Tejido Sanguíneo
Dr. Sergio Aguirre
Cátedra de Histología, Embriología y Genética
Fundación Barceló
Introducción

 Tejido Conectivo Especializado
 Sustancia intercelular liquida : Plasma
 Circula por una vía rápida de
  intercomunicación :Vasos Sanguíneos
 Volumen 5L ( 8% del peso corporal)
Funciones

 Vía nutricional y de oxigenación de
  tejidos
 Vía de intercambio entre el medio
  externo e interno
 Vía de transporte de elementos
  regulatorios e inmunológicos
 Regulación térmica
Composición
                        Elementos Organicos
            Plasma      Elementos Inorganicos
                        AGUA


  Tejido
Sanguíneo
                          Eritrocitos
                                                        Neutrofilo
            Elementos                   Granulocitos    Eosinofilo
             Formes
                                                        Basofilo
                          Leucocitos
                                                        Monocito
                                        Agranulocitos
                                                        Linfocito

                         Trombocitos
Composición
         PLASMA: parte líquida, corresponde el 5% del peso corporal y el 55%
         del volumen de sangre.
         Presenta:
               •Agua: 95%
               •Solutos: 5%:
                      •organicos glucosa, lípidos, proteínas(albumina, globulinas),
                      enzimas, hormonas, úrea, vitaminas hidrosolubles y
                      liposolubles.
SANGRE                •Inorganicos: Sales minerales, iones(Na, K, Mg, Ca, Fe,
                      etc),
         ELEMENTOS FORMES: parte sólida de la sangre,corresponde el 3% del
         peso corporal y el 45% del volumen de sangre(hematocrito),
         Elementos figurados :
         Eritrocitos: 7-8 um
         Leucocitos: 7-20 um
         Trombocitos: 2-3 um
Eritrocitos
 Cel. Especializada en el transporte de O2
 Número:
  ◦ Mujeres: 4.8 millones/ml.
  ◦ Hombre: 5.4 millones/ml    +/- 600000
 Forma y caracteristica:
    ◦   Disco Biconcavo
    ◦   Anucleado
    ◦   Escasas organelas
    ◦   Metabolicamente activo ( Glucolisis anaerobia)
   Tiempo de vida 120 días
   Color: rojo(Hb)
   Función: transportar O2 y CO2.
   Lugar de nacimiento: MOR.
   Dimensiones:
    ◦   Diámetro: 7.8um
    ◦   Espesor: 2.6um a 0.8um
    ◦   Volumen: 85-95fl
    ◦   Superficie: 135um2
Metabolismo del Eritrocito
   Realiza el siguiente metabolismo
    intermedio:
     Glucosa: Glucólisis Anaeróbica (95%) con
      formación de 2,3DPG (difosfoglicerato).
     Glutation: Es reducido por el eritrocito, y de
      esta manera capta agentes oxidantes,
      previniendo la oxidación de Hemoglobina.
     Sistemas Reductores: reduce la
      metahemoglobina (Hb oxidada). Para esto
      utiliza NADPH originado en la vía de las
      Pentosas.
Membrana del Eritrocito
   Lipidos (50%):
     Fosfolípidos (95%) (f.colina, f.etanolamina, f.serina ,f.inositol y
      colesterol no esterificado).
     Glucolípidos (5%).
   Proteinas de membrana (50%) (importantes en la
    deformación celular):
    ◦ Espectrina: la más abundante. Une 2,3DPG y calmodulina. Se
      pliega y extiende para favorecer el cambio reversible de forma
      de la celula.
    ◦ Actina: Forma un único complejo con espectrina y a una
      proteina llamada „Banda 4.1‟
    ◦ Otras: tropomiosina, banda 3, banda 4.2- 4.9, glicoforina C
   Todas estas proteínas de membrana le otorgan
    deformabilidad al eritrocito, para adaptar su forma a
    diámetros más pequeños (hasta 1/20).
HEMOGLOBINA
       Proteina tetramerica con un diámetro de 6nm.
        ◦ 2 cadenas alfa y 2 beta
        ◦ cada una un átomo de hierro en el centro de su núcleo
          porfirinico el grupo HEM
 Hb= HEM + globina
 HEM= protoporfirina IX +Fe2+
 Los valores normales de hemoglobina son:
    ◦       En hombres: 14+-2 mg%
    ◦       En mujeres: 13+-2m%
 Transporta el 97% de O2 (oxihemoglobina,)
 Transporta el 20 –40% del CO2 (carboxihemoglobina )
 Regula el equilibrio ácido base atuando como buffer.
HEMOGLOBINA
Hematocrito y Hemoglobina
   Sus valores se relacionan al número y cantidad de Hb
    de los eritrocitos.

