INFLAMACIÓN
 
 
 
 
 
INFLAMACIÓN AGUDA
 
 
Fenómenos vasculares
 
 
 
Vénula normal Lesión inducida por mediadores vasoactivos Lesión directa del endotelio Membrana basal Célula endotelial Unión íntima Retracción endotelial y formación de hendiduras Membrana basal denudada Vesiculación
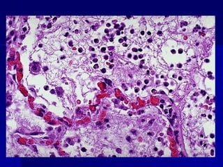
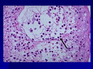
MASTOCITO ALREDEDOR DE VASOS SANGUÍNEOS Y EN TEJIDO INTERSTICIAL
 
 
 
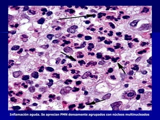
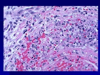
Inflamación aguda. Se aprecian PMN densamente agrupados con núcleos multinucleados
Inflamación crónica. Se observan linfocitos, células plasmáticas y algunos macrófagos
Mediadores vasoactivos del aumento de la permeabilidad capilar FUENTE MEDIADOR Derivados del plasma Activación del factor de Hageman Sistema de coagulación/ fibrinólisis Sistema kalicreína- cinina Activación del sistema De complemento Derivados De las células Desgranulación de mastocitos/basófilos Plaquetas Células inflamatorias Endotelio Aumento de la Permeabilidad vascular
Mediadores de la respuesta inflamatoria   LESION DEL TEJIDO -Traumatismo -Isquemia -Neoplasia -Agente infeccioso -Partícula extraña MEDIADORES VASOACTIVOS -Histamina -Serotonina -Bradicinina -Anafilotoxinas -Leucotrienos/Pg -Oxido nítrico -Vasodilatación -Aumento de la Permeabilidad capilar Producción de mediadores de la inflamación FACTORES QUIMIOTÁCTICOS -C5a -Productos de la lipooxigenasa -Péptidos formilados -Quimiocinas Atracción y estimulación de Células inflamatorias Inflamación AGUDA -PMN -Plaquetas -Mastocitos INFLAMACION CRÓNICA -Macrófagos -Linfocitos -Cél. plasmáticas
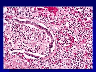
Inversión del flujo circulatorio.  a) Los eritrocitos ocupan el centro de la luz de los vasos dilatados, mientras que los leucocitos están marginados a lo largo de la pared. b) Mayor aumento de una vénula, en donde la marginación leucocitaria es aparente y algunos leucocitos (arriba) empiezan a atravesar la pared.
Sustancias del plasma que intervienen en la inflamación
Activación del Factor de Hageman y producción de mediadores de la inflamación AGENTES ASOCIADOS A LA LESION Superficies de carga negativa Lipopolisacárido basteriano -Cristales de urato sódico -Enzimas ACTIVACION DEL FACTOR DE HAGEMAN Productos de la degra- dación de la fibrina Generación de cinina Formación del coágulo
Activación del Complemento Vía alternativa Vía clásica Vía de unión a la manosa LISIS CELULAR QUIMIOTAXIS ANAFILOTOXINA
Interrelaciones entre los 4 sistemas de mediadores desencadenados por la activación del factor XII (Factor de Hageman) Cascada de cininas Cascada de coagulación Sistema fibrinolítico Cascada de complemento
Actividad biológica de las anafilotoxinas   Broncoconstricción Liberación de histamina Síntesis de leucotrienos
Sustancias de origen celular que intervienen en la inflamación
Mediadores derivados de la membrana   FOSFOLÍPIDOS DE LA MEMBRANA FACTOR DE ACTIVACIÓN PLAQUETARIA ÁCIDO ARAQUIDÓNICO
METABOLISMO DEL ACIDO ARAQUIDONICO   VÍA CICLOOXIGENASA VÍA LIPOOXIGENASA ACIDO ARAQUIDÓNICO
Generación de metabolitos del ácido araquidónico y sus papeles en la inflamación
Citocinas importantes en la inflamación
Rol central de la interleukina (IL)-1 y factor de necrosis tumoral (TNF)- en la inflamación Incrementado ritmo cardiaco
PRINCIPALES EFECTOS DE LA INTERLEUCINA 1
Células de la Inflamación
POLIMORFONUCLEAR: MORFOLOGÍA Y FUNCIÓN
Célula endotelial: morfología y función CARACTERÍTICAS Y FUNCIONES Mantiene la integridad vascular Regula la agregación plaquetaria Regula la contracción y relajación vasculares Interviene en la atracción de los leucocitos durante la inflamación. PRINCIPALES MEDIADORES  INFLAMATORIOS -Factor de Von Willebrand -Oxido nítrico -Endotelinas -Prostanoides CÉLULA ENDOTELIAL
Monocito/Macrófago: Morfología y función
MASTOCITO (Célula cebada y basófilo) MASTOCITO: MOROFOLOGÍA Y FUNCIÓN
EOSINÓFILOS: MOFOLOGÍA Y FUNCIÓN
PLAQUETAS: MOROFOLOGÍA Y FUNCIÓN
Regulación de la interacción entre las plaquetas y las células endoteliales por el tromboxano A2 (2) y prostaglandina I2 (2)  potencia
Atracción de los leucocitos en la inflamación aguda
Reclutamiento y activación de los leucocitos
Adhesión y extravasación de neutrófilos
 
