCAN normal, capta medio de contraste Ultrasonido endoscopico con litos en la vesicula biliar
  • #20 cirugía laparoscópica aprovecha los “planos de edema” para disecar la vesícula
  • #24 (Recurrencia de litos)