   Cuando estos valores se encuentran disminuidos en
    más de 2 DS respecto al promedio, según la edad, se
    habla de Anemia.

   Si están significativamente aumentados, se habla de
    Policitemia.
Alteraciones en la Morfología de
         los Eritrocitos
   Del tamaño:
    ◦   Anisocitosis    Diferentes tamaños.
    ◦   Microcitosis    Menor tamaño.
    ◦   Macrocitosis    Mayor tamaño.
    ◦   Megalocitosis   Grandes y ovalados.

   De la coloración:
    ◦ Hipocromía        C.H.C.M. disminuida 
      30%
    ◦ Hipercromía       Esferocito,Hb
      concentrada
   De la forma:
    ◦ Poiquilocitosis   Distintas formas
    ◦ Ovalocitosis       Forma ovalada
    ◦ Eliptocitosis      Forma elíptica
    ◦ Esferocitosis       Forma esférica
    ◦ Esquizocitosis    Fragmentos de G.R.
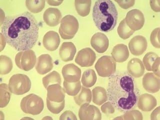
GLOBULOS BLANCOS O LEUCOCITOS
  Celulas con capacidad de emitir seudópodos y que
   se pueden desplazar a zonas donde hay inflamación ,
   infección o alergia (respuesta inmunitaria)
  Solo una pequeña fracción de su vida trascurre en la
   sangre
  Numero: 5000-10000/ml.
       El aumento se denomina leucocitosis
       La disminución leucopenia
    Forma: circular
    Tamaño de 7 a 20 um
    Tiempo de vida:
       Neutrofilos: 6-12 horas.
       Linfocitos: 100-200días.
LEUCOCITOS
    La funcion inmunitaria se realiza a través de 4
     propiedades:
    1.   Quimiotaxis: movimiento orientado a un lugar en
         especial mediado por las sutancias quimiotacticas, las
         cuales son liberadas desde un foco infeccioso.
    2.   Diapedesis: capacidad de los globulos blancos de
         atravesar la pared de los capilares sin lesionarlos.
    3.   Mov. Ameboideo: desplazamiento de globulos blancos
         por el tejido coenctivo a través de seudópodos
    4.   Fagocitosis: es el proceso de englobe de sustancias
         extrañas y llevadas dentro de la célula por parte de las
         enzimas de los lisosomas primarios
1
            2




4       3
Clasificación

  Granulocitos:     • Agranulocitos:
(polimorfonucleares) (monomorfonucleares)
1. Neutrófilos.      1. Linfocitos:
2. Eosinófilos.         • T
3. Basófilos.           • B
                        • NK
                     2. Monocitos.
Formula Leucocitaria y Hemograma de
Shilling
 •En un frotis de sangre coloreado, se encuentran 100 leucocitos y
 determina qué porcentaje corresponde a cada tipo de leucocitos. (
 formula relativa)
 •Luego se hace el conteo Absoluto ( formula absoluta)
 •Los neutrofilos pueden dividirse en distintos tipos de acuerdo al
 numero lobular y tamaño nuclear
 • En el adulto normal, se puede considerar como normal :


Metamielo      Neutrofilos       Eosinof     Basof       Linf    Monocito
  citos     Abast.    Segme.

