ACUMULACIONES
INTRACELULARES
DEFINICIÓN
Acumulación de sustancias (proteínas, carbohidratos
o lípidos) en el interior celular, dando lugar, a veces, a
lesión celular. Estas sustancias pueden ser:
•- Un constituyente normal acumulado en exceso.-
•- Una sustancia anormal exógena o del
metabolismo anormal.-
•- Un pigmento o producto infeccioso.-
PATOGENIA
(1) Una sustancia endógena normal se produce a
una velocidad normal o aumentada, pero con una
tasa de metabolismo inadecuada para eliminarla
(esteatosis hepática).-
(2) Una sustancia normal o anormal se acumula
porque no puede ser metabolizada y se deposita
a nivel intracelular de forma amorfa o filamentosa
(enfermedades por almacenamiento).-
(3) Una sustancia exógena anormal se deposita y
acumula debido a que las células no poseen la
maquinaria enzimática para degradar la sustancia
(silicosis, inclusiones virales).-
CLASIFICACIÓN
SEGÚN LA SUSTANCIA QUE SE ACUMULA
 •- ACUMULACIÓN DE LÍPIDOS.-
 •- ACUMULACIÓN DE PROTEÍNAS.-
 •- ACUMULACIÓN DE
 GLUCÓGENO.-
 •- ACUMULACIÓN DE PIGMENTOS .-
ACUMULACIONES
  DE LÍPIDOS
ESTEATOSIS (CAMBIO GRASO)
•- Acumulación anómala de triglicéridos
dentro de las células parenquimatosas.-
•- Se observa con mayor frecuencia en el
hígado (principal órgano implicado en el
metabolismo graso) pero puede verse
también en corazón, músculo y riñón.-
ESTEATOSIS (CAMBIO GRASO)
•- Existen diversas causas (toxinas,
malnutrición proteica [Kwashiorkor], diabetes
mellitus, obesidad, hipoxia) pero la causa
más común en adultos es el alcoholismo.-
•- El significado del cambio graso depende
de la causa y gravedad de la acumulación.
La esteatosis es reversible per se.-
COLESTEROL
•- ATEROSCLEROSIS: presencia de
vacuolas lipídicas en las células musculares
lisas y los macrófagos de la capa íntima de
los vasos arteriales.-
•- XANTOMAS: acumulación de colesterol
dentro de los macrófagos del tejido conectivo
subepitelial y de los tendones; aparece en
estados hiperlipidémicos adquiridos y
hereditarios.-
COLESTEROL
•- INFLAMACIÓN Y NECROSIS : presencia de
macrófagos espumosos en sitios de lesión
celular e inflamación (fagocitosis del
colesterol de las membranas de las células
dañadas).-
•- COLESTEROLOSIS: acumulaciones
focales de histiocitos cargados de colesterol
en la lámina propia de la vesícula biliar .-
INFILTRACIÓN GRASA
•- Acumulación de lípidos dentro de las
células del estroma del tejido conectivo .-
•- Se ve, por lo general, en el corazón y en el
páncreas; las células adiposas aparecen
dentro del estroma del tejido conectivo.-
•- Raras veces afecta la función cardiaca o
pancreática.-
ACUMULACIONES
 DE PROTEÍNAS
ACUMULACIONES PROTEICAS
•- PROTEÍNAS ESTRUCTURALES :
acumulación de prequeratina y otros
filamentos intermedios en el citoplasma de
los hepatocitos (cuerpos de Mallory) en la
enfermedad hepática alcohólica .
Acumulación de proteínas asociadas a
microtúbulos y neurofilamentos en la
enfermedad de Alzheimer (maraña
neurofibrilar).-
•- PROTEINURIA: reabsorción de proteínas
en las nefropatías perdedoras de proteínas
en los túbulos contorneados proximales .-
ACUMULACIONES PROTEICAS
•- INMUNOGLOBULINAS: acumulación de
inmunoglobulinas en el retículo
endoplásmico de las células plasmáticas
(cuerpos de Russell), probablemente por
síntesis defectuosa o transporte inadecuado
de las mismas.-
•- ALFA-1-ANTITRIPSINA: en el retículo
endoplásmico de los hepatocitos por déficit
enzimático estructural .-
ACUMULACIONES
 DE GLUCÓGENO
GLUCÓGENO
•- Se observa en pacientes con anomalías en
el metabolismo de la glucosa o el
glucógeno.-
•- Las masas de glucógenos aparecen en
forma de vacuolas claras dentro del
citoplasma. Se evidencian mejor con la
coloración de PAS y dejan de observarse al
utilizarse el PAS + diastasa.-
•- Los ejemplos típicos incluyen a la diabetes
mellitus y las enfermedades por
almacenamiento de glucógeno
ACUMULACIONES
 DE PIGMENTOS
ACUMULACIÓN DE PIGMENTOS
•- PIGMENTOS: sustancias coloreadas
endógenas (normales o anormales) o
exógenas que bajo ciertas circunstancias se
acumulan intracelularmente.-
•- PIGMENTOS EXÓGENOS: polvo de carbón
(antracosis/neumoconiosis del trabaj ador del
carbón), tatuajes. En ambos casos, la
acumulación del pigmento tiene lugar en el
citoplasma de los macrófagos residentes del
tejido y son permanentes.-
ACUMULACIÓN DE PIGMENTOS
•- PIGMENTOS ENDÓGENOS: a) lipofucsina
(derivada de la peroxidación lipídica de los
lípidos poli-insaturados de las membranas
sub-celulares); b) melanina (catalización
oxidativa de la tirosina a dihidrofenilalanina
por la tirosinasa melanocítica) ;    c)
hemosiderina (derivado de la hemoglobina,
representa agregados de micelas de
ferritina;
hemosiderófagos/hemosiderosis/hemocromat
osis); d) bilirrubina (colestasis).-
CALCIFICACION PATOLOGICA
•   Depósito anómalo de CA++ junto con Fe,
    Mg y otros minerales.
