Tumores de ovario
En general se dividen en categorías benignos, borderline y malignos
80% son benignos
20 y 45 años
Los tumores malignos son más comunes en mujeres mayores,
entre las edades de 45 y 65 años
3% de todos los cánceres
quinta causa más común de muerte por cáncer en mujeres en
los Estados Unidos
Surgen de uno de los tres componentes de ovario:
(1) epitelio superficial derivado del epitelio celómico,
(2) las células germinales, que emigran a los ovarios
desde el saco vitelino y son pluripotentes, y
(3) el estroma del ovario, incluyendo los cordones
sexuales
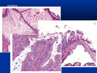
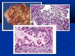
Tumores serosos

Los tipos benignos, borderline y malignos representan
aproximadamente el 30% de los tumores de ovario y de poco más del
50% de los tumores epiteliales de ovario.
Aproximadamente el 70% son benignos o limítrofes, y el 30%
son malignos. Carcinomas serosos representan
aproximadamente el 40% de todos los cánceres del ovario y
los tumores malignos más comunes de ovario
Los tumores benignos y borderline son más
comunes entre las edades de 20 y 45
Factores de riego
Nuliparidad, antecedentes familiares y hereditarios.
Mutaciones en ambos genes BRCA1 y BRCA2 aumentan la susceptibilidad de
cáncer de ovario. Mutaciones BRCA1 se presentan en aproximadamente el 5% de
los pacientes menores de 70 años . El riesgo estimado de cáncer de ovario en
mujeres que llevan mutaciones BRCA1 o BRCA2 es de 20% a 60% a la edad de
70 años .
Los tumores de bajo grado que surgen en los tumores borderline
serosos presentan mutaciones en el gen KRAS o BRAF o, y sólo raras
mutaciones en el gen p53 . los tumores de alto grado tienen una alta
frecuencia de mutaciones en el gen p53,
Aumento de CEA 125
Las mujeres de 40 a 59 años de edad que han tomado anticonceptivos
orales o sometido a la ligadura de trompas tiene un menor riesgo de
desarrollar ovario cancer.
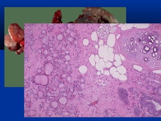
Tumores mucinosos
Representa alrededor del 30% de los tumores de ovario.
Se realizan principalmente en la edad adulta media y son raros antes
de la pubertad y después de la menopausia.
El ochenta por ciento son benignas o borderline, y aproximadamente
el 15% son malignos.
Carcinomas mucinosos ováricos son relativamente poco
frecuentes y representan menos del 5% de todos los cánceres
de ovario
Factor de riesgo: fumar
Las mutaciones en el gen KRAS son comunes en los cistoadenomas mucinosos
benignos (58%), tumores mucinosos borderline (75% a 86%), y en carcinomas
primarios de ovario mucinoso (85%)
mucinoso
Aproximadamente el 85% de los tumores borderline mucinosos son
de tipo intestinal
bordeline
Pseudomixoma peritoneal se define por ascitis mucinosa extensa.
TUMORES ENDOMETRIOIDES

Los tumores benignos endometrioide, adenofibromas endometrioide, son poco
comunes. Sin embargo, los carcinomas endometrioide representan
aproximadamente el 20% de todos los cánceres de ovario.
15% a 30% de los carcinomas endometrioide del ovario se acompañan
de carcinoma de endometrio
Tumor de Brenner
Estas neoplasias pueden ser sólidos o
quísticos, suelen ser unilaterales (90%), y
varían en tamaño de 1 cm de diámetro
hasta 20 y 30 cm . El estroma fibroso,
parecido al del ovario normal, se
caracteriza por nidos bien delimitadas de
las células epiteliales se asemeja al
epitelio del tracto urinario, a menudo con
glándulas mucinosas en su centro
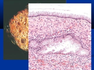
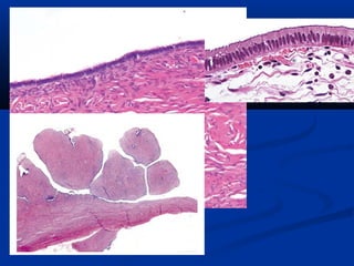
Tumores de células germinales
Representan el 15% al 20% de los ovarios
​
Los teratomas se dividen en tres categorías: (1) maduros (benignos), (2)
inmaduros (malignas), y monodermal (3) o altamente especializados.