  0%        1-4%       40-       1-3%       0-1%         25-          3-7%
                       60%                               33%
GLOBULOS BLANCOS
GRANULOCITOS
NEUTRÓFILO

   1era línea de defensa del
    organismo. (inespecifica)
   Origen: M.O..(Por
    neutropoyesis aprox. 10
    días)
   Tamaño: 10-12um
   Número: 3000 a 6000/ml
   Forma: Redonda.
   Citoplasma con granulos
    neutrofilos (1, 2 ,3)
   Nucleo con lobulaciones
NEUTRÓFILO ABASTONADO
    Son los neutrófilos jóvenes,
     presentan el núcleo el banda.
     Su valor es 0-4%.
     ◦ Desviación Izquierda:
       significa que hay un aumento de
       estas células en sangre
       periférica. Ej: leucemias,
       infecciones graves.
     ◦ Desviación Derecha: el
       núcleo de los segmentados
       presenta hipersegmentación. Ej:
       deficiencia de vitamina B12
NEUTRÓFILO SEGMENTADO

   Es el neutrófilo maduro
    presenta un núcleo lobulado
    en 3 o 4 partes. Los
    segmentados de mujeres se
    presentan un pequeño
    apéndice que sobresale de
    uno de lo lóbulos en forma
    de palillo de tambor
    (corpúsculo de BARR)
NEUTRÓFILO-SEGMENTADO
FUNCIONES
 Constituyen la primera linea de defensa contra
  las infecciones bacterianas realizando la
  “fagocitosis”.(microfagocitosis) x fagosomas
 Luego se adhieren los granulos :
    ◦ azurófilos (mieloperoxidasa, fosfatasa
      ácida,glucuronidasa, gelatinasa).
    ◦ específicos(fosfatasa alcalina, lactoferrina,
      fagocitinas,colagenasa, proteinas basicas, lisozima)
BASÓFILOS
 Menos numerosos de los
  leucocitos.
 Origen: MO (granulopoyesis)
 Tamaño: 10-14um
 Numero: 10-100/ml
 Nucleo en forma de “U”
 Granulos especificos escasos y
  metacromaticos
    ◦ histamina, heparina, factor
      quimiotactico eosinófilo, kalicreina,
      factor activador de plaquetas.
BASÓFILO-FUNCIONES

 Celulas de vida corta (a diferencia de los
  mastocitos)
 Se investiga origen común
 Participa en los procesos de alergia liberando
  sus componentes :
    ◦ Heparina: anticoagulacion
    ◦ Histamina : vasodilatacion
    ◦ FQN: atraccion de neutrofilos
EOSINÓFILOS