•   Calcificación Distrófica:
    •    Asociada a necrosis y niveles sanguíneos normales de CA+
         +
    •    Suele indicar daño celular pero puede ocasionar disfunción
         orgánica.

•   Calcificación Metastásica:
    •    Ocurre en tejidos normales en presencia de hipercalcemia .
    1.   Incremento de PTH
    2.   Destrucción ósea
    3.   Transtornos del metabolismo de la vitamina D
    4.   Insuficiencia renal
Acumulaciones intracelulares
Acumulaciones intracelulares
Acumulaciones intracelulares

Acumulaciones intracelulares

  • 1.
  • 2.
    DEFINICIÓN Acumulación de sustancias(proteínas, carbohidratos o lípidos) en el interior celular, dando lugar, a veces, a lesión celular. Estas sustancias pueden ser: •- Un constituyente normal acumulado en exceso.- •- Una sustancia anormal exógena o del metabolismo anormal.- •- Un pigmento o producto infeccioso.-
  • 3.
    PATOGENIA (1) Una sustanciaendógena normal se produce a una velocidad normal o aumentada, pero con una tasa de metabolismo inadecuada para eliminarla (esteatosis hepática).- (2) Una sustancia normal o anormal se acumula porque no puede ser metabolizada y se deposita a nivel intracelular de forma amorfa o filamentosa (enfermedades por almacenamiento).- (3) Una sustancia exógena anormal se deposita y acumula debido a que las células no poseen la maquinaria enzimática para degradar la sustancia (silicosis, inclusiones virales).-
  • 4.
    CLASIFICACIÓN SEGÚN LA SUSTANCIAQUE SE ACUMULA •- ACUMULACIÓN DE LÍPIDOS.- •- ACUMULACIÓN DE PROTEÍNAS.- •- ACUMULACIÓN DE GLUCÓGENO.- •- ACUMULACIÓN DE PIGMENTOS .-
  • 5.
  • 6.
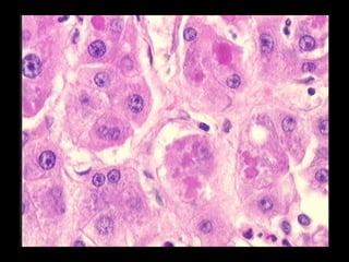
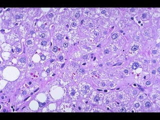
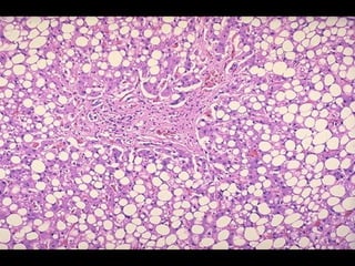
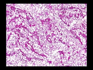
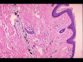
    ESTEATOSIS (CAMBIO GRASO) •-Acumulación anómala de triglicéridos dentro de las células parenquimatosas.- •- Se observa con mayor frecuencia en el hígado (principal órgano implicado en el metabolismo graso) pero puede verse también en corazón, músculo y riñón.-
  • 7.
    ESTEATOSIS (CAMBIO GRASO) •-Existen diversas causas (toxinas, malnutrición proteica [Kwashiorkor], diabetes mellitus, obesidad, hipoxia) pero la causa más común en adultos es el alcoholismo.- •- El significado del cambio graso depende de la causa y gravedad de la acumulación. La esteatosis es reversible per se.-
  • 11.
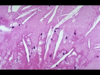
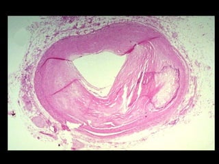
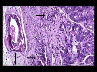
    COLESTEROL •- ATEROSCLEROSIS: presenciade vacuolas lipídicas en las células musculares lisas y los macrófagos de la capa íntima de los vasos arteriales.- •- XANTOMAS: acumulación de colesterol dentro de los macrófagos del tejido conectivo subepitelial y de los tendones; aparece en estados hiperlipidémicos adquiridos y hereditarios.-
  • 17.