Moléculas de adhesión a los leucocitos y a la célula endotelial
Vía de transducción de la señal intracelular mediada por el receptor del TNF
 
Secuencia esquemática e histológica de acontecimientos tras la agresión aguda en un infarto de miocardio.
Funciones de los leucocitos en la inflamación aguda
Mecanismo de la fagocitosis y destrucción de la bacteria por los PMN
FUNCIONES DEL OXIDO NÍTRICO (NO) EN LOS VASOS SANGUÍNEOS Y MAGRÓFAGOS POR DOS ENZIMAS ON SINTASAS
 
Células de la inflamación aguda a) Leucocitos polimorfonucleares rodeando un gránulo actinomicósico.  b) Células mononucleares: linfocitos, monolitos y células plasmáticas.
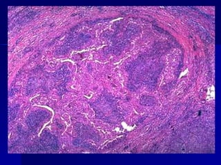
Exudado necrótico en un absceso hepático amebiano
 
 
 
 
 
 
 
 
 
 
 
 

INFLAMACION AGUDA

  • 1.
  • 2.
  • 3.
  • 4.
  • 5.
  • 6.
  • 7.
  • 8.
  • 9.
  • 10.
  • 11.
  • 12.
  • 13.
  • 14.
    Vénula normal Lesióninducida por mediadores vasoactivos Lesión directa del endotelio Membrana basal Célula endotelial Unión íntima Retracción endotelial y formación de hendiduras Membrana basal denudada Vesiculación
  • 15.
    MASTOCITO ALREDEDOR DEVASOS SANGUÍNEOS Y EN TEJIDO INTERSTICIAL
  • 16.
  • 17.
  • 18.
  • 19.
    Inflamación aguda. Seaprecian PMN densamente agrupados con núcleos multinucleados
  • 20.
    Inflamación crónica. Seobservan linfocitos, células plasmáticas y algunos macrófagos
  • 21.
    Mediadores vasoactivos delaumento de la permeabilidad capilar FUENTE MEDIADOR Derivados del plasma Activación del factor de Hageman Sistema de coagulación/ fibrinólisis Sistema kalicreína- cinina Activación del sistema De complemento Derivados De las células Desgranulación de mastocitos/basófilos Plaquetas Células inflamatorias Endotelio Aumento de la Permeabilidad vascular
  • 22.
    Mediadores de larespuesta inflamatoria LESION DEL TEJIDO -Traumatismo -Isquemia -Neoplasia -Agente infeccioso -Partícula extraña MEDIADORES VASOACTIVOS -Histamina -Serotonina -Bradicinina -Anafilotoxinas -Leucotrienos/Pg -Oxido nítrico -Vasodilatación -Aumento de la Permeabilidad capilar Producción de mediadores de la inflamación FACTORES QUIMIOTÁCTICOS -C5a -Productos de la lipooxigenasa -Péptidos formilados -Quimiocinas Atracción y estimulación de Células inflamatorias Inflamación AGUDA -PMN -Plaquetas -Mastocitos INFLAMACION CRÓNICA -Macrófagos -Linfocitos -Cél. plasmáticas
  • 23.
    Inversión del flujocirculatorio. a) Los eritrocitos ocupan el centro de la luz de los vasos dilatados, mientras que los leucocitos están marginados a lo largo de la pared. b) Mayor aumento de una vénula, en donde la marginación leucocitaria es aparente y algunos leucocitos (arriba) empiezan a atravesar la pared.
  • 24.
    Sustancias del plasmaque intervienen en la inflamación
  • 25.
    Activación del Factorde Hageman y producción de mediadores de la inflamación AGENTES ASOCIADOS A LA LESION Superficies de carga negativa Lipopolisacárido basteriano -Cristales de urato sódico -Enzimas ACTIVACION DEL FACTOR DE HAGEMAN Productos de la degra- dación de la fibrina Generación de cinina Formación del coágulo