   Grandes granulos
    eosinofilos
    ◦ Mayoria especificos
    ◦ Inclusiones Cristalinas
   Origen: MO (eosinopoyesis)
   Forma redondeada
   Nucleo Bilobulado
   Tamaño: 9a 12um
   Número: 200 a 400/ml
EOSINÓFILO-FUNCIONES
 Circula 6 a 8hrs por la sangre, viven 8 a 10 dias en TC
 Captan y eliminan uniones Ag-Ac formados en
  enfermedades alergicas
 Son atraidos por zonas donde se liberan histamina.
 Las enzimas de sus granulos degradan estos
  componentes ( histaminasa, hidrolasas, arilsulfatasa,
  fosfatasa acida, heparinasa,etc)
 Contienen ademas proteinas cationicas (Prot. Basofila
  principal, cationica de eosinifilos y neurotoxina) que
  actuan en infecciones parasitarias
 Aumentan en infecciones parasitarias y en
  procesos alérgicos severos.
GLOBULOS BLANCOS
AGRANULOCITOS
MONOCITOS
   Grandes celulas esfericas ( en frotis)
   Tamaño: 12 a 20
   Nucleo Excentrico,, arriñonado de
    cromatina laxa
   Número: 200 a 700 monocitos por mm3
    sangre (4 al 8 % de leucocitos)
   Origen M.O circulan en la sangre 1 a 4
    dias
   FUNCION
    ◦ Pasan al Tc y actuan como macrofagos
    ◦ Juegan un papel fundamental en las respuestas
      inmunitarias humorales (presentación de Ag)
    ◦ Liberan gran cantidad de citoquinas regulando la
      funcion de diversos tejidos
LINFOCITOS
   2dos Leucocitos mas numerosos
   No contienen granulos
    especificos (algunos azurofilos
    pequeños)
   Origen: M.O. Ganglios linfaticos,
              bazo,timo.etc.
   Tamaño: 7 - 12 UM
   Nucleo grande con ligera
    escotadura
   Número: 1,500 a 3,000/ML (30%
  del total de G.B).
 TIPOS DE LINFOCITOS:
    ◦ LINFOCITOS T
    ◦ LINFOCITOS B
    ◦ LINFOCITOS NK
LINFOCITOS T
   LINFOCITOS T: Son los mas
    abundantes .
   Existen varios tipos:
    ◦ LT colaboradores (CD4) – LTh (0-1-2)
    ◦ LT citotoxicos (CD8)- LTc
   Timodependiente
   Se origina en M.O y madura en el
    timo .
   FUNCION
    ◦ Realizan inmunidad celular
    ◦ Actuan sobre celulas afectadas
      intracelularmente
LINFOCITO B
   Linfocito B     (10 – 15%)
   Timoindependiente
    ,bursodependiente
   Se origina de la bolsa de
    fabricio (aves), M. O en humano
    adulto
   Circulan varias veces por
    sangre, GL , bazo y linfa
   FUNCION :
    ◦ inmunidad humonal liberando
      Ac.
LINFOCITO NK

    Linfocito NK
 (Natural killer o asesino natural)
    Destruye directamente a
     celulas extrañas (tumorales ),
    celulas de trasplantes
     mediante perforinas
LEUCEMIAS
   La leucemia es un
    grupo de
    enfermedades de la
    médula ósea que
    implican un aumento
    incontrolado de
    glóbulos blancos
    (leucocitos).
                          Esta fotografía muestra las células linfáticas (linfoblastos) teñidas de oscuro que se
                          observan en la leucemia linfocítica aguda, el tipo más común de leucemia infantil.
Trombocitos o plaquetas
   Llamados también
    corpusculos de Zimmermann
    o de Bizorero.
   FRAGMENTOS CELULARES
    DEL MEGACOARIOCITO.
   MP con invaginaciones
    (tubulos y vesiculas) con act.
    ATPasa
   ORIGEN: M.O.
   TAMAÑO: 2-5um
   Número: 200 000-400 000/ml
    de sangre.
   Tiempo de vida: 7-12 días.
MEGACARIOCITO Y
PLAQUETAS
Regiones
   Hialomero(periferia sin organoides)
    ◦ Microtubulos
    ◦ Microfilamentos
    ◦ Actina y miosina
   Cronomero (central granular con organoides)
    ◦ Granulos
       Alfa : fosfolipidos, Factor plaq IV, Factor von willebrandt , IGF,
        tromboespondina
       Beta o Ultradensos: serotonina, ATP y ADP
       Lambda : lisozomas
       Peroxisomas:
    ◦ Enzimas : TXa2 sintetasa, protaciclinasa
FUNCIÓN DE LAS
PLAQUETAS
1   VC (serotonina)
2   Aglutinacion para formar el tapón blanco
    (tromboplaquetarío)
3   Proteger los endotelios vasculares .
4   Activar al F III (tromboplastina tisular)que indica la
    activación de la coagulación
5   Libera al F IV plaquetario que inhibe al a heparina
6   Libera (activa) a la trombostenina (proteína contractil)
    que causa retraccion del coágulo
HEMOSTASIA

   DEFINICIÓN:           Es una serie de mecanismos que el
    organismo pone en movimiento para detener una
    hemorragia al ser dañado o seccionado un vaso sanguíneo.
   FASES:
 Fase Vascular
 Fase Plaquetaria
 Fase Coagulación
 Fase de Fibrinolisis
Propiedades de las plaquetas
1.   Adhesividad: las plaquetas se pegan al
     vaso sanguíneo dañado
PROPIEDADES DE LAS
PLAQUETAS
2.   Aglutinación: llamada también agregación
     plaquetaria, los trombocitos se pegan
     entre si formando el tapón blanco
ERITROPOYESIS
   Es el proceso de
    formación de los glóbulos
    rojos, este proceso se
    estimula gracias una
    hormona llamada
    eritropoyetina, que es
    una glucoproteina
    producida por las células
    intersticiales
    peritubulares del riñon y
    que se eleva en procesos
    de hipoxia o hemorrágia
    profusas.

