Imágenes en Nefrología Dr. Boris León Rocha Centro de imagenología del HCUCH
Temas Historia Métodos de Imagen Patologías y técnicas de elección: Cólico renal Hematuria Tumores renales  ITU HTA secundaria Trauma renal IRC Tratamiento: Técnicas intervencionales en nefro-urología
Historia Iniciada por Urólogos  1906  Cistografía y Pielografía retrograda. 1929  Pielografía de Eliminación. 1953  Suecia, Sven Seldinger: Angiografía selectiva. Primeros procedimientos radiológicos intervencionales. 1950-60:  Radiología se hace cargo Los 4 Grandes: pacientes con síntomas vagos abdominales (screening):  Pielografía, Rx EED, Enema Baritado, Colecistografia oral 1970 Pielografia llega a su peak. Aparición del  US.
Historia  1980:  Aparece la  TC y los  Inicios de la  RM . 1990 “ Despegue” del estudio por imágenes. “ Imagenología” y no “Radiología”. Gran desarrollo del US, Doppler color,  Aparece la TC Helicoidal (desplaza a la pielografía)  Uso masivo de MC no iónicos. Mayor desarrollo de técnicas de tratamiento percutáneo o endovascular. Radiología intervencional como subespecialidad. 2000s TC multicorte:  UROTAC   “el método” para el estudio GU Sofisticación del US Información funcional de la RM Referencias: Elkin M. “Stages in the growth of Uroradiology” Radiology 1990; 175: 297-306 Goldman SM y Sandler CM “Genitourinary imaging: the past 40 years” Radiology 2000; 215:313-324
MÉTODOS DE IMAGEN
Ecografía Ampliamente disponible No irradia Barato Permite medición de volúmenes Doppler  Operador dependiente Falla en reconocer cálculos
 
TOMOGRAFIA COMPUTADA Excelente caracterización anatómica. Ampliamente disponible Relativamente sencilla de interpretar. Detecta todos los cálculos* Irradia Reacciones adversas al medio de contraste
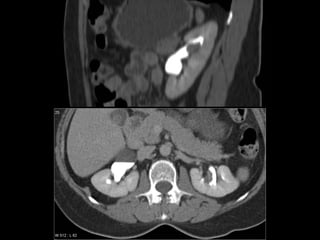
TC
 
AngioTC
AngioTC
UROTC
RESONANCIA MAGNETICA Mejor resolución de contraste Entrega mayor información No irradia. Alternativa cuando esta contraindicado el uso de medio de contraste* No detecta todas las calcificaciones. Paciente cooperador. Mas difícil de interpretar Más cara
Angiografía
RADIOGRAFÍA SIMPLE En general delimita mal los riñones Adecuada preparación  No define trayectos ureterales No diferencia cálculos de flebolitos ni de otras calcificaciones S 45%  y  E 77% Útil en el seguimiento de la litiasis ureteral detectada por PieloTAC
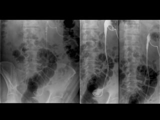
PIELOGRAFÍA IV Descrita en 1923. Medios de contraste ev En caso de obstrucción el contraste puede no alcanzar al cálculo. S 75% y E 93%
 