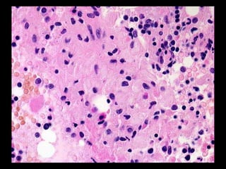
    COLESTEROL •- INFLAMACIÓN YNECROSIS : presencia de macrófagos espumosos en sitios de lesión celular e inflamación (fagocitosis del colesterol de las membranas de las células dañadas).- •- COLESTEROLOSIS: acumulaciones focales de histiocitos cargados de colesterol en la lámina propia de la vesícula biliar .-
  • 22.
    INFILTRACIÓN GRASA •- Acumulaciónde lípidos dentro de las células del estroma del tejido conectivo .- •- Se ve, por lo general, en el corazón y en el páncreas; las células adiposas aparecen dentro del estroma del tejido conectivo.- •- Raras veces afecta la función cardiaca o pancreática.-
  • 24.
  • 25.
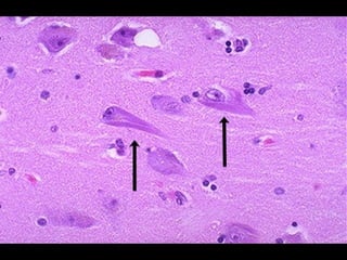
    ACUMULACIONES PROTEICAS •- PROTEÍNASESTRUCTURALES : acumulación de prequeratina y otros filamentos intermedios en el citoplasma de los hepatocitos (cuerpos de Mallory) en la enfermedad hepática alcohólica . Acumulación de proteínas asociadas a microtúbulos y neurofilamentos en la enfermedad de Alzheimer (maraña neurofibrilar).- •- PROTEINURIA: reabsorción de proteínas en las nefropatías perdedoras de proteínas en los túbulos contorneados proximales .-
  • 30.
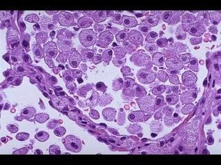
    ACUMULACIONES PROTEICAS •- INMUNOGLOBULINAS:acumulación de inmunoglobulinas en el retículo endoplásmico de las células plasmáticas (cuerpos de Russell), probablemente por síntesis defectuosa o transporte inadecuado de las mismas.- •- ALFA-1-ANTITRIPSINA: en el retículo endoplásmico de los hepatocitos por déficit enzimático estructural .-
  • 33.
  • 34.
    GLUCÓGENO •- Se observaen pacientes con anomalías en el metabolismo de la glucosa o el glucógeno.- •- Las masas de glucógenos aparecen en forma de vacuolas claras dentro del citoplasma. Se evidencian mejor con la coloración de PAS y dejan de observarse al utilizarse el PAS + diastasa.- •- Los ejemplos típicos incluyen a la diabetes mellitus y las enfermedades por almacenamiento de glucógeno
  • 36.
  • 37.
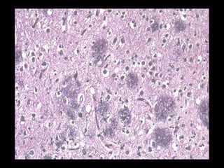
    ACUMULACIÓN DE PIGMENTOS •-PIGMENTOS: sustancias coloreadas endógenas (normales o anormales) o exógenas que bajo ciertas circunstancias se acumulan intracelularmente.- •- PIGMENTOS EXÓGENOS: polvo de carbón (antracosis/neumoconiosis del trabaj ador del carbón), tatuajes. En ambos casos, la acumulación del pigmento tiene lugar en el citoplasma de los macrófagos residentes del tejido y son permanentes.-
  • 41.
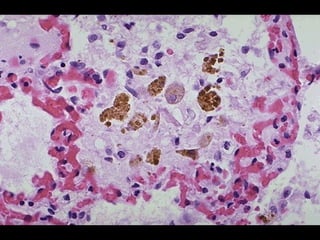
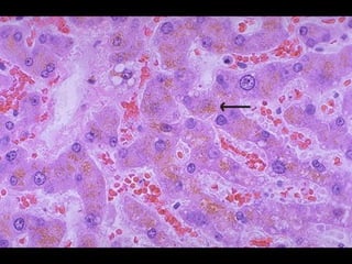
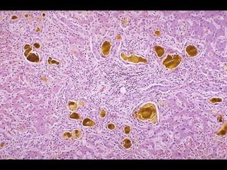
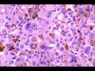
    ACUMULACIÓN DE PIGMENTOS •-PIGMENTOS ENDÓGENOS: a) lipofucsina (derivada de la peroxidación lipídica de los lípidos poli-insaturados de las membranas sub-celulares); b) melanina (catalización oxidativa de la tirosina a dihidrofenilalanina por la tirosinasa melanocítica) ; c) hemosiderina (derivado de la hemoglobina, representa agregados de micelas de ferritina; hemosiderófagos/hemosiderosis/hemocromat osis); d) bilirrubina (colestasis).-
  • 48.
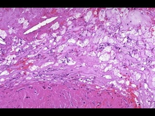
    CALCIFICACION PATOLOGICA • Depósito anómalo de CA++ junto con Fe, Mg y otros minerales. • Calcificación Distrófica: • Asociada a necrosis y niveles sanguíneos normales de CA+ + • Suele indicar daño celular pero puede ocasionar disfunción orgánica. • Calcificación Metastásica: • Ocurre en tejidos normales en presencia de hipercalcemia . 1. Incremento de PTH 2. Destrucción ósea 3. Transtornos del metabolismo de la vitamina D 4. Insuficiencia renal