Tejido Sanguíneo 2003

  • 1.
    Tejido Sanguíneo Dr. SergioAguirre Cátedra de Histología, Embriología y Genética Fundación Barceló
  • 2.
    Introducción  Tejido ConectivoEspecializado  Sustancia intercelular liquida : Plasma  Circula por una vía rápida de intercomunicación :Vasos Sanguíneos  Volumen 5L ( 8% del peso corporal)
  • 3.
    Funciones  Vía nutricionaly de oxigenación de tejidos  Vía de intercambio entre el medio externo e interno  Vía de transporte de elementos regulatorios e inmunológicos  Regulación térmica
  • 4.
    Composición Elementos Organicos Plasma Elementos Inorganicos AGUA Tejido Sanguíneo Eritrocitos Neutrofilo Elementos Granulocitos Eosinofilo Formes Basofilo Leucocitos Monocito Agranulocitos Linfocito Trombocitos
  • 5.
    Composición PLASMA: parte líquida, corresponde el 5% del peso corporal y el 55% del volumen de sangre. Presenta: •Agua: 95% •Solutos: 5%: •organicos glucosa, lípidos, proteínas(albumina, globulinas), enzimas, hormonas, úrea, vitaminas hidrosolubles y liposolubles. SANGRE •Inorganicos: Sales minerales, iones(Na, K, Mg, Ca, Fe, etc), ELEMENTOS FORMES: parte sólida de la sangre,corresponde el 3% del peso corporal y el 45% del volumen de sangre(hematocrito), Elementos figurados : Eritrocitos: 7-8 um Leucocitos: 7-20 um Trombocitos: 2-3 um
  • 6.
    Eritrocitos  Cel. Especializadaen el transporte de O2  Número: ◦ Mujeres: 4.8 millones/ml. ◦ Hombre: 5.4 millones/ml +/- 600000  Forma y caracteristica: ◦ Disco Biconcavo ◦ Anucleado ◦ Escasas organelas ◦ Metabolicamente activo ( Glucolisis anaerobia)  Tiempo de vida 120 días  Color: rojo(Hb)  Función: transportar O2 y CO2.  Lugar de nacimiento: MOR.  Dimensiones: ◦ Diámetro: 7.8um ◦ Espesor: 2.6um a 0.8um ◦ Volumen: 85-95fl ◦ Superficie: 135um2
  • 8.
    Metabolismo del Eritrocito  Realiza el siguiente metabolismo intermedio:  Glucosa: Glucólisis Anaeróbica (95%) con formación de 2,3DPG (difosfoglicerato).  Glutation: Es reducido por el eritrocito, y de esta manera capta agentes oxidantes, previniendo la oxidación de Hemoglobina.  Sistemas Reductores: reduce la metahemoglobina (Hb oxidada). Para esto utiliza NADPH originado en la vía de las Pentosas.
  • 9.
    Membrana del Eritrocito  Lipidos (50%):  Fosfolípidos (95%) (f.colina, f.etanolamina, f.serina ,f.inositol y colesterol no esterificado).  Glucolípidos (5%).  Proteinas de membrana (50%) (importantes en la deformación celular): ◦ Espectrina: la más abundante. Une 2,3DPG y calmodulina. Se pliega y extiende para favorecer el cambio reversible de forma de la celula. ◦ Actina: Forma un único complejo con espectrina y a una proteina llamada „Banda 4.1‟ ◦ Otras: tropomiosina, banda 3, banda 4.2- 4.9, glicoforina C  Todas estas proteínas de membrana le otorgan deformabilidad al eritrocito, para adaptar su forma a diámetros más pequeños (hasta 1/20).
  • 11.
