Incrustar presentación
















































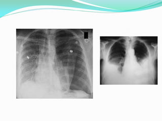
Las pleuras son membranas serosas que recubren los pulmones y la pared torácica interna, y el espacio pleural es el espacio entre ambas pleuras que contiene una pequeña cantidad de líquido lubricante. Las pleuras se relacionan íntimamente con la pared torácica permitiendo el movimiento respiratorio, y la radiología como las placas de tórax y la tomografía computarizada proporcionan imágenes del espacio pleural y sus relaciones.















