Técnicas de Imágen    No invasivas  ( US,TC, RM, RX) Invasivas (Angiografía, nefrostografías, etc) DIAGNÓSTICO TRATAMIENTO
COSTOS  Radiografía Renal y Vesical ($11.000) US Abdominal ($34.298)  Pielografía de Eliminación ($75.474) Pielo TC ($136.640) TC Trifásica Renal ($173.640) UroTC ($173.640) RM Renal ($255.152)
Patologías y técnicas de estudio
Cólico Renal
Estudio de Elección PieloTC TC sin contraste  Vejiga llena S: 94-100%. 30 a 40% de dg alternativos Casi todos los cálculos urinarios son radiopacos.  excepción: Indinavir  (US o Pielografia) Determinación de densidad de la litiasis (respuesta a litotripsia)
PieloTC Informa:   C/S litiasis, ubicación, tamaño, densidad y efecto en el sistema urinario (HU).
Otros Radiografía renal y vesical:  S y E baja Actualmente para control de litiasis conocida Pielografía Visualiza todo el tracto urinario Cálculos: defectos de llene S 52% E 59%  Demuestra FX renal (comparar con riñón contralateral)
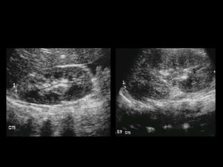
Otros US Fácilmente detecta HUN No útil en cálculos <5 mm Menor utilidad en litiasis ureteral Modalidad inicial en estudio de cólico renal en embarazada
Hematuria
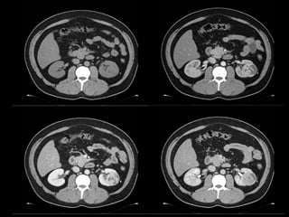
Estudio de elección:  UROTC   Fases: sin contraste con contraste: arterial, portal y eliminación que permite evaluar la hematuria con un único examen. Fase sin contraste: litiasis. Fase arterial:  alteraciones del parénquima (masas), evaluación de otros órganos abdominales Cortes finos en fase tardía:  distensión del sistema excretor y uréteres con contraste para evaluar patología uroepitelial (95% sensibilidad en detección de patología maligna del uroepitelio)  UROTC:  evalúa vejiga pero tumores planos difíciles de observar.  equivale a 4 pielografías de eliminación, > 10 mSv
Cáncer de células transicionales
 
 
 
 
Otros Estudios Pielografía de eliminación:  Sensibilidad de 74% Otros: US, uretrografía retrograda, etc.
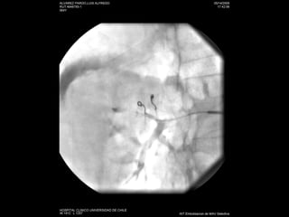
Nefrostomías  Éxito cercano a un 100% Complicaciones 4% hemorragia-infección Inserción anterógrada de catéter doble J
 
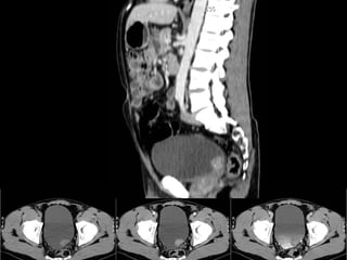
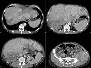
Tumor Renal
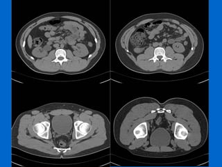
Estudio de Elección:   TC Trifásica Renal  Sin contraste, contraste en fs. arterial, portal y tardía Informa: Comportamiento, tamaño, extensión, número, calcificaciones. Etapificación : compromiso suprarrenal extensión directa a órganos adyacentes adenopatías retroperitoneales invasión de la vena renal y VCI metástasis a distancia (hígado, huesos, cerebro)
 
 
 
 
Otros Pielografía de Eliminación: Solo identifica  21% de las masas  <  2 cm. 52% de 2 a 3 cm.  82%  >  a 3 cm.  Sospecha de masa renal  ->  continuar estudio con TC o RM US: A mayor tamaño tumoral, mayor grado de certeza diagnóstica.  Lesiones hipoecogenicas, heterogeneas  Warshauer y otros :  85% de detección  en lesiones >  3 cm.   <  60% en lesiones < 2 cm.
Otras Resonancia Magnética Hallazgos similares a TC  Gran resolución de contraste, caracterización de los tejidos.  Muy buena determinación de invasión de estructuras vasculares. Problema:  Uso de Gadolinio en IRC:  Fibrosis Sistémica Nefrogénica. Gadodiamide-Associated Nephrogenic Systemic Fibrosis:Why Radiologists Should Be Concerned,  Dale R. Broome,  AJR  2007; 188:586–592
Ablación con radiofrecuencia de  cáncer de células renales
Objetivo Preservar la Fx renal y prevenir complicaciones con técnicas menos invasivas.
Mecanismo de acción
Indicaciones Edad y/o comorbilidad que impiden la C(x) Riñón único.  F(x) alterada (uno o ambos). RCC confinado al riñón.
 