    HEMOGLOBINA  Proteina tetramerica con un diámetro de 6nm. ◦ 2 cadenas alfa y 2 beta ◦ cada una un átomo de hierro en el centro de su núcleo porfirinico el grupo HEM  Hb= HEM + globina  HEM= protoporfirina IX +Fe2+  Los valores normales de hemoglobina son: ◦ En hombres: 14+-2 mg% ◦ En mujeres: 13+-2m%  Transporta el 97% de O2 (oxihemoglobina,)  Transporta el 20 –40% del CO2 (carboxihemoglobina )  Regula el equilibrio ácido base atuando como buffer.
  • 12.
  • 13.
    Hematocrito y Hemoglobina  Sus valores se relacionan al número y cantidad de Hb de los eritrocitos.  Cuando estos valores se encuentran disminuidos en más de 2 DS respecto al promedio, según la edad, se habla de Anemia.  Si están significativamente aumentados, se habla de Policitemia.
  • 14.
    Alteraciones en laMorfología de los Eritrocitos  Del tamaño: ◦ Anisocitosis Diferentes tamaños. ◦ Microcitosis Menor tamaño. ◦ Macrocitosis Mayor tamaño. ◦ Megalocitosis Grandes y ovalados.  De la coloración: ◦ Hipocromía C.H.C.M. disminuida  30% ◦ Hipercromía Esferocito,Hb concentrada
  • 15.
    De la forma: ◦ Poiquilocitosis Distintas formas ◦ Ovalocitosis Forma ovalada ◦ Eliptocitosis Forma elíptica ◦ Esferocitosis Forma esférica ◦ Esquizocitosis Fragmentos de G.R.
  • 17.
    GLOBULOS BLANCOS OLEUCOCITOS  Celulas con capacidad de emitir seudópodos y que se pueden desplazar a zonas donde hay inflamación , infección o alergia (respuesta inmunitaria)  Solo una pequeña fracción de su vida trascurre en la sangre  Numero: 5000-10000/ml.  El aumento se denomina leucocitosis  La disminución leucopenia  Forma: circular  Tamaño de 7 a 20 um  Tiempo de vida:  Neutrofilos: 6-12 horas.  Linfocitos: 100-200días.
  • 18.
    LEUCOCITOS  La funcion inmunitaria se realiza a través de 4 propiedades: 1. Quimiotaxis: movimiento orientado a un lugar en especial mediado por las sutancias quimiotacticas, las cuales son liberadas desde un foco infeccioso. 2. Diapedesis: capacidad de los globulos blancos de atravesar la pared de los capilares sin lesionarlos. 3. Mov. Ameboideo: desplazamiento de globulos blancos por el tejido coenctivo a través de seudópodos 4. Fagocitosis: es el proceso de englobe de sustancias extrañas y llevadas dentro de la célula por parte de las enzimas de los lisosomas primarios
  • 19.
    1 2 4 3
  • 21.
    Clasificación  Granulocitos: • Agranulocitos: (polimorfonucleares) (monomorfonucleares) 1. Neutrófilos. 1. Linfocitos: 2. Eosinófilos. • T 3. Basófilos. • B • NK 2. Monocitos.
  • 22.
    Formula Leucocitaria yHemograma de Shilling •En un frotis de sangre coloreado, se encuentran 100 leucocitos y determina qué porcentaje corresponde a cada tipo de leucocitos. ( formula relativa) •Luego se hace el conteo Absoluto ( formula absoluta) •Los neutrofilos pueden dividirse en distintos tipos de acuerdo al numero lobular y tamaño nuclear • En el adulto normal, se puede considerar como normal : Metamielo Neutrofilos Eosinof Basof Linf Monocito citos Abast. Segme. 0% 1-4% 40- 1-3% 0-1% 25- 3-7% 60% 33%
  • 23.
  • 24.
    NEUTRÓFILO  1era línea de defensa del organismo. (inespecifica)  Origen: M.O..(Por neutropoyesis aprox. 10 días)  Tamaño: 10-12um  Número: 3000 a 6000/ml  Forma: Redonda.  Citoplasma con granulos neutrofilos (1, 2 ,3)  Nucleo con lobulaciones