  • 26.
    Activación del ComplementoVía alternativa Vía clásica Vía de unión a la manosa LISIS CELULAR QUIMIOTAXIS ANAFILOTOXINA
  • 27.
    Interrelaciones entre los4 sistemas de mediadores desencadenados por la activación del factor XII (Factor de Hageman) Cascada de cininas Cascada de coagulación Sistema fibrinolítico Cascada de complemento
  • 28.
    Actividad biológica delas anafilotoxinas Broncoconstricción Liberación de histamina Síntesis de leucotrienos
  • 29.
    Sustancias de origencelular que intervienen en la inflamación
  • 30.
    Mediadores derivados dela membrana FOSFOLÍPIDOS DE LA MEMBRANA FACTOR DE ACTIVACIÓN PLAQUETARIA ÁCIDO ARAQUIDÓNICO
  • 31.
    METABOLISMO DEL ACIDOARAQUIDONICO VÍA CICLOOXIGENASA VÍA LIPOOXIGENASA ACIDO ARAQUIDÓNICO
  • 32.
    Generación de metabolitosdel ácido araquidónico y sus papeles en la inflamación
  • 33.
    Citocinas importantes enla inflamación
  • 34.
    Rol central dela interleukina (IL)-1 y factor de necrosis tumoral (TNF)- en la inflamación Incrementado ritmo cardiaco
  • 35.
    PRINCIPALES EFECTOS DELA INTERLEUCINA 1
  • 36.
    Células de laInflamación
  • 37.
  • 38.
    Célula endotelial: morfologíay función CARACTERÍTICAS Y FUNCIONES Mantiene la integridad vascular Regula la agregación plaquetaria Regula la contracción y relajación vasculares Interviene en la atracción de los leucocitos durante la inflamación. PRINCIPALES MEDIADORES INFLAMATORIOS -Factor de Von Willebrand -Oxido nítrico -Endotelinas -Prostanoides CÉLULA ENDOTELIAL
  • 39.
  • 40.
    MASTOCITO (Célula cebaday basófilo) MASTOCITO: MOROFOLOGÍA Y FUNCIÓN
  • 41.
  • 42.
  • 43.
    Regulación de lainteracción entre las plaquetas y las células endoteliales por el tromboxano A2 (2) y prostaglandina I2 (2) potencia
  • 44.
    Atracción de losleucocitos en la inflamación aguda
  • 45.
    Reclutamiento y activaciónde los leucocitos
  • 46.
  • 47.
  • 48.
    Moléculas de adhesióna los leucocitos y a la célula endotelial
  • 49.
    Vía de transducciónde la señal intracelular mediada por el receptor del TNF
  • 50.
  • 51.
    Secuencia esquemática ehistológica de acontecimientos tras la agresión aguda en un infarto de miocardio.
  • 52.
    Funciones de losleucocitos en la inflamación aguda
  • 53.
    Mecanismo de lafagocitosis y destrucción de la bacteria por los PMN
  • 54.
    FUNCIONES DEL OXIDONÍTRICO (NO) EN LOS VASOS SANGUÍNEOS Y MAGRÓFAGOS POR DOS ENZIMAS ON SINTASAS
  • 55.
  • 56.
    Células de lainflamación aguda a) Leucocitos polimorfonucleares rodeando un gránulo actinomicósico. b) Células mononucleares: linfocitos, monolitos y células plasmáticas.
  • 57.
    Exudado necrótico enun absceso hepático amebiano
  • 58.
  • 59.
  • 60.
  • 61.
  • 62.
  • 63.
  • 64.
  • 65.
  • 66.
  • 67.
  • 68.
  • 69.