Seguimiento con CT con buena respuesta
Trauma Renal
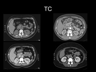
Estudio de Elección:   TC Trifásica Abdominal   Estudio sin contraste, contrastado en fases arterial, portal y tardía Informa: Laceraciones Locación de hematomas Extravasación arterial activa  Segmentos renales desvascularizados Extravasación urinaria
Trauma Renal I: Contusión cortical, hematoma subcapsular, laceración menor con un hematoma perinéfrico limitado, o un pequeño infarto cortical II: Laceración renal mayor que se extiende a la médula con o sin compromiso del sistema colector, o un infarto renal segmentario
Trauma Renal III: Laceraciones renales múltiples con  compromiso vascular, comprometiendo el  pedículo renal IV: Lesiones de la unión ureteropélvica
Embolización de lesiones postraumáticas vasculares renales.
 
 
 
 
 
 
 
 
 
 
 
 
 
 
 
ITU
US La mayoría riñones con PNA son normales a la eco. Aumento de tamaño renal. Compresión del seno renal. Alteración de la ecogenicidad con hipoecogenicidad. (edema) o con hiperecogenicidad (hemorragia). Pérdida de la diferencia corticomedular. Masa o masas  mal delimitadas. Gas en parénquima renal. Dilatación de la pelvis renal y material ecogenico en suspensión. Engrosamiento difuso del urotelio.
 
 
PIELONEFRITIS AGUDA
 
ABSCESOS RENALES
 
 
ABSCESO  RENAL
INSTALACIÓN DE DRENAJE PERCUTANEO
Hipertensión arterial secundaria
Hipertensión: causas renales 6-10% causa secundaria. La imagenología participa en : Diagnóstico etiológico. Seguimiento de las complicaciones  (daño renal crónico)  Tratamiento de algunas de sus causas (radiología intervencional).
Causas renales  RENOVASCULAR ATE. Displasia fibromuscular. Aneurisma arteria renal. Disección de arteria renal. Vasculitis. Neurofibromatosis. DEL PARÉNQUIMA RENAL Nefropatías:  Diabética. Glomérulonefritis. LES. Pielonefritis crónica. Enfermedad poliquística renal.
Hiperaldosteronismo primario Enfermedad de Cushing Feocromocitoma Coartación aórtica Hipercalcemia Tumores del SNC Causas extrarenales
Estudio No invasivo: AngioTC Doppler Angio RM:  esclerosis sistémica  nefrogénica Invasivo: angiografía
angioTC
Doppler
Angiografía
Stent y plastias de estenosis
Fin