  • 25.
    NEUTRÓFILO ABASTONADO  Son los neutrófilos jóvenes, presentan el núcleo el banda. Su valor es 0-4%. ◦ Desviación Izquierda: significa que hay un aumento de estas células en sangre periférica. Ej: leucemias, infecciones graves. ◦ Desviación Derecha: el núcleo de los segmentados presenta hipersegmentación. Ej: deficiencia de vitamina B12
  • 26.
    NEUTRÓFILO SEGMENTADO  Es el neutrófilo maduro presenta un núcleo lobulado en 3 o 4 partes. Los segmentados de mujeres se presentan un pequeño apéndice que sobresale de uno de lo lóbulos en forma de palillo de tambor (corpúsculo de BARR)
  • 27.
    NEUTRÓFILO-SEGMENTADO FUNCIONES  Constituyen laprimera linea de defensa contra las infecciones bacterianas realizando la “fagocitosis”.(microfagocitosis) x fagosomas  Luego se adhieren los granulos : ◦ azurófilos (mieloperoxidasa, fosfatasa ácida,glucuronidasa, gelatinasa). ◦ específicos(fosfatasa alcalina, lactoferrina, fagocitinas,colagenasa, proteinas basicas, lisozima)
  • 30.
    BASÓFILOS  Menos numerososde los leucocitos.  Origen: MO (granulopoyesis)  Tamaño: 10-14um  Numero: 10-100/ml  Nucleo en forma de “U”  Granulos especificos escasos y metacromaticos ◦ histamina, heparina, factor quimiotactico eosinófilo, kalicreina, factor activador de plaquetas.
  • 31.
    BASÓFILO-FUNCIONES  Celulas devida corta (a diferencia de los mastocitos)  Se investiga origen común  Participa en los procesos de alergia liberando sus componentes : ◦ Heparina: anticoagulacion ◦ Histamina : vasodilatacion ◦ FQN: atraccion de neutrofilos
  • 33.
    EOSINÓFILOS  Grandes granulos eosinofilos ◦ Mayoria especificos ◦ Inclusiones Cristalinas  Origen: MO (eosinopoyesis)  Forma redondeada  Nucleo Bilobulado  Tamaño: 9a 12um  Número: 200 a 400/ml
  • 34.
    EOSINÓFILO-FUNCIONES  Circula 6a 8hrs por la sangre, viven 8 a 10 dias en TC  Captan y eliminan uniones Ag-Ac formados en enfermedades alergicas  Son atraidos por zonas donde se liberan histamina.  Las enzimas de sus granulos degradan estos componentes ( histaminasa, hidrolasas, arilsulfatasa, fosfatasa acida, heparinasa,etc)  Contienen ademas proteinas cationicas (Prot. Basofila principal, cationica de eosinifilos y neurotoxina) que actuan en infecciones parasitarias  Aumentan en infecciones parasitarias y en procesos alérgicos severos.
  • 36.
  • 37.
    MONOCITOS  Grandes celulas esfericas ( en frotis)  Tamaño: 12 a 20  Nucleo Excentrico,, arriñonado de cromatina laxa  Número: 200 a 700 monocitos por mm3  sangre (4 al 8 % de leucocitos)  Origen M.O circulan en la sangre 1 a 4 dias  FUNCION ◦ Pasan al Tc y actuan como macrofagos ◦ Juegan un papel fundamental en las respuestas inmunitarias humorales (presentación de Ag) ◦ Liberan gran cantidad de citoquinas regulando la funcion de diversos tejidos
  • 40.
    LINFOCITOS  2dos Leucocitos mas numerosos  No contienen granulos especificos (algunos azurofilos pequeños)  Origen: M.O. Ganglios linfaticos, bazo,timo.etc.  Tamaño: 7 - 12 UM  Nucleo grande con ligera escotadura  Número: 1,500 a 3,000/ML (30% del total de G.B).  TIPOS DE LINFOCITOS: ◦ LINFOCITOS T ◦ LINFOCITOS B ◦ LINFOCITOS NK