Teratomas quísticos se encuentran generalmente en mujeres jóvenes
durante la actividad reproductiva
Los teratomas benignos son bilaterales en el 10% a 15% de los
casos. Característicamente son quistes uniloculares que contienen
pelo y material sebáceo. En la sección revelan una fina pared
recubierta por un cuerpo opaco, gris y blanco, la epidermis arrugada.
A partir de este epidermis, los ejes del pelo con frecuencia
sobresalen. Dentro de la pared, es común encontrar estructuras
dentales y áreas de calcificación
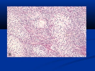
SEX CORD-STROMAL TUMORS
Tumor de la célula de la granulosa-teca
Fibroma- fibrotecoma
Celulas de Sertoli - Leydig

5%
Teorico

Teorico

  • 1.
  • 2.
    En general sedividen en categorías benignos, borderline y malignos 80% son benignos 20 y 45 años Los tumores malignos son más comunes en mujeres mayores, entre las edades de 45 y 65 años 3% de todos los cánceres quinta causa más común de muerte por cáncer en mujeres en los Estados Unidos
  • 3.
    Surgen de unode los tres componentes de ovario: (1) epitelio superficial derivado del epitelio celómico, (2) las células germinales, que emigran a los ovarios desde el saco vitelino y son pluripotentes, y (3) el estroma del ovario, incluyendo los cordones sexuales
  • 5.
    Tumores serosos Los tiposbenignos, borderline y malignos representan aproximadamente el 30% de los tumores de ovario y de poco más del 50% de los tumores epiteliales de ovario. Aproximadamente el 70% son benignos o limítrofes, y el 30% son malignos. Carcinomas serosos representan aproximadamente el 40% de todos los cánceres del ovario y los tumores malignos más comunes de ovario Los tumores benignos y borderline son más comunes entre las edades de 20 y 45
  • 6.
    Factores de riego Nuliparidad,antecedentes familiares y hereditarios. Mutaciones en ambos genes BRCA1 y BRCA2 aumentan la susceptibilidad de cáncer de ovario. Mutaciones BRCA1 se presentan en aproximadamente el 5% de los pacientes menores de 70 años . El riesgo estimado de cáncer de ovario en mujeres que llevan mutaciones BRCA1 o BRCA2 es de 20% a 60% a la edad de 70 años . Los tumores de bajo grado que surgen en los tumores borderline serosos presentan mutaciones en el gen KRAS o BRAF o, y sólo raras mutaciones en el gen p53 . los tumores de alto grado tienen una alta frecuencia de mutaciones en el gen p53, Aumento de CEA 125
  • 7.
    Las mujeres de40 a 59 años de edad que han tomado anticonceptivos orales o sometido a la ligadura de trompas tiene un menor riesgo de desarrollar ovario cancer.
  • 14.
    Tumores mucinosos Representa alrededordel 30% de los tumores de ovario. Se realizan principalmente en la edad adulta media y son raros antes de la pubertad y después de la menopausia. El ochenta por ciento son benignas o borderline, y aproximadamente el 15% son malignos. Carcinomas mucinosos ováricos son relativamente poco frecuentes y representan menos del 5% de todos los cánceres de ovario Factor de riesgo: fumar Las mutaciones en el gen KRAS son comunes en los cistoadenomas mucinosos benignos (58%), tumores mucinosos borderline (75% a 86%), y en carcinomas primarios de ovario mucinoso (85%)
  • 16.
    mucinoso Aproximadamente el 85%de los tumores borderline mucinosos son de tipo intestinal
  • 17.
  • 18.
    Pseudomixoma peritoneal sedefine por ascitis mucinosa extensa.
  • 19.
    TUMORES ENDOMETRIOIDES Los tumoresbenignos endometrioide, adenofibromas endometrioide, son poco comunes. Sin embargo, los carcinomas endometrioide representan aproximadamente el 20% de todos los cánceres de ovario. 15% a 30% de los carcinomas endometrioide del ovario se acompañan de carcinoma de endometrio
  • 20.
    Tumor de Brenner Estasneoplasias pueden ser sólidos o quísticos, suelen ser unilaterales (90%), y varían en tamaño de 1 cm de diámetro hasta 20 y 30 cm . El estroma fibroso, parecido al del ovario normal, se caracteriza por nidos bien delimitadas de las células epiteliales se asemeja al epitelio del tracto urinario, a menudo con glándulas mucinosas en su centro
  • 22.
    Tumores de célulasgerminales Representan el 15% al 20% de los ovarios ​
  • 23.
    Los teratomas sedividen en tres categorías: (1) maduros (benignos), (2) inmaduros (malignas), y monodermal (3) o altamente especializados. Teratomas quísticos se encuentran generalmente en mujeres jóvenes durante la actividad reproductiva Los teratomas benignos son bilaterales en el 10% a 15% de los casos. Característicamente son quistes uniloculares que contienen pelo y material sebáceo. En la sección revelan una fina pared recubierta por un cuerpo opaco, gris y blanco, la epidermis arrugada. A partir de este epidermis, los ejes del pelo con frecuencia sobresalen. Dentro de la pared, es común encontrar estructuras dentales y áreas de calcificación
  • 26.
    SEX CORD-STROMAL TUMORS Tumorde la célula de la granulosa-teca Fibroma- fibrotecoma Celulas de Sertoli - Leydig 5%