Imágenes en Nefrología

  • 1.
    Imágenes en NefrologíaDr. Boris León Rocha Centro de imagenología del HCUCH
  • 2.
    Temas Historia Métodosde Imagen Patologías y técnicas de elección: Cólico renal Hematuria Tumores renales ITU HTA secundaria Trauma renal IRC Tratamiento: Técnicas intervencionales en nefro-urología
  • 3.
    Historia Iniciada porUrólogos 1906 Cistografía y Pielografía retrograda. 1929 Pielografía de Eliminación. 1953 Suecia, Sven Seldinger: Angiografía selectiva. Primeros procedimientos radiológicos intervencionales. 1950-60: Radiología se hace cargo Los 4 Grandes: pacientes con síntomas vagos abdominales (screening): Pielografía, Rx EED, Enema Baritado, Colecistografia oral 1970 Pielografia llega a su peak. Aparición del US.
  • 4.
    Historia 1980: Aparece la TC y los Inicios de la RM . 1990 “ Despegue” del estudio por imágenes. “ Imagenología” y no “Radiología”. Gran desarrollo del US, Doppler color, Aparece la TC Helicoidal (desplaza a la pielografía) Uso masivo de MC no iónicos. Mayor desarrollo de técnicas de tratamiento percutáneo o endovascular. Radiología intervencional como subespecialidad. 2000s TC multicorte: UROTAC “el método” para el estudio GU Sofisticación del US Información funcional de la RM Referencias: Elkin M. “Stages in the growth of Uroradiology” Radiology 1990; 175: 297-306 Goldman SM y Sandler CM “Genitourinary imaging: the past 40 years” Radiology 2000; 215:313-324
  • 5.
  • 6.
    Ecografía Ampliamente disponibleNo irradia Barato Permite medición de volúmenes Doppler Operador dependiente Falla en reconocer cálculos
  • 7.
  • 8.
    TOMOGRAFIA COMPUTADA Excelentecaracterización anatómica. Ampliamente disponible Relativamente sencilla de interpretar. Detecta todos los cálculos* Irradia Reacciones adversas al medio de contraste
  • 9.
  • 10.
  • 11.
  • 12.
  • 13.
  • 14.
    RESONANCIA MAGNETICA Mejorresolución de contraste Entrega mayor información No irradia. Alternativa cuando esta contraindicado el uso de medio de contraste* No detecta todas las calcificaciones. Paciente cooperador. Mas difícil de interpretar Más cara
  • 15.
  • 16.
    RADIOGRAFÍA SIMPLE Engeneral delimita mal los riñones Adecuada preparación No define trayectos ureterales No diferencia cálculos de flebolitos ni de otras calcificaciones S 45% y E 77% Útil en el seguimiento de la litiasis ureteral detectada por PieloTAC
  • 17.
    PIELOGRAFÍA IV Descritaen 1923. Medios de contraste ev En caso de obstrucción el contraste puede no alcanzar al cálculo. S 75% y E 93%
  • 18.
  • 19.
    Técnicas de Imágen No invasivas ( US,TC, RM, RX) Invasivas (Angiografía, nefrostografías, etc) DIAGNÓSTICO TRATAMIENTO
  • 20.
    COSTOS RadiografíaRenal y Vesical ($11.000) US Abdominal ($34.298) Pielografía de Eliminación ($75.474) Pielo TC ($136.640) TC Trifásica Renal ($173.640) UroTC ($173.640) RM Renal ($255.152)
  • 21.
  • 22.
  • 23.
    Estudio de ElecciónPieloTC TC sin contraste Vejiga llena S: 94-100%. 30 a 40% de dg alternativos Casi todos los cálculos urinarios son radiopacos. excepción: Indinavir (US o Pielografia) Determinación de densidad de la litiasis (respuesta a litotripsia)
  • 24.
    PieloTC Informa: C/S litiasis, ubicación, tamaño, densidad y efecto en el sistema urinario (HU).
  • 25.
    Otros Radiografía renaly vesical: S y E baja Actualmente para control de litiasis conocida Pielografía Visualiza todo el tracto urinario Cálculos: defectos de llene S 52% E 59% Demuestra FX renal (comparar con riñón contralateral)
  • 26.
    Otros US Fácilmentedetecta HUN No útil en cálculos <5 mm Menor utilidad en litiasis ureteral Modalidad inicial en estudio de cólico renal en embarazada
  • 27.
  • 28.
    Estudio de elección: UROTC Fases: sin contraste con contraste: arterial, portal y eliminación que permite evaluar la hematuria con un único examen. Fase sin contraste: litiasis. Fase arterial: alteraciones del parénquima (masas), evaluación de otros órganos abdominales Cortes finos en fase tardía: distensión del sistema excretor y uréteres con contraste para evaluar patología uroepitelial (95% sensibilidad en detección de patología maligna del uroepitelio) UROTC: evalúa vejiga pero tumores planos difíciles de observar. equivale a 4 pielografías de eliminación, > 10 mSv