  • 41.
    LINFOCITOS T  LINFOCITOS T: Son los mas abundantes .  Existen varios tipos: ◦ LT colaboradores (CD4) – LTh (0-1-2) ◦ LT citotoxicos (CD8)- LTc  Timodependiente  Se origina en M.O y madura en el timo .  FUNCION ◦ Realizan inmunidad celular ◦ Actuan sobre celulas afectadas intracelularmente
  • 42.
    LINFOCITO B  Linfocito B (10 – 15%)  Timoindependiente ,bursodependiente  Se origina de la bolsa de fabricio (aves), M. O en humano adulto  Circulan varias veces por sangre, GL , bazo y linfa  FUNCION : ◦ inmunidad humonal liberando Ac.
  • 43.
    LINFOCITO NK  Linfocito NK (Natural killer o asesino natural)  Destruye directamente a celulas extrañas (tumorales ),  celulas de trasplantes mediante perforinas
  • 48.
    LEUCEMIAS  La leucemia es un grupo de enfermedades de la médula ósea que implican un aumento incontrolado de glóbulos blancos (leucocitos). Esta fotografía muestra las células linfáticas (linfoblastos) teñidas de oscuro que se observan en la leucemia linfocítica aguda, el tipo más común de leucemia infantil.
  • 49.
    Trombocitos o plaquetas  Llamados también corpusculos de Zimmermann o de Bizorero.  FRAGMENTOS CELULARES DEL MEGACOARIOCITO.  MP con invaginaciones (tubulos y vesiculas) con act. ATPasa  ORIGEN: M.O.  TAMAÑO: 2-5um  Número: 200 000-400 000/ml de sangre.  Tiempo de vida: 7-12 días.
  • 50.
  • 51.
    Regiones  Hialomero(periferia sin organoides) ◦ Microtubulos ◦ Microfilamentos ◦ Actina y miosina  Cronomero (central granular con organoides) ◦ Granulos  Alfa : fosfolipidos, Factor plaq IV, Factor von willebrandt , IGF, tromboespondina  Beta o Ultradensos: serotonina, ATP y ADP  Lambda : lisozomas  Peroxisomas: ◦ Enzimas : TXa2 sintetasa, protaciclinasa
  • 53.
    FUNCIÓN DE LAS PLAQUETAS 1 VC (serotonina) 2 Aglutinacion para formar el tapón blanco (tromboplaquetarío) 3 Proteger los endotelios vasculares . 4 Activar al F III (tromboplastina tisular)que indica la activación de la coagulación 5 Libera al F IV plaquetario que inhibe al a heparina 6 Libera (activa) a la trombostenina (proteína contractil) que causa retraccion del coágulo
  • 54.
    HEMOSTASIA  DEFINICIÓN: Es una serie de mecanismos que el organismo pone en movimiento para detener una hemorragia al ser dañado o seccionado un vaso sanguíneo.  FASES:  Fase Vascular  Fase Plaquetaria  Fase Coagulación  Fase de Fibrinolisis
  • 55.
    Propiedades de lasplaquetas 1. Adhesividad: las plaquetas se pegan al vaso sanguíneo dañado
  • 56.
    PROPIEDADES DE LAS PLAQUETAS 2. Aglutinación: llamada también agregación plaquetaria, los trombocitos se pegan entre si formando el tapón blanco
  • 57.
    ERITROPOYESIS  Es el proceso de formación de los glóbulos rojos, este proceso se estimula gracias una hormona llamada eritropoyetina, que es una glucoproteina producida por las células intersticiales peritubulares del riñon y que se eleva en procesos de hipoxia o hemorrágia profusas.