  • 29.
    Cáncer de célulastransicionales
  • 30.
  • 31.
  • 32.
  • 33.
  • 34.
    Otros Estudios Pielografíade eliminación: Sensibilidad de 74% Otros: US, uretrografía retrograda, etc.
  • 35.
    Nefrostomías Éxitocercano a un 100% Complicaciones 4% hemorragia-infección Inserción anterógrada de catéter doble J
  • 36.
  • 37.
  • 38.
    Estudio de Elección: TC Trifásica Renal Sin contraste, contraste en fs. arterial, portal y tardía Informa: Comportamiento, tamaño, extensión, número, calcificaciones. Etapificación : compromiso suprarrenal extensión directa a órganos adyacentes adenopatías retroperitoneales invasión de la vena renal y VCI metástasis a distancia (hígado, huesos, cerebro)
  • 39.
  • 40.
  • 41.
  • 42.
  • 43.
    Otros Pielografía deEliminación: Solo identifica 21% de las masas < 2 cm. 52% de 2 a 3 cm. 82% > a 3 cm. Sospecha de masa renal -> continuar estudio con TC o RM US: A mayor tamaño tumoral, mayor grado de certeza diagnóstica. Lesiones hipoecogenicas, heterogeneas Warshauer y otros : 85% de detección en lesiones > 3 cm. < 60% en lesiones < 2 cm.
  • 44.
    Otras Resonancia MagnéticaHallazgos similares a TC Gran resolución de contraste, caracterización de los tejidos. Muy buena determinación de invasión de estructuras vasculares. Problema: Uso de Gadolinio en IRC: Fibrosis Sistémica Nefrogénica. Gadodiamide-Associated Nephrogenic Systemic Fibrosis:Why Radiologists Should Be Concerned, Dale R. Broome, AJR 2007; 188:586–592
  • 45.
    Ablación con radiofrecuenciade cáncer de células renales
  • 46.
    Objetivo Preservar laFx renal y prevenir complicaciones con técnicas menos invasivas.
  • 47.
  • 48.
    Indicaciones Edad y/ocomorbilidad que impiden la C(x) Riñón único. F(x) alterada (uno o ambos). RCC confinado al riñón.
  • 49.
  • 50.
    Seguimiento con CTcon buena respuesta
  • 51.
  • 52.
    Estudio de Elección: TC Trifásica Abdominal Estudio sin contraste, contrastado en fases arterial, portal y tardía Informa: Laceraciones Locación de hematomas Extravasación arterial activa Segmentos renales desvascularizados Extravasación urinaria
  • 53.
    Trauma Renal I:Contusión cortical, hematoma subcapsular, laceración menor con un hematoma perinéfrico limitado, o un pequeño infarto cortical II: Laceración renal mayor que se extiende a la médula con o sin compromiso del sistema colector, o un infarto renal segmentario
  • 54.
    Trauma Renal III:Laceraciones renales múltiples con compromiso vascular, comprometiendo el pedículo renal IV: Lesiones de la unión ureteropélvica
  • 55.
    Embolización de lesionespostraumáticas vasculares renales.
  • 56.
  • 57.
  • 58.
  • 59.
  • 60.
  • 61.
  • 62.
  • 63.
  • 64.
  • 65.
  • 66.
  • 67.
  • 68.
  • 69.
  • 70.
  • 71.
  • 72.
    US La mayoríariñones con PNA son normales a la eco. Aumento de tamaño renal. Compresión del seno renal. Alteración de la ecogenicidad con hipoecogenicidad. (edema) o con hiperecogenicidad (hemorragia). Pérdida de la diferencia corticomedular. Masa o masas mal delimitadas. Gas en parénquima renal. Dilatación de la pelvis renal y material ecogenico en suspensión. Engrosamiento difuso del urotelio.
  • 73.
  • 74.
  • 75.
  • 76.
  • 77.
  • 78.
  • 79.
  • 80.
  • 81.
  • 82.
  • 83.
    Hipertensión: causas renales6-10% causa secundaria. La imagenología participa en : Diagnóstico etiológico. Seguimiento de las complicaciones (daño renal crónico) Tratamiento de algunas de sus causas (radiología intervencional).
  • 84.
    Causas renales RENOVASCULAR ATE. Displasia fibromuscular. Aneurisma arteria renal. Disección de arteria renal. Vasculitis. Neurofibromatosis. DEL PARÉNQUIMA RENAL Nefropatías: Diabética. Glomérulonefritis. LES. Pielonefritis crónica. Enfermedad poliquística renal.
  • 85.
    Hiperaldosteronismo primario Enfermedadde Cushing Feocromocitoma Coartación aórtica Hipercalcemia Tumores del SNC Causas extrarenales
  • 86.
    Estudio No invasivo:AngioTC Doppler Angio RM: esclerosis sistémica nefrogénica Invasivo: angiografía
  • 87.
  • 88.
  • 89.
  • 90.
    Stent y plastiasde estenosis
  • 91.